Разделы презентаций


Дополнительные методы исследования в пульмонологии

Содержание

ИССЛЕДОВАНИЕ МОКРОТЫ Мокрота - патологический секрет дыхательных путей, выделяемый с кашлем из дыхательных путей В образовании мокроты принимает участие мукоцилиарный аппарат бронхов, который вырабатывает слизь, продуцируемую бокаловидными клетками и бронхиальными железами,

Слайды и текст этой презентации

Слайд 1Дополнительные методы исследования в пульмонологии
Пропедевтика внутренних болезней

Дополнительные методы исследования в пульмонологииПропедевтика внутренних болезней

Слайд 2ИССЛЕДОВАНИЕ МОКРОТЫ
Мокрота - патологический секрет дыхательных путей, выделяемый с кашлем

из дыхательных путей
В образовании мокроты принимает участие мукоцилиарный аппарат

бронхов, который вырабатывает слизь, продуцируемую бокаловидными клетками и бронхиальными железами, а также реснички мерцательного эпителия бронхов.
ИССЛЕДОВАНИЕ МОКРОТЫ Мокрота - патологический секрет дыхательных путей, выделяемый с кашлем из дыхательных путей В образовании мокроты

Слайд 3Сбор мокроты для исследования
Утром натощак после полоскания рта и горла

кипяченой водой.
Больной откашливает мокроту в чистую сухую стеклянную посуду

с плотно закрывающейся крышкой, для микробиологического исследования – в стерильную посуду.
Важно предупредить больного, что надо избегать попадания слюны.
В лабораторию направляется свежесобранная мокрота
Сбор мокроты для исследованияУтром натощак после полоскания рта и горла кипяченой водой. Больной откашливает мокроту в чистую

Слайд 4Анализ мокроты
Макроскопическое исследование
Микроскопическое исследование
Микробиологическое исследование

Анализ мокротыМакроскопическое исследованиеМикроскопическое исследованиеМикробиологическое исследование

Слайд 5Макроскопическое исследование мокроты
Количество (в сутки)
Характер
Цвет
Консистенцию (вязкость)
Запах
Наличие

патологических примесей

Макроскопическое исследование мокротыКоличество (в сутки)Характер Цвет Консистенцию (вязкость) Запах Наличие патологических примесей

Слайд 6Количество мокроты, выделяемой за сутки
Небольшое количество < 100 мл/сутки (при

большинстве заболеваний)
Большое количество > 100 мл мокроты в сутки
выделяется при:
Бронхоэктатической

болезни
Абсцессе легкого в момент прорыва в бронх
Гангрене легкого
Количество мокроты, выделяемой за сутки Небольшое количество < 100 мл/сутки (при большинстве заболеваний)Большое количество > 100 мл

Слайд 7Характер мокроты
Слизистая – вязкая, бесцветная, стекловидная (при бронхиальной астме в

период обострения, в начальных стадиях воспаления или при его стихании

– острый бронхит, хронический бронхит в фазе ремиссии)
Серозная – жидкая, пенистая, бесцветная или с примесью крови (при застое крови в легких при левожелудочковой недостаточности)
Слизисто-гнойная – при многих заболеваниях (очаговая пневмония, бронхит и т.д.)
Гнойная – желтая или зеленая, непрозрачная, сливкообразная – выделяется при абсцессе легких, гнойном бронхите, бронхоэктатической болезни
Характер мокротыСлизистая – вязкая, бесцветная, стекловидная (при бронхиальной астме в период обострения, в начальных стадиях воспаления или

Слайд 8 Гнойная мокрота при отстаивании разделяется на слои.
Двухслойная мокрота: сверху

– серозный; снизу – гнойный. Характерна для абсцесса легкого.
Трехслойная мокрота:

сверху – слой слизи, ниже – серозный, на дне – гнойный (характерна для гангрены легкого, но может появляться и при бронхоэтатичекой болезни, при гнилостном бронхите)


