Разделы презентаций


Перинатальные поражения ЦНС новорожденных

Содержание

Понятие «перинатальные поражения ЦНС» объединяет различные по этиологии, а так же невыясненные по своему происхождению поражения головного мозга, имевшие место в перинатальном периоде жизни.

Слайды и текст этой презентации

Слайд 1 Перинатальные поражения ЦНС новорожденных

Перинатальные поражения ЦНС  новорожденных

Слайд 2 Понятие «перинатальные поражения ЦНС» объединяет различные по этиологии,

а так же невыясненные по своему происхождению поражения головного мозга,

имевшие место в перинатальном периоде жизни.
Понятие «перинатальные поражения ЦНС» объединяет различные по этиологии, а так же невыясненные по своему происхождению

Слайд 3Актуальность проблемы
1.Большая распространенность.
По данным ВОЗ у 10 %

детей диагностированы нервно-психические заболевания, 70-80 % которых связаны с перинатальными

поражениями ЦНС.

Актуальность проблемы1.Большая распространенность.  По данным ВОЗ у 10 % детей диагностированы нервно-психические заболевания, 70-80 % которых

Слайд 4Актуальность проблемы
Грубые поражения ЦНС можно выявить у 10 % новорожденных,
Менее

грубые (исчезающие в течение года) — у 23-27 % (Ратнер

А.Ю., 1996г.)

Актуальность проблемыГрубые поражения ЦНС можно выявить у 10 % новорожденных,Менее грубые (исчезающие в течение года) — у

Слайд 5Актуальность проблемы
2.Инвалидность.
По различным данным у 6...10% детей, перенесших перинатальную

энцефалопатию в дальнейшем к 6...10 месяцам формируется отчетливая картина ДЦП.

Актуальность проблемы 2.Инвалидность.По различным данным у 6...10% детей, перенесших перинатальную энцефалопатию в дальнейшем к 6...10 месяцам формируется

Слайд 6Этиология
Гипоксическое поражение ЦНС (47%) - хроническая внутриутробная гипоксия, острая в

родах - асфиксия новорожденных;
травматическое (4%);
инфекционное (19%) - внутриутробная инфекция с

поражением центральной нервной системы;
токсико-дисметаболическое – растет в последние годы (алкоголизм, наркомания, медикаменты, гипогликемия, билирубиновая энцефалопатия и др.);
ВПР ЦНС - большая группа (28%);
наследственные болезни обмена (2%);
опухоли мозга (единичные случаи).
ЭтиологияГипоксическое поражение ЦНС (47%) - хроническая внутриутробная гипоксия, острая в родах - асфиксия новорожденных;травматическое (4%);инфекционное (19%) -

Слайд 7Спинномозговая грыжа – порок развития ЦНС

Спинномозговая грыжа – порок развития ЦНС

Слайд 8Энцефалоцеле – порок развития ЦНС

Энцефалоцеле – порок развития ЦНС

Слайд 9Кефалогематома двухсторонняя (родовая травма)

Кефалогематома двухсторонняя (родовая травма)

Слайд 10Причины гипоксического поражения ЦНС:
1. Хроническая гипоксия плода (ХВУГП) - любое

неблагополучное течение беременности (ПН, гестоз).
2. Острая гипоксия (в родах)


Причины гипоксического поражения ЦНС:1. Хроническая гипоксия плода (ХВУГП) - любое неблагополучное течение беременности (ПН, гестоз).2. Острая гипоксия

Слайд 11Ведущие механизмы развития острой гипоксии и асфиксии:
1. Прерывание кровотока через

пуповину (узлы, обвитие);
2. Нарушение обмена газов через плаценту (отслойка плаценты);
3.

Неадекватная гемоперфузия материнской части плаценты (чрезмерно активные схватки, артериальная гипотензия или гипертензия у матери);
4. Недостаточная оксигенация крови матери (тяжелые анемии, сердечно-сосудистые заболевания, ДН);
5. Недостаточность дыхательных усилий новорожденного (ятрогенная — медикаменты, антенатальное поражение мозга, ВПР легких и т.д.).
Ведущие механизмы развития острой гипоксии и асфиксии:1. Прерывание кровотока через пуповину (узлы, обвитие);2. Нарушение обмена газов через

Слайд 12Наиболее высокий риск асфиксии:
У недоношенных;
У переношенных;
У детей со ЗВУР;
У новорожденных

от многоплодной беременности;
У детей с эндокринной патологией и нарушением обмена

веществ.
Наиболее высокий риск асфиксии:У недоношенных;У переношенных;У детей со ЗВУР;У новорожденных от многоплодной беременности;У детей с эндокринной патологией

Слайд 13Причины постнатальных эпизодов тяжелой гипоксии, приводящих к ППЦНС:
Приступы апноэ;
Остановка сердца;
Шок;
Стойкий

судорожный синдром.

