Слайд 2
Гаметогенез 
	
	Развитие половых клеток называется гаметогенезом и происходит в половых
                                                            
                                    
железах. 
		Суть гаметогенеза состоит в образовании из диплоидных стволовых предшественников
                                    половых клеток высокодифференцированных клеток (сперматозоидов и овоцитов) с гаплоидным набором хромосом.
		
                                
                            							
														
						 
											
                            Слайд 3
Гаметогенез 
		Развитие мужских половых клеток (сперматогенез) включает 4 периода: 
1.
                                                            
                                    
размножения;
2. роста;
3. созревания;
4. формирования. 
	
	В результате сперматогенеза возникают клетки (сперматозоиды),
                                    содержащие Х- или У-половую хромосому.
		
	
                                
                            							
														
						 
											
                            Слайд 4Гаметогенез
В образовании гамет различают три фазы: фазу размножения, фазу роста,
                                                            
                                    фазу созревания. В сперматогенезе имеется еще одна фаза — фаза
                                    формирования.
Этапы гаметогенеза
Процесс образования сперматозоидов называется сперматогенезом, а образование яйцеклеток — овогенезом.
                                
 
                            							
														
						 
											
                            Слайд 5Фаза размножения: 
Диплоидные клетки многократно делятся митозом. Их называют овогонии
                                                            
                                    и сперматогонии. Набор хромосом 2n.
Фаза роста: 
Сущность этой фазы —
                                    рост сперматогоний и овогоний, кроме того, в эту фазу происходит репликация ДНК, каждая хромосома становится двухроматидной (2n 4с). Образовавшиеся клетки называются овоциты 1-го порядка и сперматоциты 1-го порядка.
Гаметогенез
                                
 
                            							
														
						 
											
                            Слайд 6Фаза созревания: 
Сущность фазы — мейоз. В первое мейотическое деление
                                                            
                                    вступают гаметоциты 1-го порядка. В результате первого мейотического деления образуются
                                    гаметоциты 2-го порядка (набор хромосом n2с), которые вступают во второе мейотическое деление, и образуются клетки с гаплоидным набором хромосом (nc). Овогенез на этом этапе практически заканчивается, а сперматогенез включает еще одну фазу, во время которой сперматозоиды приобретают свою специфическую структуру.
Гаметогенез
                                
 
                            							
														
						 
											
                            Слайд 7
Гаметогенез 
Развитие женских половых клеток (овогенез) состоит из 3 периодов:
1.
                                                            
                                    
размножения;
2. роста;
3. созревания. 
	В результате овогенеза образуются клетки (овоциты), содержащие
                                    только Х-половую хромосому. 
	За некоторыми исключениями, мужской и женский гаметогенезы протекают однотипно.
                                
                            							
														
						 
											
                            Слайд 8Прогенез -это период развития и созревания половых клеток — яйцеклеток
                                                            
                                    
и сперматозоидов. 
                                                                    
                            							
														
						 
											
                            Слайд 9Прогенез
Подготавливаясь к оплодотворению, мужские и женские гаметы проходят стадии мейоза
                                                            
                                    
и цитодифференцировки. Цель у них двойственная:
Уменьшение числа хромосом с диплоидного
                                    (2n, как в соматических клетках) до гаплоидного (1n, как в зрелых половых клетках) (плоидия – это число копий одной хромосомы). Это достигается через деления созревания (мейотические деления), которые необходимы для того, чтобы после слияния мужской и женской гамет восстановился диплоидный набор хромосом.
Изменение формы половых клеток в ходе подготовки к оплодотворению. Мужские половые клетки первоначально крупные и округлые, теряют почти всю цитоплазму и приобретают головку и хвостик. Женские половые клетки, напротив, увеличиваются в размере за счет накопления цитоплазмы, достигая диаметра свыше 120 мкм.
                                
                            							
														
						 
											
                            Слайд 10Мейоз
Мейоз (от греч. méiosis — уменьшение), редукционное деление, в результате
                                                            
                                    
которого:
•Происходит уменьшение (редукция) числа хромосом в два раза и одна
                                    диплоидная клетка (содержащая два набора хромосом) после двух быстро следующих друг за другом делений даёт начало 4 гаплоидным (содержащим по одному набору хромосом);
•Происходит рекомбинация (перетасовка) генетического материала, вследствие которой возникают новые сочетания генов.
                                
