Разделы презентаций


Северо-Осетинская гос. мед. академия кафедра дерматовенерологии доц. Бетрозов

Содержание

Характеристика вторичного периода сифилиса:Развивается через 10–12 нед (2,5–3 мес) после зараженияПродромальные явления не выражены Активный период сменяется латентнымКоличество рецидивов несколько (3- 4 редко)В основном поражается кожа и слизистые оболочки,

Слайды и текст этой презентации

Слайд 1Северо-Осетинская гос. мед. академия кафедра дерматовенерологии доц. Бетрозов В.Т.
ВТОРИЧНЫЙ ПРИОБРЕТЕННЫЙ СИФИЛИС







2011

Северо-Осетинская гос. мед. академия кафедра дерматовенерологии  доц. Бетрозов В.Т.ВТОРИЧНЫЙ ПРИОБРЕТЕННЫЙ СИФИЛИС2011

Слайд 2Характеристика вторичного периода сифилиса:
Развивается через 10–12 нед (2,5–3 мес) после

заражения
Продромальные явления не выражены
Активный период сменяется латентным
Количество рецидивов несколько

(3- 4 редко)
В основном поражается кожа и слизистые оболочки,
в меньшей степени – внутренние органы, НС
Клиническая картина чрезвычайно многообразна
Характерен полиаденит
Полиморфизм высыпаний
Поражаются, как правило, верхние слои кожи
Сифилиды вторичного периода – не островоспалительного характера, остро заразны, доброкачественные по течению
и исходу, склонны к самопроизвольному разрешению





Характеристика вторичного периода сифилиса:Развивается через 10–12 нед (2,5–3 мес) после зараженияПродромальные явления не выражены Активный период сменяется

Слайд 3Высыпания развиваются безлихорадочно, медленно,
Высыпания быстро уступают специфическому лечению
Многообразие и выраженность

вторичных сифилидов зависит от реактивности организма, условия труда и быта,

воздействия лекарственных веществ, давности инфекции, возраста, сопутствующих заболеваний
Серореакции на сифилис: КСР и РИФ в 100% положительные, РИТ при вторичном свежем резко +.
У 50%, при вторичном рецидивном – у 80-100%






Высыпания развиваются безлихорадочно, медленно,Высыпания быстро уступают специфическому лечениюМногообразие и выраженность вторичных сифилидов 	зависит от реактивности организма, условия

Слайд 4Вторичный период подразделяется на стадии:
вторичный свежий,
« – «

– « – рецидивный и
« – « – «

– латентный

Для вторичного периода характерны сыпи:
- Пятнистый (розеола)
- Папулезный
- Пустулезный
- Везикулёзный сифилиды
- Алопеция сифилитическая
- Пигментный сифилид (лейкодерма)

Вторичный период подразделяется на стадии: вторичный свежий, « – « – « – рецидивный и « –

Слайд 5Признаки вторичного свежего сифилиса:
Признаки появляются через 6-8 недель
после появления

твёрдого шанкра
Могут быть продромальные явления
Сыпи обильные, полиморфные, небольшие размеры
(1-2

см), распологаются симметрично на туловище
Чаще всего появляется розеолезная сыпь
Окраска элементов с преобладанием розовых оттенков
Присутствуют остатки твёрдого шанкра
Нет наклонности к группировке и слиянию
Серологические реакции резко положительны
с высоким титром.
Выражен полисклераденит, который наблюдается
у 88-90% больных.
Серологические реакции, как правило, положительны
в 98-100% и с высоким титром.
Резко положительна реакция Герксгеймера
Признаки вторичного свежего сифилиса:Признаки появляются через 6-8 недель 	после появления твёрдого шанкраМогут быть продромальные явленияСыпи обильные, полиморфные,

Слайд 6Признаки вторичного рецидивного:
Сыпь скудная, более крупная, менее обильная,
часто не

симметричные
Более бледные по окраске
Имеется наклонность к слиянию, группировке
(образование фигур, гирлянд,

дуг).
Отсутствуют субъективные ощущения
Более характерна папулезная сыпь
Твердый шанкр отсутствует
Локализация чаще в складках и на слизистых, в местах, подвергщихся раздражению
Классические серологические реакции
выпадают с меньшим титром, могут «отр»
Реакция Герксгеймера не выражена или «отр».


