Разделы презентаций


ФГБОУ ВПО РНИМУ ИМ.Н.И.ПИРОГОВА СНК кафедры неврологии, нейрохирургии и

Содержание

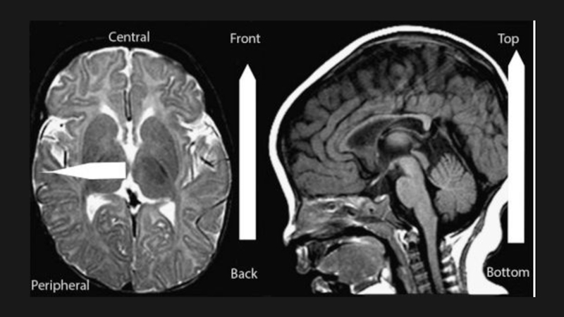
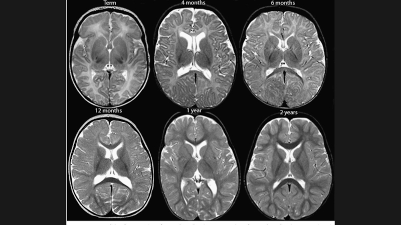
Миелинизация

Слайды и текст этой презентации

Слайд 1 ФГБОУ ВПО РНИМУ ИМ.Н.И.ПИРОГОВА
СНК кафедры неврологии, нейрохирургии и

медицинской генетики ПФ
МРТ в педиатрической практике.
Возрастные особенности, миелинизация.
Основные

пороки развития.

Подготовила: Адалимова
Надежда
гр. 2.4.11

ФГБОУ ВПО РНИМУ ИМ.Н.И.ПИРОГОВА СНК кафедры неврологии, нейрохирургии и медицинской генетики ПФМРТ в педиатрической практике. Возрастные

Слайд 2Миелинизация

Миелинизация

Слайд 3
с 5 месяца внутриутробного
развития и продолжается

после рождения
от каудальной поверхности к
краниальной, от дорсальной

к вентральной

закономерность?

Миелинизация

с 5 месяца внутриутробного   развития и продолжается   после рожденияот каудальной поверхности к

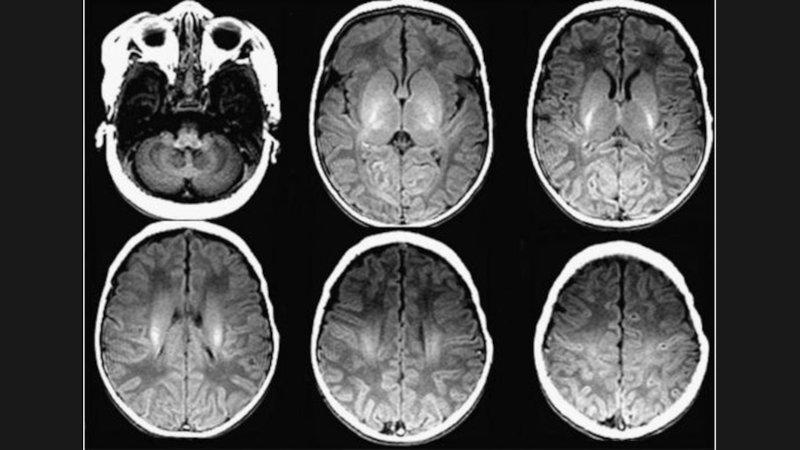
Слайд 10
4 мес

4 мес

Слайд 116 мес.

6 мес.

Слайд 1212 мес.

12 мес.

Слайд 1318 мес.

18 мес.

Слайд 142 года

2 года

Слайд 173 мес.
8 мес.

3 мес.8 мес.

Слайд 1812 мес
2 года

12 мес2 года

Слайд 19Пороки развития

Пороки развития

Слайд 22Алгоритм анализа структур
Срединные структуры(межполушарную борозду, мозговые комиссуры,
прозрачную

перегородку, гипофиз, гипоталамус)

Кора ГМ(толщина коры, конфигурация извилин, переход между корой

и белым веществом)

Белое вещество ГМ(миелинизация, наличие узелков или щелей)

Желудочковая система

Структуры среднего и заднего мозга(ствол головного мозга, мозжечок)

Алгоритм анализа структурСрединные структуры(межполушарную борозду, мозговые комиссуры,   прозрачную перегородку, гипофиз, гипоталамус)Кора ГМ(толщина коры, конфигурация извилин,

