Разделы презентаций


1. Печень при хроническом венозном полнокровии. Синусоиды в центрах долек

Содержание

2. Тромб в вене скелетной мышцы.Наличие в пристеночной зоне ядер фибробластов свидетельствует оначальных явлениях организации.

Слайды и текст этой презентации

Слайд 11. Печень при хроническом венозном полнокровии.
Синусоиды в центрах долек расширены,

заполнены эритроцитами.
Печеночные балки в центрах долек атрофичны, истончены.

1. Печень при хроническом венозном полнокровии.Синусоиды в центрах долек расширены, заполнены эритроцитами. Печеночные балки в центрах долек

Слайд 22. Тромб в вене скелетной мышцы.
Наличие в пристеночной зоне ядер

фибробластов свидетельствует о
начальных явлениях организации.

2. Тромб в вене скелетной мышцы.Наличие в пристеночной зоне ядер фибробластов свидетельствует оначальных явлениях организации.

Слайд 33. Головной мозг с очаговыми кровоизлияниями.

3. Головной мозг с очаговыми кровоизлияниями.

Слайд 44. Казеозная пневмония.
В альвеолах рядом с очагом казеозного некроза фибрин

и
нейтрофильные лейкоциты.

4. Казеозная пневмония.В альвеолах рядом с очагом казеозного некроза фибрин и нейтрофильные лейкоциты.

Слайд 55. Инфаркт почки (слева). Видны только контуры структур в виде
клеток-теней.

Справа для сравнения – сохранившаяся ткань.

5. Инфаркт почки (слева). Видны только контуры структур в видеклеток-теней. Справа для сравнения – сохранившаяся ткань.

Слайд 66. Амилоидоз почки.
Амилоид в клубочке. Слева – окраска конго-рот,
справа –

генцианвиолет.

6. Амилоидоз почки.Амилоид в клубочке. Слева – окраска конго-рот,справа – генцианвиолет.

Слайд 76. Амилоидоз почки.
Амилоид в стенках сосудов. Окраска генцианвиолетом.

6. Амилоидоз почки.Амилоид в стенках сосудов. Окраска генцианвиолетом.

Слайд 81
2
7. Печень при малярии.
В звездчатых ретикулоэндотелиоцитах (1) (клетках Купфера) черный

пигмент
- гемомеланин и гемосидерин (не виден), в гепатоцитах – гемосидерин

(2).
127. Печень при малярии.В звездчатых ретикулоэндотелиоцитах (1) (клетках Купфера) черный пигмент- гемомеланин и гемосидерин (не виден), в

Слайд 98. Печень при обтурационной желтухе.
Видна желчь в желчных проточках (имеющих

свою эпителиальную
выстилку.

8. Печень при обтурационной желтухе.Видна желчь в желчных проточках (имеющих свою эпителиальную выстилку.

Слайд 108. Печень при обтурационной желтухе.
Видна желчь в желчных капиллярах.

8. Печень при обтурационной желтухе.Видна желчь в желчных капиллярах.

Слайд 119. Крупозный бронхит.
1 – фибрин с нейтрофильными лейкоцитами, 2 –

собственная пластинка
слизистой без эпителия, инфильтрированная лейкоцитами, 3 – хрящ.
1
2
1

9. Крупозный бронхит.1 – фибрин с нейтрофильными лейкоцитами, 2 – собственная пластинкаслизистой без эпителия, инфильтрированная лейкоцитами, 3

Слайд 1210. Дифтеритический колит.
1 – фибрин с нейтрофильными лейкоцитами, 2 –

собственная пластинка
слизистой без эпителия, инфильтрированная нейтрофильными лейкоцитами.
1
2

10. Дифтеритический колит.1 – фибрин с нейтрофильными лейкоцитами, 2 – собственная пластинкаслизистой без эпителия, инфильтрированная нейтрофильными лейкоцитами.12

Слайд 131
2
3
4
11. Милиарные туберкулезные бугорки в легком.
1 – эпителиоидные клетки, 2

– лимфоциты, 3 – гигантская многоядерная
клетка Пирогова-Лангганса, 4 – очаг

казеозного некроза в центре бугорка.
123411. Милиарные туберкулезные бугорки в легком.1 – эпителиоидные клетки, 2 – лимфоциты, 3 – гигантская многоядернаяклетка Пирогова-Лангганса,

Слайд 1411. Милиарные туберкулезные бугорки в легком.
Рубцующийся бугорок.

