Разделы презентаций


Туберкулез этиологиясы, эпидемиологиясы, патогенезі және патоморфологиясы

Содержание

ЖоспарыКіріспеНегізгі бөлімЭтиологиясыЭпидемиологиясы Патогенезі және патологиялық анатомиясыКлиникалық көріністеріДиагностикасы ҚорытындыҚолданылған әдебиеттер

Слайды и текст этой презентации

Слайд 1Туберкулез этиологиясы, эпидемиологиясы, патогенезі және патоморфологиясы. Туберкулезді бактериологиялық диагностика әдістері

Дайындаған: Әлімқұл А.Т.
Тексерген:Жандаркулов А.А.



Нұр-Сұлтан 2019

«Астана Медициналық Университеті»КЕАҚ
“Фтизиатрия” кафедрасы

Туберкулез этиологиясы, эпидемиологиясы, патогенезі және патоморфологиясы. Туберкулезді бактериологиялық диагностика әдістері

Слайд 2Жоспары
Кіріспе
Негізгі бөлім
Этиологиясы
Эпидемиологиясы
Патогенезі және патологиялық анатомиясы
Клиникалық көріністері
Диагностикасы
Қорытынды
Қолданылған әдебиеттер

ЖоспарыКіріспеНегізгі бөлімЭтиологиясыЭпидемиологиясы Патогенезі және патологиялық анатомиясыКлиникалық көріністеріДиагностикасы ҚорытындыҚолданылған әдебиеттер

Слайд 3Кіріспе
Біріншілік туберкулез ағзаның қорғаныс серпілісі әлсіреген адамдарда вирулентті ТМБ массивті

жұғуында дамиды.Эпидемиялық жағдайдың шарттарына қарай біріншілік ТМБ жұқтырушылық көбінесе балалық

шақта жүреді,сондықтан туберкулездің біріншілік формасын балалар мен жасөспірімдерде анықтайды.
КіріспеБіріншілік туберкулез ағзаның қорғаныс серпілісі әлсіреген адамдарда вирулентті ТМБ массивті жұғуында дамиды.Эпидемиялық жағдайдың шарттарына қарай біріншілік ТМБ

Слайд 4 Туберкулез – қоздырғышы негізінен аэрогендік механизммен берілетін антропоноздық және

зооноздық бактериялық жұқпалы ауру. Көбінесе өкпенің зақымдалуымен, организмнің улануымен, аллергизациялануымен,

әртүрлі ағзалар мен тіндерде (сүйекте, буында, лимфатикалық түйіндерде, бүйректе, т.б.) сонымен қатар әлемде тегіс таралуымен, әлеуметтік бейімділігі төмен адамдардың жиірек зарарлануымен және ЖИТС-пен қосарлана өтуіне байланысты қазіргі жағдайда аса маңызды ауру ретінде сипатталады.
Туберкулез қоздырғышы – микобактерияны (“Кох таяқшасын”) неміс микробиологы Р.Кох (1843 – 1910) ашты (1882). Туберкулез микобактериялары жіңішке, түзу немесе сәл иіліп келген таяқшалар, ұзындығы 1 – 10, ені 0,2 – 0,6 мкм. Тұқымдасы- Mycobacteriaseae
Түысы – Mycobacterium
Түрлері – M.tuberculosis, M. bovis, M. africanum, M. avium, M. leprae.

Туберкулез – қоздырғышы негізінен аэрогендік механизммен берілетін антропоноздық және зооноздық бактериялық жұқпалы ауру. Көбінесе өкпенің зақымдалуымен,

Слайд 5 Қоздырғыш тыныс жолдары, шырышты қабықшалар және терідегі жаралар арқылы енеді.

Бірінші ошағы — өкпе немесе ішек жолдарының лимфа бездері. Осы

жерде гранулематозды қабыну пайда болады, туберкула деген төмпешік пайда болады. Төмпешік эпителоидты, лимфоидты, плазматикалық жазушалардан, макрофагтардан, алып көп ядролы Лангханс жазушалырынан тұрады және ортасында некроз байқалады. Осы гранулеманы — Гон ошағы деп атайды.
Гранулема, лимфоангит, лимфоаденит бүл біріншілік туберкулезды ошақ пневмонияға әкеледі. Осы ошақтан қоздырғыш гематогенді және лимфогенді жолмен басқа мүшелерге тарайды. Егер иммунитет жоғары болса- гранулема дәнекер капсуласына оралады, осы ошақта туберкулез таяқшасы анабиозға ушырайды, сақталады. Алиментарлы жолмен жұққанда туберкулез таяқшасы ішек лимфа бездерін зақымдайды. 

