Разделы презентаций


Дәріс тақырыбы Тері аурулары : Есекжем, Аллергиялық контактты дерматит,

Содержание

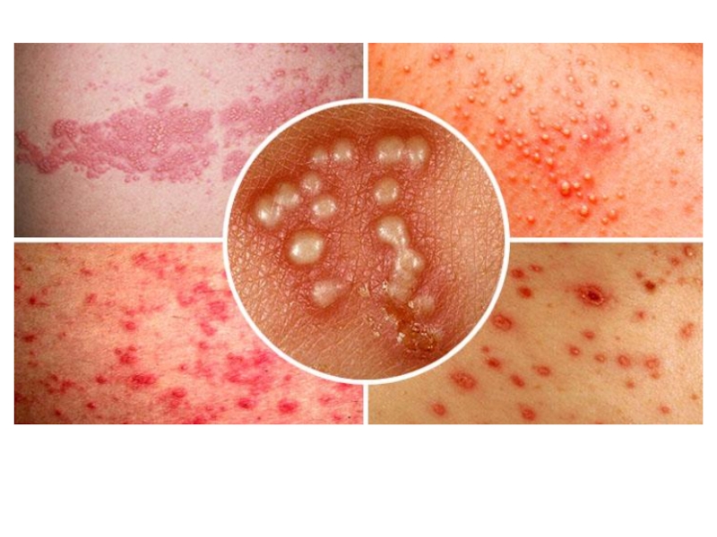
Есекжем (Крапивница)Есекжем (urtіcarіa) — қантамыр реакциясы, теріде және шырышты қабатта кенеттен қызарып, күлдіреп, қышымалы бөртпелер түрінде болатын, жіті немесе созылмалы түрде өтетін тері ауруы. Аллергиялық есекжем азық-түліктер, дәрі-дәрмектер әсерінен пайда болады. Аллергиялық емес

Слайды и текст этой презентации

Слайд 1Дәріс тақырыбы
Тері аурулары: Есекжем, Аллергиялық контактты дерматит, атопиялық дерматит. Мультиформалы

эритема. Түйінді эритема, индуративті эритема. Псориаз, қызыл жалпақ теміреткі, қызылжегі,

кәдімгі безеу. Көпіршік, буллезды пемфигоид, герпес тәрізді дерматиттердің патологиялық анатомиясы, гистологиялық көріністері.
Дәріс тақырыбыТері аурулары: Есекжем, Аллергиялық контактты дерматит, атопиялық дерматит. Мультиформалы эритема. Түйінді эритема, индуративті эритема. Псориаз, қызыл

Слайд 2
Есекжем (Крапивница)
Есекжем (urtіcarіa) — қантамыр реакциясы, теріде және шырышты қабатта кенеттен

қызарып, күлдіреп, қышымалы бөртпелер түрінде болатын, жіті немесе созылмалы түрде

өтетін тері ауруы.
Аллергиялық есекжем азық-түліктер, дәрі-дәрмектер әсерінен пайда болады. Аллергиялық емес есекжем морфин, кодеин, декстран және қалақаймен, медузамен, жұлдыз құртпен, актиниялармен жұғысқанда пайда болады.
Есекжем (Крапивница)Есекжем (urtіcarіa) — қантамыр реакциясы, теріде және шырышты қабатта кенеттен қызарып, күлдіреп, қышымалы бөртпелер түрінде болатын, жіті

Слайд 4
Дерманың ісінуі, қантамырларының кеңеюіғ ісінуі, әдетте лимфоциттерден және аздаған мөлшерде

эозонофильдерден тұратын полиморфты периваскулярлы инфильтрация. Бұл кқріністер дерманың ортанңы және

жоғарғы қабаттарында анық көрінеді. Ангионевротикалық ісіну кезінде бірінші кезекте теріасты тіні мен дерманың төменгі қабаттары зақымдалады. Васкулит кезіндегі есекжем қантамырларының эндотелийінің ісінуімен, лейкоцитоклазиспен, (нейтрофилдердің ыдырауы), қантамырларының қабырғасында фибриноидты қалдықтарымен, эритроциттердің диапедезімен, периваскулярлы лейкоцитарлы инфильтрациямен сипатталады.

