Разделы презентаций


Предопухолевые заболевания и профилактика злокачественных новообразований (ЗНО)

Содержание

Рак печени или печеночноклеточный рак – злокачественная опухоль, которая локализуется в печени. Новообразование происходит из клеток печени или является метастазом другой (первичной) опухоли. Метастазы в печени развиваются намного чаще, чем первичные опухоли.

Слайды и текст этой презентации

Слайд 1Предопухолевые заболевания и профилактика злокачественных новообразований (ЗНО) печени.
Врач-инфекционист Донгак А.А.

Предопухолевые заболевания и профилактика злокачественных новообразований (ЗНО) печени.Врач-инфекционист Донгак А.А.

Слайд 2Рак печени или печеночноклеточный рак – злокачественная опухоль, которая локализуется в

печени.
Новообразование происходит из клеток печени или является метастазом другой

(первичной) опухоли.
Метастазы в печени развиваются намного чаще, чем первичные опухоли. Это связано с характером кровообращения и функцией печени в организме.
Рак печени или печеночноклеточный рак – злокачественная опухоль, которая локализуется в печени. Новообразование происходит из клеток печени или

Слайд 3Какие функции выполняет печень в нашем организме?

В печени происходит около

20 миллионов химических реакций в минуту.
участвует в регуляции уровня

сахара в крови;
накапливает и хранит питательные вещества (витамины, железо, гликоген);
вырабатывает желчь, которая помогает пищеварению.
синтезирует многие биологически активные вещества и компоненты иммунной системы;
перерабатывает гормоны.
Какие функции выполняет печень в нашем организме?В печени происходит около 20 миллионов химических реакций в минуту. участвует

Слайд 4Какие функции выполняет печень в нашем организме?
Без участия печени не

обходится ни один вид обмена.
Одна из главных функций печени, за

которую мы ее особенно ценим, – очистительная. Почти 95% всех чужеродных веществ поступающих в организм обезвреживаются печенью. Однако, защищая нас от токсинов, печень сама «становится под удар»
Какие функции выполняет печень в нашем организме? Без участия печени не обходится ни один вид обмена.Одна из

Слайд 5Как же происходит процесс очищения пищи, которую мы поставляем нашему

организму?
Воротная вена собирает насыщенную питательными веществами кровь от органов

пищеварения (желудка, кишечника) и несет ее в печень, которая тут же принимается ее фильтровать, обезвреживая и разрушая токсины. Только пройдя через печень питательные вещества всасываются в общий кровоток.
Печень способна восстанавливать свои поврежденные клетки и стимулировать их деление. Однако при постоянном и сильном токсическом воздействии на гепатоциты, инфекционном, паразитарном заболевании и других проблемах процессы регенерации даются ей гораздо тяжелее.
Активнее всего орган работает утром, вечером же, после 18 часов, в нем запускаются восстановительные процессы. Обильно ужиная по вечерам, мы бесцеремонно их нарушаем, заставляя печень участвовать в пищеварении.
Больная печень не в силах полностью обезвредить поступающие к ней нежелательные химические соединения и продукты обмена – они накапливаются в крови и разносятся по всему организму.
Сбои происходят и в других функциях органа, что в конце концов приводит к гастроэнтерологическим, эндокринным, сердечно-сосудистым и многим другим заболеваниям.
Как же происходит процесс очищения пищи, которую мы поставляем нашему организму? Воротная вена собирает насыщенную питательными веществами

Слайд 6Предопухолевые заболевания печени
Предопухолевые заболевания - это заболевания, приводящие к раку;



Предопухолевые заболевания печениПредопухолевые заболевания - это заболевания, приводящие к раку;

Слайд 7Факторы приводящие к ЗНО печени
Производственные процессы
Деревообрабатывающее и мебельное производство, медеплавильное

производство, работа в шахтах, рудниках, производство изопропилового спирта, переработка каменноугольной,

нефтяной и сланцевой смол, газификация угля, производство резины, шин, обуви, производство технического углерода, производство чугуна и стали, производство алюминия, нефтеперерабатывающее производство.



Факторы приводящие к ЗНО печениПроизводственные процессыДеревообрабатывающее и мебельное производство, медеплавильное производство, работа в шахтах, рудниках, производство изопропилового

Слайд 8 Бытовые факторы
Злоупотребление алкогольными напитками.
Табакокурение, в том числе пассивное.
Употребление табачных продуктов

бездымных (нюхательный и жевательный табак).
Сажи бытовые.
Анаболические стероиды. Широко используются в

спорте (в бодибилдинге особенно). Их усвоение происходит в печени, перегружая ее. В результате могут появляться как доброкачественные, так и злокачественные новообразования.

