Разделы презентаций


Кониотуберкузел

Содержание

Определение понятия Кониотуберкулез состоит из 2-х названий определений (coniosis – греч. conia или conis – пыль, прах) – запыление.и туберкулез.Кониотуберкулез - туберкулез органов дыхания, комбинированный с пылевыми  профессиональными заболеваниями легких.     В эту группу включаются все формы туберкулеза легких при одновременном

Слайды и текст этой презентации

Слайд 1Кониотуберкузел
Золотова Ю.А. 602.1

КониотуберкузелЗолотова Ю.А. 602.1

Слайд 2Определение понятия
 Кониотуберкулез состоит из 2-х названий определений (coniosis – греч. conia или conis – пыль, прах)

– запыление.и туберкулез.
Кониотуберкулез - туберкулез органов дыхания, комбинированный с пылевыми  профессиональными заболеваниями

легких.
     В эту группу включаются все формы туберкулеза легких при одновременном наличии пылевых профессиональных заболеваний.
При формулировке диагноза следует вначале писать "Кониотуберкулез", затем дать развернутую характеристику кониоза — "антракоз", "силикоз" и т. д. и развернутую характеристику туберкулезного процесса.

Определение понятия Кониотуберкулез состоит из 2-х названий определений (coniosis – греч. conia или conis – пыль, прах) – запыление.и туберкулез.Кониотуберкулез - туберкулез органов дыхания, комбинированный

Слайд 3I раздел Пневмокониозы

I раздел Пневмокониозы

Слайд 4Понятие пневмокониоза
 Кониотуберкулез относится к большой группе легочных заболеваний – пнемокониозов.


Пневмокониоз – профессиональное заболевание, вызываемое длительным вдыханием промышленной пыли и

характеризующееся хроническим диффузным асептическим воспалением легких (пневмонитом) с развитием пневмофиброза 

Понятие пневмокониоза Кониотуберкулез относится к большой группе легочных заболеваний – пнемокониозов. Пневмокониоз – профессиональное заболевание, вызываемое длительным вдыханием

Слайд 5Этиология
Пыль – аэрозоль, который представляет собой измельченные частицы твердых веществ,

находящихся во взвешенном состоянии в газовой среде.
Промышленную пыль различают: По

происхождению:
-Неорганическая
-Минеральная
-Металлическая
-Органическая
-Растительная
-Животного происхождения
-Синтетическая
-Смешанная 
ЭтиологияПыль – аэрозоль, который представляет собой измельченные частицы твердых веществ, находящихся во взвешенном состоянии в газовой среде.Промышленную

Слайд 6Факторы, определяющие патогенность пыли:
Длительность контакта с пылью
Растворимость
Концентрация


Способ образования аэрозоль конденсации (испарения) в виде дыма, паров –

образуется при горении, сварке, плавке, электросварочных работах и т.д. аэрозоль дезинтеграции – образуется в результате механического измельчения твердого вещества (дробление, бурение камня, угля, шлифовка, очистка литья и т.д). 
Факторы, определяющие патогенность пыли:  Длительность контакта с пылью Растворимость Концентрация Способ образования аэрозоль конденсации (испарения) в

Слайд 7Факторы, определяющие патогенность пыли
Химические свойства пыли
Цитотоксичность
Фиброгенность - способность

пыли вызывать фиброз (определяется содержанием свободного диоксида кремния -SiO2 )

 
-        SiО2 ≥70%, ПДК ≤1 мг/м3
-        SiO2 ≥10%, ПДК – 1-6 мг/м3
-        SiO2 ≥10%, ПДК – 8-10 мг/м3 
Антигенные свойства
Индивидуальная чувствительность
Факторы, определяющие патогенность пыли Химические свойства пыли Цитотоксичность Фиброгенность - способность пыли вызывать фиброз (определяется содержанием свободного

Слайд 8Классификация пневмокониозов
1. По этиологии:
Пневмокониозы, развивающиеся от воздействия высоко- и

