Разделы презентаций


4 5 6

Содержание

Перечень микропрепаратовАртериологломерулосклероз и гиалиноз клубочков 24-5 Перечень микрофотографийКрупноочаговый (постинфарктный) кардиосклероз (МАКРО) Макропрепараты:Расслаивающая аневризма аорты Атеросклероз аорты с пристеночным тромбозомИнфаркт миокарда с разрывомПервично-сморщенная почка

Слайды и текст этой презентации

Слайд 14 5 6

4 5 6

Слайд 2Перечень микропрепаратов
Артериологломерулосклероз и гиалиноз клубочков 24-5
 
Перечень микрофотографий
Крупноочаговый (постинфарктный) кардиосклероз (МАКРО)
 
Макропрепараты:
Расслаивающая

аневризма аорты
Атеросклероз аорты с пристеночным тромбозом
Инфаркт миокарда с разрывом
Первично-сморщенная

почка

Перечень микропрепаратовАртериологломерулосклероз и гиалиноз клубочков 24-5 Перечень микрофотографийКрупноочаговый (постинфарктный) кардиосклероз (МАКРО) Макропрепараты:Расслаивающая аневризма аорты Атеросклероз аорты с пристеночным тромбозомИнфаркт

Слайд 5Артериологломерулосклероз и гиалиноз клубочков
Стенки аотериол утолщаются за счет содержащихся

в них гомогенных слабооксифильных (розовых при окраске гематоксилином и эозином)

масс гиалина (рис. 11.7). За исключением эндотелия, другие структуры стенки пораженного сосуда могут быть неразличимы. Сужение просвета гиалинизированной артериолы варьирует от небольшого до нитевидного, вплоть до полной облитерации.
Артериологломерулосклероз и гиалиноз клубочков Стенки аотериол утолщаются за счет содержащихся в них гомогенных слабооксифильных (розовых при окраске

Слайд 7Крупноочаговый (постинфарктный) кардиосклероз (МАКРО)
Макропрепараты (а-г). Крупноочаговый (постинфарктный) кардиосклероз: сердце увеличено

в размерах, увеличена толщина стенок левого желудочка - более 1,2-1,3

см, увеличен объем сосочковых и трабекулярных мышц, расширены полости сердца, миокард дряблой консистенции, глинистого вида на разрезе (эксцентрическая гипертрофия). В стенке миокарда левого желудочка крупный трансмуральный рубец неправильной геометрической формы, белого цвета, плотной консистенци
Крупноочаговый (постинфарктный) кардиосклероз (МАКРО)Макропрепараты (а-г). Крупноочаговый (постинфарктный) кардиосклероз: сердце увеличено в размерах, увеличена толщина стенок левого желудочка

Слайд 9Расслаивающая аневризма аорты
Расслаивающая аневризма аорты – это расширение аорты,

развивающееся вследствие дефекта внутренней ее оболочки и расслоения стенки аорты

кровью, поступающей под давлением через этот дефект (во внутренней оболочке) с последующим образованием (или первично) интрамуральной гематомы и внутрисосудистого канала, который может сообщаться с истинным просветом аорты в нескольких точках.

Расслаивающая аневризма аорты Расслаивающая аневризма аорты – это расширение аорты, развивающееся вследствие дефекта внутренней ее оболочки и

Слайд 12Атеросклероз аорты с пристеночным тромбозом
Фрагмент брюшного отдела аорты, размерами 14*4см.

серовато розового цвета. Интима сосуда деформирована. На поверхности имеются множественные

атеросклеротические бляшки (различных размеров) в стадии липосклероза. На поверхности одной бляшки размерами 10*1см. имеются массивные тромботические наложения, плотной консистенции, шероховатой поверхности, плотно сращены со стенкой сосуда.
Атеросклероз аорты с пристеночным тромбозомФрагмент брюшного отдела аорты, размерами 14*4см. серовато розового цвета. Интима сосуда деформирована. На

Слайд 14Инфаркт миокарда с разрывом
Причины: К разрыву сердца наиболее часто ведет

инфаркт (некроз). Часто встречаются разрывы острой аневризмы сердца. Разрыв происходит

на пятый-шестой день после инфаркта, вследствие миомаляции. Возможно вследствие ожирения сердца.

