Разделы презентаций


Множественная миелома и другие парапротеинемии 6 курс профессор Моисеев С.И

Содержание

Моноклональные гаммапатииГруппа заболеваний, характеризующаяся пролиферацией одного клона плазматических клеток, продуцирующих электрофоретически и иммунологически гомогенный (моноклональный)протеин.

Слайды и текст этой презентации

Слайд 1Множественная миелома и другие парапротеинемии 6 курс профессор Моисеев С.И.

Множественная миелома и другие парапротеинемии 6 курс профессор Моисеев С.И.

Слайд 2Моноклональные гаммапатии
Группа заболеваний, характеризующаяся пролиферацией одного клона плазматических клеток, продуцирующих

электрофоретически и иммунологически гомогенный (моноклональный)
протеин.

Моноклональные гаммапатииГруппа заболеваний, характеризующаяся пролиферацией одного клона плазматических клеток, продуцирующих электрофоретически и иммунологически гомогенный (моноклональный)протеин.

Слайд 3Моноклоновая ү-патия. Моноклоновый белок сыворотки при денситометрии после электрофореза на агарозном

геле. Пик в ү-фракции .

Моноклоновая ү-патия. Моноклоновый белок сыворотки при денситометрии после электрофореза на агарозном геле. Пик в ү-фракции .

Слайд 4Иммунофиксация выявляет моноклональный белок IgA k .

Иммунофиксация выявляет моноклональный белок IgA k .

Слайд 5Моноклональные гаммапатии
I. Моноклональные гаммапатии
неопределенного значения (MGUS)

А) доброкачественная (IgG,

IgA, IgD, IgM)

Б) ассоциированная со злокачественными заболеваниями, не продуцирующими моноклональные

протеины.


Моноклональные гаммапатии 
I. Моноклональные гаммапатии неопределенного значения (MGUS)А) доброкачественная (IgG, IgA, IgD, IgM)Б) ассоциированная со злокачественными заболеваниями,

Слайд 6II.Злокачественные моноклональные гаммапатии
1. Множественная миелома (Симптоматическая миелома)*.
2. Вялотекущая (тлеющая) или

индолентная миелома.
3. Плазмацитома.
А) Солитарная плазмацитома костей.
Б) Экстрамедуллярная плазмацитома.
4. Злокачественные лимфопролиферативные

заболевания
А) Макроглобулинемия Вальденстрема
Б) Неходжкинские лимфомы
5. Болезнь тяжелых цепей (γ,α,µ)
6. Амилоидоз (первичный AL-амилоидоз и вторичный)
II.Злокачественные моноклональные гаммапатии1. Множественная миелома (Симптоматическая миелома)*.2. Вялотекущая (тлеющая) или индолентная миелома.3. Плазмацитома.А) Солитарная плазмацитома костей.Б) Экстрамедуллярная

Слайд 7Вариантные (редкие) формы множественной миеломы*
А) несекретирующая множественная миелома
Б) остеосклеротическая форма

миеломы
С) биклональная миелома
Д) плазмоклеточный лейкоз

Вариантные (редкие) формы множественной миеломы*А) несекретирующая множественная миеломаБ) остеосклеротическая форма миеломыС) биклональная миеломаД) плазмоклеточный лейкоз

Слайд 8Незлокачественные заболевания, редко ассоциирующиеся с моноклональными протеинами
Заболевания кожи.
- гангренозная пиодермия,
-

лихеноидный микседематоз (IgG лямбда),
- ксантогранулема,
- псориаз,
- дискоидный волчаночный

эритематоз (кожная форма СКВ),
- склеродерма ( кожная форма склеродермии),
2. Лимфопролиферативные синдромы, ассоциированные с иммунодефицитом.

- СПИД ,
- трансплантация почки, трансплантация костного мозга.

Незлокачественные заболевания, редко ассоциирующиеся с моноклональными протеинамиЗаболевания кожи.- гангренозная пиодермия,- лихеноидный микседематоз (IgG лямбда), - ксантогранулема, -

Слайд 93. Заболевания печени
- хронические гепатиты,
- первичный билиарный цирроз печени.
4.

Аутоимунные заболевания
- ревматоидный артрит,
- полимиозит (IgG каппа),
- ревматическая

полимиалгия,
- miasthenia gravis

-воспалительные серонегативные полиартриты,

4. Неклассифицируемые


3. Заболевания печени- хронические гепатиты, - первичный билиарный цирроз печени.4. Аутоимунные заболевания- ревматоидный артрит, - полимиозит (IgG

Слайд 10Причины 1068 случаев моноклональной гаммапатии по данным клиники Mейo, 2001

г.
MGUS – 62%
Множественная миелома – 16%
AL-амилоидоз – 8%
Тлеющая миелома –

4%
Болезнь Вальденстрема – 3%
Лимфопролиферативные заболевания – 3%
Солитарная или экстрамедуллярная
плазмацитома – 1%
Другие – 3%
Причины 1068 случаев моноклональной гаммапатии по данным клиники Mейo, 2001 г.MGUS – 62%Множественная миелома – 16%AL-амилоидоз –

Слайд 11Диагностические критерии МГНЗ ( MGUS) ( требуется наличие всех трех)
Уровень

моноклонального белка сыворотки и/или мочи повышен, но ниже, чем при

множественной миеломе ( IgG сыворотки <30 g/l, IgA <20 g/l, моноклональные цепи каппа или лямбда Ig в моче <1 g/ 24 часа)
2. Моноклональные плазматические клетки в костном мозге менее 10%
3. - нормальный уровень кальция, гемоглобина и креатинина крови
- отсутствие остеодеструктивного синдрома и остеопороза при рентгенологическом и др. методах исследования
- отсутствие клинических и лабораторно-инструментальных признаков амилоидоза, паранеопластического синдрома