умереннофиброгенной пыли:
Силикоз – пневмокониоз от вдыхания пыли свободного диоксида

кремния При содержании до 70% и более SiO2 (в горнорудной промышленности – бурильщики, проходчики, забойщики, взрывники, в машиностроительной промышленности – обрубщики, формовщики, пескоструйщики)
Пневмокониозы от смешанной пыли с высоким содержанием диоксида кремния
Антракосиликоз – у шахтеров угольных шахт
Сидеросиликоз – у подземных рабочих железорудных шахт
Силикосиликатоз – у рабочих фарфоро-фаянсовой и керамической промышленности 
Классификация пневмокониозов1. По этиологии: Пневмокониозы, развивающиеся от воздействия высоко- и умереннофиброгенной пыли: Силикоз – пневмокониоз от вдыхания

Слайд 9Классификация пневмокониозов
Пневмокониозы от слабофиброгенных пылей:
Силикатозы – от вдыхания пыли, содержащей

диоксид кремния не в свободном, а в связанном с другими

элементами состоянии (асбестоз, талькоз, коалиноз и др.). Встречаются у рабочих, занятых добычей и производством силикатов.
Металлокониозы – от рентгеноконтростных пылей с умеренной фиброгенной реакцией в легких –пыли бария, железа, марганца, олова (баритоз, сидероз, марганокониоз, станиоз и другие). Встречаются у рабочих, занятых обработкой, резкой, напылением металлов и их сплавов
Карбокониозы – от углеродсодержащей пыли (каменного угля, графита, сажи ) – антракоз, графитоз, сажевый пневмокониоз 
Классификация пневмокониозовПневмокониозы от слабофиброгенных пылей:Силикатозы – от вдыхания пыли, содержащей диоксид кремния не в свободном, а в

Слайд 10Классификация пневмокониозов
Пневмокониозы от смешанной пыли не содержащей свободного диоксида кремния

или незначительным его содержанием (пневмокониоз шлифовальщиков, электросварщиков, наждачников)
Пневмокониозы от аэрозолей

токсико-аллергенного действия
Пневмокониозы от воздействия органической пыли: хлопка, льна, зерна и т.д. (хлопковый, зерновой, пробковый) – «фермерское легкое», «легкое птицевода», а также пыли, содержащие металлы-аллергены, пластмассы и другие (бериллиоз, алюминоз) 
Классификация пневмокониозовПневмокониозы от смешанной пыли не содержащей свободного диоксида кремния или незначительным его содержанием (пневмокониоз шлифовальщиков, электросварщиков,

Слайд 11Патологическая анатомия и патоморфология 
Макроскопически:
увеличение легких в объеме
уплотнение легочной

ткани увеличение массы легких на 20-30%
утолщение плевры с наличием

сращений поверхность легких неровная, бугристая участки эмфиземы (часто буллезной)
хруст при разрезе увеличение, уплотнение, малая подвижность трахеобронхиальных и бронхопульмональных л/узлов
диффузное изменение слизистой оболочки бронхов 
обширные участки уплотнения при узловой форме     
Патологическая анатомия и патоморфология Макроскопически: увеличение легких в объеме уплотнение легочной ткани увеличение массы легких на 20-30% утолщение

Слайд 12Патоморфологическая характеристика.  
Основной патоморфологический субстрат – пневмофиброз
Две морфологические формы:
1.Интерстициальная


2.Интерстициально-гранулематозная (узелковая)
Два периода развития:
1.Воспалительно-дистрофических нарушений (рентгенологически негативный),
2.Продуктивно-склеротических изменений

(рентгенологически позитивный). 
Патоморфологическая характеристика.  Основной патоморфологический субстрат – пневмофиброз Две морфологические формы:1.Интерстициальная 2.Интерстициально-гранулематозная (узелковая) Два периода развития: 1.Воспалительно-дистрофических нарушений