Инфаркт миокарда с разрывомПричины: К разрыву сердца наиболее часто ведет инфаркт (некроз). Часто встречаются разрывы острой аневризмы

Слайд 16Первично-сморщенная почка
— почка резко уменьшена в размере
— плотной консистенции
— сероватого

цвета
— поверхность зернистая

Первично-сморщенная почка— почка резко уменьшена в размере— плотной консистенции— сероватого цвета— поверхность зернистая

Слайд 17Перечень микропрепаратов
Язва желудка 21-2
Флегмонозный аппендицит 22-2
Перечень микрофотографий
Хронический атрофический гастрит

(МАКРО)
Эрозии слизистой оболочки желудка (МАКРО)
Болезнь Крона (МАКРО)
Неспецифический язвенный колит (МАКРО)
 
Макропрепараты:
хроническая

язва желудка
варикозное расширение вен пищевода

Перечень микропрепаратовЯзва желудка 21-2Флегмонозный аппендицит 22-2Перечень микрофотографий Хронический атрофический гастрит (МАКРО)Эрозии слизистой оболочки желудка (МАКРО)Болезнь Крона (МАКРО)Неспецифический

Слайд 19Язва желудка
На малой кривизне желудка определяется глубокий дефект слизистой

оболочки, затрагивающий мышечный слой, округлой формы с плотными валикоприподнятыми амозолелыми

краями. Край дефекта, обращённый к пищеводу, подрыт, к привратнику – пологий.

Язва желудка На малой кривизне желудка определяется глубокий дефект слизистой оболочки, затрагивающий мышечный слой, округлой формы с

Слайд 21Флегмонозный аппендицит
В просвете отростка гнойный экссудат. Слизистая на значительном

протяжении разрушена и густо инфильтрирована лейкоцитами. Лейкоциты также инфильтрируют подслизистую

и проникают между мышечными волокнами в серозную оболочку, сосуды которой переполнены кровью. Граница отдельных слоев нечеткая. Обратить внимание, что воспаление носит разлитой характер, захватывая все слои стенки отростка.
Флегмонозный аппендицит В просвете отростка гнойный экссудат. Слизистая на значительном протяжении разрушена и густо инфильтрирована лейкоцитами. Лейкоциты

Слайд 23Хронический атрофический гастрит (МАКРО)
Слизистая оболочка желудка резко истончена, количество желёз

уменьшено, на месте желёз видны поля разрастающейся соединительной ткани. Покровно-ямочный

эпителий с явлениями гиперплазии. Эпителий желёз с признаками кишечной метаплазии. Вся стенка желудка диффузно инфильтрирована гистолимфоцитарными элементами с примесью полиморфно-ядерных лейкоцитов.

Хронический атрофический гастрит (МАКРО)Слизистая оболочка желудка резко истончена, количество желёз уменьшено, на месте желёз видны поля разрастающейся

Слайд 25Эрозии слизистой оболочки желудка (МАКРО)
Слизистая оболочка желудка со сглаженной складчатостью

и многочисленными дефектами слизистой оболочки округлой и овальной формы, дно

которых окрашено в чёрный цвет.
Эрозии слизистой оболочки желудка (МАКРО)Слизистая оболочка желудка со сглаженной складчатостью и многочисленными дефектами слизистой оболочки округлой и

Слайд 27Болезнь Крона (МАКРО)
Рис. Макропрепарат: болезнь Крона. Вскрыт просвет кишки

в области перетяжки. Стенка кишки заметно утолщена за счет фиброза,

просвет кишки сужен. Такой стеноз при болезни Крона может привести к кишечной непроходимости.