Диагностические критерии МГНЗ ( MGUS)  ( требуется наличие всех трех)Уровень моноклонального белка сыворотки и/или мочи повышен,

Слайд 12Солитарная плазмацитома кости ( требуются все три критерия)
1. Доказанная биопсией

моноклональная плазмацитома кости в единственном месте по данным рентгенологического, МРТ

и/или ФДГ ПЭКТ исследований ( если должны быть негативны вне первичного очага). Первичное повреждение может быть ассоциировано с низким М-компонентом в сыворотке и /или моче( IgG <35 g/l, IgA <20 g/l Ig , моноклональные цепи каппа или лямбда <1 g/ 24 часа
2. Костный мозг содержит менее 10% моноклональных плазматических клеток
3. Отсутствуют дисфункции органов, ассоциированные с миеломой

Солитарная плазмацитома кости ( требуются все три критерия)1. Доказанная биопсией моноклональная плазмацитома кости в единственном месте по

Слайд 13Крупный опухолевый
узел в верхней доле
правого легкого.
Внекостная
плазмоцитома

Крупный опухолевый узел в верхней доле правого легкого.Внекостная плазмоцитома

Слайд 14Рекомендации по ведению солитарной экстрамедуллярной плазмацитомы (Guidelines Working Group of

the UK Myeloma Forum,2004)
Выполнение КТ и МРТ необходимо для получения

пространственного изображения и исключения других очагов.
Диагноз устанавливается на основании биопсии и проведения дифференциального диагноза с неходжкинскими лимфомами и множественной миеломой.
Лучевая терапия – метод выбора при плазмацитомах шеи и головы.
Солитарная экстрамедуллярная плазмацитома должна быть удалена хирургическим путем, если это выполнимо.
Неоперированные пациенты должны получать химиотерапию как при множественной миеломе.
Оптимальным можно считать комбинированное лечение – химиотерапия+ лучевая терапия



Рекомендации по ведению солитарной экстрамедуллярной плазмацитомы (Guidelines Working Group of the UK Myeloma Forum,2004)Выполнение КТ и МРТ

Слайд 15Тлеющая или индолентная (бессимптомная) миелома

Моноклональный протеин присутствует в сыворотке (

≥ 30 г/л) и/или моче
2. Моноклональные плазматические клетки ≥10% в

костном мозге
3. Нет поражения органов-мишеней (отсутствуют CRAB критерии).
Нет критериев, удовлетворяющих критериям MGUS, множественной миеломы или солитарной плазмацитомы кости или мягких тканей

Тлеющая или индолентная (бессимптомная) миелома
Моноклональный протеин присутствует в сыворотке ( ≥ 30 г/л) и/или моче2. Моноклональные плазматические

Слайд 16Множественная миелома – плазмоклеточная опухоль, характеризующаяся увеличением плазматических клеток в

костном мозге, повышенной продукцией моноклонового белка, деструктивным поражением скелета, развитием

почечной недостаточности, анемии и гиперкальциемии. Заболевание относится к группе злокачественных моноклоновых гаммапатий. В последней классификации ВОЗ лимфоидных опухолей (1997) заболевание относится к группе В-клеточных опухолей с фенотипом зрелых (периферических) клеток и охарактеризовано как миелома или плазмоцитома (солитарная и внекостная). Синонимами термина множественная миелома являются миелома, плазмоклеточная миелома, активная миелома, симптоматическая миелома, болезнь Рустицкого-Калера.
Множественная миелома – плазмоклеточная опухоль, характеризующаяся увеличением плазматических клеток в костном мозге, повышенной продукцией моноклонового белка, деструктивным

Слайд 17Эпидемиология
ММ составляет 1% всех онкологических заболеваний
ММ составляет около 10% всех

гемобластозов
Люди монголоидной расы болеют ММ крайне редко (за исключением японцев),

а негроидной – значительно чаще, чем европеоидной
Частота ММ составляет 1- 4 случаев на 100 000 населения
Соотношение мужчин и женщин составляет 3:2
ММ встречается в возрасте 18-85 лет. Частота заболеваемости увеличивается с возрастом, средний возраст - 69 лет
ЭпидемиологияММ составляет 1% всех онкологических заболеванийММ составляет около 10% всех гемобластозовЛюди монголоидной расы болеют ММ крайне редко

Слайд 18Этиологические факторы
Генетическая предрасположенность ( расовые различия, семейные случаи)
Хроническая антигенная стимуляция

( инфекции, воспаление, заболевания соединительной ткани, аутоиммунные процессы, аллергические заболевания,

ревматоидный артрит)
этиологическая роль вирусов ( ВИЧ, гепитит С, герпесвирус 8) и ионизирующего излучения?
Этиологические факторы
Генетическая предрасположенность ( расовые различия, семейные случаи)Хроническая антигенная стимуляция ( инфекции, воспаление, заболевания соединительной ткани, аутоиммунные

Слайд 19При множественной миеломе объектом опухолевой трансформации является клетка-предшественница В-лимфоцитов
(клетка, проделавшая

этапы антиген-зависимой дифферецировки, переключения изотипов Н-цепей Ig и гипермутаций V-региона)

. Будучи опухолевой, она способна дифференцироваться до конечного этапа – плазматической клетки, секретирующей моноклональный Ig.
При множественной миеломе объектом опухолевой трансформации является клетка-предшественница В-лимфоцитов(клетка, проделавшая этапы антиген-зависимой дифферецировки, переключения изотипов Н-цепей Ig

Слайд 20Патогенез и патофизиология миеломной болезни
Первый патогенетический шаг –в развитии миеломы

– появление ограниченного количества клональных плазматических клеток, клинически обозначаемого как

MGUS ( моноклональная гаммапатия неопределенного значения)
Ежегодный риск трансформации MGUS в множественную миелому - 1%
Ежегодный риск трансформации тлеющей миеломы в множественную миелому 10% в год в первые 5 лет, 5% в год следующие 5 лет и 1-2% в год в последующие годы.
65% пациентов имеют цитогенетические изменения в виде транслокаций, которые вовлекают локус тяжелой цепи иммуноглобулинов на хромосоме 14q32 и одну из пяти хромосом-партнеров 11q13 ( ССТВ1) (наиболее часто), 4р16.3 ( FGFR-3 и MMSET), 6q21 (CCND3), 16q23 ( c-maf) и 20q11 (mafB), которые играют важную роль в эволюции MGUS.




