Разделы презентаций


ДӘРІСТІҢ ТАҚЫРЫБЫ: “ ПАТОГЕНДІ ЖӘНЕ ШАРТТЫ-ПАТОГЕНДІ МИКОБАКТЕРИЯЛАР

Содержание

МИКОБАКТЕРИЯЛАР Mycobacteriaceae тұқымдасына, Mycobacterium туыстығына 50 түрі жатады. Микобактериялардың жасуша қабырғасының 8-40% липидтерден тұрады. Қышқылға, спиттерге, кептіруге, сілтіге тұрақты. Микобактериялардың 3 түрі бар:Патогенді емес – Mycobacterium smegmatis табиғатта еркін тіршілік

Слайды и текст этой презентации

Слайд 1ДӘРІСТІҢ ТАҚЫРЫБЫ: “ПАТОГЕНДІ ЖӘНЕ ШАРТТЫ-ПАТОГЕНДІ МИКОБАКТЕРИЯЛАР. ТУБЕРКУЛЕЗ ЖӘНЕ МИКОБАКТЕРИОЗДЫҢ МИКРОБИОЛОГИЯЛЫҚ ДИАГНОСТИКАСЫ.

АЛАПЕС.”
м.ғ.к., доцент Ахметова Сәуле Балтабайқызы

ДӘРІСТІҢ ТАҚЫРЫБЫ:  “ПАТОГЕНДІ ЖӘНЕ ШАРТТЫ-ПАТОГЕНДІ МИКОБАКТЕРИЯЛАР. ТУБЕРКУЛЕЗ ЖӘНЕ МИКОБАКТЕРИОЗДЫҢ МИКРОБИОЛОГИЯЛЫҚ ДИАГНОСТИКАСЫ. АЛАПЕС.”м.ғ.к., доцент Ахметова Сәуле Балтабайқызы

Слайд 2МИКОБАКТЕРИЯЛАР
Mycobacteriaceae тұқымдасына, Mycobacterium туыстығына 50 түрі жатады. Микобактериялардың

жасуша қабырғасының 8-40% липидтерден тұрады. Қышқылға, спиттерге, кептіруге, сілтіге тұрақты.

Микобактериялардың 3 түрі бар:
Патогенді емес – Mycobacterium smegmatis табиғатта еркін тіршілік ететін сапрофиттер. Адам мен жануарлардың қалыпты микрофлорасының құрамына енеді. Спирт пен қышқылға сезімтал. Топырақта, суда кездеседі.
Шартты патогенді – микобактериоздардың қоздырғыштары - созылмалы жара, өкпенің, көздің зақымдалуы, лимфоаденит.
3. Патогенді микобактериялар – туберкулез ж/е алапес (лепра) қоздырғышы.
МИКОБАКТЕРИЯЛАР  Mycobacteriaceae тұқымдасына, Mycobacterium туыстығына 50 түрі жатады. Микобактериялардың жасуша қабырғасының 8-40% липидтерден тұрады. Қышқылға, спиттерге,

Слайд 3ТУБЕРКУЛЕЗ ҚОЗДЫРҒЫШТАРЫ
Туберкулез (tuberculosis; латынның tuberculum - төмпешік) –

микобактериялар туғызатын жұқпалы созылмалы ауру, әр түрлі мүшелер мен жүйелерді

(өкпе, асқорыту жолдары, тері, сүйек, зәр шығару ж/е т.б.) зақымдаумен сипатталады. Туберкулез қоздырғышын (1882 ж) Роберт Кох ашқан, клиникасын Гиппократ сипаттаған.
Патогенді микобактериялардың 3 түрлі белгілі:
M. tuberculosis (адамдық түрі – адамдарда 92% жағдайда туберкулез тудырады);
M. bovis (өгіздік түрі – 5% жағдайда);
M. africanum н/се avium (құстық түрі - 3% жағдайда). Бұлардың 3 де морфологиялық, дақылдық, биохимиялық ж/е патогенді құрылымымен ерекшеленеді.
ТУБЕРКУЛЕЗ ҚОЗДЫРҒЫШТАРЫ  Туберкулез (tuberculosis; латынның tuberculum - төмпешік) – микобактериялар туғызатын жұқпалы созылмалы ауру, әр түрлі

Слайд 4Туберкулез дегеніміз не?
Туберкулез (құрт ауруы) – ерте заманғы инфекциялық аурулардың

бірі.

