Разделы презентаций


ФГАОУ ВО РНИМУ им. Н.И.Пирогова Минздрава России

Содержание

Позитронно-эмиссионная томография (ПЭТ)-это радионуклидный томографический метод исследования внутренних органов человека или животного.Суть метода: метод основан на регистрации пары гамма-квантов, возникающих при аннигиляции позитронов с электронами.

Слайды и текст этой презентации

Слайд 1ФГАОУ ВО РНИМУ им. Н.И.Пирогова Минздрава России
Позитронно-эмиссионная томография..

Выполнила: студентка

4 курса
лечебного факультета
1.4.17 а группы
Гасанова Валида Талеховна.



Москва, 2020

ФГАОУ ВО РНИМУ им. Н.И.Пирогова Минздрава России Позитронно-эмиссионная томография..Выполнила: студентка 4 курсалечебного факультета 1.4.17 а группыГасанова Валида

Слайд 2
Позитронно-эмиссионная томография (ПЭТ)


-это радионуклидный томографический метод исследования внутренних органов человека

или животного.



Суть метода: метод основан на регистрации пары гамма-квантов, возникающих

при аннигиляции позитронов с электронами.

Позитронно-эмиссионная томография (ПЭТ)-это радионуклидный томографический метод исследования внутренних органов человека или животного.Суть метода: метод основан на регистрации

Слайд 3
Историческая справка

Основополагающая статья о ПЭТ вышла в 1975 году в

журнале «Radiology». Более 40 лет назад был построен первый прототип

томографа. Правда, тогда он назывался ПЭТТ – позитронно-эмиссионный трансаксиальный томограф. Первый прототип был создан Майклом Тер-Погоссяном и его коллегами.
Историческая справка  Основополагающая статья о ПЭТ вышла в 1975 году в журнале «Radiology». Более 40 лет назад был

Слайд 4http://neuronovosti.ru/pet/

http://neuronovosti.ru/pet/

Слайд 5Основной принцип работы –это аннигиляция. Нам нужен короткоживущий изотоп, который

распадается и испускает позитрон. Мы делаем органическую молекулу, меченную атомом этого

изотопа- РФМ, который вводится в организм.


Принцип работы ПЭТ (1)

Основной принцип работы –это аннигиляция. Нам нужен короткоживущий изотоп, который распадается и испускает позитрон. Мы делаем органическую

Слайд 6После введения РФП в организм радиоактивные изотопы распространяются по всему

телу. Молекулы изотопов активно поглощаются раковыми клетками. Опухолям требуется больше

энергии для роста, чем нормальным тканям. Раковая клетка поглощает радиоизотоп, и он в ней распадается.


Принцип работы ПЭТ (2)

После введения РФП в организм радиоактивные изотопы распространяются по всему телу. Молекулы изотопов активно поглощаются раковыми клетками.

Слайд 7 В процессе распада происходит освобождение позитронов, которые распространяясь в

организме и пролетая расстояние порядка 1-3 мм, встречают электрон и

взаимодействуют с ним. Образовываются гамма-кванты, которые разлетаются под углом 180 градусов. ПЭТ-сканер регистрирует только эти пары излучаемых гамма-квантов.



Принцип работы ПЭТ (3)

В процессе распада происходит освобождение позитронов, которые распространяясь в организме и пролетая расстояние порядка

Слайд 9


РФП обычно используются на основе глюкозы

и аминокислот.

Основные радионуклиды, используемые в клинических исследованиях, это

углерод 11C, азот 13N, кислород 15O и фтор 18F, поскольку эти химические элементы есть почти во всех соединениях в теле человека. Все они имеют короткий период полураспада, что позволяет вводить пациенту большие дозы препарата с низким лучевым воздействием и неоднократно проводить исследования.
РФП обычно используются на основе глюкозы и аминокислот.  Основные радионуклиды, используемые в клинических

Слайд 10


В психиатрии помимо F18-дезоксиглюкозы используются меченые

C11 или F18 радиолиганды к рецепторам дофамина (D1 и D2),

к белку-транспортеру обратного захвата дофамина, к рецепторам серотонина (5HT1A и 5HT2A) и транспортеру обратного захвата серотонина, к опиоидным мю-рецепторам и к ряду других биологически активных веществ.

В психиатрии помимо F18-дезоксиглюкозы используются меченые C11 или F18 радиолиганды к рецепторам дофамина (D1

Слайд 11


С помощью ПЭТ технологии выполнены исследования на пациентах

с шизофренией, расстройствами настроения, наркоманиями и другими психическими расстройствами.