Гнойная мокрота при отстаивании разделяется на слои. Двухслойная мокрота: сверху – серозный; снизу – гнойный. Характерна для

Слайд 9Цвет мокроты
Бесцветная (стекловидная) при бронхиальной астме
Желтоватая (слизисто-гнойная)
Зеленоватая (слизисто-гнойная или гнойная)


Ржавая при крупозной пневмонии (за счет гематина и гемосидерина)
Розоватая серозная

мокрота при альвеолярном отеке легких
Цвета «малинового желе» при аденоматозе легких (альвеолярном раке)
Алая – при кровохарканье и легочном кровотечении
Коричневая с участками распада легкого – при гангрене легкого
Черноватая – за счет примеси угольной пыли
Цвет мокротыБесцветная (стекловидная) при бронхиальной астмеЖелтоватая (слизисто-гнойная)Зеленоватая (слизисто-гнойная или гнойная) Ржавая при крупозной пневмонии (за счет гематина

Слайд 10Неприятный гнилостный запах появляется
При гнилостном распаде легочной ткани (гангрена

легкого, распадающаяся опухоль).
При разложении белков мокроты при длительном нахождении ее

в полостях (бронхоэктатич. болезнь, абсцесс легкого)


Запах мокроты

Неприятный гнилостный запах появляется При гнилостном распаде легочной ткани (гангрена легкого, распадающаяся опухоль).При разложении белков мокроты при

Слайд 11Примесь крови в мокроте
Кровохарканье (haematoptoe) – примесь крови в мокроте


Легочное кровотечение – выделение чистой алой крови

Примесь крови в мокротеКровохарканье (haematoptoe) – примесь крови в мокроте Легочное кровотечение – выделение чистой алой крови

Слайд 12Бронхоэктазы – прожилки или сгустки крови
Крупозная пневмония – “ржавая” мокрота
Застойные

явления и отек легких – пенистая розовая мокрота
Абсцесс, гангрена легкого

– гнойно-кровянистая
Рак легкого – «малиновое желе»
Инфаркт легкого – сгустки крови или коричневая мокрота
Туберкулез – прожилки, сгустки или обильная кровянистая мокрота
Стафилококковая или вирусная очаговая пневмония – прожилки, сгустки крови, «ржавая» мокрота


Примесь крови в мокроте

Бронхоэктазы – прожилки или сгустки кровиКрупозная пневмония – “ржавая” мокротаЗастойные явления и отек легких – пенистая розовая

Слайд 13Микроскопическое исследование мокроты
Клеточный состав
Волокнистые и кристаллические образования
Ориентировочная оценка микрофлоры (бактериоскопия)

Микроскопическое исследование мокротыКлеточный составВолокнистые и кристаллические образованияОриентировочная оценка микрофлоры (бактериоскопия)

Слайд 14Диагностическое значение клеточных элементов мокроты

Диагностическое значение клеточных элементов мокроты

Слайд 15Диагностическое значение клеточных элементов мокроты

Диагностическое значение клеточных элементов мокроты

Слайд 16Волокнистые образования
Спирали Куршмана – закрученные в спираль образования из слизи

– «слепки мелких бронхов», образующиеся при нарушении бронхиальной проходимости (бронхиальная

астма)
Эластические волокна – появляются в мокроте при деструкции легких (туберкулез, абсцесс, гангрена легкого, распадающийся рак легкого, др.)
Обызвествленные эластические волокна - грубые, пропитанные солями извести палочковидные образования (обнаруживаются в мокроте при распаде обезыствленного очага как результат туберкул. процесса, абсцесса легкого, опухоли).
Волокна фибрина – при крупозной пневмонии, туберкулезе, актиномикозе и т.д.
Волокнистые образованияСпирали Куршмана – закрученные в спираль образования из слизи – «слепки мелких бронхов», образующиеся при нарушении

