Разделы презентаций


Кафедра патологической анатомии Белорусский государственный медицинский

Содержание

Из всех возбудителей инфекционных заболеваний, туберкулезная палочка – «убийца №1» (это 7 % в общей структуре смертности)

Слайды и текст этой презентации

Слайд 1Кафедра патологической анатомии
Белорусский государственный медицинский университет
Т У Б

Е Р К У Л Е З
Минск, 2017
ЛЕТКОВСКАЯ Т.А. —

зав. кафедрой пат. анатомии, к. м. н., доцент
Кафедра патологической анатомии Белорусский государственный медицинский университет Т У Б Е Р К У Л Е ЗМинск,

Слайд 2Из всех возбудителей инфекционных заболеваний, туберкулезная палочка – «убийца №1»

(это 7 % в общей структуре смертности)

Из всех возбудителей инфекционных заболеваний, туберкулезная палочка – «убийца №1» (это 7 % в общей структуре смертности)

Слайд 3

Что такое туберкулез?
Туберкулез (чахотка) –
одно из древнейших инфекционных заболеваний.
ТУБЕРКУЛЕЗ

ЗАРАЗЕН И
ОЧЕНЬ ОПАСЕН.
В отличие от других инфекций,
он

имеет хроническое течение, что
повышает количество заразившихся
многократно.
Заболевание, как правило, наступает
не сразу:
от заражения до появления может
пройти от нескольких месяцев до
нескольких лет.

Туберкулез
называют
“белой
чумой
ХХ века".

Что такое туберкулез?Туберкулез (чахотка) – одно из древнейших инфекционных заболеваний.ТУБЕРКУЛЕЗ ЗАРАЗЕН И ОЧЕНЬ ОПАСЕН. В отличие

Слайд 4Антон Павлович Чехов
Умер в 44 года от туберкулёза в Баденвейлере,

Германская Империя

Антон Павлович ЧеховУмер в 44 года от туберкулёза в Баденвейлере, Германская Империя

Слайд 5Илья Арнольдович Ильф
Умер в 39 лет от туберкулеза в Москве

Илья Арнольдович ИльфУмер в 39 лет от туберкулеза в Москве

Слайд 6Борис Михайлович Кустодиев
Умер в 49 лет от туберкулёза в Ленинграде

Борис Михайлович КустодиевУмер в 49 лет от туберкулёза в Ленинграде

Слайд 7Леся Украинка
Умерла в 32 года от туберкулёза кости в Грузии

Леся УкраинкаУмерла в 32 года от туберкулёза кости в Грузии

Слайд 8Франц Кафка
Умер в 40 лет от туберкулёза в Австрии

Франц КафкаУмер в 40 лет от туберкулёза в Австрии

Слайд 9Вивьен Ли
Умерла в 53 года от туберкулёза в Лондоне

Вивьен ЛиУмерла в 53 года от туберкулёза в Лондоне

Слайд 10Максим Адамович Богданович
Умер в 25 лет от туберкулеза в Ялте

Максим Адамович БогдановичУмер в 25 лет от туберкулеза в Ялте

Слайд 11Далёка ад роднага краю,

Чый вобраз па кроплі збіраў,

У

трызьненні белага маю

Самотны паэт паміраў

Далёка ад роднага краю, Чый вобраз па кроплі збіраў, У трызьненні белага маюСамотны паэт паміраў

Слайд 12
ТБ инфицирована около 1/3 населения планеты


Из числа инфицированных ТБ заболевает

8-10%, причем 8 – 10 млн ежегодно
В настоящее время в

мире
около 15 млн. больных ТБ,
из них 11 млн. –
в трудоспособном возрасте.

По прогнозам ВОЗ
в ближайшие двадцать лет
ожидается до
90 млн. новых случаев туберкулёза
и до 30 млн. смертей от него.
ТБ инфицирована около 1/3 населения планетыИз числа инфицированных ТБ заболевает 8-10%, причем 8 – 10 млн ежегодноВ

Слайд 13Я зведаў хвіліну адчаю
У гэтай чужой старане.
Цяпер адзінота,

я знаю,
Навечна пакіне мяне...
 
