Разделы презентаций


Аутоиммунные. Чемакин

Содержание

Деменция — это синдром, обычно хронический или прогрессирующий, при котором происходит деградация когнитивной функции (то есть способности мыслить) в большей степени, чем это ожидается при нормальном старении. Происходит деградация памяти, мышления,

Слайды и текст этой презентации

Слайд 1


Слайд 2Деменция — это синдром, обычно хронический или прогрессирующий, при котором

происходит деградация когнитивной функции (то есть способности мыслить) в большей

степени, чем это ожидается при нормальном старении. Происходит деградация памяти, мышления, понимания, речи и способности ориентироваться, считать, познавать и рассуждать.
Деменция не оказывает воздействия на сознание. Нарушение когнитивной функции часто сопровождается, а иногда предваряется ухудшением контроля над эмоциональным состоянием, а также деградацией социального поведения или мотивации.
Деменция — это синдром, обычно хронический или прогрессирующий, при котором происходит деградация когнитивной функции (то есть способности

Слайд 3расстройства памяти как вербальной, так и невербальной, которые проявляются в

нарушении способности к запоминанию нового материала, а в более тяжелых

случаях также в затруднении воспроизведения ранее усвоенной информации. Нарушения должны быть оценены с помощью нейропсихологических тестов;
нарушения других когнитивных функций – способности к выработке суждений, мышлению (планированию, организации действий) и переработке информации. Эти нарушения должны быть подтверждены с помощью соответствующих нейропсихологических тестов. Необходимым условием для установления диагноза является снижение когнитивных функций по сравнению с их исходным более высоким уровнем;
расстройства памяти как вербальной, так и невербальной, которые проявляются в нарушении способности к запоминанию нового материала, а

Слайд 4нарушение когнитивных функций на фоне сохранного сознания;
наличие по меньшей

мере одного из следующих признаков: эмоциональной лабильности, раздражительности, апатии, асоциального

поведения. Для установления достоверного диагноза перечисленные признаки должны наблюдаться в течение как минимум 6 мес; при меньшем сроке наблюдения диагноз может быть предположительным

нарушение когнитивных функций на фоне сохранного сознания; наличие по меньшей мере одного из следующих признаков: эмоциональной лабильности,

Слайд 5Болезнь Альцгеймера или болезнь по типу болезни Альцгеймера
Корковые и подкорковые
Необратимые

и потенциально обратимые
Часто встречающиеся и редкие формы

Болезнь Альцгеймера или болезнь по типу болезни АльцгеймераКорковые и подкорковыеНеобратимые и потенциально обратимыеЧасто встречающиеся и редкие формы

Слайд 6По эпидемиологическим данным, не менее 5% деменций потенциально обратимы.
В литературе

было выявлены следующие причины:
Структурные изменения мозга: - опухоли мозга; - нормотензивная гидроцефалия; -

хроническая субдуральная гематома. Дисметаболические энцефалопатии: - гипотиреоз; - тиреотоксикоз; - гиперкортицизм; - сахарный диабет; - инсулинома; - дефицит витамина В12; - гиперкальциемия; - хронические обструктивные заболевания легких. Инфекционные заболевания: - нейросифилис; - нейроборрелиоз; - болезнь Уиппла; - хронические менингиты. Системные заболевания: - васкулиты; - диффузные заболевания соединительной ткани; - саркоидоз. Интоксикации: - отравление тяжелыми металлами или другими веществами.
Аутоиммунные заболевания
По эпидемиологическим данным, не менее 5% деменций потенциально обратимы.В литературе было выявлены следующие причины:Структурные изменения мозга: -

Слайд 9анти-NMDA-рецепторный энцефалит представляет собой особую форму паранеопластического энцефалита.
Его развитие

ассоциируется с выработкой антител к NR1- и NR2-субъединицам NMDA-рецепторов.
Манифестируя