Слайд 17Кристаллические образования
Кристаллы Шарко-Лейдена - блестящие бесцветные ромбы, образующиеся при распаде

эозинофилов (при бронхиальной астме)
Кристаллы холестерина – при длительном застое мокроты

в замкнутых полостях и распаде жира (туберкулез, абсцесс, распад опухоли и т.д.)
Кристаллы гемотоидина – при кровоизлияниях, некрозах
Кристаллы жирных кислот

Кристаллические образованияКристаллы Шарко-Лейдена - блестящие бесцветные ромбы, образующиеся при распаде эозинофилов (при бронхиальной астме)Кристаллы холестерина – при

Слайд 18 Признаками активного воспалительного процесса являются:
а) характер мокроты - слизисто-гнойная или

гнойная;
b) увеличение количества лейкоцитов в мокроте (более 10 в

поле зрения);
c) увеличение количества альвеолярных макрофагов;
d) увеличение общего количества мокроты (не всегда).

Типичную триаду при бронхиальной астме составляют:
Эозинофилы
Кристаллы Шарко – Лейдена
Спирали Куршмана




Признаками активного воспалительного процесса являются:а) характер мокроты - слизисто-гнойная или гнойная; b) увеличение количества лейкоцитов в мокроте

Слайд 19
эластические волокна
обызвествленные эластические волокна

кристаллы гематоидина
Микроскопия мокроты
кристаллы холестерина

эластические волокнаобызвествленные эластические волокнакристаллы гематоидинаМикроскопия мокротыкристаллы холестерина

Слайд 20
Друзы актиномицетов
Грибы Candida
Микроскопия мокроты

Друзы актиномицетовГрибы CandidaМикроскопия мокроты

Слайд 21Виды плевральных выпотов
Воспалительные (плевриты)
Бактериальные гнойно-воспалительные процессы (плевропневмония)
Аллергические и аутоиммунные заболевания,

системные заболевания соединительной ткани
Посттравматическое воспаление (закрытая травма грудной клетки, лучевая

травма и т.д.)
Застойные (сердечная недостаточность, ТЭЛА)
Диспротеинемические (нефротический синдром, цирроз печени, микседема)
Опухолевые (первичная опухоль плевры – мезотелиома, метастазы в плевру, лейкозы)
При нарушении целостности плевральных листков (спонтанный пневмоторакс, травма)
При заболеваниях органов брюшной полости (панкреатиты, поддиафрагмальные абсцессы)
При др. заболеваниях (уремия и т.д.)



Виды плевральных выпотовВоспалительные (плевриты)Бактериальные гнойно-воспалительные процессы (плевропневмония)Аллергические и аутоиммунные заболевания, системные заболевания соединительной тканиПосттравматическое воспаление (закрытая травма

Слайд 22ИССЛЕДОВАНИЕ ПЛЕВРАЛЬНОГО ВЫПОТА
за счет воспаления образуется экссудат (при плевритах)
за счет

«пропотевания» невоспалительной жидкости скапливается транссудат (при отеках)

ИССЛЕДОВАНИЕ ПЛЕВРАЛЬНОГО ВЫПОТАза счет воспаления образуется экссудат (при плевритах)за счет «пропотевания» невоспалительной жидкости скапливается транссудат (при отеках)

Слайд 23Экссудаты
Серозный (по виду напоминает транссудат)
Гнойный (эмпиема плевры)
Геморрагический (опухоли, травматический

плеврит, туберкулез)
Хилезный (при сдавлении грудного лимфатического протока
Холестериновый (хрон. осумкованные выпоты)


Экссудаты Серозный (по виду напоминает транссудат)Гнойный (эмпиема плевры)Геморрагический (опухоли, травматический плеврит, туберкулез)Хилезный (при сдавлении грудного лимфатического протокаХолестериновый