                            							
														
						 
											
                            Слайд 11Типы мейоза
Зиготный – наблюдается у низших растений сразу после образования
                                                            
                                    
зиготы.
Гаметный – происходит в гаметообразующих клетках животных и человека.
Споровый (промежуточный)
                                    – протекает в микро- и макроспороцитах в фазу бутонизации цветковых растений.
                                
                            							
														
						 
											
                            Слайд 12Фазы мейоза
В мейозе выделяют две фазы:
Во время 1-го деления созревания
                                                            
                                    
происходит кроссинговер и обмен отцовским и материнским генетическим материалом в
                                    каждой паре гомологичных хромосом. (C,D). Эта фаза мейоза предполагает четкое распознавание и образование пар гомологичных хромосом (A,B) с формированием ими синаптонемного комплекса для обмена генетическим материалом. 
Синапсис – это процесс образования пар гомологичных хромосом, в ходе которого обе хромосомы из каждой гомологичной пары выстраиваются друг вдоль друга (А,В).
                                
                            							
														
						 
											
											
                            Слайд 14Первая фаза мейоза включает интерфазу, профазу, анафазу и телофазу.
В интерфазе
                                                            
                                    
есть G1, S, и G2 фазы, как и при митозе.
                                    Во время S фазы происходит удвоение ДНК исходной диплоидной клетки так, что каждая хромосома становится представленной двумя сестринскими хроматидами.
Профаза 1-го мейотического деления включает лептотену, зиготену, пахитену, диплотену и диакинез. Во время этой профазы гомологичные хромосомы образуют пары и претерпевают рекомбинацию генетического материала с переходом от разделенных отцовской и материнской хромосом к синаптонемному комплексу, облегчающему обмен (кроссинговер) участками между сестринскими хроматидами отцовской и материнской хромосом.
                                
                            							
														
						 
											
											
											
											
                            Слайд 18Рекомбинация
Синаптоменальный комплекс служит основой, на которой образуются рекомбинационные узелки. Вдоль
                                                            
                                    
синаптонемального комплекса начинает двигаться белковый шарик, внутри которого происходит протаскивание
                                    рядом гомологичных участков ДНК.
ДНК в синаптонемальном комплексе собрана в петли. Рекомбинационный узелок вытаскивает петли и протаскивает их через себя.
Рекомбинационный пузырек движется по синаптонемальному комплексу и протаскивает хромосомы через себя. В какой-то момент делается разрыв и рекомбинация на локальном участке заканчивается. В итоге, участки ДНК, разные по происхождению (от отца и от матери) оказываются смешанными в составе одной цепи ДНК.
                                
                            							
														
						 
											
											
                            Слайд 20Мутации в ДНК от отца отличаются от мутаций в ДНК
                                                            
                                    
от матери. Это значит, что в итоге некоторые участки новой
                                    мозаичной ДНК будут некомплементарны друг другу. Такие некомплементарные участки позже будут отрепарированы. Какая нить ДНК будет репарирована по матрице другой — дело случая. После репарации негомологичные участки исчезнут, и в каждой из гомологичных хромосом получится новая смесь признаков.
Разница между материнской цепью и отцовской небольшая. Если бы она была большая, половое размножение было бы невозможно для этой пары особей. Разницу в ДНК можно сравнить с одной и той же книгой, но разных издательств: опечатки есть в разных местах и в той и в другой книге, но это не затрудняет понимания.
В таком виде как на рисунке хромосомы остаются до конца метафазы 1 мейоза. Репарация займется негомологичными участками после метафазы, иногда после окончания мейоза.
                                
                            							
														
						 
											
											
											
											
											
											
                            Слайд 26Митоз и мейоз
До начала 1-го деления созревания в гамете число
                                                            
                                    
ДНК составляет 4n, а хромосом – 2n (как при митозе).
При
                                    1-ом делении созревания первое событие – это образование пар гомологичных хромосом (бивалентов), кроме половых хромосом, в то время как при митозе гомологичные хромосомы не образуют пар.
Второе событие при 1-ом делении созревания – это кроссинговер (обмен сегментами хроматид) между составляющими пару гомологичными хромосомами.
После 1-го деления созревания дочерние клетки получают не сестринские хроматиды, как при митозе, а целую удвоенную хромосому из каждой пары гомологичных хромосом.
Перед 2-ым делением созревания не происходит удвоения ДНК, в противоположность митозу. Перед 2-ым делением созревания число хромосом в гамете 1n, а ДНК – 2n.
После 2-го деления созревания число хромосом и ДНК в клетке - 1n.
                                
