Разделы презентаций


Лабораторные методы диагностики в гинекологии

Содержание

Определение гормонов в сыворотке крови

Слайды и текст этой презентации

Слайд 1Лабораторные методы диагностики в гинекологии
Выполнила: студент 518 группы
Лечебного факультета
Загороднюк П.

А.
Руководитель: Заплатина В. С.

Лабораторные методы диагностики в гинекологииВыполнила: студент 518 группыЛечебного факультетаЗагороднюк П. А.Руководитель: Заплатина В. С.

Слайд 2 Определение гормонов в сыворотке крови

Определение гормонов в сыворотке крови

Слайд 3Гормоны, определяющие функциональное состояние репродуктивной системы
АНТИМЮЛЛЕРОВ ГОРМОН
Референсные значения:


женщины:
✧ фолликулиновая фаза — 0,5–10,6 нг/мл;
✧ менопауза—менее 0,1нг/мл.


Гормоны, определяющие функциональное состояние репродуктивной системы 	АНТИМЮЛЛЕРОВ ГОРМОН Референсные значения: 	женщины: ✧ фолликулиновая фаза — 0,5–10,6 нг/мл;

Слайд 4Антимюллеров гормон
принадлежит к семейству трансформирующих факторов роста-бета, которые вовлечены в

регуляцию роста и дифференцировки тканей. У женщин АМГ синтезируется гранулезными

клетками яичников, у мужчин — клетками Сертоли.

оказывает ингибирующий эффект на отбор примордиальных фолликулов в яичниках
может ингибировать ФСГ -зависимую селекцию доминантного фолликула на ранней антральной стадии

Снижение синтеза АМГ в фолликулах более 9 мм в нормальных яичниках — необходимое условие селекции доминантного фолликула

Антимюллеров гормон	принадлежит к семейству трансформирующих факторов роста-бета, которые вовлечены в регуляцию роста и дифференцировки тканей. У женщин

Слайд 5Показания к исследованию
для оценки яичникового резерва при бесплодии;
Для прогноза успешного

получения ооцитов в протоколах ЭКО
как высокочувствительный и специфичный маркер гранулезоклеточного

ракаяичников(РЯ).
Показания к исследованиюдля оценки яичникового резерва при бесплодии;Для прогноза успешного получения ооцитов в протоколах ЭКОкак высокочувствительный и

Слайд 6 ГЛОБУЛИН, СВЯЗЫВАЮЩИЙ ПОЛОВЫЕ ГОРМОНЫ
Референсные значения:
женщины — 26–114 нмоль/л
Синтезируется

печенью и связывает тестостерон и дигидротестостерон, в меньшей степени —

эстрадиол

защищает тестостерон и эстрадиол от метаболической инактивации (депонирующая функция)
ГЛОБУЛИН, СВЯЗЫВАЮЩИЙ ПОЛОВЫЕ ГОРМОНЫ Референсные значения: женщины — 26–114 нмоль/л	Синтезируется печенью и связывает тестостерон и дигидротестостерон, в

Слайд 7Диагностическое значение
беременность, дисгенезия гонад, гипертиреоз, дефицит гормона роста, прием лекарственных

препаратов;

ГА, синдром поликистозных яичников (СПКЯ), акне или гирсутизм, гипотиреоз,

ожирение, синдром Кушинга и акромегалия.
Диагностическое значениебеременность, дисгенезия гонад, гипертиреоз, дефицит гормона роста, прием лекарственных препаратов; ГА, синдром поликистозных яичников (СПКЯ), акне

Слайд 8ЛЮТЕИНИЗИРУЮЩИЙ ГОРМОН
Референсные значения: фолликулиновая фаза — 2,3–15,0 МЕ/л; 

лютеиноваяфаза— 1,5–16,0МЕ/л;  постменопауза— 14,2–52,3МЕ/л
Секретируется клетками передней доли гипофиза

под контролем гонадотропинрилизинг-фактора гипоталамуса и механизма отрицательной обратной связи
ЛЮТЕИНИЗИРУЮЩИЙ ГОРМОН 	Референсные значения: фолликулиновая фаза — 2,3–15,0 МЕ/л;  лютеиноваяфаза— 1,5–16,0МЕ/л;  постменопауза— 14,2–52,3МЕ/л Секретируется клетками

Слайд 9Функции
Стимсулирует овуляцию, активизирует в клетках яичников синтез эстрогенов и прогестерона


