Разделы презентаций


ГНОЙНЫЕ ЗАБОЛЕВАНИЯ МЯГКИХ ТКАНЕЙ

Содержание

ФУРУНКУЛОстрое гнойно-некротическое воспаление волосяного фолликула, сальной железы и окружающей подкожной клетчатки.Возбудитель – золотистый стафилококк.Фон – снижение иммунитета, сахарный диабетВходные ворота – микротравмы кожного покрова при расчесах, потертостях и т.д.

Слайды и текст этой презентации

Слайд 1ГНОЙНЫЕ ЗАБОЛЕВАНИЯ МЯГКИХ ТКАНЕЙ

ГНОЙНЫЕ ЗАБОЛЕВАНИЯ МЯГКИХ ТКАНЕЙ

Слайд 2ФУРУНКУЛ
Острое гнойно-некротическое воспаление волосяного фолликула, сальной железы и окружающей подкожной

клетчатки.
Возбудитель – золотистый стафилококк.
Фон – снижение иммунитета, сахарный диабет
Входные ворота

– микротравмы кожного покрова при расчесах, потертостях и т.д.
ФУРУНКУЛОстрое гнойно-некротическое воспаление волосяного фолликула, сальной железы и окружающей подкожной клетчатки.Возбудитель – золотистый стафилококк.Фон – снижение иммунитета,

Слайд 4КЛИНИЧЕСКАЯ КАРТИНА
Общие клинические симптомы – не выражены, боль, повышение температуры

до субфебрильных цифр
Местная симптоматика – отек тканей, плотный и болезненный

инфильтрат, гиперемия, гнойное расплавление тканей, образуется гнойный стержень, в центре которого находится волос (пустула), в дальнейшем – происходит отторжение пустулы и выход гноя, после отторжения и после стихания воспаления через 5-7 дней остается рана кратерообразной формы
КЛИНИЧЕСКАЯ КАРТИНАОбщие клинические симптомы – не выражены, боль, повышение температуры до субфебрильных цифрМестная симптоматика – отек тканей,

Слайд 6ОСЛОЖНЕНИЯ ФУРУНКУЛА
1. сепсис – развивается при распространении инфицированных тромбов (в

зоне воспаления наблюдается тромбоз капилляров) по венам в большой круг

кровообращения
2. абсцедирование – развивается при образовании пиогенной капсулы вокруг гнойника, которая препятствует формированию и отторжению гнойного стержня
3. флегмона – образуется при распространении гноя в глубину подкожной клетчатки
4. тромбофлебит – возникает при переходе воспаления на стенку венозного сосуда
5. лимфангит и лимфаденит – при переходе воспаления на лимфатический сосуд, а затем и лимфоузел
6. карбункул – является осложнением неправильного лечения фурункула
ОСЛОЖНЕНИЯ ФУРУНКУЛА1. сепсис – развивается при распространении инфицированных тромбов (в зоне воспаления наблюдается тромбоз капилляров) по венам

Слайд 7ОСЛОЖНЕНИЯ ФУРУНКУЛА
7. менингит – осложнение фурункула лицевой области, при переходе

воспалительного процесса на венозные сосуды (тромбофлебит), с последующей миграцией через

последовательные анастомозы передней лицевой вены с веной угла глаза и глазничной веной в кавернозный синус твердой мозговой оболочки, возникает гнойный тромбоз синуса
ОСЛОЖНЕНИЯ ФУРУНКУЛА7. менингит – осложнение фурункула лицевой области, при переходе воспалительного процесса на венозные сосуды (тромбофлебит), с

Слайд 8ЛЕЧЕНИЕ
Консервативное – в начальной фазе заболевания (фаза серозного воспаления) применяют

обработки области воспаления растворами антисептиков на спиртовой основе, антибиотикотерапию.
При образовании

пустулы – для ускорения отхождения стержня применяют салициловую кислоту, протеолитические ферменты, ФТЛ. Также пинцетом удаляют поверхностный участок эпидермиса над пустулой, что ускоряет ее отхождение.
После отхождения гноя проводят лечение в соответствии с фазой раневого процесса.

ЛЕЧЕНИЕКонсервативное – в начальной фазе заболевания (фаза серозного воспаления) применяют обработки области воспаления растворами антисептиков на спиртовой

Слайд 9ЛЕЧЕНИЕ
Хирургическое – проводится при абсцедировании фурункула, производится широкое вскрытие с

последующими хирургическими обработками, дренированием и лечением раны.

ЛЕЧЕНИЕХирургическое – проводится при абсцедировании фурункула, производится широкое вскрытие с последующими хирургическими обработками, дренированием и лечением раны.

Слайд 10ФУРУНКУЛЕЗ
Наличие нескольких фурункулов в различных областях с рецидивирующим течением.
Обычно

возникает на фоне нарушений обмена веществ (сахарный диабет, авитаминоз), что

подразумевает включение в процесс лечения иммунокорригирующую терапию.
ФУРУНКУЛЕЗНаличие нескольких фурункулов в различных областях с рецидивирующим течением. Обычно возникает на фоне нарушений обмена веществ (сахарный

Слайд 12КАРБУНКУЛ
Острое разлитое гнойно-некротическое воспаление близлежащих волосяных фолликулов и сальных

желез с образованием некроза кожи и подкожной клетчатки
Возбудитель – золотистый

стафилококк
Локализация – задняя поверхность шеи, межлопаточная область
КАРБУНКУЛ Острое разлитое гнойно-некротическое воспаление близлежащих волосяных фолликулов и сальных желез с образованием некроза кожи и подкожной

Слайд 14КЛИНИЧЕСКАЯ КАРТИНА
Местные симптомы – плотный, резко болезненный инфильтрат, кожа над

ним напряжена, лоснящаяся, сине-багрового цвета, на поверхности несколько гнойно-некротических пустул,

которые в центре инфильтрата могут сливаться с образованием некроза, при истончении некроза через него выходит гной (симптом «сита»)
КЛИНИЧЕСКАЯ КАРТИНАМестные симптомы – плотный, резко болезненный инфильтрат, кожа над ним напряжена, лоснящаяся, сине-багрового цвета, на поверхности

Слайд 18КЛИНИЧЕСКАЯ КАРТИНА
Общая симптоматика – сильная боль, высокая температура, озноб, слабость,

головная боль, потеря аппетита, сухость во рту, тахикардия, т. е.

