Разделы презентаций


Злокачественные лимфомы

Содержание

ХОДЖКИНСКИЕ ЛИМФОМЫ

Слайды и текст этой презентации

Слайд 1ГОУ ВПО ТюмГМА РосЗдрава Кафедра онкологии с курсом лучевой диагностики и

лучевой терапии. Злокачественные лимфомы Доцент Сабиров А.Х. Тюмень 2010

ГОУ ВПО ТюмГМА РосЗдрава Кафедра онкологии с курсом лучевой диагностики и лучевой терапии.  Злокачественные лимфомы

Слайд 2ХОДЖКИНСКИЕ ЛИМФОМЫ

ХОДЖКИНСКИЕ ЛИМФОМЫ

Слайд 3 Лимфогрануломатоз или болезнь Ходжкина - лимфопролиферативное заболевание, относящиеся к группе

злокачественных лимфом, характеризующееся специфической морфологической картиной с образованием клеток Березовского-Штернберга-

Рида.

Лимфогранулематоз

Лимфогрануломатоз или болезнь Ходжкина - лимфопролиферативное заболевание, относящиеся к группе злокачественных лимфом, характеризующееся специфической морфологической картиной с

Слайд 4Исторические факты:
Заболевание описана в 1832 году врачом Thomas Hodgkin,
Свое первое

название заболевание получило в 1856 году, когда по предложению S.Wilks

оно было проименовано как "болезнь Ходжкина".
Однако, в 1904 году на VII съезде немецких патологов "болезнь Ходжкина" получила еще одно название лимфогрануломатоз.
1890 год С.Я.Березовский описал многоядерные клетки патогномоничные для лимфогрануломатоза.
В 1898 году эти клетки описал K.Sternberg, а в 1902 году D.Peed.
В 1902 году, появились первые сведения о лучевой терапии лимфогрануломатоза, однако настоящее развитие лучевых методов наступило в 50-х годах 20 века.
Тогда же появились сообщения вначале моно-, а затем о полихимиотерапии лимфогрануломатоза.
Исторические факты:Заболевание описана в 1832 году врачом Thomas Hodgkin,Свое первое название заболевание получило в 1856 году, когда

Слайд 5Заболеваемость ЛГМ составляет от 2,8 на 100 000 населения в

США и 2,3 случаев в России. Преобладают среди заболевших -

мужчины. В мире заболеваемость среди мужчин от 1,5 до 4,5 на 100 000 населения, а среди женщин от 0,9 до 3,0.
Для лимфогранулематоза характерны два типа пика заболеваемости: между 15 и 35 годами с максимумом в 20-25 лет и старше 50 лет.
Заболеваемость ЛГМ составляет от 2,8 на 100 000 населения в США и 2,3 случаев в России. Преобладают

Слайд 6Географические варианты лимфогрануломатоза:
Картина, характерная для стран с низким социальным уровнем.

Чаще поражаются дети и люди молодого возраста, варианты течения заболевания

более благоприятны, преобладает лимфогистиоцитарный вариант.
Промежуточный вариант - поражение возраста около 30 лет, преобладает смешанно-клеточный вариант.
Картина, характерная для экологически развитых стран, преобладают пожилые люди, как правило, морфологически выявляются варианты с лимфоидным истощением.
Географические варианты лимфогрануломатоза:Картина, характерная для стран с низким социальным уровнем. Чаще поражаются дети и люди молодого возраста,

Слайд 7Основные теории возникновения лимфогрануломатоза:
Вирусная
Генетическая
Иммунологическая
В целом лимфогранулематоз рассматривается как злокачественная опухоль

одного из звеньев иммунной системы с вероятным макрофагольным происхождением опухолевых

клеток.
Основные теории возникновения лимфогрануломатоза:ВируснаяГенетическаяИммунологическая	В целом лимфогранулематоз рассматривается как злокачественная опухоль одного из звеньев иммунной системы с вероятным

Слайд 8Распространение лимфогрануломатоза в организме.
первое место по значимости занимает лимфогенный путь

распространения (теория смежного распространения).
второе по значимости является гематогенный путь