Пик концентрации ЛГ в крови наблюдается за 12–20ч до овуляции,при

этом уровень гормона повышается в 10 раз. В постменопаузе уровень ЛГ становится повышенным, как и ФСГ

ФункцииСтимсулирует овуляцию, активизирует в клетках яичников синтез эстрогенов и прогестерона Пик концентрации ЛГ в крови наблюдается за

Слайд 11Клинико-диагностическое значение:
 дисфункция гипофиза, первичная гипофункция гонад, СПКЯ, менопауза,

преждевременное угасание функции яичников;
синдром галактореи–аменореи, беременность, нарушение функции гипофиза

или гипоталамуса (гипопитуитаризм), состояния, связанные с белковой недостаточностью (например, массивные ожоги, период роста, хирургические вмешательства), другие факторы
Клинико-диагностическое значение:  дисфункция гипофиза, первичная гипофункция гонад, СПКЯ, менопауза, преждевременное угасание функции яичников; синдром галактореи–аменореи, беременность,

Слайд 12 ПРОГЕСТЕРОН
Референсные значения:
фолликулиновая фаза цикла — 0,5–2,2 нмоль/л; 

лютеиновая фаза цикла — 9–83 нмоль/л (

ПРОГЕСТЕРОН 	Референсные значения: фолликулиновая фаза цикла — 0,5–2,2 нмоль/л;  лютеиновая фаза цикла — 9–83 нмоль/л (

Слайд 13Прогестерон
Орган-мишень : матка
Синтез прогестерона регулируется лютеинзирующим гормоном
Резко повышается во время

лютеиновой фазы. Пик: через 5–10 дней после максимальной выработки ЛГ

в середине цикла. Резкое снижение: к 4-му дню до очередной ожидаемой менструации
К концу беременности уровень прогестерона возрастает в десятки раз по сравнению с уровнем у небеременных женщин.
ПрогестеронОрган-мишень : маткаСинтез прогестерона регулируется лютеинзирующим гормономРезко повышается во время лютеиновой фазы. Пик: через 5–10 дней после

Слайд 15Функции прогестерона
способствует секреции эндометрия, облегчает имплантацию оплодотворенного яйца, стимулирует развитие

молочных желез и играет роль в торможении овуляции в период

беременности
Понижая чувствительность матки к веществам, вызывающим ее сократительную деятельность, прогестерон способствует сохранению беременности
Функции прогестеронаспособствует секреции эндометрия, облегчает имплантацию оплодотворенного яйца, стимулирует развитие молочных желез и играет роль в торможении

Слайд 16Клинико-диагностическое значение
беременность, опухоли надпочечников, пузырный занос, хорионэпителиома яичника, липидоклеточная опухоль

яичника
угроза выкидыша, ановуляция, синдром галактореи–аменореи,первичный ивторичный гипогонадизм, синдром недостаточности

лютеиновой фазы.
Клинико-диагностическое значениебеременность, опухоли надпочечников, пузырный занос, хорионэпителиома яичника, липидоклеточная опухоль яичника угроза выкидыша, ановуляция, синдром галактореи–аменореи,первичный ивторичный

Слайд 17Важно!
* Значения прогестерона в крови у беременных менее 32

нмоль/л указывает на неблагоприятное течение беременности. Необходимо дополнительное исследование уровня

ХГЧ в сыворотке крови.
* Значения прогестерона в лютеиновую фазу менее 3 нмоль/л позволяют констатировать ановуляцию
Важно! * Значения прогестерона в крови у беременных менее 32 нмоль/л указывает на неблагоприятное течение беременности. Необходимо

Слайд 18ПРОЛАКТИН
Референсные значения: небеременные женщины — 120–500 мМЕ/л
Вырабатывается: преимущественно

передней долей гипофиза, а также децидуальной оболочкой и эндометрием

ПРОЛАКТИН Референсные значения: небеременные женщины — 120–500 мМЕ/л 	Вырабатывается: преимущественно передней долей гипофиза, а также децидуальной оболочкой

Слайд 19Значение пролактина в организме
совместно с эстрадиолом стимулирует рост и развитие

молочных желез во время беременности и лактацию после родов
Пролактин тормозит

функцию яичников, а также секрецию ЛГ и ФСГ и является частой причиной бесплодия.
Значение пролактина в организмесовместно с эстрадиолом стимулирует рост и развитие молочных желез во время беременности и лактацию

Слайд 20Клинико-диагностическое значение
галакторея, аменорея, идиопатическая гиперпролактинемия (нарушение менструации и бесплодие), акромегалия,

пролактинсекретирующие опухоли гипофиза, первичный гипотиреоз, СПКЯ, инсулин-индуцированная гипогликемия, болезнь Иценко–Кушинга,

врожденная гиперплазия коры надпочечников, другие факторы

идиопатический гипогонадотропный гипогонадизм, постменопауза, лучевая терапия, прием лекарственных препаратов (достинекс, тироксин, бромокриптин, дексаметазон, кальцитонин)

Рекомендовано брать пробы на исследование между 8 и 11ч утра строго натощак.