За вокнамі пеніўся буйна
Захмелены

ялцінскі май.
За вокнамі ўсплёснула бухта:
– Не плач, Вераніка! Бывай!
Я зведаў хвіліну адчаю У гэтай чужой старане. Цяпер адзінота, я знаю, Навечна пакіне мяне...  За вокнамі

Слайд 15

Всемирный день борьбы с туберкулезом

24 марта
Всемирный день

борьбы с
туберкулезом
отмечается по решению
Всемирной
организации здравоохранения
(ВОЗ)
в день, когда немецкий микробиолог
Роберт Кох объявил о сделанном им
открытии возбудителя туберкулеза.

В 1993 г.
Всемирной организацией
здравоохранения туберкулез
был объявлен национальным
бедствием, а день 24 марта
«Всемирным днем борьбы
с туберкулезом».

Роберт Кох
(1843 - 1910)
Немецкий врач – микробиолог,
один из основоположников
современной бактериологии.
Открыл возбудителя туберкулеза.
Лауреат Нобелевской премии.

Всемирный день борьбы с туберкулезом

Слайд 16Туберкулез (от лат. tuberculum, ТБ)
- инфекционное заболевание человека

и животных, вызываемое микобактериями туберкулеза (БК) и характеризующееся развитием ответного

специфического для ТБ воспаления с наклонностью к хр. рецидивирующему течению

Туберкулез  (от лат. tuberculum, ТБ) - инфекционное заболевание человека и животных, вызываемое микобактериями туберкулеза (БК) и

Слайд 17TB Pathogenesis
Bacterial entry
T Lymphocytes.
Macrophages.
Epitheloid cells.
Proliferation.
Central Necrosis.
Giant cell formation.
Fibrosis.

TB PathogenesisBacterial entryT Lymphocytes.Macrophages.Epitheloid cells.Proliferation.Central Necrosis.Giant cell formation.Fibrosis.

Слайд 20Виды возбудителей ТБ
Mycobacterium tuberculosis (95 – 98 %)
M. bоvis

(4 – 20 %)
M. avium
M. intracellulare
 

Виды возбудителей ТБ Mycobacterium tuberculosis (95 – 98 %)M. bоvis (4 – 20 %)M. avium M. intracellulare 

Слайд 21Пути внедрения БК
аэрогенный
контактный
алиментарный
трансплацентарный

Пути внедрения БК аэрогенный контактный алиментарный трансплацентарный

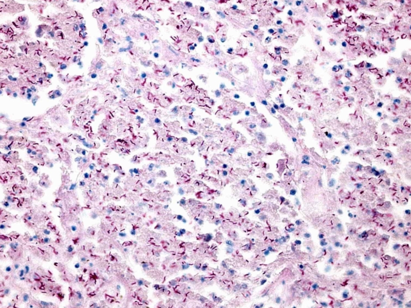
Слайд 22AFB - Ziehl-Nielson stain

AFB - Ziehl-Nielson stain

Слайд 23БК в мокроте

БК в мокроте

Слайд 24Проблема СПИДа в мире – это прежде всего проблема туберкулеза

Проблема СПИДа в мире – это прежде всего проблема туберкулеза

Слайд 26Микобактериоз при СПИДе Веретеновидные гистиоциты в лимфатическом узле

Микобактериоз при СПИДе Веретеновидные гистиоциты в лимфатическом узле

Слайд 34Клинико-анатомическая классификация ТБ (А.И. Струков)
I. Первичный ТБ
II. Гематогенный ТБ
III. Вторичный ТБ

Клинико-анатомическая классификация ТБ (А.И. Струков)I. Первичный ТБII. Гематогенный ТБIII. Вторичный ТБ

Слайд 35I. Первичный ТБ
Развивается в период инфицирования
Сенсибилизация и аллергия, реакции ГНТ
Преобладают

экссудативно-некротиче-ские изменения
Наклонность к гематогенной и лимфо-генной генерализации

I. Первичный ТБРазвивается в период инфицированияСенсибилизация и аллергия, реакции ГНТПреобладают экссудативно-некротиче-ские   измененияНаклонность к гематогенной и

Слайд 36Первичный ТБ
Основа:
первичный туберкулезный комплекс (ПТК) - триада:
первичный аффект +

лимфангит + лимфаденит

Первичный ТБОснова:	первичный туберкулезный комплекс (ПТК) - триада: первичный аффект + лимфангит + лимфаденит