                            							
														
						 
											
                            Слайд 27Мужские половые клетки созревают в семеннике. Сперматогенный эпителий извитых семенных
                                                            
                                    канальцев содержит сперматогенные клетки, подвергающиеся митозу, мейозу и спермиогенезу. 
Во
                                    время периода полового созревания диплоидные клетки в семенных канальцах семенников делятся митотически, в результате чего образуется множество более мелких клеток, называемых сперматогониями.
Сперматогонии вступают в фазу роста и увеличивается в размерах. Увеличившиеся в размерах сперматогонии называются сперматоцитами 1-го порядка. 
Сперматогенез
                                
 
                            							
														
						 
											
											
                            Слайд 29Период созревания начинается тогда, когда сперматоцит 1-го порядка подвергается первому
                                                            
                                    мейотическому делению, в результате чего образуются два сперматоцита 2-го порядка.
Затем
                                    эти вновь образовавшиеся клетки делятся (второе мейотическое деление), и в результате образуются гаплоидные сперматиды. Таким образом, из одного сперматоцита 1-го порядка возникают четыре гаплоидных сперматиды. 
Период формирования сперматозоидов характеризуется тем, что первично шаровидные сперматиды превращаются в сперматозоиды.
Процесс превращения сперматид в сперматозоиды называется спермиогенезом. 
Сперматогенез
                                
 
                            							
														
						 
											
                            Слайд 30Аппарат Гольджи перемещается к одному из полюсов ядра и образует
                                                            
                                    акросому. Центриоли занимают место у противоположного полюса ядра. У основания
                                    жгутика в виде спирального чехла концентрируются митохондрии. Почти вся цитоплазма сперматиды отторгается. 
Сперматогенез
                                
 
                            							
														
						 
											
											
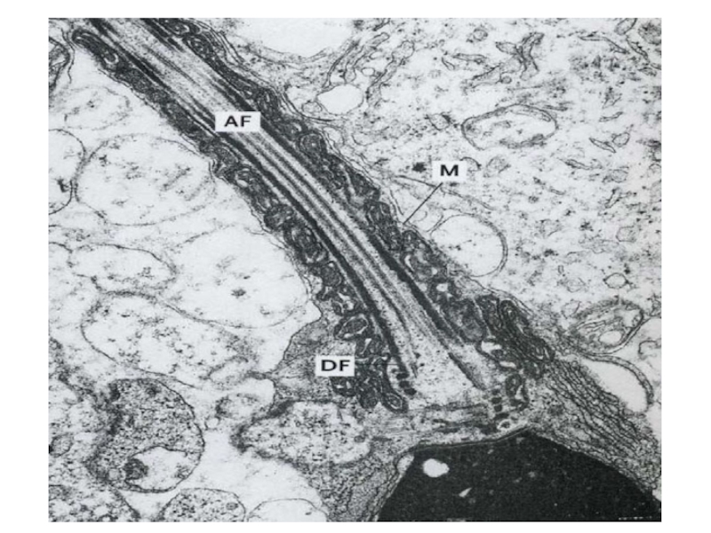
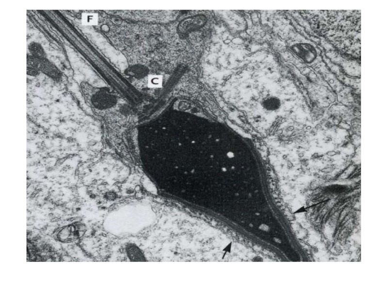
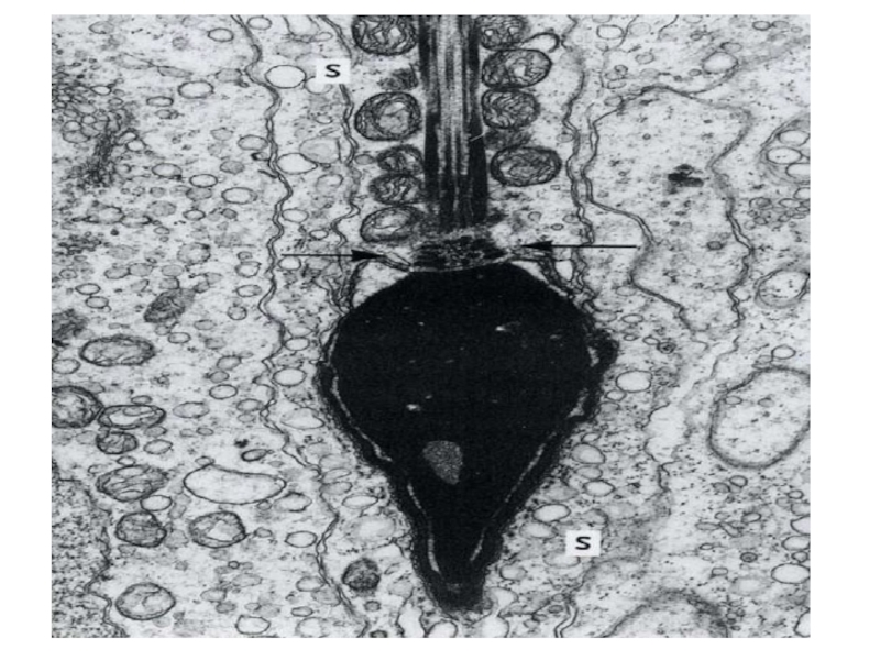
                            Слайд 32Строение сперматозоида
Головка сперматиды состоит преимущественно из ядра (звездочка), а передние
                                                            