Гистологиялық көріністері

Дерманың ісінуі, қантамырларының кеңеюіғ ісінуі, әдетте лимфоциттерден және аздаған мөлшерде эозонофильдерден тұратын полиморфты периваскулярлы инфильтрация. Бұл кқріністер

Слайд 5ДЕРМАНЫҢ БЕТКЕЙ ҚАБАТЫНЫҢ ІСІНУІ
КЕҢЕЙГЕН ҚАНТАМЫРЛАРДАҒЫ ПЕРИВАСКУЛЯРЛЫ ҚАБЫНҒАН ЖАСУШАЛАР
ҚАЛЫПТЫ ЭПИДЕРМИС

ДЕРМАНЫҢ БЕТКЕЙ ҚАБАТЫНЫҢ ІСІНУІКЕҢЕЙГЕН ҚАНТАМЫРЛАРДАҒЫ ПЕРИВАСКУЛЯРЛЫ ҚАБЫНҒАН ЖАСУШАЛАРҚАЛЫПТЫ ЭПИДЕРМИС

Слайд 6
АЛЛЕРГИЯЛЫҚ КОНТАКТТЫ ДЕРМАТИТ – терінің аллергиялық қабынбалы зақымдалуы.
Аурудың жедел

түрінде:
Терінің қызаруы.
Ісіну.
Осы аймақтағы қышу.
Көпіршіктердің пайда болуы. Көпіршіктер қайтқан соң жараның

орыны қалады, одан кейін тыртық.
Аурудың созылмалы түрінде:
Терінің жұқаруы;
Құрғауы, қабыршақтануы;
Тері суретінің күшеюі;
Жарылулардың болуы.
АЛЛЕРГИЯЛЫҚ КОНТАКТТЫ ДЕРМАТИТ – терінің аллергиялық қабынбалы зақымдалуы. Аурудың жедел түрінде:Терінің қызаруы.Ісіну.Осы аймақтағы қышу.Көпіршіктердің пайда болуы. Көпіршіктер

Слайд 7Гистологиялық көрінісі
Тері аллергенмен жанасқаннан кейін 3 сағаттан соң, теріде момнонуклеарлармен

вазодилятация және периваскулярлы инфильтрация болады, 6 сағаттан соң –мононуклеарлармен терінің

инфильтрациясы, эпидермистің терең қабаттарында жасуша ішілік ісіну, ал келесі 12-24 сағатта спонгиоз ұлғайып, эпидерма ішілік везикулалар түзіледі. Мононуклеарлармен инфильтрация эпидермистің толығымен алып жатады. Эпидермалды қабаттың жұқаруы(акантоз) көзбен көрінетін болады. 2 күннен кейін спонгиоз жоғалып, везикулярлы көріністер, акантоз басым болып, паракератоз дамиды.
Жедел аллергиялық жанаспалы дерматитке: спонгиоз, везикуляция, акантоз, паракератоз, экзоцитоз тән. Гистологиялық суретте эпидермистің әртүрлі аймақтары шашыраңқы зақымдалады.
Гистологиялық көрінісіТері аллергенмен жанасқаннан кейін 3 сағаттан соң, теріде момнонуклеарлармен вазодилятация және периваскулярлы инфильтрация болады, 6 сағаттан

Слайд 9
Атопиялық дерматит — диатез, балалар есекжемі, созылмалы аллергиялық, яғни ауық-ауық

қайталанып тұратын ауру. Асқынған кезінде жазылмай, тұрақтап қалуы да мүмкін.

Тұқым қуалайды. Әке-шешесінде осы кесел болса, балаларының бұл ауруға шалдығу қаупі 80 пайыз шамасында.

Атопиялық дерматит

Атопиялық дерматит — диатез, балалар есекжемі, созылмалы аллергиялық, яғни ауық-ауық қайталанып тұратын ауру. Асқынған кезінде жазылмай, тұрақтап

Слайд 11

Жіктемесі:
1. Шын мəніндегі экзема. 2. Микробтық

экзема.  3. Себероидты экзема.  
Ауырлық дəрежесі: жеңіл , орташа,  ауыр.  
Балл бойынша (1 балл - жеңіл өтетін, 2 балл - орташа ауырлықта, 3 балл – ауыр өтетін): - бастың зақымдануы - 1 балл;
- кеуде - 1 балл; - аяқ – қол - 1 балл.

Жіктемесі:1.