Причины постнатальных эпизодов тяжелой гипоксии, приводящих к ППЦНС:Приступы апноэ;Остановка сердца;Шок;Стойкий судорожный синдром.

Слайд 14Гипоксия
- пусковой механизм нарушения мозгового кровотока,
- каскадный процесс повреждения

тканей и как следствие вызывающий некроз нейронов

- Гипоксия является,

Гипоксия- пусковой механизм нарушения мозгового кровотока, - каскадный процесс повреждения тканей и как следствие вызывающий некроз нейронов-

Слайд 15

Гипоксия
Церебральная Кровоизлияние

ишемия

Слайд 16Факторы, участвующие в патогенезе ГИЭ:
Нарушение сосудистой ауторегуляции мозгового кровотока (опасно

как снижение АД, так и его повышение);
Изменение реологических свойств крови

(полицитемия, повышение вязкости);
Изменение электролитного баланса крови;
Цитотоксический и вторичный (вазогенный) отек мозга;
Повышение внутричерепного давления.

Факторы, участвующие в патогенезе ГИЭ:Нарушение сосудистой ауторегуляции мозгового кровотока (опасно как снижение АД, так и его повышение);Изменение

Слайд 17 ВАЖНО!

Клиника зависит
от локализации поражения мозга.

ВАЖНО!Клиника зависит от локализации поражения мозга.

Слайд 18У доношенных детей:
В патологический процесс вовлекаются преимущественно
кора и парасагитальные

зоны головного мозга.

У доношенных детей:В патологический процесс вовлекаются преимущественно кора и парасагитальные зоны головного мозга.

Слайд 19У недоношенных детей:
Перивентрикулярная лейкомаляция-размягчение белого вещества мозга
(коагуляционный некроз)

склероз

через 2 нед.
микрополости (порэнцефалия)

далее часто ДЦП.
У недоношенных детей:Перивентрикулярная лейкомаляция-размягчение белого вещества мозга (коагуляционный некроз) склероз

Слайд 20Факторы, способствующие поражению мозга
Нарушения гемостаза;
метаболические нарушения (гипогликемия, гипокальциемия, гипомагниемия),

вызывающие судорожный синдром, который усиливает гипоксию;
дефицит тормозных(ГАМК) и преобладание синтеза

возбуждающих медиаторов (глутамат);
инфекции;
Интоксикация (гипербилирубинемия).
Факторы, способствующие поражению мозга Нарушения гемостаза;метаболические нарушения (гипогликемия, гипокальциемия, гипомагниемия), вызывающие судорожный синдром, который усиливает гипоксию;дефицит тормозных(ГАМК)

Слайд 21ВАЖНО!
В постгипоксический период продолжает развиваться
поражение мозга.

ВАЖНО!  В постгипоксический период продолжает развиваться поражение мозга.

Слайд 22 Причины:
Эффект реоксигенации — действие высоких концентраций кислорода;
Длительная гипоперфузия и

артериальная гипотензия;
Активность протеолитических ферментов;
Перекисное окисление липидов и свободные радикалы;
Интрацеллюлярное накопление

кальция.
Причины: Эффект реоксигенации — действие высоких концентраций кислорода;Длительная гипоперфузия и артериальная гипотензия;Активность протеолитических ферментов;Перекисное окисление липидов

Слайд 23ВАЖНО!
Мозг детей раннего возраста обладает большими пластическими и репаративными возможностями.

ВАЖНО!Мозг детей раннего возраста обладает большими пластическими и репаративными возможностями.

Слайд 24 Клиника
характеризуется стадийностью и волнообразностью

Клиника характеризуется стадийностью и волнообразностью

Слайд 25Выделяют периоды ППЦНС:
Острый
(от 7-10 дней до 1 мес.).
Восстановительный:
-

ранний (до 4 мес.);
- поздний (до 1-2 лет).

Выделяют периоды ППЦНС:Острый (от 7-10 дней до 1 мес.).Восстановительный: - ранний (до 4 мес.); - поздний (до

Слайд 26 Степень тяжести:
По выраженности неврологической симптоматики и

нарушению общего состояния выделяют 3 степени тяжести церебральной ишемии:
легкое;
средней тяжести;
тяжелое.