Слайд 37ПТК
Основные виды:
Легочный
Кишечный

ПТКОсновные виды:	Легочный 	Кишечный

Слайд 38Первичный легочный ТБ
1. ПЕРВИЧНЫЙ АФФЕКТ
Субплевральный очаг чаще справа в III

(чаще), VIII, IX и X сегментах
Размеры – от альвеолита

до сегмента
Первичный легочный ТБ1. ПЕРВИЧНЫЙ АФФЕКТСубплевральный очаг чаще справа в III (чаще), VIII, IX и X сегментах Размеры

Слайд 392. ЛИМФАНГИТ
Лимфостаз и туберкулезные бугорки по ходу лимфатических сосудов

Первичный легочный

ТБ

2. ЛИМФАНГИТ	Лимфостаз и туберкулезные бугорки по ходу лимфатических сосудовПервичный легочный ТБ

Слайд 403. ЛИМФАДЕНИТ:
Бронхо-пульмональные, перибронхиальные и бифуркационные л/у
Поражение > значительное, чем в

аффекте

Первичный легочный ТБ

3. ЛИМФАДЕНИТ:Бронхо-пульмональные, перибронхиальные и бифуркационные л/уПоражение > значительное, чем в аффектеПервичный легочный ТБ

Слайд 43Первичный кишечный ТБ
Язва в тощей или в слепой кишке
Лимфангит
Лимфаденит брыжеечных

л/у

Первичный кишечный ТБЯзва в тощей или в слепой кишкеЛимфангитЛимфаденит брыжеечных л/у

Слайд 44Исходы ПТК
1.     Заживление
2.     Прогрессирование
3.     Хр. течение

Исходы ПТК1.     Заживление2.     Прогрессирование3.     Хр. течение

Слайд 451. Заживление ПТК
Экссудация  пролиферация  организация  петрификация

 оссификация
Аффект:
Легкие – очаг Гона
Кишечник – рубец на месте язвы
Лимфангит:

фиброзный тяж
Лимфаденит: петрификация  оссификация (очень медленно)

1. Заживление ПТК Экссудация  пролиферация  	организация  петрификация  	оссификацияАффект:		Легкие – очаг Гона		Кишечник – рубец

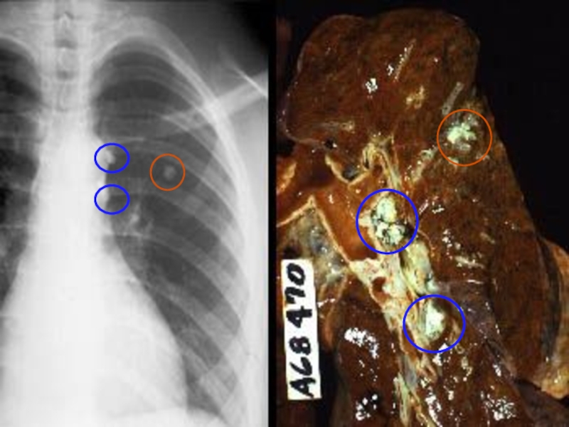
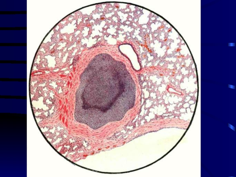
Слайд 46Ghon’s focus

Ghon’s focus

Слайд 48Ghon Complex

Ghon Complex

Слайд 492. Прогрессирование ПТК

2. Прогрессирование ПТК

Слайд 502.1. Гематогенное прогрессирование
БК попадают в кровь и оседают в различных

органах
Формы:
а) ранняя крупноочаговая (очаги-отсевы в верхушки легких - очаги

Симона)
б) поздняя милиарная (при небольшом и часто почти зажившем ПТК)

2.1. Гематогенное прогрессированиеБК попадают в кровь и оседают в различных органахФормы: 		а) ранняя крупноочаговая (очаги-отсевы в верхушки

Слайд 51Туберкулезный менингит

Туберкулезный менингит

Слайд 52Туберкулезный менингит

Туберкулезный менингит

Слайд 532.2. Лимфогенное прогрессирование (лимфожелезистое)
Вовлечение в процесс специфического воспаления:
в легких - бронхиальных,

