Разделы презентаций


Х – хромосомный ювенильный ретиношизис

Содержание

Сетчатка. Мюллеровские клетки.Пигментный эпителий сетчатки.Слой фоторецепторов, палочек и колбочек.Наружная пограничная мембрана.Наружный ядерный слой.Наружный плексиформный (сетчатый)слой.Внутренний ядерный слой.Внутренний плексиформный (сетчатый) слой.Слой ганглиозных клеток. Слой нервных волокон.Внутренняя пограничная мембрана.Две трети наружного плексиформного слоя

Слайды и текст этой презентации

Слайд 1Х – хромосомный ювенильный ретиношизис

Х – хромосомный ювенильный ретиношизис

Слайд 2Сетчатка. Мюллеровские клетки.
Пигментный эпителий сетчатки.
Слой фоторецепторов, палочек и колбочек.
Наружная пограничная

мембрана.
Наружный ядерный слой.
Наружный плексиформный (сетчатый)слой.
Внутренний ядерный слой.
Внутренний плексиформный (сетчатый)

слой.
Слой ганглиозных клеток.
 Слой нервных волокон.
Внутренняя пограничная мембрана.

Две трети наружного плексиформного слоя состоит из внутренних волокон фоторецепторов, окруженных отростками мюллеровских клеток. Треть слоя состоит из дендритов биполярных и горизонтальных клеток, а также отростков мюллеровских клеток.
Ядра мюллеровских клеток входят в состав внутреннего ядерного слоя. Так же отростки МК имеются во внутреннем плексиформном слое, слое ганглиозных клеток, СНВС, плазматическая мембрана МК входит в состав внутренней пограничной мембраны.
Мюллеровские клетки обеспечивают правильную ориентацию, перемещение и жесткое топографическое расположение нейронов в процессе эмбрионального развития сетчатки.

Сетчатка. Мюллеровские клетки.Пигментный эпителий сетчатки.Слой фоторецепторов, палочек и колбочек.Наружная пограничная мембрана.Наружный ядерный слой.Наружный  плексиформный (сетчатый)слой.Внутренний ядерный

Слайд 3Функции МК
 Поставка нейронам сетчатки продуктов распада гликогена, необходимых для аэробного метаболизма.
Выведение

продуктов обмена нейронов (углекислого газа, аммиака, продуктов

обмена аминокислот).
Защита нейронов от избыточного высво­ бождения нейромедиаторов .
Фагоцитоз продуктов распада нейронов при патологических состояниях.
Синтез ретиноидной кислоты из ретино­ ла, имеющей большое значение в развитии сетчатки, центральной нервной системы, а также метаболизма зрительного пигмента
Защита нейронов путем контроля гомеостаза ионов, акцептируя внеклеточно расположенные ионы кальция и перераспределяя их .

Функции МК Поставка нейронам сетчатки продуктов распада гликогена, необходимых для аэробного метаболизма.Выведение  продуктов  обмена  нейронов

Слайд 4Наследственные витреоретинопатии
гетерогенная группа заболеваний, в основе которых лежат дегенеративные изменения

сетчатки и стекловидного тела у людей молодого возраста, связанных между

собой кровным родством.
Основным поражением сетчатки при этих заболеваниях является ее расслоение ( ретиношизис)

Витреоретинопатии без системных нарушений:
1) Х-сцепленный врожденный (ювенильный) ретиношизис;
2) болезнь Гольдманна—Фавра;
3) семейная экссудативная витреоретинопатия;
4) болезнь Норри;
5) болезнь Вагнера;
6) синдром ≪псевдозаднего пограничного слоя»;
7) эрозивная витреоретинопатия;
8) болезнь Йенсена.

