Разделы презентаций


Рак легкого

Содержание

Статистика (заболеваемость в мире)Рак легких встречается преимущественно у лиц в возрасте 50-70 лет.

Слайды и текст этой презентации

Слайд 1Рак легкого

Рак легкого

Слайд 2Статистика (заболеваемость в мире)
Рак легких встречается преимущественно у лиц в

возрасте 50-70 лет.

Статистика (заболеваемость в мире)Рак легких встречается преимущественно у лиц в возрасте 50-70 лет.

Слайд 3Статистика (смертность в мире)

Статистика (смертность в мире)

Слайд 4Статистика (заболеваемость в РБ)
Количество смертей от рака легкого в РБ

составило 2944 случая.

Статистика (заболеваемость в РБ)Количество смертей от рака легкого в РБ составило 2944 случая.

Слайд 5Статистика (заболеваемость в РБ у мужчин)

Статистика (заболеваемость в РБ у мужчин)

Слайд 6Строение воздухоносных путей и респираторного отдела легкого (схема)
1 - трахея;


2 - главный бронх;
3 - крупные внутрилегочные бронхи;
4 -

средние бронхи;
5 - мелкие бронхи;
6 - терминальные бронхиолы;
7 - альвеолярные бронхиолы;
8 - альвеолярные ходы;
9 - альвеолярные мешочки.
Строение воздухоносных путей и респираторного отдела легкого (схема)1 - трахея; 2 - главный бронх; 3 - крупные

Слайд 7Строение ацинуса
респираторные бронхиолы
альвеолярные ходы
альвеолярные мешочки
альвеолы

Строение ацинусареспираторные бронхиолыальвеолярные ходыальвеолярные мешочкиальвеолы

Слайд 8Факторы риска развития рака легкого
Курение (78% у мужчин, 90% у

женщин)
Воздействие асбеста
Воздействие радона
Воздействие галогенового эфира
Хронический интерстициальный пневмонит
Неорганическое воздействие мышьяка
Радиоизотопное облучение,

ионизирующее излучение
Загрязнение атмосферы
Хром, никель
Воздействие винилхлорида
Факторы риска развития рака легкогоКурение (78% у мужчин, 90% у женщин)Воздействие асбестаВоздействие радонаВоздействие галогенового эфираХронический интерстициальный пневмонитНеорганическое

Слайд 9Классификация

Классификация

Слайд 10Клинико-анатомические формы периферического рака легкого
Шаровидная – опухоль имеет вид узла,

овальной или округлой формы без капсулы. Структура новообразования бывает однородной,

но нередко в толще узла определяются участки распада и кровоизлияний.
Пневмониеподобная (диффузная) – опухоль развивается из альвеолярного эпителия и макроскопически выглядит как участок инфильтрации легочной паренхимы, часто с очагами распада.
Рак Панкоста (рак верхушки легкого) – распространяется на I-II ребра, позвонки, нервы шейного и плечевого сплетения, симпатический ствол и подключичные сосуды.
Полостной рак – очаг деструкции, стенками которого является опухоль.
Клинико-анатомические формы периферического рака легкогоШаровидная – опухоль имеет вид узла, овальной или округлой формы без капсулы. Структура

Слайд 11Гистологическая классификация
Аденокарцинома возникает из слизистой бронхов, является наиболее распространенным гистологическим

типом НМРЛ.
Бронхоальвеолярная карцинома - это отдельный подтип аденокарциномы с классическим

проявлением в виде интерстициального заболевания легких на рентгенограмме грудной клетки. Бронхоальвеолярный рак возникает из пневмоцитов II типа и растет вдоль альвеолярных перегородок. Этот подтип может проявляться как одиночный периферический узелок, многоочаговое заболевание или быстро прогрессирующая легочная форма.
Гистологическая классификацияАденокарцинома возникает из слизистой бронхов, является наиболее распространенным гистологическим типом НМРЛ.Бронхоальвеолярная карцинома - это отдельный подтип

Слайд 12Гистологическая классификация
Плоскоклеточный рак гистологически характеризуется наличием кератинового жемчуга и может

быть обнаружен при цитологических исследованиях, поскольку он имеет тенденцию к

отшелушиванию. Этот тип чаще всего ассоциируется с гиперкальциемией.
Гистологическая классификацияПлоскоклеточный рак гистологически характеризуется наличием кератинового жемчуга и может быть обнаружен при цитологических исследованиях, поскольку он

Слайд 13Гистологическая классификация
Кропноклеточная карцинома - гистологически, отмечаются скопления высоко атипичных клеток