Туберкулезды
ХХ ғасырдың
ақ обасы
деп атайды".
Туберкулез – бұл Кох

таяқшасы тудыратын өкпе мен
басқа органдарды (сүйек, бүйрек, лимфа түйіндері және
Т.б.) зақымдайтын жұқпалы ауру.

Туберкулез қалай беріледі?
Туберкулез таяқшасы адам ағзасына көп жағдайда
тыныс алу органдары арқылы түседі,
алайда туберкулезге шалдыққан
малдан өндірілген ет-сүт
өнімдерін пайдаланғанда да туберкулезді
жұқтыру мүмкін.
Туберкулез кезінде қандай белгілер байқалады?
2 апта бойы жөтелу; тәбеттің жоғалуы; арықтау;
түнде терлеу; температураның
37,0-ден 37,50С дейін көтерілуі; жалпы әлсіздік,
қажып-шаршау; кеуде тұсының шаншуы;
қан түкіру.

Бұл белгілердің бірі байқалса, не істеу қажет?
Дәрігерге көрініп, қақырықты тексеруге тапсыруың
керек.
Туберкулез дегеніміз не? Туберкулез (құрт ауруы) – ерте заманғы инфекциялық аурулардың бірі.Туберкулезды ХХ ғасырдыңақ обасы деп атайды

Слайд 5
Роберт Кох
(1843 - 1910)
Неміс ғалым, микробиолог. Туберкулез қоздырғышын ашқан ғалым.

Нобель сыйлығының лауреаты.
24 НАУРЫЗ
ДҮНИЕЖҮЗІЛІК ТУБЕРКУЛЕЗҒА ҚАРСЫ КҮРЕС КҮНІ
24

наурыз – бүкіләлемдік туберкулезбен күрес күні деп жарияланды. Өйткені Бүкіләлемдік Денсаулық сақтау ұйымы 1882 жылы неміс микробиологы Роберт Кохтың туберкулез қоздырушы таяқшасын тапқанын себеп етіп, 24 наурызды «жаман ауруға» қарсы күн ретінде жариялады.


1993 жылы туберкулез ауруы – бүкілхалықтық қасірет деп табылып, әлем бойынша дабыл қағылды.

Роберт Кох(1843 - 1910)Неміс ғалым, микробиолог. Туберкулез қоздырғышын ашқан ғалым. Нобель сыйлығының лауреаты. 24 НАУРЫЗ ДҮНИЕЖҮЗІЛІК

Слайд 6МОРФОЛОГИЯСЫ Ж/Е ТИНКТОРИАЛДЫҚ ҚАСИЕТТЕРІ.
M. tuberculosis - ұзын, жіңішке,

аздап иілген таяқшалар. Тек адам үшін патогенді. Сезімтал биологиялық үлгі

– теңіз шошқасы.
M. bovis – қысқа, жуан дәнді таяқшалар. Сезімтал биологиялық үлгі – қояндар мен теңіз шошқасы. Ірі-қара мал үшін патогенді.
M. africanum – жұқа, ұзын, жіпше тәрізді таяқшалар. Сезімтал биологиялық үлгі – қояндар. Адам мен құстар үшін патогенді.
Барлық микобактериялар бояуларды нашар қабылдайды. Циль-Нильсен әдісімен қызыл түске боялады, грам оң, қозғалмайды, спора ж/е капсула түзбейтін, талшықтары жоқ таяқшалар.
МОРФОЛОГИЯСЫ Ж/Е ТИНКТОРИАЛДЫҚ ҚАСИЕТТЕРІ.  M. tuberculosis - ұзын, жіңішке, аздап иілген таяқшалар. Тек адам үшін патогенді.

Слайд 7Mycobacterium tuberculosis
қақырықта (қызыл таяқшалар) в мокроте.
Циль-Нильсен әдісі бойынша бояу

Mycobacterium tuberculosisқақырықта (қызыл таяқшалар) в мокроте. Циль-Нильсен әдісі бойынша бояу

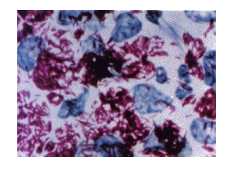
Слайд 8Mycobacterium tuberculosis өкпе жасушасының (клеткаларының) ішінде
Циль-Нильсен әдісі бойынша бояу.

Mycobacterium tuberculosis өкпе жасушасының (клеткаларының) ішінде Циль-Нильсен әдісі бойынша бояу.

Слайд 11Дақылдық және биохимиялық қасиеті
Микобактериялар баяу көбейеді (18-20 сағ).

