Разделы презентаций


Инструментальные методы диагностики органов дыхания

Содержание

Рентгеноскопия Рентгенография Продольная томография Бронхография Компьютерная томография Магнитно-резонансная томография Ангиопульмонография Радионуклидное исследование Ультразвуковое исследование сердца и плевральных полостейМетодики лучевого исследования органов грудной клетки

Слайды и текст этой презентации

Слайд 1

Инструментальные методы диагностики органов дыхания


Инструментальные методы диагностики органов дыхания

Слайд 2 Рентгеноскопия
Рентгенография
Продольная томография
Бронхография
Компьютерная томография
Магнитно-резонансная томография

Ангиопульмонография
Радионуклидное исследование
Ультразвуковое исследование сердца и плевральных

полостей

Методики лучевого исследования органов грудной клетки

Рентгеноскопия Рентгенография Продольная томография Бронхография Компьютерная томография Магнитно-резонансная томография Ангиопульмонография Радионуклидное исследование Ультразвуковое исследование сердца и

Слайд 3Прямая передняя
Прямая задняя
Боковая левая
Боковая правая
Косые
Прицельные
Рентгенография

Проекции:

Прямая передняяПрямая задняяБоковая леваяБоковая праваяКосые ПрицельныеРентгенография  Проекции:

Слайд 4Принцип метода

Принцип метода

Слайд 5Цель исследования:
изучение состояния легких при подозрении на любое их

заболевание или повреждение

Укладка для выполнения снимка:
снимок выполняют в положении больного

стоя (или сидя, в зависимости от состояния) у специальной вертикальной стойки;
больной плотно прижимается грудью к кассете, слегка согнувшись вперед.

Рентгенография ОГК

Снимок легких в прямой передней проекции

Цель исследования: изучение состояния легких при подозрении на любое их заболевание или повреждениеУкладка для выполнения снимка:снимок выполняют

Слайд 8
Снимок легких в боковой проекции

Производится в левой или правой проекциях.

Больного устанавливают

так, чтобы он прижимался к кассете исследуемым боком. Руки подняты вверх и скрещены на голове.

Рентгенография

Снимок легких в боковой проекции   Производится в левой или правой проекциях.

Слайд 9Правая боковая установка

Правая боковая установка

Слайд 11Задачи:
1. Определить характер, точную локализацию и распространенность патологического процесса в

легочной паренхиме;

2. Изучить состояние трахеобронхиального дерева, включая в большинстве случаев

и сегментарные бронхи;

3. Уточнить характер поражения лимфатических узлов корней и средостения при различных патологических состояниях.

Продольная (линейная) томография

Задачи:1. Определить характер, точную локализацию и распространенность патологического процесса в легочной паренхиме;2. Изучить состояние трахеобронхиального дерева, включая

Слайд 12Принцип метода

Принцип метода

Слайд 13Обзорная рентгенограмма
Линейная томограмма

Обзорная рентгенограммаЛинейная томограмма

Слайд 14Методика рентгенологического исследования с контрастированием крупных и средних бронхов на

всем их протяжении после предварительной анестезии
Бронхография

Методика рентгенологического исследования с контрастированием крупных и средних бронхов на всем их протяжении после предварительной анестезииБронхография

Слайд 15 В отношении каждого бронха учитывают:
а) положение, б) форму, в)

ширину просвета, г) характер заполнения, д) угол отхождения и характер

ветвления, е) контуры, ж) локализацию и характер отклонений от нормальной картины.

В отношении бронхов, не заполнившихся контрастным веществом, учитывают положение, форму и очертания их культи, состояние окружающей бронх легочной ткани.

