Слайд 4Травматические повреждения
Причины: огнестрельные ранения, бытовые, спортивные и производственные травмы.
Чаще всего
                                                            
                                    
это последствия операцонной травмы. 
Частые осложнения-гематомы, травматические кисты.
Бытовые травмы чаще
                                    всего закрытые в виде ушибов, кровоизлияний и гематом.
                                
                            							
														
						 
											
                            Слайд 5Ксеростомия
Сухость полости рта –у большинства больных идиопатическое заболевание, обусловлено нарушением
                                                            
                                    
секреторной функции.
3 стадии:
1-начальная стадия. Жалоб нет. Периодически сухость во рту.
                                    В секрете увеличенное количество клеток плоского и цилиндрического эпителия.
2 стадия- постоянная сухость во рту. В слюне бокаловидные клетки.
3 стадия- появляются воспалительные изменения слизистой полости рта. 
                                
                            							
														
						 
											
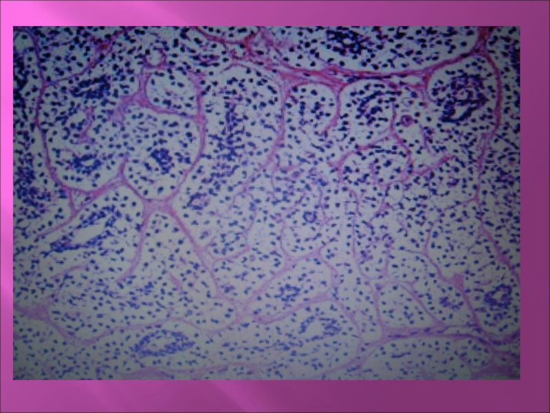
                            Слайд 6Синдромы с поражением слюнных желез.
1. Синдром Шегрена- поражение слюнных желез
                                                            
                                    
в сочетании с системным заболеваниями соединительной ткани.
В поздней стадии характерно
                                    выраженное замещение паренхимы слюнной железы лимфоидной тканью. Инфильтрат состоит из лимфоцитов, плазматических клеток, макрофагов. Сохранившийся ацинарный эпителий с дистрофическими и некротическими процессами. 
                                
                            							
														
						 
											
                            Слайд 72. Синдром Микулича- безболезненное увеличение слезных и всех слюнных желез,
                                                            
                                    
не сопровождающееся нарушением их функции.
В слюнных железах выраженная лимфоидная инфильтрация.
                                    Внутридольковые протки не определяются, сохраняются лишь междольковые протоки. Строма инфильтрированна лимфоцитами. В лимфотических узлах разрастание незрелой лимфоидной ткани.
                                
                            							
														
						 
											
                            Слайд 8Синдром Хеерофордта-саркоидоз
Изолированное поражение слюнных желез или сочетание с поражением слезных
                                                            
                                    
желез.
Гистологически: неравнометное замещение ацинусов крупными эпителиоидными клетками со светлой цитоплазмой.
                                    Располагаются диффузно или формируют гранулемы с гигантскими многоядерными клетками.
                                
                            							
														
						 
											
                            Слайд 9Инфекционные заболевания
Вирусные инфекции.
Эпидемический паротит
Поражение околоушных слюнных желез. 
Микроскопически: вакуольная дистрофия
                                                            
                                    
эпителия, некроз ацинусов, интерстициальной воспаление.
Цитомегаловирусная инфекция
Микроскопически:инфильтрация лимфоцитами, плазмоцитами и макрофагами.
                                    Гигантоклеточный метаморфоз эпителиальных клеток.
                                
                            							
														
						 
											
											
                            Слайд 11Бактериальный инфекции
Острый гнойный сиаладенит
Воспаление слюнной железы.
Может быть первичным и вторичным.
Может
                                                            
                                    
вовлекаться одна или несколько желез.
Пути проникновения различны: стоматогенный лимфогенный, контактный.
Микроскопически:
                                    очаги некроза, микроабсцессы, в выводных протоках гной.
Исход-атрофия паренхимы и фиброз 
                                
                            							
														
						 
											
                            Слайд 12Хронический сиаладенит
1-начальная стадия. 
Макроскопически: железа сохраняет свое строение. 
Микроскопически: очаговое
                                                            
                                    
поражение внутридольковых протоков. Просвет их расширен, эпителий с дистрофическими и
                                    местами с пролиферативными изменениями. Незначительный отек и очаговая лимфо-плазмоклеточная инфильтрация соединительной ткани.
                                