бифуркационных, околотрахеальных, под- и надключичных, шейных и др. л/у (туберкулезный

бронхаденит)
в кишечнике - всех групп мезентериальных л/у (туберкулезный мезаденит)

2.2. Лимфогенное прогрессирование (лимфожелезистое)	Вовлечение в процесс специфического воспаления:в легких - бронхиальных, бифуркационных, околотрахеальных, под- и надключичных, шейных

Слайд 54Лимфожелезистое прогрессирование

Лимфожелезистое прогрессирование

Слайд 552.3 Рост первичного аффекта

2.3 Рост первичного аффекта

Слайд 562.4 Смешанный путь прогрессирования

2.4 Смешанный путь прогрессирования

Слайд 58Первичный туберкулез

Первичный туберкулез

Слайд 593. Хроническое течение ПТК
Первичный аффект зажил, но сохраняется лимфаденит
Чередование вспышек

и затиханий
Сенсибилизация организма
Параспецифические реакции

3. Хроническое течение ПТКПервичный аффект зажил, но сохраняется лимфаденитЧередование вспышек и затиханий Сенсибилизация организмаПараспецифические реакции

Слайд 60Параспецифические реакции
Морфологически:
лимфомакрофагальные инфильтраты
фибриноидные реакции
амилоидоз
Клинически – в виде «масок»:
нейродистрофическая
сердечно-сосудистая
кроветворная
полисерозитная

Параспецифические реакцииМорфологически:	лимфомакрофагальные инфильтраты	фибриноидные реакции	амилоидозКлинически – в виде «масок»:	нейродистрофическая 	сердечно-сосудистая	кроветворная	полисерозитная

Слайд 61II. Гематогенный ТБ
Послепервичный
Возникает у выздоровевших, но сохранивших повышенную чувствительность

к туберкулину
Развивается из гематогенных очагов отсевов, обострение которых происходит под

влиянием неблагоприятных факторов
Преобладает продуктивная реакция - гранулема
II. Гематогенный ТБПослепервичный Возникает у выздоровевших, но сохранивших повышенную чувствительность к туберкулинуРазвивается из гематогенных очагов отсевов, обострение

Слайд 62II. Гематогенный ТБ
генерализованный
с преимущественным поражением легких
с преимущественно внелегочными поражениями

(органный)

II. Гематогенный ТБгенерализованныйс преимущественным поражением легких с преимущественно внелегочными поражениями (органный)

Слайд 64Острый общий крупноочаговый ТБ

Острый общий крупноочаговый ТБ

Слайд 65Острый общий крупноочаговый ТБ

Острый общий крупноочаговый ТБ

Слайд 66Зерна проса

Зерна проса

Слайд 67Острый общий милиарный ТБ

Острый общий милиарный ТБ

Слайд 682. Гематогенный ТБ с преимущественным поражением легких
Преобладание высыпаний в легких
В

других органах они отсутствуют или единичны
Формы:
2.1 остр. милиарный ТБ

легких
2.2 хр. милиарный ТБ легких
2.3 хр. крупноочаговый ТБ легких (гематогенно-диссеминированный)



2. Гематогенный ТБ с преимущественным поражением легкихПреобладание высыпаний в легкихВ других органах они отсутствуют или единичныФормы:		 2.1

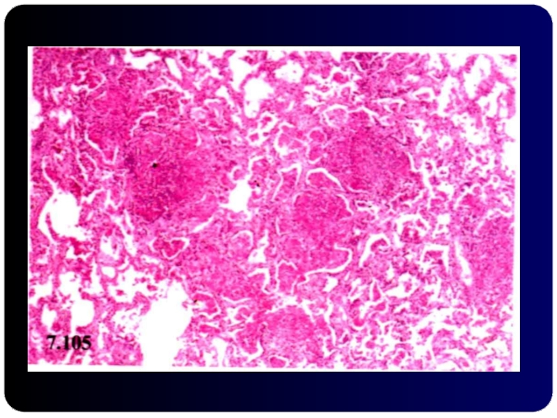
Слайд 70Miliary TB

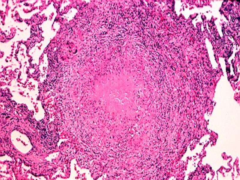
Miliary TB

Слайд 71Милиарный ТБ

Милиарный ТБ

Слайд 72ДИССЕМИНИРОВАННЫЙ ТБ







35–50 лет
асоциальный контингент (бездомные)
злоупотребление суррогатами алкоголя
смерть