С помощью ПЭТ технологии выполнены исследования на пациентах с шизофренией, расстройствами настроения, наркоманиями и другими

Слайд 12


В настоящее время в

наиболее оснащенных зарубежных медицинских центрах большую часть ПЭТ исследований выполняют

на приборах, в которых в одном модуле объединены ПЭТ и КТ или МРТ сканеры и оба вида исследований выполняются одновременно. Комбинация ПЭТ/КТ/МРТ сканеров позволяет получать изображения, на которые точно определяется местоположение нарушений метаболизма в организме. ПЭТ/КТ/МРТ─ гибридная технология, сочетающая функциональную и структурную нейровизуализацию. При этом КТ и МРТ сканирования дают точное представление об анатомических особенностях головного мозга, а ПЭТ-сканирование обеспечивает информацию о его функционировании. Комбинация нескольких методов нейровизулизации обеспечивает возможность более точной диагностики, чем КТ, МРТ или ПЭТ исследования по отдельности.

В настоящее время в наиболее оснащенных зарубежных медицинских центрах большую часть ПЭТ

Слайд 15По продолжительности процедура занимает около полутора-двух часов. Чуть более получаса

отводится на распределение препарата по тканям, а затем человека кладут

на кушетку сканирующего аппарата и визуализируют картину метаболической активности тканей.

Процедура проведения (1)

По продолжительности процедура занимает около полутора-двух часов. Чуть более получаса отводится на распределение препарата по тканям, а

Слайд 16Поражённые органы захватывают препарат наиболее сильно, в их зоне выделяется

большее количество энергии, поэтому на изображении они начинают светиться, таким

образом маркируя проблему.

Процедура проведения (2)

Поражённые органы захватывают препарат наиболее сильно, в их зоне выделяется большее количество энергии, поэтому на изображении они

Слайд 17Для того, чтобы добиться особой точности, во время ПЭТ проводится

компьютерная томография, и снимки накладываются на цветное изображение обмена веществ,

позволяя максимально чётко увидеть место поражения и уже сформировать тактику лечения.

Процедура проведения (3)

Для того, чтобы добиться особой точности, во время ПЭТ проводится компьютерная томография, и снимки накладываются на цветное

Слайд 18-метод позволяет исследовать сразу все органы, имея при этом дозу

облучения, сравнимую с КТ; -он «видит» малейшие сдвиги в метаболизме ткани

задолго до того, пока сформируется органический очаг. Это не под силу обычному рентгену, УЗИ или даже МРТ;


Преимущества ПЭТ (1):

-метод позволяет исследовать сразу все органы, имея при этом дозу облучения, сравнимую с КТ; -он «видит» малейшие

Слайд 19-ПЭТ способна определить размеры даже незначительных метастазов до нескольких миллиметров

в диаметре, уточнить их локализацию, а также проследить за эффективностью

назначенного лечения; - точность стандартной КТ колеблется в пределах 80%, тогда как точность ПЭТ достигает 90-95% при той же безопасности и безболезненности.

Преимущества ПЭТ (2):

-ПЭТ способна определить размеры даже незначительных метастазов до нескольких миллиметров в диаметре, уточнить их локализацию, а также

Слайд 20- очень дорогой метод; - необходимость быстрой доставки РФП;
Недостатки ПЭТ:

- очень дорогой метод;  - необходимость быстрой доставки РФП;      Недостатки ПЭТ:

Слайд 21Основными направлениями применения ПЭТ в неврологии является возможность оценки: -перфузии

головного мозга -метаболизма головного мозга -диагностики нейродегенеративных заболеваний, эпилепсии, паркинсонизма.
ПЭТ в

неврологии (1)
Основными направлениями применения ПЭТ в неврологии является возможность оценки:  -перфузии головного мозга -метаболизма головного мозга -диагностики

Слайд 22Благодаря возможности визуализировать перфузию головного мозга в рамках ПЭТ и

благодаря применению спец.препарата «Диамокс» оказалось возможным визуализировать приходящую ишемию коры

больших полушарий. Если у пациента в ответ на введение «Диамокса» происходит снижение перфузии, то у таких пациентов имеет место быть приходящая ишемия больших полушарий.


Диагностика ишемии

Благодаря возможности визуализировать перфузию головного мозга в рамках ПЭТ и благодаря применению спец.препарата «Диамокс» оказалось возможным визуализировать

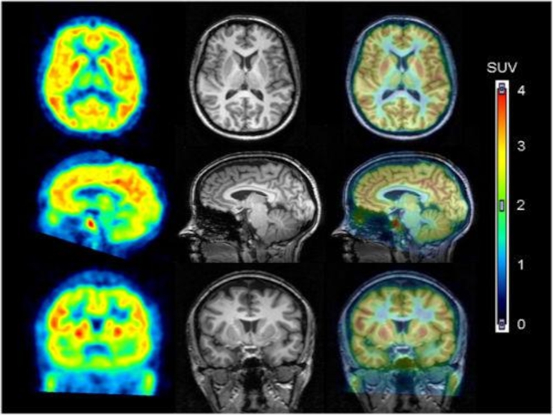
Слайд 24Достаточно большое применение нашла ПЭТ в диагностике и дифференциальной диагностике

нейродегенеративных заболеваний. К примеру, у пациентов с болезнью Альцгеймера происходит симметричное

снижение метаболизма коры теменно-височных областей, что указывает на патологии.