                                    
две трети покрыты акросомой (акросомальный чехлик) – органеллой, содержащей литические
                                    ферменты, играющие важную роль в оплодотворении. Хроматин в ядре сперматиды сильно конденсирован. Шейка содержит комплекс центриолей (C). Хвостик (Т) включает промежуточный, главный и концевой отдел. Митохондрии срединного отдела генерируют энергию для подвижности сперматозоида.
Хвостик (жгутик) соединен с головкой в области шейки через связующий сегмент (стрелки), содержащий плотные сегментированные колонки. Сперматида окружена цитоплазмой клетки Сертоли.
В промежуточном отделе хвостика есть центральная осевая нить (AF, аксонема), содержащая микро- трубочки, образующие, как в ресничке, структуры типа 9+2, Аксонема окружена наружными плотными фибриллами (DF), прикрепленными к шейке, и спиралью из митохондрий, обеспечивающих подвижность сперматозоида. Плотные фибриллы и осевая нить простираются каудально примерно на 40 мкм, при этом сужаясь и образуя главный и концевой отдел хвостика.
                                
                            							
														
						 
											
											
											
											
                            Слайд 36
При исследовании спермы в клинической практике проводят подсчет различных форм
                                                            
                                    
сперматозоидов в окрашенных мазках, подсчитывая их процентное содержание - спермограмма
                                    
                                
                            							
														
						 
											
                            Слайд 37Все периоды развития яйцеклеток осуществляются у животных в яичниках. В
                                                            
                                    отличие от образования сперматозоидов, которое происходит только после достижения половой
                                    зрелости (в частности, у позвоночных животных), процесс образования яйцеклеток начинается еще у зародыша.
Период размножения полностью осуществляется на зародышевой стадии развития и заканчивается к моменту рождения (у млекопитающих и человека). 
Овогенез
                                
 
                            							
														
						 
											
											
											
                            Слайд 40Зона размножения. Овогонии подвергаются митотическому делению. 
Зона роста. Дочерние клетки,
                                                            
                                    возникшие в результате деления овогоний, после репликации ДНК называются овоцитами
                                    1-го порядка (2n4c). Овоциты увеличиваются в размерах, накапливая питательные вещества.
Зона созревания. Овоциты 1-го порядка вступают в профазу I, которая останавливается на стадии диплотены. Происходит выпетливание «генов домашнего хозяйства», хромосомы имеют вид «ламповых щеток».
Овогенез
                                
 
                            							
														
						 
											
											