Степень тяжести:  По выраженности неврологической симптоматики и нарушению общего состояния выделяют 3 степени тяжести церебральной

Слайд 27Синдромы церебральной ишемии в остром периоде:
I ст: возбуждение (синдром гипервозбудимости)

и/или угнетение ЦНС (не более 7 сут);
II ст: синдром угнетения,

умеренно выраженный гипертензивно-гидроцефальный, локальные судороги;
III ст: симптомы прекомы, комы; генерализованный судорожный,выраженный гипертензивно-гидроцефальный.
Синдромы церебральной ишемии в остром периоде:I ст: возбуждение (синдром гипервозбудимости) и/или угнетение ЦНС (не более 7 сут);II

Слайд 28Синдромы в восстановительном периоде:
С. двигательных нарушений;
С. вегетативно-висцеральных расстройств (температурная лябильность,

вазолябильность, потливость, рвота, срыгивания, нарушения сердечного ритма, запоры, диарея);
астено-невротический с.;
С.

задержки моторного развития;
С. задержки психического, предречевого, речевого развития

Синдромы в восстановительном периоде:С. двигательных нарушений;С. вегетативно-висцеральных расстройств (температурная лябильность, вазолябильность, потливость, рвота, срыгивания, нарушения сердечного ритма,

Слайд 29Диагностика
1. анамнез подробный (с учетом повреждающих факторов);
2. клинические

проявления (часто в остром периоде симптоматика сходная);
3. дополнительные методы

обследования.
На первом этапе постоянный мониторинг: клинический, биохимический, функциональный, желательно-микробиологический.
Диагностика 1. анамнез подробный (с учетом повреждающих факторов); 2. клинические проявления (часто в остром периоде симптоматика сходная);

Слайд 30Диагностика - клинические проявления:
Неврологический статус:
поведение ребенка,
коммуникабельность,
мышечный тонус,
безусловные рефлексы,
спонтанная

двигательная активность,
осмотр головки ребенка (форма, симметричность, величина, роднички, швы, глазные

симптомы).
Диагностика -  клинические проявления:  Неврологический статус:поведение ребенка,коммуникабельность,мышечный тонус,безусловные рефлексы,спонтанная двигательная активность,осмотр головки ребенка (форма, симметричность,

Слайд 31Патологические глазные симптомы:
Разная величина глазных щелей;
птоз;
анизокория;
нистагм (чаще горизонтальный);
симптом Грефе;
симптом «заходящего

солнца».

Патологические глазные симптомы:Разная величина глазных щелей;птоз;анизокория;нистагм (чаще горизонтальный);симптом Грефе;симптом «заходящего солнца».

Слайд 32Симптом Грефе, симптом «заходящего солнца».

Симптом Грефе, симптом «заходящего солнца».

Слайд 33Дополнительные методы обследования:
УЗИ гол. мозга (нейросонография),
допплерографическое исследование церебральной гемодинамики;


спинномозговая пункция - по показаниям;
осмотр глазного дна;
компьютерная томография (если

подозрение на опухоль, врожденную кисту гол. Мозга, порок развития);
МРТ (по показаниям);


Дополнительные методы обследования: УЗИ гол. мозга (нейросонография),допплерографическое исследование церебральной гемодинамики; спинномозговая пункция - по показаниям;осмотр глазного дна;

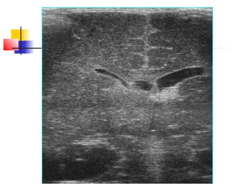
Слайд 35передний рог левого бокового желудочка
полость
прозрачной перегородки
III желудочек
передний рог правого

бокового желудочка
фрагменты ликворных путей,
визуализируемые в стандартном
фронтальном скане,
имеют

собственное название:
«тюльпан»
передний рог левого бокового желудочкаполость прозрачной перегородкиIII желудочекпередний рог правого бокового желудочкафрагменты ликворных путей, визуализируемые в стандартном

Слайд 36Перивентрикулярное кровоизлияние слева
норма
типично для недоношенных детей
гиперэхогенное включение в проекции герминального

матрикса
расширение бокового желудочка на стороне поражения

Перивентрикулярное кровоизлияние слеванорматипично для недоношенных детейгиперэхогенное включение в проекции герминального матриксарасширение бокового желудочка на стороне поражения

Слайд 38отклонение луча еще более кзади: скан через сосудистые сплетения и

затылочные доли
правое
сосудистое сплетение
левое
сосудистое сплетение

отклонение луча еще более кзади: скан через сосудистые сплетения и затылочные долиправоесосудистое сплетениелевоесосудистое сплетение

Слайд 39норма
КИСТА СОСУДИСТОГО СПЛЕТЕНИЯ
кистозное включение в левом
сосудистом сплетении

нормаКИСТА СОСУДИСТОГО СПЛЕТЕНИЯкистозное включение в левомсосудистом сплетении

Слайд 40Дополнительные методы обследования:
ЭЭГ;
рентгенография ШОП;
Миография;
ЭХО-КГ;
биохимическое обследование;
микробиологическое обследование.