за 1–6 дней

ДИССЕМИНИРОВАННЫЙ ТБ 35–50 лет асоциальный контингент (бездомные) злоупотребление суррогатами алкоголясмерть за 1–6 дней

Слайд 732.3. Диссеминированный ТБ легких
Кортико-плевральная локализация
Симметричность поражений
Продуктивная тканевая реакция
Очковый

характер каверн
Хроническое течение
Развитие сетчатого и очагового пневмосклероза
Развитие

эмфиземы легких
Развитие легочного сердца
2.3. Диссеминированный ТБ легкихКортико-плевральная локализация Симметричность поражений Продуктивная тканевая реакция Очковый характер каверн Хроническое течение Развитие сетчатого

Слайд 74Диссеминированный ТБ легких

Диссеминированный ТБ легких

Слайд 753. Гематогенный ТБ с преимущественными внелегочными поражениями (органный)

3. Гематогенный ТБ с преимущественными внелегочными поражениями (органный)

Слайд 76Формы органного ТБ
очаговый ТБ
- милиарный
- крупноочаговый

острый
хронический
деструктивный ТБ
кавернозный
язвенный

острый
хронический

Формы органного ТБочаговый ТБ	- милиарный	- крупноочаговыйострыйхроническийдеструктивный ТБкавернозныйязвенный острый хронический

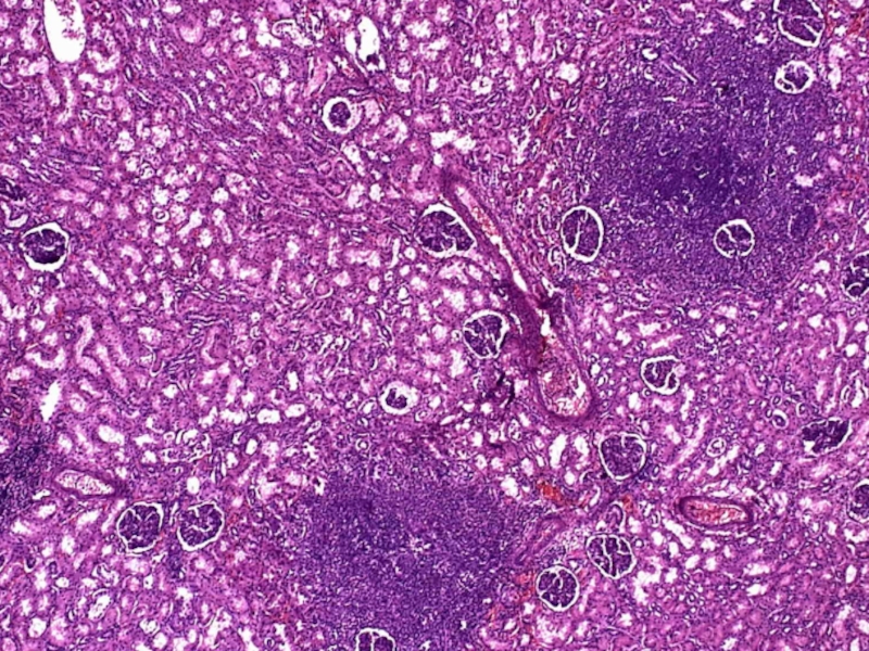
Слайд 78ТБ почки

ТБ почки

Слайд 81III. Вторичный ТБ (реинфекционный)

III. Вторичный ТБ (реинфекционный)

Слайд 82 2 теории происхождения:
- экзогенного происхождения,
т. е. нового

заражения
- эндогенного происхождения

2 теории происхождения: 		- экзогенного происхождения, 		 т. е. нового заражения		- эндогенного происхождения

Слайд 83Характерны:
Избирательно легочная локализация процесса
Контактное и интраканаликулярное (бронхи, ЖКТ) распространение
Различают 8

