Разделы презентаций


1. Физиология гемостаза

Содержание

Виктор Петрович Ба́луда (1924 — 2002)

Слайды и текст этой презентации

Слайд 1


Слайд 2Виктор Петрович Ба́луда (1924 — 2002)

Виктор Петрович Ба́луда (1924 — 2002)

Слайд 3Зиновий Соломонович Баркаган 
(1925— 2006) 

Зиновий Соломонович Баркаган (1925— 2006) 

Слайд 4Исидор Абрамович Ойвин (1909 — 1972)

Исидор Абрамович Ойвин (1909 — 1972)

Слайд 5тромбоцитарная фаза
сосудистая фаза

тромбоцитарная фазасосудистая фаза

Слайд 6коагуляционная фаза
фибринолиз

коагуляционная фазафибринолиз

Слайд 8ТРОМБОЦИТЫ

ТРОМБОЦИТЫ

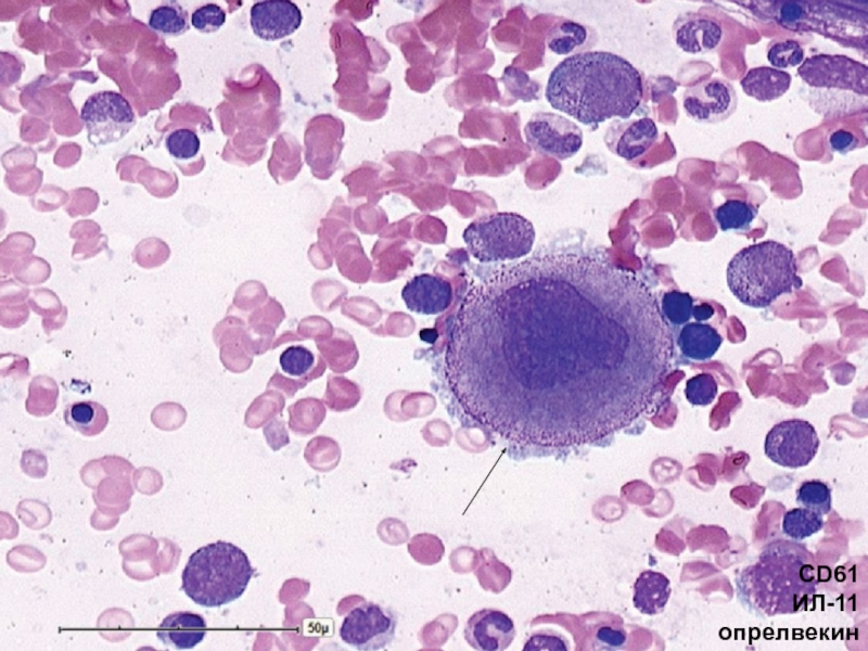
Слайд 9CD61
ИЛ-11
опрелвекин

CD61ИЛ-11опрелвекин

Слайд 10Мегакариоциты
III
«bare» nuclei
70 μm
glycoproteinIIIa (CD61; integrin αIIβ3)
gp IIb (CD41; integrin αIIb)


gp Ib (CD42)
gp V
Thrombospondinreceptor(CD36,glycoprotein IIIb)
platelet-endothelial cell adhesion moleculae

(PECAM-1; CD31)
МегакариоцитыIII«bare» nuclei70 μmglycoproteinIIIa (CD61; integrin αIIβ3)gp IIb (CD41; integrin αIIb) gp Ib (CD42) gp VThrombospondinreceptor(CD36,glycoprotein IIIb) platelet-endothelial

Слайд 11normal distribution of all three haemopoietic lineages
megakaryocyte adjacent to

a sinusoid
Resin - embedded, H & E × 20

normal distribution of all three haemopoietic lineages megakaryocyte adjacent to a sinusoidResin - embedded, H & E

Слайд 12Эмпериполез

Эмпериполез

Слайд 13ТРОМБОПОЭТИН
гликопротеин
источник- печень, почки
ИЛ-6 стимулирует синтез ТПО
стимуляция рецептора (CD110, c-mpl) активирует

JAK-STAT каскад
связываясь с CD 110 на тромбоцитах, ТПО разрушается (обратная

связь)
ТРОМБОПОЭТИНгликопротеинисточник- печень, почкиИЛ-6 стимулирует синтез ТПОстимуляция рецептора (CD110, c-mpl) активирует JAK-STAT каскадсвязываясь с CD 110 на тромбоцитах,

Слайд 162-3 мкм

2-3 мкм

Слайд 17синдром серых тромбоцитов – отсутствие гранул Квебекский синдром – деградация 