симптомы гнойной интоксикации, выраженной по сравнению с клинической картиной фурункула.
КЛИНИЧЕСКАЯ КАРТИНАОбщая симптоматика – сильная боль, высокая температура, озноб, слабость, головная боль, потеря аппетита, сухость во рту,

Слайд 19ЛЕЧЕНИЕ
ХИРУРГИЧЕСКОЕ – вскрытие карбункула крестообразным разрезом, через всю толщу тканей,

с иссечением всех некротизированных тканей, с последующим лечением раны в

соответствии с фазой раневого процесса. Для последующего закрытия дефекта требуется наложение вторичных швов или пластические операции.
ЛЕЧЕНИЕХИРУРГИЧЕСКОЕ – вскрытие карбункула крестообразным разрезом, через всю толщу тканей, с иссечением всех некротизированных тканей, с последующим

Слайд 20АБСЦЕСС
Ограниченное скопление гноя в различных тканях или органах, окруженное пиогенной

капсулой
Возбудитель – чаще стафилококк, анаэробные микроорганизмы
Проникновение в организм – через

повреждения кожи и слизистых оболочек, постинъекционные абсцессы, лимфогенно и гематогенно.
Классификация –
по локализации
– поверхностные
и глубокие

АБСЦЕССОграниченное скопление гноя в различных тканях или органах, окруженное пиогенной капсулойВозбудитель – чаще стафилококк, анаэробные микроорганизмыПроникновение в

Слайд 21КЛИНИЧЕСКАЯ КАРТИНА
Общая симптоматика – синдром интоксикации
Местные симптомы при поверхностных абсцессах

– отек, флюктуация, боль, гиперемия, локальная гипертермия
Местные симптомы при глубоких

абсцессах могут отсутствовать
КЛИНИЧЕСКАЯ КАРТИНАОбщая симптоматика – синдром интоксикацииМестные симптомы при поверхностных абсцессах – отек, флюктуация, боль, гиперемия, локальная гипертермияМестные

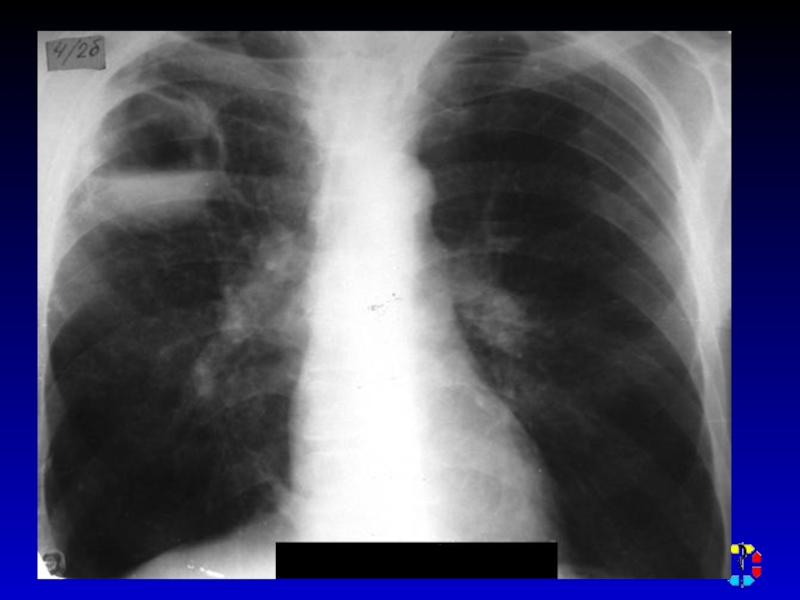
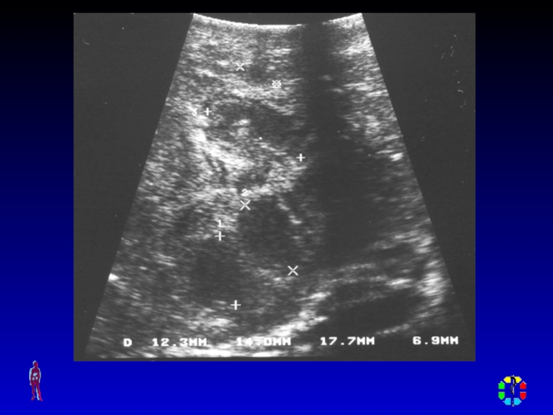
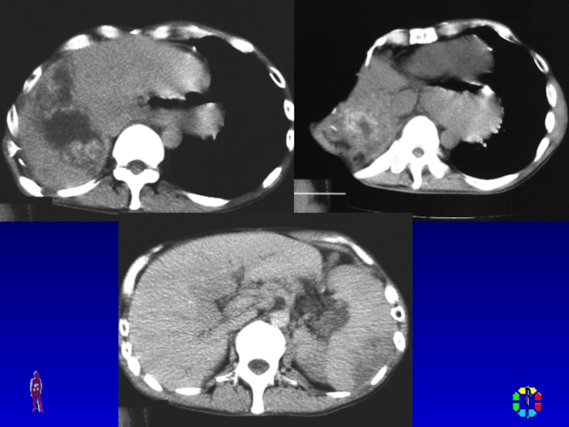
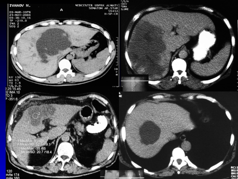
Слайд 22ДИАГНОСТИКА
Диагностическая пункция
УЗИ мягких тканей, рентгенологическое исследование , КТ,

радиоизотопное исследование.

ДИАГНОСТИКА Диагностическая пункция УЗИ мягких тканей, рентгенологическое исследование , КТ, радиоизотопное исследование.

Слайд 28ЛЕЧЕНИЕ
ХИРУРГИЧЕСКОЕ – вскрытие и дренирование полости абсцесса, с последующими хирургическими

обработками, иссечением некротизированных тканей и лечением раны с учетом фазности

раневого процесса. Обязательно на фоне комплексного общего лечения – противовоспалительного (А/Б) и детоксикации.
ЛЕЧЕНИЕХИРУРГИЧЕСКОЕ – вскрытие и дренирование полости абсцесса, с последующими хирургическими обработками, иссечением некротизированных тканей и лечением раны

Слайд 32ФЛЕГМОНА
Острое гнойное разлитое воспаление клетчаточных пространств, не имеющее тенденцию к

отграничению.
Возбудитель – чаще стафилококк, любая гноеродная микрофлора
Распространение в организме –

через повреждения кожи и слизистых оболочек, лимфогенно и гематогенно
Может возникать как осложнение абсцесса, фурункула, карбункула, т.е. при переходе воспаления на окружающую клетчатку
Развитие – серозная инфильтрация клетчатки, затем переход экссудата в гнойный, образование некрозов тканей, их расплавление.
ФЛЕГМОНАОстрое гнойное разлитое воспаление клетчаточных пространств, не имеющее тенденцию к отграничению.Возбудитель – чаще стафилококк, любая гноеродная микрофлораРаспространение

