Разделы презентаций


I Разделение и очистка

Содержание

II Детекция и идентификация биомолекулГибридизация нуклеиновых кислотЭкспериментальные методы детекции и идентификации нуклеиновых кислот основаны на явлении их гибридизации, которое заключается в способности одноцепочечных молекул нуклеиновых кислот связываться с комплементарными по составу

Слайды и текст этой презентации

Слайд 1I Разделение и очистка биомолекул

Хроматография

Электрофорез

Ультрацентрифугирование

II Детекция и идентификация биомолекул

Гибридизация нуклеиновых

кислот

Полимеразная цепная реакция (ПЦР)

Масс-спектрометрия

Иммунохимические методы анализа

I Разделение и очистка биомолекул	Хроматография		Электрофорез	УльтрацентрифугированиеII Детекция и идентификация биомолекул	Гибридизация нуклеиновых кислот	Полимеразная цепная реакция (ПЦР)	Масс-спектрометрия	Иммунохимические методы анализа

Слайд 2II Детекция и идентификация биомолекул
Гибридизация нуклеиновых кислот
Экспериментальные методы детекции и

идентификации нуклеиновых кислот основаны на явлении их гибридизации, которое заключается

в способности одноцепочечных молекул нуклеиновых кислот связываться с комплементарными по составу нуклеотидов одноцепочечными молекулами, образуя дуплексы (двухцепочечные молекулы нуклеиновых кислот).
II Детекция и идентификация биомолекулГибридизация нуклеиновых кислотЭкспериментальные методы детекции и идентификации нуклеиновых кислот основаны на явлении их

Слайд 3Структура нуклеиновых кислот

Структура нуклеиновых кислот

Слайд 4Денатурация (плавление) ДНК
Денатурация ДНК обратима. Процесс восстановления структуры дуплекса ДНК

называется ренатурацией или отжигом

Денатурация (плавление) ДНКДенатурация ДНК обратима. Процесс восстановления структуры дуплекса ДНК называется ренатурацией или отжигом

Слайд 5Гибридизация НК
Дуплексы могут образовываться между одноцепочечными комплементарными по составу молекулами

ДНК, РНК, олигонуклеотидами

Гибридизация НКДуплексы могут образовываться между одноцепочечными комплементарными по составу молекулами ДНК, РНК, олигонуклеотидами

Слайд 6Стабильность дуплексов нуклеиновых кислот определяется следующими факторами:

длина цепей 

длинные дуплексы удерживаются большим числом водородных связей и требуют больше

энергии для их разрушения;

- состав нуклеотидов  так как GC-пары образуют три водородные связи, а AT-пары  две, чем выше процентное содержание GC-нуклеотидов в составе цепей дуплекса, тем выше температура или рН среды, при которых происходит денатурация дуплекса;

- состав среды  моновалентные катионы (например, ионы Na+) стабилизируют структуру дуплекса; а вещества, разрушающие водородные связи, такие как мочевина и формамид, облегчают денатурацию

Стабильность дуплексов нуклеиновых кислот

Стабильность дуплексов нуклеиновых кислот определяется следующими факторами: длина цепей  длинные дуплексы удерживаются большим числом водородных связей

Слайд 7Мерой стабильности дуплекса нуклеиновых кислот является температура плавления (Tm). Это

температура, соответствующая средней точке перехода между исходным (двухцепочечным) и денатурированным

(одноцепочечным) состоянием молекул нуклеиновых кислот.
Температуру плавления (Tm) дуплексов нуклеиновых кислот, в составе которых две цепи полностью комплементарны друг другу по составу нуклеотидов, можно рассчитать с помощью формул. Наличие некомплементарных оснований в цепях гетеродуплекса снижает его стабильность.

Примечания: а или для других моновалентных катионов, выполняется в диапазоне концентраций ионов 0,01- 0,4 М;
б справедливо при содержании GC пар от 30% до 70%;
в N – длина гетеродуплекса в п.н.

Стабильность дуплексов нуклеиновых кислот

Мерой стабильности дуплекса нуклеиновых кислот является температура плавления (Tm). Это температура, соответствующая средней точке перехода между исходным

Слайд 8Метод гибридизации нуклеиновых кислот

Метод гибридизации нуклеиновых кислот

Слайд 9Детекция формирования гибридных дуплексов НК
Прямые методы детекции
Радиоактивные метки
Флуоресцентные метки

Детекция формирования гибридных дуплексов НКПрямые методы детекцииРадиоактивные меткиФлуоресцентные метки

Слайд 10Флуорофоры, используемые для мечения нуклеиновых кислот

Флуорофоры, используемые для мечения нуклеиновых кислот

Слайд 11Непрямые методы детекции
Детекция формирования гибридных дуплексов НК
Репортерные молекулы
биотин
биотин – авидин

- фермент

Непрямые методы детекцииДетекция формирования гибридных дуплексов НКРепортерные молекулыбиотинбиотин – авидин - фермент

Слайд 12Метод гибридизации нуклеиновых кислот

Метод гибридизации нуклеиновых кислот

Слайд 13Метод гибридизации in situ с применением флуоресцентных ДНК-зондов (fluorescence in

situ hybridization, FISH)

Метод гибридизации in situ с применением флуоресцентных ДНК-зондов (fluorescence in situ hybridization, FISH)

Слайд 14Исследование активности генов
мРНК эукариот содержит на 3’-конце поли-А хвост.

Суммарную мРНК

клетки можно выделить методом аффинной хроматографии, используя носитель с последовательностью

поли-Т
Исследование активности геновмРНК эукариот содержит на 3’-конце поли-А хвост.Суммарную мРНК клетки можно выделить методом аффинной хроматографии, используя

Слайд 15Исследование активности генов
ДНК-микроматрицы и ДНК-биочипы

Исследование активности геновДНК-микроматрицы и ДНК-биочипы

Слайд 16Исследование активности генов

Исследование активности генов

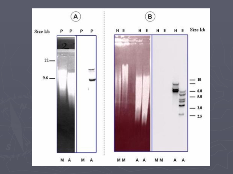
Слайд 17Саузерн-блоттинг

Саузерн-блоттинг

Слайд 18Саузерн-блоттинг

Саузерн-блоттинг

Слайд 24Саузерн-блоттинг

Саузерн-блоттинг

Слайд 26Саузерн-блоттинг

Саузерн-блоттинг

Слайд 27Саузерн-блоттинг

Саузерн-блоттинг

Обратная связь

Если не удалось найти и скачать доклад-презентацию, Вы можете заказать его на нашем сайте. Мы постараемся найти нужный Вам материал и отправим по электронной почте. Не стесняйтесь обращаться к нам, если у вас возникли вопросы или пожелания:

Email: Нажмите что бы посмотреть 

Что такое TheSlide.ru?

Это сайт презентации, докладов, проектов в PowerPoint. Здесь удобно  хранить и делиться своими презентациями с другими пользователями.


Для правообладателей

Яндекс.Метрика