гранул синдром Германского-Пудлака – отсутствие плотных гранул (+ альбинизм, лизосомальные

дефекты)
синдром серых тромбоцитов – отсутствие гранул Квебекский синдром – деградация  гранул  синдром Германского-Пудлака – отсутствие

Слайд 18Electron micrograph of a platelet sectioned in the equatorial
plane showing

the circumferential band of microtubules. Many electronlucent
vesicles belonging to the

surface-connected canalicular system, a few
mitochondria and some platelet granules (including one dense body) can
be seen. The dense tubular system is present between the vesicles of the
surface-connected canalicular system, but is only just visible at the present
magnification. Uranyl acetate and lead citrate. Ч 20 000
Electron micrograph of a platelet sectioned in the equatorialplane showing the circumferential band of microtubules. Many electronlucentvesicles

Слайд 21А также: 5-HT2A, CD 39, CD 110, FcγRIIA ,C -

type lectin receptor (CLEC – 2) и пр.

А также: 5-HT2A, CD 39, CD 110, FcγRIIA ,C - type lectin receptor (CLEC – 2) и

Слайд 23Участие тромбоцитов в гемостазе

Участие тромбоцитов в гемостазе

Слайд 24PF4 (CXCL4) - heparin-neutralizing factor
PF3 (фосфолипиды мембраны) - связывает карбоксилированные

факторы свертывания
эндотелиальная
экто-ADPаза (CD39)
TSP - 1 was first identified

as a thrombin - sensitive protein that was released in response to activation of platelets by thrombin. Upon release from platelets, TSP - 1 binds to the platelet surface in a Ca2+- dependent manner and interacts with integrins αIIbβ3 and αvβ3, CD36 and the integrin - associated protein (IAP), integrin - bound fibrinogen and fibronectin. TSP - 1 activates αIIbβ3 through its binding to IAP. This results in spreading of platelets and aggregation
PF4 (CXCL4) - heparin-neutralizing factorPF3 (фосфолипиды мембраны) - связывает карбоксилированные факторы свертыванияэндотелиальная экто-ADPаза (CD39) TSP - 1

Слайд 29Функции vWF: 1. помогает тромбоцитам: адгезия (домен А vWF + GPIb-V-IX),

в меньшей степени, агрегация (домен С vWF +

GPIIb/IIIa) 2. помогает фактору VIII

стимулятор vWF + GPIb-V-IX - РИСТОЦЕТИН
ослабление vWF + GPIb-V-IX имеет место при болезни Виллебранда 2А типа, усиление при - 2В типе

Failure of FVIII to bind VWF, as occurs in type 2N von Willebrand disease

gain-of-function mutations in either VWF or GPIb that increase the interaction lead to type 2B von Willebrand disease or pseudo (platelet-type) von Willebrand disease

ослабление взаимодействия vWF + фактор VIII имеет место при болезни Виллебранда 2N типа

усиливают
высвобождение
ДЕСМОПРЕССИН,
ОРАЛЬНЫЕ
КОНТРАЦЕПТИВЫ

Вальпроевая кислота (используется в препаратах для лечения эпилепсии) может вызвать тромбоцитопению, уменьшение уровня фибриногена, состояние, имитирующее болезнь Виллебранда II типа

Функции vWF:  1. помогает тромбоцитам: адгезия (домен А vWF + GPIb-V-IX), в меньшей

Слайд 32КОАГУЛЯЦИЯ

КОАГУЛЯЦИЯ

Слайд 33сериновые протеазы
transglutaminase

сериновые протеазыtransglutaminase

Слайд 34The process of amplification occurs independently of the TF – FVIIa

complex, which is rapidly inactivated by tissue factor pathway inhibitor (TFPI),

released from thrombin - activated platelets or found on the surface of endothelial cells, by the formation of a quaternary inhibited complex
The process of amplification occurs independently of the TF – FVIIa complex, which is rapidly inactivated by

Слайд 39Carboxylated factors are now able to bind to calcium and

PF3
glutamic acid residues that are post - translationally modifi ed by

the addition of a carboxyl group to the γ- carbon by a vitamin K - dependent carboxylase. This γ- carboxyglutamic acid (GLA) domain confers affinity to negatively charged phospholipid membranes such as those of activated platelets or endothelial cells, promoting the assembly of functional multiprotein complexes on these surfaces.