Патогенезі.

 Қоздырғыш тыныс жолдары, шырышты қабықшалар және терідегі жаралар арқылы енеді. Бірінші ошағы — өкпе немесе ішек жолдарының

Слайд 6 Туберкулез оқиғасының эпидемиологиялық алғышарттар
Инфекция
қоздырғышының
көзі:

• Науқас адам
• Ауру мал


• Құстар (сирек).
бактерияны көптеп
бөлетін белсенді
науқастар

берілу жолы:
•Экзогенді:
ауа-

тамшылы
(жөтелу, түшкіру,
сөйлеу)
ауа шаңды
жанасу
жынысты жолмен
•Эндогенді:
Трансплаценталық
қан және лимфа

Берілу факторы:

•Инфицирленген ауа
•Микобактериямен
ластанған тағам
•Тұрмыстық заттар
•Ластанған ауадағы
тозаң

Қауіпті топтар:

1.Медицина
қызметкерлері
2.Ұйымдасқан коллектив
3. Қарттар үйі
4.Тыныс алу жүйесінде
созылмалы ауруы бар адамдар
5.Жүкті әйел,жасөспірім,бала
6.Ауырған адаммен қатынаста
болғандар және т.б


Ауру дамуына ықпал ететін факторлар – иммунитеттің әлсіреуі.
- толыққанды, үйлесімді тамақтанбау.
- ауыр аурулардың қатар жүруі (АҚТҚ,қант диабеті,ойық жара ауруы т.б);
- суық тигізу;
- зиянды әдеттер;
- созылмалы күйзелісті жағдайлар.

Туберкулез оқиғасының эпидемиологиялық алғышарттарИнфекция қоздырғышының көзі:• Науқас адам• Ауру

Слайд 7патологиялық анатомиясы
ТМБ алғаш жұққаннан кейін марфологиялық өзгерістер плеврада,окпеде,кеудеішілік лимфа түйіндерінде

түзіледі.Басқа ағзаларда бұл өзгерістер сирек кездеседі.
Туберкулездік жұқпаның үдеуі жасушааралық кеңістікке,сосын

лимфаға және ТМБ қалдық өнімдері қанға түсуімен жүреді.
патологиялық анатомиясыТМБ алғаш жұққаннан кейін марфологиялық өзгерістер плеврада,окпеде,кеудеішілік лимфа түйіндерінде түзіледі.Басқа ағзаларда бұл өзгерістер сирек кездеседі.Туберкулездік жұқпаның

Слайд 9Кеуде ішілік лимфа бездердің туберкулезі – біріншілік туберкулездің жиі кездесетін

формасы.Өкпе тінінде арнайы өзгеріссіз лимфа түйіндерінің зақымдалуымен сипатталады.

Кеуде ішілік лимфа бездердің туберкулезі – біріншілік туберкулездің жиі кездесетін формасы.Өкпе тінінде арнайы өзгеріссіз лимфа түйіндерінің зақымдалуымен

Слайд 10Кеуде ішілік лимфа бездерінің туберкулезі

Кеуде ішілік лимфа бездерінің туберкулезі

Слайд 11Бастапқы туберкулездік кешен
Біріншілік туберкулездің ауыр формасы.Оның пайда болуына ТМБ жоғары

вирулентті ,массивті жұғуы,ағзаның резистеттілігінің төмендеуі әсер етеді.
Біріншілік туберкулездік кешен –

ТМБ енген жерде дамиды.Аэрогенді жұғу кезінде әдетте алғаш альвеолалар зақымдалады.
Бастапқы туберкулездік кешенБіріншілік туберкулездің ауыр формасы.Оның пайда болуына ТМБ жоғары вирулентті ,массивті жұғуы,ағзаның резистеттілігінің төмендеуі әсер етеді.Біріншілік

Слайд 13Клиникалық көорінісі
Біріншілік туберкулез аз клиникалық симптомдармен білінбей өтуі және өздігінен

жазылуы мүмкін.Өмірге қаіпті асқынулармен өтуі де мүмкін.
Біріншілік туберкулездің негізгі клиникалық

көріністері-туберкулездік уытталу,кеуде ішілік лимфа түйіндерінің туберкулезі,бастапқы туберкулездік кешен.
Клиникалық көорінісіБіріншілік туберкулез аз клиникалық симптомдармен білінбей өтуі және өздігінен жазылуы мүмкін.Өмірге қаіпті асқынулармен өтуі де мүмкін.Біріншілік