Факторы приводящие к ЗНО печени

 Бытовые факторыЗлоупотребление алкогольными напитками.Табакокурение, в том числе пассивное.Употребление табачных продуктов бездымных (нюхательный и жевательный табак).Сажи бытовые.Анаболические стероиды.

Слайд 9Факторы приводящие к ЗНО печени
Физические факторы
Ионизирующее излучение.
Солнечная радиация.
УФ-радиация (полный спектр)

(100—400 нм).
УФ-А излучение (315—400 нм), УФ-В излучение (280—315 нм), УФ-С

излучение (100—280 нм).
Радон и его короткоживущие дочерние продукты распада.

Факторы приводящие к ЗНО печени Физические факторыИонизирующее излучение.Солнечная радиация.УФ-радиация (полный спектр) (100—400 нм).УФ-А излучение (315—400 нм), УФ-В

Слайд 10Предраковые заболевания печени
Вирус гепатита В, С.
Вирус иммунодефицита человека.
Печеночные трематоды: Clonorchis sinensis;

Opistorchis viverrini; Opistorchis felineus.
Гемохроматоз. Болезнь носит наследственный характер, поэтому люди, имеющие родственников,

переболевших ею, находятся в группе риска. Суть болезни заключается в резком росте количества железа в теле человека. Предупредить последствия можно при своевременном обнаружении и лечении заболевания.
Цирроз печени. Наиболее существенные причины цирроза – употребление алкоголя и заболевание гепатитом С и В. Поэтому скрининг на онкомаркеры пациенты с циррозом проходят в среднем каждые шесть месяцев.
Сифилис. Поражает, в том числе и клетки печени, разрушая их и вызывая желтушные пятна. При определенном течении может привести к появлению злокачественных новообразований.
Сахарный диабет. Статистика показывает, что риск возникновения опухоли в тканях печени для них выше, чем у здорового человека. Особенно, если сахарный диабет совмещается с курением или алкоголизмом, а также другими болезнями этого органа.
Генетическая предрасположенность. Если в семье уже были случаи печеночной онкологии, то такой человек находится в группе риска и обязан регулярно проходить обследования, чтобы выявить болезнь на ранней стадии.
Предраковые заболевания печениВирус гепатита В, С.Вирус иммунодефицита человека.Печеночные трематоды: Clonorchis sinensis; Opistorchis viverrini; Opistorchis felineus.Гемохроматоз. Болезнь носит наследственный характер, поэтому

Слайд 11Основные симптомы
Потеря веса – происходит на фоне общего болезненного состояния

пациента и тотального ухудшения аппетита. Взрослые и дети начинают хуже

есть и «тают» буквально на глазах. При этом у детей отмечаются анорексичные состояния.
Расстройства ЖКТ – могут проявляться по-разному, в частности, в виде изменения стула (понос, запор), тошноты или рвоты, а также метеоризма.
Боль в животе – основная масса пациентов с онкологией печени фиксирует этот симптом. Причем изначально он фиксируется только в области правого подреберья и только при нагрузках. Но в дальнейшем его ощущают и без нагрузок.
Увеличение объема живота – этот симптом обусловлен ростом опухолевых клеток. Часто наблюдается парадоксальное увеличение живота при снижении веса. Является характерным признаком, при появлении которого надо немедленно обратиться к врачу.
Температура около 38°С – возникает из-за интоксикации организма и не сбивается жаропонижающими средствами. Держится на одном уровне продолжительное время.
 Желтуха – появляется, когда опухоль мешает нормальному току желчи. Попадание в кровь продуктов желчи определяется по специфическим желтым пятнам на коже человека, потемнению мочи и осветлению кала, а также по белкам глаз, которые также становятся желтоватого оттенка.
Концентрация жидкости в животе – опухолевые клетки блокируют выход для жидкости в брюшине, что является еще одной причиной его аномального роста при данном заболевании.
гепатомегалия у 50,2% пальпируемое образование у 39,8%


Основные симптомыПотеря веса – происходит на фоне общего болезненного состояния пациента и тотального ухудшения аппетита. Взрослые и

Слайд 12Диагностика
Для первичной диагностики бывает достаточно визуального осмотра, когда врач