Слайд 12Клиникалық көріністері

Клиникалық көріністері

Слайд 14
Гистология: эпидермисте акантоз, паракератоз, гиперкератоз, әлсін спонгиоз байқалады. Дермада —

капиллярлардың кеңеюі, емізікшелі қабаттың қантамырлардың маңайында – лимфоциттердің инфильтрациясы.

Гистология: эпидермисте акантоз, паракератоз, гиперкератоз, әлсін спонгиоз байқалады. Дермада — капиллярлардың кеңеюі, емізікшелі қабаттың қантамырлардың маңайында –

Слайд 15Мультиформалы эритема – терінің және шырышты қабаттың мультиформалы бөртпелердің шығуымен,

жедел, аллергиялық, көктем-күз айларында өршулермен жүретін ауру.

Мультиформалы эритема – терінің және шырышты қабаттың мультиформалы бөртпелердің шығуымен, жедел, аллергиялық, көктем-күз айларында өршулермен жүретін ауру.

Слайд 16
Ошақтардың локализациясы байланысты
Мультиформалы эритемаға тән:
Бөртпелердің симметриялы орналасуы
Бөртпелер иықтың, балтырдың алдыңғы

беткейі, шынтақ және тізе буындары, табан мен қол басының жазғыш

беткейлерінде орналасады.
Бөртпе өте сирек табан мен алақанға шығады. Шыққан жағдайда көкшіл жайылған түсті болып келеді.
Жаңадан шыққан бөртпелер, әсіресе еріннін қызыл жиегі мағайында, бетте, иықта шығады.
Дененің түкті бөліктерінде де кездескен жағдайлар болған.


Ошақтардың локализациясы байланыстыМультиформалы эритемаға тән:Бөртпелердің симметриялы орналасуыБөртпелер иықтың, балтырдың алдыңғы беткейі, шынтақ және тізе буындары, табан мен

Слайд 17
Гистологиялық зерттеу. Морфологиялық субстрат – қантамырларының маңайында лимфоцитарлы инфильтрат, эозонофильдер немесе

нейтрофильдердің аздаған шоғырымен. Тез жинақталады, көкшіл-қызғылт түске ие. Базальды қабат:

жасуша ішілік және сыртылық ісіну, көпіошіктің пайда болуымен эпидермис сыдырылып түсуі мүмкін, көпіршік қақпағын эпидермистің барлық қабаттары алып жатады. Қақпақша киімнің де астында, диметрі үлкен болса да 2-3 күн сақталуы мүмкін. Сыртқа геморрагиялық элемент ретінде көрінген экстравазаттар түрінде көрінуі мүмкін.
Гистологиялық зерттеу. Морфологиялық субстрат – қантамырларының маңайында лимфоцитарлы инфильтрат, эозонофильдер немесе нейтрофильдердің аздаған шоғырымен. Тез жинақталады, көкшіл-қызғылт түске

Слайд 18Мультиформалы эритема гистологиялық суреті

Мультиформалы эритема гистологиялық суреті

Слайд 19
Түйінді эритема – тері және тері асты қантамырларының қабынуымен жүретін,

аллергиялық, шар тәрізді, тығыз, әртүрлі мөлшердегі, ауырсынумен жүретін қабынбалы түйін.

Жиі аяқта орналасады.
Түйінді эритема – тері және тері асты қантамырларының қабынуымен жүретін, аллергиялық, шар тәрізді, тығыз, әртүрлі мөлшердегі, ауырсынумен

Слайд 20Түйінді эритеманың гистипатологиясы.
Гистологиялық өзгерістер терісасты май клетчаткасының жоғарғы бөлігінде

болады.
Дермада қантамыр маңайында лимфоцитарлы инфильтра.
Жаңадан шыққан бөртпелер кезінде

