Разделы презентаций


Нервная ткань

Содержание

Грушевидные нейроны коры мозжечка

Слайды и текст этой презентации

Слайд 1Нервная ткань
Состоит из нервных клеток (нейроцитов, нейронов) и связанных

с ними клеток нейроглии.
Нервные клетки – основные структурные компоненты

нервной ткани. Функция: специфическая.
Нейроглия – обеспечивает существование и функционирование нервных клеток. Функции: опорная, трофическая, разграничительная, секреторная и защитная
Развитие: дорсальная эктодерма
Нервная ткань Состоит из нервных клеток (нейроцитов, нейронов) и связанных с ними клеток нейроглии. Нервные клетки –

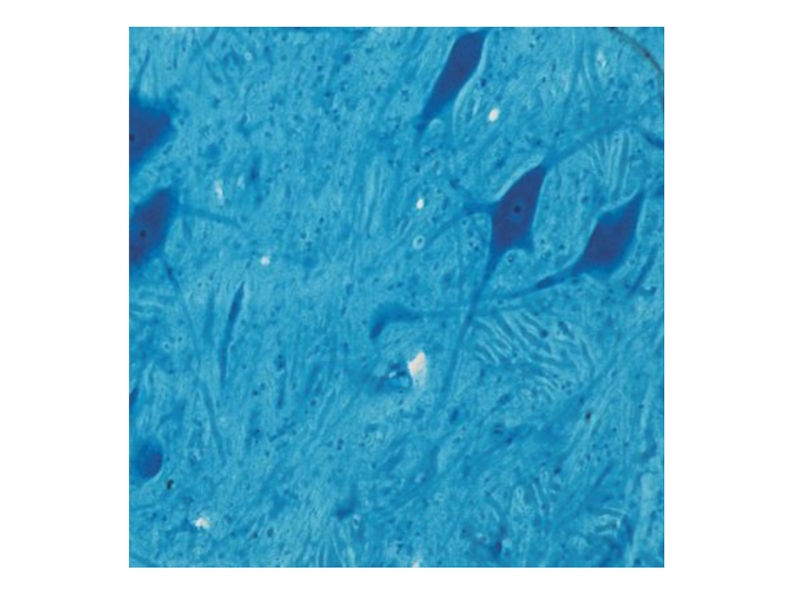
Слайд 8Грушевидные нейроны коры мозжечка

Грушевидные нейроны коры мозжечка

Слайд 20Гематоэнцефалический барьер

Гематоэнцефалический барьер

Слайд 23Развитие и строение миелинового волокна (схема).
А - поперечные срезы

последовательных стадий развития миелиноного во­локна (по Робертсону); Б — трехмерное

изображение сформированного волокна (по М. X. Россу, Л. Дж. Ромреллу): 1 - дубликация оболочки нейролеммоцита (мезаксон); 2 — аксон; 3 — насечка мие­лина; 4 — пальцевидные контакты ней-ролеммоцита в области перехвата; 5 — цитоплазма иейролеммецита; 6 — спирально закрученный мезаксон (миелин); 7 — ядро нейролеммоцита.
Развитие и строение миелинового волокна (схема). А - поперечные срезы последовательных стадий развития миелиноного во­локна (по Робертсону);

Слайд 31Виды синапсов

Виды синапсов

Слайд 33Синапсы

Синапсы

Слайд 34Синапс

Синапс

Слайд 36Ультрамикроскопическое строение нервно-мышечного окончания (схема).
1 - (цитоплазма нейролеммоцита; 2 -

ядро нейролеммоцита; 3 - плазмолемма нейролеммоцита; 4 - осевой цилиндр

нервного волокна; 5 - аксолемма; 6 - постсинаптическая мембрана (сарколемма); 7 - митохондрии в аксоплазме; 8 - синаптическая щель; 9 - митохондрии мышечного волокна; 10 - пресинаптические пузырьки; 11 - пресинаптическая мембрана (аксолемма); 12 - сарколемма; 13 — ядро мышечного волокна;14 - миофибрилла.
Ультрамикроскопическое строение нервно-мышечного окончания (схема).1 - (цитоплазма нейролеммоцита; 2 - ядро нейролеммоцита; 3 - плазмолемма нейролеммоцита; 4

Слайд 40Рецепторные нервные окончания (схема по Р. В. Кристичу с изменениями).
А

- свободные нервные окончания (боль); Б - тельце Мейсснера (прикосновение);