                            Слайд 42В 12-13 лет ежемесячно один из овоцитов 1-го порядка продолжает
                                                            
                                    мейоз. В результате первого мейотического деления возникают две дочерние клетки.
                                    Одна из них, относительно мелкая, называется первым полярным тельцем, а другая, более крупная – овоцит 2-го порядка.
Овогенез
                                
 
                            							
														
						 
											
                            Слайд 43Второе деление мейоза осуществляется до стадии метафазы II и продолжится
                                                            
                                    только после того, как ооцит 2-го порядка вступит во взаимодействие
                                    со сперматозоидом, и произойдет оплодотворение.
Таким образом, из яичника выходит, строго говоря, не яйцеклетка, а овоцит 2-го порядка.
Лишь после оплодотворения он делится, в результате чего возникает яйцеклетка (или яйцо) и второе полярное тельце. Однако традиционно для удобства яйцеклеткой называют овоцит 2-го порядка, готовый к взаимодействию со сперматозоидом. Таким образом, в результате овогенеза образуется одна нормальная яйцеклетка и три полярных тельца.
Овогенез
                                
 
                            							
														
						 
											
											
                            Слайд 45Яйцеклетка млекопитающих была открыта в 1821 году К.М.Бэром. Окончательное созревание
                                                            
                                    яйцеклетки происходит уже после оплодотворения, поэтому фактически зрелой яйцеклетки не
                                    существует.
Размер яйцеклеток колеблется в широких пределах — от нескольких десятков микрометров до нескольких сантиметров (яйцеклетка человека — около 100 мкм, яйцо страуса, имеющее длину со скорлупой порядка 155 мм — тоже яйцеклетка).
У большинства животных яйцеклетки имеют дополнительные оболочки, располагающиеся поверх цитоплазматической мембраны. В зависимости от происхождения различают: Первичные оболочки, возникающие в результате выделения ооцитом и, возможно, фолликулярными клетками веществ, образующих слой, контактирующий с наружной цитоплазматической мембраной яйцеклетки. У млекопитающих эта оболочка называется блестящей.
Овогенез
                                
 
                            							
														
						 
											
                            Слайд 46Вторичные оболочки, образованные выделениями фолликулярных клеток яичника. Имеются не у
                                                            
                                    всех яиц. Вторичная оболочка яиц многих насекомых, например, содержит канал
                                    — микропиле, через который сперматозоид проникает в яйцеклетку.
Третичные оболочки, образующиеся за счет деятельности специальных желез яйцеводов. Например, у птиц происходит образование белковой, подскорлуповой пергаментной, скорлуповой и надскорлуповой оболочек.
Вторичные и третичные оболочки, как правило, образуются у яйцеклеток животных, зародыши которых развиваются во внешней среде. Их строение соответствует условиям среды.
Овогенез
                                
 
                            							
														
						 
											
											
                            Слайд 48Поскольку у млекопитающих наблюдается внутриутробное развитие, их яйцеклетки имеют только
                                                            
                                    первичную оболочку, поверх которой располагается лучистый венец — слой фолликулярных
                                    клеток, доставляющих к яйцеклетке питательные вещества.
В зависимости от количества желтка, содержащегося в яйцеклетках, различают: алецитальные яйца (млекопитающие, плоские черви); изолецитальные яйца (ланцетник, морской еж); умеренно телолецитальные яйца (рыбы, земноводные); резко телолецитальные яйца (птицы).
Овогенез
                                
 
                            							
														
						 
											
                            Слайд 49В связи с накоплением питательных веществ, у яйцеклеток появляется полярность.
                                                            
                                    
Противоположные полюсы называются вегетативным и анимальным. Поляризация у разных животных
                                    выражена неодинаково и зависит от количества и распределения желтка.
                                