қою лимфоциттерден, нейтрофильдерден болған инфильтрат, аздаған мөлшерде гистиоциттер.
Аурудың өршу кезінде: май тінінің жоғарғы, астыңғы бөлігі, тер бездері маңайы, фиброзды пердеге дейін инфильтрат орналасады.
Қантамырларда, әсіресе көктамырда көптеген өзгерістер болады. Түйінді эритема кезінде біріншілік және негізгі зақым көзі қантамыры болады.
Қантамыр зақымдалса, қабыну инфильтраты қантамыр қабырғасына еніп, айқын эндотелиальды пролиферация болады. Гистиоциттерден тұратын ұсақ түйіндер анықталады. Бұлар басқа тері ауруларында кездеспегендіктен, диагностикалық құны жоғары. Ескі бөртпелерде эпителиоидты және алып жасушалар кездеседі.
Түйінді эритеманың гистипатологиясы. Гистологиялық өзгерістер терісасты май клетчаткасының жоғарғы бөлігінде болады. Дермада қантамыр маңайында лимфоцитарлы инфильтра. Жаңадан

Слайд 21Ревматизм кезіндегі түйінді эритема

Ревматизм кезіндегі түйінді эритема

Слайд 22Индуративті эритема
Индуративная эритема Базена – очаговое кожное заболевание, развивающееся на фоне

туберкулезного процесса и являющееся одной из его форм проявления. Чаще

всего болезнь поражает женщин, находящихся в возрастной группе от 16 до 40 лет. Развивается вторично у людей, перенесших или страдающих от туберкулеза.
Индуративті эритемаИндуративная эритема Базена – очаговое кожное заболевание, развивающееся на фоне туберкулезного процесса и являющееся одной из его

Слайд 23Индуративті эритема

Индуративті эритема

Слайд 24 Гистопатология индуративной эритемы Базена: - Преимущественно лобулярный или смешанный

лобулярно-септальный панникулит с васкулитом в 90% случаев. - Обширный некроз

адипоцитов в центре жировой дольки. - Вариабельный воспалительный инфильтрат в жировой дольке; нейтрофилы в очагах на ранней стадии и эпителиоидные гистиоциты и многоядерные гигантские клетки в полностью сформировавшихся очагах. - Васкулит малых вен и венул жировой дольки.Источник: https://medicalplanet.su/dermatology/indurativnaia_etirema_bazena.html MedicalPlanet

Гистопатология индуративной эритемы Базена: - Преимущественно лобулярный или смешанный лобулярно-септальный панникулит с васкулитом в 90% случаев.

Слайд 26Псориаз - созылмалы, қайталанып тұратын тері ауруы. Ауру 16 мен

25 жас аралығында көбірек кездеседі, бірақ тіпті бала кезінде басталуы

да мүмкін.
Псориаздың даму кезеңдері.
үдемелі (жедел ағымды)
тұрақты
Аяқталу
Жалқықтық псориаз. табақшаларадың бетіндегі қабыршақтарға ұйыма сұйықтық сіңіп, олар бір-біріне жабысып, қатпарлы сарғыш-тау қабықтарға айналады, оларды алып тастамаса асты ылғалданып тұрады және тез қанағыш келеді. Табақшалардың (бляшка) үстін қабықтар түгел жауып тұрмайды , шетінде қызғылт жіңішке жолақ қалады.
Артропатиялық псориаз. Кейбір жағдайда псориазда буын зақымдануы да мүмкін, әдетте аяқ-қолдың кішкене , кейде ірі буындары ауырады. Басында тек буындар ауырады. Кейінірек олар ісінеді, жан жағындағы тіндердің сіңбесіне байланысты қимылы қиындайды, келе-келе буын тіпті қозғалуға келмей қақайып қалуы мүмкін.
Екінші дәрежелі эритродермия. Бүкіл денені жауып кететін бұл псориаздың түрі жедел басталады. Бұрыннан бар түйіншектердің, табақшалардың арасындағы тері қызарып, бөртпелер бір-біріне қосылып кетеді. Осы эритеманың үстінде кішкентай , жеңіл және жұқа қабыршақтар қаптап кетеді, тез-тез түлеп түсе береді. Бұрынғы бөртпелер көрінбей , терінің бәрі түгелдей қызарып кетеді. Шаш түсіп қалуы да мүмкін . Тырнақтар қалыңдап, көпсіп, ұясынан шығып, түсіп қалады. Бірнеше апта, айға созылып , сосын эритродермия жазылып, псориаздың өзіндік бергілері ғана қалады.
Псориаз - созылмалы, қайталанып тұратын тері ауруы. Ауру 16 мен 25 жас аралығында көбірек кездеседі, бірақ тіпті

