Разделы презентаций


Лучевая диагностика опухолей спинного мозга

Содержание

Частота интрамедуллярных опухолей. Частота интрамедуллярных опухолей составляет 10-18% от общего числа опухолей спинного мозга.Эпендимомы - 63-65%Астроцитомы - 24-30%Глиобластомы - 7%Олигодендроглиомы - 3%Другие опухоли - 2% (гемангиобластомы, лимфомы, липомы, метастазы

Слайды и текст этой презентации

Слайд 1Лучевая диагностика
опухолей спинного мозга

Лучевая диагностикаопухолей спинного мозга

Слайд 2Частота интрамедуллярных опухолей. Частота интрамедуллярных опухолей составляет 10-18% от общего числа

опухолей спинного мозга.
Эпендимомы - 63-65%
Астроцитомы - 24-30%
Глиобластомы - 7%
Олигодендроглиомы -

3%
Другие опухоли - 2% (гемангиобластомы, лимфомы, липомы, метастазы и др.)
Частота интрамедуллярных опухолей.  Частота интрамедуллярных опухолей составляет  10-18% от общего числа опухолей спинного мозга.Эпендимомы -

Слайд 3Астроцитома шейно-грудного отдела спинного мозга

Астроцитома шейно-грудного отдела спинного мозга

Слайд 4Сирингомиелия шейного отдела спинного мозга

Сирингомиелия шейного отдела спинного мозга

Слайд 5Сирингомиелия шейного отдела спинного мозга

Сирингомиелия шейного отдела спинного мозга

Слайд 6Эпендимома конуса спинного мозга

Эпендимома конуса спинного мозга

Слайд 7Липома шейного отдела

Липома шейного отдела

Слайд 8Частота экстрамедуллярных - интрадуральных опухолей. Частота экстрамедуллярных - интрадуральных опухолей составляет

53-68,5% от всех опухолей спинного мозга.
Невриномы - 30-40%
Менингиомы - 25%
Липомы

- 1,4%
Метастазы рака в позвоночный канал - 2,5-4,8%
Опухоли другой гистологической природы (тератомы, дермоидные и эпидуральные опухоли, хордомы и др. встречаются значительно реже.)
Частота экстрамедуллярных - интрадуральных опухолей.  Частота экстрамедуллярных - интрадуральных опухолей составляет 53-68,5% от всех опухолей спинного

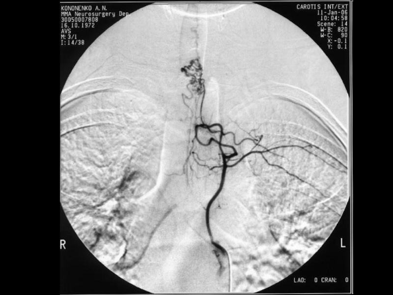
Слайд 9Невринома типа «песочных часов»

Невринома типа «песочных часов»

Слайд 10Болезнь Реклингаузена

Болезнь Реклингаузена

Слайд 11Менингиома шейного отдела позвоночника

Менингиома шейного отдела позвоночника

Слайд 12Менингиома краниоспинальной области

Менингиома краниоспинальной области

Слайд 13Менингиома краниоспинальной области

Менингиома краниоспинальной области

Слайд 14Менингиома большого затылочного отверстия с распространением в позвоночный канал

Менингиома большого затылочного отверстия с распространением в позвоночный канал

Слайд 15Частота экстрадуральных опухолей. Частота экстрадуральных опухолей составляет 31% от всех опухолей

спинного мозга и до 38% от всех экстрамедуллярных опухолей. Метастазы составляют

большинство экстрадуральных новообразований, встречаясь в 3-4 раза чаще первичных опухолей позвоночника.
Частота экстрадуральных опухолей.  Частота экстрадуральных опухолей составляет 31% от всех опухолей спинного мозга и до 38%