                            							
														
						 
											
                            Слайд 50Геномные мутации 
Полиплоидии kn
k = 1 - гаплоидия
k = 2
                                                            
                                    – норма
k = 3 - триплоидия
k = 4 - тетраплоидия
и
                                    так далее
Анеуплоидии (гетероплоидии)
2n+/-k,где к не равно n.
2n + 1- трисомия
2n + 2 - тетрасомия
2n – 1- моносомия
2n – 2 - нулисомия 
                                
 
                            							
														
						 
											
											
                            Слайд 52Полиплоидия
у растений приводит к увеличению размеров всех частей тела
                            							
														
						 
											
                            Слайд 53У животных и человека приводит к гибели плода
                            							
														
						 
											
                            Слайд 54При триплоидии (3n) характер нарушения зависит от того, чьих хромосомных
                                                            
                                    набора 2, а чьих один
2 от матери + 1 от
                                    отца – плод выглядит нормально, но плацента недоразвита
2 набора от отца + 1 от матери – маленький плод, но очень большая плацента
Пузырный занос
                                
 
                            							
														
						 
											
                            Слайд 55Анеуплоидии – изменение количества отдельных хромосом
Чем меньше генов в хромосоме,
                                                            
                                    
тем вероятнее, что плод с анеуплоидией доживет до рождения.
Абсолютное большинство
                                    погибает на ранних сроках беременности.
                                
                            							
														
						 
											
                            Слайд 56Примерное количество генов в хромосомах человека
                            							
														
						 
											
                            Слайд 57Анеуплоидии возникают при нарушениях расхождения хромосом
                            							
														
						 
											
                            Слайд 58Есть связь между частотой анеуплоидии и возрастом матери
                            							
														
						 
											
											
											
											
											
											
                            Слайд 64Синдром Эдвардса, трисомия 18
Стопа-качалка
                            							
														
						 
											
                            Слайд 65Синдром Шерешевского-Тернера, 45,ХО
                            							
														
						 
											
                            Слайд 66Плод с синдромом Шерешевского-Тёрнера
                            							
														
						 
											
                            Слайд 67Синдром Клайнфелтера (более одной Х при наличии У)
Женский тип оволосения
                                                            
                                    
и гинекомастия
                                                                    
                            							
														
						 
											
                            Слайд 68Анеуплоидии по половым хромосомам не приводят к тяжелым нарушениям развития
                                                            
                                    
благодаря способности Х хромосомы образовывать тельце Барра
                                                                    
                            							
														
						 
											
                            Слайд 69Хромосомные карты
Генетические – где лежит какой ген
Цитологические – по окраске
                                                            
                                    
Физические – основаны на точном расстоянии в базах, кило-, мега-
                                    и гига базах
Рестрикционные – по местам рестрикции – разрезания специальными ферментами
1 сМ (сентиморган = морганида – единица расстояния между генами, при которой вероятность кроссинговера 1%, соответствует примерно 1 мегабазе
Гаплоидный геном человека составляет примерно 3 300 000 000, т.е. 3300 сМ
                                
                            							
														
						 
											
                            Слайд 70Примеры записи хромосомного диагноза
46,XX 
46,XY
46,XX,del(14)(q23) 
Female with 46 chromosomes with
                                                            
                                    
a deletion of chromosome 14 on the long arm (q)
                                    at band 23. 
46,XY,dup(14)(q22q25) 
Male with 46 chromosomes with a duplication of chromosome 14 on the long arm (q) involving bands 22 to 25. 
46,XX,r(7)(p22q36) 
Female with 46 chromosomes with a 7 chromosome ring. The end of the short arm (p22) has fused to the end of the long arm (q36) forming a circle or 'ring' 
47,XY,+21 
Male with 47 instead of 46 chromosomes and the extra chromosome is a 21. (Down Syndrome) 
                                
                            							
														
						 
											
											
                            Слайд 72Задачи
1. В клетке животного диплоидный набор хромосом равен 34. Определите
                                                            
                                    
количество молекул ДНК перед митозом, после митоза, после первого и
                                    второго деления мейоза.
2.Соматические клетки дрозофилы содержат 8 хромосом. Определите число хромосом и молекул ДНК в профазе, анафазе и после завершения телофазы митоза. Объясните полученные результаты.
3. В соматических клетках дрозофилы содержится 8 хромосом. Определите, какое число хромосом и молекул ДНК содержится при гаметогенезе в ядрах перед делением в интерфазе и в конце телофазы мейоза 1. Объясните, как образуется такое число хромосом и молекул ДНК.
4. Набор хромосом соматической клетки зеленой лягушки 26. Определите, какой набор хромосом имеют сперматоциты 2 порядка, сперматозоиды, а также клетки головастика. Ответ поясните.