Наследственные витреоретинопатии гетерогенная группа заболеваний, в основе которых лежат дегенеративные изменения сетчатки и стекловидного тела у людей

Слайд 5Витреоретинопатии, сочетающиеся с системными аномалиями
1) наследственная артроофтальмопатия (синдром Стиклера);
2) наследственная

артроофтальмопатия с тугоповижностью суставов (Вейлла—Марчезани-подобный синдром);
3) синдром Книста;
4) диастрофическая дисплазия;
5)

врожденная спондилоэпифизарная дисплазия;
6) болезнь Блоха—Сульцбергера (incontinentia pigmenti);
7) синдром Элерса—Данло.
Витреоретинопатии, сочетающиеся с системными аномалиями 1) наследственная артроофтальмопатия (синдром Стиклера);2) наследственная артроофтальмопатия с тугоповижностью суставов (Вейлла—Марчезани-подобный синдром);3)

Слайд 6Х-сцепленный врожденный (ювенильный) ретиношизис
«Врожденный наследственный ретиношизис»; «ювенильный наследственный ретиношизис»; «врожденные сосудистые вуали

в стекловидном теле»; «ювенильный, сцепленный с полом ретиношизис», «связанный с

полом врожденный юношеский ретиношизис»
сцепленная с полом двусторонняя врожденная витреоретинальная дегенерация.
Подавляющее большинство таких больных —лица мужского пола. Частота заболевания в популяции — 1 : 10 000 [Bergen А.А.В. ct al.t I995|.


Х-сцепленный врожденный (ювенильный) ретиношизис«Врожденный наследственный ретиношизис»; «ювенильный наследственный ретиношизис»; «врожденные сосудистые вуали в стекловидном теле»; «ювенильный, сцепленный

Слайд 7Патогенез Х-ЮР
Обнаружены другие варианты наследования врожденного ретиношизиса, в частности аутосомно-рецессивный

и аутосомно-доминантный [LewisR.A. et al., 1977; Yassur Y. et al.,1982;

Shimazaki J., Matsuhashi M.,1987]. Эти заболевания развиваются у лиц не только мужского, но и женского пола.
Ген RS1, ответственный за развитие ретиношизиса, был картирован в дистальной части короткого плеча Х-хромосомы в интервале Хр22.1 — р22.2 |Alitalo Т. et a]., 1987].
Установлено около 100 различных мутаций, приводящих к нарушениям функциональной активности белка RS1 и ответственных за развитие Х-сцепленного врожденного ретиношизиса.
Внутригенные микроделеции (7 % случаев), нонсенс-мутации(6 %), миссенс-мутации (75 %), мутации в сайте сплайсинга (6 %), а также небольшие вставки и делеции, приводящие к сдвигу рамки считывания(6 %) [Multicenter study, 1998; HuopaniemiL. et al., 1999; Mashima Y. et al.,1999; Mendoza-Londono R. et a!., 1999; Shastry B.S. etal., 1999].
Патогенез Х-ЮРОбнаружены другие варианты наследования врожденного ретиношизиса, в частности аутосомно-рецессивный и аутосомно-доминантный [LewisR.A. et al., 1977; Yassur

Слайд 8Ген RS1 образован шестью экзонами, кодирующими 224 аминокислоты белка-предшественника, который
включает

лидерный пептид, состоящий из 23 аминокислотных остатков,который играет важную роль

в фосфолипидном связывании и клеточной адгезии (Gehrig A.E. et al., 1999].
К основным гистологическим признакам Х-хромосомного ювенильного ретиношизиса наряду с наличием полости расщепления сетчатки между слоем нервных волокон и внутренней пограничной мембраной относят дефект клеток Мюллера ( Yanoff M.,1968)
В сетчатке, прилежащей к полости ретиношизиса, обнаружен аморфный материал, при электронной микроскопии которого выявлены экстрацеллюлярные филаменты диаметром 11 нм, которые продуцируются измененными клетками Мюллера. А дегенерация КМ может вызвать образование ретиношизиса.
Ген RS1 образован шестью экзонами, кодирующими 224 аминокислоты белка-предшественника, которыйвключает лидерный пептид, состоящий из 23 аминокислотных остатков,который

Слайд 9Клинические проявления ХЮР
Развивается в детском возрасте как правило у лиц