Патогенез и патофизиология миеломной болезниПервый патогенетический шаг –в развитии миеломы – появление ограниченного количества клональных плазматических клеток,

Слайд 21Патогенез миеломы
14q32 region
BCL1/PRAD-1/cyclin D1 (11q23), cyclin D3 (6p21), FGFR3-MMSET (4p16.3),

c-maf (16q23), mafB (20q11)

Патогенез миеломы14q32 regionBCL1/PRAD-1/cyclin D1 (11q23), cyclin D3 (6p21), FGFR3-MMSET (4p16.3), c-maf (16q23), mafB (20q11)

Слайд 22Регуляция скорости роста опухолевых клеток при ММ осуществляется рядом интерлейкинов

и факторов роста, секретируемых стромальными клетками костного мозга, самими миеломными

клетками, а также иммунокомпетентными клетками микроокружения.
Миеломная клетка способна непосредственно (через аутокринный механизм) и опосредованно (через стромальные клетки) поддерживать свой рост/пролиферацию, неконтролируемую продукцию моноклонового белка, и блокировать процессы апоптоза.
Регуляция скорости роста опухолевых клеток при ММ осуществляется рядом интерлейкинов и факторов роста, секретируемых стромальными клетками костного

Слайд 23Диагностические критерии множественной миеломы ( требуется наличие всех трех)
1. Моноклональные

плазматические клетки в костном мозге >10% или наличие доказанной при

биопсии плазмацитомы
2. Присутствие моноклонального белка в сыворотке и/или моче ( если моноклональный белок не выявляется ( несекретирующая миелома), требуется более 30% плазматических клеток и/или плазмоцитома)
3. Связанные с миеломой органные дисфункции (CRAB):
Гиперкальциемия >10,5 мг/л или верхняя граница нормы
Почечная недостаточность с креатинином > 2 мг/дл
Анемия с гемоглобином менее 100 г/л или на 20 г ниже нормы
Литические поражения костей или остеопороз
Диагностические критерии множественной миеломы ( требуется наличие всех трех)1. Моноклональные плазматические клетки в костном мозге >10% или

Слайд 24C (calcium) – кальций сыворотки >0,25ммоль/л выше верхних нормальных значений(>2,75

ммоль/л)

R (renal) – нарушение функции почек (креатинин >173 ммоль/л)

A (anemia)

– анемия (гемоглобин <100 г/л)

B (bone) – костные повреждения (литическое повреждение или остеопороз)

Критерии CRAB

C (calcium) – кальций сыворотки >0,25ммоль/л выше верхних нормальных значений(>2,75 ммоль/л)R (renal) – нарушение функции почек (креатинин

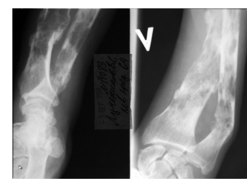
Слайд 25Клинические проявления ММ
Поражение костей
Множественные остеолитические очаги повреждения плоских костей

и эпифизов трубчатых костей
Диффузный остеопороз (остеопения)
Костные переломы
Уменьшение роста (вертебральный коллапс)
Болевой

синдром

Эффекты, ассоциированные с остеодеструкцией

Гиперкальциемия у 20-40%
( утомляемость, жажда, тошнота, запоры, повреждение почек, полиурия, сонливость, судороги, кома)
Гиперкальцийурия

Внекостные плазмацитомы

Вовлечение мягких тканей преимущественно в области головы/шеи, очаги в печени, почках, легких и т.д.

Клинические проявления ММПоражение костей Множественные остеолитические очаги повреждения плоских костей и эпифизов трубчатых костейДиффузный остеопороз (остеопения)Костные переломыУменьшение

Слайд 26Периферическая кровь
Анемия, ускорение СОЭ, реже- лейкопения, тромбоцитопения,
Нарушение свертывания крови
Циркулирующие

плазмоциты и плазмобласты
Изменения белков плазмы
Гиперпротеинемия (синдром гипервязкости)
Гиперволемия
Моноклональные иммуноглобулины (снижение уровня

нормальных иммуноглобулинов)
Повышенный β2-микроглобулин
Гипоальбуминемия
Повышенный СРБ и ИЛ6 сыворотки
Гипонатриемия, возможна гиперкалиемия
Периферическая кровьАнемия, ускорение СОЭ, реже- лейкопения, тромбоцитопения, Нарушение свертывания кровиЦиркулирующие плазмоциты и плазмобластыИзменения белков плазмыГиперпротеинемия (синдром гипервязкости)ГиперволемияМоноклональные

Слайд 27Нарушения со стороны почек
Протеинурия, цилиндры без эритроцитов и лейкоцитов
Канальцевая дисфункция

с ацидозом
Почечная недостаточность

Иммуно-супрессия
Бактериальные инфекции ( пневмококк)
Вирусные инфекции ( в т.ч.