Клинико-диагностическое значениегалакторея, аменорея, идиопатическая гиперпролактинемия (нарушение менструации и бесплодие), акромегалия, пролактинсекретирующие опухоли гипофиза, первичный гипотиреоз, СПКЯ, инсулин-индуцированная

Слайд 21ТЕСТОСТЕРОН (ОБЩИЙ И СВОБОДНЫЙ)
Референсные значения:женщины: ✧общий тестостерон—0,52–2,5нмоль/л;
✧ свободный

тестостерон — 1,0–8,5пг/мл;
% от общего тестостерона — 0,5–1,8%

ТЕСТОСТЕРОН (ОБЩИЙ И СВОБОДНЫЙ) Референсные значения:женщины: ✧общий тестостерон—0,52–2,5нмоль/л; ✧ свободный тестостерон — 1,0–8,5пг/мл; % от общего тестостерона

Слайд 22Тестостерон в организме
Андрогенный гормон
У женщин в малой степени вырабатывается корой

надпочечников и яичниками
является анаболическим гормоном для соматических тканей, стимулирует

эритропоэз, необходим для поддержания либидо и потенции
Тестостерон в организмеАндрогенный гормонУ женщин в малой степени вырабатывается корой надпочечников и яичниками является анаболическим гормоном для

Слайд 23СПКЯ, андрогенсекретирующие опухоли яичников, опухоли коры РАЗДЕЛ 1 ЛАБОРАТОРНЫЕ МЕТОДЫ

ИССЛЕДОВАНИЯ 6561 надпочечников, прием лекарственных препаратов (пероральные контрацептивы);
первичный и

вторичный гипогонадизм, синдром Шершевского– Тернера, гипофункция гипофиза, синдром Иценко–Кушинга с высокой концентрацией глюкокортикоидов, печеночная недостаточность, другие факторы.



Важно! *Уровеньобщеготестостеронавкровиуженщинболее6,94нмоль/луказывает на наличие андрогенной опухоли надпочечников или яичников.

СПКЯ, андрогенсекретирующие опухоли яичников, опухоли коры РАЗДЕЛ 1 ЛАБОРАТОРНЫЕ МЕТОДЫ ИССЛЕДОВАНИЯ 6561 надпочечников, прием лекарственных препаратов (пероральные

Слайд 24ФОЛЛИКУЛОСТИМУЛИРУЮЩИЙ ГОРМОН
Референсные значения:
фолликулиновая фаза — 2,0–10,0 МЕ/л;
лютеиноваяфаза— 1,5–7,0МЕ/л;
постменопауза—19,3–100,6МЕ/л.

ФОЛЛИКУЛОСТИМУЛИРУЮЩИЙ ГОРМОН 	Референсные значения:фолликулиновая фаза — 2,0–10,0 МЕ/л; лютеиноваяфаза— 1,5–7,0МЕ/л;постменопауза—19,3–100,6МЕ/л.

Слайд 26Клинико-диагностическое значение
яичниковая форма аменореи, дисгенезия гонад, преждевременная недостаточность яичников
первичная

гипофункция гипофиза, СПКЯ, другие факторы [голодание, анорексия, контакт со свинцом,

прием лекарственных препаратов (эстрогены, прогестерон, анаболические стероиды, даназол, препараты фенотиазина)]. У беременных отмечается резкое снижение концентрации гормона, вплоть до неопределяемых величин.
Клинико-диагностическое значениеяичниковая форма аменореи, дисгенезия гонад, преждевременная недостаточность яичников первичная гипофункция гипофиза, СПКЯ, другие факторы [голодание, анорексия,

Слайд 27ЭСТРАДИОЛ
Референсные значения: фолликулиновая фаза цикла — 150–450 пмоль/л;
лютеиновая

фаза цикла — 280–740 пмоль/л;
постменопауза — менее 73 пмоль/л


ЭСТРАДИОЛ Референсные значения: фолликулиновая фаза цикла — 150–450 пмоль/л; лютеиновая фаза цикла — 280–740 пмоль/л; постменопауза —