Дақыл өте ұзақ өседі (4-6 апта). Сұйық орталарда 2-3 аптадан

кейін әжімді қабық түзеді, ал тығыз ортада сүйел тәрізді құрғақ крем түсті колониялар түзеді. Қоректік орталарға талғамды аэробтар. Өсіру үшін қолайлы қоректік орта – Левенштейн-Иенсен ортасы.
Сонымен қатар Сатон, Петров, Петроньяни қоректік орталарын қолданады.
Биохимиялық белсенділігі төмен. Ниоцинді сынақ қолданады.
Дақылдық және биохимиялық қасиеті  Микобактериялар баяу көбейеді (18-20 сағ). Дақыл өте ұзақ өседі (4-6 апта). Сұйық

Слайд 12Левенштейн-Йенсен ортасы және онда микобактериялардың өсуі.

Левенштейн-Йенсен ортасы және онда микобактериялардың өсуі.

Слайд 13 Резистентілігі: микобактериялар қоршаған орта факторларына тұрақты: шаңда 10

күн, кітап, ойыншық үстінде – 3 ай, суда – 5

ай, май ж/е қақырықта – 10 ай, сырда – 8 айға дейін сақталады. Қайнатқан кезде 5 мин кейін жойылады. Дезинфекциялау үшін хлорамин, хлорлы әктің белсендірілген ерітінділерін қолданады. Эпидемиологиясы: туберкулезге барлық адамдар жаппай сезімтал. Инфекция көзі – науқас адам, таралу жолы – көбінесе ауа-тамшы, сирек тұрмыстық қатынас арқылы. Қоздырғыш сыртқы ортаға бөлінген жағдайда эпидемиологиялық қауіптілікті тек ашық формадағы науқастар көрсетеді.
Резистентілігі: микобактериялар қоршаған орта факторларына тұрақты: шаңда 10 күн, кітап, ойыншық үстінде – 3 ай,

Слайд 14Антигендері
Антигендік қасиеті
Ақуыздар
Липидтер
Полисахаридтер
Корд-фактор
Фосфатидтер
Туберкулин
Антиденелер синтезін
индуцирлейді

АнтигендеріАнтигендік қасиетіАқуыздарЛипидтерПолисахаридтерКорд-факторФосфатидтерТуберкулинАнтиденелер синтезін индуцирлейді

Слайд 15Патогенді факторлары
Корд-фактор – бұл макроорганизм жасушасына токсикалық әсер ететін липид.

Вирулентті микобактерияларға тән. Прайс әдісі б/ша анықтайды: патогенді материалдан шыныда

жағынды жасайды, қышқыл н/се сілтімен өңдейді, сұйық ортада өсіреді. 7-10 күннен кейін Циль-Нильсен әдісі бойынша боялады. Микроскоп арқылы өрілген шаш тәрізді жабысқан микобактериялар анықталады.
Агресиндер – фагоцитозды тежейді, аяқталмаған фагоцитозбен сипатталады.
Токсигендігі – экзо- және эндотоксиндер бөлмейді. Туберкулез таяқшасының ақуыздары миколды қышқылмен қосылып токсигендік қасиет көрсетеді ж/е тіннің некрозын туғызуы мүмкін. Туберкулопротеин жоғары аллергиялық әсерге ие, сезімталдықтың баяу түрі байқалады. Алғаш рет Кох бөліп алған ж/е тубекулин деп атаған. Оны Манту аллергиялық сынағы үшін қолданады.
Патогенді факторларыКорд-фактор – бұл макроорганизм жасушасына токсикалық әсер ететін липид. Вирулентті микобактерияларға тән. Прайс әдісі б/ша анықтайды:

Слайд 16Туберкулез қоздырғышының берілу жолдары:
Ауа- тамшы;
Ауа- шаң;
Тұрмыстық контакт;
Сирек алиментарлы жол
(тамақ

арқылы).


Инфекция көзі – ауру адам,
ірі-қара мал, құстар.