Признаки вторичного рецидивного:Сыпь скудная, более крупная, менее обильная, 		часто не симметричныеБолее бледные по окраскеИмеется наклонность к слиянию,

Слайд 7Признаки розеолёзной сыпи:
Характерная локализация, размеры до 1 см
Не растут по

периферии, не сливаются
Субъективные ощущения отсутствуют
Не чётких очертаний и не шелушатся
Не

возвышаются над уровнем кожи
При вторичном свежем сифилисе – сыпь обильная,
при рецидивах – скудная
Не возникает на лице, кистях и стопах
Цвет бледно-розовый, розовато-красный,
иногда с буроватым оттенком.
При надавливании исчезают
Лежит на одном уровне с окружающей кожей
Признаки розеолёзной сыпи:Характерная локализация, размеры до 1 смНе растут по периферии, не сливаютсяСубъективные ощущения отсутствуютНе чётких очертаний

Слайд 8 При надавливании розеола исчезает.
Долго существующая розеола при надавливании
только

бледнеет, оставляя желтоватое пятно
Цвет розеол неодинаков .
Длительно существующая

розеола
приобретает желтовато-бурый цвет.
Свежая розеола симметрична,
рецидивная – асимметрична.
Атипичные розеолы:
- Свежая (r. recens)
Рецидивная (r. recidiva)
Сливная (r. confluens)
- Крапивная (r. elevata)
- Зернистая (r. granulata)
- Шелушащаяся
При надавливании розеола исчезает.			Долго существующая розеола при надавливании 			только бледнеет, оставляя желтоватое пятно Цвет розеол неодинаков

Слайд 9Розеола сифилитическая
Розеола сифилитическая

Розеола сифилитическаяРозеола сифилитическая

Слайд 10Розеола сифилитическая

Розеола сифилитическая

Слайд 13Вторичный сифилис:
девочка 3 лет 6 мес,
розеола сифилитическая

Вторичный сифилис:девочка 3 лет 6 мес, розеола сифилитическая

Слайд 14Дифференцировать сиф. розеолу следует с:

Инфекционной розеолой (корь, краснуха)
Токсической розеолой
Разноцветным лишаем
Розовым

лишаем Жибера
Пятнами от укусов лобковых вшей
«Мраморной» кожей

Дифференцировать сиф. розеолу следует с:Инфекционной розеолой (корь, краснуха)Токсической розеолойРазноцветным лишаемРозовым лишаем ЖибераПятнами от укусов лобковых вшей«Мраморной» кожей

Слайд 15Розеолезный сифилид
Розовый лишай Жибера

Розеолезный сифилидРозовый лишай Жибера

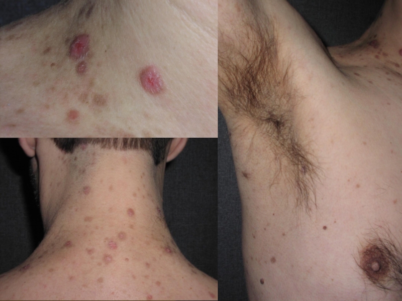
Слайд 16Папулезный сифилид
Сифилитическая папула – плотное, компактное, бесполостное образование, склонное к

самопроизвольному бесследному разрешению и какого-либо стойкого следа.
Особенности сифилитических папул:
Типичное проявление

вторичного сифилиса
Склонность к многократному рецидивированию
Клиническая картина многообразна в связи с неодина- ковыми размерами, разнообразной группировкой,
возможностью эрозирования
Круглая правильная форма
Синюшно-красного цвета
Слабое шелушение в центре при развитии папул и при разрешении – по периферии в виде «воротничка Биетта»

Папулезный сифилидСифилитическая папула – плотное, компактное, бесполостное образование, склонное к самопроизвольному бесследному разрешению и какого-либо стойкого следа.Особенности