Слайд 29Клинико-диагностическое значение:
Определение уровня эстрадиола у женщин информативно при оценке функции

яичников,нарушенияхменструальногоциклаиприконтролеиндукцииовуляции и гиперстимуляции яичников. 
гиперплазия эндометрия, эстрогенпродуцирующие опухоли (опухоли

гонад и коры надпочечников), ожирение, беременность, цирроз печени, алкоголизм; 
дисгенезия гонад, преждевременная недостаточность яичников.
Клинико-диагностическое значение:Определение уровня эстрадиола у женщин информативно при оценке функции яичников,нарушенияхменструальногоциклаиприконтролеиндукцииовуляции и гиперстимуляции яичников.  гиперплазия эндометрия,

Слайд 30Гормоны, характеризующие гипофизарно-надпочечниковую систему

Гормоны, характеризующие гипофизарно-надпочечниковую систему

Слайд 32Гормоны, характеризующие функциональное состояние гипофизарно-тиреоидной системы
ТИРЕОТРОПНЫЙ ГОРМОН ( 0,4–3,5

мЕд/л )
ТИРОКСИНСВЯЗЫВАЮЩИЙ ГЛОБУЛИН ( 14–30 мкг/мл)
ОБЩИЙ ТИРОКСИН ( взрослые

— 70–141 нмоль/л)
ТИРОКСИН СВОБОДНЫЙ ( 10–25 пмоль/л )
ОБЩИЙ ТРИЙОДТИРОНИН ( взрослые — 1,0–2,7 нмоль/л)
СВОБОДНЫЙ ТРИЙОДТИРОНИН ( взрослые — 4,0–8,1 пмоль/л )
ТИРЕОГЛОБУЛИН ( взрослые— 2–55мкг/л )
КАЛЬЦИТОНИН ( женщины — 0,0–5,0пг/мл )
АНТИТЕЛА К ТИРЕОПЕРОКСИДАЗЕ (до 35 МЕ/мл)
Гормоны, характеризующие функциональное состояние гипофизарно-тиреоидной системы ТИРЕОТРОПНЫЙ ГОРМОН ( 0,4–3,5 мЕд/л )ТИРОКСИНСВЯЗЫВАЮЩИЙ ГЛОБУЛИН ( 14–30 мкг/мл) ОБЩИЙ

Слайд 33МИКРОБИОЛОГИЧЕСКИЕ
МЕТОДЫ
ИССЛЕДОВАНИЯ

МИКРОБИОЛОГИЧЕСКИЕ МЕТОДЫ ИССЛЕДОВАНИЯ

Слайд 34Наиболее информативным может быть материал,если он получен приследующих условиях:

при наличии клинических признаков заболевания;
 пациентка не использовала препараты

местного лечения минимум в течение последних 48–72 ч;
 пациентка не спринцевалась в течение 24 ч.
Наиболее информативным может быть материал,если он получен приследующих условиях:  при наличии клинических признаков заболевания;  пациентка

Слайд 36Для исследования мочи используют первую, среднюю или последнюю порции.

Для исследования мочи используют первую, среднюю или последнюю порции.

Слайд 37Микроскопическое исследование
Микроскопия в светлом поле. Метод светлого поля является основным

методом световой микроскопии.
Микроскопия в темном поле. Основана на явлениях

рассеяния света при сильном боковом освещении взвешенных в жидкости частиц. Обычно микроскопию в темном поле используют при исследовании микроорганизмов, которые слабо поглощают свет и не видны в световом микроскопе, как, например, спирохеты.
Фазово-контрастная микроскопия.Основана на получении увеличенных изображений, имеющих повышенную контрастность, для визуализации наиболее сложных живых неокрашенных микрообъектов, различающихся лишь по показателю преломления (плотности) структур. Используется для микроскопического исследования нативных препаратов.
Микроскопическое исследованиеМикроскопия в светлом поле. Метод светлого поля является основным методом световой микроскопии. Микроскопия в темном поле.