11. Милиарные туберкулезные бугорки в легком.Рубцующийся бугорок.

Слайд 1512. Почка с метастатическими гнойными очагами при сепсисе.
1 – микроабсцесс,

2 – колония стафилококков в просвете мелкой артерии.

12. Почка с метастатическими гнойными очагами при сепсисе.1 – микроабсцесс, 2 – колония стафилококков в просвете мелкой

Слайд 1613.Инфаркт миокарда.
Кардиомиоциты без ядер, между ними – нейтрофильные лейкоциты
(демаркационное

воспаление).

13.Инфаркт миокарда.Кардиомиоциты без ядер, между ними – нейтрофильные лейкоциты (демаркационное воспаление).

Слайд 1714. Почка при гипертонической болезни.
1 - гиалинизированный клубочек, 2

– мелкая артерия с гиалинозом.
1
2

14. Почка при гипертонической болезни. 1 - гиалинизированный клубочек, 2 – мелкая артерия с гиалинозом.12

Слайд 18 15. Рабдомиосаркома.

15. Рабдомиосаркома.

Слайд 1916. Аденокарцинома желудка.
Атипичные эпителиальные клетки формируют атипичные железы.

16. Аденокарцинома желудка.Атипичные эпителиальные клетки формируют атипичные железы.

Слайд 2017. Печень при хроническом лимфолейкозе.
Опухолевый инфильтрат имеет четкие очертания.

17. Печень при хроническом лимфолейкозе.Опухолевый инфильтрат имеет четкие очертания.

Слайд 2118. Групповой фолликул при брюшном тифе.

18. Групповой фолликул при брюшном тифе.

Слайд 2218. Групповой фолликул при брюшном тифе.
Вместо лимфоцитов в фолликуле макрофаги

- «светлые брюшнотифозные
клетки».

18. Групповой фолликул при брюшном тифе.Вместо лимфоцитов в фолликуле макрофаги - «светлые брюшнотифозные клетки».

Слайд 2319. Массивный некроз печени при вирусном гепатите В

(молниеносной форме).

19. Массивный некроз печени при вирусном гепатите В   (молниеносной форме).

Слайд 2420. Печень при циррозе. Окраска по Ван-
Гизону на коллаген.
Разрастания соединительной

ткани формируют ложные дольки, не имеющие в
середине центральной вены (стрелки)

20. Печень при циррозе. Окраска по Ван-Гизону на коллаген.Разрастания соединительной ткани формируют ложные дольки, не имеющие всередине

Слайд 2521. Пневмония при гриппе.
Экссудат имеет геморрагический характер.

21. Пневмония при гриппе.Экссудат имеет геморрагический характер.

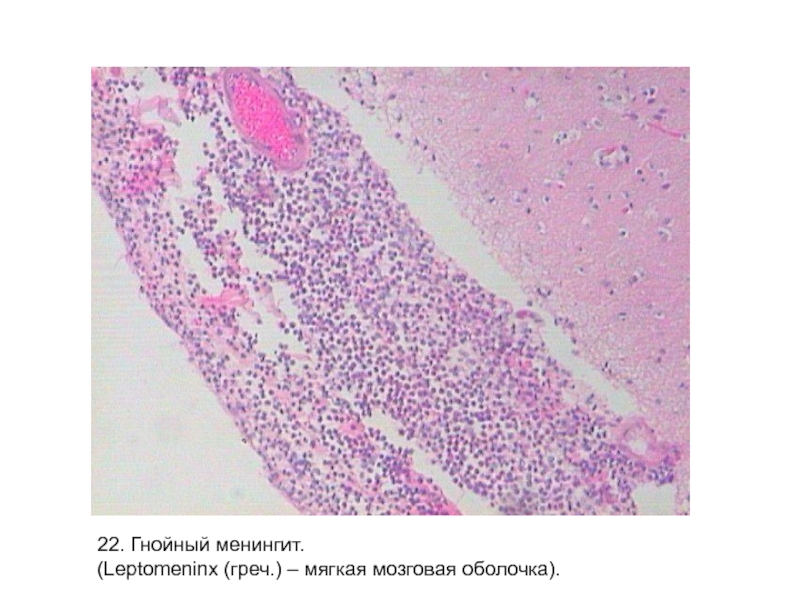
Слайд 2622. Гнойный менингит.
(Leptomeninx (греч.) – мягкая мозговая оболочка).

