Разделы презентаций


Произведение ребенка 448 группа ОМФ 2011-2012

Содержание

11.Перелом Хэнгмана(перелом «повешенного»)2.Прведение винта через ???3. метод Юмашева–Силина

Слайды и текст этой презентации

Слайд 1Произведение ребенка 448 группа ОМФ 2011-2012
травматология

Произведение ребенка 448 группа ОМФ 2011-2012травматология

Слайд 21
1.Перелом Хэнгмана(перелом «повешенного»)
2.Прведение винта через ???
3. метод Юмашева–Силина

11.Перелом Хэнгмана(перелом «повешенного»)2.Прведение винта через ???3. метод Юмашева–Силина

Слайд 32
Множественный перелом 5,6,7 ребер справа,со смещением отломков, осложненный тотальный пневмотораксом

2Множественный перелом 5,6,7 ребер справа,со смещением отломков, осложненный тотальный пневмотораксом

Слайд 43
Оскольчатый Перелом головки бедра со смещением отломков с вывихом бедра?

3Оскольчатый Перелом головки бедра со смещением отломков с вывихом бедра?

Слайд 54
Межмыщелковый Т-образный внутрисуставной Перелом бедра

4Межмыщелковый Т-образный внутрисуставной Перелом бедра

Слайд 65
Перелом поперечных отростков 3,4,5 поясн позв

5Перелом поперечных отростков 3,4,5 поясн позв

Слайд 76
Разрыв симфиза,

6Разрыв симфиза,

Слайд 87
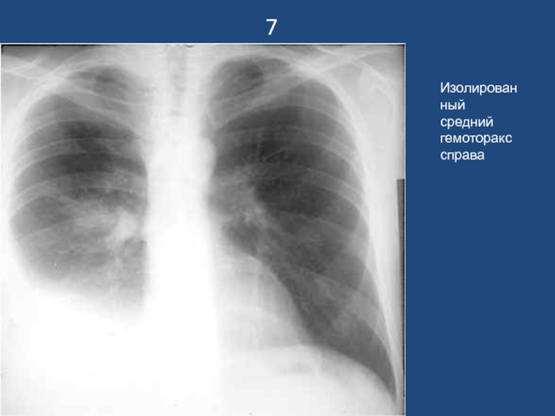
Изолированный средний гемоторакс справа

7Изолированный средний гемоторакс справа

Слайд 98
Сколиоз. ??? Корректор 3-4 ст

8Сколиоз. ??? Корректор 3-4 ст

Слайд 109
Перелом Мантеджи

9Перелом Мантеджи

Слайд 1110
Поперечный перелом тела надколенника со смещением

10Поперечный перелом тела надколенника со смещением

Слайд 1211
Краевой перелом латерального мыщелка (надмыщелка) б/б кости слева

11Краевой перелом латерального мыщелка (надмыщелка) б/б кости слева

Слайд 1312
Незавершенный пронационный
перелом справа

12Незавершенный пронационный перелом справа

Слайд 1413
Подвывих с3 кпереди. Взрывной перелом с6

13Подвывих с3 кпереди. Взрывной перелом с6

Слайд 1514
перелом основания зуба с захватом телас2.

14перелом основания зуба с захватом телас2.

Слайд 1716
Перелом шейки лучевой кости со смещением отломков,Задне-внутренний вывих обеих костей

предплечья

16Перелом шейки лучевой кости со смещением отломков,Задне-внутренний вывих обеих костей предплечья

Слайд 1817
Вывих(выпадение) тазобедренного
эндопротеза слева и чрезвертельный перелом

17Вывих(выпадение) тазобедренного эндопротеза слева и чрезвертельный перелом

Слайд 1918
Поперечный перелом с/3 бедра со смещеним, внутрикостный кондилоцефалический остеосинтез 2

спицами

18Поперечный перелом с/3 бедра со смещеним, внутрикостный кондилоцефалический остеосинтез 2 спицами

Слайд 2019
Нижневнутренний вывих таранной кости

19Нижневнутренний вывих таранной кости

Слайд 2120
Уретрография. Разрыв мочеточника. Разрыв симфиза.