распространения. Метастазирование в этом случае происходит в органы с развитой капиллярной сетью: кости, печень, легкие.
Альтернативой этим теориям распространения могут служить теория D. W. Smithers, 1973 год. Автор полагает, что клетки Березовского-Штернберга могут двигаться как внутри, так и вне сосудов, давая начало новым дочерним узлам в местах "восприимчивых" к клеткам.
Распространение лимфогрануломатоза в организме.первое место по значимости занимает лимфогенный путь распространения (теория смежного распространения). второе по значимости

Слайд 9Морфологическая картина лимфогрануломатоза:
Наряду с нормальными клеточными элементами нормального лимфатического

узла встречаются патогномоничные клетки - клетки Березовского – Штернберга -

Рида, и крупные мононуклеарные клетки Ходжкина.
Существует зависимость клинического течения лимфогрануломатоза от морфологического варианта заболевания. Классификация несколько раз пересматривалась и, наконец, в 1966 году во Франции на Конгрессе в городе Ру приняла тот вид, котором она существует до нынешнего времени:
Морфологическая картина лимфогрануломатоза: Наряду с нормальными клеточными элементами нормального лимфатического узла встречаются патогномоничные клетки - клетки Березовского

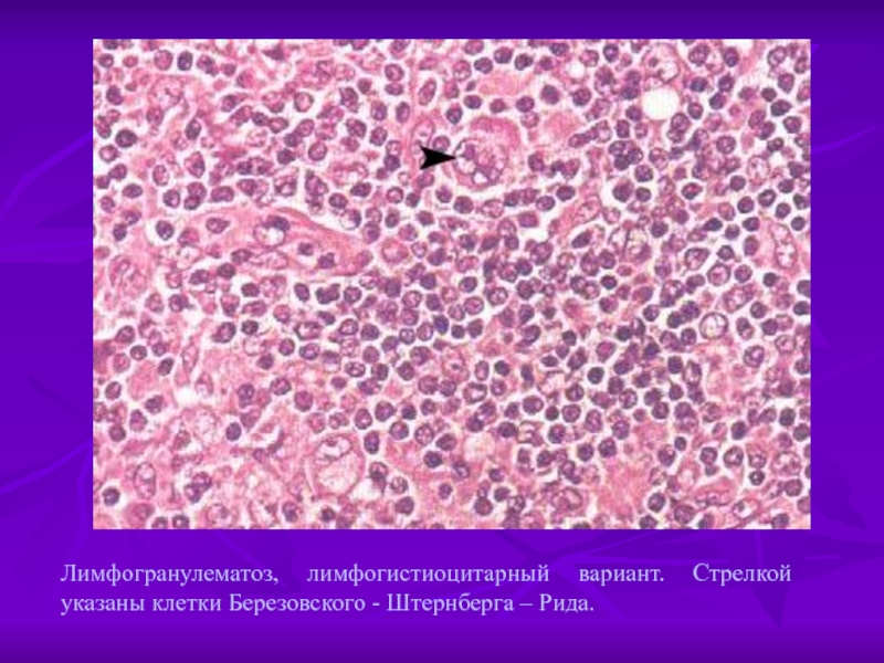
Слайд 10Лимфогранулематоз, лимфогистиоцитарный вариант. Стрелкой указаны клетки Березовского - Штернберга –

Рида.

Лимфогранулематоз, лимфогистиоцитарный вариант. Стрелкой указаны клетки Березовского - Штернберга – Рида.

Слайд 11Морфологические варианты
I - лимфогистиоцитарный; лимфоцитарное преобладание. Характеризуется выраженной пролиферацией, эозинофильные

гранулоциты и плазматические клетки встречаются редко, клетки Березовского-Штернберга встречаются непостоянно,

очаги некроза и фиброза отсутствуют.
II - нодулярный склероз. Характеризуется развитием своеобразных грубоволокнистых кольцевидных прослоек соединительной ткани, разъединяющих всю ткань лимфоузла на отдельные узелки. Типичны клетки Березовского-Штернберга, встречаются очаги некроза, нейтрофилы и гистиоциты.
III - смешанно-клеточные характеризуется пестрой картиной клеточного состава, с большим количеством клеток Березовского-Штернберга. Нередко в процесс вовлечена вся ткань лимфатического узла. Иногда обнаруживается незначительное количество ретикулярных и коллагеновых волокон.
IV- лимфоидное истощение. Отличается выраженным беспорядочным развитием соединительной ткани и значительным уменьшением клеточного состава ткани лимфатического узла. Характерно наличие клеток Березовского-Штернберга и пролиферация гистиоцитов.