яркими психопатологическими нарушениями. Дальнейшее усугубление тяжести болезни происходит с развитием судорог, нарушений сознания, кататоноподобной симптоматики, дискинезий.
При гиповентиляции и гемодинамических нарушениях, развивающихся практически у всех пациентов, необходима интенсивная терапия. Несмотря на тяжесть заболевания, около 75% лиц выздоравливают полностью или с незначительным остаточным дефицитом.
анти-NMDA-рецепторный энцефалит представляет собой особую форму паранеопластического энцефалита. Его развитие ассоциируется с выработкой антител к NR1- и

Слайд 10NMDA-рецепторы являются лигандзависимы­ми катионными каналами.
Активация NMDA-рецеп­торов играет ключевую роль

в синаптической пластичности, которые состоят из субъединиц NMDAR1 (NR1) и

NMDAR2 (NR2).
Субъединицы NR1 связывает глицин, а NR2 (A, B, C или D) – глутамат, они комбинируются между собой, формируя различные подтипы рецепторов с отличительными фармакологическими свойствами, локализацией и способностью взаимодействовать с внутриклеточными мессенджерами.
NMDA-рецепторы являются лигандзависимы­ми катионными каналами. Активация NMDA-рецеп­торов играет ключевую роль в синаптической пластичности, которые состоят из субъединиц

Слайд 11Ассоциация анти-NMDA-рецепторного энцефалита с тератомой яичника у женщин.
В выборке

из 200 пациентов онкологические заболевания имелись у 19,5% пациентов (n=43),

при чем из этих пациентов только 1 человек был мужского пола и страдал раком легких.
Остальные же 42 женщины имели тератому яичника, удаленную в период наблюдения.
Ассоциация анти-NMDA-рецепторного энцефалита с тератомой яичника у женщин. В выборке из 200 пациентов онкологические заболевания имелись у

Слайд 12Средний возраст начала болезни составляет 23-25 лет
Заболевание встречается зачастую у

женщин, у мужчин описаны лишь единичные случаи

Средний возраст начала болезни составляет 23-25 летЗаболевание встречается зачастую у женщин, у мужчин описаны лишь единичные случаи

Слайд 13Основные мишени аутоиммунного ответа – NR1/NR2В-гетеромеры NMDA-рецепторов.
Они преимущественно экспрессируются

в переднем мозге взрослых лиц, включая префронтальную кору, гиппокамп, амигдалу

и гипоталамус, то есть именно те структуры, которые, наиболее часто вовлекаются в процесс при анти-NMDA-рецепторном энцефалите.
С их поражением, очевидно, связано развитие шизофреноподобных симптомов при данном страдании.
Основные мишени аутоиммунного ответа – NR1/NR2В-гетеромеры NMDA-рецепторов. Они преимущественно экспрессируются в переднем мозге взрослых лиц, включая префронтальную

Слайд 15Пациенты в продромальной фазе заболевания страдают от неспецифических ОРВИ-подобных симптомов

(лихорадки, утомляемости, головной боли). Данная фаза развития болезни длится в

среднем около пяти дней.
Пациенты в продромальной фазе заболевания страдают от неспецифических ОРВИ-подобных симптомов (лихорадки, утомляемости, головной боли). Данная фаза развития

Слайд 16Появление психопатологических симптомов.
Облигатные эмоциональные нарушения (апатия, недостаточность эмоций, депрессия,

замыкание в себе, страх), когнитивное снижение (расстройства кратковременной памяти, затруднения

в пользовании телефоном, другими электронными средствами),
выраженные шизофреноподобные симптомы, включающие дезорганизацию мышления, компульсивные идеации, бред, зрительные и слуховые галлюцинации, снижение критики своего состояния.
Появление психопатологических симптомов. Облигатные эмоциональные нарушения (апатия, недостаточность эмоций, депрессия, замыкание в себе, страх), когнитивное снижение (расстройства

Слайд 17Амнестические расстройства в начальной стадии развития болезни не выражены и

встречаются менее чем у четверти больных. Поведенческие расстройс­тва зачастую являются

поводом для родственников обращаться за психиатрической помощью, что обусловливает установление «психиатрического» диагноза на начальных этапах наблюдения.