Слайд 17После разрешения длительно остается аспидно-
коричневая пигментация
На слизистых оболочках,

в складках могут мацерироваться
Папулы появляются толчкообразно,
достигая полного развития

через 1-2 нед
Существуют папулы 2-3 месяца
На поверхности эрозированной папулы –
множество возбудителей
Периферический рост не характерен, не сливаются
Не сопровождаются субъективными ощущениями,
но при надавливании пуговчатым зондом на центр узелка больной испытывает болезненность
(симптом Ядассона).
Без воспалительных явлений по периферии


После разрешения длительно остается аспидно-  	коричневая пигментацияНа слизистых оболочках, в складках могут мацерироваться Папулы появляются толчкообразно,

Слайд 18Разновидности папулезного сифилида:
Лентикулярный сифилид (наиболее часто)
Милиарный сифилид (редко)
Нуммулярный
Широкие кондиломы
Эрозивные папулы
Гипертрофические
Ладонно-подошвенный
Себорейный

и
Псориазиформный папулёзный сифилид

Разновидности папулезного сифилида:Лентикулярный сифилид (наиболее часто)Милиарный сифилид (редко)НуммулярныйШирокие кондиломыЭрозивные папулыГипертрофическиеЛадонно-подошвенныйСеборейный иПсориазиформный папулёзный сифилид

Слайд 24«Воротничок Биетта»

«Воротничок Биетта»

Слайд 31Lues II; 14 лет, работает продавцом

Lues II; 14 лет, работает продавцом

Слайд 32Широкие кондиломы –
(вегетирующие) возникают
при длительном умеренном раздражении папул

(трении,
мацерации)

Широкие кондиломы – (вегетирующие) возникают при длительном умеренном раздражении папул (трении,мацерации)

Слайд 3719 лет

19 лет

Слайд 45Вегетирующие папулы (широкие кондиломы)

Вегетирующие папулы (широкие кондиломы)

Слайд 47Нуммулярный папул. сифилид

Нуммулярный папул. сифилид

Слайд 48Дифференцировать папулёзный сифилид следует с:

Красным плоским лишаем
Псориазом
Папуло-некротическим туберкулёзом кожи
Остроконечными кондиломами
Парапсориазом
Вегетирующей

пузырчаткой (тяжёлое состояние, пузыри,
с-м Никольского, клетки Тцанка)













Дифференцировать папулёзный сифилид следует с:Красным плоским лишаемПсориазомПапуло-некротическим туберкулёзом кожиОстроконечными кондиломамиПарапсориазомВегетирующей пузырчаткой (тяжёлое состояние, пузыри, 			с-м Никольского, клетки

Слайд 49Везикулезный сифилид –

Встречается редко
Представлен группой серозных пузырьков
на бляшках размером

2 х2 см
Распологается преимущественно на туловище и конечностях
Быстро (за несколько

часов) ссыхаются в корочки
Исходом является пигментация с мелкими рубчиками
Везикулезный сифилид –Встречается редкоПредставлен группой серозных пузырьков 	на бляшках размером 2 х2 смРаспологается преимущественно на туловище и

Слайд 50ПУСТУЛЁЗНЫЕ СИФИЛИДЫ
Общая характеристика
Пустулезные сифилиды (ПС) – наиболее редкое проявление

вторичного сифилиса, признак тяжёлого злокачест - венного течение сифилиса, наблюдающийся

обычно
у ослабленных больных.
ПС имеют тенденцию к гнойному расплавлению специфи- ческого инфильтрата, изъязвлению, разрушению тканей и последующему образованию рубцов
ПС сопровождаются нарушением общего состояния, лихорадкой, падением веса, потерей работоспособности головными, костными, мышечными болями и т.д.
ПУСТУЛЁЗНЫЕ СИФИЛИДЫОбщая характеристика Пустулезные сифилиды (ПС) – наиболее редкое проявление 	вторичного сифилиса, признак тяжёлого злокачест -	 	венного

Слайд 51 Варианты пустулезного сифилида:
Импетигинозный
Угревидный
Оспенновидный
Сифилитическая эктима
Сифилитическая рупия
Глубокие гнойнички (эктима и рупия)

