Разделы презентаций


Дистрофии

Содержание

– преимущественно обратимые нарушения обмена веществ (трофики), морфологически выражающиеся изменением содержания (чаще - накоплением) в клетках и тканях нормальных, качественно изменённых или аномальных метаболитов (воды, белков, жиров, углеводов, пигментов и др.)Причины:Гипоксия

Слайды и текст этой презентации

Слайд 1Патология накопления (дистрофии)
Нарушения белкового, липидного и углеводного обменов
(паренхиматозные и

мезенхимальные дистрофии)

Патология накопления (дистрофии)Нарушения белкового, липидного и углеводного обменов (паренхиматозные и мезенхимальные дистрофии)

Слайд 2– преимущественно обратимые нарушения обмена веществ (трофики), морфологически выражающиеся изменением

содержания (чаще - накоплением) в клетках и тканях нормальных, качественно

изменённых или аномальных метаболитов (воды, белков, жиров, углеводов, пигментов и др.)

Причины:

Гипоксия – дефицит кислорода
Ишемия - уменьшение кровоснабжения, основная причина гипоксии

Физические факторы – механические травмы, температура, ионизирующее излучение и др.

Химические факторы – в т.ч. токсины и лекарственные препараты, дисбаланс питания, дефицит ряда веществ

Биологические факторы – инфекционные агенты, иммунные реакции, метаболиты, другие биологически активные вещества

Генетические повреждения (чаще в виде ферментопатий)

– сложное нарушение клеточного метаболизма, ведущее к струтурным изменениям.

Дистрофия (внутриклеточные и внеклеточные накопления)

– преимущественно обратимые нарушения обмена веществ (трофики), морфологически выражающиеся изменением содержания (чаще - накоплением) в клетках и

Слайд 3Ишемическое и гипоксическое
Вызванное свободными радикалами кислорода
Токсическое
Распространенность (локальные, генерализованные)
Патогенетические формы повреждения
Основные

механизмы морфогенеза
Извращенный (аномальный) синтез (амилоид; алкогольный гиалин)
Классификация
Инфильтрация (холестерин в

стенке аорты при атеросклерозе)

Декомпозиция (в кардиомиоцитах при дифтерии)

Трансформация (усиленная полимеризация глюкозы в гликоген при сахарном диабете)

Вид нарушенного обмена (белковые, жировые, углеводные, минеральные, пигментные)

Преимущественная локализация (паренхиматозные, стромально-сосудистые, смешанные)

Происхождение (наследственные и приобретенные)

Ишемическое и гипоксическоеВызванное свободными радикалами кислородаТоксическоеРаспространенность (локальные, генерализованные)Патогенетические формы поврежденияОсновные механизмы морфогенезаИзвращенный (аномальный) синтез (амилоид; алкогольный гиалин)Классификация

Слайд 4Болезни накопления «тезаурисмозы»
Наследственные лизосомные энзимопатии
Гликогенозы
Сфинголипидозы (ганглиозидозы)
Сульфатидозы
Мукополисахаридозы
Другие болезни, связанные со сложными

углеводородами
Другие лизосомальные болезни накопления
Морфологическая специфика проявляется главным образом на тканевом

и клеточном уровнях (макро- и ультраструктурные картины часто неспецифичны)
Болезни накопления «тезаурисмозы»Наследственные лизосомные энзимопатииГликогенозыСфинголипидозы (ганглиозидозы)СульфатидозыМукополисахаридозыДругие болезни, связанные со сложными углеводородамиДругие лизосомальные болезни накопленияМорфологическая специфика проявляется главным

Слайд 5Гиалиново-капельная
Белковые дистрофии
(диспротеинозы)

Гиалиново-капельнаяБелковые дистрофии(диспротеинозы)

Слайд 6Вакуольная
Роговая
Гиперкератоз

ВакуольнаяРоговая   Гиперкератоз

Слайд 7Лейкоплакия

Лейкоплакия

Слайд 9Эритроплакия

Ферментопатии, тезаурисмозы, лизосомные болезни накопления

ЭритроплакияФерментопатии, тезаурисмозы, лизосомные болезни накопления

Слайд 10

Жировые дистрофии (липидозы)
Мелкокапельное «ожирение»

Жировые дистрофии (липидозы)Мелкокапельное «ожирение»

Слайд 11Крупнокапельное «ожирение»
Гиперлипидемия как основа атеросклероза
Наследственные липидозы

Крупнокапельное «ожирение»Гиперлипидемия как основа атеросклерозаНаследственные липидозы

Слайд 12по этиологии – первичное (идиопатическое)
- вторичное (алиментарное, эндокринное, церебральное)
- наследственное
Ожирение

(тучность)
Классификация
по внешним проявлениям – типы ожирения
- симметричный (универсальный), верхний, средний,

нижний

по превышению массы тела

– I степень (20-29%),
- II степень (30-49%)
- III степень (50-99%)
- IV степень (100% и более)

по морфологии жировой ткани

– гипертрофический (тяжелое течение)
– гиперпластический (относительно легкое течение)

по этиологии – первичное (идиопатическое)- вторичное (алиментарное, эндокринное, церебральное)- наследственноеОжирение (тучность)Классификацияпо внешним проявлениям – типы ожирения- симметричный

Слайд 13Липоматоз – местное разрастание жировой ткани по типу липому; чаще

при множественных эндокринопатиях
Целлюлит (локализованная гидролиподистрофия)
Истощение (кахексия)

Липоматоз – местное разрастание жировой ткани по типу липому; чаще при множественных эндокринопатиях Целлюлит (локализованная гидролиподистрофия)Истощение (кахексия)

Слайд 14
Нарушения обмена гликопротеидов (большинство – болезни накопления, тезариусмозы)

слизистые дистрофии
наследственные нарушения (гликогенозы).
Углеводные дистрофии
Нарушения

обмена глюкозы и гликогена
сахарный диабет

Муковисцидоз (кистозный фиброз)

Нарушения обмена гликопротеидов (большинство – болезни накопления, тезариусмозы)   слизистые дистрофии   наследственные нарушения (гликогенозы).