мужского пола, клинически может быть выявлен уже при рождении.
В возрасте

5 -10 лет проявляется затруднением при чтении вследствие макулопатии. Реже заболевание проявляется в раннем детстве косоглазием и нистагмом.
Офтальмологическая картина складывается из трех основных признаков: фовеолярного ретиношизиса, периферического ретиношизиса и изменения стекловидного тела.
Клинические проявления ХЮРРазвивается в детском возрасте как правило у лиц мужского пола, клинически может быть выявлен уже

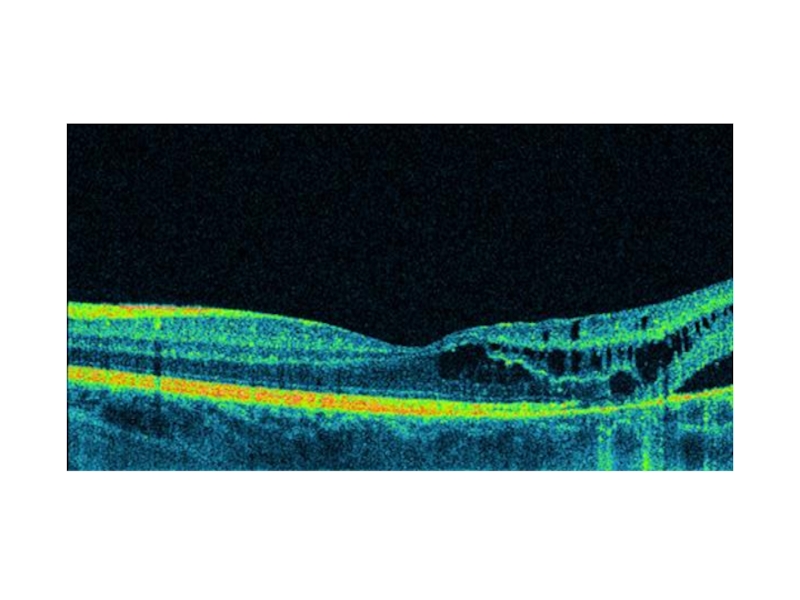
Слайд 10Фовеолярный ретиношизис
Характеризуется наличием нежных кистовидных пространств в виде радиальных полос

симтом «спиц в колесе» или «депигментированная звезда»: небольшие нежные складки

внутренней пограничной мембраны, сходящиеся радиально к центру фовеа
Фовеолярный ретиношизисХарактеризуется наличием нежных кистовидных пространств в виде радиальных полос симтом «спиц в колесе» или «депигментированная звезда»:

Слайд 13По мере прогрессирования процесса ( увеличение по высоте фовеолярного ретиношизиса)

клиническая офтальмологическая картина меняется: вместо радиарной исчерченности появляется «валикообразное» циркулярное

образование с втянутым центром в области фовеа, имеющее вид пончика за счет проминенции внутренних слоев сетчатки вокруг фовеа.
При дальнейшем прогрессировании процесса в центральной зоне возникают вторичные дистрофические неспецифические изменения, такие как: атрофические очаги, отложение пигмента и «твердого» экссудата, формирующие центральную дистрофию сетчатки.
С небольшой вероятностью выявляются множественные мелкие белые очажки, напоминающие внешние изменения при абиотрофии fundus albipunctatus.
По мере прогрессирования процесса ( увеличение по высоте фовеолярного ретиношизиса) клиническая офтальмологическая картина меняется: вместо радиарной исчерченности

Слайд 14Периферический ретиношизис
Периферические нарушения, представляющие обширные участки расщепления сетчатки на уровне

слоя нерных волокон и локализующиеся преимущественно в нижне-наружном квадранте, выявляют

у 60—70 % пациентов.
Дегенеративные изменения сетчатки в виде рассеянных очажков гиперпигментации и золотисто-серебристых участков, напоминающих поверхность «битого металла».
Аномальные сосуды с повышенной проницаемостью, образующие белые древовидные структуры.