Слайд 33КЛАССИФИКАЦИЯ
По локализации – подкожная, эпифасциальная, субфасциальная, межмышечная, параоссальная, забрюшинная.
По характеру

экссудата – серозная, гнойная, гнойно-геморрагическая, гнилостная.
Отдельные виды – парапроктит, параколит,

паранефрит, медиастинит, аденофлегмона, параартикулярная флегмона.
КЛАССИФИКАЦИЯПо локализации – подкожная, эпифасциальная, субфасциальная, межмышечная, параоссальная, забрюшинная.По характеру экссудата – серозная, гнойная, гнойно-геморрагическая, гнилостная.Отдельные виды

Слайд 34КЛИНИЧЕСКАЯ КАРТИНА
Общие симптомы – синдром интоксикации
Местные симптомы – отек, боль,

гиперемия без четких границ, местная гипертермия, отсутствие симптома флюктуации, нарушение

функции пораженной части тела.
КЛИНИЧЕСКАЯ КАРТИНАОбщие симптомы – синдром интоксикацииМестные симптомы – отек, боль, гиперемия без четких границ, местная гипертермия, отсутствие

Слайд 37ЛЕЧЕНИЕ
ХИРУРГИЧЕСКОЕ – вскрытие, удаление гноя и некротизированных тканей, ревизия и

вскрытие гнойных затеков и карманов, промывание раны, дренирование – тампонирование

раны с последующим лечением раны согласно фазности раневого процесса.
Обязательно проводится общая комплексная терапия (антибактериальная, дезинтоксикационная, корригирующая).
ЛЕЧЕНИЕХИРУРГИЧЕСКОЕ – вскрытие, удаление гноя и некротизированных тканей, ревизия и вскрытие гнойных затеков и карманов, промывание раны,

Слайд 39ГИДРАДЕНИТ
Гнойное воспаление потовых желез, чаще нескольких, может носить рецидивирующий характер.
Возбудитель

– чаще золотистый стафилококк.
Локализация – чаще подмышечная впадина, перианальная область,

паховая область.
Фон – нарушение гигиенических правил, повышенная потливость, микротравмы.
Проникновение инфекции – через протоки апокриновых желез или лимфогенно, вначале образуется инфильтрат, который подвергается гнойному расплавлению
ГИДРАДЕНИТГнойное воспаление потовых желез, чаще нескольких, может носить рецидивирующий характер.Возбудитель – чаще золотистый стафилококк.Локализация – чаще подмышечная

Слайд 40КЛИНИЧЕСКАЯ КАРТИНА
Общие симптомы – боль, нарушение функции, повышение температуры, слабость,

потливость.
Местные симптомы – вначале плотный болезненный узелок с последующим увеличением

в размере до 1-2 см или несколько, спаянных между собой, вокруг большой болезненный инфильтрат, гиперемия, через 1-2 недели в центре появляется флюктуация – абсцедирование, возможно самостоятельное вскрытие с выходом сливкообразного гноя.
КЛИНИЧЕСКАЯ КАРТИНАОбщие симптомы – боль, нарушение функции, повышение температуры, слабость, потливость.Местные симптомы – вначале плотный болезненный узелок

Слайд 41ЛЕЧЕНИЕ
В фазе инфильтрата – консервативное (обработка антисептиками, ФТЛ, функциональный покой,

антибиотикотерапия).
В фазе абсцедирования – хирургическое (вскрытие и дренирование гнойника)

ЛЕЧЕНИЕВ фазе инфильтрата – консервативное (обработка антисептиками, ФТЛ, функциональный покой, антибиотикотерапия).В фазе абсцедирования – хирургическое (вскрытие и

Слайд 42Гнойные заболевания кисти
Панариций и флегмоны кисти
Возникновению П. способствуют

многочисленные местные факторы обусловливающие расстройство микроциркуляции и трофики тканей:
загрязнение кожи

рук;
воздействие на кожу раздражающих веществ,
ее мацерация;
систематическое увлажнение;
охлаждение;
вибрация;
нарушения системы иммунитета;
обмена веществ;
гиповитаминоз;
эндокринные заболевания и др.
Экспериментально доказано, что многие химические вещества (негашеная известь, минеральные масла и др.) и металлы (медь, цинк, хром, кобальт и др.) при попадании на кожу оказывают на нее токсическое воздействие, что способствует проникновению возбудителей инфекции и возникновению панариция.
Гнойные заболевания кисти Панариций и флегмоны кисти Возникновению П. способствуют многочисленные местные факторы обусловливающие расстройство микроциркуляции и

Слайд 43ПАНАРИЦИЙ
Острое гнойное воспаление тканей пальца.
Возбудитель – чаще стафилококки и стрептококки

(грамм-отрицательная флора) + анаэробы.
Входные ворота – микротравмы, мозоль, подногтевая гематома.
Панариций (от лат. panaricium,

Рanaricium hormoega) —
ПАНАРИЦИЙОстрое гнойное воспаление тканей пальца.Возбудитель – чаще стафилококки и стрептококки (грамм-отрицательная флора) + анаэробы.Входные ворота – микротравмы,

Слайд 44На ладони в 19,5 раз больше чувствительных нервных волокн, чем

на плече.
Механорецепторы реагируют на смещение кожи на 1 мкм.
На

указательном пальце до 23 нервных окончаний на 1мм2.
На 1 см.кв. 100-200 болевых точек.
На ладони в 19,5 раз больше чувствительных нервных волокн, чем на плече. Механорецепторы реагируют на смещение кожи

Слайд 45Строение пальца на руке
На ладонной пов-ти нет фасции. Плотные тяжи

соединительной ткани располагаются перпендикулярно к пов-ти пальцев прикрепляясь к глубоким

слоям кожи и надкостнице, образуют замкнутые пространства, существенно ограничивают подвижность кожи.
из-за этого инфекция распространяется вглубь.
Строение пальца на рукеНа ладонной пов-ти нет фасции. Плотные тяжи соединительной ткани располагаются перпендикулярно к пов-ти пальцев

Слайд 46Кожа пальцев –очень толстый эпидермис-220-726мкм(на коже предплечья до 31-62мкм.-препятствие для

опорожнения гнойников
Из-за высокого внутритканевого давления вызываемого отеком-быстро наступает некроз тканей.