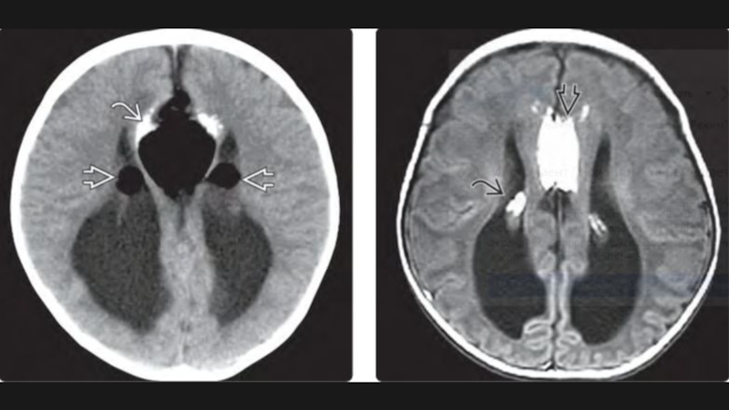
Слайд 23Алобарная голопрозэнцефалия

Алобарная голопрозэнцефалия

Слайд 24Голопрозэнцефалия
Неполное разделение полушарий головного мозга
Визуализация: -единственный желудочек

-отсутствие или частичное базальное и полушарное расщепление в сочетании с отсутствием/неполным развитием межполушарной борозды/серпа мозга
-непарная передняя мозговая артерия

Выраженность и тяжесть аномалии определяется
степенью расщепления переднего мозга
алобарная ГПЭ
семилобарная ГПЭ
лобарная ГПЭ


ГолопрозэнцефалияНеполное разделение полушарий головного мозгаВизуализация: -единственный желудочек

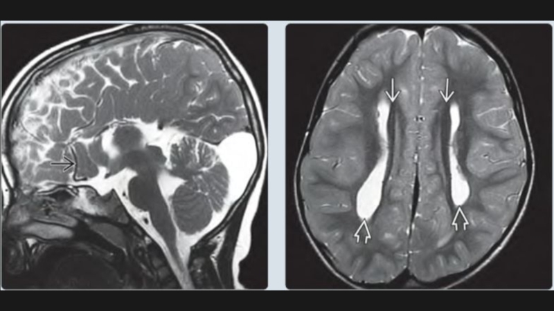
Слайд 28Дисгенезии мозолистого тела

Визуализация:
Отсутствие мозолистого тела на саггитальных, корональных

срезах
На месте отсутствующего мозолистого тела тракты вместо перекреста образуют пучки

Пробста(DTI)
Боковые желудочки разделены и параллельны
Преддверие/затылочный рог бокового желудочка часто расширены
(кольпоцефалия)

Спектр врожденных структурных аномалий МТ
-тотальная агенезия
-частичная агенезия
-гипоплазия
-гиперплазия


Дисгенезии мозолистого тела Визуализация: Отсутствие мозолистого тела на саггитальных, корональных срезахНа месте отсутствующего мозолистого тела тракты вместо

Слайд 32Полимикрогирия

Полимикрогирия

Слайд 33
Проявления кортикальной дисплазии на МРТ различны: неровная, неправильно сформированная поверхность

или наоборот, совершенно гладкая из-за спаянности наружного листка коры (молекулярного

слоя) на микрощелях.
характерна изоинтенсивность
Т2:Полимикрогирия
(два паттерна визуализации)
<12 месяцев: слабо волнистый слой коры нормальной толщины(3-4 мм)
>18 мес. - толстая бугристая кора(6-8 мм), +-расширение периваскулярных пространств+-складчатость коры.

Полимикрогирия

Проявления кортикальной дисплазии на МРТ различны: неровная, неправильно сформированная поверхность или наоборот, совершенно гладкая из-за спаянности наружного

Слайд 34Шизэнцефалия
При I типе края расщелины широко
отстоят

друг от друга, пространство
между ними заполнено ликвором.



При шизэнцефалии II типа края
расщелины сомкнуты, плотно прилежат
друг к другу, разделяясь глубокой узкой
бороздой, выстланной эпендимой и
паутинной оболочкой.