с очаговым некрозом, без признаков кератинизации или образования желез.
С улучшенными

гистопатологическими методами и использованием электронной микроскопии большинство НМРЛ, которые ранее были бы классифицированы как крупноклеточные карциномы, идентифицируются как недифференцированные аденокарциномы или, реже, как плоскоклеточный рак.
Гистологическая классификацияКропноклеточная карцинома - гистологически, отмечаются скопления высоко атипичных клеток с очаговым некрозом, без признаков кератинизации или

Слайд 14Гистологическая классификация
Мелкоклеточный рак легкого ранее известный как овсяноклеточный рак, считается

отличным от других видов рака легкпредставляет собой нейроэндокринную карциному.

Гистологическая классификацияМелкоклеточный рак легкого ранее известный как овсяноклеточный рак, считается отличным от других видов рака легкпредставляет собой

Слайд 15Классификация по TNM (T – первичная опухоль)

Классификация по TNM (T – первичная опухоль)

Слайд 16Классификация по TNM
N – регионарные лимфатические узлы
NX - регионарные лимфоузлы

невозможно оценить
N0 - нет метастазов в регионарных лимфоузлах
N1 - метастазы

в ипсилатеральных перибронхиальных и/или ипсилатеральных прикорневых лимфоузлах и внутрилегочных узлах, включая поражение путем прорастания опухолью
N2 - метастазы в ипсилатеральных средостенных и/или субкаринальных лимфоузлах
N3 - метастазы в контралатеральных лимфоузлах средостения, контралатеральных корневых, ипсилатеральных или контралатеральных прескаленных или надключичных лимфоузлах

Классификация по TNMN – регионарные лимфатические узлыNX - регионарные лимфоузлы невозможно оценитьN0 - нет метастазов в регионарных

Слайд 17Особенности патофизиологии НМРЛ
Наиболее характерные для НМРЛ мутации:
Экспрессия EGFR на кповерхности

клеток отмечалась во многих случаях НМРЛ. Активирующие мутации EGFR чаще

наблюдаются у пациентов с аденокарциномами и отсутствием курения в анамнезе, а также у женщин азиатского происхождения.
Мутации KRAS также преимущественно обнаруживаются в аденокарциномах и наблюдаются примерно в 25% случаев. Тем не менее, они менее распространены среди лиц азиатского происхождения и чаще встречаются у курильщиков. Наиболее важно то, что у пациентов с мутациями KRAS прогноз хуже.
Перестройки ALK чаще встречаются у некурящих или легких курильщиков, а также у пациентов с аденокарциномой.
Изменения гена ROS-1, были обнаружены при различных раковых заболеваниях, включая НМРЛ. Изменения гена ROS-1 присутствуют примерно у 1% пациентов с НМРЛ.
Особенности патофизиологии НМРЛНаиболее характерные для НМРЛ мутации:Экспрессия EGFR на кповерхности клеток отмечалась во многих случаях НМРЛ. Активирующие

Слайд 18Особенности патофизиологии мелкоклеточного рака легкого
Мелкоклеточный рак легкого возникает в перибронхиально

и ​​проникает в подслизистую оболочку бронхов. Широко распространенные метастазы возникают

на ранних стадиях заболевания с общим распространением на средостенные лимфатические узлы, печень, кости, надпочечники и мозг.

Кроме того, производство различных пептидных гормонов приводит к широкому спектру паранеопластических синдромов; наиболее распространенными из них являются синдром неадекватной секреции антидиуретического гормона (SIADH) и синдром выработки эктопического адренокортикотропного гормона (ACTH). Кроме того, аутоиммунные явления могут приводить к различным неврологическим синдромам, таким как синдром Ламберта-Итона .
Особенности патофизиологии мелкоклеточного рака легкогоМелкоклеточный рак легкого возникает в перибронхиально и ​​проникает в подслизистую оболочку бронхов. Широко

Слайд 19Признаки и симптомы
Наиболее распространенные признаки и симптомы рака легких включают

следующее:
Кашель
Грудная боль
Сбивчивое дыхание
Кашель с кровью
Охриплость
Повторяющиеся инфекции, такие как бронхит и

пневмония
Потеря веса и потеря аппетита
Усталость
Метастатические признаки и симптомы могут включать следующее:
Боль в костях
Неврологические проявления, такие как головная боль, слабость или онемение конечностей, головокружение и судороги

Признаки и симптомыНаиболее распространенные признаки и симптомы рака легких включают следующее:КашельГрудная больСбивчивое дыханиеКашель с кровьюОхриплостьПовторяющиеся инфекции, такие