Бронхография

План изучения бронхограммы:

В отношении каждого бронха учитывают: а) положение, б) форму, в) ширину просвета,  г) характер заполнения, д)

Слайд 17КОМПЬЮТЕРНАЯ ТОМОГРАФИЯ
ВРАЩАТЕЛЬНО ДВИЖУЩАЯСЯ РЕНТГЕНОВСКАЯ ТРУБКА

П А Ц И Е Н Т

ДВИЖУЩИЕСЯ СЦИНТИЛЯЦИОННЫЕ

ДАТЧИКИ

Монитор компьютера

КОМПЬЮТЕРНАЯ ТОМОГРАФИЯВРАЩАТЕЛЬНО ДВИЖУЩАЯСЯ РЕНТГЕНОВСКАЯ ТРУБКА       П А Ц И Е Н

Слайд 18Отсутствие суперпозиционности;

Поперечная ориентация слоя;

Высокое контрастное разрешение;

Определение коэффициента поглощения;

Различные виды обработки

изображения.
Рентгеновская компьютерная томография
Особенности КТ-изображения:

Отсутствие суперпозиционности;Поперечная ориентация слоя;Высокое контрастное разрешение;Определение коэффициента поглощения;Различные виды обработки изображения.Рентгеновская компьютерная томографияОсобенности КТ-изображения:

Слайд 19КОМПЬЮТЕРНАЯ ТОМОГРАФИЯ ОГК
ГИПОДЕНСИВНЫЙ ОЧАГ
МЕНЕЕ ПЛОТНЫЙ – НА ИЗОБРАЖЕНИИ ТЁМНЫЙ

ГИПЕРДЕНСИВНЫЙ

ОЧАГ
БОЛЕЕ ПЛОТНЫЙ – НА ИЗОБРАЖЕНИИ -СВЕТЛЫЙ


КОМПЬЮТЕРНАЯ ТОМОГРАФИЯ ОГКГИПОДЕНСИВНЫЙ  ОЧАГМЕНЕЕ ПЛОТНЫЙ – НА ИЗОБРАЖЕНИИ ТЁМНЫЙГИПЕРДЕНСИВНЫЙ ОЧАГБОЛЕЕ ПЛОТНЫЙ – НА ИЗОБРАЖЕНИИ -СВЕТЛЫЙ

Слайд 20Режимы КТ

Режимы КТ

Слайд 21Метод, основанный на парамагнитных свойствах тканей.
Показания:
-объемные процессы в средостении;
-оценка состояния

лимфоузлов;
-патологические изменения в крупных сосудах;
-определение прорастания опухолей легких в средостение,

крупные сосуды и перикард.

Ограничения:
-кальцинаты;
-оценка легочной паренхимы.

Магнитно-резонансная томография

Метод, основанный на парамагнитных свойствах тканей.Показания:-объемные процессы в средостении;-оценка состояния лимфоузлов;-патологические изменения в крупных сосудах;-определение прорастания опухолей

Слайд 22Ангиография легких – это методика рентгенологического исследования сосудов легких после

их контрастирования водорастворимыми йодсодержащими неионными РКС (омнипак, ультравист)

Разновидности методики:
Ангиопульмонография;
Селективная ангиография

одного легкого или его доли (сегмента);
Ангиография бронхиальных артерий;
Грудная аортография.

Ангиография

Ангиография легких – это методика рентгенологического исследования сосудов легких после их контрастирования водорастворимыми йодсодержащими неионными РКС (омнипак,

Слайд 23Ангиография

Ангиография

Слайд 24 подозрение на тромбоэмболию легочной артерии;
подозрение на инфаркт легкого;

выявляются области со сниженным кровотоком или его отсутствием в виде

зон с малоинтенсивным излучением.

Радионуклидное исследование (сцинтиграфия легких)

Показания:

подозрение на тромбоэмболию легочной  артерии; подозрение на инфаркт легкого; выявляются области со сниженным  кровотоком

Слайд 25Норма

Норма

Слайд 26Нормальная анатомия легких
Легкие – парный паренхиматозный орган, покрытый висцеральной плеврой.

Выделяют:
3

доли в правом легком;
2 доли в левом легком.

Нормальная анатомия легкихЛегкие – парный паренхиматозный орган, покрытый висцеральной плеврой.Выделяют:3 доли в правом легком;2 доли в левом

Слайд 29Функциональной единицей легких является АЦИНУС
Размер ацинуса до 1.5 мм.

Включает альвеолярные мешочки, терминальную бронхиолу, артериолу, 2 венозные веточки,

лимфатические сосуды и нервы.
Группа ацинусов составляет дольку.