с помощью пальпации определяет асцит и наблюдает увеличившийся в объемах

живот.
Лабораторная: снижение количества альбумина, общего белка, коэффициент А/Г<1; Увеличение количества фибриногена В, трансаминаз, альфа-фетопротеин в концентрации более 2000 нг/мл, повышение концентрации раково-эмбрионального антигена у 72,5% больных первичным раком печени.
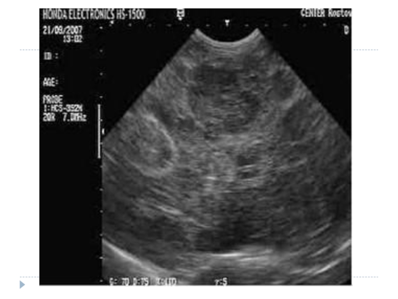
 Ультразвуковое исследование (УЗИ) позволяет обнаружить опухоль и в некоторых случаях определить ее тип.
Обязательные методы исследования Ультросонография + прицельная аспирационная тонкоигольная биопсия. Ангиографию печени выполняют после введения контрастного вещества в чревной ствол; Компьютерная томография; Ядерно-магнитный резонанс
Лапароскопия. Лапароскопический метод позволяет поставить точный и правильный диагноз. Метод щадящий, быстрый и безболезненный. Через небольшой разрез, под короткодействующим наркозом, врач вводит специальный прибор в брюшную полость, осматривает опухоль (на мониторе) и берет кусочек ткани на исследование (Биопсия опухоли).
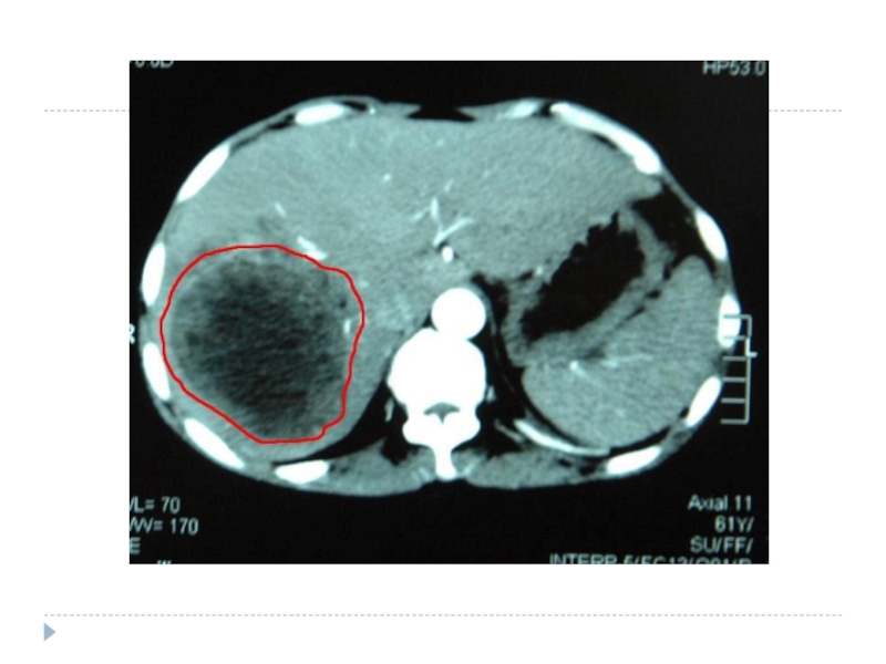
Компьютерная томография (КТ) очень эффективна при диагностике опухолей печени, позволяет обнаружить даже маленькие новообразования, незаметные на УЗИ. В ЛIСОД для улучшения изображения проводится КТ с контрастированием – внутривенно вводится контрастное вещество, что дает возможность специалистам изучить расположение сосудов в печени. Во время компьютерной томографии аппарат получает изображение тонких срезов, что позволяет специалистам тщательно обследовать структуру органа и выявить даже небольшие опухоли.
Диагностика Для первичной диагностики бывает достаточно визуального осмотра, когда врач с помощью пальпации определяет асцит и наблюдает

Слайд 16Ангиографию печени

Ангиографию печени

Слайд 17Основными мерами профилактики рака печени являются
своевременная вакцинация от гепатита В;
своевременное

и качественное лечение гепатита В и С; Если гепатит уже

перешел в хроническую стадию, то пациент автоматически попадает в группу риска. Он должен тесно сотрудничать с гастроэнтерологом, гепатологом или инфекционистам в плане регулярных обследований, соблюдения специальной диеты и режима.
лечение алкоголизма и полный отказ от алкоголя;
регулярное наблюдение у гепатолога для больных циррозом и хроническими вирусными гепатитами (не реже 2-3 раз в год).
Особое значение имеет борьба с алкоголизмом, поскольку цирроз печени (особенно крупноузловая форма) обнаруживают примерно у 60-90% больных с гепатомой.