Морфологические вариантыI - лимфогистиоцитарный; лимфоцитарное преобладание. Характеризуется выраженной пролиферацией, эозинофильные гранулоциты и плазматические клетки встречаются редко, клетки

Слайд 12Клиническая классификация (Ann Arbor, 1971 год).

I стадия - поражение одной

лимфатической области или одного внелимфатического органа.


Клиническая классификация (Ann Arbor, 1971 год). I стадия - поражение одной лимфатической области или одного внелимфатического органа.

Слайд 13Клиническая классификация (Ann Arbor, 1971 год).
II стадия - поражение двух

или более лимфатических областей с одной
стороны от диафрагмы -

экстранодальное поражение одного органа или
ткани с поражением регионарных лимфоузлов.
Клиническая классификация  (Ann Arbor, 1971 год).II стадия - поражение двух или более лимфатических областей с одной

Слайд 14Клиническая классификация (Ann Arbor, 1971 год).
III стадия - поражение

лимфатических узлов по обе стороны диафрагмы, возможно локализованное поражение экстралимфатического

органа или ткани.
- поражение селезенки
- возможно сочетание поражения экстралимфатического органа и селезенки.
Клиническая классификация   (Ann Arbor, 1971 год).III стадия - поражение лимфатических узлов по обе стороны диафрагмы,

Слайд 15Клиническая классификация (Ann Arbor, 1971 год).
IV стадия - диффузное поражение

экстралимфатических органов с возможным поражением регионарных лимфоузлов
- изолированное поражение экстралимфатического

органа и нерегионарных лимфоузлов.
Клиническая классификация  (Ann Arbor, 1971 год).IV стадия - диффузное поражение экстралимфатических органов с возможным поражением регионарных

Слайд 16Стадирование

Стадирование

Слайд 17Анатомическое определение различных лимфатических зон (регионов)

Анатомическое определение различных лимфатических зон (регионов)

Слайд 18При стадировании лимфом существует 2 критерия:
А и Б

При стадировании лимфом существует 2 критерия: А и Б

Слайд 19Критерии, позволяющие выставить стадию Б :
Необъяснимая потеря веса тела более

чем на 10% за полгода
Необъяснимые подъемы температуры до 38ºС по

вечерам с короткими афибрильными периодами
Ночная потливость
Критерии, позволяющие выставить стадию Б :Необъяснимая потеря веса тела более чем на 10% за полгодаНеобъяснимые подъемы температуры

Слайд 20При отсутствии вышеуказанных симптомов в стадии выставляется критерий А

При отсутствии вышеуказанных симптомов в стадии выставляется критерий А

Слайд 21Клиника лимфогрануломатоза
Симптомокомплекс интоксикации
Симптоматика увеличения пораженных лимфатических узлов
Клиника распространения и прогрессирования

процесса, поражений экстралимфатических органов.

Клиника лимфогрануломатозаСимптомокомплекс интоксикацииСимптоматика увеличения пораженных лимфатических узловКлиника распространения и прогрессирования процесса, поражений экстралимфатических органов.

Слайд 25Диагностика лимфогрануломатоза
Цель
Установить точный диагноз и морфологический вариант
Оценить распространенность

процесса
Диагноз лимфогрануломатоза можно выставить только на основании гистологического исследования после

биопсии лимфатического узла.
Диагностика лимфогрануломатоза 	Цель Установить точный диагноз и морфологический вариантОценить распространенность процессаДиагноз лимфогрануломатоза можно выставить только на основании

Слайд 26Начальные локализации ЛГМ

Начальные локализации ЛГМ

Слайд 27Дифференциальная диагностика
туберкулез
инфекционный мононуклеоз
токсоплазмоз
болезнь кошачьей царапины
саркоидоз
метастазы рака
реактивные изменения лимфатических узлов.

Дифференциальная диагностикатуберкулезинфекционный мононуклеозтоксоплазмозболезнь кошачьей царапинысаркоидозметастазы ракареактивные изменения лимфатических узлов.

Слайд 28!!!
Биопсия лимфатического узла выполняется независимо от результатов цитологического исследования препарата.