Слайд 27Псориаздың локализациясы

Псориаздың локализациясы

Слайд 28Псориаз

Псориаз

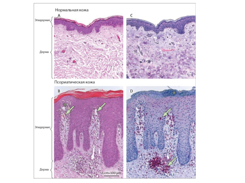
Слайд 29Гистопатологиясы.
 Эпидермисте акантоз байқалады, сондықтан дерманың емізікше қабатына кіріп (екі емізіктің ортасында)

тұратын эпидермистің өсінділері ұзарып кетеді және паракератоз тән. Дәнді қабат

мүлдем жоғалып кетеді. Аурудың жедел ағымды мерзімінде эпидермистің тікенекті қабатында жиі таралған клеткааралық ісік, лейкоциттер эпидермиске өтіп, Мунро микроабцестері түрінде жиналады. Дермада ісік және емізіктері ұзарып, мүйізді қабатқа дейін көтеріледі. Қан тамырлары кеңейіп, айналасында көбіне лимфоциттерден тұратын сіңбе пайда болады, псориаздың бірқалыпты мерзіміне қарай бұл сіңбе арта түседі.
Гистопатологиясы. Эпидермисте акантоз байқалады, сондықтан дерманың емізікше қабатына кіріп (екі емізіктің ортасында) тұратын эпидермистің өсінділері ұзарып кетеді және паракератоз

Слайд 32 Қызыл жазық теміреткі (lichen ruber planus)


–Бұл тері ауруларының таралған

бір түрі.Қатерлі дерматоз ауруларының бірі,тері,шырышты қабаттарды,тырнақты зақымдаумен көрінетін ауру.Көбінесе ауыздың шырышты қабатында кездездеседі.Бұл ауру барлық жастағы адамдарда кездеседі,шырыты қабаттың зақымдануы 40 жас-тан 50 жасқа дейін әйелдерде кездеседі.Сонымен қатар орталық жүйке жүйесінің (ашуланшақ адамдар,ауыр уайымнан кейін),ішкі секреция безінің қызметін бұзады.Қызыл жазық теміреткі басқа дерматозды аурулардан ерекшеленеді (қатерлі гастрит,асқазан,он екі елі ішектің жарасы,бауырдың билиарлы церрозы,қант диабеті және т.б.).Осы ауруға мынадай элементтер тән:дақ,көпіршік,эрозия,жара.
Қызыл жазық теміреткі (lichen ruber planus)       –Бұл

Слайд 34 Қызыл жазық теміреткінің басқа түрлері болады:
Қызыл жазық теміреткінің

сақина тәріздес
Қызыл жазық теміреткінің экзематозды
Қызыл жазық теміреткінің атрофиялық


Қызыл жазық теміреткінің веррукозды
Қызыл жазық теміреткінің дақты

Қызыл жазық теміреткінің шырышты қабаттағы түрлері:
Эксудатты-гиперемиялық
Эрозия-жаралы
Буллезді гиперкератикалық
Қызыл жазық теміреткінің басқа түрлері болады:Қызыл жазық теміреткінің сақина тәріздес Қызыл жазық теміреткінің экзематозды Қызыл

Слайд 35 Жіктелуі
Типтік

түрі
Гипертрофиялық түрі
Атрофиялық түрі
Буллезді түрі
Эритематозды түрі

ЖіктелуіТиптік түріГипертрофиялық түріАтрофиялық түріБуллезді түріЭритематозды түрі

Слайд 36 Ағымы бойынша:
Жедел түрі (1 айға дейін созылады)
Жедел алды түрі

(6 айға дейін созылады)
Ұзақ ағымды түрі (6 айдан көп)

Ағымы бойынша:Жедел түрі (1 айға дейін созылады)Жедел алды түрі (6 айға дейін созылады)Ұзақ ағымды түрі (6

Слайд 37Қызыл жалпақ теміреткі -

Қызыл жалпақ теміреткі -

Слайд 39 Гистологиясы
Қызыл жазық теміреткінің гиперкератоз, акантоз,
терінің зернизтый қабаты

кеңейгені байқалады.
Дермада домалақжасушалы инфильтрат, лимфоцит,
фибробласт,тін базофилінен,сегмент

нейтрофильді
гранулоциттен тұратын анықталған.