Функциональной единицей легких является АЦИНУС Размер ацинуса до 1.5 мм. Включает альвеолярные мешочки,  терминальную бронхиолу, артериолу,

Слайд 30Непаренхиматозный компонент
1. Бронхиальные ветви
2. Легочные вены

3. Лимфатические сосуды
4. Нервы
5. Соединительные

прослойки между дольками, вокруг бронхов и кровеносных сосудов
6. Висцеральная плевра


Непаренхиматозный компонент  1. Бронхиальные ветви  2. Легочные вены  3. Лимфатические сосуды  4. Нервы

Слайд 31Рентгенологическая картина органов грудной клетки
Это суммация теней:
- мягких тканей

грудной стенки
- костного скелета
- легких
- средостения
-

диафрагмы
Рентгенологическая картина органов грудной клеткиЭто суммация теней: - мягких тканей грудной стенки - костного скелета - легких

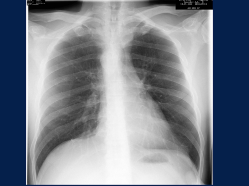
Слайд 32ОБЗОРНАЯ РЕНТГЕНОГРАФИЯ ОРГАНОВ ГРУДНОЙ ПОЛОСТИ
Н О Р М

ОБЗОРНАЯ РЕНТГЕНОГРАФИЯ ОРГАНОВ ГРУДНОЙ ПОЛОСТИ  Н О Р М А

Слайд 33средняя борозда
Правая главная
междолевая борозда
Левая главная
междолевая борозда

средняя бороздаПравая главная междолевая борозда Левая главная междолевая борозда

Слайд 35Строение бронхиального дерева

Строение бронхиального дерева

Слайд 361
1

10
9
7
8
5
4
3
1
2
6
Сегментарное строение правого легкого

1110978543126Сегментарное строение правого легкого

Слайд 378
9
10
6
5
4
3
1
2
Сегментарное строение левого легкого

8910654312Сегментарное строение левого легкого

Слайд 38Алгоритм изучения рентгенограммы ОГК
Оценка качества снимка (паспортная часть, полнота охвата,

положение больного, четкость, контрастность, жесткость).
Определение правильности установки больного.
Рентген анатомическая

ориентировка (форма и размер грудной клетки, топография органов грудной полости).
Изучение мягких тканей и костного скелета (симметричность, форма, структура)



Алгоритм изучения рентгенограммы ОГКОценка качества снимка (паспортная часть, полнота охвата, положение больного, четкость, контрастность, жесткость).Определение правильности установки

Слайд 39Алгоритм изучения рентгенограммы ОГК
Сравнение прозрачности правого и левого легкого.
Анализ легочного

рисунка.
Оценка корней легких.
Положение диафрагмы.
Состояние реберно-диафрагмальных синусов.
Изучение органов средостения.

Алгоритм изучения рентгенограммы ОГКСравнение прозрачности правого и левого легкого.Анализ легочного рисунка.Оценка корней легких.Положение диафрагмы.Состояние реберно-диафрагмальных синусов.Изучение органов

Слайд 41Тень легких на рентгенограмме называют легочными полями
Изображение складывается

из нормального легочного фона и нормального легочного рисунка
Важно

помнить, что легочные поля на рентгенограмме меньше истинных размеров легкого, часть их перекрыта диафрагмой, поддиафрагмальными органами и средостением.

Легочный фон - это степень почернения пленки в пределах легочных полей. Отображает плотность легочной ткани, ее воздухо- и кровенаполнение.

Тень легких на рентгенограмме называют легочными полями   Изображение складывается из нормального легочного фона и нормального

Слайд 42Легочный рисунок
Субстрат – сосуды малого круга кровообращения.



В молодом возрасте остальные элементы стромы легкого

в норме не видны. После 30 лет появляются парные полоски утолщенных стенок бронхов.

Нормальный;
Усиленный (застой крови по МКК);
Ослабленный (эмфизема легких);
Обогащенный (пневмосклероз при ХОБЛ, кольцевидные тени после деструктивных процессов)

Легочный рисунок   Субстрат – сосуды малого круга кровообращения.   В молодом возрасте остальные элементы

Слайд 44Корень легкого
Положение корня на уровне 2-4 межреберья;
Размеры поперечник =

2.5 см ( 1:1 легочная артерия: промежуточный бронх);
Имеет головку,

тело и хвост («запятая»);
Структура – бронх, артерия, вена.