Периферический ретиношизисПериферические нарушения, представляющие обширные участки расщепления сетчатки на уровне слоя нерных волокон и локализующиеся преимущественно в

Слайд 18Изменения стекловидного тела
Выявляется разжижение и фиброзная конденсация стекловидного тела с

образованием тяжей и мембран («вуалей»), передняя и задняя отслойка стекловидного

тела, вакуоли и точечные помутнения.
Эти мембраны могут быть с ретинальными сосудами (чаще вены, чем артерии) или без них – васкулярные или аваскулярные «вуали».
Локализация: на периферии, могут прикрепляться к диску зрительного нерва или находиться в центральной зоне над макулярной областью.
Картина «псевдопапиллита» при пролонгированной тракции диска зрительного нерва с последующим побледнением и развитием частичной атрофии зрительных нервов.
Развитие витреоретинальной тракции в результате прикрепления мембран к сетчатке, что может вызвать разрывы сетчатки, разрывы ретинальных сосудов, приводя тем самым к массивным кровоизлияниям в стекловидное тело, ретровитреальное пространство или полость ретиношизиса.

Изменения стекловидного телаВыявляется разжижение и фиброзная конденсация стекловидного тела с образованием тяжей и мембран («вуалей»), передняя и

Слайд 21Развитие отслойки сетчатки
Возможна как тракционная, так и регматогенная ОС вследствие

разрывов в наружной и внутренней стенках ретиношизиса
ОС сопровождается выраженными изменениями

с отложением «мягкого» и «твердого» экссудата, грубыми пигментными изменениями и атрофическими очагами разных размеров, как одиночными, так и сливными
Развитие отслойки сетчаткиВозможна как тракционная, так и регматогенная ОС вследствие разрывов в наружной и внутренней стенках ретиношизисаОС

Слайд 23Течение заболевания
Стационарное
Прогрессирующее. Периоды прогрессирования могут сменяться периодами ремиссии.
Наиболее быстрое прогрессирование

в первые 5 лет жизни (1-ый пик прогрессирования), затем в

12-13 лет(2-ой пик); 20-25 лет(3-й пик)
После 25 лет заболевание часто принимает стационарное течение.

Течение заболеванияСтационарноеПрогрессирующее. Периоды прогрессирования могут сменяться периодами ремиссии.Наиболее быстрое прогрессирование в первые 5 лет жизни (1-ый пик

Слайд 24Признаки прогрессирования
Увеличение ретиношизиса по площади, в объеме
Появление разрывов или их

увеличение в размере и количестве во внутренних или наружных слоях
Кровоизлияние

в стекловидное тело или полость ретиношизиса
Снижение остроты зрения
Развитие отслойки сетчатки
Признаки прогрессированияУвеличение ретиношизиса по площади, в объемеПоявление разрывов или их увеличение в размере и количестве во внутренних

Слайд 25Признаки регрессии
Стабилизация остроты зрения
Сморщивание ( ретракция) мембран в стекловидном теле,

отрыв их от места прикрепления к сетчатке
Спонтанный коллапс ретиношизиса
Облитерация новообразованных

сосудов
Резорбция экссудата и геморрагии

Признаки регрессииСтабилизация остроты зренияСморщивание ( ретракция) мембран в стекловидном теле, отрыв их от места прикрепления к сетчаткеСпонтанный

Слайд 26Диагностика
Клинико-функциональные исследования
Рефракция Гиперметропическая, может сочетаться с астигматизмом, редко эмметропия, спорадические

случаи – миопия.
Острота зрения колеблется в широких пределах от правильной

светопроекции до 0,8; в среднем 0,2-0,4
Поля зрения дефекты полей зрения, соответственно зоне ретиношизиса – выпадение верхне-назального квадранта (при локализации в нижне-наружном квадранте) или концентрическое сужение поля зрения (при циркулярно расположенном ретиношизисе) обнаружение центральной относительной скотомы, при выраженных макулярных изменениях – абсолютную центральную скотому
При статической периметрии снижение яркостной чувствительности (в1,6-6 раз)
ДиагностикаКлинико-функциональные исследованияРефракция Гиперметропическая, может сочетаться с астигматизмом, редко эмметропия, спорадические случаи – миопия.Острота зрения колеблется в широких