Биопсию предпочтительно выполнять на шее, надключичной области, подчелюстной зоне. Здесь

справедлив принцип -
чем выше, тем лучше.
!!!Биопсия лимфатического узла выполняется независимо от результатов цитологического исследования препарата. Биопсию предпочтительно выполнять на шее, надключичной области,

Слайд 29Комплекс обязательных методов
Анамнез заболевания.
Осмотр больного с регистрацией всех зон

поражения и размеров опухолевых образований.
Общий анализ крови с подсчетом тромбоцитов.
Общий

анализ мочи.
Биохимические исследования - общий белок крови, фракции белка, трансаминаз, билирубин, креатинин, мочевина, фосфотазы, фибриноген, сахар.
Рентгенография органов грудной клетки с томографией средостения и определением соотношения наибольшего диаметра медиастинальных масс к размеру грудной клетки (менее 0,33).
Ультразвуковое исследование печени, селезенки, забрюшинных, мезентериальных лимфатических узлов и/или компьютерная томография.
Трепанбиопсия или стернальная пункция с подсчетом миелограммы.
Осмотр ЛОР-органов.
Исследование органов ЖКТ, рентгенография, фиброгастроскопия.
Комплекс обязательных методов Анамнез заболевания.Осмотр больного с регистрацией всех зон поражения и размеров опухолевых образований.Общий анализ крови

Слайд 30Дополнительные методы исследования:
Исследование костей (рентгенография, сцинтиграфия ТС)
УЗИсследование почек, печени,

селезенки и забрюшинных лимфоузлов
Диагностическая лапаротомия или торакотомия с биопсией лимфоузлов.

Дополнительные методы исследования: Исследование костей (рентгенография, сцинтиграфия ТС)УЗИсследование почек, печени, селезенки и забрюшинных лимфоузловДиагностическая лапаротомия или торакотомия

Слайд 31Прогностические факторы
Неблагоприятные факторы:
Повышение СОЭ

выше 50 мм\час
Возраст старше 40 лет
Наличие массивных (диаметром более 5

см) конгломератов лимфатических узлов, или расширение тени средостения на рентгенограммах более чем на 1/3 диаметра грудной клетки в самом широком ее месте
Поражение более 3 зон лимфатических узлов
Смешанноклеточный или ретикулярный (лимфоидное истощение) варианты лимфогрануломатоза.
Прогностические факторы      Неблагоприятные факторы:Повышение СОЭ выше 50 мм\часВозраст старше 40 летНаличие массивных

Слайд 32Лечение
Лучевая терапия используется при лечении локальных поражений I-IIА стадий с

благоприятным прогнозом. Применяется ЛТ на очаги в суммарной дозе 40

грей и облучения смежных зон в дозе до 36 грей.
Лечение больных с I-II стадиями лимфогрануломатоза с неблагоприятным прогнозом лучше проводить в виде комбинированной терапии по схеме: 3 цикла полихимиотерапии по одной их схем 1 ряда + облучение зон поражения в дозе 40 грей + 3 цикла консолидирующей химиотерапии.
При III-IV стадий основным методом лечения является цикловая химиотерапия. Количество циклов варьирует от 6 до 12. В ряде случаев у больных IIIА стадией возможно проведение комбинированной терапии, с включением лучевой терапии выше и ниже диафрагмы.
ЛечениеЛучевая терапия используется при лечении локальных поражений I-IIА стадий с благоприятным прогнозом. Применяется ЛТ на очаги в

Слайд 33Для проведения химиотерапии используются
Ломустин
Адриабластин
Винбластин
Блеомицин
Прокарбазин
Преднизолон
Этопозид
Мусторген
И другие препараты

Для проведения химиотерапии используются ЛомустинАдриабластинВинбластинБлеомицинПрокарбазинПреднизолонЭтопозидМусторгенИ другие препараты

Слайд 34Реабилитация
1 этап - активное лучевое и комбинированное лечение
2 этап -

противоопухолевое лечение и лечение осложнений
3 этап - социальная, бытовая и

профессиональная реадаптация после достижения полной ремиссии
4 этап - полное восстановление социального и профессионального статуса.
Реабилитация1 этап - активное лучевое и комбинированное лечение2 этап - противоопухолевое лечение и лечение осложнений3 этап -

Слайд 35Экспертиза трудоспособности
При I-III стадиях больные нуждаются в продолжительном продлении