20Уретрография. Разрыв мочеточника. Разрыв симфиза.

Слайд 2221
Переломы костей заднего полукольца с нарушением его непрерывности. ???Компрессионный перелом

вертлужной впадины с

21Переломы костей заднего полукольца с нарушением его непрерывности. ???Компрессионный перелом вертлужной впадины с

Слайд 2322
Множественная травма. Перелом: Ключица справа, 5-8ребер справа

22Множественная травма. Перелом: Ключица справа, 5-8ребер справа

Слайд 2423
Передне-нижний вывих плеча подклювовидный?

23Передне-нижний вывих плеча подклювовидный?

Слайд 2524
Полный вывих акромиального конца ключицы

24Полный вывих акромиального конца ключицы

Слайд 2625
Т- образный Межмыщелковый перелом плеча, со смещением отломков
Чрезмыщелковый разгибательный

25Т- образный Межмыщелковый перелом плеча, со смещением отломковЧрезмыщелковый разгибательный

Слайд 2726
Перелом луча в типичном месте по типу Коллису перелом шиловидного

отр

26Перелом луча в типичном месте по типу Коллису перелом шиловидного отр

Слайд 2827
Перелом шейки 5 пястной кости

27Перелом шейки 5 пястной кости

Слайд 2928
Сросшийся перелом с/3 бедра, внутрикостный центромедулярный блокирующий остеосинтез

28Сросшийся перелом с/3 бедра, внутрикостный центромедулярный блокирующий остеосинтез

Слайд 3029
Трансцервикальный перелом шейки бедра

29Трансцервикальный перелом шейки бедра

Слайд 3130
Сегментарный перелом с/3 бедра

30Сегментарный перелом с/3 бедра

Слайд 3231
Перелом латерального мыщелка большеберцовой кости

31Перелом латерального мыщелка большеберцовой кости

Слайд 3332
Разрыв наружной боковой связки справа

32Разрыв наружной боковой связки справа

Слайд 3433
Супинационный перелом:
: поперечный перелом наружной, косой перелом внутренней лодыжек с

вывихом стопы кнутри.

33Супинационный перелом:: поперечный перелом наружной, косой перелом внутренней лодыжек с вывихом стопы кнутри.

Слайд 3534
Ложный сустав н/3 берцовых костей

34Ложный сустав н/3 берцовых костей

Слайд 3635
Завершенный перелом Дюпюитрена, накостный остеосинтез:
1) разрыв дельтовидной связки; 2) перелом

н/з малоберцовой кости;
3) разрыв дистального межберцового синдесмоза; 4) вывих стопы

кнаружи.

35Завершенный перелом Дюпюитрена, накостный остеосинтез:1) разрыв дельтовидной связки; 2) перелом н/з малоберцовой кости;3) разрыв дистального межберцового синдесмоза;

Слайд 3736
Перелом заднего края б/б кости с вывихом стопы кзади(Потта-десто)

36Перелом заднего края б/б кости с вывихом стопы кзади(Потта-десто)

Слайд 3837
Внутрисуставной ???

Перелом таранной кости

37Внутрисуставной ???Перелом таранной кости

Слайд 3938
???Передний вывих таранной кости.

38???Передний вывих таранной кости.

Слайд 4039
Плоскостопие.

39Плоскостопие.

Слайд 4140
Перелом шеек 2-4 пястных костей со смещением. Вывих 5 пальца

40Перелом шеек 2-4 пястных костей со смещением. Вывих 5 пальца

Слайд 4241
Односторонний полный вывих в суставе Лисфранка слева

41Односторонний полный вывих в суставе Лисфранка слева

Слайд 4342
Сочетанная травма. Внесуставной краевой горизонтальный перелом пятки типа утиного клюва

слева. Компрессионный перелом+ краевой пятки справа. Компьютерная томография – компрессионные

переломы L1-Th12 позвонков
42Сочетанная травма. Внесуставной краевой горизонтальный перелом пятки типа утиного клюва слева. Компрессионный перелом+ краевой пятки справа. Компьютерная

Слайд 4443
внесуставной краевой горизонтальный перелом пяточной кости типа утиного клюва.