Herpes zoster)

Нарушения со стороны нервной системы

периферическая нейропатия
компрессия спинного мозга при поражении позвоночника
( радикулярный синдром, парезы и параличи)

Общие симптомы

Общая слабость, недомогание, похудание,

Нарушения со стороны почекПротеинурия, цилиндры без эритроцитов и лейкоцитовКанальцевая дисфункция с ацидозомПочечная недостаточностьИммуно-супрессияБактериальные инфекции ( пневмококк)Вирусные инфекции

Слайд 28Лабораторные исследования при миеломе
Полный клинический анализ крови, СОЭ
Биохимическое исследование

сыворотки крови с оценкой: общего белка и белковых фракций (

электрофорез) , мочевины, креатинина, мочевой кислоты, кальция
Суточная потеря белка с мочой, электрофорез белков мочи
Общий анализ мочи, определение белка Бенс-Джонса
Протромбиновое время, АПТВ
Лабораторные исследования при миеломе Полный клинический анализ крови, СОЭБиохимическое исследование сыворотки крови с оценкой: общего белка и

Слайд 29Электрофорез –иммунофиксация (сыворотки или концентрированной мочи)
Количественная оценка уровня иммуноглобулинов сыворотки

крови
Рентгенологическое исследование костей, КТ, МРТ, ПЭКТ, сцинтиграфия костей скелета, денситометрия
Аспирационная

биопсия костного мозга, трепанобиопсия
СРБ, в2-микроглобулин, ЛДГ, ИЛ-6
Определение пролиферативного индекса и количества Ki-67-положительных плазматических клеток
Цитогенетическое исследование
Иммунофенотипирование?


Электрофорез –иммунофиксация (сыворотки или концентрированной мочи)Количественная оценка уровня иммуноглобулинов сыворотки кровиРентгенологическое исследование костей, КТ, МРТ, ПЭКТ, сцинтиграфия

Слайд 30Цитогенетические аномалии при миеломе
Использование стандартных методов цитогенетического исследования (метафазы)выявляет аномалии

кариотипа у 18-30% больных на ранних этапах заболевания и у

50-60% - в далеко зашедших стадиях
Метод флюоресцентной in situ гибридизации
( FISH ) выявляет аномалии в 90% случаев.
Метод секвенирования генов и метод microarray гибридизации выявляет экспрессию 9732 генов.Составлен каталог экспрессированных генов при множественной миеломе (Myeloma Gene Index). На основании выявления активации 70 основных генов выделяют агрессивные формы множественной миеломы с прогнозируемой длительностью жизни менее 1 года.
Цитогенетические аномалии при миеломеИспользование стандартных методов цитогенетического исследования (метафазы)выявляет аномалии кариотипа у 18-30% больных на ранних этапах

Слайд 31Цитогенетические изменения при ММ
- гипердиплоидия – трисомия 6, 7, 9,

11, 15, 17, 19, 21 хромосом - 10% (прогноз хороший)

-

t (11;14) - 20%
- t (6;14) - <5%
- t (4;14) - 15%
- t (14;16) – 5%

- del 13q - 10%
- del 17p (p53) – 10%






Цитогенетические изменения при ММ- гипердиплоидия – трисомия 6, 7, 9, 11, 15, 17, 19, 21 хромосом -

Слайд 32Группы риска при множественной миеломе (Клиника Мейо,США 2008)
Стандартный риск (75%)
Высокий

риск (25%)
FISH транслокация 11;14
FISH транслокация 6;14
гипердиплоидия
Все другие FISH и цитогенетические

нарушения


FISH делеция 17p
FISH транслокация 4;14
FISH транслокация 14;16
Делеция 13q
Гиподиплоидия
пролиферативный
индекс плазматических клеток ≥ 3%

Группы риска при множественной миеломе (Клиника Мейо,США 2008)Стандартный риск (75%)Высокий риск (25%)FISH транслокация 11;14FISH транслокация 6;14гипердиплоидияВсе другие

Слайд 33Плазматические клетки при миеломной болезни

Плазматические клетки при миеломной болезни

Слайд 34Иммунофиксация сыворотки с антисывороткой к иммуноглобулинам и легким цепям, выявляющая

моноклональный IgG и каппа цепь

Иммунофиксация сыворотки с антисывороткой к иммуноглобулинам и легким цепям, выявляющая моноклональный IgG и каппа цепь

Слайд 38А- рентгенограмма, В- мультидетекторная КТ (МДКТ), С- магнитнорезонансная томография (МРТ)

А- рентгенограмма, В- мультидетекторная КТ (МДКТ), С- магнитнорезонансная томография (МРТ)

Слайд 39А-ренгенограмма, В-МДКТ

А-ренгенограмма, В-МДКТ

Слайд 42Иммунохимические варианты множественной миеломы
Вариант
Частота,%
G-миелома
55-65
А-миелома
20-25
D-миелома
2-5
Е-миелома
Точно не установлена
Болезнь легких цепей ( миелома

Бенс-Джонса)
12-20
Диклоновые миеломы
1-4
М-миелома
0,5

Иммунохимические варианты множественной миеломыВариантЧастота,%G-миелома55-65А-миелома20-25D-миелома2-5Е-миеломаТочно не установленаБолезнь легких цепей ( миелома Бенс-Джонса)12-20Диклоновые миеломы1-4М-миелома0,5

Слайд 43Стадии множественной миеломы по Durie/Salmon.
Стадия
Критерии
1
А,В
Уровень Hb >100 г/л;
Нормальный уровень кальция

сыворотки;
На РГ нормальная костная структура или одиночный очаг поражения;
Низкий уровень

М-протеина:
IgG<50 г/л, IgА<30 г/л;
Белок Бенс-Джонса при электрофорезе мочи <4г/сутки
(< 5 остеолитических очагов, легкий остеопороз)

2 А,В

Показатели выше, чем в 1 стадии, но ни один из них не достигает значений, характерных для 3 стадии

3
А,В
(В - креатинин > 2 мг/дл)