Анатомическим субстратом является легочная артерия и крупные бронхи.

Корень легкого Положение корня на уровне 2-4 межреберья;Размеры поперечник = 2.5 см  ( 1:1 легочная артерия:

Слайд 47Средостение
Занимает ассиметричное положение: 2/3 - в левой грудной

полости, 1/3 - в правой.
Правый контур:
1 дуга -

дуга правого предсердия;
2 дуга - восходящая часть аорты;
Левый контур:
1 дуга - нисходящая часть дуги аорты,
2 дуга - ствол легочной артерии;
3 дуга - ушко левого предсердия;
4 дуга - левый желудочек.

Средостение  Занимает ассиметричное положение: 2/3 - в левой грудной полости, 1/3 - в правой.  Правый

Слайд 49РЕНТГЕНСЕМИОТИКА - ВЫДЕЛЕНИЕ ПАТОЛОГИЧЕСКОГО ОЧАГА И ЕГО ХАРАКТЕРИСТИКА
П Р

О С В Е Т Л Е Н И Е
З

А Т Е М Н Е Н И Е
РЕНТГЕНСЕМИОТИКА - ВЫДЕЛЕНИЕ ПАТОЛОГИЧЕСКОГО ОЧАГА И  ЕГО ХАРАКТЕРИСТИКАП Р О С В Е Т Л Е

Слайд 50Семиотика патологии легких
Тотальное затемнение
Ограниченное затемнение
Круглая тень
Кольцевидная тень
Ограниченный очаг в легочном

поле
Ограниченная диссеминация
Диффузная диссеминация
Патология корней легких и увеличение лимфатических узлов
Патология легочного

рисунка
Обширное просветление

Семиотика патологии легкихТотальное затемнениеОграниченное затемнениеКруглая теньКольцевидная теньОграниченный очаг в легочном полеОграниченная диссеминацияДиффузная диссеминацияПатология корней легких и увеличение

Слайд 51СИНДРОМ – ТОТАЛЬНОЕ ЗАТЕМНЕНИЕ

Причины

1. ЖИДКОСТЬ В ПЛЕВРАЛЬНОЙ

ПОЛОСТИ

2. СПАДЕНИЕ ЛЁГОЧНОЙ ТКАНИ
(

ОБТУРАЦИОННЫЙ АТЕЛЕКТАЗ)

3. ВОСПАЛИТЕЛЬНАЯ ИНФИЛЬТРАЦИЯ
ЛЁГОЧНОЙ ТКАНИ ( ПНЕВМОНИЯ)


СИНДРОМ – ТОТАЛЬНОЕ ЗАТЕМНЕНИЕ Причины 1.   ЖИДКОСТЬ В ПЛЕВРАЛЬНОЙ ПОЛОСТИ 2.  СПАДЕНИЕ ЛЁГОЧНОЙ ТКАНИ

Слайд 52Тотальное затемнение

Тотальное затемнение

Слайд 53СИНДРОМ - ОГРАНИЧЕННОЕ ЗАТЕМНЕНИЕ
МОРФОЛОГИЧЕСКИЙ СУБСТРАТ - ЖИДКОСТЬ


СИНДРОМ - ОГРАНИЧЕННОЕ ЗАТЕМНЕНИЕМОРФОЛОГИЧЕСКИЙ СУБСТРАТ - ЖИДКОСТЬ

Слайд 54ОГРАНИЧЕННЫЙ ГИПЕРДЕНСИВНЫЙ ОЧАГ НА КТ

ЭКССУДАТИВНЫЙ ПЛЕВРИТ
( ЖИДКОСТЬ)

ОГРАНИЧЕННЫЙ ГИПЕРДЕНСИВНЫЙ  ОЧАГ НА КТЭКССУДАТИВНЫЙ ПЛЕВРИТ ( ЖИДКОСТЬ)

Слайд 55
СИНДРОМ – ОГРАНИЧЕННОЕ ЗАТЕМНЕНИЕ
( ВОСПАЛИТЕЛЬНАЯ ИНФИЛЬТРАЦИЯ – ПНЕВМОНИЯ

СИНДРОМ – ОГРАНИЧЕННОЕ ЗАТЕМНЕНИЕ ( ВОСПАЛИТЕЛЬНАЯ ИНФИЛЬТРАЦИЯ – ПНЕВМОНИЯ )