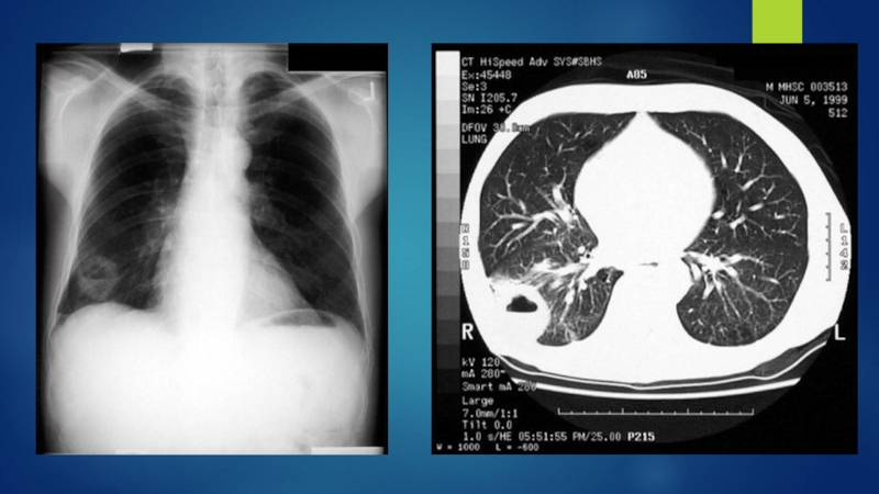
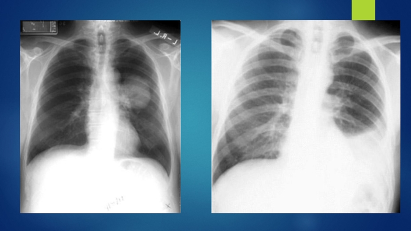
Слайд 20Диагностика
Сбор жалоб, анамнез.
Данные объективного исследования.
Рентгенография:
инфильтрат в легком
расширение средостенья
ателектаз
плевральный выпот
Бронхоскопия
Цитологическое исследование

мокроты

С целью определения степени распространенности процесса производят: КТ органов грудной

полости и верхнего этажа брюшной полости (печень, надпочечники), КТ с контрастированием, МРТ, ПЭТ/КТ, сцинтиграфия костей, КТ или МРТ головного мозга.
ДиагностикаСбор жалоб, анамнез.Данные объективного исследования.Рентгенография:инфильтрат в легкомрасширение средостеньяателектазплевральный выпотБронхоскопияЦитологическое исследование мокротыС целью определения степени распространенности процесса производят:

Слайд 25Лечение НМРЛ
Хирургическое:
лобэктомия
билобэктомия
пульмонэктомия

Паллиативные операции при раке легкого выполняются по жизненным показаниям,

если возможно: при распаде в опухоли или ателектазе и угрозе

легочного кровотечения.
Для реканализации трахеи и главных бронхов при опухолевой обструкции могут применяться стентирование, лазерная и фотодинамическая терапия. При трахеопищеводном свище показана установка пищеводного стента.
Лечение НМРЛХирургическое:лобэктомиябилобэктомияпульмонэктомияПаллиативные операции при раке легкого выполняются по жизненным показаниям, если возможно: при распаде в опухоли или

Слайд 26Основные принципы хирургических вмешательств
Обработка элементов корня легкого или удаляемой доли

должна быть раздельной. Это способствует полному удалению всех тканей, которые

могут быть вовлечены в опухолевый процесс.
Пересечение бронха должно осуществляться строго в пределах здоровыхз тканей, но не ближе 20 мм от визуальных границ опухоли.
Легкое или его долю следует удалять вместе с регионарным лимфатическим аппаратом и медиастинальной клетчаткой.
После операции лечебная тактика должна основываться на морфологическом изучении линии отсечения бронха при стандартных операциях и резецированных внелегочных структур при комбинированных вмешательствах.
Основные принципы хирургических вмешательствОбработка элементов корня легкого или удаляемой доли должна быть раздельной. Это способствует полному удалению

Слайд 27Лечение НМРЛ
Химиотерапия:
Винорельбин + цисплатин
Паклитаксел + карбоплатин
Цисплатин + доцетаксел
Цисплатин + гемцитабин
Гемцитабин