форм-фаз
Исход любой формы: заживление или прогрессирование

Характерны:Избирательно легочная локализация процессаКонтактное и интраканаликулярное (бронхи, ЖКТ) распространениеРазличают 8 форм-фазИсход любой формы: заживление или прогрессирование

Слайд 841. Острый очаговый ТБ
очаг-реинфекта Абрикосова
I и/или II сегмент (>

справа)
< 3 см
возраст – 20-25 лет и >

1. Острый очаговый ТБочаг-реинфекта Абрикосова I и/или II сегмент (> справа)< 3 см возраст – 20-25 лет

Слайд 85специфический эндо- , мезо- , панбронхит
ацинозная или лобулярная творожистая бронхопневмония
при

заживлении – очаги Ашофф-Пуля
Морфология очага Абрикосова

специфический эндо- , мезо- , панбронхитацинозная или лобулярная творожистая бронхопневмонияпри заживлении – очаги Ашофф-ПуляМорфология очага Абрикосова

Слайд 86Pathological change and types
1.Focal pulmonary TB
initial lesion of secondary pulmonary

TB
(1) Lesion
usually below apex 2-4cm ,

0.5-1cm in size , clear edge
proliferation → main
Pathological change and types1.Focal pulmonary TBinitial lesion of secondary pulmonary TB(1) Lesion usually below apex 2-4cm ,

Слайд 90fibrosis
absorbed
calcification
spread
Final result:
Most healing
Less solution and spread

fibrosisabsorbedcalcificationspreadFinal result:Most healingLess solution and spread

Слайд 912. Фиброзно-очаговый ТБ

2. Фиброзно-очаговый ТБ

Слайд 923. Инфильтративный ТБ
Инфильтрат Ассманна - Редекера

3. Инфильтративный ТБИнфильтрат Ассманна - Редекера

Слайд 932. Infiltrative pulmonary TB
most common type of active pulmonary TB

Arising

in:
progress of focal
pulmonary TB
few cases occur initially


2. Infiltrative pulmonary TBmost common type of active pulmonary TBArising in:progress of focal   pulmonary TBfew

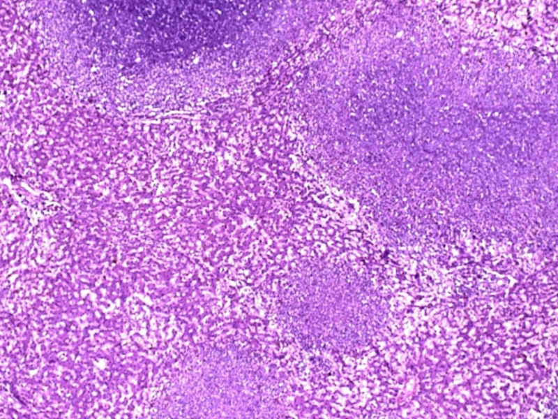
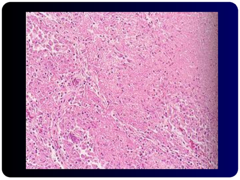
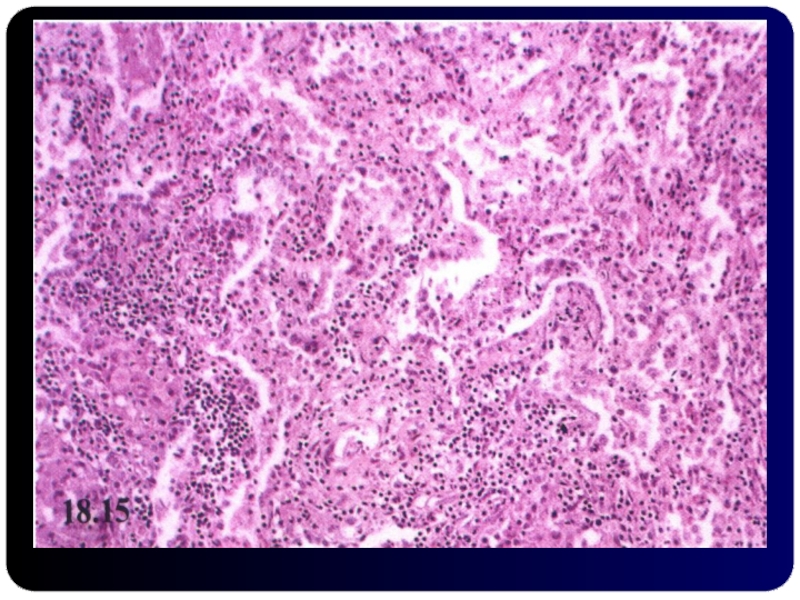
Слайд 944. Казеозная пневмония