Дополнительные методы обследования:ЭЭГ;рентгенография ШОП;Миография;ЭХО-КГ;биохимическое обследование;микробиологическое обследование.

Слайд 41Лечение в остром периоде:
Оптимальные условия внешней среды (температура, влажность, щадящий

режим, фиксация головки);
Кормление индивидуальное;
Профилактическое введение вит.К в/м;
Ранняя адекватная оксигенотерапия;
Гемостатическая терапия

при кровоизлияниях;

Лечение  в остром периоде:Оптимальные условия внешней среды (температура, влажность, щадящий режим, фиксация головки);Кормление индивидуальное;Профилактическое введение вит.К

Слайд 42Лечение в остром периоде:
Ликвидация гипотензии, гиповолемии — поддержание адекватной перфузии

мозга;
Доставка мозгу энергии в виде глюкозы;
Коррекция выявленных метаболических нарушений;
Посиндромная терапия

(при коме-пирацетам, при судорогах-противосудорожная терапия; при отеке мозга- дегидратационная терапия).

Лечение  в остром периоде:Ликвидация гипотензии, гиповолемии — поддержание адекватной перфузии мозга;Доставка мозгу энергии в виде глюкозы;Коррекция

Слайд 43Лечение отека мозга:
ИВЛ в режиме гипервентиляции;
ограниченная (по скорости и объему)

инфузионная терапия;
маннитол;
салуретики.

Лечение отека мозга:ИВЛ в режиме гипервентиляции;ограниченная (по скорости и объему) инфузионная терапия;маннитол;салуретики.

Слайд 44Лечебная гипотермия

Лечебная гипотермия

Слайд 45Лечение в восстановительном периоде:
Медикаментозная терапия:
ноотропы;
вазоактивные препараты (кавинтон, циннаризин, эскузан);

курсы витаминов В6, В12;
посиндромная терапия.

Лечение  в восстановительном периоде:Медикаментозная терапия: ноотропы;вазоактивные препараты (кавинтон, циннаризин, эскузан); курсы витаминов В6, В12; посиндромная терапия.

Слайд 46Лечение в восстановительном периоде:
Немедикаментозная терапия:
Массаж,
физиотерапевтические методы,
лечебная гимнастика,
ортопедические укладки,шины, воротник

Шанца,


Лечение  в восстановительном периоде:Немедикаментозная терапия: Массаж,физиотерапевтические методы,лечебная гимнастика,ортопедические укладки,шины, воротник Шанца,

Слайд 48Лечение в восстановительном периоде:
ароматерапия,
музыкотерапия,
плавание;
сухая иммерсия;
занятия с животными.

Лечение  в восстановительном периоде:ароматерапия, музыкотерапия,плавание;сухая иммерсия;занятия с животными.

Слайд 49Очень эффективны материнский уход, забота и любовь.

Очень эффективны материнский уход, забота и любовь.

Слайд 50Недоношенный ребенок в «гнездышке»

Недоношенный ребенок в «гнездышке»

Слайд 51Прогноз
При I ст. — благоприятный;
При II ст. — сомнительный;
При III

ст. — неблагоприятный для выздоровления, возможно формирование органического поражения ЦНС.

ПрогнозПри I ст. — благоприятный;При II ст. — сомнительный;При III ст. — неблагоприятный для выздоровления, возможно формирование

Слайд 52Неблагоприятные исходы:
Развитие ДЦП;
Прогрессирующая декомпенсированная гидроцефалия;
Эпи -синдром;
Грубое отставание нервно-психического развития;
Поражение зрительного,

слухового анализатора, грубое косоглазие;
Синдром дефицита внимания игиперактивности.

Неблагоприятные исходы:Развитие ДЦП;Прогрессирующая декомпенсированная гидроцефалия;Эпи -синдром;Грубое отставание нервно-психического развития;Поражение зрительного, слухового анализатора, грубое косоглазие;Синдром дефицита внимания игиперактивности.

Слайд 55Профилактика
Исключить действие
повреждающих факторов.

ПрофилактикаИсключить действие повреждающих факторов.

Слайд 56Спасибо за внимание!

Спасибо за внимание!

Обратная связь

Если не удалось найти и скачать доклад-презентацию, Вы можете заказать его на нашем сайте. Мы постараемся найти нужный Вам материал и отправим по электронной почте. Не стесняйтесь обращаться к нам, если у вас возникли вопросы или пожелания:

Email: Нажмите что бы посмотреть 

Что такое TheSlide.ru?

Это сайт презентации, докладов, проектов в PowerPoint. Здесь удобно  хранить и делиться своими презентациями с другими пользователями.


Для правообладателей

Яндекс.Метрика