+ карбоплатин

При наличии мутаций в 19 или 21 экзонах гена

рецептора эпидермального фактора роста в опухоли могут быть использованы ингибиторы тирозинкиназ (гефитиниб или эрлотиниб, или афатиниб), а при ALK-позитивной или ROS1-позитивной опухоли – кризотиниб.
Лечение НМРЛХимиотерапия:Винорельбин + цисплатинПаклитаксел + карбоплатинЦисплатин + доцетакселЦисплатин + гемцитабинГемцитабин + карбоплатинПри наличии мутаций в 19 или

Слайд 28Лечение НМРЛ
Лучевая (химиолучевая) терапия проводится пациентам, которым радикальное хирургическое лечение

не показано в связи с функциональным состоянием, при отказе пациента

от хирургического лечения или при первично нерезектабельной опухоли IIIА-B стадии.
Абсолютными противопоказаниями для облучения являются:
интроскопически определяемое прорастание опухолью слизистой пищевода,
некупируемое состояние пациента по шкале Карновского 40 % и менее.
Лечение НМРЛЛучевая (химиолучевая) терапия проводится пациентам, которым радикальное хирургическое лечение не показано в связи с функциональным состоянием,

Слайд 29Лечение НМРЛ
Относительными противопоказаниями к проведению лучевой терапии являются:
наличие рентгенологически определяемого

распада центральной опухоли бронхов более 1 см в диаметре, сопровождающегося

кровохарканьем,
тяжелые инфекционные осложнения (эмпиема плевры, абсцедирование в ателектазе и др.) и острые инфекционные заболевания,
активная форма туберкулеза легких,
анемия (Hb<80г/л), лейкопения (Л<2,0х109/л), тромбоцитопения (Тр <75×109/л),
выраженные нарушения функции жизненно важных органов и систем: сердечно-сосудистой системы (недостаточность IIB ст. и более), печени (билирубин >60 ммоль/л), почек (креатинин >165мкмоль/л),
перенесенный инфаркт миокарда и инсульт,
психические расстройства в период обострения.

Лечение НМРЛОтносительными противопоказаниями к проведению лучевой терапии являются:наличие рентгенологически определяемого распада центральной опухоли бронхов более 1 см

Слайд 30Лечение мелкоклеточного рака легкого
Хирургическому лечению подлежат пациенту с распространенностью опухоли

T1–2N0.
После операции проводится 4 курса адъювантной химиотерапии (схемы 3–4) с

профилактическим облучением головного мозга в СОД 25 Гр (10 фракций по 2,5 Гр) либо 30 Гр (15 фракций по 2 Гр, 5 фракций в неделю) между 2-м и 3-м курсами химиотерапии.
При большем распространении опухоли без отдаленных метастазов показано химиолучевое лечение. У пациентов с отдаленными метастазами проводится химиотерапия, лучевая терапия может применяться у отдельных пациентов с паллиативной целью.
Лечение мелкоклеточного рака легкогоХирургическому лечению подлежат пациенту с распространенностью опухоли T1–2N0.После операции проводится 4 курса адъювантной химиотерапии

Слайд 31Лечение мелкоклеточного рака легкого
Химиотерапия:
этопозид + цисплатин
этопозид + карбоплатин
CAV: циклофосфамид +

доксорубицин + винкристин
Паклитаксел + карбоплатин
Иринотекан + цисплатин

Лечение мелкоклеточного рака легкогоХимиотерапия:этопозид + цисплатинэтопозид + карбоплатинCAV: циклофосфамид + доксорубицин + винкристинПаклитаксел + карбоплатинИринотекан + цисплатин

Слайд 32Наблюдение, сроки и объем обследования.
В течение первых двух лет после

радикальной операции или химиолучевой терапии по радикальной программе каждые 3

месяца проводится врачебный осмотр.
При НМРЛ КТ ОГК выполняется каждые 6 мес., при МКРЛ – каждые 4 мес. Другие исследования выполняются по показаниям.
После 2 лет наблюдения периодичность контрольных обследований составляет 1 год.
Наблюдение, сроки и объем обследования.В течение первых двух лет после радикальной операции или химиолучевой терапии по радикальной

Обратная связь

Если не удалось найти и скачать доклад-презентацию, Вы можете заказать его на нашем сайте. Мы постараемся найти нужный Вам материал и отправим по электронной почте. Не стесняйтесь обращаться к нам, если у вас возникли вопросы или пожелания:

Email: Нажмите что бы посмотреть 

Что такое TheSlide.ru?

Это сайт презентации, докладов, проектов в PowerPoint. Здесь удобно  хранить и делиться своими презентациями с другими пользователями.


Для правообладателей

Яндекс.Метрика