Диагностика нейродегенеративных заболеваний

Достаточно большое применение нашла ПЭТ в диагностике и дифференциальной диагностике нейродегенеративных заболеваний. К примеру, у пациентов с

Слайд 26Злокачественные новообразования.

Показания для проведения ПЭТ:

Злокачественные новообразования.       Показания для проведения ПЭТ:

Слайд 27-беременность; -инфекционные заболевания; -тяжелое состояние пациента; -гипергликемия и содержание глюкозы в крови выше

10 ммоль/л; -состояние после хирургического вмешательства ( не ранее, чем через

2 месяца) -химиотерапия (не ранее, чем через 12 дней после прекращения курса химиотерапии).


Противопоказания для проведения ПЭТ:

-беременность; -инфекционные заболевания; -тяжелое состояние пациента; -гипергликемия и содержание глюкозы в крови выше 10 ммоль/л; -состояние после

Слайд 28 * Иммунотерапия, гормонотерапия, терапия таргетными препаратами не являются противопоказанием. Примечание: наличие металлических

зубов, танталовых скобок на грудине противопоказанием к исследованию не является,

вместе с тем могут влиять на качество изображения. Для проведения ПЭТ/КТ требуется соответствующая подготовка.

Дополнительно

* Иммунотерапия, гормонотерапия, терапия таргетными препаратами не являются противопоказанием. Примечание: наличие металлических зубов, танталовых скобок на грудине

Слайд 29ЗА 24 ЧАСА ДО ИССЛЕДОВАНИЯ НЕОБХОДИМО: Исключить физические нагрузки; Исключить из пищевого

рациона продукты с высоким содержанием углеводов или сахара. 

Подготовка к исследованию(1):

ЗА 24 ЧАСА ДО ИССЛЕДОВАНИЯ НЕОБХОДИМО: Исключить физические нагрузки; Исключить из пищевого рациона продукты с высоким содержанием

Слайд 30В ДЕНЬ ИССЛЕДОВАНИЯ: Исследование выполняется строго натощак (исключить прием пищи минимум за

6 часов до ПЭТ/КТ). В день исследования разрешается пить только чистую

питьевую воду (не сладкую и не газированную!). Не жевать жевательную резинку. На исследование лучше всего прийти в теплой, удобной одежде без молний, металлических пуговиц и других металлических элементов.


Подготовка к исследованию(2):

В ДЕНЬ ИССЛЕДОВАНИЯ: Исследование выполняется строго натощак (исключить прием пищи минимум за 6 часов до ПЭТ/КТ). В день

Слайд 31- вечером накануне диета богатая протеинами; -утром не завтракать; -измерить уровень глюкозы

в крови, -если уровень сахара больше 7 ммолm/л — инъецируется половина

обычной дозы инсулина; - с собой взять перекусить (после прохождения исследования); Минимально допустимое время между инъекциями инсулина и введением РФП составляет 5 часов


Подготовка при сахарном диабете:

- вечером накануне диета богатая протеинами; -утром не завтракать; -измерить уровень глюкозы в крови, -если уровень сахара

Слайд 32Селихова М.В., Катунина Е.А., Воун А.Позитронно эмиссонная и однофотонная эмиссионная

компьютерная томография в оценке состояния моноаминергических систем мозга при экстрапирамидных

расстройствах. Аналы клинической и экспериментальной неврологии 2019; http://neuronovosti.ru/pet/ ; Марусина М.Я., Казначеева А.О. «Современные виды томографии» http://clinic-simba.ru/uslugi/16-diagnostirovanie-mikrosporii-metodom-lyuminestsentnoj-diagnostiki.html ; http://www.pdt.niopik.ru/methods/ . Статья«Применение технологий ядерной медицины в неврологии, психиатрии и нейрохирургии» А.М. Гранов, Л.А. Тютин, А.А. Станжевский, Российский научный центр радиологии и хирургических технологий, Санкт-Петербург (журнал «Вестник РАМН» №9, 2012 .


Список литературы:

Селихова М.В., Катунина Е.А., Воун А.Позитронно эмиссонная и однофотонная эмиссионная компьютерная томография в оценке состояния моноаминергических систем

Обратная связь

Если не удалось найти и скачать доклад-презентацию, Вы можете заказать его на нашем сайте. Мы постараемся найти нужный Вам материал и отправим по электронной почте. Не стесняйтесь обращаться к нам, если у вас возникли вопросы или пожелания:

Email: Нажмите что бы посмотреть 

Что такое TheSlide.ru?

Это сайт презентации, докладов, проектов в PowerPoint. Здесь удобно  хранить и делиться своими презентациями с другими пользователями.


Для правообладателей

Яндекс.Метрика