Разделы презентаций


Фибрилляция предсердий

Содержание

Фибрилляция предсердий – это нарушение сердечного ритма, сопровождающееся увеличением частоты сердечных сокращений до 350 – 700 в минуту. Критерии:отсутствие зубцов P волны фибрилляции f с разной амплитудой и формойАбсолютно неодинаковые интервалы RR (комплексы QRS обычно не изменен)

Слайды и текст этой презентации

Слайд 1Непокоренная вершина кардиологии
Фибрилляция предсердий

Непокоренная вершина кардиологииФибрилляция предсердий

Слайд 2Фибрилляция предсердий – это нарушение сердечного ритма, сопровождающееся увеличением частоты

сердечных сокращений до 350 – 700 в минуту.
Критерии:
отсутствие зубцов P 

волны фибрилляции f с разной амплитудой и формой

Абсолютно неодинаковые интервалы RR (комплексы QRS обычно не изменен)


Фибрилляция предсердий – это нарушение сердечного ритма, сопровождающееся увеличением частоты сердечных сокращений до 350 – 700 в

Слайд 3Актуальность проблемы
Распространенность ФП – 1,5-2% (чаще мужчины)
Риск развития ФП после

40 лет – 25%
На долю ФП приходится около ⅓

госпитализаций по поводу нарушений сердечного ритма
Смертность при ФП увеличивается в 2 раза
ФП увеличивает риск инсульта в 5 раз
Идиопатическая форма ФП прогрессирует в постоянную форму в течении 30 лет в 29%
«Идиопатическая» форма ФП встречается от 2 до 10%
Общая выживаемость у больных с «идиопатической» ФП сходна с выживаемостью в популяции соответствующего возраста
Рекомендации РКО, ВНОК и АССХ 2012г.

Актуальность проблемы Распространенность ФП – 1,5-2% (чаще мужчины)Риск развития ФП после 40 лет – 25% На долю

Слайд 4

Заболевания ассоциирующиеся с ФП

Структурные заболевания
сердца
Артериальная гипертензия
ХСН II-IV

ФК
30%

Поражение клапанов
сердца
30%
Первичные
кардиомиопатии
ИБС
20%
ДМЖП
10-15%
Избыточная масса тела
Ожирение


25%

Сахарный диабет
20%

ХОБЛ
10-15 %

Апноэ во время сна

ХБП
10-15%

Заболевания ассоциирующиеся с ФПСтруктурные заболевания сердцаАртериальная гипертензияХСН II-IV ФК 30%Поражение клапанов сердца30%Первичные кардиомиопатииИБС20%ДМЖП 10-15% Избыточная

Слайд 5
Смертность
увеличивается вдвое
Инсульт
Госпитализации
ОКС, ХСН декомпенсация,
ТЭ осложнения
Сердечно-сосудистые
исходы связанные

с ФП
Когнитивная
дисфункция
Снижение качества
жизни
Снижение
толерантности
к физической нагрузке

Смертностьувеличивается вдвоеИнсультГоспитализацииОКС, ХСН декомпенсация, ТЭ осложненияСердечно-сосудистые исходы связанные с ФПКогнитивная дисфункцияСнижение качества жизниСнижение толерантности к

Слайд 6Классификация ФП
Впервые диагностированный эпизод ФП
Пароксизмальная ФП
(обычно 48ч, до 7 сут)
Персистирующая

ФП
(>7 дней, медикаментозная
кардиоверсия или ЭИТ)
Длительная персистирующая ФП
(сохраняется более 1 года)
Постоянная

форма ФП
(сохраняется длительно при отсутствии
эффекта кардиоверсии)
Классификация ФПВпервые диагностированный эпизод ФППароксизмальная ФП(обычно 48ч, до 7 сут)Персистирующая ФП(>7 дней, медикаментознаякардиоверсия или ЭИТ)Длительная персистирующая ФП(сохраняется

Слайд 7По величине ЧСС:

Тахисистолическая
Нормосистолическая
Брадисистолическая


1. Клапанная
(у больных с ИК или

ревматическим
поражением клапанного аппарата сердца)
2.Неклапанная
(все остальные варианты аритмии)