Уровень Hb<85 г/л;
Уровень кальция сыворотки превышает нормальные значения;
Множественные поражения костей (≥3 литических очагов);
Высокий уровень М-протеина:
IgG>70 г/л;
IgА>50 г/л;
Белок Бенс-Джонса при электрофорезе мочи >12 г в сутки
(>20 остеолитических очагов, выраженный остеопороз)

Стадии множественной миеломы по Durie/Salmon.СтадияКритерии1А,ВУровень Hb >100 г/л;Нормальный уровень кальция сыворотки;На РГ нормальная костная структура или одиночный

Слайд 44ПЭТ при множественноймиеломе

ПЭТ при множественноймиеломе

Слайд 45Durie/Salmon PLUS система стадирования множественной миеломы
Классификация
ЯМР и/или ПЭТ

c 18-фтордеоксиглюкозой
Моноклональные гаммапатии неопределенного значения
Отсутствуют очаги поражения
Стадия

IА (тлеющая или индолентная миелома)

Плазмацитома и/или ограниченный очаг

Множественная миелома
Стадии IБ, IIA/Б, IIIA/Б.

Стадия IБ

< 5 локальных очагов, диффузная форма легкой степени тяжести

Стадия II А/Б

5-20 локальных очагов, диффузная форма средней степени тяжести

Стадия IIIA/Б

>20 локальных очагов, диффузная форма тяжелой степени

А – креатинин сыворотки <2 мг/дл, отсутствие внекостномозговых очагов;
Б - креатинин сыворотки > 2 мг/дл, наличие внекостномозговых очагов;

Durie/Salmon PLUS система стадирования множественной миеломы Классификация ЯМР и/или ПЭТ c 18-фтордеоксиглюкозой Моноклональные гаммапатии неопределенного значения Отсутствуют

Слайд 46Стадии ММ по SWOG системе (2003 г)
Стадия I β2-микроглобулин

< 2,5 мг/дл
Стадия II β2-микроглобулин ≥ 2,5 < 5,5 мг/дл
Стадия

III β2-микроглобулин ≥ 5,5 мг/дл
альбумин сыворотки ≥ 3 г/дл
Стадия IV β2-микроглобулин ≥ 5,5 мг/дл
альбумин сыворотки < 3 г/дл
Стадии ММ по SWOG системе (2003 г) Стадия I β2-микроглобулин < 2,5 мг/длСтадия II β2-микроглобулин ≥ 2,5

Слайд 47Прогностические факторы при множественной миеломе
Возраст
Соматический статус
Β2-микроглобулин
Альбумин сыворотки
Креатинин сыворотки
Лактатдегидрогеназа
СРБ
Уровень гемоглобина в

крови
Количество тромбоцитов
Пролиферативный индекс
Наличие плазмобластов и циркулирующих плазмоцитов
делеции 13, 17p, транслокации

4;14, 14;16
Наличие экстрамедуллярных очагов (МРТ,РЭТ)
Прогностические факторы при множественной миеломеВозрастСоматический статусΒ2-микроглобулинАльбумин сывороткиКреатинин сывороткиЛактатдегидрогеназаСРБУровень гемоглобина в кровиКоличество тромбоцитовПролиферативный индексНаличие плазмобластов и циркулирующих плазмоцитовделеции

Слайд 48Международный прогностический индекс при ММ
IPI группа 1 β2-микроглобулин < 3,5

мг/дл
альбумин сыворотки > 3,5 г/дл
IPI группа 2 β2-микроглобулин < 3,5

мг/дл
альбумин сыворотки < 3,5 г/дл
или β2-микроглобулин 3,5 - 5,5 мг/дл
IPI группа 3 β2-микроглобулин > 5,5 мг/дл
Международный прогностический индекс при ММIPI группа 1 β2-микроглобулин < 3,5 мг/длальбумин сыворотки > 3,5 г/длIPI группа 2

Слайд 49Группы риска при множественной миеломе (Клиника Мейо,США 2008)
Стандартный риск (75%)
Высокий

риск (25%)
FISH транслокация 11;14
FISH транслокация 6;14
гипердиплоидия
Все другие FISH и цитогенетические

нарушения


FISH делеция 17p
FISH транслокация 4;14
FISH транслокация 14;16
Делеция 13q
Гиподиплоидия
пролиферативный
индекс плазматических клеток ≥ 3%

Группы риска при множественной миеломе (Клиника Мейо,США 2008)Стандартный риск (75%)Высокий риск (25%)FISH транслокация 11;14FISH транслокация 6;14гипердиплоидияВсе другие

Слайд 50Индукционная терапия при множественной миеломе
Возраст < 65 лет

ВАД (винкристин, адриамицин,

дексаметазон)
ЦВАД( циклофосфамид, винкристин, адриамицин, дексаметазон)
ГиперЦВАД
VD(велкейд, дексаметазон)
PAD (велкейд, адриамицин, дексаметазон)



Возраст >

65 лет

МР (Мелфалан 8-10 мг р.о. 1-7 день, преднизолон 40-60 мг/м2 1-7 день)
МВП (мелфалан 8 мг 1-7 день,
Преднизолон 60 мг/м2 1-7 день,
Велкейд 1,3 мг/м2 день 1,4,8,11)

Индукционная терапия при множественной миеломеВозраст < 65 летВАД (винкристин, адриамицин, дексаметазон)ЦВАД( циклофосфамид, винкристин, адриамицин, дексаметазон)ГиперЦВАДVD(велкейд, дексаметазон)PAD (велкейд,

Слайд 51Программы ХТ больных ММ
VAD
винкристина 0,4 мг/24 часа в/в, 1-4 дни
доксорубицина