Слайд 56ОБШИРНОЕ ПРОСВЕТЛЕНИЕ
Причины:

1. П Н Е В М О Т О

Р А К С

2. АГЕНЕЗИЯ ( ГИПОГЕНЕЗИЯ) ВЕТВИ

ЛЁГОЧНОЙ АРТЕРИИ

3. Э М Ф И З Е М А
ОБШИРНОЕ ПРОСВЕТЛЕНИЕПричины:1. П Н Е В М О Т О Р А К С 2. АГЕНЕЗИЯ (

Слайд 57О Б Ш И Р Н О Е П

Р О С В Е Т Л Е Н И

Е


ПНЕВМОТОРАКС

О Б Ш И Р Н О Е  П Р О С В Е Т Л

Слайд 58Э М Ф И З Е М А ( ПОВЫШЕНИЕ

ВОЗДУШНОСТИ ЛЁГОЧНОЙ ТКАНИ С ОБЕИХ СТОРОН)

Э М Ф И З Е М А ( ПОВЫШЕНИЕ ВОЗДУШНОСТИ  ЛЁГОЧНОЙ ТКАНИ С ОБЕИХ СТОРОН)

Слайд 59 ГИПОПЛАЗИЯ ЛЁГОЧНОЙ АРТЕРИИ
ОГРАНИЧЕННОЕ ПРОСВЕТЛЕНИЕ В ВЕРХНИХ ОТДЕЛАХ

ПРАВОГО ЛЁГКОГО

ГИПОПЛАЗИЯ ЛЁГОЧНОЙ АРТЕРИИ  ОГРАНИЧЕННОЕ ПРОСВЕТЛЕНИЕ В ВЕРХНИХ ОТДЕЛАХ ПРАВОГО ЛЁГКОГО

Слайд 60СИНДРОМ - КРУГЛАЯ ТЕНЬ
ПРИЧИНЫ

Опухоль доброкачественная
Опухоль злокачественная
Киста, заполненная жидкостью
Воспалительный инфильтрат

(абсцесс, круглая пневмония)
Туберкулома (специфическое воспаление)
Опухоли средостения


СИНДРОМ - КРУГЛАЯ ТЕНЬПРИЧИНЫОпухоль доброкачественнаяОпухоль злокачественная Киста, заполненная жидкостьюВоспалительный инфильтрат (абсцесс, круглая пневмония)Туберкулома (специфическое воспаление)Опухоли средостения

Слайд 61КРУГЛАЯ ТЕНЬ
Круглая тень с неровными, бугристыми контурами

( О П

У Х О Л Ь – ВЕРОЯТНЕЕ ВСЕГО ЗЛОКАЧЕСТВЕННАЯ )

КРУГЛАЯ  ТЕНЬКруглая тень с неровными, бугристыми контурами( О П У Х О Л Ь – ВЕРОЯТНЕЕ

Слайд 62ВЕДУЩИЙ СИНДРОМ – КРУГЛАЯ ТЕНЬ

ВЕДУЩИЙ СИНДРОМ – КРУГЛАЯ ТЕНЬ

Слайд 63КОЛЬЦЕВИДНАЯ ТЕНЬ
Причины:

КИСТА С ВОЗДУХОМ
ДРЕНИРУЮЩИЙСЯ АБСЦЕСС
ТУБЕРКУЛЁЗНАЯ КАВЕРНА
ЗЛОКАЧЕСТВЕННАЯ ОПУХОЛЬ С РАСПАДОМ

КОЛЬЦЕВИДНАЯ ТЕНЬПричины:КИСТА С ВОЗДУХОМДРЕНИРУЮЩИЙСЯ АБСЦЕССТУБЕРКУЛЁЗНАЯ КАВЕРНАЗЛОКАЧЕСТВЕННАЯ ОПУХОЛЬ С РАСПАДОМ

Слайд 64К О Л Ь Ц Е В И Д Н

А Я Т Е Н Ь
ПОЛОСТЬ С ВОЗДУХОМ

К О Л Ь Ц Е В И Д Н А Я  Т Е Н ЬПОЛОСТЬ

Слайд 66
СИНДРОМ - КОЛЬЦЕВИДНАЯ ТЕНЬ
( ДРЕНИРУЮЩИЙСЯ АБСЦЕСС )