Амнестические расстройства в начальной стадии развития болезни не выражены и встречаются менее чем у четверти больных. Поведенческие

Слайд 18Через две недели после психотических симптомов наступает болезни. У большинства

больных (более 70%) перед этим возникают судорожные припадки. преобладают генерализованные

тонико-клонические припадки, реже – комплексные парциальные и другие типы приступов.
Через две недели после психотических симптомов наступает болезни. У большинства больных (более 70%) перед этим возникают судорожные

Слайд 19Ареактивную фазу характеризуют нарушение сознания, напоминающее кататоноподобное состояние, мутизм, акинезия,

отсутствие ответа на вербальные команды при открытых глазах.
У нескольких

пациентов была отмечена насильственная гримаса, напоминающая улыбку. Часто развиваются атетоидные движения и дистонические позы, эхопрактические феномены, каталептические симптомы.

Ареактивную фазу характеризуют нарушение сознания, напоминающее кататоноподобное состояние, мутизм, акинезия, отсутствие ответа на вербальные команды при открытых

Слайд 20Стволовые рефлексы в этой фазе заболевания не страдают, однако у

пациентов нарушается спонтанное движение глаз, в том числе, в ответ

на визуальную угрозу.
Некоторые парадоксальные феномены (отсутствие ответа на болевые стимулы при наличии сопротивления пассивному открыванию глаз) напоминают психогенную реакцию или симуляцию
Стволовые рефлексы в этой фазе заболевания не страдают, однако у пациентов нарушается спонтанное движение глаз, в том

Слайд 21Появляются оролингвальные дискинезии (облизывание губ, жевание), атетоидные дискинетические позы пальцев

рук, указанные гиперкинезы не связаны с приемом нейролептиков.
При утяжелении

появляются вычурные орофациальные и конечностные дискинезии, такие как продолжительные движения нижней челюсти, сильное сжатие зубов, дистония открывания рта, интермиттирующие насильственные отведения или сведения глазных яблок, движения рук, напоминающие танцевальные.
Появляются оролингвальные дискинезии (облизывание губ, жевание), атетоидные дискинетические позы пальцев рук, указанные гиперкинезы не связаны с приемом

Слайд 23На этой стадии заболевания развиваются симптомы вегетативной нестабильности, среди которых

– лабильность артериального давления, брадикардия или тахикардия, гипертермия, потливость. Особую

опасность представляет гиповентиляция
На этой стадии заболевания развиваются симптомы вегетативной нестабильности, среди которых – лабильность артериального давления, брадикардия или тахикардия,

Слайд 24Обратное развитие симптомов в первую очередь касается улучшения гиперкинетических нарушений.

Регресс их обычно происходит в течение двух месяцев заболевания, однако

описаны случаи, когда гиперкинезы персистируют более полугода и резистентны к множеству терапевтических воздействий. Обычно параллельно с экстрапирамидными расстройствами улучшается и нейропсихиатрический статус. Для периода восстановления характерно наличие стойкого амнестического синдрома
Обратное развитие симптомов в первую очередь касается улучшения гиперкинетических нарушений. Регресс их обычно происходит в течение двух

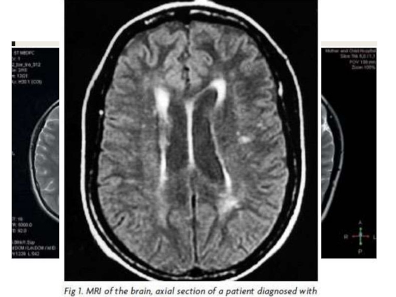
Слайд 25В единичных наблюдениях выявляли очаги повышенной интенсивности сигнала в медиальных

участках височных долей при МРТ в режиме FLAIR. У некоторых

пациентов на стадии реконвалесценции развивалась фронтотемпоральная атрофия.
В единичных наблюдениях выявляли очаги повышенной интенсивности сигнала в медиальных участках височных долей при МРТ в режиме