9 мг/м2/24 часа в/в 1-4 дни
дексаметазон 40 мг per

os в 1-4, 9-12, 17 – 21 дни

HyperCVAD
циклофосфамид 300 мг/м2 внутривенно каждые 12 ч 1-3 дни
адриамицин 25 мг/м2/24 часа в/в 1-2 дни,
винкристин 1 мг/24 часа 1-2 дни и 2 мг в/в 11-й день.
дексаметазон 40 мг per os в 1-4 и 11-14-й дни
каждые 28 дней
Программы ХТ больных ММVADвинкристина 0,4 мг/24 часа в/в, 1-4 днидоксорубицина 9 мг/м2/24 часа в/в 1-4 дни дексаметазон

Слайд 52Лечение осложнений миеломы
Осложнение
Терапевтические подходы
Поражение костей
Бифосфонаты (бонефос, аредиа, зомета)
Контроль за болью

вплоть до наркотических аналгетиков, отказ от НПВП
Локальное облучение для лечения

плазмоцитом и очагов деструкции с рефрактерным болевым синдромом и компрессией корешков
Вертебропластика и кифопластика при определенных повреждениях позвонков для уменьшения боли и улучшения качества жизни
Лечение осложнений миеломыОсложнениеТерапевтические подходыПоражение костейБифосфонаты (бонефос, аредиа, зомета)Контроль за болью вплоть до наркотических аналгетиков, отказ от НПВПЛокальное

Слайд 53Анемия
при симптомах анемии эритропоэтин во время химиотерапии или гемотрансфузии

Инфекции
Назначение антибиотиков

широкого спектра действия при терапии кортикостероидами
Внутривенный иммуноглобулин для рецидивирующих серьезных

инфекций , ассоциированных с гипогаммаглобулинемией
Рассмотрение профилактики Pneumocystis carinii, когда проводится пролонгированная терапия ГКС, отмена триметоприма-сульфометоксазола при назначении талидомида

Гипер-
кальциемия

Внутривенно жидкость и кортикостероиды
Бифосфонаты

Анемияпри симптомах анемии эритропоэтин во время химиотерапии или гемотрансфузииИнфекцииНазначение антибиотиков широкого спектра действия при терапии кортикостероидамиВнутривенный иммуноглобулин

Слайд 54Почечная недостаточ-ность
Коррекция обратимых причин, таких как дегидратация, гиперкальциемия, гиперурикемии
Химиотерапия для

быстрого контроля за заболеванием, бортезомиб
Щелочной диурез при ОПН, обусловленной мочекислой

нефропатией, избегать ощелачивания при у пациентов с гиперкальциемией
плазмообмен при острой почечной недостаточности

Синдром гипервяз-
кости

Плазмаферез при уровне белка более 110 г/л

Тромбо-филия

Профилактическое применение прямых или непрямых антикоагулянтов и дезагрегантов при использовании больших доз дексаметазона, талидомида и ревлимида

Почечная недостаточ-ностьКоррекция обратимых причин, таких как дегидратация, гиперкальциемия, гиперурикемииХимиотерапия для быстрого контроля за заболеванием, бортезомибЩелочной диурез при

Слайд 55Трансплантация стволовых клеток
По сравнению с со стандартными методами лечения общая

и безрецидивная выживаемость выше на 10-20 месяцев
Кондиционирование мелфаланом в дозе100-140-

200 мг/ м2
Двойная трансплантация через 3-6 мес
Аллогенная трансплантация
Трансплантация стволовых клетокПо сравнению с со стандартными методами лечения общая и безрецидивная выживаемость выше на 10-20 месяцевКондиционирование

Слайд 56Общая выживаемость больных множественной миеломой
Анализ выживаемости 2981 больного ММ в

клиниках Mayo (США) за 1971-2006гг
Медиана общей выживаемости
до 2000 года

– 29,9 месяцев
после 2000 года 44,8 месяцев

Kumar S.K. et al. Blood 2008; 111: 2516.

Общая выживаемость больных множественной миеломойАнализ выживаемости 2981 больного ММ в клиниках Mayo (США) за 1971-2006ггМедиана общей выживаемости

Слайд 57Факторы влияющие на эффективность лечения больных множественной миеломой
Более широкое

использование высокодозной химиотерапии (мелфалан 200 ) c ТПСК. Тандемная ТПСК.
Внедрение

в схемы лечения новых препаратов (талидамид, бортезомиб, ревлимид)
Учет основных факторов риска при выборе тактики лечения. Формирование групп риска (International Staging System –ISS, mSMART classification- Mayo Stratification of Myeloma and Risk Adapted Therapy)

Attal M. et al. Hematology 2007: 311-316.
Kumar S.K. et al. Blood 2008; 111(5): 2516-2520.
Greipp P.R. et al. J.Clin.Oncol. 2005;23: 3412-3420.
Dispenzieri A. et al Mayo Clin Proc.2007; 82: 323-341.

Факторы влияющие на эффективность лечения больных множественной миеломой Более широкое использование высокодозной химиотерапии (мелфалан 200 ) c

Слайд 58Макроглобулинемия Вальденстрёма –
злокачественное лимфопролиферативное заболевание с продукцией моноклонального IgМ и

наличием в костном мозге полиморфных B-лимфоцитов на разных стадиях созревания.
По

классификации ВОЗ (1997) – Лимфоплазмацитоидная лимфома
Макроглобулинемия Вальденстрёма –злокачественное лимфопролиферативное заболевание с продукцией моноклонального IgМ и наличием в костном мозге полиморфных B-лимфоцитов на

Слайд 59Макроглобулинемия Вальденстрема
Впервые описана в 1944 г. Jan Waldenstrom
Хроническое лимфопролиферативное заболевание

В-клеточной природы, морфологически представленное лимфоцитами, плазмацитами и характеризующееся продукцией моноклонового