Слайд 24Дифференциальная диагностика плеврального транссудата и экссудата

Дифференциальная диагностика плеврального транссудата и экссудата

Слайд 25Рентгенологическое исследование органов дыхания  позволяет оценить прозрачность легочных полей,

 обнаружить очаги уплотнения,  наличие жидкости или воздуха в

плевральной полости,  каверны или полости в легком
Рентгенологическое исследование   органов дыхания  позволяет оценить прозрачность легочных полей,   обнаружить очаги уплотнения,

Слайд 26Топическая рентгенологическая диагностика заболеваний легких осуществляется в соответствии с условным

сегментарным строением легких

Топическая рентгенологическая диагностика заболеваний легких осуществляется в соответствии с условным сегментарным строением легких

Слайд 27Рентгенологические синдромы при заболеваниях легких
1. Затемнение всего легочного поля (массивное

скопление жидкости в полости плевры, ателектаз легкого, цирроз легкого)
2. Затемнение

части легочного поля (пневмония, туберкулез, пневмосклероз, инфаркт легкого, опухоль, гидроторакс)
3. Круглая тень в легочном поле (туберкулома, опухоли, кисты)
4. Отдельные очаги в лег. поле (туберкулез, очаговые пневмонии, рак бронха, метастазы опухоли)

Рентгенологические синдромы при заболеваниях легких1. Затемнение всего легочного поля (массивное скопление жидкости в полости плевры, ателектаз легкого,

Слайд 285. Распространенные диффузные диссеминации – множественные густо расположенные очаги в

обоих легких (туберкулез, метастазы злок. опухолей, отек легких)
6. Ограниченное округлое

просветление (абсцесс легкого, туб. каверна, распадающаяся опухоль, эхинококковая киста)
7. Ограниченное усиление и деформация легочного рисунка (хр. бронхит, бронхоэктатическая болезнь)
8. Повышение прозрачности легких (эмфизема)
9. Увеличение внутригрудных лимфатических узлов и патология корня легкого (туберкулез, опухоли, саркоидоз)
5. Распространенные диффузные диссеминации – множественные густо расположенные очаги в обоих легких (туберкулез, метастазы злок. опухолей, отек

Слайд 29Методы рентгенологического исследования органов дыхания :
Рентгеноскопия грудной клетки
Рентгенография грудной клетки
Флюорография
Рентгенотомография
Бронхография
Компьютерная

томография
Ангиография сосудов легких

Методы рентгенологического исследования органов дыхания : Рентгеноскопия грудной клеткиРентгенография грудной клеткиФлюорографияРентгенотомографияБронхографияКомпьютерная томографияАнгиография сосудов легких

Слайд 30Флюорография (ФЛГ) является вариантом рентгенографии, который проводится с использованием флюорографа

и отличается повышенной производительностью, невысокой лучевой нагрузкой; широко применяется при

массовых профилактических обследованиях.
Флюорография (ФЛГ) является вариантом рентгенографии, который проводится с использованием флюорографа и отличается повышенной производительностью, невысокой лучевой нагрузкой;

Слайд 31Рентгенография органов грудной клетки

Рентгенография органов грудной клетки

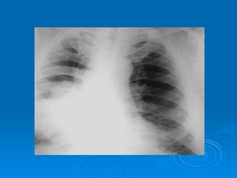
Слайд 33Затемнение части легочного поля. Центральный рак правого легкого