Основными мерами профилактики рака печени являются своевременная вакцинация от гепатита В;своевременное и качественное лечение гепатита В и

Слайд 19В профилактической онкологии различают:
Первичную профилактику рака - предупреждение воздействия веществ и

факторов, вызывающих рак, нормализацию питания и образа жизни, повышение устойчивости

организма к вредным факторам.
умеренная физическая  активность, рациональный режим труда и отдыха.
Одним из важнейших правил является рациональное сбалансированное питание - так называемая противораковая диета, которая включает шесть принципов:
-предупреждение ожирения - особенно актуально для предупреждения развития рака молочной железы, рака толстой кишки и рака предстательной железы;
-обязательное присутствие в пище овощей и фруктов, которые обеспечивают организм растительной клетчаткой, витаминами и веществами, обладающие антиканцерогенным действием; овощи, содержащие каротин (желтые и красные овощи - морковь, помидоры, редька и др.) и большое количество витамина С (цитрусовые, киви, капуста, особенно брокколи, цветная и брюссельская).
-регулярное и достаточное употребление растительной клетчатки, которая содержится в цельных зернах злаковых, овощах, фруктах. Растительная клетчатка связывает ряд канцерогенов, уменьшает контакт канцерогенов с толстой кишкой за счет улучшения моторики.
-ограничение потребления алкоголя. Алкоголь является одним из факторов риска развития рака полости рта, пищевода, печени и молочной железы.
-ограничение потребления копченой и нитритсодержащей пищи
В профилактической онкологии различают: Первичную профилактику рака - предупреждение воздействия веществ и факторов, вызывающих рак, нормализацию питания и

Слайд 20Вторичная профилактика рака - наблюдение за группами риска, выявление и лечение

предраковых заболеваний, раннюю диагностику рака.
К одному из наиболее активных методов

ранней диагностики и профилактики злокачественных опухолей относятся профилактические медицинские осмотры населения.
Пациенты с предраком подлежат ежегодному осмотру онколога с проведением специальных исследований!
Третичная профилактика рака – предупреждение рецидивов (возврата) болезни и метастазов и новых случаев опухолевых заболеваний у излеченных онкологических больных.
Пациентом, перенесшим такое заболевание, как «рак», прошедшим все  виды лечения, необходимо помнить о диспансерном учете у онколога. Надо соблюдать рекомендации врачей и посещать диспансер в первый год -  1 раз в 3 месяца, на второй год -1 раз в 6 месяцев и далее 1 раз в год.
Онкологическая настороженность – личная  ответственность каждого человека!!!
Вторичная профилактика рака - наблюдение за группами риска, выявление и лечение предраковых заболеваний, раннюю диагностику рака.К одному из

Слайд 21Одна из ключевых проблем в опасности онкологических заболеваний печени заключается

в их поздней диагностики.
Во-первых, симптоматика чрезвычайно похожа на десятки

других заболеваний, связанных с желудочно-кишечным трактом или другими внутренними органами. И первичное лечение назначается как раз в контексте этих заболеваний.
Во-вторых, до 95% опухолей данного органа являются вторичными. То есть болезнь возникла в другом органе, а с метастазами попала и в ткани печени, являющей кроветворящим органом.
Следовательно продолжительность жизни при такой онкологии измеряется несколькими годами, а чаще месяцами. Все зависит от формы рака печени, а также от стадии, на которой он был обнаружен.
Самый оптимистический прогноз редко превышает 5 лет.

Продолжительность жизни при раке печени

Одна из ключевых проблем в опасности онкологических заболеваний печени заключается в их поздней диагностики. Во-первых, симптоматика чрезвычайно

Обратная связь

Если не удалось найти и скачать доклад-презентацию, Вы можете заказать его на нашем сайте. Мы постараемся найти нужный Вам материал и отправим по электронной почте. Не стесняйтесь обращаться к нам, если у вас возникли вопросы или пожелания:

Email: Нажмите что бы посмотреть 

Что такое TheSlide.ru?

Это сайт презентации, докладов, проектов в PowerPoint. Здесь удобно  хранить и делиться своими презентациями с другими пользователями.


Для правообладателей

Яндекс.Метрика