Деструкция коры мозга при
шизэнцефалии сопровождается гетеротопией серого вещества по краям расщелины.
Шизэнцефалия При I типе края расщелины широко   отстоят друг от друга, пространство   между

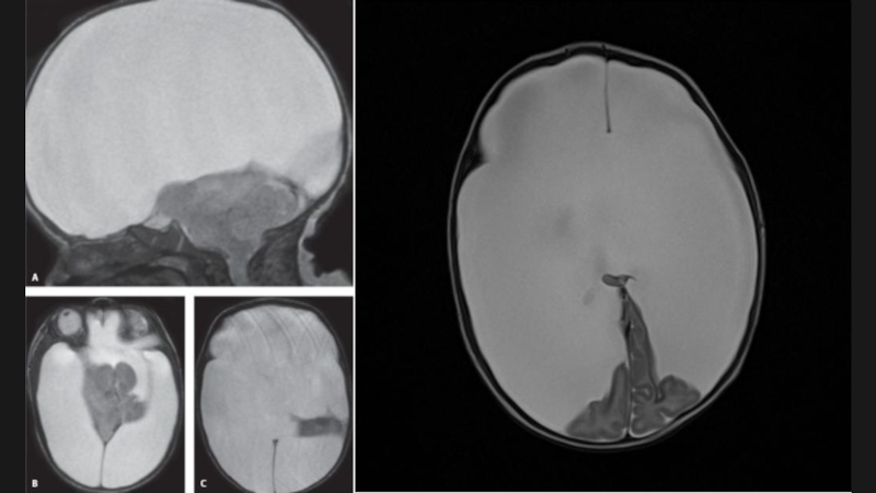
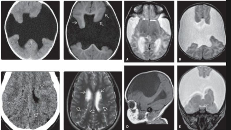
Слайд 38Мальформация Dandy-Walker
Данная мальформация представляет собой кистозное расширение IV желудочка,

сочетающееся с агенезией червя мозжечка, высоким расположением мозжечкового

намета и гидроцефалией


“Классическая” МДУ:
-кистозная дилатация IV желудочка - увеличенная ЗЧЯ;
-гипоплазия червя мозжечка, его краниальная ротация;
Гипоплазия червя мозжечка c ротацией(ГЧР):
-непостоянная гипоплазия червя мозжечка,
-ЗЧЯ/ствол мозга нормальных размеров,
-киста небольшая или отсутствует;
Персистирующая киста кармана Блейка(ККБ):
-сообщение “открытого” IV желудочка с кистой;
Мега цистерна магна(МЦМ):
-увеличенные околомозжечковые цистерны сообщаются с базальными субарахноидальными пространствами.

Мальформация Dandy-WalkerДанная мальформация представляет собой кистозное расширение IV желудочка,   сочетающееся с агенезией червя мозжечка, высоким

Слайд 40Синдром Жубера( мальформация “коренного зуба”)
Аномалия развития заднего мозга,
характеризующаяся
дисморфией червя,


отсутствием перекреста
волокон передних ножек
мозжечка, центральных
волокон моста, а

также
кортикоспинальных трактов.



Синдром Жубера( мальформация “коренного зуба”)Аномалия развития заднего мозга,характеризующаяся дисморфией червя, отсутствием перекреста волокон передних ножек мозжечка, центральных

Слайд 41Визуализация:
Схожесть на аксиальных срезах
формы среднего мозга с формой

коренного зуба
Расщепление червя по средней линии
Утолщение и горизонтальная ориентация(перпендикулярно

стволу головного мозга )передних ножек мозжечка
Срединная депрессия дна IV желудочка на уровне перешейка мозга
(истончение перешейка по средней линии)

Визуализация:Схожесть на аксиальных срезах  формы среднего мозга с формой  коренного зубаРасщепление червя по средней линииУтолщение

Слайд 42Список литературы


Branson HM. Normal myelination: a practical pictorial review.
Welker KM,

Patton A. Assessment of normal myelination with magnetic resonance imaging.


Diagnostic imaging. Brain / [edited by] Anne G. Osborn, Karen L. Salzman, and Miral D. Jhaveri.
L.M.Ketonen A.Hiwatashi R.Sidhu P.-L.Westesson. Pediatric Brain and Spine. An Atlas of MRI and Spectroscopy
Корниенко В.Н. Пронин И.Н. Диагностическая нейрорадиология.
Список литературыBranson HM. Normal myelination: a practical pictorial review.Welker KM, Patton A. Assessment of normal myelination with

Обратная связь

Если не удалось найти и скачать доклад-презентацию, Вы можете заказать его на нашем сайте. Мы постараемся найти нужный Вам материал и отправим по электронной почте. Не стесняйтесь обращаться к нам, если у вас возникли вопросы или пожелания:

Email: Нажмите что бы посмотреть 

Что такое TheSlide.ru?

Это сайт презентации, докладов, проектов в PowerPoint. Здесь удобно  хранить и делиться своими презентациями с другими пользователями.


Для правообладателей

Яндекс.Метрика