Слайд 27Клинико-функциональные исследования
Цветовое зрение при начальных изменениях – сохранно. При развитии

заболевания отмечается умеренная дисхроматопсия
Темновая адаптация может быть номальной на ранних

стадиях заболевания. При выраженных ретинальных изменениях наблюдается замеление темнновой адаптации как для палочек, так и для колбочек.
Клинико-функциональные исследованияЦветовое зрение при начальных изменениях – сохранно. При развитии заболевания отмечается умеренная дисхроматопсияТемновая адаптация может быть

Слайд 28Флюоресцентная ангиография
В начальной стадии процесса выявляют нормальную картину макулярной области

и интактность глубоких слоев (пигментный эпителий, мембрана Бруха,хориоидея)
При выраженных проявлениях

заболевания могут отмечаться центральная гиперфлюоресценция из-за дефектов пигментного эпителия сетчатки,а также проходить стенки аномальных и новообразованных сосудов.
Флюоресцентная ангиографияВ начальной стадии процесса выявляют нормальную картину макулярной области и интактность глубоких слоев (пигментный эпителий, мембрана

Слайд 29Электрофизиологические исследования
Электроретинография. Признаки- значительное снижение b-волны ЭРГ при часто близкой

к нормальной величине а-волны, т.е. регистрируется ЭРГ «минус»негативного типа. Регулированы

осцилляторные потенциалы. Характерны слабовыраженные или умеренные изменения ЭРГ, записанной в фотопических или скотопических условиях стимуляции, резкая негативизация выявляется при максимальном ответе: темноадаптированной ЭРГ на яркие вспышки света.
Электрофизиологические исследованияЭлектроретинография. Признаки- значительное снижение b-волны ЭРГ при часто близкой к нормальной величине а-волны, т.е. регистрируется ЭРГ

Слайд 31ЭРГ
Негативная форма ЭРГ на фоне резкого угнетения b- волны указывает

на поражение средних слоев сетчатки
При прогрессировании ретиношизиса в патологический процесс

вовлекаются фоторецепторы (вторично по отношению к поражению мюллеровских клеток) а-волна также становится редуцированной
Определяется субнормальная b –волна общей ЭРГ.
Значительное снижение локальных макулярных ответов сетчатки
ЭРГНегативная форма ЭРГ на фоне резкого угнетения b- волны указывает на поражение средних слоев сетчаткиПри прогрессировании ретиношизиса

Слайд 32ЭЛЕКТРООКУЛОГРАММА
В пределах нормы в начальной и выраженной стадиях заболевания.
Субнормальную ЭОГ

регистрируют в терминальной стадии процесса ( в глазах с развитым

периферическим поражением)
ЭЛЕКТРООКУЛОГРАММАВ пределах нормы в начальной и выраженной стадиях заболевания.Субнормальную ЭОГ регистрируют в терминальной стадии процесса ( в

Слайд 33Дифферинциальная диагностика
Болезнь Фавре-Гольдманна. Передача по аутосомно-доминантному типу.
Одинаково часто заболевают мужчины

и женщины.
В стекловидном теле- тяжи и мембраны, но отсутствуют сосудистые

вуали. На периферии сетчатки определяют выраженный ретиношизис и пигментную абиотрофию сетчатки, в макулярной зоне дистрофические изменения. Раннее развитие катаракты. ЭРГ отсутствует. При прогрессировании заболевания развивается полная слепота.
Дифферинциальная диагностикаБолезнь Фавре-Гольдманна. Передача по аутосомно-доминантному типу.Одинаково часто заболевают мужчины и женщины.В стекловидном теле- тяжи и мембраны,