Затемнение части легочного поля. Центральный рак правого легкого

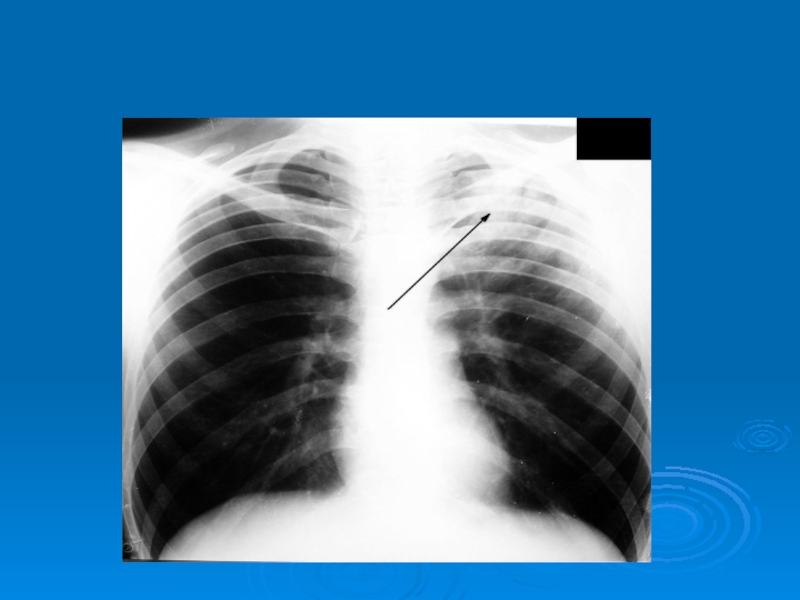
Слайд 35Затемнение части легочного поля (туберкулез в верхней доле левого легкого)

Затемнение части легочного поля (туберкулез в верхней доле левого легкого)

Слайд 37Утолщение междолевой плевры

Утолщение междолевой плевры

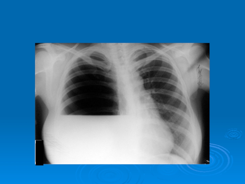
Слайд 39Затемнение части легочного поля (гидроторакс)

Затемнение части легочного поля (гидроторакс)

Слайд 41Отдельные очаги в лег. поле (опухоль в нижней доле левого

легкого)

Отдельные очаги в лег. поле (опухоль в нижней доле левого легкого)

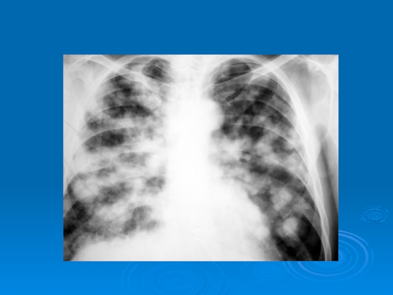
Слайд 43Распространенные диффузные диссеминации (метастазы злокачественной опухоли)

Распространенные диффузные диссеминации (метастазы злокачественной опухоли)

Слайд 44Рентгенограммы больных с абсцессами в правом и левом легком

Рентгенограммы больных с абсцессами в правом и левом легком

Слайд 45Боковые рентгенограммы больных с абсцессами в правом легком

Боковые рентгенограммы больных с абсцессами в правом легком

Слайд 46Бронхография
Метод исследования бронхиального дерева с введением в него контрастного

вещества. На бронхограмме получается изображение бронхиального дерева.
Это исследование позволяет

обнаруживать как обрывы заполнения («культя бронха» при раке) и сужения бронхов (стенозы), так и расширения бронхов (бронхоэктазы).
Бронхография Метод исследования бронхиального дерева с введением в него контрастного вещества. На бронхограмме получается изображение бронхиального дерева.

Слайд 47Бронхография. Бронхоэктазы в нижней доле правого легкого

Бронхография. Бронхоэктазы в нижней доле правого легкого

Слайд 48
(Рентгено)томография

- послойное исследование легких для уточнения характера и размеров

патолог. изменений, располагающихся на различной глубине в легочной ткани.