Слайд 39 Сегменто-ядерные лейкоциты или полиморфно-ядерные лейкоциты; вмазкахиз генитального трактаможно видетьклетки,

которыеимеютотношение к воспалительным процессам или являются возбудителями.
 Простейшие, главным

образом Trichomonas vaginalis; дрожжеподобные грибы.
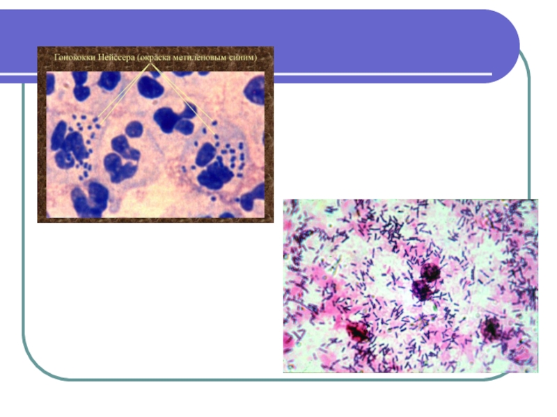
 Микрофлора представляет собой наиболее мелкие объекты, которые могут быть определены с помощью микроскопии. Lactobacillus spp. являются наиболее распространенными обитателями влагалища здоровых женщин. Наиболее серьезными патологическими агентами, наблюдаемыми в мазках генитального тракта, являются внутриклеточные диплококки Neisseria gonorrhoeae
Микроскопический метод остается в настоящее время одним из основных в диагностике урогенитального трихомониаза.

При лабораторной диагностике гонореи в первую очередь проводят микроскопию мазков, взятых из уретры и цервикального канала
 Сегменто-ядерные лейкоциты или полиморфно-ядерные лейкоциты; вмазкахиз генитального трактаможно видетьклетки, которыеимеютотношение к воспалительным процессам или являются возбудителями.

Слайд 40При подозрении на сифилис не потеряла своего диагностического значения темнопольная

микроскопия отделяемого эрозий и язв для визуализации Тreponema pallidum.

При подозрении на сифилис не потеряла своего диагностического значения темнопольная микроскопия отделяемого эрозий и язв для визуализации

Слайд 41В диагностике бактериального вагиноза
крупные грамположительные палочки (морфотип Lactobacilli),
небольшие грамотрицательные

или грамвариабельные кокки и коккобациллы(морфотипGardnerellaиBacteroides)
грамотрицательныеилиграмвариабельныеизогнутые палочки (морфотип Mobiluncus)

В диагностике бактериального вагинозакрупные грамположительные палочки (морфотип Lactobacilli), небольшие грамотрицательные или грамвариабельные кокки и коккобациллы(морфотипGardnerellaиBacteroides)грамотрицательныеилиграмвариабельныеизогнутые палочки (морфотип

Слайд 43Культуральный метод – золотой стандарт микробиологического исследования
К последним внедренным способам

идентификации бактерий относится метод белкового профилирования MALDI-TOF-MS
Микробиологическая диагностика оппортунистических

инфекций влагалища базируется на интегральной оценке результатов микроскопического и культурального исследований
Культуральный метод – золотой стандарт микробиологического исследованияК последним внедренным способам идентификации бактерий относится метод белкового профилирования MALDI-TOF-MS

Слайд 44Иммунологические методы
диагностики

Иммунологические методы диагностики

Слайд 45Методы
Метод прямой иммунофлюоресценции
иммуногистохимическое исследование — метод выявления трепонем в

тканях, основанный на обработке тканевых срезов мечеными специфическими моноклональными или

поликлональными антителами (диагностика сифилиса)
Имуноферментный анализ
Серологические методы
МетодыМетод прямой иммунофлюоресценции иммуногистохимическое исследование — метод выявления трепонем в тканях, основанный на обработке тканевых срезов мечеными

Слайд 46 Методы амплификации нуклеиновых кислот

Методы амплификации нуклеиновых кислот

Слайд 47Методы
ПЦР (в основе - комплементарное достраивание фрагмента ДНК)возбудителя, осуществляемое с

помощью фермента термостабильной ДНК-полимеразы. )
TMA и NASBA (МАРК)
1) изучение

экспрессии генов; 2)диагностика бактериальных и грибковых инфекций, основанная на выявлении16S рибосомальнойРНКи18S рибосомальнойРНКсоответственно; 3)диагностика инфекций, вызванных РНК-содержащими вирусами.
МетодыПЦР (в основе - комплементарное достраивание фрагмента ДНК)возбудителя, осуществляемое с помощью фермента термостабильной ДНК-полимеразы. )TMA и NASBA

Слайд 48УРОВЕНЬ СПЕЦИФИЧЕСКИХ АНТИТЕЛ В ПЕРИФЕРИЧЕСКОЙ КРОВИ ЖЕНЩИН
антиовариальные антитела
Аутоиммунные

антитела классов IgG,IgM,IgА, направленные к АГ зоны пеллюцида
антифосфолипидные антитела