Лимфоотток

от кисти –большое к-во лимфатических капилляров-
Лимфатические сосуды переходят на тыл кисти-где имеется рыхлая подкожная клетчатка-отек тыла кисти –в результате панариция
Лимфа оттекает до подмышечных и над- и подключичных л/у
Кожа пальцев –очень толстый эпидермис-220-726мкм(на коже предплечья до 31-62мкм.-препятствие для опорожнения гнойниковИз-за высокого внутритканевого давления вызываемого отеком-быстро

Слайд 47Классификация панарициев:
I . Поверхностные формы панариция:
•  Кожный панариций.
•  Паранихия.
•  Подногтевой

панариций.
•  Подкожный панариций.
•  Фурункул (карбункул) тыла пальца.
II . Глубокие формы

панариция:
•  Костный панариций.
а) Острый.
б) Хронический (свищевая форма)
•  Сухожильный панариций.
•  Суставной панариций.
•  Костно-суставной панариций.
•  Пандактилит.
Классификация панарициев:I . Поверхностные формы панариция:•  Кожный панариций.•  Паранихия.•  Подногтевой панариций.•  Подкожный панариций.•  Фурункул (карбункул) тыла пальца.II

Слайд 48Схематическое изображение различных форм панариция: а — кожный; б —

подкожный; в — сухожильный; г — костный; д — суставной;

е — типа «запонки».
Схематическое изображение различных форм панариция: а — кожный; б — подкожный; в — сухожильный; г — костный;

Слайд 50Кожный панариций.
Экссудат располагается под эпидермисом и отслаивает его в виде

пузыря, содержание которого имеет серозный, гнойный или геморрагический характер.
Подкожный панариций.
При

исследовании пальца обращает на себя внимание направление тканей, иногда сглаженность расположенной вблизи от воспалительного очага межфаланговой сгибательной борозды. Соединительнотканные тяжи, пронизывающие жировую клетчатку пальца и соединяющие собственно кожу с надкостницей, препятствуют распространению отека на периферию. Показание к операции «синдром первой бессонной ночи».
Кожный панариций.Экссудат располагается под эпидермисом и отслаивает его в виде пузыря, содержание которого имеет серозный, гнойный или

Слайд 51КОЖНЫЙ ПАНАРИЦИЙ
СИМПТОМЫ: местные (локальная гиперемия, отграниченная отслойка эпидермиса, под которым

просвечивает гной, пульсирующая боль), общие (не выраженные явления интоксикации и

субфебрильная температура.)
ЛЕЧЕНИЕ: хирургическое (полное удаление приподнятого эпидермиса с дальнейшим лечением раны в соответствии с фазностью раневого процесса) и общее (противовоспалительная терапия).
КОЖНЫЙ ПАНАРИЦИЙСИМПТОМЫ: местные (локальная гиперемия, отграниченная отслойка эпидермиса, под которым просвечивает гной, пульсирующая боль), общие (не выраженные

Слайд 53ПОДКОЖНЫЙ ПАНАРИЦИЙ
Симптомы: местные (сильная пульсирующая боль, напряженный и болезненный отек,

гиперемия с цианотичным оттенком) и общие (симптомы интоксикации).

ПОДКОЖНЫЙ ПАНАРИЦИЙСимптомы: местные (сильная пульсирующая боль, напряженный и болезненный отек, гиперемия с цианотичным оттенком) и общие (симптомы

Слайд 54ПОДКОЖНЫЙ ПАНАРИЦИЙ
ЛЕЧЕНИЕ – зависит от фазы воспаления:
Фаза воспалительной инфильтрации– консервативная

терапия ( функциональная мобилизация, антибиотикотерапия, ретроградные введения А/Б, компрессы с

димексидом и фурациллином, ФТЛ).
Фаза нагноения – хирургическое лечение под местной анестезией по Оберсту-Лукашевичу (в/в анестезией) + общая комплексная терапия
ПОДКОЖНЫЙ ПАНАРИЦИЙЛЕЧЕНИЕ – зависит от фазы воспаления:Фаза воспалительной инфильтрации– консервативная терапия ( функциональная мобилизация, антибиотикотерапия, ретроградные введения

Слайд 55ПОДКОЖНЫЙ ПАНАРИЦИЙ
Хирургическое лечение:
При локализации процесса в концевой фаланге выполняют овальный

или полулунный разрез.
При локализации процесса на средней или основной фаланге

выполняют два боковых сообщающихся между собой разреза со сквозным дренированием.
Дальнейшее местное лечение в соответствие с фазой раневого процесса (дренирование, промывание антисептиками, протеолитические ферменты, ванночки с раствором перманганата марганца, повязки с гипертоническим раствором или гидрофильными мазями, ФТЛ )
ПОДКОЖНЫЙ ПАНАРИЦИЙХирургическое лечение:При локализации процесса в концевой фаланге выполняют овальный или полулунный разрез.При локализации процесса на средней

Слайд 56ПАРОНИХИЯ
Воспаление валика окружающего основание ногтя.
Симптомы: местные (гиперемия и отек валика,

боль), общие (не выражены).
Лечение: хирургическое (срезается край валика, последний приподнимается

и под него вводится выпускник, в последующем лечении проводится в соответствии с фазой раневого процесса, при распространении воспаления в околоногтевое или подногтевое пространство производят резекцию или полное удаление ногтевой пластины).
ПАРОНИХИЯВоспаление валика окружающего основание ногтя.Симптомы: местные (гиперемия и отек валика, боль), общие (не выражены).Лечение: хирургическое (срезается край

Слайд 58Подногтевой панариций
Подногтевой — Воспаление тканей под ногтем. Может возникать в

случае проникновения гноя под ногтевую пластинку. Часто такой панариций развивается

после укола или попадания занозы под ноготь.
Подногтевой панарицийПодногтевой — Воспаление тканей под ногтем. Может возникать в случае проникновения гноя под ногтевую пластинку. Часто

Слайд 60Суставной панариций.
Возникает после ранения межфаланговых или фаланговых областей пальца с

их дорсальной поверхности, где суставы прикрыты лишь тонким слоем мягких

тканей. Воспаленный сустав приобретает веретенообразную форму, тыльные межфаланговые борозды сглаживаются. Попытка к сгибательно-разгибательным движениям пальца приводит к резкому усилению болей в пораженном суставе. При вовлечении в воспалительный процесс связочного, хрящевого и костного аппарата пальца, возникает патологическая подвижность и ощущение крепитации шероховатых частей суставных поверхностей. Такая «разболтанность» сустава свидетельствует о значительном изменении костно-хрящевого аппарата пальца.
Суставной панариций.Возникает после ранения межфаланговых или фаланговых областей пальца с их дорсальной поверхности, где суставы прикрыты лишь

