Разделы презентаций


СЕРДЕЧНО-СОСУДИСТАЯ СИСТЕМА

Содержание

РАЗВИТИЕ КРОВЕНОСНЫХ СОСУДОВ2-3-й неделяИз мезенхимы в стенке желточного мешка . В кровяных островках стенки хориона

Слайды и текст этой презентации

Слайд 1СЕРДЕЧНО-СОСУДИСТАЯ СИСТЕМА
Кафедра гистологии, эмбриологии и цитологии лечебного факультета

СЕРДЕЧНО-СОСУДИСТАЯ СИСТЕМАКафедра гистологии, эмбриологии и цитологии лечебного факультета

Слайд 2РАЗВИТИЕ КРОВЕНОСНЫХ СОСУДОВ
2-3-й неделя
Из мезенхимы в стенке желточного мешка

.

В кровяных островках стенки хориона

РАЗВИТИЕ КРОВЕНОСНЫХ  СОСУДОВ2-3-й неделяИз мезенхимы в стенке желточного мешка . В кровяных островках стенки хориона

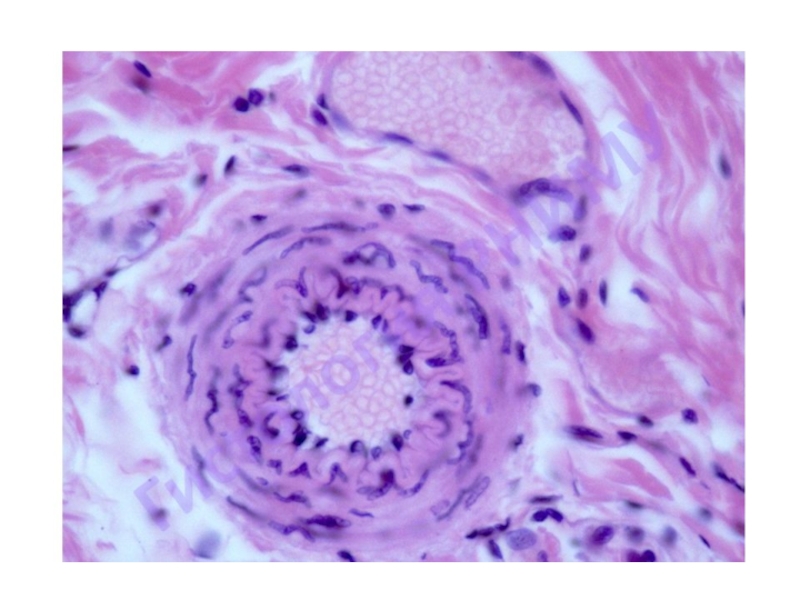
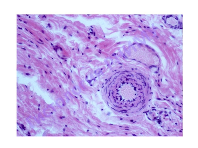
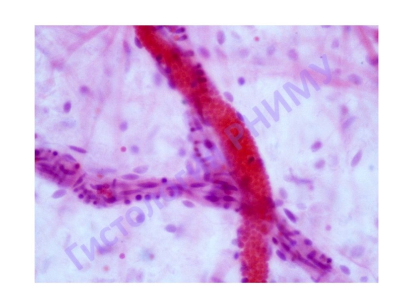
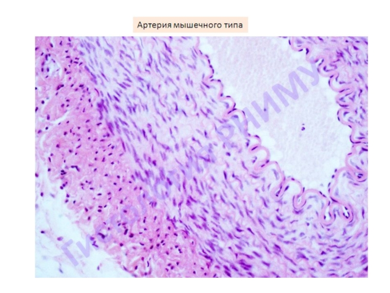
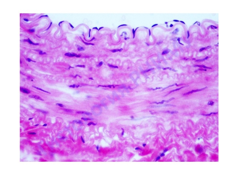
Слайд 4Общий принцип организации стенки кровеносного сосуда
1. Внутренняя оболочка
- Эндотелий

- Подэндотелиальный слой
- Внутренняя эластическая мембрана
2. Средняя оболочка
-

Гладкие миоциты, эластические волокна
- Наружная эластическая мембрана
3. Наружная оболочка (адвентициальная)
* В зависимости от принадлежности сосуда и его диаметра количество компонентов может меняться
Общий принцип организации стенки кровеносного сосуда1. Внутренняя оболочка				 - Эндотелий				 - Подэндотелиальный слой				 - Внутренняя эластическая мембрана2.

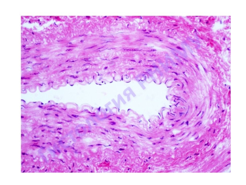
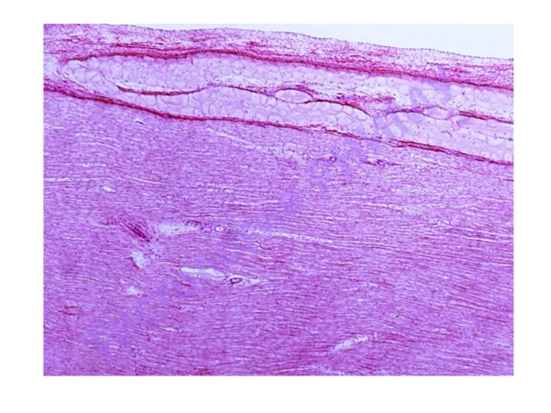
Слайд 12Наружная
эластическая мембрана

Наружная эластическая мембрана

Слайд 52РАЗВИТИЕ
17-ЫЙ день
18-ЫЙ день
22 –ОЙ день
Эндокард развивается как сосуд
Миокард – из

миоэпикардиальной пластинки висцерального листка спланхнотома

РАЗВИТИЕ17-ЫЙ день18-ЫЙ день22 –ОЙ деньЭндокард развивается как сосудМиокард – из миоэпикардиальной пластинки висцерального листка спланхнотома

Обратная связь

Если не удалось найти и скачать доклад-презентацию, Вы можете заказать его на нашем сайте. Мы постараемся найти нужный Вам материал и отправим по электронной почте. Не стесняйтесь обращаться к нам, если у вас возникли вопросы или пожелания:

Email: Нажмите что бы посмотреть 

Что такое TheSlide.ru?

Это сайт презентации, докладов, проектов в PowerPoint. Здесь удобно  хранить и делиться своими презентациями с другими пользователями.


Для правообладателей

Яндекс.Метрика