Слайд 14Біріншілік туберкулездік уытталу
Туберкулездік уытталудың клиникалық симтомдары ретінде ОЖЖ зақымдалуы дамиды.Ол,әіресе,балаларда

айқын көрінеді.науқас бала қозғыш ,жылағыш,тез өкпелегіш келеді.Тәбеті және физикалық ойлау

қабілеті,зейіні,сонымен қатар көңіл бөлу қабілеті де төмендейді.Функционаьды вегетативті және қан тамыр өзгерістер тершеңдікпен,тахикардия,гипотониямен білінеді.
Біріншілік туберкулездік уытталуТуберкулездік уытталудың клиникалық симтомдары ретінде ОЖЖ зақымдалуы дамиды.Ол,әіресе,балаларда айқын көрінеді.науқас бала қозғыш ,жылағыш,тез өкпелегіш келеді.Тәбеті

Слайд 15Кеуде ішілік лимфа бездерінің туберкулезі және бастапқы туберкулездік кешен.
Емшек еметін

және ерте жастағы балалардағы кеуде ішілік лимфа бездерінің туберкулезі және

бастапқы туберкулездік кешеннің клиникалық көріністері айқын болады .Ал есейген кезде көріністер айқын емес.
Жоғарғы қақпа көктамыр синдромы,бастың ауыруы,беттің ісінуі,цианозстридорозды тыныс алу.Дене қызуы 38-38,5С.Қақырықты жөтел,ауырсыну сезімі және плевритке еүдік.
Кеуде ішілік лимфа бездерінің туберкулезі және бастапқы туберкулездік кешен.Емшек еметін және ерте жастағы балалардағы кеуде ішілік лимфа

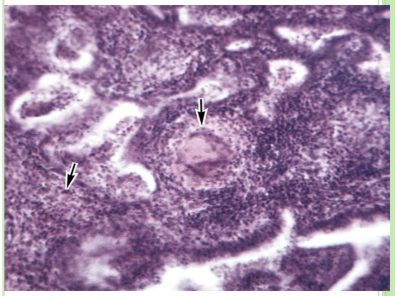
Слайд 16Біріншілік туберкулез кезіндегі лимфа түйіндерінің ісінуі.

Біріншілік туберкулез кезіндегі лимфа түйіндерінің ісінуі.

Слайд 17Диагностикасы
Клиникалық анализді талдау кезінде,науқастың жасына ,туберкулездік науқаспен қатынаста болғанына,отбасында туберкулезбен

ауырғандарға мән береді.БЦЖ вакцинасының маңызы зор.
Диагностикалау критерилері:
1.Туберкулиндік диагностика
2.Рентгенолгоиялық зерттеулер
3.Жалпы қан

анализі
ДиагностикасыКлиникалық анализді талдау кезінде,науқастың жасына ,туберкулездік науқаспен қатынаста болғанына,отбасында туберкулезбен ауырғандарға мән береді.БЦЖ вакцинасының маңызы зор.Диагностикалау критерилері:1.Туберкулиндік

Слайд 18Туберкулиндік диагностика
Туберкулиндік сынамалардың нәтижелерін бағалау арқылы ТМБ-мен зарарланғанын анықтауға болады.Бұл,әсіресе,біріншілік

туберкулездің ерте формасы туберкулездік уытталуға күдіктенгенде маңызды.Вакцина алмаған балада туберкулинге

сезімталдығының өзгерісі немесе жасөспірімдерде Манту 2 ТЕ сынамасына оң алергиялық реакциясын вираж деп атаймыз.
Туберкулиндік диагностикаТуберкулиндік сынамалардың нәтижелерін бағалау арқылы ТМБ-мен зарарланғанын анықтауға болады.Бұл,әсіресе,біріншілік туберкулездің ерте формасы туберкулездік уытталуға күдіктенгенде маңызды.Вакцина

Слайд 19Вираж-ағзаға вирулентті ТМБ енгендігін көрсетеді.Ол бастапқы зарарланудың обьективті критерийі болып

табылады.
Балалар мен жасөспірімдерде вакцинация кезінде туберкулинге оң реакция анықталады.Ол вакцинация

кейінгі аллергиямен байланысты.Ал ТМБ жұқтырған болса ,аллергиялық реакция жұқпалық реакцияға ауысады.Ол кезде Манту сынамасында 2 ТЕ енгізген жерінде инфильтрат көлемі,алдыңғы сынама нәтижесімен салыстырғанда 6 мм одан да көп көлемге үлкейеді.
Вираж-ағзаға вирулентті ТМБ енгендігін көрсетеді.Ол бастапқы зарарланудың обьективті критерийі болып табылады.Балалар мен жасөспірімдерде вакцинация кезінде туберкулинге оң