4. Казеозная пневмония

Слайд 95Казеозная пневмония

Казеозная пневмония

Слайд 995. Туберкулема
Округлый, ограниченный очаг > 1- 1,5 см, окруженный капсулой
R-ки

напоминает периферический рак легкого

5. Туберкулема Округлый, ограниченный очаг > 1- 1,5 см, окруженный капсулойR-ки напоминает периферический рак легкого

Слайд 1056. Острый кавернозный ТБ

6. Острый кавернозный ТБ

Слайд 1067. Фиброзно-кавернозный ТБ

7. Фиброзно-кавернозный ТБ

Слайд 107Фиброзно-кавернозный ТБ

Фиброзно-кавернозный ТБ

Слайд 109Фиброзно-кавернозный туберкулез

Фиброзно-кавернозный туберкулез

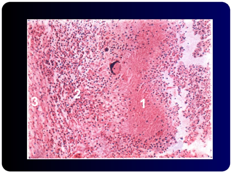
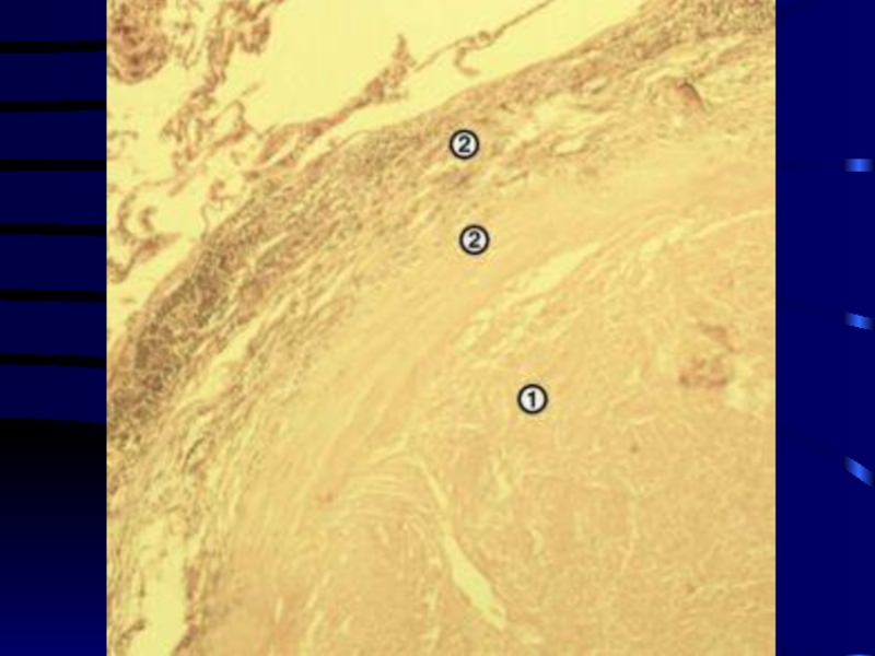
Слайд 110Cavity wall (LM) : three layers
1.inner:caseous necrosis

2.midial:tuberculous granulation tissue

3.outer: fibrous

tissue
1
2
3

Cavity wall (LM) : three layers1.inner:caseous necrosis2.midial:tuberculous granulation tissue3.outer: fibrous tissue123

Слайд 113ДЕСТРУКТИВНЫЕ ФОРМЫ — 82,7%

ДЕСТРУКТИВНЫЕ ФОРМЫ — 82,7%

Слайд 114ФИБРОЗНО-КАВЕРНОЗНЫЙ ТУБЕРКУЛЕЗ








34–66 лет
стаж туберкулеза 3–10 лет
лекарственная устойчивость

к нескольким препаратам
плевральные осложнения
хроническое легочное сердце

ФИБРОЗНО-КАВЕРНОЗНЫЙ ТУБЕРКУЛЕЗ 34–66 лет стаж туберкулеза 3–10 лет лекарственная устойчивость к нескольким препаратам плевральные осложнения хроническое легочное