Слайд 61СУСТАВНОЙ ПАНАРИЦИЙ
Симптомы: местные (боль при движениях, ограничение движений в суставе,

веретенообразная форма пальца из-за отека сустава, гиперемия) и общие (симптомы

интоксикации).
Лечение: хирургическое (при серозном воспалении возможно проведение пункции с удалением экссудата и введением в полость сустава А/Б, при гнойном процессе – артротомия с последующим дренированием и промыванием полости сустава) + консервативная комплексная терапия.
СУСТАВНОЙ ПАНАРИЦИЙСимптомы: местные (боль при движениях, ограничение движений в суставе, веретенообразная форма пальца из-за отека сустава, гиперемия)

Слайд 63КОСТНЫЙ ПАНАРИЦИЙ
Симптомы: местные (болезненный отек всей фаланги, гиперемия, локальная гипертермия)

и общие (выраженные симптомы интоксикации).
Лечение: хирургическое (некрэктомия участков фаланги или

удаление всей фаланги) + консервативная комплексная терапия.
КОСТНЫЙ ПАНАРИЦИЙСимптомы: местные (болезненный отек всей фаланги, гиперемия, локальная гипертермия) и общие (выраженные симптомы интоксикации).Лечение: хирургическое (некрэктомия

Слайд 66Сухожильный панариций.
Подкожный панариций в ряде случаев является причиной тендовагинитов. Если

проводимая терапия не создала условий для успешной ликвидации воспаления, то

появляется возможность для распространения инфекции на глубжерасположенные ткани и прежде всего на сухожильные влагалища и сухожилия сгибателей пальцев. Ухудшение общего состояния, появление дергающих, пульсирующих болей по всему пальцу, равномерный отек тканей со сглаженностью межфаланговых борозд – симптом сухожильного панариция. Палец приобретает вид сосиски.
Сухожильный панариций.Подкожный панариций в ряде случаев является причиной тендовагинитов. Если проводимая терапия не создала условий для успешной

Слайд 67СУХОЖИЛЬНЫЙ ПАНАРИЦИЙ (ГНОЙНЫЙ ТЕНДОВАГИНИТ)
Симптомы: местные (равномерный, циркулярный отек, боль при

надавливании зондом по ходу всего сухожилия, вынужденное положение пальца –

легкое сгибание, усиление болей при движениях – особенно при попытке разгибания, бледность кожи с цианотичным оттенком) и общие (выражены симптомы интоксикации).
Лечение: в основном хирургическое (выполнение 2-х боковых разрезов на средней и основной фаланге и в дистальном отделе ладони для вскрытия слепого сухожильного влагалища с последующим дренированием и лечением соответственно фазе раневого процесса, обязательна иммобилизация и ранняя активация движений пальцев кисти) + общее (комплексная консервативная терапия).
СУХОЖИЛЬНЫЙ ПАНАРИЦИЙ (ГНОЙНЫЙ ТЕНДОВАГИНИТ)Симптомы: местные (равномерный, циркулярный отек, боль при надавливании зондом по ходу всего сухожилия, вынужденное

Слайд 70ПАНДАКТИЛИТ
Симптомы: местные (поражение всей толщи тканей пальца) и общие (выраженные

симптомы интоксикации).
Лечение: хирургическое (экзартикуляция пальца в пястно-фаланговом суставе) и консервативная

комплексная терапия.
ПАНДАКТИЛИТСимптомы: местные (поражение всей толщи тканей пальца) и общие (выраженные симптомы интоксикации).Лечение: хирургическое (экзартикуляция пальца в пястно-фаланговом

Слайд 71Пандактилит I пальца правой кисти

Пандактилит I пальца правой кисти

Слайд 73Общие принципы лечения панариций и послеоперационный период.
Залогом успеха в лечении

гнойной инфекции пальцев и кисти является своевременное и адекватное оперативное

вмешательство, основным моментом которого является полноценная некрэктомия.
•  Разрез должен обеспечивать полноценную ревизию и санацию гнойного очага и в то же время быть щадящим, позволяющим получить в конечном итоге хороший функциональный и косметический эффект.
•  После эвакуации гноя необходимо выполнить полноценную некрэктомию, ориентирующуюся на цвет и структуру тканей. Хирургическая обработка гнойного очага должна производиться с учетом расположенных рядом важных анатомических образований, чтобы избежать их повреждения.
•  Для более радикального удаления гнойно-некротичеаского очага во время операции рационально вакуумирование раны, обработка ее ультразвуком низкой частоты, пульсирующей струей антисептика, расфокусированным лучом лазера и др.
Общие принципы лечения панариций и послеоперационный период.Залогом успеха в лечении гнойной инфекции пальцев и кисти является своевременное

Слайд 74 Гнойную рану после тщательной хирургической обработки необходимо дренировать.
После

проведенной полноценной хирургической обработки гнойника, при отсутствии выраженного перифокального воспаления

окружающих тканей, подвижности краев раны и ее активном дренировании на рану могут быть наложены первично-отсроченные швы.
Следует отметить, что антибиотики не проникают в аваскулиризированные некротические ткани и не воздействуют на процессы их отторжения. В связи с этим применяются протеолитические ферменты.
При застойных явлениях в мягких тканях для предупреждения контрактур и паралича мышц проводится электростимуляция. С целью рассасывания рубцов и спаек используется электрофорез йодом, фонофорез трилона Б.
В послеоперационном периоде с целью быстрейшей реабилитации применяются различные физиотерапевтические процедуры. Лечебные ванны с 1% р-ром лизола, 0,1% р-ром перманганата калия, фурациллином, хлорамином, фурагином, гипертоническим раствором поваренной соли. С успехом применяют местную оксигенацию, озоно-воздушную смесь.
Гнойную рану после тщательной хирургической обработки необходимо дренировать. После проведенной полноценной хирургической обработки гнойника, при отсутствии

Слайд 77Дренирование резиновым окончатым дренажем при подкожном панариции средней фаланги: а

— окончатый дренаж; б — введение дренажа в раневой канал;

в — промывание раны через дренаж; г — извлечение дренажа.
Дренирование резиновым окончатым дренажем при подкожном панариции средней фаланги: а — окончатый дренаж; б — введение дренажа

Слайд 78ФЛЕГМОНЫ КИСТИ
Развиваются как следствие распространения гнойного процесса с пальцев на