временной нетрудоспособности (4-6 мес. и более). По окончании лечения больные

должны быть признаны трудоспособными, если характер и условия труда не противопоказаны им в связи с заболеванием. Таким больным определяют III группу инвалидности на время переквалификации.
При IIБ и IIIБ стадиях, требующих длительного комбинированного лечения продолжающегося иногда около года, труд больных становится затруднительным, а, иногда, и невозможным. Таким образом определяется II группа инвалидности.
В IV стадии процесса при коротких ремиссиях и нарастающем прогрессировании процесса должна устанавливаться I группа инвалидности.
Экспертиза трудоспособности При I-III стадиях больные нуждаются в продолжительном продлении временной нетрудоспособности (4-6 мес. и более). По

Слайд 36НЕХОДЖКИНСКИЕ ЛИМФОМЫ

НЕХОДЖКИНСКИЕ ЛИМФОМЫ

Слайд 37НЕХОДЖКИНСКИЕ ЛИМФОМЫ
Неходжкинские лимфомы (НХЛ)- системные злокачественные опухоли иммунной системы, субстратом

которых являются клетки внекостномозговой лимфоидной ткани.
В отличии от лимфогрануломатоза

для неходжкинских лимфом характерно наиболее высокая частота поражения Вальдейерова кольца, селезенки, мезентериальных лимфоузлов, органов желудочно-кишечного тракта, печени, костного мозга, кожи и т.д.
Отличительной чертой НХЛ является склонность к быстрой диссеминации, даже в случаях локализованного поражения , а также способность в процессе течения заболевания трансформироваться в более злокачественный (агрессивный) вариант опухолевого процесса.
НЕХОДЖКИНСКИЕ ЛИМФОМЫНеходжкинские лимфомы (НХЛ)- системные злокачественные опухоли иммунной системы, субстратом которых являются клетки внекостномозговой лимфоидной ткани. В

Слайд 38НЕХОДЖКИНСКИЕ ЛИМФОМЫ
Важным этиологическим фактором является вирус Эпштейна-Барра. Особенно это справедливо

для В-клеточных лимфом.
Поскольку опухолевые клетки сохраняют основные особенности нормальных

аналогов в отношении локализации и функциональной потенции, очевидно, что НХЛ из Т- и В-клеток имеют различное клиническое оформление, чувствительность к терапии и прогноз.
Среди всех лимфом по происхождению В-клеточные опухоли составляют 80% , а Т-клеточные 20% всех лимфом у взрослых. Такое деление несколько условное, т.к. существует еще 0-(нуль) лимфомы, а также ретикулосаркомы, плазмоцитомы, грибовидный микоз, неклассифицируемые лимфомы.
НЕХОДЖКИНСКИЕ ЛИМФОМЫВажным этиологическим фактором является вирус Эпштейна-Барра. Особенно это справедливо для В-клеточных лимфом. Поскольку опухолевые клетки сохраняют

Слайд 39Классификация
Классификация Rapoport
Классификация Lukes и Collins
Кильская классификация
Классификация ВОЗ
Классификация ВОЗ в модификации

Н.А. Краевского
Классификация ВОЗ в модификации Н.А. Пробатовой
Классификация В.Е.Логинского
Классификация Working

Formulation
КлассификацияКлассификация RapoportКлассификация Lukes и CollinsКильская классификацияКлассификация ВОЗКлассификация ВОЗ в модификации Н.А. Краевского Классификация ВОЗ в модификации Н.А.

Слайд 40!!!
Для оценки распространенности процесса у больных неходжкинскими лимфосаркомами рекомендуется пользоваться

принципами международной классификации (Ann Arbor, 1971), предложенной для лимфогрануломатоза.

!!!Для оценки распространенности процесса у больных неходжкинскими лимфосаркомами рекомендуется пользоваться принципами международной классификации (Ann Arbor, 1971), предложенной

Слайд 41В-КЛЕТОЧНЫЕ ОПУХОЛИ
В-клеточные опухоли из предшественников:
В-лимфобластный лейкоз/лимфома из клеток-предшественников
Опухоли из зрелых

В-клеток
В-клеточный хронический лимфоцитарный лейкоз/лимфома из малых лимфоцитов
В-клеточный пролимфоцитарный лейкоз