ГистологиясыҚызыл жазық теміреткінің гиперкератоз, акантоз,  терінің зернизтый қабаты кеңейгені байқалады.  Дермада домалақжасушалы инфильтрат, лимфоцит,

Слайд 42Қызыл жегі (lupus erythematodes)
Созылмалы аутоиммунды ауру; дәнекер тіннің диффузды аурулары қатарына

жатады. Әр түрлі дәрі-дәрмектер (гидролизин, антибиотиктер, сульфаниламидтер, вакциналар, сарысулар), инфекциялық факторлар (стрептококк, вирусты инфекция) және сыртқы

тітіркендіргіш әсерлерінен (ультракүлгін, инфрақызыл сәулелер, радиация, суық тию) пайда болады. Ауру тұқым қуалайды. Организмге түскен ошақты созылмалы инфекциялар орталығы және шеткі жүйке мен эндокриндік жүйелердің жұмысының бұзылуына, аурудың асқынуына жол ашады.

Қызыл жегі (lupus erythematodes) Созылмалы аутоиммунды ауру; дәнекер тіннің диффузды аурулары қатарына жатады. Әр түрлі дәрі-дәрмектер (гидролизин, антибиотиктер, сульфаниламидтер, вакциналар, сарысулар), инфекциялық факторлар (стрептококк, вирусты

Слайд 43Зақымданулардың клиникалық-морфологиялық синиттамалары
терінің: "көбелек" белгісі, кашшіяриттер, экссудатты эритема,пурпура, дискоидтық жегіт.б.:
буындардың:

артралгиялар және полиартриттің жедел, жеделдеу,созылмалы түрлері;
сероздық қабықтардың: полисерозит, плеврит, перикардит

(құрғақ және
жабысқақты), периспленит;
жүректің; миокардит, эндокардит, митральді қақпақтың жетіспеушілігі;
өкпенің: жедел немесе созылмалы пневмонит, пневмосклероз;
бүйректің: нефротикалық немесе аралас типті люпуонефрит,несептік синдром;
нерв жүйесінің: менингоэнцефалополирадикулоневрит, полиневрит.
Зақымданулардың клиникалық-морфологиялық синиттамаларытерінің:

Слайд 45Жүйелі қызыл жегіде дамитын патоморфологиялық өзгерістер:
жайылма полиорғандық деструкциялық-пролиферациялық васкулит;
дәнекер тінінің

жүйелі бұзылыстары;
жегі факторының әсерінен жасушалық ядролардың бұзылуы (ядролардың алдымен ісініп,

кейін ыдырап жегі денешіктеріне айналуы).
Нейтрофилдер жегі денешіктерін айнала қоршап түймедақ феноменін түзеді. Ақырында қоршаудағы лейкоциттің біреуі жегі денешігін жұтады да, содан кейін қалған лейкоциттер тарап кетеді. Жегі денешігін фагоцитоздағы - нейтрофил жегі (LЕ) жасушасы деп аталады.

Жүйелі қызыл жегіде дамитын патоморфологиялық өзгерістер: жайылма полиорғандық деструкциялық-пролиферациялық васкулит;дәнекер тінінің жүйелі бұзылыстары;жегі факторының әсерінен жасушалық ядролардың

Слайд 47Безеу немесе акне (acne) – әртүрлі себептерден май бездерінің және

шаш қапшығының қабынуы. Қою және сұйық себорея өршуінен пайда болатын

безеуді, кәдімгі немесе жасөспірім безеуі (acne vulgaris, s. Juvcnillis) дейді. Олардың арасында бірнеше түрі бар. Ең жеңіл, қарапайым және жиі кездесетін түрі түйіншекті (а. papulosa) безеу.
Безеу немесе акне (acne) – әртүрлі себептерден май бездерінің және шаш қапшығының қабынуы. Қою және сұйық себорея

Слайд 48Пайда болу себебі мен клиникалық көрінісіне байланысты:
Кәдімгі (acne vulgaris),
Келоидты (acne

keloidea),
Қызыл (acne rosacea),
Некротикалық (acne necrotica),
Медикаментозды (acne medicamentosa)
Профессионалды (acne professionalis)

Пайда болу себебі мен клиникалық көрінісіне байланысты:Кәдімгі (acne vulgaris),Келоидты (acne keloidea),Қызыл (acne rosacea),Некротикалық (acne necrotica),Медикаментозды (acne medicamentosa)Профессионалды