Слайд 15Гиалиновые изменения (гиалиноз)
Гиалины
простой
Гиалиноз сосудов
липогиалин
сложный
Гиалиноз соединительной ткани
Гиалиноз других структур

Гиалиновые изменения (гиалиноз)Гиалины простойГиалиноз сосудовлипогиалинсложныйГиалиноз соединительной тканиГиалиноз других структур

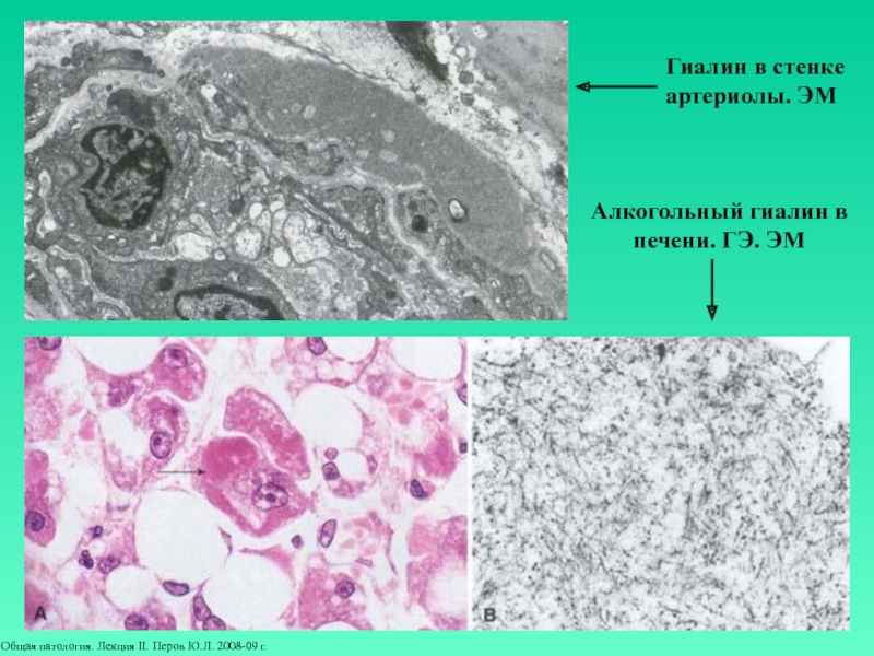
Слайд 16Гиалин в стенке артериолы. ЭМ
Алкогольный гиалин в печени. ГЭ. ЭМ

Гиалин в стенке артериолы. ЭМАлкогольный гиалин в печени. ГЭ. ЭМ

Слайд 17Келоид

Келоид

Слайд 18Стромальные (стромально-сосудистые, мезенхимальные) диспротеинозы
Мукоидное набухание
набухание и разволокнение коллагеновых фибрилл
накопление и

перераспределение гликозаминогликанов
метахромазия
функция органа не нарушена
процесс обратим

Стромальные (стромально-сосудистые, мезенхимальные) диспротеинозыМукоидное набуханиенабухание и разволокнение коллагеновых фибриллнакопление и перераспределение гликозаминогликановметахромазияфункция органа не нарушенапроцесс обратим

Слайд 19глубокая и системная дезорганизация соединительной ткани
выраженная деструкция коллагеновых фибрилл
накопление

продуктов их распада
сродство к окраскам на фибрин
процесс чаще необратим (переход

в фибриноидный некроз)

Фибриноидные изменения

глубокая и системная дезорганизация соединительной тканивыраженная деструкция коллагеновых фибрилл накопление продуктов их распадасродство к окраскам на фибринпроцесс

Слайд 20глубокое нарушение белкового обмена с выработкой аномального фибриллярного белка –

амилоида.
Амилоидоз -
Амилоид. F и P компоненты.
AL -; AA

-; ATTR – и β2 (АРР) – виды

Локализованный

Формы амилоидоза

Первичный. Органы – мишени – сердце, ЖКТ, язык, кожа, нервы.

Семейный (врожденный) (периодическая болезнь). Поражаются те же органы; почки.

Сенильный (старческий). С преимущественным поражением сердца
С поражением головного мозга (при болезни Альцгеймера)

Вторичный: В результате хронических воспалительных (гнойных) процессов
при ряде аутоиммунных заболеваний (ревматоидный артрит)
при некоторых опухолях (миеломная болезнь)

Эндокринный

Общая морфология. Окраски на амилоид

глубокое нарушение белкового обмена с выработкой аномального фибриллярного белка – амилоида.Амилоидоз -Амилоид. F и P компоненты.

Обратная связь

Если не удалось найти и скачать доклад-презентацию, Вы можете заказать его на нашем сайте. Мы постараемся найти нужный Вам материал и отправим по электронной почте. Не стесняйтесь обращаться к нам, если у вас возникли вопросы или пожелания:

Email: Нажмите что бы посмотреть 

Что такое TheSlide.ru?

Это сайт презентации, докладов, проектов в PowerPoint. Здесь удобно  хранить и делиться своими презентациями с другими пользователями.


Для правообладателей

Яндекс.Метрика