кисть по синовиальным влагалищам.
Классификация:
Флегмона межпальцевых промежутков (комиссуральная)
Подкожная (надапоневротическая флегмона)
Подапоневротическая флегмона
Флегмона

срединного ладонного пространства
Флегмона пространства мышц возвышения I пальца (флегмона тенора)
Флегмона пространства мышц возвышения V пальца (флегмона гипотенора)
У-образная флегмона
Кожный абсцесс ладони (мозольный абсцесс)
Подкожная флегмона тыла кисти
Подапоневротическая флегмона тыла кисти
ФЛЕГМОНЫ КИСТИРазвиваются как следствие распространения гнойного процесса с пальцев на кисть по синовиальным влагалищам.Классификация:Флегмона межпальцевых промежутков (комиссуральная)Подкожная

Слайд 79ФЛЕГМОНЫ КИСТИ
Симптомы: местные (боль, отек, гиперемия, локальная гипертермия, ограничение движений)

и общие (выраженные симптомы интоксикации).
Лечение: хирургическое (вскрытие, ревизия, промывание и

сквозное дренирование с последующим местным лечением соответственно фазе раневого процесса) + консервативная комплексная терапия.
Осложнения: распространение по клетчаточным пространствам на предплечье (пространство Пирогова-Парона) и генерализация инфекционного процесса (сепсис).
ФЛЕГМОНЫ КИСТИСимптомы: местные (боль, отек, гиперемия, локальная гипертермия, ограничение движений) и общие (выраженные симптомы интоксикации).Лечение: хирургическое (вскрытие,

Слайд 80Общие принципы лечения флегмон кисти:
•  Лечение больных с флегмонами

кисти должно осуществляться в хирургическом стационаре.
•  Необходимо максимально точно

установить, какое клетчаточное пространство кисти поражено, что важно для выбора адекватного доступа.
•  Оперативное вмешательство должно быть ранним и осуществляться при строгом соблюдении правил асептики.
•  Необходимо оптимальное обезболивание и точное обескровливание кисти.
•  Некрэктомия и дренирование гнойника - важнейшие моменты операции.
•  Адекватная антибиотикотерапия с учетом чувствительности микрофлоры.
•  Применение различных видов местной терапии после оперативного вмешательства, в зависимости от локализации очага воспаления.
•  Иммобилизация.
•  Реабилитации больных, профилактика осложнений.
Общие принципы лечения флегмон кисти: •  Лечение больных с флегмонами кисти должно осуществляться в хирургическом стационаре. • 

Слайд 82Вскрытие и дренирование флегмон

Вскрытие и дренирование флегмон

Слайд 83МАСТИТ
Острое воспаление молочной железы.
Возбудитель – чаще стафилококк.
Фон – лактостаз, микротравмы

и патология соска и параареолярной области.
Проникновение инфекции – через микротрещины,

молочные ходы.
МАСТИТОстрое воспаление молочной железы.Возбудитель – чаще стафилококк.Фон – лактостаз, микротравмы и патология соска и параареолярной области.Проникновение инфекции

Слайд 84КЛАССИФИКАЦИИ
По течению – острый.
По формам – серозный, острый инфильтративный, флегмонозный,

абсцедирующий, гангренозный.
По локализации – галактофорит, субареолярный, интрамаммарный, ретромаммарный.

КЛАССИФИКАЦИИПо течению – острый.По формам – серозный, острый инфильтративный, флегмонозный, абсцедирующий, гангренозный.По локализации – галактофорит, субареолярный, интрамаммарный,

Слайд 85ОТЛИЧИЕ ОТ ЛАКТОСТАЗА
При лактостазе присутствует равномерное увеличение обеих

молочных желез, повышения температуры практически нет, при сцеживании молока наступает

облегчение
ОТЛИЧИЕ ОТ ЛАКТОСТАЗА  При лактостазе присутствует равномерное увеличение обеих молочных желез, повышения температуры практически нет, при

Слайд 86ИНФИЛЬТРАТИВНАЯ ФОРМА
Симптомы – повышение температуры до 38-39-40 гр., усиление болей,

увеличение молочной железы, резко болезненный инфильтрат без четких границ, гиперемия,

слабость головная боль.
Лечение – сцеживание молока, иммобилизация железы, ограничение приема жидкости, ФТЛ, новокаиновая блокада с А/Б, антибактериальная и дезинтоксикационная терапия, в части случаев гормональное подавление лактации.
ИНФИЛЬТРАТИВНАЯ ФОРМАСимптомы – повышение температуры до 38-39-40 гр., усиление болей, увеличение молочной железы, резко болезненный инфильтрат без

Слайд 87ФЛЕГМОНОЗНАЯ ФОРМА
Симптомы – тяжелое общее состояние обусловленное выраженной интоксикацией, увеличение

молочной железы, резкая болезненность, выраженная гиперемия с цианозом, расширение подкожных

вен, появление участков размягчения тканей.
Лечение – хирургическое (вскрытие с иссечением некротических тканей) + общая комплексная терапия.
ФЛЕГМОНОЗНАЯ ФОРМАСимптомы – тяжелое общее состояние обусловленное выраженной интоксикацией, увеличение молочной железы, резкая болезненность, выраженная гиперемия с

Слайд 88АБСЦЕДИРУЮЩАЯ ФОРМА
Симптомы – появление флюктуации, большие размахи между утренней и

вечерней температурой, при пункции по центру размягчения тканей или зоны

флюктуации – получение гноя, усиление синдрома интоксикации.
Лечение – хирургическое (вскрытие и дренирование с последующими хирургическими обработками полости абсцесса) + комплексная терапия.
АБСЦЕДИРУЮЩАЯ ФОРМАСимптомы – появление флюктуации, большие размахи между утренней и вечерней температурой, при пункции по центру размягчения

Слайд 91ГАНГРЕНОЗНАЯ ФОРМА
Наиболее тяжелая форма, которая возникает у поздно обратившихся за

медицинской помощью, у больных сахарным диабетом, ВИЧ-инфекцией.
Возбудитель – анаэробная или

гнилостная микрофлора.
Осложнение – сепсис.
Лечение – хирургическое (удаление всей молочной железы) + интенсивная терапия сепсиса.
ГАНГРЕНОЗНАЯ ФОРМАНаиболее тяжелая форма, которая возникает у поздно обратившихся за медицинской помощью, у больных сахарным диабетом, ВИЧ-инфекцией.Возбудитель

Слайд 92РОЖА
Острое серозно-экссудативное воспаление кожи или слизистой.
Возбудитель – патогенный стрептококк
Фон –

снижение иммунитета.
Проникновение инфекции – микротравмы, лимфогенно.