Слайд 20Рентгенологиялық зерттеулер
Обективті көріністер болмаған кезде,бастапқы туберкулездің жеогілікті формаларында рентгенологиялық зерттеулер

қолданылады.Туберкулинге виражы бар науқастарда өкпе түбірі кеңейуі,оның құрылымдық элементтерінің көрінбеуі,түбір

маңы өкпе түбірінің суретінің күшейуі анықталады,осы кезде лимфа түйіндерінің зақымдалғандығы туралы нақты мәлімет болмағандықтан туберкулездік уытталу анықталады.
Рентгенологиялық зерттеулерОбективті көріністер болмаған кезде,бастапқы туберкулездің жеогілікті формаларында рентгенологиялық зерттеулер қолданылады.Туберкулинге виражы бар науқастарда өкпе түбірі кеңейуі,оның

Слайд 21Кеуде ішіндегі лимфа түйіндеріндегі кальцинаттар

Кеуде ішіндегі лимфа түйіндеріндегі кальцинаттар

Слайд 22Біріншілік туберкулездің рентгенологиялық көріністері.

Біріншілік туберкулездің рентгенологиялық көріністері.

Слайд 23Жалпы қан анализі
ЖҚА нәтижелерін бағалай отырып,уытталу синдромының айқындылығын және туберкулезді

үрдістің фазасын анықтауға болады.Біріншілік туберкулез ерте кезеңінде қанда өзгерістер болмауы

мүмкін.Кейде аздаған лейкоцитоз,таяқша ядролы нейтрофилдердің және ЭТЖ жоғарылауы,салыстырмалы лимфопения болуы мүмкін.
Жалпы қан анализіЖҚА нәтижелерін бағалай отырып,уытталу синдромының айқындылығын және туберкулезді үрдістің фазасын анықтауға болады.Біріншілік туберкулез ерте кезеңінде

Слайд 24Туберкулездің жедел формасында лейкоциттер 14,0-15,0·109/л дейін көтеріледі.Эозонофилдер мен лимфоциттер төмендейді.ЭТЖ

30-35 мм/сағ жоғарылайды.Біріншілік туберкулезі бар науқастарда ұзақ уақыт уытталу синдромынан

гипохромды анемия дамиды.
Туберкулездің жедел формасында лейкоциттер 14,0-15,0·109/л дейін көтеріледі.Эозонофилдер мен лимфоциттер төмендейді.ЭТЖ 30-35 мм/сағ жоғарылайды.Біріншілік туберкулезі бар науқастарда ұзақ

Слайд 25Қорытынды
Біріншілік туберкулез ағзаның қорғаныс серпілісі әлсіреген адамдарда вирулентті ТМБ массивті

жұғуында дамиды.Эпидемиялық жағдайдың шарттарына қарай біріншілік ТМБ жұқтырушылық көбінесе балалық

шақта жүреді,сондықтан туберкулездің біріншілік формасын балалар мен жасөспірімдерде анықтайды.Алғаш анықталған туберкулезбен ауыратын науқастардың 0,8-1% біріншілік туберкулез құрайды.

ҚорытындыБіріншілік туберкулез ағзаның қорғаныс серпілісі әлсіреген адамдарда вирулентті ТМБ массивті жұғуында дамиды.Эпидемиялық жағдайдың шарттарына қарай біріншілік ТМБ

Слайд 26Қолданылған әдебиеттер
Мишин В.Ю.Актуальные вопросы туберкулеза органов дыхания, М., 2013 г.
Хоменко

А.Г.Руководство по туберкулезу, М. 2011 г.
Помельцев К.В.Рентгенодиагностика туберкулеза легких М.,

2000

Қолданылған әдебиеттерМишин В.Ю.Актуальные вопросы туберкулеза органов дыхания, М., 2013 г.Хоменко А.Г.Руководство по туберкулезу, М. 2011 г.Помельцев К.В.Рентгенодиагностика

Обратная связь

Если не удалось найти и скачать доклад-презентацию, Вы можете заказать его на нашем сайте. Мы постараемся найти нужный Вам материал и отправим по электронной почте. Не стесняйтесь обращаться к нам, если у вас возникли вопросы или пожелания:

Email: Нажмите что бы посмотреть 

Что такое TheSlide.ru?

Это сайт презентации, докладов, проектов в PowerPoint. Здесь удобно  хранить и делиться своими презентациями с другими пользователями.


Для правообладателей

Яндекс.Метрика