IgМ
Встречается в 7-10 раз реже ММ
Представляет около 2% всех гемобластозов
Средний возраст 65 лет ( от 32 до 92 лет)
Мужчины составляют 70%
Макроглобулинемия ВальденстремаВпервые описана в 1944 г. Jan WaldenstromХроническое лимфопролиферативное заболевание В-клеточной природы, морфологически представленное лимфоцитами, плазмацитами и

Слайд 60Этиология и предрасполагающие факторы
-предшествующая IgM-MGUS;
-генетическая предрасположенность;
-хроническая антигенная стимуляция(инфекции,аутоиммунные процессы и

т.д.);
-возможная связь с вирусом гепатита С;

Этиология и предрасполагающие факторы-предшествующая IgM-MGUS;-генетическая предрасположенность;-хроническая антигенная стимуляция(инфекции,аутоиммунные процессы и т.д.);-возможная связь с вирусом гепатита С;

Слайд 61Патогенетические механизмы развития Макроглобулинемии Вальденстрема
Геномные нарушения - BLIMP 1 и

BLyS

BLIMP 1 (B-Lymphocyte Inhibitor of Maturation and Proliferation) - регулирует

переход зрелой В-клетки в стадию Плазматической клетки. Нарушения в этом гене приводят к В-клеточным злокачественным новообразованиям;

BLyS (B-Lymphocyte Stimulator). Относится к семейству TNF; Ингибирует апоптоз злокачественных B-клеток, регулирует секрецию IgM нормальными В-клетками ; у больных Макроглобулинемией Вальденстрема наблюдается повышенная экспрессия BLyS в лимфоплазмацитарных клетках

Blood,April 2006, vol 107,
Elsawa,Novak,Kyle)
Патогенетические механизмы развития Макроглобулинемии ВальденстремаГеномные нарушения - BLIMP 1 и BLySBLIMP 1 (B-Lymphocyte Inhibitor of Maturation and

Слайд 62Макроглобулинемия Вальденстрема.

Характеризуется наличием моноклонального иммуноглобулина М (PIgM), высокой вязкостью

сыворотки крови и геморрагическим синдромом без тромбоцитопении. МВ хронический лейкоз

В-клеточной природы, морфологически представленный лимфоцитами, плазмоцитами и всеми переходными формами клеток и характеризующийся продукцией PIgM.
В отличие от ММ часто встречается фиброз стромы костного мозга, нередко значительно выраженный.
Иммунофенотип – экспрессируют РIgM как на своей поверхности sIgM, так и внутри цитоплазмы сIgM, а также CD19, CD20, CD22, CD79a, CD10 и др.
В отличии от нормальных пентамерных молекул секретируются моно- , ди-, тетрамеры IgM в разных соотношениях
Из кариологических изменений наиболее часто встречаются изменения хромосом 10,11,12,20, более редка – t (8;14), t (14;18) в результате чего происходит активация c-myc или bcl-2-онкогенов
При использовании FISH метода выявляется делеция длинного плеча 6 хромосомы(21-55%) , трисомия 4 хромосомы (18%), трисомия 5 хромосомы (8%) и моносомия 8 (8 %).
Макроглобулинемия Вальденстрема. Характеризуется наличием моноклонального иммуноглобулина М (PIgM), высокой вязкостью сыворотки крови и геморрагическим синдромом без тромбоцитопении.

Слайд 63Диагностические критерии
-Моноклональный IgM сыворотки крови ;
-лимфоплазмоцитарная инфильтрация костного мозга(наличие полиморфных

В-клеток на разных стадиях созревания: малые лимфоциты, лимфоплазмацитоидные клетки, плазматические

клетки)
-интертрабекулярная инфильтрация костного мозга;
-иммунофенотипирование: существует вариабельность в иммунофенотипе, но в большинстве случаев выявляются: CD 19+, CD 20+ , CD 22+ ; CD 5- , CD 23+/-.
Диагностические критерии-Моноклональный IgM сыворотки крови ;-лимфоплазмоцитарная инфильтрация костного мозга(наличие полиморфных В-клеток на разных стадиях созревания: малые лимфоциты,

Слайд 64Прогностические факторы
возраст > 65 лет;
β2-микроглобулин >3 мг/л;
моноклональные IgM> 70 г/л;
гемоглобин

< 115 г/л;
тромбоциты < 100*10^9;

низкий риск: 1 фактор, исключая возраст;
высокий

риск: >2 факторов;
промежуточный риск: 2 фактора, либо старше 65 лет.
Медиана выживаемости – 5-10 лет.
Прогностические факторы
возраст > 65 лет;β2-микроглобулин >3 мг/л;моноклональные IgM> 70 г/л;гемоглобин < 115 г/л;тромбоциты < 100*10^9;низкий риск: 1

Слайд 65Клиническая манифестация макроглобулинемии Вальденстрема
Симптомы
Признаки
Слабость, усталость
Симптомы гипервязкости
Ночная потливость
Потеря веса
Периферическая нейропатия
Гепатомегалия -

20%
Спленомегалия -15%
Лимфаденопатия -15%
Пурпура
Уртикарные поражения кожи, макулопапулезные поражения, артропатии
Протеинурия (легкие цепи)
анемия
Инфекции
Проявления

криоглобулинемии (васкулит)
Клиническая манифестация макроглобулинемии ВальденстремаСимптомыПризнакиСлабость, усталостьСимптомы гипервязкостиНочная потливостьПотеря весаПериферическая нейропатияГепатомегалия - 20%Спленомегалия -15%Лимфаденопатия -15%ПурпураУртикарные поражения кожи, макулопапулезные поражения,

Слайд 66Признаки синдрома гипервязкости
Кровотечение из носа и десен, реже – желудочно-кишечные

и послеоперационные)
Пурпура
Нарушения зрения (размытые границы или потеря зрения)
Ретинопатия:
ретинальные кровоизлияния или