Слайд 26во время ареактивной и гиперкинетической фаз заболевания зафиксированы диффузная или,

преимущественно, фронтотемпоральная d- и q-активность без пароксизмальных изменений. У одного

из пациентов медленноволновая активность была замещена лекарственно индуцированной быстроволновой активностью после увеличения дозы анестетика
во время ареактивной и гиперкинетической фаз заболевания зафиксированы диффузная или, преимущественно, фронтотемпоральная d- и q-активность без пароксизмальных

Слайд 27обнаружены неспецифические изменения практически у всех (95%) больных, наиболее характерные

из них – незначительный лимфоцитарный плеоцитоз (до 480 клеток в

1 мл), увеличение концентрации белка (49-213 мг/дл) и повышенное содержание иммуноглобулинов G.
обнаружены неспецифические изменения практически у всех (95%) больных, наиболее характерные из них – незначительный лимфоцитарный плеоцитоз (до

Слайд 28Специфическим тестом для установления диагноза заболевания является определение титра антител

к NMDA-рецепторам в ЦСЖ и сыворотке

В большинстве исследований у больных

с анти-NMDA-рецепторным энцефалитом определяли опухоли. В подавляющем числе наблюдений неврологические симптомы развивались раньше установления диагноза неоплазмы
Специфическим тестом для установления диагноза заболевания является определение титра антител к NMDA-рецепторам в ЦСЖ и сывороткеВ большинстве

Слайд 29Воздействие на патогенез заболевания, так и терапия отдельных его синдромов:
Иммунотерапия,

люкокортикоиды (метилпреднизолон) и внутривенные иммуноглобулины, реже применяли плазмаферез, моноклональные антитела

(ритуксимаб), в единичных случаях назначали цитостатики (циклофосфамид, азатиаприн).
Воздействие на патогенез заболевания, так и терапия отдельных его синдромов:Иммунотерапия, люкокортикоиды (метилпреднизолон) и внутривенные иммуноглобулины, реже применяли

Слайд 30К доказанным патогенетическим воздействиям следует отнести раннее удаление опухоли как

источника, запускающего выработку антител, перекрестно поражающих нервную ткань.
При лечении судорожного

синдрома использовали препараты с антиконвульсивной активностью (фенитоин, фенобарбитал, клобазам, клоназепам), для контроля дискинезий – типичные и атипичные нейролептики. В отношении дискинезий ни один из традиционных подходов не был эффективен, их контроль достигали пропофолом и мидазоламом
К доказанным патогенетическим воздействиям следует отнести раннее удаление опухоли как источника, запускающего выработку антител, перекрестно поражающих нервную

Слайд 31Учитывая схожесть некоторых проявлений анти-NMDA-рецепторного и герпетического энцефалита, многие пациенты

до установления окончательного диагноза получали ацикловир

Учитывая схожесть некоторых проявлений анти-NMDA-рецепторного и герпетического энцефалита, многие пациенты до установления окончательного диагноза получали ацикловир

Слайд 32После выписки большинство (85%) пациентов имели либо легкий психоневрологический дефицит

в виде симптомов лобной дисфункции (ослабление внимания, нарушение планирования, импульсивность,

несдержанность), либо, в конечном итоге, достигали полного выздоровления. Около 20% лиц имели выраженные расстройства сна: гиперсомнию и инверсию паттерна сон – бодрствование.
После выписки большинство (85%) пациентов имели либо легкий психоневрологический дефицит в виде симптомов лобной дисфункции (ослабление внимания,

Слайд 33аутоиммунное воспалительное заболевание головного мозга, связанное с выработкой антитиреоидных антител.