Лимфоплазмоцитарная лимфома
Волосатоклеточный лейкоз
Плазмоклеточная миелома
Солитарная плазмоцитома кости
Внекостная пазмоцитома
В-клеточные лимфомы маргинальной зоны
Экстранодальные В-клеточные лимфомы маргинальной зоны мукозо-ассоциированной лимфоидной ткани (MALT-ома)
Нодальная В-клеточная лимфома маргинальной зоны
Лимфома маргинальной зоны селезенки
Фолликулярная лимфома
Лимфома из клеток мантийной зоны
Диффузная В-крупноклеточная лимфома
Медиастинальная (тимическая) В-крупноклеточная лимфома
Интраваскулярная В-крупноклеточная лимфома
Лимфома с первичным поражением серозных оболочек
Лимфома/лейкоз Беркитта
В-КЛЕТОЧНЫЕ ОПУХОЛИВ-клеточные опухоли из предшественников:В-лимфобластный лейкоз/лимфома из клеток-предшественниковОпухоли из зрелых В-клетокВ-клеточный хронический лимфоцитарный лейкоз/лимфома из малых лимфоцитов

Слайд 42Т- И NК-КЛЕТОЧНЫЕ ОПУХОЛИ
Опухоли из предшественников Т-клеток
Т-лимфобластная лимфома/лейкоз из клеток-предшественников

(острый лимфобластный лейкоз из Т-клеток предшественников)
Опухоли из зрелых Т-клеток и

NK-клеток
Т-клеточные и NK-клеточные лейкозы/диссеминированные лимфомы
Т-клеточный пролимфоцитарный лейкоз
Т-клеточный лейкоз из больших гранулярных лимфоцитов
Т-клеточный лейкоз/лимфома взрослых
Агрессивный NK-клеточный лейкоз
Эктранодальные кожные лимфомы
Грибовидный микоз
Синдром Сезари
Первичная кожная анаплазированная крупноклеточная лимфома
Лимфоматоидный папулез (клинически не относится в опухолям)
Прочие экстранодальные
Экстранодальная Т/NK-клеточная лимфома, назальный тип
Т-клеточная лимфома энтеропатического типа
Гепатолиенальная Т-клеточная лимфома
Т-клеточная лимфома тип подкожного панникулита
Периферические Т-клеточные нодальные лимфомы
Периферическая Т-клеточная лимфома, далее неуточненная
Анаплазированная крупноклеточная лимфома
Ангиоиммунобластная Т-клеточная лимфома.
Опухоли неопределенной линии и стадии дифференцировки
Бластная NK-клеточная лимфома
Т- И NК-КЛЕТОЧНЫЕ ОПУХОЛИОпухоли из предшественников Т-клетокТ-лимфобластная лимфома/лейкоз из клеток-предшественников (острый лимфобластный лейкоз из Т-клеток предшественников)		Опухоли из

Слайд 43Опухоли низкой степени злокачественности (НСЗ)
В-клеточные:
Фолликулярная лимфома I-II степени
Лимфоплазмоцитарная лимфома
Лимфомы маргинальной

зоны
Лимфома из малых лимфоцитов
Лимфома из клеток мантии
Т-клеточные:
Грибовидный микоз/синдром Сезари

Опухоли низкой степени злокачественности (НСЗ)В-клеточные:Фолликулярная лимфома I-II степениЛимфоплазмоцитарная лимфомаЛимфомы маргинальной зоныЛимфома из малых лимфоцитовЛимфома из клеток мантииТ-клеточные:Грибовидный

Слайд 44Опухоли высокой степени злокачественности (ВСЗ)
В-клеточные опухоли:
Диффузная В-крупноклеточная лимфома
Лимфома Беркитта
Т-клеточные опухоли
Т-лимфобластная

лимфома/лейкоз из клеток-предшественников (острый лимфобластный лейкоз из Т-клеток предшественников)
Опухоли из

зрелых Т-клеток
Анаплазированная крупноклеточная лимфома
Ангиоиммунобластная Т-клеточная лимфома.
Опухоли высокой степени злокачественности (ВСЗ)В-клеточные опухоли:Диффузная В-крупноклеточная лимфомаЛимфома БеркиттаТ-клеточные опухолиТ-лимфобластная лимфома/лейкоз из клеток-предшественников (острый лимфобластный лейкоз из