Ену

қақпасы – жоғары тыныс жолдары, тері, ішек.
Туберкулез қоздырғышының берілу жолдары:Ауа- тамшы;Ауа- шаң;Тұрмыстық контакт;Сирек алиментарлы жол (тамақ арқылы). Инфекция көзі – ауру адам, ірі-қара

Слайд 17Зертханалық диагностика ерекшеліктері
Бактериоскопиялық – жобалау н/се қосымша әдіс;
Бактериологиялық - негізгі

әдіс (бірақ дақылдандыру ұзақ: 3-4 апта);
Биологиялық әдіс – лабораториялық жануарларды

патологиялық материалмен зақымдау;
Аллергиялық әдіс – тері астына Манту сынағын қою (туберкулин).
Зертханалық диагностика ерекшеліктеріБактериоскопиялық – жобалау н/се қосымша әдіс;Бактериологиялық - негізгі әдіс (бірақ дақылдандыру ұзақ: 3-4 апта);Биологиялық әдіс

Слайд 18Туберкулездың зертханалық диагностикасы
Зерттелетін материал
Тері
Қан сарысуы
Қақырық, ликвор, зәр
Зақымдалған
жануарлардың
органдары,
тіндері
Бактерио
скопиялық
Аллерг/қ
Бактеролог/қ
Биолог/қ
Серолог/қ
Циль-
Нильсен әдісі
арқылы бояу
Левенштейн-
Йенсен

қ.о.
(3-4 апта өсу)
Белсенді
туберкулез
кезінде
КБР, ГАТР
Тері астына
Манту сынағы
(туберкулин)
Идентификация

Туберкулездың зертханалық диагностикасыЗерттелетін материалТеріҚан сарысуыҚақырық, ликвор, зәрЗақымдалған жануарлардыңоргандары,тіндеріБактериоскопиялықАллерг/қБактеролог/қБиолог/қСеролог/қЦиль-Нильсен әдісіарқылы бояуЛевенштейн-Йенсен қ.о.(3-4 апта өсу)БелсендітуберкулезкезіндеКБР, ГАТРТері астына Манту сынағы

Слайд 19Микробиологиялық диагностикасы
Циль-Нильсен әдісі бойынша қақырықтағы жұғынды тікелей бояу.
Циль-Нильсен әдісі бойынша

флотанционды қабаттан алынған жұғын

Микробиологиялық диагностикасыЦиль-Нильсен әдісі бойынша қақырықтағы жұғынды тікелей бояу.Циль-Нильсен әдісі бойынша флотанционды қабаттан алынған жұғын

Слайд 20 Микробиологиялық диагностикасы
Люминесцентті әдіс (родамин-ауроминмен бояу);

Микробиологиялық диагностикасы Люминесцентті әдіс (родамин-ауроминмен бояу);

Слайд 21Микробиологиялық диагностикасы
Прейс әдісі бойынша анықтау (шыныдағы

қақырықтың қою жұғынды қышқылда өңдейді, фиксерлемей сарысуға салып қояды; 5-7

күннен кейін Циль – Нильсен әдісі бойынша бояйды. Микроскоп арқылы көргенде өрілген шаш тәрізді жабысқан микобактериялар анықталды).



Микробиологиялық диагностикасы     Прейс әдісі бойынша анықтау (шыныдағы қақырықтың қою жұғынды қышқылда өңдейді, фиксерлемей

Слайд 22ТУБЕРКУЛЕЗ ПАТОГЕНЕЗІ

ТУБЕРКУЛЕЗ ПАТОГЕНЕЗІ

Слайд 23ТУБЕРКУЛЕЗ ПАТОГЕНЕЗІ

Бронхогенді, лимфогенді және гематогенді микобактериялардың диссеминациясы біріншілік туберкулез ошағында

жүруі мүмкін және олар басқа мүшелер мен тіндерден өтуі мүмкін.

ТУБЕРКУЛЕЗ ПАТОГЕНЕЗІБронхогенді, лимфогенді және гематогенді микобактериялардың диссеминациясы біріншілік туберкулез ошағында жүруі мүмкін және олар басқа мүшелер мен

Слайд 24Туберкулез гранулемасының құрылымы

Туберкулез гранулемасының құрылымы

Слайд 25Маскүнемдік

3. Лица, отбывающие
наказание в местах
лишения свободы


3. Бас бастандығынан
айырылған

адамдар


2. Наркомандар
4. Жұмыссыздар
Туберкулезбен кімдер аурады?

Маскүнемдік3. Лица, отбывающие наказание в местах лишения свободы3. Бас бастандығынанайырылған адамдар 2. Наркомандар4. ЖұмыссыздарТуберкулезбен кімдер аурады?