COOH

карбоксилированные
факторы связывают Са и PF3

Carboxylated factors are now able to bind to calcium and PF3glutamic acid residues that are post -

Слайд 43К-зависимыми являются также
синтезируемые печенью
антикоагулянты:
протеин C,
протеин S,


антитромбин (АТ)
NB

К-зависимыми являются также синтезируемые печенью антикоагулянты: протеин C, протеин S, антитромбин (АТ)NB

Слайд 45ФИБРИНОЛИЗ

ФИБРИНОЛИЗ

Слайд 46ИНАКТИВИРУЮТСЯ В ПЕЧЕНИ
ПЛАЗМИНОГЕН
ПЛАЗМИН
ФИБРИН
ПДФ (ОБЛАДАЮТ АНТИКОАГУЛЯНТНЫМ И ДЕЗАГРЕГАНТНЫМ ДЕЙСТВИЕМ)
ТАП
(PA)
ИАП
(PAI)
2-антиплазмин
ИАП
(PAI)
TAFI
(карбоксипептидаза В)
ТРОМБИН

ИНАКТИВИРУЮТСЯ В ПЕЧЕНИПЛАЗМИНОГЕНПЛАЗМИНФИБРИНПДФ  (ОБЛАДАЮТ АНТИКОАГУЛЯНТНЫМ И ДЕЗАГРЕГАНТНЫМ ДЕЙСТВИЕМ)ТАП(PA)ИАП(PAI)2-антиплазминИАП(PAI)TAFI (карбоксипептидаза В)ТРОМБИН

Слайд 47ДЕФИЦИТ – БОЛЕЗНЬ МИЯСАТО

ДЕФИЦИТ – БОЛЕЗНЬ МИЯСАТО

Слайд 50РОЛЬ ЭНДОТЕЛИЯ

РОЛЬ ЭНДОТЕЛИЯ

Слайд 51FV Leiden (FV Arg506Gln) that is resistant to APC, leading to

the most common form of familial thrombophilia
фV Лейден (мутация Arg506Gln)

– резистентность V фактора к АПС, самая частая наследственная тромбофилия (2-8%)

Physiological anticoagulants fall into two main groups: those that inhibit the serine proteases of the coagulation cascade (both Kunitz - type and serpins) and those involved in destruction
of the activated coagulation cofactors FVa and FVIIIa (components of the PC system)

Heparin, without altering the stoichiometry, induces a more than 2000 - fold increase in the rate of thrombin inactivation by AT, such that its action becomes almost instantaneous (t½ < 0.01 s)

UFH and LMWH is attributed to the pentasaccharide sequence containing at its centre a 2,3,6 - (SO3) trisulphated glucosamine group. It is this that binds to lysine or tryptophan residues in AT in the region of the D helix, inducing the conformational change in the inhibitor

CD 39

EPCR

эндотелиальная
экто-ADPаза (CD39)

TAFI

FV Leiden (FV Arg506Gln) that is resistant to APC, leading to the most common form of familial

Слайд 55К противосвертывающим факторам плазмы крови относятся: антитромбин (АТ), гепариновый кофактор

II (ГК II), протеин С (ПС), протеин S (ПS), ингибитор

тканевого фактора (ИТФ), протеаза нексин 2 (ПН-2), протеин Z (ПZ) и ПZ-зависимый ингибитор, С1-ингибитор, a1-антитрипсин (a1-АТ), a2-макроглобулин (a2-М).

По механизму действия ингибиторы свертывания крови относятся к групам :
1- серпины - АТ, ГК II, ПZ, С1-ингибитор , a1-АТ (блокируется субстратсвязывающий центр сериновой протеазы и фактор свертывания не вступает в протеолитическую реакцию) ;
2- кунины – ИТФ, ПН2, лекарство апротинин (панкреатический ингибитор трипсина);
3- другие: ПС, ПS, a2-макроглобулин, ингибитор “мусорщик” (не связывается со специфическим активным центром протеазы)

nexin 2 one of several isoforms of Alzheimer β- amyloid protein precursor present in platelets

К противосвертывающим факторам плазмы крови относятся: антитромбин (АТ), гепариновый кофактор II (ГК II), протеин С (ПС), протеин

Слайд 58Изменение параметров гемостаза при беременности

Изменение параметров гемостаза при беременности

Слайд 59Изменение параметров гемостаза при беременности

Изменение параметров гемостаза при беременности

Обратная связь

Если не удалось найти и скачать доклад-презентацию, Вы можете заказать его на нашем сайте. Мы постараемся найти нужный Вам материал и отправим по электронной почте. Не стесняйтесь обращаться к нам, если у вас возникли вопросы или пожелания:

Email: Нажмите что бы посмотреть 

Что такое TheSlide.ru?

Это сайт презентации, докладов, проектов в PowerPoint. Здесь удобно  хранить и делиться своими презентациями с другими пользователями.


Для правообладателей

Яндекс.Метрика