Данное заболевание традиционно относят к редко встречающимся, распространенность составляет более

2 случаев на 100 000 населения 
аутоиммунное воспалительное заболевание головного мозга, связанное с выработкой антитиреоидных антител. Данное заболевание традиционно относят к редко встречающимся,

Слайд 34возрастной диапазон заболевших ЭХ колеблется от 8 до 78 лет,


число заболевших женщин в 4 раза превосходит число мужчин.
Длительность

заболевания варьирует от 2 до 25 лет 
возрастной диапазон заболевших ЭХ колеблется от 8 до 78 лет, число заболевших женщин в 4 раза превосходит

Слайд 35Первые описания симптомов болезни появились в конце 40-х годов прошлого

века. Они были ошибочно связаны с метаболическим поражением мозга при

гипотиреозе и обозначались «микседематозным безумием»
Лишь спустя несколько десятилетий было установлено, что энцефалопатия является не неврологическим осложнением гипотиреоза или тиреоидита Хашимото, а своего рода «параллельным» расстройством, имеющим, как и тиреоидит, аутоиммунную природу.
Первые описания симптомов болезни появились в конце 40-х годов прошлого века. Они были ошибочно связаны с метаболическим

Слайд 37При ЭХ имеется широкий спектр психических и неврологических проявлений, включающий

когнитивные нарушения, аффективные и психотические расстройства, экстрапирамидную симптоматику (как акинетико-ригидный

синдром, так и генерализованный хореиформный гиперкинез), мультифокальный миоклонус, опсоклонус, эпилептические припадки, инсультоподобные эпизоды, миелопатию, атаксию.
Симптоматика не зависит от возраста
При ЭХ имеется широкий спектр психических и неврологических проявлений, включающий когнитивные нарушения, аффективные и психотические расстройства, экстрапирамидную

Слайд 38Симптоматика может возникать остро, или подостро и иметь редицивирующе-ремиттирующее течение.

Иногда отмечается более медленное прогрессирование симптомов, представляющее значительные трудности в

аспекте дифференциальной диагностики с нейродегенеративными заболеваниями.
Симптоматика может возникать остро, или подостро и иметь редицивирующе-ремиттирующее течение. Иногда отмечается более медленное прогрессирование симптомов, представляющее

Слайд 39Васкулитный тип дебютирует с инсультоподобных эпизодов (с когнитивными нарушениями или измененным

сознанием или без них). 
Диффузный прогрессирующий тип характеризуется подострым дебютом и прогрессирующим

течением с преобладанием когнитивного снижения вплоть до развития деменции, акинетического мутизма, летаргии, комы.
Тремор, миоклонии, эпилептические припадки и экстрапирамидные нарушения могут присутствовать при обоих типах развития заболевания, но более характерны при втором
Васкулитный тип дебютирует с инсультоподобных эпизодов (с когнитивными нарушениями или измененным сознанием или без них). Диффузный прогрессирующий тип характеризуется подострым

Слайд 40Высокий титр АТ к ТПО (х10-100 раз) и/или ТГ в

сыворотке крови при отсутствии выраженной дисфункции щитовидной железы
Ликвор – нормальный

клеточный состав, умеренное повышения уровня белка в ЦСЖ
ЭЭГ – неспецифические изменения, реже эпилептиформная активность
МРТ-изменений не обнаруживается, либо диффузная атрофия или гиперинтенсивные очаги в субкортикальных отделах полушарий в Т2 режиме
Высокий титр АТ к ТПО (х10-100 раз) и/или ТГ в сыворотке крови при отсутствии выраженной дисфункции щитовидной

Слайд 41 1. Признаки энцефалопатии, включающие облигатные когнитивные нарушения.
2. Не менее

одного из следующих симптомов: галлюцинации; бред; миоклонии; генерализованные тонико-клонические или

парциальные эпилептические приступы; очаговая неврологическая симптоматика.
3. Высокий титр антитиреоидных антител в сыворотке крови.
4. Отсутствие выраженной дисфункции щитовидной железы, способной объяснить развитие энцефалопатии.
5. Отсутствие структурного поражения головного мозга иной природы (по данным нейровизуализации), способного лучше объяснить клиническую картину.
6. Полное или частичное восстановление после патогенетического (иммунотропного) лечения.
 1. Признаки энцефалопатии, включающие облигатные когнитивные нарушения. 2. Не менее одного из следующих симптомов: галлюцинации; бред; миоклонии;