антител к ХГЧ
Антитела к прогестерону
Антиспермальные антитела (АСАТ)

УРОВЕНЬ СПЕЦИФИЧЕСКИХ АНТИТЕЛ В ПЕРИФЕРИЧЕСКОЙ КРОВИ ЖЕНЩИН антиовариальные антитела Аутоиммунные антитела классов IgG,IgM,IgА, направленные к АГ зоны

Слайд 49МОЛЕКУЛЯРНО-ГЕНЕТИЧЕСКИЕ МЕТОДЫ В ПРАКТИКЕ ГИНЕКОЛОГА

МОЛЕКУЛЯРНО-ГЕНЕТИЧЕСКИЕ МЕТОДЫ В ПРАКТИКЕ ГИНЕКОЛОГА

Слайд 50ВЫЯВЛЕНИЕ ВОЗБУДИТЕЛЕЙ ИНФЕКЦИОННО-ВОСПАЛИТЕЛЬНЫХ ЗАБОЛЕВАНИЙ
ВЫЯВЛЕНИЕ ДИСБИОТИЧЕСКИХ НАРУШЕНИЙ

ВЫЯВЛЕНИЕ ВОЗБУДИТЕЛЕЙ ИНФЕКЦИОННО-ВОСПАЛИТЕЛЬНЫХ ЗАБОЛЕВАНИЙ ВЫЯВЛЕНИЕ ДИСБИОТИЧЕСКИХ НАРУШЕНИЙ

Слайд 51ЦИТОЛОГИЧЕСКИЙ МЕТОД В ДИАГНОСТИКЕ ЗАБОЛЕВАНИЙ ШЕЙКИ МАТКИ

ЦИТОЛОГИЧЕСКИЙ МЕТОД В ДИАГНОСТИКЕ ЗАБОЛЕВАНИЙ ШЕЙКИ МАТКИ

Слайд 52Мазок по Папаниколау (Пап-тест) микроскопическое исследованиеклеток,полученныхсповерхностишейкиматкиицервикальногоканала, с целью выявленияих морфологических

особенностей, указывающих на неопластические изменения

Мазок по Папаниколау (Пап-тест) микроскопическое исследованиеклеток,полученныхсповерхностишейкиматкиицервикальногоканала, с целью выявленияих морфологических особенностей, указывающих на неопластические изменения

Слайд 53ПОДГОТОВКА К ИССЛЕДОВАНИЮ
В течение 24 ч перед исследованием необходимо воздержаться

от половых контактов, спринцевания, использования вагинальных препаратов и тампонов. Нельзя

брать материал для исследования во время менструации
ПОДГОТОВКА К ИССЛЕДОВАНИЮВ течение 24 ч перед исследованием необходимо воздержаться от половых контактов, спринцевания, использования вагинальных препаратов

Слайд 54Методика проведения
Шейку матки обнажают в «зеркалах», при наличии большого количества

слизи ее аккуратно снимают ватным тампоном. Для традиционного мазка материал

получают раздельно из эктоцервикса (влагалищной порции шейки матки) иэндоцервикса (цервикального канала) спомощью шпателя и эндоцервикальной щетки.

Полученный материал тонким слоем наносят на чистое сухое предметное стекло и в зависимости от метода последующего окрашивания мазка высушивают на воздухе или обрабатывают специальным фиксатором. Подсушенный мазок маркируют

Методика проведенияШейку матки обнажают в «зеркалах», при наличии большого количества слизи ее аккуратно снимают ватным тампоном. Для

Слайд 55Мазок по Папаниколау

Мазок по Папаниколау

Слайд 56Жидкостная цитология — альтернатива традиционному мазку, подразумевает размещение материала с

шейки матки не на стекле, а в транспортной жидкости.

Жидкостная цитология — альтернатива традиционному мазку, подразумевает размещение материала с шейки матки не на стекле, а в

Слайд 57Спасибо за внимание!

Спасибо за внимание!

Обратная связь

Если не удалось найти и скачать доклад-презентацию, Вы можете заказать его на нашем сайте. Мы постараемся найти нужный Вам материал и отправим по электронной почте. Не стесняйтесь обращаться к нам, если у вас возникли вопросы или пожелания:

Email: Нажмите что бы посмотреть 

Что такое TheSlide.ru?

Это сайт презентации, докладов, проектов в PowerPoint. Здесь удобно  хранить и делиться своими презентациями с другими пользователями.


Для правообладателей

Яндекс.Метрика