Слайд 34Болезнь Вагнера
Передача по аутосомно-доминантному типу.
Макулярная зона не изменена.
Острота

зрения высокая.
На периферии определяется ретиношизис.
В оптически «пустом» стекловидном

теле выявляют белые неоваскуляризованные мембраны, преимущественно в экваториальной зоне.
Рано развивается осложненная катаракта.
ЭРГ субнормальная.
Болезнь ВагнераПередача по аутосомно-доминантному типу. Макулярная зона не изменена. Острота зрения высокая. На периферии определяется ретиношизис. В

Слайд 35Болезнь Штаргардта
Передача по аутосомно-рецессивному типу.
В макулярной зоне выявляются минимальные

дистрофические изменения.
При рождении острота зрения может быть высокой, по мере

прогрессирования процесса снижается в отличие от Х-хромосомного ретиношизиса, при котором острота зрения низкая с рождения.
Болезнь ШтаргардтаПередача по аутосомно-рецессивному типу. В макулярной зоне выявляются минимальные дистрофические изменения.При рождении острота зрения может быть

Слайд 36Болезнь ИЛСА ( перифлебит сетчатки)
В выраженной стадии заболевания дифферинциальная диагностика

затруднена, для которой характерны рецидивирующие гемофтальмы, помутнения стекловидного тела в

виде мембран, сужение сосудов, «полосы сопровождения», витреоретинальная пролиферация.
Характерный признак – нормальная макулярная зона в начальной стадии заболевания, при прогрессировании –появление неспецифических дистрофических изменений в центральной зоне.
Болезнь ИЛСА ( перифлебит сетчатки)В выраженной стадии заболевания дифферинциальная диагностика затруднена, для которой характерны рецидивирующие гемофтальмы, помутнения

Слайд 37Фальциформная (серповидная)отслойка сетчатки
Передача по аутосомно-рецессивному типу
Складки сетчатки распространяются от

диска зрительного нерва в наружную половину глазного дна.
Изменений в стекловидном

теле нет
Фальциформная (серповидная)отслойка сетчаткиПередача по аутосомно-рецессивному типу Складки сетчатки распространяются от диска зрительного нерва в наружную половину глазного

Слайд 38Приобретенный ретиношизис
Нарушение электрогенеза сетчатки нехарактерно, что связано с первичной локализацией

во внутренних слоях сетчатки
У многих больных может регистрироватьтся общая и

макулярная ЭРГ
Прогрессирование изменений ЭРГ в следствие более глубоких изменений сетчатки, обусловленных хориоретинальными дистрофическими изменениями с вовлечением в патологический процесс всех ее слоев и являющиеся фактором риска развития отслойки сетчатки
СЕНИЛЬНЫЙ РЕТИНОШИЗИС нет изменений в макулярной зоне, острота зрения высокая. ЭРГ нормальная или субнормальная
Приобретенный ретиношизисНарушение электрогенеза сетчатки нехарактерно, что связано с первичной локализацией во внутренних слоях сетчаткиУ многих больных может

Слайд 39Лечение
В зависимости от стадии процесса применяют медикаментозные средства, лазерные и

хирургические вмешательства.
В начальной стадии заболевания целесообразно проводить инъекции или инстиляции

4% раствора тауфона, внутримышечно 1% раствор рибофлавина мононуклеотида по 1 мл №20-30; прием внутрь препаратов, улучшающих микроциркуляцию и обменные процессы в сетчатке, такие как трентал, сермион, дифрарель.
Медикаментозное лечение проводят повторными курсами 2 раза в год
ЛечениеВ зависимости от стадии процесса применяют медикаментозные средства, лазерные и хирургические вмешательства.В начальной стадии заболевания целесообразно проводить

Слайд 40ОТГРАНИЧИТЕЛЬНАЯ ЛАЗЕРНАЯ КОАГУЛЯЦИЯ СЕТЧАТКИ
При выраженном патологическом процессе показана отграничительная лазерная