Слайд 13Рентгенологическая картина
Главная характерная черта – мономорфность.
Пневмокониозы характеризуются:
Фиброзом легочной

ткани
Фиброзными изменениями плевры
Фиброзными изменениями корней легких 
Степень выраженности кониотического фиброза оценивается:


Формой и размером выявленных затенений Плотностью на 1 см
Протяженностью по зонам легких 
Рентгенологическая картинаГлавная характерная черта – мономорфность. Пневмокониозы характеризуются: Фиброзом легочной тканиФиброзными изменениями плеврыФиброзными изменениями корней легких Степень выраженности

Слайд 14Рентгенологичеческая картина
Затемнения делятся на 2 группы:
1. Малые
2. Большие


Малые:
- Округлые (узелковоподобные), четкие, симметричные, диффузные, преимущественно в средних

и верхних зонах.
- Линейные - малые, неправильной формы, рисунок мелкосетчатый, ячеистый и тяжистоячеистый характер преимущественно в средних и нижних зонах.
Рентгенологичеческая картинаЗатемнения делятся на 2 группы: 1. Малые 2. Большие Малые: - Округлые (узелковоподобные), четкие, симметричные, диффузные,

Слайд 17Рентгенологическая картина
Большие: формируются при слиянии маленьких округлых затенений на месте

ателектазов, а также при присоединении туберкулеза, чаше при узелковых формах
-

«А» -мелкие узлы от 1 до 5 см в диаметре или несколько затенений, не превышающие в сумме 5 см в диаметре
- «B» - крупноузловой процесс размером до 10 см в диаметре, не превышают размер правой верхней доли
- «С» - массивный пневмокониоз с размером затенений более 10 см в диаметре 
Рентгенологическая картинаБольшие: формируются при слиянии маленьких округлых затенений на месте ателектазов, а также при присоединении туберкулеза, чаше

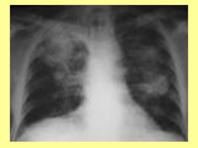
Слайд 20Рентгенологическая картина
Корни легких – уплотнены, расширены, нередко имеют вид «обрубленных»,

видны тени плотных и увеличенных лимфатических узлов. 
Патогномонично: скорлупообразное обызвествление

внутригрудных лимфатических узлов по типу «яичной скорлупы».
Изменения верхушечной и костальной плевры, плевродиафрагмальные и плевроперикардиальные спайки. 
Рентгенологическая картинаКорни легких – уплотнены, расширены, нередко имеют вид «обрубленных», видны тени плотных и увеличенных лимфатических узлов. 

Слайд 23II Раздел Кониотуберкулез

II Раздел Кониотуберкулез

Слайд 24Патогенез кониотуберкулеза 
  Несколько патогенетических процессов являются общими для туберкулеза и силикоза,

участвующими в  ускоренном развитии фиброза и в увеличении предрасположенности к

микобактериальной инфекции или реактивации очага скрытой инфекции. Частицы – фагоцитируются альвеолярными макрофагами. Внутри этих клеток эти частицы подвергаются воздействию фаголизосом. Кварц имеет способность повреждать мембрану клетки, приводя к гибели макрофага и попаданию высвобождаемых частиц в другие макрофаги.
      Предположительно гуморальные и опосредованные клеточные иммунные реакции подавляются силикозом. Опосредованный клеточный иммунитет, важный фактор подавления размножения микобактерий, а его нарушение приводит  к развитию микобактериальной инфекции. Фиброз легких развивается  при туберкулезе и силикозе, что приводит к нарушению удаления макрофагов, содержащих частицы пыли или микобактерий из легких. Нарушение деятельности лимфатической системы способствует накоплению макрофагов в промежуточной ткани легких, с формированием локального фиброза.
     Если процесс продолжается, в легких возникают небольшие округлые узелки или клубки коллагена, формирующиеся вдоль лимфатических путей. По мере прогрессирования болезни такие четкообразные структуры уступают место большим пятнистым участкам фиброза или накоплений коллагена во всех областях легких. Большие скопления коллагена обнаруживаются в верхних отделах нижних долей легких.