Слайд 45Группировка по стадиям
Стадия I - Поражения одной лимфатической области

- Поражение

одного экстранодального органа без локального распространения
- исключаются медиастинальные, абдоминальные эпидуральные поражения
Стадия II - Поражение одного экстранодального органа с поражением региональных лимфоузлов
- Две или более областей по одну сторону диафрагмы.
Поражение одиночного экстранодального органа с поражением региональных лимфоузлов по одну сторону диафрагмы
Стадия III - Поражены лимфатические узлы по обе стороны диафрагмы  локализованное поражение экстралимфатического органа (ткани)
- поражение селезенки
- поражение экстралимфатического органа и селезенки
Стадия IV - Диффузное поражение экстралимфатических органов  региональных лимфоузлов
- поражение изолированного экстралимфатического органа и нерегиональных лимфоузлов
Группировка по стадиямСтадия I  - Поражения одной лимфатической области

Слайд 46Все стадии подразделяются на подгруппы А и В.

А - соответствует

отсутствию симптомов интоксикации (потеря веса, лихорадка, ночные поты)
В - говорит

о наличии этих сиптомов.
Все стадии подразделяются на подгруппы А и В.А - соответствует отсутствию симптомов интоксикации (потеря веса, лихорадка, ночные

Слайд 47Обязательные диагностические мероприятия
Полное физическое обследование с регистрацией всех зон поражения

и размеров опухолевого заболевания. Это необходимость для того, чтобы можно

было сравнить и оценить результат лечения прогрессирования
Клинический анализ крови с подсчетом тромбоцитов
- оценивается количество лейкоцитов, формула, анемия, количество тромбоцитов, наличие лейконизации процесса
Биохимический анализ крови с обязательной оценкой печеночных ферментов, креатинина, мочевины, ЛДГ, фибриногена, сахара, белка крови, билирубина, кислой и щелочной фосфатазы.
Общий анализ мочи - важен при проведении курсов полихимиотерапии, где синдром мочекислой нефропатии при остром лизисе опухоли могут проявиться проявлением в моче уратов.
Рентгенография органов грудной клетки в прямой и боковой проекции и определение соотношения наибольшего диаметра медиальных масс к размеру грудной клетки (менее или более 0,33).
Ультразвуковое исследование органов брюшной полости и таза.
Пункция костного мозга (трепанобиопсия) с подсчетом миелограммы.
Консультация специалистов: оториноларинголога, невропатолога, окулиста.
Цитологическое и гистологическое исследование биопсийного материала.
Обязательные диагностические мероприятияПолное физическое обследование с регистрацией всех зон поражения и размеров опухолевого заболевания. Это необходимость для

Слайд 48Дополнительные методы обследования
Исследование костей - рентгенография, сканирование с Тс
Исследование почек

- экскреторная урография, сцинтиграфия
Сцинтиграфия печени, селезенки и забрюшинных лимфоузлов
Исследование органов

ЖКТ - рентгенография желудка, ирригография, ФКС,ФГДС
Прямая нижняя рентгеноконтрастная лимфография - при планировании облучения забрюшинных лимфатических коллекторов
Дополнительные методы обследованияИсследование костей - рентгенография, сканирование с ТсИсследование почек - экскреторная урография, сцинтиграфияСцинтиграфия печени, селезенки и

Слайд 49Клинические проявления
1. Манифестация первичного очага
2. Проявления диссеминации или прогрессирования

процесса
3. Симптомы интоксикации

Первичный очаг при НХЛ, проявляется увеличением периферических лимфоузлов,

часто по обе стороны диафрагмы. Часто определяются те группы лимфатических узлов, которые в норме не пальпируются. Гиперплазия лимфоидной ткани Вальдейерова кольца позволяет клинически заподозрить лимфому. Поражение кожи, как правило, диагностируется дерматологами. Характерен внешний вид этих поражений; как правило, это четко очерченные участки гиперемии синюшно-багрового цвета с инфильтрацией кожи и подкожно-жировой клетчатки.
Возможно первичное поражение органов ЖКТ. Это проявляется синдромом недостаточного всасывания (кахексия, поносы), непроходимостью, кровотечением, перфорацией с соответствующей симптоматикой.
Клинические  проявления1. Манифестация первичного очага2. Проявления диссеминации или прогрессирования процесса3. Симптомы интоксикацииПервичный очаг при НХЛ, проявляется

Слайд 52Симптомы интоксикации
Симптомы интоксикации при неходжкинских лимфомах носят специфический генерализованный характер,

по их наличию или отсутствию в диагнозе отражается биологическая активность

процесса. К симптомам интоксикации относятся:
Повышение температуры тела выше 38ºС по вечерам в течении нескольких недель с короткими афибрильными периодами - лихорадка Пал-Эбстойна
Профузные ночные поты
Потеря массы тела более на 10% в течение менее полугода.
Симптомы интоксикации		Симптомы интоксикации при неходжкинских лимфомах носят специфический генерализованный характер, по их наличию или отсутствию в диагнозе

Слайд 53Лечение
При неходжкинских лимфомах используются химиотерапия и лучевая терапия. Хирургические

методы имеют чисто диагностическое значение.