                            							
														
						 
											
                            Слайд 132- клинически выраженная стадия.
Определяются увеличенные неправильной формы дольки.
Микроскопически: дистрофия и
                                                            
                                    
пролиферация эпителия внутридольковых протоков. Расширение их просвета с десквамацией эпителия.
                                    Увеличение соединительной ткани. Разрушение секреторного отдела железы. 
3-поздняя стадия. 
Значительный фиброз железы, образование кист.
В соединительной ткани круглоклеточные инфильтраты.
                                
                            							
														
						 
											
											
											
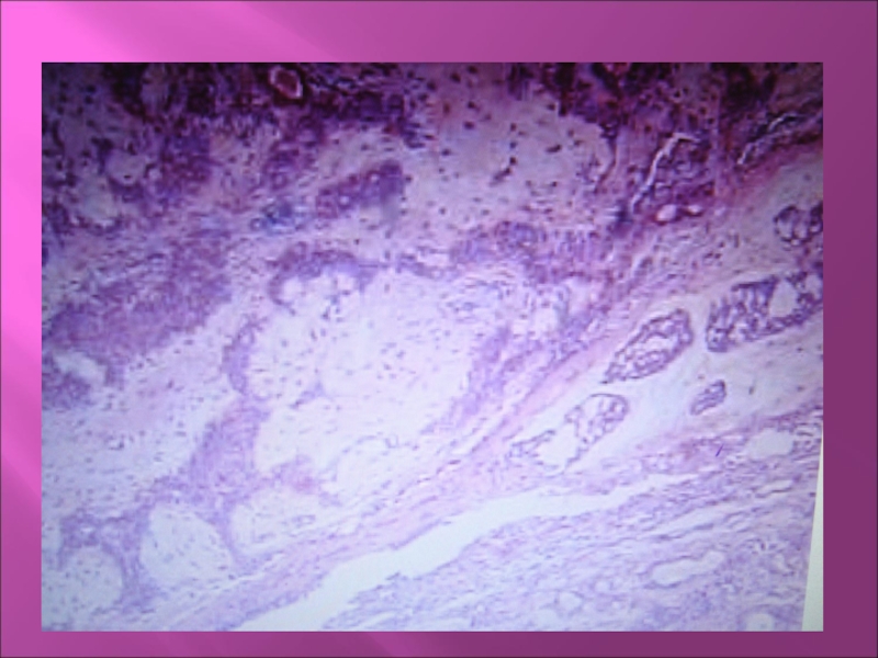
                            Слайд 16Слюнокаменная болезнь
Образование в железе или в ее протоках конкрементов.
Чаще поражается
                                                            
                                    
подчелюстная железа, никогда не поражается подъязычная железа.
Болеют чаще мужчины среднего
                                    возраста.
Образование камней связывают с дискинезией протоков, воспалением, застоем и ощелачиванием.
                                
                            							
														
						 
											
                            Слайд 17Патологическая анатомия
1. Начальная стадия- перидуктальные и периваскулярные лимфогистиомоноцитарные инфильтраты, отек,
                                                            
                                    
разрыхление соединительной ткани, полнокровие. Ацинусы сохранены, протоки несколько расширены.
2. Клинически
                                    выраженная стадия-склероз и гиалиноз стромы, выводные протоки окружены фиброзной тканью, деформированы, атрофия концевых отделов ацинусов.
                                
                            							
														
						 
											
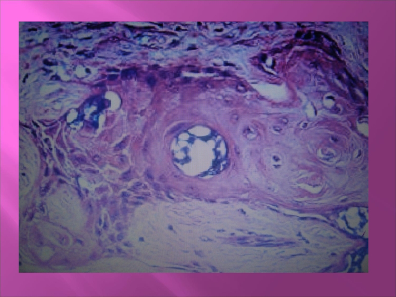
                            Слайд 183- Поздняя стадия. 
Полная атрофия паренхимы, замещение ее соединительной тканью.
                                                            
                                    
Диффузная лимфогистиоцитарная инфильтрация. Просветы выводных протоков резко деформированы. Вокруг камня
                                    формируется грануляционная ткань с лейкоцитами и гигантскими клетками инородных тел.
                                
                            							
														
						 
											
											
                            Слайд 20Кисты желез.
Возникают чаще в малых железах.
Причина – обтурация выводного протока
                                                            
                                    
(травма, воспаление, склероз).
Различают: кисты ретенционные (истинные) и травматические (экстравазатные).
Киста имеет
                                    четкие границы, гладкую поверхность, при пальпации флюктуирует.
                                
                            							
														
						 
											
											
											
                            Слайд 23Опухоли
Составляют 6 % всех опухолей.
Развиваются и в больших и в
                                                            
                                    
малых железах.
Могут развиваться из секреторных отделов и из протоков. Чаще
                                    встречаются опухоли слюнных желез эпителиального генеза.
Встречаются формы ( по данным ВОЗ):
1. Аденомы
2. Мукоэпидермоидная опухоль
3. Ациноклеточная опухоль
4. Карциномы.
                                