Рис. Макропрепарат: болезнь Крона. Вскрыт просвет подвздошной кишки, на слизистой которой видны многочисленные афтозизъязвления.
Болезнь Крона (МАКРО) Рис. Макропрепарат: болезнь Крона. Вскрыт просвет кишки в области перетяжки. Стенка кишки заметно утолщена

Слайд 29Неспецифический язвенный колит (МАКРО)
Слизистая оболочка полнокровная с многочисленными язвами, которые

местами приобретают вид продольных
Мелкие и крупные язвы и воспалительные полипы

Неспецифический язвенный колит (МАКРО)Слизистая оболочка полнокровная с многочисленными язвами, которые местами приобретают вид продольных Мелкие и крупные

Слайд 32хроническая язва желудка
На малой кривизне желудка определяется глубокий дефект

слизистой оболочки, затрагивающий мышечный слой, округлой формы с плотными валикоприподнятыми

амозолелыми краями. Край дефекта, обращённый к пищеводу, подрыт, к привратнику – пологий.

хроническая язва желудка  На малой кривизне желудка определяется глубокий дефект слизистой оболочки, затрагивающий мышечный слой, округлой

Слайд 34варикозное расширение вен пищевода
1. нижняя треть пищевода и кардиальная часть

желудка
2. СО пищевода истончена, в подслизистой вв нижней и средней

трети пищевода видны набухшие, синюшного цвета извилистые варикозно-расширенные вены пищевода, ставшие источником кровотечения
3. Варикозное расширение вен пищевода с разрывом стенки сосуда
4. Неблагоприятный исход – смерть в результате массивного кровотечения

варикозное расширение вен пищевода1. нижняя треть пищевода и кардиальная часть желудка2. СО пищевода истончена, в подслизистой вв

Слайд 35Перечень микропрепаратов
Начинающийся хронический панкреатит 23-6
Крупноузелковый цирроз печени 23-4
Перечень микрофотографий
 
Массивный

некроз печени (МИКРО)
Острый вирусный гепатит (МИКРО)
Хронический гепатит (МАКРО)
Пишевод Барретта (МАКРО)
 
Макропрепараты:
цирроз

печени 129
Перечень микропрепаратовНачинающийся хронический панкреатит 23-6Крупноузелковый цирроз печени 23-4Перечень микрофотографий  Массивный некроз печени (МИКРО)Острый вирусный гепатит (МИКРО)Хронический гепатит

Слайд 37Начинающийся хронический панкреатит
Патологическая анатомия хронического панкреатита в периоды между

обострениями складывается из разрастания соединительной ткани с атрофией экскреторной и

реже инкреторной паренхимы. Обострение проявляется в виде любой формы острого панкреатита, но чаще как серозный или катаральный панкреатит.
Начинающийся хронический панкреатит Патологическая анатомия хронического панкреатита в периоды между обострениями складывается из разрастания соединительной ткани с

Слайд 39Крупноузелковый цирроз печени
Микроскопически паренхима представлена ложными дольками, разделенными массивными

полями соединительной ткани, в которых отмечается несколько триад в одном

поле зрения (феномен сближения триад). Ложные дольки состоят из новообразованной печеночной ткани, могут встречаться многоядерные печеночные клетки. Для гепатоцитов характерны белковые дистрофии, липиды в них обычно не выявляются. Отмечается холестаз, пролиферация холангиол, лимфо-гистиоцитарная инфильтрация портальных трактов. 
Крупноузелковый цирроз печени Микроскопически паренхима представлена ложными дольками, разделенными массивными полями соединительной ткани, в которых отмечается несколько

Слайд 42Массивный некроз печени (МИКРО)
Микро - в эту стадию обнаруживают жировую дистрофию

гепатоцитов, которая затем сменяется некрозом ткани с образованием жиробелкового детрита.
Массивный

некроз печени: некроз гепатоцитов центральных отделов долек (на их месте тканевый детрит), сохранившиеся перипортальные гепатоциты в состоянии жировой дистрофии. Окраска гематоксилином и эозином: 
Массивный некроз печени (МИКРО)Микро - в эту стадию обнаруживают жировую дистрофию гепатоцитов, которая затем сменяется некрозом ткани с