РОЖАОстрое серозно-экссудативное воспаление кожи или слизистой.Возбудитель – патогенный стрептококкФон – снижение иммунитета.Проникновение инфекции – микротравмы, лимфогенно.

Слайд 93КЛАССИФИКАЦИИ
По характеру воспаления:
Эритематозная,
Буллезная,
Флегмонозная,
Некротическая.

По течению:
Острая,
Рецидивирующая,
Мигрирующая.

КЛАССИФИКАЦИИ По характеру воспаления:Эритематозная,Буллезная, Флегмонозная,Некротическая.По течению:Острая,Рецидивирующая,Мигрирующая.

Слайд 94ЭРИТЕМАТОЗНАЯ ФОРМА
Общие симптомы – повышение температуры до 40 гр., головная

боль, озноб, рвота, тахикардия, слабость.
Местные симптомы – гиперемия ярко красного

цвета с четкими неровными границами (географическая карта), сильная боль, локальная гипертермия, отек.
Лечение – консервативное (антибиотики пенициллинового ряда) + местно (повязки с синтомициновой эмульсией, тетрациклиновой мазью, обработка антисептиками, УФО).
ЭРИТЕМАТОЗНАЯ ФОРМАОбщие симптомы – повышение температуры до 40 гр., головная боль, озноб, рвота, тахикардия, слабость.Местные симптомы –

Слайд 96БУЛЛЕЗНАЯ ФОРМА
Общие симптомы – выраженный симптом интоксикации.
Местные симптомы – отслойка

эпидермиса с появлением пузырей наполненных серозным или геморрагическим экссудатом, выраженный

отек и гиперемия.
Лечение – местно (вскрытие пузырей с иссечением отслоившегося эпидермиса с последующем лечением раны согласно фазности раневого процесса, УФО) + общее (в/м или в/в полусинтетические пенициллины, сульфаниламиды, инфузионная дезинтоксикационная и корригирующая терапия, иммунокоррекция. )

ОПАСНОСТЬ КОНТАКТНОГО ИНФИЦИРОВАНИЯ
– в экссудате содержится большое кол-во стрептококков.

БУЛЛЕЗНАЯ ФОРМАОбщие симптомы – выраженный симптом интоксикации.Местные симптомы – отслойка эпидермиса с появлением пузырей наполненных серозным или

Слайд 97ФЛЕГМОНОЗНАЯ ФОРМА
Общие симптомы – усиление интоксикации.
Местные симптомы – происходит распространении

инфекции на подкожную клетчатку, где отмечается серозно-гнойное пропитывание тканей, скопления

гноя, распространенный и напряженный отек, зоны размягчения тканей.
Лечение – хирургическое (вскрытие, дренирование с последующими хирургическими обработками для иссечения нежизнеспособных тканей) + общее (антибактериальная, дезинтоксикационная, корригирующая терапия.)
ФЛЕГМОНОЗНАЯ ФОРМАОбщие симптомы – усиление интоксикации.Местные симптомы – происходит распространении инфекции на подкожную клетчатку, где отмечается серозно-гнойное

Слайд 99НЕКРОТИЧЕСКАЯ ФОРМА
Развивается крайне редко, обычно у ослабленных или истощенных больных.
Клиническая

картина характеризуется появлением распространенных некрозов на фоне критической интоксикации организма

(сепсис).
Лечение – хирургическое (некрэктомии) + интенсивная терапия сепсиса.
НЕКРОТИЧЕСКАЯ ФОРМАРазвивается крайне редко, обычно у ослабленных или истощенных больных.Клиническая картина характеризуется появлением распространенных некрозов на фоне

Слайд 100ОТДАЛЕННЫЕ ОСЛОЖНЕНИЯ
Обширные раневые дефекты и грубые рубцы.
Рецидивирование и склероз

лимфатических сосудов с образованием хронической лимфовенозной недостаточности (лимфедэмы - слоновость).

ОТДАЛЕННЫЕ ОСЛОЖНЕНИЯОбширные раневые дефекты и грубые рубцы. Рецидивирование и склероз лимфатических сосудов с образованием хронической лимфовенозной недостаточности

Слайд 102ЭРИЗИПЕЛОИД
Острое инфекционное заболевание кожи и, реже, суставов конечностей.

Возбудитель – палочка

свиной рожи.

Входные ворота инфекции – микротравмы.

Характерен для людей занятых обработкой

сырой рыбы, мяса, дичи.
ЭРИЗИПЕЛОИДОстрое инфекционное заболевание кожи и, реже, суставов конечностей.Возбудитель – палочка свиной рожи.Входные ворота инфекции – микротравмы.Характерен для

Слайд 103КЛИНИЧЕСКАЯ КАРТИНА
Общие симптомы – отсутствуют.
Местные симптомы – на коже пальцев/ладоней/предплечий

появляется гиперемия с резко очерченной границей, интенсивный зуд, локальной гипертермии

нет.
Длительность - заболевания 10-20 дней.
Возможно рецидивное течение заболевания
КЛИНИЧЕСКАЯ КАРТИНАОбщие симптомы – отсутствуют.Местные симптомы – на коже пальцев/ладоней/предплечий появляется гиперемия с резко очерченной границей, интенсивный

Слайд 105ЛЕЧЕНИЕ
КОНСЕРВАТИВНОЕ – антибиотики пенициллинового ряда, футлярные новокаиновые блокады, мазевые повязки,

специфическая сыворотка, рентгенотерапия.

ЛЕЧЕНИЕКОНСЕРВАТИВНОЕ – антибиотики пенициллинового ряда, футлярные новокаиновые блокады, мазевые повязки, специфическая сыворотка, рентгенотерапия.

Слайд 106Острый парапроктит — острое воспаление околопрямокишечной клетчатки, обусловленное распространением воспалительного

процесса из анальных крипт и анальных желез.

Острый парапроктит — острое воспаление околопрямокишечной клетчатки, обусловленное распространением воспалительного процесса из анальных крипт и анальных желез.