Слайд 265. Уйсіз қанғыбас адамдар
6. Қашқындар

5. Уйсіз қанғыбас адамдар6. Қашқындар

Слайд 27Емдеу, сақтандыру ж/е диагностикалық препараттар
Ерекше сақтандыру үшін БЦЖ – микобактериялардың


авирулентті тірі штамы, жасанды
белсенді иммунитет

қалыптасады.
Емдеу үшін туберкулезға қарсы
химиопрепараттар қолданылады
(стрептомицин, тубазид, фтивазид, этионамид, этамбутол, рифампицин ж/е т.б);
Тазартылған туберкулин –
микобактериялар дақылының
фильтраты, Манту сынағына
қолданады.
Емдеу, сақтандыру ж/е диагностикалық препараттарЕрекше сақтандыру үшін БЦЖ – микобактериялардың   авирулентті тірі штамы, жасанды

Слайд 28Тері-аллергиялық сынама Манту

Тері-аллергиялық сынама Манту

Слайд 29ТУБЕРКУЛЕЗДЫ АЛДЫН АЛУ ПРАФИЛАКТИКАСЫ
Вакцинация және
БЦЖ ревакцинация
Химиопрофилактика
Арнайы алдын алу
Санитарлы
профилактика
Әлеуметтік


профилактика

ТУБЕРКУЛЕЗДЫ АЛДЫН АЛУ ПРАФИЛАКТИКАСЫ Вакцинация жәнеБЦЖ ревакцинацияХимиопрофилактикаАрнайы алдын алу СанитарлыпрофилактикаӘлеуметтік профилактика

Слайд 30ТУБЕРКУЛЕЗДЫ АЛДЫН АЛУ
Туберкулездің алдын

алу туберкулезге қарсы іс-шаралардың ішіндегі ең негізгісі болып табылады. Алдын

алуды  нысанның ауқымына және көлеміне байланысты үлкен үш топқа бөлуге болады:
1. Жұқпалы аурулар контингенті мен аса жұқпалы аурулардан тұрғындарды қорғау іс-шаралары (вакциналау және ревакциналау);
2. Тұрғындардың арасында ауыр түрдегі туберкулез ауруына жүргізілетін іс-шаралар (диспансерлік бақылау және тіркеу, сауықтыру, химиялық жолмен алдын алу);

3. Инфекция ошақтарындағы жасалатын іс-шаралар (ошақты сауықтыру, дезинфекция, науқасты оқшаулау, жанасқандарды бақылау, химиялық жолмен алдын алу).
ТУБЕРКУЛЕЗДЫ АЛДЫН АЛУ      Туберкулездің алдын алу туберкулезге қарсы іс-шаралардың ішіндегі ең негізгісі

Слайд 31Лепра (алапес) микобактериялары
Лепра қоздырғышы – Mycobacterium leprae 1973

ж. Г.Гансен сипаттаған.
Лепра – тек адамдар да

ғана кездесетін созылмалы инфекциялық ауру. Ауру ағзада кең таралу процесімен, терінің, шырышты қабықтың, жүйке жүйесінің ж/е ішкі органдардың зақымдалумен сипатталады.
Лепра (алапес) микобактериялары  Лепра қоздырғышы – Mycobacterium leprae 1973 ж. Г.Гансен сипаттаған.   Лепра –

Слайд 32Морфологиясы
Лепра микобактериялары – тік н/се кішкене иілген таяқшалар.

Қоздырғыш туберкулез таяқшасына ұқсас, грам оң, спорасы, капсуласы, талшықтары жоқ.

Зақымдалған тіндерде микроорганимздер жасуша ішінде тығыз шар тәрізді жиналады. Ол лепрозды шарлар деп аталады. Онда бактериялар бір-біріне жанымен жабысып темекі таяқшалары түрінде орналасқан (сигар таяқша). Қышқылға тұрақты, Циль-Нильсен әдісімен қызыл түске боялады. Лепра микобактериялары жасанды қоректік орталарда өспейді. Сондықтан бактериологиялық зерттеу әдісі қолданылмайды.
Морфологиясы  Лепра микобактериялары – тік н/се кішкене иілген таяқшалар. Қоздырғыш туберкулез таяқшасына ұқсас, грам оң, спорасы,

Слайд 34Антигені
Лепрома экстрактынан екі антиген бөлініп алынған:
Термостабильді

полисахаридтік;
Термолабильді ақуыздық антиген.
Лепроздық бактериялар үшін жоғары

спецификалы.
Антигені  Лепрома экстрактынан екі антиген бөлініп алынған: Термостабильді полисахаридтік; Термолабильді ақуыздық антиген.   Лепроздық бактериялар

Слайд 40Патогендігі ж/е патогенезі
M. leprae вируленттігі бактерия жасушасында

липидтердің көптігімен байланысты. Инкубациялық кезең 3-5 жылдан 20-35 жылға дейін.