Слайд 43ГКС -пульс терапия с последующим переходом на per os
Диагностический критерий

в 95% случаев клиническое улучшение через 5-7 дней
При неэффективности стероидов

возможно применение цитостсатиков (циклофосфамида,азатиоприна, метотрексата и др.) ритуксимаба, плазмафереза или внутривенного иммуноглобулина
Лечение комплексоное совместно с эндокринологами и ревматологами
ГКС -пульс терапия с последующим переходом на per osДиагностический критерий в 95% случаев клиническое улучшение через 5-7

Слайд 44редкий неврологический синдром, который характеризуется подостро развивающимися нарушениями памяти и

других когнитивных функций, психическими расстройствами и эпилептическими припадками.

редкий неврологический синдром, который характеризуется подостро развивающимися нарушениями памяти и других когнитивных функций, психическими расстройствами и эпилептическими

Слайд 45при котором воспалительный процесс локализуется в лимбических структурах — гиппокампе,

миндалевидном теле, опоясывающей извилине и гипоталамусе

при котором воспалительный процесс локализуется в лимбических структурах — гиппокампе, миндалевидном теле, опоясывающей извилине и гипоталамусе

Слайд 46обычно развивается подостро, в течение нескольких недель, иногда дней, реже

нескольких месяцев
Кардинальными симптомами являются нарушения памяти и других когнитивных функций,

аффективные и поведенческие расстройства, у большинства больных ассоциированные с комплексными парциальными и генерализованными эпилептическими припадками
обычно развивается подостро, в течение нескольких недель, иногда дней, реже нескольких месяцевКардинальными симптомами являются нарушения памяти и

Слайд 47Нарушения памяти, как правило, значительные, касаются преимущественно краткосрочной памяти и

обусловлены прежде всего дисфункцией гиппокампа.
Характерны невропсихиатрические нарушения в виде

тревожных и депрессивных расстройств, апатии, ажитации, обсессивно-компульсивного поведения, возможны галлюцинации, спутанность и помрачение сознания, описаны также психогенные припадки
Нарушения памяти, как правило, значительные, касаются преимущественно краткосрочной памяти и обусловлены прежде всего дисфункцией гиппокампа. Характерны невропсихиатрические

Слайд 48Нередко клиническая картина соответствует синдрому быстро прогрессирующей деменции и может

напоминать болезнь Крейцфельдта—Якоба.
Так, при посмертном исследовании 1106 пациентов Национального центра

диагноз болезни Крейцфельдта—Якоба не подтвердился в 32% случаев, из них у 23% (71 пациент) было выявлено потенциально курабельное заболевание, в том числе ЛЭ
Нередко клиническая картина соответствует синдрому быстро прогрессирующей деменции и может напоминать болезнь Крейцфельдта—Якоба.Так, при посмертном исследовании 1106

Слайд 49Первостепенное значение имеет клиническая картина заболевания.
Важным условием являются негативные

результаты инфектологического, в том числе и вирусологического обследования. Большое значение

имеют данные нейровизуализации и/или других перечисленных выше методов исследования, указывающие на воспалительный аутоиммунный процесс типичной локализации. Во всех случаях предполагаемого ЛЭ необходимо проводить поиск онкологического заболевания.
Первостепенное значение имеет клиническая картина заболевания. Важным условием являются негативные результаты инфектологического, в том числе и вирусологического

Слайд 52Спасибо за внимание

Спасибо за внимание

Обратная связь

Если не удалось найти и скачать доклад-презентацию, Вы можете заказать его на нашем сайте. Мы постараемся найти нужный Вам материал и отправим по электронной почте. Не стесняйтесь обращаться к нам, если у вас возникли вопросы или пожелания:

Email: Нажмите что бы посмотреть 

Что такое TheSlide.ru?

Это сайт презентации, докладов, проектов в PowerPoint. Здесь удобно  хранить и делиться своими презентациями с другими пользователями.


Для правообладателей

Яндекс.Метрика