Слайд 50Гистологиялық зерттеу
Кәдімгі безеу – гиперплазирленген май бездерінің маңайында және сонымен

байланысты шаш фолликулаларының маңайында қабыну инфильтраттары анықталады. Папулёзды, пустулёзды және

флегмонозды түрлерінде нейтрофильді лейкоциттер және лимфоциттер көптеп кездеседі, ал тығыз және конглобатты безеулерде – гистиоциттер, плазматикалық және алып жасушалар, перифокалды фиброз болады. Май бездерінің өзектерінде және шаш фолликулаларының ауызында  гиперкератоз және комедондар болады.
Гистологиялық зерттеуКәдімгі безеу – гиперплазирленген май бездерінің маңайында және сонымен байланысты шаш фолликулаларының маңайында қабыну инфильтраттары анықталады.

Слайд 52Көпіршік (Пузырчатка)
Қабынбаған тері мен шырышты қабатта көпіршікшелердің пайда болуы, акантолиз

және дұрыс ем жүргізілмеу нәтижесінде пайда болатын, өзінің клиникалық көрінісімен

жүретін тері ауруы.
Көпіршік (Пузырчатка)Қабынбаған тері мен шырышты қабатта көпіршікшелердің пайда болуы, акантолиз және дұрыс ем жүргізілмеу нәтижесінде пайда болатын,

Слайд 53Жіктелуі
Вульгарлы көпіршік
Вегетирлеуші көпіршік
Жапырақ тәрізді көпіршік
Себореялы (эритематозды) көпіршік немесе Сенир-Ашер

синдромы.
1) акантолитикалық емес көпіршік
(Левердің буллезды пемфигоиды);
2) шырышты-синеахиальды атрофирлеуші буллезді дерматит

(көз көпіршігі);
3) Қатерсіз акантолитикалық емес ауыз қуысы шырышты қабатының көпіршігі
Жіктелуі Вульгарлы көпіршікВегетирлеуші көпіршікЖапырақ тәрізді көпіршікСебореялы (эритематозды) көпіршік немесе Сенир-Ашер синдромы.1) акантолитикалық емес көпіршік(Левердің буллезды пемфигоиды);2) шырышты-синеахиальды

Слайд 54Вульгарлы көпіршік
Вегетирлеуші көпіршік
Себореялы көпіршік

Вульгарлы көпіршік Вегетирлеуші көпіршік Себореялы көпіршік

Слайд 55Акантолитикалық емес көпіршік

Акантолитикалық емес көпіршік

Слайд 56ГИСТОПАТОЛОГИЯ
Көпіршіктің морфологиялық ерекшелігі акантолиз, яғни тікенекті қабаттың төменгі

бөлігінде жасуша аралық көпірлердің еруі нәтижесінде, пай болған эпителий ішілік

көпіршік болып табылады. Осы қабаттың жасушалары қосылып, араларында қуыс, ал одан көпіршік пайда болады. Осындай көпіршіктердің түбі мен беткейі жаралардың жарылуынан кейін, акатолитикалық жасушалармен көрінеді.

АКАНТОЛИЗ

ГИСТОПАТОЛОГИЯ  Көпіршіктің морфологиялық ерекшелігі акантолиз, яғни тікенекті қабаттың төменгі бөлігінде жасуша аралық көпірлердің еруі нәтижесінде, пай

Слайд 57Ірі, кернеулі көпіршіктермен көп немесе аз генерализденген бөртпелермен болатын тері

ауруы. Көпіршік жарылғаннан кейін эрозивті беткей пайда болады. Өздігінен жазылатын

қасиеті өте жоғары. Ауыз қуысындағы зақымдалу әлсіз, не болмауы да мүмкін. Әлсіреген, кәрі адамдарда дерматоз өлімге әкелуі мүмкін, дені сау, мықты адамдарда созылмалы түріне ауысуы мүмкін.
Ірі, кернеулі көпіршіктермен көп немесе аз генерализденген бөртпелермен болатын тері ауруы. Көпіршік жарылғаннан кейін эрозивті беткей пайда

Слайд 59Буллезді пемфигоидтың гистиопатологиясы
Ерте бөртпелер эпидерма асты вакуольдердің пайда болуымен, кейін

олардың эпидерма асты көпіршікке (Левер) айналуымен сипатталады.
Қысымға байланысты жаңа, жас