Слайд 115ДВУСТОРОННЕЕ ПОРАЖЕНИЕ — ¾
Больной К., 37 лет
Больная А., 48 лет
Больной

Ст., 43 лет
Больной Р., 31 года
Больной В., 62 лет
Больная З.,

55 лет

Больной Г., 32 лет

Больной Св., 30 лет

ДВУСТОРОННЕЕ ПОРАЖЕНИЕ — ¾Больной К., 37 летБольная А., 48 летБольной Ст., 43 летБольной Р., 31 годаБольной В.,

Слайд 116Фиброзно-кавернозный ТБ

Фиброзно-кавернозный ТБ

Слайд 117Lung TB - Cavitation

Lung TB - Cavitation

Слайд 1188. Цирротический ТБ

8. Цирротический ТБ

Слайд 119Причины смерти при ТБ

Причины смерти при ТБ

Слайд 120


Pulmonary heart
Amyloidosis

Pulmonary heartAmyloidosis

Слайд 121Плевральные осложнения

- плеврит

- эмпиема

-

пиопневмоторакс

Плевральные осложнения  - плеврит  - эмпиема  - пиопневмоторакс

Слайд 122An 80-year-old female who exsanguinated from massive hemoptysis due to

tuberculosis and bronchiectasis.

An 80-year-old female who exsanguinated from massive hemoptysis due to tuberculosis and bronchiectasis.

Слайд 123Аррозивное кровотечение

Аррозивное кровотечение

Слайд 124


тяжелая кахексия

обширные пролежни

тяжелая кахексия		    обширные пролежни

Слайд 125Патоморфоз
Патоморфоз – понятие динамическое
Динамика может быть разнонаправленной
Патоморфоз ТБ проделал несколько

фаз

ПатоморфозПатоморфоз – понятие динамическоеДинамика может быть разнонаправленнойПатоморфоз ТБ проделал несколько фаз

Слайд 126Фазы патоморфоза ТБ
Фаза положительной динамики – 50-70е гг.
Фаза стабилизации –

70-80е гг.
Негативная фаза – 90е гг. и по настоящее время

Фазы патоморфоза ТБФаза положительной динамики – 50-70е гг.Фаза стабилизации – 70-80е гг.Негативная фаза – 90е гг. и

Слайд 127Фазы патоморфоза ТБ (нозоморфоз казеозной пневмонии)

Фазы патоморфоза ТБ (нозоморфоз казеозной пневмонии)

Слайд 128
Противотуберкулезный
клинический диспансер

средний возраст умерших от туберкулеза —

44,7
лица молодого возраста — 32%
мужчины/женщины —

3:1
Противотуберкулезный клинический диспансер  средний возраст умерших от туберкулеза — 44,7  лица молодого возраста — 32%

Слайд 129Признаки негативной фазы патоморфоза ТБ
Рост эпидемиологических показателей
«Омоложение ТБ»
Рост остропрогрессирующих, генерализованных

и внелегочных форм
Полирезистентные формы (МЛУ, ШЛУ)
Преобладание экссудативно-некротических реакций над продуктивными
Рост

числа специфических осложнений
ТБ у больных СПИДом
Признаки негативной фазы патоморфоза ТБРост эпидемиологических показателей«Омоложение ТБ»Рост остропрогрессирующих, генерализованных и внелегочных формПолирезистентные формы (МЛУ, ШЛУ)Преобладание экссудативно-некротических

Слайд 130Туберкулез в РБ сегодня– негативная фаза патоморфоза
или реверсия?

Туберкулез в РБ сегодня– негативная фаза патоморфозаили реверсия?

Слайд 131Благодарю за внимание!

Благодарю за внимание!

Обратная связь

Если не удалось найти и скачать доклад-презентацию, Вы можете заказать его на нашем сайте. Мы постараемся найти нужный Вам материал и отправим по электронной почте. Не стесняйтесь обращаться к нам, если у вас возникли вопросы или пожелания:

Email: Нажмите что бы посмотреть 

Что такое TheSlide.ru?

Это сайт презентации, докладов, проектов в PowerPoint. Здесь удобно  хранить и делиться своими презентациями с другими пользователями.


Для правообладателей

Яндекс.Метрика