Шкала оценки

тяжести симптомов, связанных с ФП (EHRA)
I – «нет симптомов»
II – «легкие симптомы», нормальная повседневная активность не нарушена
III – «выраженные симптомы», нормальная повседневная активность
затруднена
IV – «инвалидизирующие симптомы», нормальная повседневная активность
невозможна

По величине ЧСС:ТахисистолическаяНормосистолическаяБрадисистолическая 1. Клапанная (у больных с ИК или ревматическим поражением клапанного аппарата сердца)2.Неклапанная (все остальные

Слайд 8Осложнения фибрилляции предсердий:

Тромбоэмболия и инсульт

Хроническая сердечная недостаточность

Дилатационная кардиомиопатия

Кардиогенный шок и

остановка сердца


Осложнения фибрилляции предсердий: Тромбоэмболия и инсультХроническая сердечная недостаточностьДилатационная кардиомиопатияКардиогенный шок и остановка сердца

Слайд 9Клиника и диагностика

Клиника и диагностика

Слайд 10Клиническая картина
При пароксизмальной форме ФП:
Приступы учащенного, неритмичного сердцебиения
Одышка
Боли в

грудной клетке (в частности по типу стенокардии)
Головокружение
Слабость
Подъем или снижение АД
Предобморочные

состояния или синкопе (редко)

При персистирующей или постоянной форме ФП:
Учащенное, неритмичное сердцебиение при физической нагрузке
Одышка

Клиническая картинаПри пароксизмальной форме ФП:Приступы учащенного, неритмичного сердцебиения ОдышкаБоли в грудной клетке (в частности по типу стенокардии)ГоловокружениеСлабостьПодъем

Слайд 11Диагностика
Анамнез жизни (случаи ФП и заболеваний сердца у родственников, нарушения

в гинекологической сфере, совпадение сроков появления ФП с перенесенной инфекцией,

хронические заболевания ЛОР-органов, щитовидной железы, эрозивно-язвенные заболевания ЖКТ, аллергические реакции)
Аритмический анамнез (давность возникновения первого эпизода ФП, определение факторов, провоцирующих аритмию, частоты и продолжительности приступов, их переносимости, способы купирования, ЭИТ в анамнезе, поддерживающая антиаритмическая терапия и урежающая ритм терапия, прием антикоагулянтов и антиагрегантов, геморрагические и тромбоэмболические осложнения).

ДиагностикаАнамнез жизни (случаи ФП и заболеваний сердца у родственников, нарушения в гинекологической сфере, совпадение сроков появления ФП

Слайд 12Физикальное обследование (пальпация пульса, аускультация сердца, конституция тела (наличие признаков

мезенхимальной дисплазии), признаки вегетативной дистонии, состояние небных миндалин, наличие маркёров

хронической алкогольной интоксикации).
Лабораторная диагностика (ОАК (Hb, лейкоциты, СОЭ), определение липидного спектра, маркёров воспаления (в т.ч. С-реактивного белка), сердечных тропонинов Т или I, антител к миокарду, кардиотропным вирусам, стрептококкам, определение уровня гормонов щитовидной железы (тироксина) и тиреотропного гормона).
Инструментальная диагностика (ЭКГ в 12 отведениях, Холтер ЭКГ, ЭхоКГ, транспищеводная ЭхоКГ, чреспищеводная стимуляция сердца, компьютерная томография с контрастированием полостей сердца, нагрузочные пробы, коронарная ангиография)

Физикальное обследование (пальпация пульса, аускультация сердца, конституция тела (наличие признаков мезенхимальной дисплазии), признаки вегетативной дистонии, состояние небных

Слайд 14Лечение

Лечение

Слайд 15Лечебная тактика
1. Тактика восстановления синусового ритма
2. Тактика поддержания нормальной ЧСС

при сохраняющейся ФП.
Выбор тактики зависит от:
возможности устранить причину, вызвавшую

нарушение ритма (злоупотребление алкоголем, гипертиреоз, гипотиреоз, острый воспалительный процесс, декомпенсация СН и др.)
выраженности клинической симптоматики
степени вероятности удержания синусового ритма (размеры камер сердца).
Вне зависимости от того, какая стратегия лечения ФП будет выбрана (контроль ритма или частоты), ключевой позицией остается профилактика тромбоэмболических событий.
Лечебная тактика1. Тактика восстановления синусового ритма2. Тактика поддержания нормальной ЧСС при сохраняющейся ФП.Выбор тактики зависит от: возможности