Патогенез кониотуберкулеза   Несколько патогенетических процессов являются общими для туберкулеза и силикоза, участвующими в  ускоренном развитии фиброза и в

Слайд 25Клиника.
Основные жалобы при силикотуберкулезе: наиболее часто и рано( нередко задолго

до рентгенолологических изменений) возникают одышка, боли в груди, кашель с

мокротой, общая слабость, повышенная утомляемость, нарушение работоспособности, ночные поты.
Туберкулезный процесс может длительно протекать почти бессимптомно. Затем под влиянием охлаждения, других заболеваний, а иногда без видимых причин наступает обострение с последующим бурным течением.
     Потеря трудоспособности у больных силикозом связано с недостаточным обеспечением организма кислородом. Газообмен затруднен из-за утолщения коллагенозными массами альвеолярных стенок и эмфизематозом легких (потерей эластичности альвеол). 
     Избыточная сеть капилляров и отек альвеол и терминальных бронхиол приводит к недостаточной аэрации крови. Степень нетрудоспособности не может быть оценена с помощью рентгенологического обследования, для этого используется определение состояния дыхательных функций легких.


Клиника. Основные жалобы при силикотуберкулезе: наиболее часто и рано( нередко задолго до рентгенолологических изменений) возникают одышка, боли

Слайд 26Диагностика.
Наиболее часто с силикозом сочетается очаговый, диссеминированный туберкулез и туберкулема.
В

ОАК: ↑ СОЭ, лимфопения, сдвиг лейкоцитарной формулы влево, анемия.
В легких:

коробочный звук над нижними длями, укорочение тона соответственно над пораженными участками.
Положительная туберкулиновая проба.
МБТ в мокроте – не часто
 Наличие туберкулеза у больного силикозом  следует подозревать в тех случаях, когда рентгенологичские изменения отмечаются в верхушечных областях обоих легких. Эти проявления характеризуются плохо разграниченными инфильтратами, различного размера, не пересекающие границы долей легкого. Эти уплотнения ткани легких могут окружать существовавшие ранее силикотические образования. Наличие каверн в области силикотических изменений является признаком туберкулеза. Формирование каверн при отсутствии туберкулеза настолько редко, что с практической точки зрения любое свидетельство разрушения легкого может быть принято как признак туберкулеза.


Диагностика.Наиболее часто с силикозом сочетается очаговый, диссеминированный туберкулез и туберкулема.В ОАК: ↑ СОЭ, лимфопения, сдвиг лейкоцитарной формулы

Слайд 27Признаки, указывающие на возможное наличие туберкулеза у больных силикозом:
1. расположение легочной

патологии в верхний отделах легких;
2. наличие распада;
3. относительно быстрая динамика процесса;
4. наличие плеврального

выпота.
  Установление диагноза туберкулеза легких у больного силикозом бактериологическими методами часто трудная задача. Поэтому, рекомендуется регулярная микроскопия на наличие в мокроте кислотоустойчивых микабактерий. Показано бронхологическое исследование, с последующим исследованием мазков со слизистой бронхов.

Признаки, указывающие на возможное наличие туберкулеза у больных силикозом:1. расположение легочной патологии в верхний отделах легких;2. наличие распада;3. относительно быстрая

Обратная связь

Если не удалось найти и скачать доклад-презентацию, Вы можете заказать его на нашем сайте. Мы постараемся найти нужный Вам материал и отправим по электронной почте. Не стесняйтесь обращаться к нам, если у вас возникли вопросы или пожелания:

Email: Нажмите что бы посмотреть 

Что такое TheSlide.ru?

Это сайт презентации, докладов, проектов в PowerPoint. Здесь удобно  хранить и делиться своими презентациями с другими пользователями.


Для правообладателей

Яндекс.Метрика