экссудация
Сосудистая дилятация и сегментация
Отек соска зрительного нерва
Тромбоз вены сетчатки
Отек соска зрительного нерва
Головная боль, головокружение
Потеря слуха
Атаксия, парестезии
Сомноленция, потеря сознания, кома
Диплопия, геморрагический инсульт
Сердечная недостаточность


Признаки синдрома гипервязкостиКровотечение из носа и десен, реже – желудочно-кишечные и послеоперационные)ПурпураНарушения зрения (размытые границы или потеря

Слайд 67Критерии начала терапии
-лихорадка, ночная потливость, слабость, снижение массы тела (

на 10 % и более );
-прогрессирующая спленомегалия или лимфаденопатия;
-Hb

100 г/л;
-число тромбоцитов < 100*10 ^9/л;
-выраженные проявления синдрома гипервязкости;
-периферическая нейропатия;

Критерии начала терапии-лихорадка, ночная потливость, слабость, снижение массы тела ( на 10 % и более );-прогрессирующая спленомегалия

Слайд 68Лечение макроглобулинемии Вальденстрема
Плазмаферез – с возмещением альбумином и растворами ,

особенно для пожилых пациентов
Алкилирующие агенты: хлорбутин (0,3 мг/кг дн 7

дней каждые 6 нед), мелфалан, циклофосфан в сочетании или без ГКС ( 40мг/м2), протокол М2, CHOP
ИФ-а – 1-3 MU 3 раза в нед.
Аналоги нуклеозидов: флюдарабин ( 25 мг/м2 в/в дни 1-4 каждые 4 нед), кладрибин (2-хлородещксиаденозин) 0,12 мг/кг дн 2х часовой в/в инфузией дни1-5
Высокодозная химиотерапия с поддержанием ПСКК
Сплленэктомия
Ритуксимаб + флударабин, ритуксимаб + кладрибин
R-CHOP
бортезомиб
Лечение макроглобулинемии ВальденстремаПлазмаферез – с возмещением альбумином и растворами , особенно для пожилых пациентовАлкилирующие агенты: хлорбутин (0,3

Слайд 69Болезни тяжелых цепей
В-клеточные лимфатические опухоли с крайне разнообразными морфологией и

клиническими проявлениями. Их характерной особенностью являются секреция фрагментов тяжелых цепей

(Н) различных изотипов иммуноглобулинов (Ig)
Болезни тяжелых цепейВ-клеточные лимфатические опухоли с крайне разнообразными морфологией и клиническими проявлениями. Их характерной особенностью являются секреция

Слайд 70В соответствии с классом Н-цепей, синтезируемых опухолевыми клетками выделяют 4

варианта болезни тяжелых цепей: ү, α, μ, δ.
История изучения

заболевания начата в 1963 году после описания случая БТЦ ү
E. C. Franklin.
Сейчас описано около 400 случаев БТЦ.
Средний возраст – 60 лет (от 15 до 80 лет)
В соответствии с классом Н-цепей, синтезируемых опухолевыми клетками выделяют 4 варианта болезни тяжелых цепей: ү, α, μ,

Слайд 71Морфологические методы исследования в отличие от других лимфопролиферативных заболеваний не

позволяют поставить диагноз из-за чрезвычайной вариабельности картины.
Как правило имеет место

лимфоцито-плазматическая инфильтрация лимфоузлов, костного мозга или внекостных очагов.
Диагноз устанавливается на основании иммунохимического анализа белков сыворотки и мочи.
Морфологические методы исследования в отличие от других лимфопролиферативных заболеваний не позволяют поставить диагноз из-за чрезвычайной вариабельности картины.Как

Слайд 72Клиническая картина вариабельна и определяется распространенностью процесса и поражением тех

или иных органов.

Клиническая картина вариабельна и определяется распространенностью процесса и поражением тех или иных органов.

Слайд 73Заболевание
БТЦ ү

БТЦ α

БТЦ μ
Возраст
Средний возраст 60 лет, могут болеть

дети, чаще мужчины
Чаще до 40 лет.
В 85% случаев в

средиземноморье

После 50 лет лет

Симптомы

Лихорадка, недомогание, слабость, интеркуррентные инфекции из-за синдрома недостаточности антител, ночные поты, потеря веса,
Увеличение лимфоузлов, селезенки, печени, поражение нелимфатических органов (кожи, щитовидной железы, слюнных желез)
Аутоимунные заболевания (25%)

IgA
2 варианта:
Абдоминальный и легочный
Хроническакя диаррея, мальабсорбция, потеря веса, электролитные нарушения

гепато-спленомегалия, лимфоаденопатия,
Клинические проявления как при хроническом лимфолейкозе, но может быть
остеодеструктив-ный синдром и остеопороз

ЗаболеваниеБТЦ үБТЦ αБТЦ μВозраст Средний возраст 60 лет, могут болеть дети, чаще мужчины Чаще до 40 лет.В

Слайд 74Терапия не разработана. В зависимости от скорости прогрессии и клинических

проявлений – моно- полихимиотерапия как при лимфопролиферативных заболеваниях, возможна лучевая

терапия, иммунотерапия.
Продолжительность жизни от нескольких месяцев до нескольких лет.
Терапия не разработана. В зависимости от скорости прогрессии и клинических проявлений – моно- полихимиотерапия как при лимфопролиферативных

Обратная связь

Если не удалось найти и скачать доклад-презентацию, Вы можете заказать его на нашем сайте. Мы постараемся найти нужный Вам материал и отправим по электронной почте. Не стесняйтесь обращаться к нам, если у вас возникли вопросы или пожелания:

Email: Нажмите что бы посмотреть 

Что такое TheSlide.ru?

Это сайт презентации, докладов, проектов в PowerPoint. Здесь удобно  хранить и делиться своими презентациями с другими пользователями.


Для правообладателей

Яндекс.Метрика