Слайд 16Цели и стратегия лечения
Уменьшение симптомов связанных с аритмией
Профилактика ТЭ осложнений

связанных с ФП
Оптимальное лечение сердечно-сосудистых заболеваний
Контроль ЧСС
Коррекция нарушений ритма

Цели и стратегия леченияУменьшение симптомов связанных с аритмиейПрофилактика ТЭ осложнений связанных с ФПОптимальное лечение сердечно-сосудистых заболеванийКонтроль ЧССКоррекция

Слайд 18Тактики ведения пациентов с пароксизмальной формой ФП

Тактики ведения пациентов с пароксизмальной	 формой ФП

Слайд 20 Восстановление
синусового
ритма
Фармакологическая
кардиоверсия
Радиочастотная
абляция
Электрическая
кардиоверсия

Восстановление синусового ритма Фармакологическая кардиоверсия Радиочастотнаяабляция Электрическая кардиоверсия

Слайд 21Показания к госпитализации
1. Впервые выявленная ФП
2. Пароксизмальная ФП, при безуспешности

медикаментозной кардиоверсии
3.Пароксизмальная ФП, сопровождавшаяся расстройствами гемодинамики или ишемией миокарда, которую

удалось купировать медикаментозно либо с помощью электрической кардиоверсии.
4. При развитии осложнений антиаритмической терапии
5. Часто рецидивирующие пароксизмы ФП (для подбора антиаритмической терапии)
При постоянной форме ФП госпитализация показа при высокой тахикардии, нарастании СН (для коррекции медикаментозной терапии).
Показания к госпитализации1. Впервые выявленная ФП2. Пароксизмальная ФП, при безуспешности медикаментозной кардиоверсии3.Пароксизмальная ФП, сопровождавшаяся расстройствами гемодинамики или

Слайд 22Стационарный этап
Основные задачи:
1. Лечение осложнений, связанных с тахиаритмией (уменьшение признаков

СН и ишемии миокарда, если таковые имели место).
2. Решение вопроса

о целесообразности восстановления синусового ритма для каждого пациента индивидуально.
3. Подбор адекватной (возможно комбинированной) антиаритмической терапии для удержания синусового ритма.
4.Подготовка больного к плановой кардиоверсии.
Стационарный этапОсновные задачи:1. Лечение осложнений, связанных с тахиаритмией (уменьшение признаков СН и ишемии миокарда, если таковые имели

Слайд 23

ЛС для медикаментозной кардиоверсии

РКО/ВНОА/АССХ, 2012

ЛС для медикаментозной кардиоверсии  РКО/ВНОА/АССХ, 2012

Слайд 24Частота восстановления СР при:
в/в введении БАБ (метопролол) – 13%
Верапамил –

не опубликовано ни одного крупного РКИ
Дигоксин – как средство устранения

аритмии не эффективно, в исследованиях показал незначительное преимущество по сравнению с плацебо 51% vs 46%

Частота восстановления СР при:в/в введении БАБ (метопролол) – 13%Верапамил – не опубликовано ни одного крупного РКИДигоксин –