В – колба Краузе (холод); Г - тельце Фатера-Пачини (давление); Д — тельце Руффини (тепло).
Рецепторные нервные окончания (схема по Р. В. Кристичу с изменениями).А - свободные нервные окончания (боль); Б -

Слайд 41Свободное нервное окончание в соединительной ткани

Свободное нервное окончание в соединительной ткани

Слайд 43Нервно-мышечное веретено
Строение нервно-мышечного веретена (схема).
А - моторная иннервация интрафузальных

и экстрафузальных мышечных волокон (по А. Н. Студитскому); Б -

спиральные афферентные нервные окончания вокруг интрафузальных мышечных волокон в области ядерных сумок (по Р. Кристичу, с изменением): 1 - нервно-мышечные эффекторные окончания экстрафузальных мышечных волокон; 2 - моторные бляшки интрафузальных мышечных волокон; 3 - соединительнотканная капсула; 4 - ядерная сумка; 5 – чувствительные кольцеспиральные нервные окончания вокруг ядерных сумок; 6 - скелетные мышечные волокна; 7 - нерв.
Нервно-мышечное веретено Строение нервно-мышечного веретена (схема).А - моторная иннервация интрафузальных и экстрафузальных мышечных волокон (по А. Н.

Слайд 50Отделы спинного мозга
шейный cervicalis – 8 сегментов
грудной thoracalis – 12

сегментов
поясничный lumbalis – 5 сегментов
крестцовый sacralis – 5 сегментов

Отделы спинного мозгашейный cervicalis – 8 сегментовгрудной thoracalis – 12 сегментовпоясничный lumbalis – 5 сегментовкрестцовый sacralis –

Слайд 53Двухнейронная рефлекторная дуга собственного аппарата спинного мозга

Двухнейронная рефлекторная дуга собственного аппарата спинного мозга

Слайд 57Поперечный срез спинного мозга на уровне грудных сегментов. Импрегнация серебром.

Ув.: х 10 раз.
1 - мягкая оболочка
2 - задняя срединная

перегородка
3 - белое вещество: а - задние канатики
б - боковые, канатики
в - передние канатики
4 - серое вещество: г - задние рога
д - боковые рога
е - передние рога
ж- мозговые перегородки
з, и - центральное промежуточное вещество
5 - центральный канал
6 - передняя срединная вырезка.

В.Г. Елисеев, Ю.И. Афанасьев, Е.Ф., Котовский, 1970

Поперечный срез спинного мозга на уровне грудных сегментов. Импрегнация серебром. Ув.: х 10 раз.1 - мягкая оболочка2

Слайд 58В.Г. Елисеев, Ю.И. Афанасьев, Е.Ф., Котовский, 1970

В.Г. Елисеев, Ю.И. Афанасьев, Е.Ф., Котовский, 1970

Слайд 59Топография проводящих путей аппарата двусторонней связи спинного мозга и головного

мозга
Афферентные пути:
1 – fasciculus gracilis (Голля)
2 – fasciculus cuneatus (Бурдаха)
3

– tr. spino-thalamicus
4 – tr. spino-cerebellaris dorsalis
(Флексига)
5 – tr. spino-cerebellaris ventralis
(Говерса)

Эфферентные пути:
6 – tr. cortico-spinalis lateralis
7 – tr. corticospinalis anterior
8 – tr. rubro-spinalis (Монаков)
9а – tr. vestibulo-spinalis (Дейтерса)
9б – tr. stria-spinalis
10 – tr. tecto-spinalis

Ядра серого вещества:
А – ядро Роландова вещества
Б – собственное ядро задних рогов
В – ядра Кларка
Г – медиальное промежуточное ядро
Д – латеральное промежуточное ядро
Е – двигательные ядра


1

2

3

4

5

6

7

8

9а, б

10

А

Б

В

Г

Д

Е

Топография проводящих путей аппарата двусторонней связи спинного мозга и головного мозгаАфферентные пути:1 – fasciculus gracilis (Голля)2 –

Слайд 60Серое вещество
задние рога
губчатый слой
роландово желатинозное вещество
собственное ядро заднего

рога
дорсальное ядро (Кларка-Штиллинга)
боковые рога
промежуточное медиальное ядро
промежуточное латеральное ядро
передние рога
двигательные ядра


Серое веществозадние рога губчатый слой роландово желатинозное веществособственное ядро заднего рогадорсальное ядро (Кларка-Штиллинга)боковые рогапромежуточное медиальное ядропромежуточное латеральное