коагуляция сетчатки, которую проводят:
-

вдоль границ ретиношизиса и по его поверхности;
- вокруг мест прикрепления тяжей и шварт к сетчатке;
- вокруг зон древовидных структур (аномальные проницаемые сосуды)
- вокруг зон неоваскуляризации и по возможности по их поверхности
Размер лазеркоагулята обычно составляет 20 мкм, время экспозиции 0,1-0,2 с. После лечения пациенту рекомендуется избегать повышенной физической нагрузки в течении 7 дней до формирования рубцов
ОТГРАНИЧИТЕЛЬНАЯ ЛАЗЕРНАЯ КОАГУЛЯЦИЯ СЕТЧАТКИПри выраженном патологическом процессе показана отграничительная лазерная коагуляция сетчатки, которую проводят:

Слайд 41Хирургические методы
При терминальной стадии с отслойкой сетчатки проводят склеропластические операции

с витрэктомией.
Объем оперативного вмешательства зависит от клинической картины заболевания.

Хирургические методыПри терминальной стадии с отслойкой сетчатки проводят склеропластические операции с витрэктомией.Объем оперативного вмешательства зависит от клинической

Слайд 42Прогноз
Плохой вследствие прогрессирующей макулопатии.
Острота зрения снижается в течение первых

двух декад жизни, может быть стабильной вплоть до 5 и

6 декады жизни, в дальнейшем может произойти дальнейшее ухудшение.
Вероятность резкого снижения зрения вследствии кровоизлияний или отслойки сетчатки.
ПрогнозПлохой вследствие прогрессирующей макулопатии. Острота зрения снижается в течение первых двух декад жизни, может быть стабильной вплоть

Слайд 43Используемая литература
Наследственные и врожденные заболевания сетчатки и зрительного нерва под

редакцией А.М. Шамшиновой Москва «Медицина»,2001 г. Глава 11.2 Х-хромосомный ювенильный ретиношизис

стр.264-274.
Зрительные функции и их коррекция у детей: Руководство для врачей / Под ред. С.Э. Аветисова, Т.П. Кащенко, A.M. Шамшиновой. — М.: ОАО ≪Издательство ≪Медицина≫, 2005. часть III , глава 9 Наследственные витреоретинолатии. — И. М. Мосин 9.1. Х-сцепленный врожденный (ювенильный) ретиношизис, стр.584-596.
Избранные лекции по детской офтальмологии под редакцией В.В. Нероева, Москва, издательская группа «ГЭОТАР – Медиа», 2009г., часть 4 Наследственные витреоретинальные дистрофии ( В.В.Нероев, Г.Ю.Захарова) стр.75-82
Клиническая офтальмология систематизированный подход Джек Д. Кански под редакцией д.м.н.,профессора В.П. Еричева перевод с английского, 2009 г. Глава 18 дистрофии глазного дна раздел витреоретинопатии врожденный ретиношизис стр. 686
Строение зрительной системы человека В.В. Вит. Одесса Астропринт, 2003 г. Глава 3, 3.6.5. Глиальная система сетчатки, клетки Мюллера стр 258-260
Используемая литература Наследственные и врожденные заболевания сетчатки и зрительного нерва под редакцией А.М. Шамшиновой Москва «Медицина»,2001 г. Глава

Слайд 44СПАСИБО ЗА ПРОЯВЛЕННОЕ ВНИМАНИЕ

СПАСИБО ЗА ПРОЯВЛЕННОЕ ВНИМАНИЕ

Обратная связь

Если не удалось найти и скачать доклад-презентацию, Вы можете заказать его на нашем сайте. Мы постараемся найти нужный Вам материал и отправим по электронной почте. Не стесняйтесь обращаться к нам, если у вас возникли вопросы или пожелания:

Email: Нажмите что бы посмотреть 

Что такое TheSlide.ru?

Это сайт презентации, докладов, проектов в PowerPoint. Здесь удобно  хранить и делиться своими презентациями с другими пользователями.


Для правообладателей

Яндекс.Метрика