Схема лечения I-II стадий.
1 этап

2-3 курса химиотерапии по схеме СОР
2 этап Лучевая терапия на участок поражения
3 этап 2-3 курса химиотерапии по схеме СОР, затем наблюдение.
Лечение 	При неходжкинских лимфомах используются химиотерапия и лучевая терапия. Хирургические методы имеют чисто диагностическое значение.						Схема лечения I-II

Слайд 54Лечение
III стадия - индолентная форма, требует проведения малоинтенсивной монохимиотерапии

(хлорбутин, циклофосфан) или полихимиотерапии ( 3 курса по СОР ).

При отсутствии эффекта- перехода на другие схемы.
Лучевая терапия проводится на участки полностью не регрессировавших лимфатических узлов, либо на те, которые являются наиболее вероятно пораженными. Интервал между курсами химиотерапии и лучевой терапии составляет примерно 3 недели.
IV стадия - стратегия врача состоит в индукции ремиссии путем проведения моно- или полихимиотерапии и консолидации этих курсов лучевой терапией на лимфоузлы по принципам ведения III стадии. Возможно проведение лучевой терапии при экстранодальных поражениях.
Лечение III стадия - индолентная форма, требует проведения малоинтенсивной монохимиотерапии (хлорбутин, циклофосфан) или полихимиотерапии ( 3 курса

Слайд 55Лечение
Лечение агрессивных неходжкинских лимфом требует иной подход к стратегии

лечения. Практически все больные с агрессивными неходжкинскими лимфомами подлежат интенсивной

химиотерапии с возможной дополнительной лучевой терапией на очаги поражения, не регрессировавшие после химиотерапии.
Лечение 	Лечение агрессивных неходжкинских лимфом требует иной подход к стратегии лечения. Практически все больные с агрессивными неходжкинскими

Слайд 56Лечение агрессивных форм
I этап - 3 цикла полихимиотерапии
II

этап - лучевая терапия при условии полной или частичной

ремиссии
III этап - 3 цикла полихимиотерапии.
Лечение агрессивных формI этап  -  3 цикла полихимиотерапииII этап -  лучевая терапия при условии

Слайд 57!!!
Основные схемы, применяемые при неходжкинских лимфомах высокой степени злокачественности:

АСОР, СНОР-BLEO, VАР, СОР-ВLAM,
Резервные схемы полихимиотерапии: MEV, СОРР, АУАМР, РАС

ЕС.
!!! Основные схемы, применяемые при неходжкинских лимфомах высокой степени злокачественности: АСОР, СНОР-BLEO, VАР, СОР-ВLAM,Резервные схемы полихимиотерапии: MEV,

Слайд 58Факторы риска
возраст старше 60 лет;
повышение уровня ЛДГ в 2 раза

и более;
общее состояние больного, соответствующее 2-4 степени (ECOG);
III-IV стадии болезни;
наличие

более одного экстранодального очага поражения, вовлечение костного мозга.
Факторы рискавозраст старше 60 лет;повышение уровня ЛДГ в 2 раза и более;общее состояние больного, соответствующее 2-4 степени

Слайд 59
Благодарю за внимание

Благодарю за внимание

Обратная связь

Если не удалось найти и скачать доклад-презентацию, Вы можете заказать его на нашем сайте. Мы постараемся найти нужный Вам материал и отправим по электронной почте. Не стесняйтесь обращаться к нам, если у вас возникли вопросы или пожелания:

Email: Нажмите что бы посмотреть 

Что такое TheSlide.ru?

Это сайт презентации, докладов, проектов в PowerPoint. Здесь удобно  хранить и делиться своими презентациями с другими пользователями.


Для правообладателей

Яндекс.Метрика