СИНДРОМ - КОЛЬЦЕВИДНАЯ ТЕНЬ ( ДРЕНИРУЮЩИЙСЯ АБСЦЕСС )

Слайд 67СИНДРОМ – Д И С С Е М И Н

А Ц И Я
Причины:
Метастазы в лёгком
Туберкулёз (милиарный, очаговый)
Профессиональные (пневмокониоз, силикоз

и т.д.)
Диссеминированная пневмония
Неспецифические поражения лёгких (альвеолиты, коллагенозы, саркоидоз)

СИНДРОМ – Д И С С Е М И Н А Ц И ЯПричины:Метастазы в лёгкомТуберкулёз (милиарный,

Слайд 68СИНДРОМ – ДИССЕМИНАЦИЯ МНОЖЕСТВЕННЫЕ, ОКРУГЛОЙ ФОРМЫ ТЕНИ – М Е Т

А С Т А З Ы

СИНДРОМ – ДИССЕМИНАЦИЯ МНОЖЕСТВЕННЫЕ, ОКРУГЛОЙ ФОРМЫ ТЕНИ – М Е Т А С Т А З Ы

Слайд 69СИНДРОМ – ДИССЕМИНАЦИЯ (очаговый туберкулёз)

СИНДРОМ – ДИССЕМИНАЦИЯ  (очаговый туберкулёз)

Слайд 70
ЛЁГОЧНЫЙ РИСУНОК В НОРМЕ
линейный, разветвляется от центра к периферии
в вертикальном

положении пациента сосуды нижних отделов шире, чем верхних
сосуды к периферии

истончаются
ЛЁГОЧНЫЙ РИСУНОК В НОРМЕлинейный, разветвляется от центра к перифериив вертикальном положении пациента сосуды нижних отделов шире,

Слайд 71Диффузное усиление легочного рисунка
Локальное
усиление легочного рисунка

Диффузное усиление легочного рисункаЛокальноеусиление легочного рисунка

Слайд 72Изменения корня и увеличение лимфатических узлов

Изменения корня и увеличение лимфатических узлов

Слайд 74Показания для проведения ФБС:
подозрение на новообразование трахеи и бронхов;
кровохарканье

и легочное кровотечение;
деструктивная или аспирационная пневмония, абсцесс легкого; пневмонии

с затяжным течением;
диссеминированные процессы в легких;
подозрение на инородное тело трахеи и бронхов;
стеноз трахеи;
подозрение на врожденные аномалии развития бронхов;
ожоги нижних дыхательных путей;
ХОБЛ и бронхоэктатическая болезнь при обострении;
немотивированный кашель, свыше 1 мес.
Показания для проведения ФБС:подозрение на новообразование трахеи и бронхов; кровохарканье и легочное кровотечение; деструктивная или аспирационная пневмония,

Слайд 77
для изучения сердца и крупных сосудов;
для оценки жидкостных

структур, в первую очередь плеврального выпота;
для пункционного дренирования осумкованных

образований в плевральной полости

Ультразвуковое исследование не является методом выбора в оценке количества жидкости в плевральной полости(!), а лишь позволяет точно локализовать ее и дать ее характеристику.

Ультразвуковой луч не проникает сквозь заполненные воздухом альвеолы

Ультразвуковое исследование

Показания:

для изучения сердца и крупных сосудов; для оценки жидкостных структур, в первую очередь  плеврального выпота;

Обратная связь

Если не удалось найти и скачать доклад-презентацию, Вы можете заказать его на нашем сайте. Мы постараемся найти нужный Вам материал и отправим по электронной почте. Не стесняйтесь обращаться к нам, если у вас возникли вопросы или пожелания:

Email: Нажмите что бы посмотреть 

Что такое TheSlide.ru?

Это сайт презентации, докладов, проектов в PowerPoint. Здесь удобно  хранить и делиться своими презентациями с другими пользователями.


Для правообладателей

Яндекс.Метрика