Разделы презентаций


СОЕДИНИТЕЛЬНЫЕ ТКАНИ

Содержание

Препарат №62 «Плотная волокнистая оформленная соединительная ткань. Сухожилие. Продольный срез»

Слайды и текст этой презентации

Слайд 1 СОЕДИНИТЕЛЬНЫЕ ТКАНИ
Кафедра гистологии, эмбриологии и цитологии лечебного факультета

СОЕДИНИТЕЛЬНЫЕ ТКАНИ  Кафедра гистологии, эмбриологии и цитологии лечебного факультета

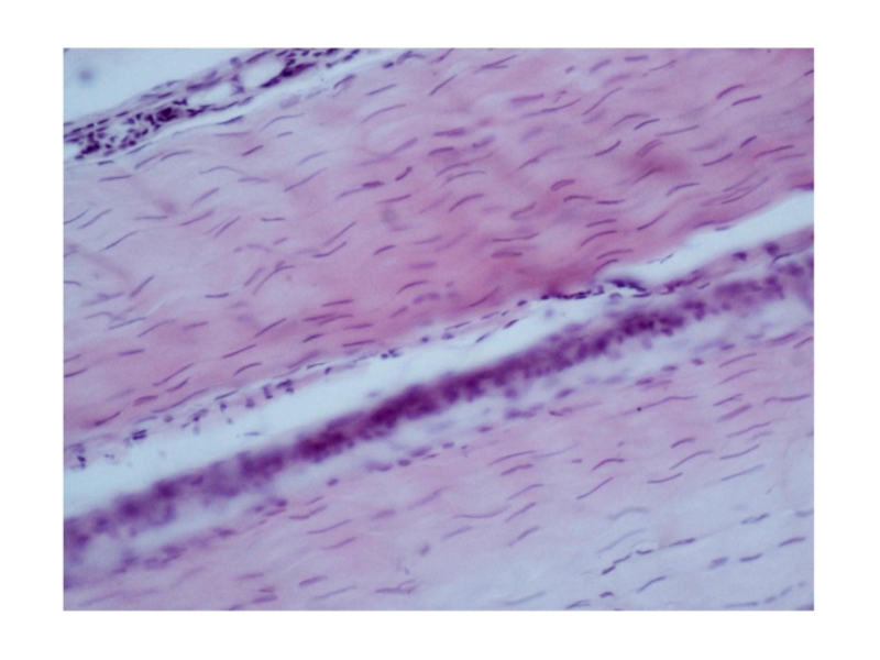
Слайд 29Препарат №62 «Плотная волокнистая оформленная соединительная ткань.
Сухожилие. Продольный срез»

Препарат №62 «Плотная волокнистая оформленная соединительная ткань. Сухожилие. Продольный срез»

Слайд 33Препарат №62а «Плотная волокнистая оформленная соединительная ткань.
Сухожилие. Поперечный срез»

Препарат №62а «Плотная волокнистая оформленная соединительная ткань. Сухожилие. Поперечный срез»

Слайд 37Ретикулярная ткань

Ретикулярная ткань

Слайд 47Препараты №60 и №61 «Плотная неоформленная волокнистая
соединительная ткань. Срез

кожи пальца»

Препараты №60 и №61 «Плотная неоформленная волокнистая соединительная ткань. Срез кожи пальца»

Слайд 50Слизистая ткань

Слизистая ткань

Слайд 65Препарат №65 «Волокнистая хрящевая ткань. Срез межпозвоночного диска»

Препарат №65 «Волокнистая хрящевая ткань. Срез межпозвоночного диска»

Обратная связь

Если не удалось найти и скачать доклад-презентацию, Вы можете заказать его на нашем сайте. Мы постараемся найти нужный Вам материал и отправим по электронной почте. Не стесняйтесь обращаться к нам, если у вас возникли вопросы или пожелания:

Email: Нажмите что бы посмотреть 

Что такое TheSlide.ru?

Это сайт презентации, докладов, проектов в PowerPoint. Здесь удобно  хранить и делиться своими презентациями с другими пользователями.


Для правообладателей

Яндекс.Метрика