встречаются редко и, как правило, в рецидивной стадии болезни
От пиококковых

элементов пустулёзный сифилид отличается:
Неострой воспалительной реакцией
Плотным, безболезненным, резко отграниченным от
окружающей кожи инфильтратом в основании пустул
3. Одновременным наличием других сифилидов (розеол, папул)
4. Наличием полиаденита
5. Положительными серореакциями
Варианты пустулезного сифилида:ИмпетигинозныйУгревидныйОспенновидныйСифилитическая эктимаСифилитическая рупия		Глубокие гнойнички (эктима и рупия) встречаются 			редко и, 	как правило, в рецидивной

Слайд 52Импетигинозный сифилид

Импетигинозный сифилид

Слайд 53Вторичный сифилис:
остатки множественных шанкров на слизистой полос-ти рта и красной

кайме губ,
импетигинозный и папулёзный сифилиды

Вторичный сифилис:остатки множественных шанкров на слизистой полос-ти рта и красной кайме губ,импетигинозный и папулёзный сифилиды

Слайд 54Тот же больной,
вторичный свежий сифилис:
остатки множественных шанкров
на

слизистой полости рта и красной кайме губ,
импетигинозные сифилиды на туловище.

Тот же больной, вторичный свежий сифилис: остатки множественных шанкров на слизистой полости рта и красной кайме губ,импетигинозные

Слайд 55Угревидный сифилид

Угревидный сифилид

Слайд 56Оспенновидный сифилид

Оспенновидный сифилид

Слайд 57Оспенновидный сифилид
Корки у больного с пустулезными сифилидами
и сопутствующей чесоткой

Оспенновидный сифилидКорки у больного с пустулезными сифилидами и сопутствующей чесоткой

Слайд 58Сифилитические эктимы

Сифилитические эктимы

Слайд 61Рупиоидный сифилид

Рупиоидный сифилид

Слайд 62Пустулёзные сифилиды

Пустулёзные сифилиды

Слайд 63Остаточные явления пустулезных сифилидов

Остаточные явления пустулезных сифилидов

Слайд 64Рубцы после разрешения сифилитических эктим

Рубцы после разрешения сифилитических эктим

Слайд 65Сифилитическая алопеция
(чаще встречается у мужчин при рецидивном сифилисе,
облысение более выражено

в области висков):

Мелкоочаговая
Диффузная
Смешанная
+ Признак Пинкуса - ступенчатообразные ресницы («трамвайный или

омнибусный» симптом): одновременно наблюдаются нормальные, отрастающие и места отсутствующих ресниц
Сифилитическая алопеция(чаще встречается у мужчин при рецидивном сифилисе,облысение более выражено в области висков):МелкоочаговаяДиффузнаяСмешанная+ Признак Пинкуса - ступенчатообразные

Слайд 74признак Пинкуса

признак Пинкуса

Слайд 75признак Пинкуса

признак Пинкуса

Слайд 77Диф. диагноз сиф. алопеции проводят с:
себореей
гнёздной плешивостью
поверхностной трихофитией
красной волчанкой
псевдопелладой Брока

Диф. диагноз сиф. алопеции проводят с:себореейгнёздной плешивостьюповерхностной трихофитиейкрасной волчанкойпсевдопелладой Брока

Слайд 78Сифилитическая лейкодерма
пигментный сифилид, «ожерелье Венеры», проявление чаще вторичного рецидивного сифилиса

и преимущественно у женщин в области шеи, реже на туловище

и верхних конечностей.
Сначала возникает гиперпигментация, на этом фоне появляются мелкие очажки депигментации.
Специфическое лечение оказывает слабое влияние на лейкодерму.
Выделяют разновидности;
Очаговая
Кружевная
Мраморная
Сифилитическая лейкодермапигментный сифилид, «ожерелье Венеры», проявление чаще вторичного рецидивного сифилиса и преимущественно у женщин в области шеи,

Слайд 79При постановке диагноза следует помнить о псевдолейкодерме (ложной лейкодерме) у