Слайд 16Склерозирующая остеосаркома L4 позвонка

Склерозирующая остеосаркома L4 позвонка

Слайд 17Экстрадуральная мезенхимома

Экстрадуральная мезенхимома

Слайд 18Экстрадуральная мезенхимома

Экстрадуральная мезенхимома

Слайд 19Гемангиома Th10 позвонка

Гемангиома Th10 позвонка

Слайд 20Остеохондрома дужки Th9 позвонка справа

Остеохондрома дужки Th9 позвонка справа

Слайд 21Миеломная болезнь

Миеломная болезнь

Слайд 22Астроцитома на уровне шейно-грудного отдела позвоночника

Астроцитома на уровне шейно-грудного отдела позвоночника

Слайд 23Эпендимома шейного отдела спинного мозга

Эпендимома шейного отдела спинного мозга

Слайд 24Менингиома области межпозвоночного отверстия L5-S1 слева

Менингиома области межпозвоночного отверстия L5-S1 слева

Слайд 25Гемангиомы различных больных ThX - LV

Гемангиомы различных больных ThX - LV

Слайд 26Остеоид-остеома тела LII позвонка

Остеоид-остеома тела LII позвонка

Слайд 27Остеохондрома в задних структурах LV - SI позвонков слева

Остеохондрома в задних структурах LV - SI позвонков слева

Слайд 28Хондрома

Хондрома

Слайд 29Липома конского хвоста

Липома конского хвоста

Слайд 30Остеогенная саркома С2-С4

Остеогенная саркома С2-С4

Слайд 31Остеогенная саркома крестца

Остеогенная саркома крестца

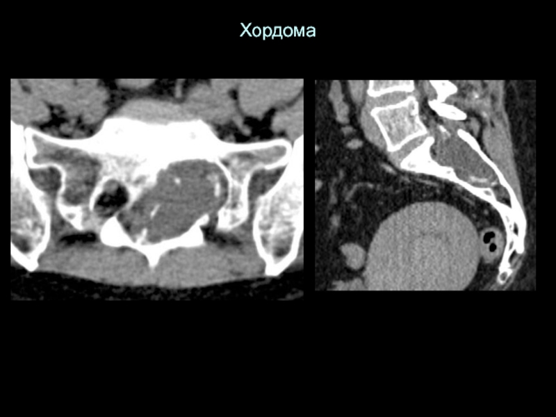
Слайд 32Хордома

Хордома

Слайд 33Нейробластома

Нейробластома

Слайд 34Остеобластические метастазы рака предстательной железы

Остеобластические метастазы рака предстательной железы

Слайд 35Множественные литические метастазы рака молочной железы

Множественные литические метастазы рака молочной железы

Слайд 36Множественные литические метастазы

Множественные литические метастазы

Слайд 37Множественная миелома

Множественная миелома

Слайд 38Метастатическое поражение
позвоночника. Сцинтиграфия скелета
с остеотропным РФП
99mТс-пирфотехом

Метастатическое поражение позвоночника. Сцинтиграфия скелета с остеотропным РФП 99mТс-пирфотехом

Слайд 39Метастазы рака грудной железы

Метастазы рака грудной железы

Слайд 40Болезнь Реклингаузена

Болезнь Реклингаузена

Слайд 41Болезнь Реклингаузена

Болезнь Реклингаузена

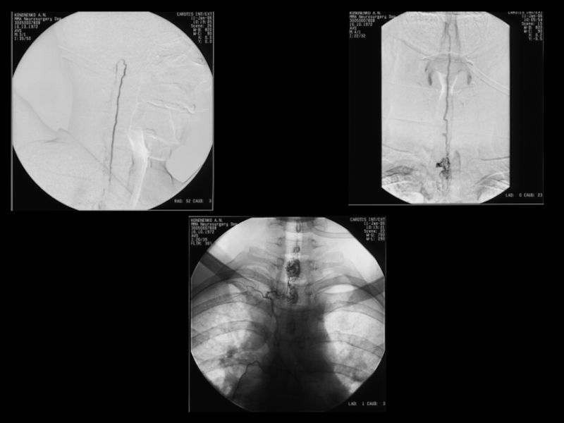
Слайд 42Невринома типа «песочных часов» на уровне С2-С4 позвонков

Невринома типа «песочных часов» на уровне С2-С4 позвонков

Слайд 43Миеломная болезнь

Миеломная болезнь

Слайд 44Склерозирующий метастаз Th4 позвонка

Склерозирующий метастаз Th4 позвонка

Слайд 45 Опухоль Панкоста справа

Опухоль Панкоста справа

Слайд 46Метастатическое поражение L4 позвонка

Метастатическое поражение L4 позвонка

Слайд 47Нейробластома

Нейробластома

Слайд 48Астроцитома спинного мозга

Астроцитома спинного мозга

Слайд 49Менингиома на уровне L4 позвонка

Менингиома на уровне L4 позвонка

Слайд 50Невринома на уровне Th7-Th8 позвонков

Невринома на уровне Th7-Th8 позвонков

Слайд 51Менингиома на уровне Th6 позвонка

Менингиома на уровне Th6 позвонка

Слайд 52Метастаз рака легкого в Th11 позвонка

Метастаз рака легкого в Th11 позвонка

Слайд 53Невринома на уровне L1 позвонка

Невринома на уровне L1 позвонка

Обратная связь

Если не удалось найти и скачать доклад-презентацию, Вы можете заказать его на нашем сайте. Мы постараемся найти нужный Вам материал и отправим по электронной почте. Не стесняйтесь обращаться к нам, если у вас возникли вопросы или пожелания:

Email: Нажмите что бы посмотреть 

Что такое TheSlide.ru?

Это сайт презентации, докладов, проектов в PowerPoint. Здесь удобно  хранить и делиться своими презентациями с другими пользователями.


Для правообладателей

Яндекс.Метрика