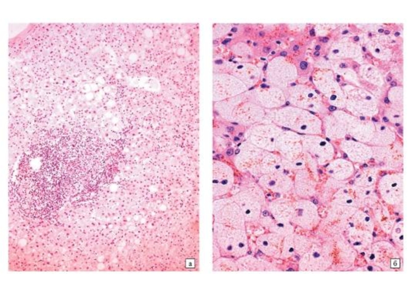
Слайд 44Острый вирусный гепатит (МИКРО)
Острый вирусный гепатит: дискомплексация печеночных балок, гепатоциты

в состоянии гидропической (баллонной, вакуольной) дистрофии (многие - в состоянии

колликвационного некроза), внутриклеточный холестаз, встречаются тельца Каунсилмена (см. рис. 1-13), выражена лимфомакрофагальная инфильтрация портальных трактов (менее - внутри долек), активация звездчатых ретикулоэндотелиоцитов (купферовских клеток). Окраска гематоксилином и эозином:
Острый вирусный гепатит (МИКРО)Острый вирусный гепатит: дискомплексация печеночных балок, гепатоциты в состоянии гидропической (баллонной, вакуольной) дистрофии (многие

Слайд 46Хронический гепатит (МАКРО)
Макрокартина: печень увеличена и плотна. Капсула очагово или диффузно

утолщена, белесовата. Ткань печени на разрезе имеет пестрый вид.

Хронический гепатит (МАКРО)Макрокартина: печень увеличена и плотна. Капсула очагово или диффузно утолщена, белесовата. Ткань печени на разрезе имеет

Слайд 48Пишевод Барретта (МАКРО)
Поражение слизистой оболочки пищевода при хронической ГЭРБ может

приводить к метаплазии многослойного плоского эпителия пищевода в цилиндрический эпителий

желудочного типа с наличием бокаловидных клеток кишечного типа, что получило название пищевода Барретта. Он возникает примерно у 10% пациентов с хроническим рефлюкс-гастритом. B нижнем отделе пищевода над желудочно- пищеводным соединением на фоне сохранного многослойного плоского эпителия белесоватого цвета видны красноватые участки метаплазии слизистой оболочки. Изъязвление слизистой оболочки сопровождается кровотечением и болью. Вследствие воспаления возникают стриктуры пищевода. Для постановки диагноза требуется проведение эндоскопии с биопсией.
Пишевод Барретта (МАКРО)Поражение слизистой оболочки пищевода при хронической ГЭРБ может приводить к метаплазии многослойного плоского эпителия пищевода

Слайд 50Цирроз печени макро
Макропрепараты (а-е). Цирроз печени. Микронодулярный [(мелкоузловой, портальный) -

а-г] и смешанный (д-е); в, г - вторичный билиарный цирроз,

д, е - цирроз печени с выраженной портальной гипертензией, спленомегалией:
печень увеличена (а-г) или уменьшена (д, е) в размерах, деформирована, с мелкобугристой (а-г - узлы диаметром менее 1 см) или крупнобугристой (д, е - узлы более 1 см) поверхностью, уплотнена, на разрезе узлы разделены серовато-белыми прослойками соединительной ткани разной ширины. Обычно цвет печени желтовато-коричневый, но при вторичном билиарном циррозе (в, г) печень прокрашена желчью в зеленоватый цвет

Цирроз печени макроМакропрепараты (а-е). Цирроз печени. Микронодулярный [(мелкоузловой, портальный) - а-г] и смешанный (д-е); в, г -

Обратная связь

Если не удалось найти и скачать доклад-презентацию, Вы можете заказать его на нашем сайте. Мы постараемся найти нужный Вам материал и отправим по электронной почте. Не стесняйтесь обращаться к нам, если у вас возникли вопросы или пожелания:

Email: Нажмите что бы посмотреть 

Что такое TheSlide.ru?

Это сайт презентации, докладов, проектов в PowerPoint. Здесь удобно  хранить и делиться своими презентациями с другими пользователями.


Для правообладателей

Яндекс.Метрика