Слайд 25ЛС для контроля ЧСС

ЛС для контроля ЧСС

Слайд 26Электрическая кардиоверсия

Электрическая кардиоверсия

Слайд 27Условия для проведения ЭКВ
Если ФП менее 48ч, проводится неотложная ЭКВ

(при нестабильной гемодинамике), при назначении ант.вит.К (под контролем МНО) в

комбинации с в/в болюсным, затем инфузионным введением НФГ /НМГ или новые пероральные антикоагулянты. После кардиоверсии- продолжать НФГ/НМГ до достижения целевого МНО (если выбран варфарин) или продолжать прием НОАК (дабигатран/ривароксабан/апиксабан).
При ФП более 48ч, проводится плановая ЭКВ, назначаются ант.вит.К (при МНО=2,0-3,0) или НОАК в течение не менее 3 недель до кардиоверсии и 4 недель после. При наличии ФР инсульта антикоагулянтную терапию следует продолжить неопределенно долго.
Альтернативой длительной антикоагуляции (особенно при применении НОАК) перед плановой кардиоверсии служит исключение тромба в ЛП и/или его ушке с помощью ЧПЭХОКГ.
Перед и после выполнения ЭКВ для повышения ее эффективности и предупреждения рецидивов ФП целесообразно назначение ААП: амиодарона, либо при наличии противопоказаний соталола, пропафенона, реже аллапинина. Вместе с ними для контроля ЧСС могут применяться БАБ/верапамил,
Условия для проведения ЭКВЕсли ФП менее 48ч, проводится неотложная ЭКВ (при нестабильной гемодинамике), при назначении ант.вит.К (под

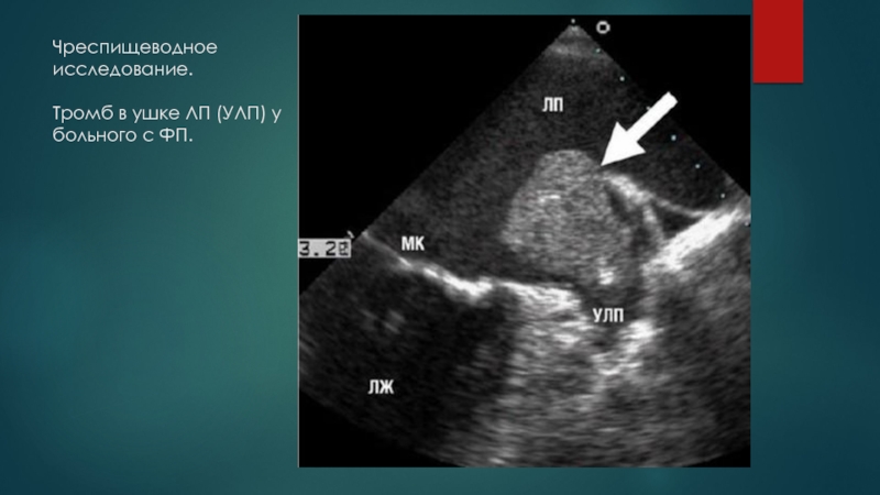
Слайд 28Чреспищеводное исследование.  Тромб в ушке ЛП (УЛП) у больного с ФП.

Чреспищеводное исследование.   Тромб в ушке ЛП (УЛП) у больного с ФП.

Слайд 29Противопоказания для проведения ЭИТ
Кардиомегалия.
Тромб в левом предсердии
Гликозидная интоксикация
Гипокалиемия
Тиреотоксикоз, ожирение

III степени
Противопоказания для общей анестезии
Часто рецидивирующие пароксизмы ФП
Артериальная

гипертония III степени (неконтролируемая)
Пороки сердца, подлежащие хирургической коррекции, и малый (менее 6 месяцев) срок с момента проведения хирургической коррекции порока сердца
Предшествующий появлению ФП синдром слабости синусового узла (ССУ) с выраженными клиническими проявлениями
Брадикардическая форма ФП, т.к. у многих из них после восстановления синусового ритма появляется выраженная синусовая брадикардия, как проявление ССУ
Хронический алкоголизм
Тяжелые нарушения функции других органов


Противопоказания для проведения ЭИТКардиомегалия. Тромб в левом предсердииГликозидная интоксикацияГипокалиемияТиреотоксикоз, ожирение III степени 	Противопоказания для общей анестезииЧасто рецидивирующие

Слайд 30Осложнения ЭИТ
Тромбоэмболии

Ожоги в месте контакта электродов с кожей больного

Отказ синусового

узла

Опасные аритмии (ЖТ и ФЖ)

Осложнения седации (гипоксия,гиповентиляция, гипотензия и отек

легких)



Осложнения ЭИТТромбоэмболииОжоги в месте контакта электродов с кожей больногоОтказ синусового узлаОпасные аритмии (ЖТ и ФЖ)Осложнения седации (гипоксия,гиповентиляция,

Слайд 31Рецидивы ФП после кардиоверсии
Немедленный рецидив – возникает в течение 5

минут после кардиоверсии

Ранний рецидив – возникает в течение ближайших 5

дней после кардиоверсии

Поздний рецидив – более чем через 5 дней после кардиоверсии.