                            							
														
						 
											
											
                            Слайд 25Плеоформная аденома
Самая частая опухоль (50%).
Локализуется чаще в околоушной железе.
Чаще у
                                                            
                                    
женщин, обычно старше 40 лет.
Растет медленно.
Макро: Узел округлой формы, бугристый,
                                    плотный или эластичный, размер 5-6 см., окружен капсулой. На разрезе ткань белая с хрящевидными и слизистыми участками, кистами.
Микро: разнообразна, эпителиальные клетки имеют структуру протоков, солидных полей, гнезд. Есть скопления вытянутых клеток, полей мукоидного, миксоидного и хондроидного вещества.
                                
                            							
														
						 
											
											
											
											
											
                            Слайд 30Мономорфная аденома
Редкая, доброкачественная. (1-3%)
Чаще локализуется в околоушной железе.
Однородный клеточный состав,
                                                            
                                    
отсутствие мезенхимального компонента.
Макроскопически: Инкапсулированный узел, округлый, 1-2 см, плотный, беловато-розовый
                                    (иногда коричневый).
Микроскопически: Железистые кистозные образования, солидные поля эпителиальных клеток.
                                
                            							
														
						 
											
											
                            Слайд 32Аденолимфома.
Чаще встречается в околоушной железе пожилых мужчин.
Макроскопически: Четко ограниченный инкапсулированный
                                                            
                                    
узел, до 5 см., серовато-белый, дольчатый, с кистами.
Микроскопически: Призматический эпителий
                                    с резко эозинофильной цитоплазмой располагается в два ряда, формирует сосочковые выросты. Строма инфильтрирована лимфоцитами.
                                
                            							
														
						 
											
											
											
                            Слайд 35Оксифильная аденома
Доброкачественная опухоль, состоит из крупных клеток с зернистой эозинофильной
                                                            
                                    
цитоплазмой и небольшим ядром.
Опухоль имеет капсулу, на разрезе коричневого цвета.
Чаще
                                    болеют женщины старше 60 лет. 
                                
                            							
														
						 
											
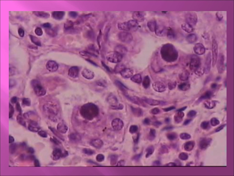
                            Слайд 36Мукоэпидермоидная опухоль.
Чаще у женщин любого возраста в околоушной слюной железе.
                                                            
                                    
Макроскопически: не всегда четко ограничена, округлой или неправильной формы, может
                                    состоять из нескольких узлов, серовато-белая, плотная, есть кисты.
Микроскопически: различное сочетание клеток эпидермоидного типа, образующих солидные структуры. Среди них слизеобразующие клетки с базофильной цитоплазмой. Хорошо выражена строма.
                                
                            							
														
						 
											
											
											
                            Слайд 39Ацинозноклеточная опухоль
Опухоль хорошо ограничена, но может иметь инвазивный рост.
Может давать
                                                            
                                    
метастазы при отсутствии признаков злокачественности.
Макроскопически: узел с дольчатой, зернистой, слизистой
                                    поверхностью.
Микроскопически: клетки опухоли схожи с серозными клетками слюнных желез, цитоплазма базофильная, мелкозернистая. Клетки образуют солидные поля и тяжи.
                                
                            							
														
						 
											
											
                            Слайд 41Карциномы
Виды карцином:
1. Цистаденоидная
2. Аденокарцинома
3. Плоскоклеточный рак
4. Недифференцированный рак
5. Карцинома в
                                                            
                                    
полиморфной аденоме.
                                                                    
                            							
														
						 
											
											
                            Слайд 43Карциномы слюнных желез.
Чаще встречается в малых железах твердого и мягкого
                                                            
                                    
неба. 
Преимущественно у лиц 40-60 лет.
Макроскопически: плотный, небольшой сероватый узел,
                                    без четких границ.
Микроскопически: мелкие клетки кубической формы, с гиперхромным ядром, формирующие трабекулы и солидные структуры. Между клетками базофильное или оксифильное вещество, образующее столбики и цилиндры.
Рост опухоли инвазивный.
                                
                            							
														
						 
											
											
                            Слайд 45Цистаденоидная карцинома (цилиндрома)
Чаще поражает малые железы. 
Макроскопически: узловая и диффузная
                                                            
                                    
формы.
Микроскопически: мономорфные мелкие клетки, между ними накапливается секрет, что приводит
                                    к образованию просветов.
                                
                            							
														
						 
											
											
											
                            Слайд 48Спасибо за внимание!
Спасибо за внимание!