22. Гнойный менингит.(Leptomeninx (греч.) – мягкая мозговая оболочка).

Слайд 2723.Стафилококковые гнойники в легких при сепсисе.
Гнойник – не на фоне

пневмонии. Колонии стафилококков имеют вид
«чернильных пятен».

23.Стафилококковые гнойники в легких при сепсисе.Гнойник – не на фоне пневмонии. Колонии стафилококков имеют вид«чернильных пятен».

Слайд 2824. Крупозная пневмония, стадия серого опеченения.
Экссудат в альвеолах состоит из

фибрина и нейтрофильных лейкоцитов.

24. Крупозная пневмония, стадия серого опеченения.Экссудат в альвеолах состоит из фибрина и нейтрофильных лейкоцитов.

Слайд 2925. Флегмонозно-язвенный аппендицит.
Мышечная оболочка (1) и другие густо инфильтрированы нейтрофильными
лейкоцитами,

слизистая оболочка субтотально разрушена.
1

25. Флегмонозно-язвенный аппендицит.Мышечная оболочка (1) и другие густо инфильтрированы нейтрофильнымилейкоцитами, слизистая оболочка субтотально разрушена.1

Слайд 3026. Хроническая язва желудка.
Дно язвы представлено рубцовой тканью (1) и

грануляционной (2)
с лейкоцитарно-некротическим слоем (3).
2
1
3
3
2

26. Хроническая язва желудка.Дно язвы представлено рубцовой тканью (1) и грануляционной (2) с лейкоцитарно-некротическим слоем (3).21332

Слайд 3127. Возвратный бородавчатый эндокардит створки клапана сердца.
1 – створка, 2

– тромботические массы.
2
1

27. Возвратный бородавчатый эндокардит створки клапана сердца.1 – створка, 2 – тромботические массы. 21

Слайд 3227. Возвратный бородавчатый эндокардит створки клапана сердца.
Очаги фибриноидного набухания в

створке (стрелки).

27. Возвратный бородавчатый эндокардит створки клапана сердца.Очаги фибриноидного набухания в створке (стрелки).

Слайд 3328. Почка при быстропрогрессирующем гломерулонефрите.
Полулуния из макрофагов (стрелка).

28. Почка при быстропрогрессирующем гломерулонефрите.Полулуния из макрофагов (стрелка).

Слайд 3429. Легкое при огнестрельном пулевом ранении.
Раневой канал (1) и массивное

кровоизлияние (2) за счет бокового удара пули.

1
2

29. Легкое при огнестрельном пулевом ранении.Раневой канал (1) и массивное кровоизлияние (2) за счет бокового удара пули.12

Слайд 3530. Костный мозг позвонка при острой лучевой болезни.

30. Костный мозг позвонка при острой лучевой болезни.

Обратная связь

Если не удалось найти и скачать доклад-презентацию, Вы можете заказать его на нашем сайте. Мы постараемся найти нужный Вам материал и отправим по электронной почте. Не стесняйтесь обращаться к нам, если у вас возникли вопросы или пожелания:

Email: Нажмите что бы посмотреть 

Что такое TheSlide.ru?

Это сайт презентации, докладов, проектов в PowerPoint. Здесь удобно  хранить и делиться своими презентациями с другими пользователями.


Для правообладателей

Яндекс.Метрика