Ауру баяу дамиды. Бірнеше клиникалық формаларын ажыратады:
Оның ішінде эпидемиологиялық қауіптісі – лепроматоздық: тері, шырышты қабық, лимфотүйіндер, жүйке жүйесі, ішкі органдар зақымдалады.
Туберкулоидтық - клиникасы жеңіл өтеді ж/е адамдар үшін аса қауіпті емес. Бұл формада тері, жүйке жүйесі ж/е сирек ішкі органдар зақымдалады.
Ажыратылмаған (деференцияланбаған).
Патогендігі ж/е патогенезі   M. leprae вируленттігі бактерия жасушасында липидтердің көптігімен байланысты. Инкубациялық кезең 3-5 жылдан

Слайд 43Иммунитеті
Аурудың дамуына қарай Т-лимфоциттер саны мен белсенділігі төмендейді

ж/е лепра микобактерияларына қарсы тұру қабілеті жойылады. Гуморальдық иммунитет бұзылмайды.

Науқастың қанында лепра микобактерияларына жоғары титрде антиденелер анықталады, бірақ олар протективтік қасиетке ие емес.
Иммунитеті  Аурудың дамуына қарай Т-лимфоциттер саны мен белсенділігі төмендейді ж/е лепра микобактерияларына қарсы тұру қабілеті жойылады.

Слайд 45Эпидемиологиясы
Инфекция көзі – науқас адам. Жұқтыру науқаспен ұзақ

және тығыз қатынас кезінде жүреді. Ауру оңтүстік теңіздер жағалауында ж/е

үлкен суқоймаларында кең таралған (Үндістан, Орталық ж/е Оңтүстік Африка елдері).
Эпидемиологиясы  Инфекция көзі – науқас адам. Жұқтыру науқаспен ұзақ және тығыз қатынас кезінде жүреді. Ауру оңтүстік

Слайд 46Зертханалық диагностикасы
Зерттелетін материал – терінің, шырышты қабаттың, жараның зақымдалған лепрозды

түйіндердің бөлігі, қақырық.
Зеттеу әдісі – бактериоскопиялық негізгі әдіс: 100% жағдайда

лепроматоздық формада оң нәтиже береді
Жағынды Циль-Нильсен әдісімен боялады. Жағындыда лепра микобактериялары бір-біріне жанымен жабысып темекі таяқшалары түрінде н/се шар тәрізді шоғырланып орналасады.
Биосынақ – теңіз шошқалары зақымдалады. Бұл сынақ туберкулезден алапесті ажырату үшін қойылады.
Тері-аллергиялық сынақ – Мицуда реакциясы қойылады. Реакцияны 24-48 сағаттан кейін инфильтраттың түзілуі бойынша бағалайды.
Зертханалық диагностикасыЗерттелетін материал – терінің, шырышты қабаттың, жараның зақымдалған лепрозды түйіндердің бөлігі, қақырық.Зеттеу әдісі – бактериоскопиялық негізгі

Слайд 47Микробиологиялық диагностикасы

Микробиологиялық диагностикасы

Слайд 48Емдеу және сақтандыру
Ерекше сақтандыру үшін БЦЖ вакцинасы қолданады;
Кешенді емдеу-сақтандыру шаралары

арнайы мекемелер – лепрозория ж/е амбулаторияларда жүргізіледі;
Емдеу үшін сульфонды препараттар

(дапсон, диацетилсульфон, селюсульфон ж/е т.б), сондай-ақ туберкулезға қарсы препараттар қолданады.
Емдеу және сақтандыруЕрекше сақтандыру үшін БЦЖ вакцинасы қолданады;Кешенді емдеу-сақтандыру шаралары арнайы мекемелер – лепрозория ж/е амбулаторияларда жүргізіледі;Емдеу

Слайд 49НАЗАР АУДАРҒАНДАРЫҢЫЗҒА РАХМЕТ !!!

НАЗАР АУДАРҒАНДАРЫҢЫЗҒА РАХМЕТ !!!

Обратная связь

Если не удалось найти и скачать доклад-презентацию, Вы можете заказать его на нашем сайте. Мы постараемся найти нужный Вам материал и отправим по электронной почте. Не стесняйтесь обращаться к нам, если у вас возникли вопросы или пожелания:

Email: Нажмите что бы посмотреть 

Что такое TheSlide.ru?

Это сайт презентации, докладов, проектов в PowerPoint. Здесь удобно  хранить и делиться своими презентациями с другими пользователями.


Для правообладателей

Яндекс.Метрика