Слайд 107ПАРАПРОКТИТ
Гнойное воспаление околопрямокишечной клетчатки.
Возбудитель – смешанная флора с преобладанием кишечной

палочки или анаэробной микрофлоры.
Входные ворота инфекции – анальные железы, микротравмы

слизистой, трещины анального канала, геморрой, редко может распространяться гематогенно или лимфогенно из соседних органов, пораженных воспалительным процессом.
ПАРАПРОКТИТГнойное воспаление околопрямокишечной клетчатки.Возбудитель – смешанная флора с преобладанием кишечной палочки или анаэробной микрофлоры.Входные ворота инфекции –

Слайд 108КЛАССИФИКАЦИЯ
По локализации:
Подкожный
Подслизистый
Ишиоректальный
Пельвиоректальный
Ретроректальный

КЛАССИФИКАЦИЯ По локализации:ПодкожныйПодслизистыйИшиоректальныйПельвиоректальныйРетроректальный

Слайд 109КЛИНИЧЕСКАЯ КАРТИНА
Общие симптомы – синдром интоксикации, в зависимости от степени

распространенности процесса.
Местные симптомы:
Подкожный – в области заднего прохода гиперемия и

болезненный отек.
Подслизистый – боли при дефекации, при ректальном исследовании – болезненный инфильтрат со стороны слизистой.
Ишиоректальный – отек и гиперемия в области промежности, при ректальном исследовании – болезненность одной из боковых стенок прямой кишки.
Пельвиоректальный –сложен для диагностики из-за расположения воспалительного очага высоко в около тазовой клетчатке – протекает без видимых проявлений со стороны промежности.
КЛИНИЧЕСКАЯ КАРТИНАОбщие симптомы – синдром интоксикации, в зависимости от степени распространенности процесса.Местные симптомы:Подкожный – в области заднего

Слайд 110ЛЕЧЕНИЕ
ХИРУРГИЧЕСКОЕ – вскрытие, дренирование очага с последующим иссечением пораженной крипты

со стороны слизистой прямой кишки и иссечением гнойно-некротического хода в

тканях.
Общее – комплексная терапия.
Осложнение – образование свищей.
ЛЕЧЕНИЕХИРУРГИЧЕСКОЕ – вскрытие, дренирование очага с последующим иссечением пораженной крипты со стороны слизистой прямой кишки и иссечением

Слайд 111 Пельвио-

ректальный (анаэробный) ПАРАПРОКТИТ
Пельвио-

Слайд 112ПАРОТИТ
Гнойное воспаление околоушной железы.
Возбудитель – смешанная гноеродная микрофлора.
Проникновение – через

слюнной выводной проток из полости рта + лимфогенно или гематогенно.
Фон

– интоксикация, истощения, онкологические больные.
Классификация – по характеру воспаления:
Серозная форма, абсцедирующая, флегмонозная и гангренозная формы.
ПАРОТИТГнойное воспаление околоушной железы.Возбудитель – смешанная гноеродная микрофлора.Проникновение – через слюнной выводной проток из полости рта +

Слайд 113КЛИНИЧЕСКАЯ КАРТИНА
Общие симптомы – синдром интоксикации, разной степени выраженности.
Местные симптомы

– отек в околоушной области с тенденцией к увеличению и

переходу в напряженный, болезненность, гиперемия, при абсцедировании – симптом флюктуации, затруднение открывания рта.
КЛИНИЧЕСКАЯ КАРТИНАОбщие симптомы – синдром интоксикации, разной степени выраженности.Местные симптомы – отек в околоушной области с тенденцией

Слайд 114ЛЕЧЕНИЕ
При начальной форме – консервативное (согревающие компрессы, антибиотики, дезинтоксикационная и

корригирующая терапия, канюлирование и промывание выводного протока слюнной железы растворами

антибиотиков, уход за полостью рта).
При абсцедировании – хирургическое (вскрытие гнойника разрезом в области угла нижней челюсти – место прохождения ветви лицевого нерва).
ЛЕЧЕНИЕПри начальной форме – консервативное (согревающие компрессы, антибиотики, дезинтоксикационная и корригирующая терапия, канюлирование и промывание выводного протока

Слайд 115ЛИМФАДЕНИТ и ЛИМФАНГИТ
Вторичные заболевания, развивающиеся при распространении инфекции из очага

воспаления по лимфатическим сосудам.
Лимфаденит – острое воспаление лимфатических узлов.
Лимфангит –

острое воспаление лимфатических сосудов.
ЛИМФАДЕНИТ и ЛИМФАНГИТВторичные заболевания, развивающиеся при распространении инфекции из очага воспаления по лимфатическим сосудам.Лимфаденит – острое воспаление

Слайд 116КЛАССИФИКАЦИИ
Лимфаденит – гнойный, абсцедирующий, аденофлегмона.
Лимфангит – мелких сосудов (сетчатый), крупных

поверхностных сосудов (стволовой или трункулярный)

КЛАССИФИКАЦИИЛимфаденит – гнойный, абсцедирующий, аденофлегмона.Лимфангит – мелких сосудов (сетчатый), крупных поверхностных сосудов (стволовой или трункулярный)

Слайд 117КЛИНИЧЕСКАЯ КАРТИНА
Лимфаденит – боль и увеличение лимфоузлов, повышение температуры до

39-40 гр., при абсцедировании появление гиперемии и флюктуации, при распространении

воспаления на окружающую клетчатку образование аденофлегмоны.
Лимфангит – повышение температуры, боли по ходу лимфатических сосудов, при сетчатом лимфангите – диффузная гиперемия, при трункулярном – гиперемия в виде полос по ходу лимфатических сосудов, уплотнение в виде тяжа и болезненность по ходу сосудов.
КЛИНИЧЕСКАЯ КАРТИНАЛимфаденит – боль и увеличение лимфоузлов, повышение температуры до 39-40 гр., при абсцедировании появление гиперемии и

Слайд 118ЛЕЧЕНИЕ
Лимфаденит:
Санация первичного очага
Антибактериальная терапия
ФТЛ
При абсцедирующем лимфадените и аденофлегмоне – хирургическое

лечение.
Лимфангит:
Иммобилизация конечности
Санация первичного очага
Антибактериальная терапия
Местно – повязки антисептиками и ФТЛ.

ЛЕЧЕНИЕЛимфаденит:Санация первичного очагаАнтибактериальная терапияФТЛПри абсцедирующем лимфадените и аденофлегмоне – хирургическое лечение.Лимфангит:Иммобилизация конечностиСанация первичного очагаАнтибактериальная терапияМестно – повязки

Обратная связь

Если не удалось найти и скачать доклад-презентацию, Вы можете заказать его на нашем сайте. Мы постараемся найти нужный Вам материал и отправим по электронной почте. Не стесняйтесь обращаться к нам, если у вас возникли вопросы или пожелания:

Email: Нажмите что бы посмотреть 

Что такое TheSlide.ru?

Это сайт презентации, докладов, проектов в PowerPoint. Здесь удобно  хранить и делиться своими презентациями с другими пользователями.


Для правообладателей

Яндекс.Метрика