ұсақ көпіршіктер жиі дөңгелек пішінді болады.
Көпіршіктің сыртқы қабырғасын түзетін эпидермалды жасушалар барынша созылған, жасуша аралық көпірлері зақымдалмаған. Мұндай көпіршіктер қысымнан пайда болған деп аталады.
Акантолиз болмайды.
Көпіршіктің қақпағы қалыпты эпидермистен тұрады. Ары қарай ол некроздалып, мүйізді қабаттан басқа қабаттар бұзылады.
Мұндай регенерация - эпидерма ішілік көпіршіктің пайда болуына әкеледі. Мальпигий қабатының бұзылуы мүйізді қабат асты көпіршіктің пайда болуына әкеледі.
Қабынбалы инфильтраттардың мөлшері әртүрлі. Кей инфильтраттардың құрамында эозонофильдер көп болады.
Буллезді пемфигоидтың гистиопатологиясыЕрте бөртпелер эпидерма асты вакуольдердің пайда болуымен, кейін олардың эпидерма асты көпіршікке (Левер) айналуымен сипатталады.Қысымға

Слайд 61Герпес тәрізді дерматит
Герпес тәрізді дерматит – 1-ші не 2-ші типті

герпес вирусы әсерінен пайда болатын эпидермис қабюатын зақымдайтын тері ауруы.

Рецидивтермен жүретін, кешенді емді қажет ететін созылмалы тері ауруы. Иықта, қолда, бөкседе, жамбаста, сирек басқа дене бөліктеріне шығатын, қышу мен ашумен жүретін бөртпелермен көрінетін ауру.
Герпес тәрізді дерматитГерпес тәрізді дерматит – 1-ші не 2-ші типті герпес вирусы әсерінен пайда болатын эпидермис қабюатын

Слайд 62Жиі иммунитеті төмен адамдарды кездеседі. Бөртпелердің сипатына қарай герпес бөлінеді:
Папулёзды

– папулалар.
Буллезды – күйік кезіндегі күлдіреуіктер
Везикулезді – везикулалар.
Уртика тәрізді – есекжем

тәрізді.
Параонкологиялық – онкологиялық аурулардың адам ағзасына әсері.
Строфулоидты, трихофитоидты, экзематоидты – атипиялық түрі.
Жиі иммунитеті төмен адамдарды кездеседі. Бөртпелердің сипатына қарай герпес бөлінеді:Папулёзды – папулалар.Буллезды – күйік кезіндегі күлдіреуіктерВезикулезді – везикулалар.Уртика

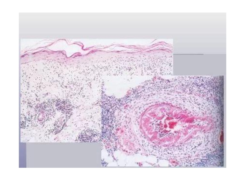
Слайд 65Аурудың дамуының ерте кезеңінде дерманың емізікшелерінде нейтрофильдердің (микроабцесстер), нейтрофильді фрагменттердің,

әртүрлі мөлшердегі эозонофильдердің, фибриндердің жинақталауын көреміз. Дерманың жоғарғы және ортанғы

бөлігіндегі қантамырлар лимфолейкоцитарлы инфильтраттармен, нейтрофильдермен, эозонофильдермен қоршалған.

Герпес тәрізді дерматиттің гистопатологиясы.

Ерте кездегі ошақтың биоптаты: дерманың емізікшелерінде нейтрофильдердің, эозонофильдердің жинақталауы және субэпидермалды везикуляция. Кіші (А) және үлкен (Б) көрінісі.

Аурудың дамуының ерте кезеңінде дерманың емізікшелерінде нейтрофильдердің (микроабцесстер), нейтрофильді фрагменттердің, әртүрлі мөлшердегі эозонофильдердің, фибриндердің жинақталауын көреміз. Дерманың

Обратная связь

Если не удалось найти и скачать доклад-презентацию, Вы можете заказать его на нашем сайте. Мы постараемся найти нужный Вам материал и отправим по электронной почте. Не стесняйтесь обращаться к нам, если у вас возникли вопросы или пожелания:

Email: Нажмите что бы посмотреть 

Что такое TheSlide.ru?

Это сайт презентации, докладов, проектов в PowerPoint. Здесь удобно  хранить и делиться своими презентациями с другими пользователями.


Для правообладателей

Яндекс.Метрика