Рецидивы ФП после кардиоверсииНемедленный рецидив – возникает в течение 5 минут после кардиоверсииРанний рецидив – возникает в

Слайд 32Факторы предрасполагающие к рецидиву ФП
Длительность ФП до кардиоверсии

Количество предыдущих рецидивов

Увеличение

размеров левого предсердия или снижение функции левого предсердия

Наличие ИБС

Пороки клапана

легочной артерии или митрального клапана

Факторы предрасполагающие к рецидиву ФПДлительность ФП до кардиоверсииКоличество предыдущих рецидивовУвеличение размеров левого предсердия или снижение функции левого

Слайд 33Антикоагулянтная терапия:
1. Антагонисты витамина К - варфарин
2. Новые пероральные АК:

- Дабигатрана этексилат (прямой ингибитор тромбина)-прадакса.
- Ривароксабан (прямой ингибитор

Xa)-ксарелто
- Апиксабан (прямой ингибитор Xa)-эликвис
! Новые антикоагулянты не показаны пациентам при клапанной ФП (ревматические поражения, иск.клапаны)


Антикоагулянтная терапия:1. Антагонисты витамина К - варфарин2. Новые пероральные АК: - Дабигатрана этексилат (прямой ингибитор тромбина)-прадакса. -

Слайд 34Тактика, направленная на профилактику тромбоэмболических осложнений
Шкала CHA2DS2-VASc, расчет риска

инсульта и тромбоэмболических осложнений при неклапанной фибрилляции предсердий

>1- показание к

ОАК пожизненно (=1 у женщин моложе 65 лет)
Тактика, направленная на профилактику тромбоэмболических осложнений Шкала CHA2DS2-VASc, расчет риска инсульта и тромбоэмболических осложнений при неклапанной фибрилляции

Слайд 35Шкала HAS-BLED
> 3 – высокий риск кровотечения

Шкала HAS-BLED> 3 – высокий риск кровотечения

Слайд 36Схема перехода с варфарина на НОАК
Для принятия решения
о

переходе на НОАК
(прием последней таблетки
Варфарина)
около 24 ч
Определение
МНО
МНО >3
МНО

<3

Прием первой
таблетки
НОАК

Схема перехода с варфарина на НОАК Для принятия решения о переходе на НОАК(прием последней таблеткиВарфарина) около 24

Слайд 37При переводе пациентов с приема антагонистов витамина К на прием

НОАК назначить их можно как только МНО станет ниже 3,0.


В случае необходимости перейти с приема НОАК на прием антагонистов витамина К следует учитывать, что эффект варфарина накапливается как минимум 5 дней. Поэтому в течение нескольких дней до достижения необходимого МНО больной должен будет принимать НОАК вместе с варфарином.
При переводе пациентов с приема антагонистов витамина К на прием НОАК назначить их можно как только МНО

Слайд 38Выводы
Фибрилляция предсердий – это наиболее распространенная и эмбологенная аритмия

При ФП

необходимо четко оценивать гемодинамические и другие симптоматические состояния у больного

Соблюдение

всех рекомендаций по контролю ритма, контролю частоты желудочковых сокращений и адекватной антикоагулянтной терапии повысит эффективность лечения этой группы пациентов

ВыводыФибрилляция предсердий – это наиболее распространенная и эмбологенная аритмияПри ФП необходимо четко оценивать гемодинамические и другие симптоматические

Слайд 39Спасибо за внимание!

Спасибо за внимание!

Обратная связь

Если не удалось найти и скачать доклад-презентацию, Вы можете заказать его на нашем сайте. Мы постараемся найти нужный Вам материал и отправим по электронной почте. Не стесняйтесь обращаться к нам, если у вас возникли вопросы или пожелания:

Email: Нажмите что бы посмотреть 

Что такое TheSlide.ru?

Это сайт презентации, докладов, проектов в PowerPoint. Здесь удобно  хранить и делиться своими презентациями с другими пользователями.


Для правообладателей

Яндекс.Метрика