43внесуставной краевой горизонтальный перелом пяточной кости типа утиного клюва.

Слайд 4544
Вывих безымянной кости.

44Вывих безымянной кости.

Слайд 4645
КТ. Разрыв крестцовоподвздошного сочленения.перелом подвздошной кости

45КТ. Разрыв крестцовоподвздошного сочленения.перелом подвздошной кости

Слайд 4746
Перелом Мальгеня

46Перелом Мальгеня

Слайд 4847
Отрыв передненижней ости справа. Глянь на левое крыло

47Отрыв передненижней ости справа. Глянь на левое крыло

Слайд 4948
Перелом седалищной. разрыв Симфиза. Разрыв мочевого пузыря при сцинтиграфиии

48Перелом седалищной. разрыв Симфиза. Разрыв мочевого пузыря при сцинтиграфиии

Слайд 5049
Перелом дна вертлужной впадины без смещения
или артроз+
Задне-верхний вывих

49Перелом дна вертлужной впадины без смещения или артроз+Задне-верхний вывих

Слайд 5150
Компрессионный L1 2 ст с отрывом края тела.
Перелом края тела

50Компрессионный L1 2 ст с отрывом края тела.Перелом края тела L4

Слайд 5251
Подвывих с2 позвонка кпереди. Перелом остистого отростка с4.

51Подвывих с2 позвонка кпереди. Перелом остистого отростка с4.

Слайд 5352
Стабильный перелом края тела с7

52Стабильный перелом края тела с7

Слайд 5453
Перелом пилона справа

53Перелом пилона справа

Слайд 5554
Срастающийся перелом с/3(н/3)б/б кости. (ложный сустав)Центромедулярный блокирующий остеосинтез

54Срастающийся перелом с/3(н/3)б/б кости. (ложный сустав)Центромедулярный блокирующий остеосинтез

Слайд 5655
Задне-наружный вывих предплечья справа

55Задне-наружный вывих предплечья справа

Слайд 5756
Перелом большого вертела с отрывом малого

56Перелом большого вертела с отрывом малого

Слайд 5857
Задний вывих стернального конца ключицы

57Задний вывих стернального конца ключицы

Слайд 5958
опухоль

58опухоль

Слайд 6059
Вертикальный перелом подвздошной кости слева+ может разрыв лонного симфиза

59Вертикальный перелом подвздошной кости слева+ может разрыв лонного симфиза

Слайд 6160
Перелом Галеаци

60Перелом Галеаци

Слайд 6362
Перелом луча в типичном месте типа Коллеса

62Перелом луча в типичном месте типа Коллеса

Слайд 6463
Остеомиелит левой плечевой кости

63Остеомиелит левой плечевой кости

Слайд 6564
Запирательный вывих бедра слева

64Запирательный вывих бедра слева

Слайд 66Срастающийся поперечный перелом нижней трети бедра. Накостный остеосинтез шурупами

Срастающийся поперечный перелом нижней трети бедра. Накостный остеосинтез шурупами

Слайд 67Винтообразный перелом между с/3и н/3 трети б/б кости и винтообр.

Перелом в/3 м/б кости

Винтообразный перелом между с/3и н/3 трети б/б кости и винтообр. Перелом в/3 м/б кости

Слайд 68Дефект с/3 б/б кости. НАРАЩИВАНИЕ

Дефект с/3 б/б кости. НАРАЩИВАНИЕ

Обратная связь

Если не удалось найти и скачать доклад-презентацию, Вы можете заказать его на нашем сайте. Мы постараемся найти нужный Вам материал и отправим по электронной почте. Не стесняйтесь обращаться к нам, если у вас возникли вопросы или пожелания:

Email: Нажмите что бы посмотреть 

Что такое TheSlide.ru?

Это сайт презентации, докладов, проектов в PowerPoint. Здесь удобно  хранить и делиться своими презентациями с другими пользователями.


Для правообладателей

Яндекс.Метрика