(Рентгено)томография 	- послойное исследование легких для уточнения характера и размеров патолог. изменений, располагающихся на различной глубине в

Слайд 49Компьютерная томография
Высокоинформативный метод с высокой разрешающей способностью, позволяющий визуализировать

очаги размером 1 – 2 мм, с представлением рентгенологической картины

в виде тонких (до 1 мм) «срезов» исследуемого органа.
Компьютерная томография Высокоинформативный метод с высокой разрешающей способностью, позволяющий визуализировать очаги размером 1 – 2 мм, с

Слайд 50Рентгеновская компьютерная томография (эмпиема плевры слева)

Рентгеновская компьютерная томография (эмпиема плевры слева)

Слайд 51Опухоль правого легкого

Опухоль правого легкого

Слайд 52Ангиография сосудов легких (селективная ангиопульмонография)
Рентгенологический метод исследования сосудов легких и

легочного кровотока, при котором контрастное вещество вводится в сосудистое русло

с помощью катетера.
Основные показания:
Диагностика ТЭЛА
Рецидивирующее кровохарканье
Подозрение на врожденную аномалию легочных сосудов
Иногда – для оценки операционного риска

Ангиография сосудов легких (селективная ангиопульмонография)Рентгенологический метод исследования сосудов легких и легочного кровотока, при котором контрастное вещество вводится

Слайд 54Бронхоскопия – метод визуального исследования внутренней поверхности трахеи и бронхов

с помощью эндоскопа

Бронхоскопия –  метод визуального исследования внутренней поверхности трахеи и бронхов с помощью эндоскопа

Слайд 55ПОКАЗАНИЯ К БРОНХОСКОПИИ
Подозрение на опухоль трахеобронхиального дерева
Инородное тело бронхов
Рубцы и

стенозы бронха, аномалия развития бронхов
Абсцесс легкого (идентификация возбудителя, введение антибиотиков)
Пневмония

затяжного течения
Бронхоэктатическая болезнь
Кровохарканье и легочное кровотечение
Диссеминированные процессы в легких
Заболевания легких неясной этиологии
ПОКАЗАНИЯ К БРОНХОСКОПИИПодозрение на опухоль трахеобронхиального дереваИнородное тело бронховРубцы и стенозы бронха, аномалия развития бронховАбсцесс легкого (идентификация

Слайд 56 Бронхоскопия позволяет выявить и оценить:
Состояние стенки и просвета бронхов

(воспаление, дискинезия трахеи и крупных бронхов)
Опухоль
Степень стеноза бронха
Инородное

тело
Источник легочного кровотечения
Провести бронхоальвеолярный лаваж с забором материала для исследования
Осуществить прицельную биопсию для гистологического исследования пунктата

Бронхоскопия позволяет выявить и оценить: Состояние стенки и просвета бронхов (воспаление, дискинезия трахеи и крупных бронхов)Опухоль Степень

Слайд 57Также бронхоскопия позволяет осуществить:

Остановку кровотечения
Удаление инородного тела
Введение антибиотиков в бронхиальное

дерево

Также бронхоскопия позволяет осуществить:Остановку кровотеченияУдаление инородного телаВведение антибиотиков в бронхиальное дерево

Слайд 58Бронхоскопы
Жесткие (осмотр до устья сегментарных бронхов, аспирация содержимого, биопсия,

ряд лечебных мероприятий – остановка кровотечения, удаление инородного тела)
Гибкие (фибробронхоскопы)

– осмотр трахеи, главных, сегментарных и субсегментарных бронхов; аспирация содержимого, БАЛ, биопсия

Бронхоскопы Жесткие (осмотр до устья сегментарных бронхов, аспирация содержимого, биопсия, ряд лечебных мероприятий – остановка кровотечения, удаление

Обратная связь

Если не удалось найти и скачать доклад-презентацию, Вы можете заказать его на нашем сайте. Мы постараемся найти нужный Вам материал и отправим по электронной почте. Не стесняйтесь обращаться к нам, если у вас возникли вопросы или пожелания:

Email: Нажмите что бы посмотреть 

Что такое TheSlide.ru?

Это сайт презентации, докладов, проектов в PowerPoint. Здесь удобно  хранить и делиться своими презентациями с другими пользователями.


Для правообладателей

Яндекс.Метрика