больных отрубевидным лишаем, подвергшихся инсоляции

При постановке диагноза следует помнить о псевдолейкодерме (ложной лейкодерме) у больных отрубевидным лишаем, подвергшихся инсоляции

Слайд 80Lues II, 14 лет, работает продавцом

Lues II, 14 лет, работает продавцом

Слайд 81Диагностика вторичного периода сифилиса:
Типичная сыпь на коже
Полиаденит (при рецидивах возможно

его отсутствие
или он мелкий и равномерный)
3. Обратимые функциональные висцеропатии,

поражение НС, костей, органа зрения
4. Положительные серологические реакции
5. Конфронтация
Диагностика вторичного периода сифилиса:Типичная сыпь на кожеПолиаденит (при рецидивах возможно его отсутствие или он мелкий и равномерный)3.

Слайд 82Сифилис слизистых

Сифилис слизистых

Слайд 83Особенности папулезных сифилидов слизистых оболочек полости рта:
Папулы плотные, округлые, чётко

отграниченные
Отсутствует периферический воспалительный ободок
Цвет ярко-красный
Часто не вызывают никаких ошущений

Особенности папулезных сифилидов слизистых оболочек полости рта:Папулы плотные, округлые, чётко отграниченныеОтсутствует периферический воспалительный ободокЦвет ярко-красныйЧасто не вызывают

Слайд 84«Лоснящиеся папулы» и «скошенный луг» на языке
Нет острых воспалительных явлений
Папулы

имеют правильные округлые очертания

«Лоснящиеся папулы» и «скошенный луг» на языкеНет острых воспалительных явленийПапулы имеют правильные округлые очертания

Слайд 9114 лет , специфическая папулезная ангина

14 лет , специфическая папулезная ангина

Слайд 92Папулы на губах, 19 лет

Папулы на губах, 19 лет

Слайд 96Сифилитические поражения гортани, голосовых связок, слизистой оболочки носа распознаются на

основании клини-ческой картины, лабораторных данных и характеризуются следующими признаками:
Безболезненность
Длительное течение
Отсутствие

острых воспалительных явлений
Устойчивость к традиционной терапии
Другие симптомы сифилиса
Положительные серореакции
Сифилитические поражения гортани, голосовых связок, слизистой оболочки носа распознаются на основании клини-ческой картины, лабораторных данных и характеризуются

Слайд 98Специф. признаки вторичного сифилиса:
«Воротничок Биетта»
«Корона Венеры»
«Ожерелье Венеры»
Признак Пинкуса
Признак «скошенного луга»
Реакция

Герксгеймера
Признак Ядассона

Специф. признаки вторичного сифилиса:«Воротничок Биетта»«Корона Венеры»«Ожерелье Венеры»Признак ПинкусаПризнак «скошенного луга»Реакция ГерксгеймераПризнак Ядассона

Слайд 100Соврем. особенности вторичного сифилиса:
Увеличение числа больных с ладонно-подошвенными сифилидами и

пустулезной сыпью
Розеола может проявляться шелушением и слиянием
Нередко встречается зуд
Наблюдаются ранние

рецидивы
Участились злокачественные формы при вторичном рецидивном сифилисе

Соврем. особенности вторичного сифилиса:Увеличение числа больных с ладонно-подошвенными сифилидами и пустулезной сыпьюРозеола может проявляться шелушением и слияниемНередко

Слайд 101Больная, 18 лет, потатор

Больная, 18 лет, потатор

Слайд 102Больной, 35 лет, потатор

Больной, 35 лет, потатор

Слайд 113Благодарим
за внимание!

Благодаримза внимание!

Обратная связь

Если не удалось найти и скачать доклад-презентацию, Вы можете заказать его на нашем сайте. Мы постараемся найти нужный Вам материал и отправим по электронной почте. Не стесняйтесь обращаться к нам, если у вас возникли вопросы или пожелания:

Email: Нажмите что бы посмотреть 

Что такое TheSlide.ru?

Это сайт презентации, докладов, проектов в PowerPoint. Здесь удобно  хранить и делиться своими презентациями с другими пользователями.


Для правообладателей

Яндекс.Метрика