Слайд 61Роландово желатинозное вещество
располагается в заднем роге по всей длине СМ
состоит

из небольшого количества нервных клеток сравнительно малого размера и большого

количества нейроглиальных клеток
нейроны участвуют в передаче афферентных импульсов температурной и болевой чувствительности
Нейроны обеспечивают связь чувствительных клеток спинального ганглия и двигательных нейронов передних рогов
Роландово желатинозное веществорасполагается в заднем роге по всей длине СМсостоит из небольшого количества нервных клеток сравнительно малого

Слайд 62Собственное ядро заднего рога
располагается по всей длине СМ
образовано ассоциативными нейронами,

аксоны которых переходят на противоположную сторону в боковые столбы (канатики)
формируют

tr. spino-cerebellaris ventralis и
tr. spino-thalamicus.
Собственное ядро заднего рогарасполагается по всей длине СМобразовано ассоциативными нейронами, аксоны которых переходят на противоположную сторону в

Слайд 63Дорсальное (грудное) ядро (Кларка-Штиллинга)
располагается на уровне С8-L3

образовано крупными нейронами, аксоны

которых выходят в БВ в боковые столбы (канатики) на своей

стороне

формируют tr. spino-cerebellaris posterior (Флексига)
Дорсальное (грудное) ядро  (Кларка-Штиллинга)располагается на уровне С8-L3образовано крупными нейронами, аксоны которых выходят в БВ в боковые

Слайд 64Дорсальное (грудное) ядро (Кларка-Штиллинга)
располагается на уровне С8-L3

образовано крупными нейронами, аксоны

которых выходят в БВ в боковые столбы (канатики) на своей

стороне

формируют tr. spino-cerebellaris posterior (Флексига)
Дорсальное (грудное) ядро  (Кларка-Штиллинга)располагается на уровне С8-L3образовано крупными нейронами, аксоны которых выходят в БВ в боковые

Слайд 65Nucleus intermedius medialis
располагается на уровне Th1-L3.

аксоны нейронов участвуют в формировании



tr. spino-cerebellaris на своей стороне

Nucleus intermedius medialisрасполагается на уровне Th1-L3.аксоны нейронов участвуют в формировании   tr. spino-cerebellaris на своей стороне

Слайд 66Белое вещество
задние столбы
восходящий проводящие пути пучки Голя и Бурдаха (нежный

и клиновидный пучки, соответственно), проведение импульсов мышечно-суставного чувства, вибрационной и

тактильной чувствительности
боковые столбы
Восходящие – tr. spino-thalamicus, tr. spino-cerebellaris dorsalis (Флексига) и ventralis (Говерса)
Нисходящие - tr. cortico-spinalis lateralis (основной боковой пирамидный путь), tr. rubro-spinalis (Монаков), tr. reticulo-spinalis.
передние столбы
нисходящие пучки, формирующие tr. corticospinalis anterior (медиальный край столба), tr. vestibulo-spinalis, tr. tecto-spinalis (расположение на границе переднего и бокового столбов БВ).
Белое веществозадние столбывосходящий проводящие пути пучки Голя и Бурдаха (нежный и клиновидный пучки, соответственно), проведение импульсов мышечно-суставного

Слайд 67Двухнейронная рефлекторная дуга собственного аппарата спинного мозга

Двухнейронная рефлекторная дуга собственного аппарата спинного мозга

Слайд 68 Спинномозговой узел кошки.
Окраска: гематоксилин и эозином. Ув.: об.

8, ок. 10.
/ - дорсальный корешок
2 - спинно­мозговой узел:
а

- нервная клетка
б - нервные волокна
в – капсула
3 - вентральный корешок
4 - спинномозговой нерв

В.Г. Елисеев, Ю.И. Афанасьев, Е.Ф., Котовский, 1970

Спинномозговой узел кошки. Окраска: гематоксилин и эозином. Ув.: об. 8, ок. 10./ - дорсальный корешок2 -

Обратная связь

Если не удалось найти и скачать доклад-презентацию, Вы можете заказать его на нашем сайте. Мы постараемся найти нужный Вам материал и отправим по электронной почте. Не стесняйтесь обращаться к нам, если у вас возникли вопросы или пожелания:

Email: Нажмите что бы посмотреть 

Что такое TheSlide.ru?

Это сайт презентации, докладов, проектов в PowerPoint. Здесь удобно  хранить и делиться своими презентациями с другими пользователями.


Для правообладателей

Яндекс.Метрика