Разделы презентаций


ЛЕКЦИЯ 17 Лучевая диагностика рака легкого

АКТУАЛЬНЫЕ ВОПРОСЫ РЕНТГЕНОЛОГИИТ - первичная опухоль Т0 - опухоль не определяется Т1 - опухоль, ограниченная сегментарным бронхом Т2 - опухоль, ограниченная долевым бронхом

Слайды и текст этой презентации

Слайд 1ЛЕКЦИЯ 17

Лучевая диагностика
рака легкого

ЛЕКЦИЯ 17Лучевая диагностика рака легкого

Слайд 2АКТУАЛЬНЫЕ ВОПРОСЫ РЕНТГЕНОЛОГИИ
Т - первичная опухоль
Т0 -

опухоль не определяется
Т1 - опухоль, ограниченная сегментарным

бронхом
Т2 - опухоль, ограниченная долевым бронхом
Т3 - опухоль, инфильтрирующая главный бронх или два бронха
Т4 - опухоль, распространяющаяся за пределы легкого
N - регионарные лимфатические узлы
N0 - нет клинических, рентгенологических или эндоскопических
признаков увеличения внутригрудных лимфатических узлов
N1 - имеются клинические, рентгенологические или
эндоскопические признаки увеличения внутригрудных
лимфатических узлов
М - Метастазирование
М0 - нет признаков отдаленного метастазирования
М1 - имеются отдаленные метастазы или плевральный экссудат
с наличием в нем опухолевых клеток

ЛУЧЕВАЯ ДИАГНОСТИКА РАКА ЛЕГКОГО

Классификация рака легкого по системе T N M

АКТУАЛЬНЫЕ ВОПРОСЫ РЕНТГЕНОЛОГИИТ - первичная опухоль   Т0 - опухоль не определяется   Т1 -

Слайд 3АКТУАЛЬНЫЕ ВОПРОСЫ РЕНТГЕНОЛОГИИ
I - плоскоклеточный (эпидермоидный) рак
а) плоскоклеточный с ороговением
б)

плоскоклеточный без ороговения
в) плоскоклеточный с низкой степенью дифференцировки
II- железистый (цилиндрокубоклеточный)

рак
а) аденокарцинома
б) малодифференцированный железистый
III - недифференцированный рак
а) круглоклеточный «лимфоцитоподобный»
б) овсяноклеточный
в) полиморфноклеточный

ЛУЧЕВАЯ ДИАГНОСТИКА РАКА ЛЕГКОГО

Гистологическая классификация рака легкого
(Н.А.Краевский и соавт., 1971)

АКТУАЛЬНЫЕ ВОПРОСЫ РЕНТГЕНОЛОГИИI - плоскоклеточный (эпидермоидный) рак	а) плоскоклеточный с ороговением	б) плоскоклеточный без ороговения	в) плоскоклеточный с низкой степенью

Слайд 4АКТУАЛЬНЫЕ ВОПРОСЫ РЕНТГЕНОЛОГИИ
1. Центральный
2. Периферический
3. Бронхиоло-альвеолярный


Верхушечный рак
- это периферический

рак соотвествующей локализации

Медиастинальный и милиарный карциноз
- это проявление метастазов

рака легкого: в первом случае лимфогенного в средостении, во втором - гематогенного в легких

ЛУЧЕВАЯ ДИАГНОСТИКА РАКА ЛЕГКОГО

Рентгенологическая классификация рака легкого
(Л.С.Розенштраух, 1974)

АКТУАЛЬНЫЕ ВОПРОСЫ РЕНТГЕНОЛОГИИ1. Центральный2. Периферический3. Бронхиоло-альвеолярныйВерхушечный рак - это периферический рак соотвествующей локализацииМедиастинальный и милиарный карциноз -

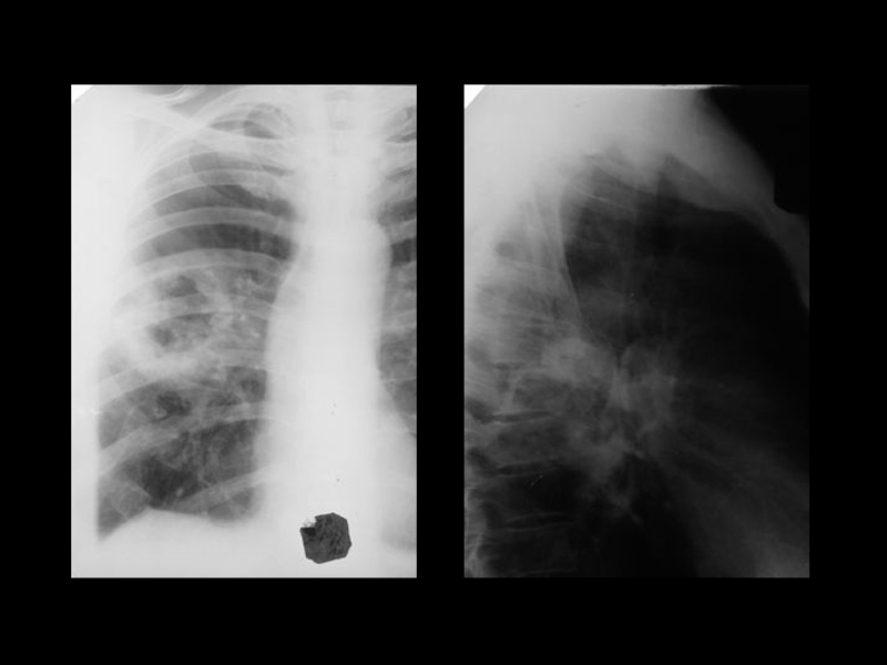
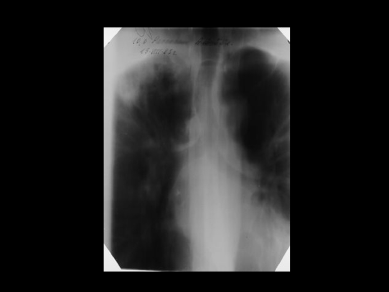
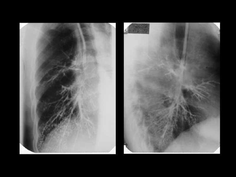
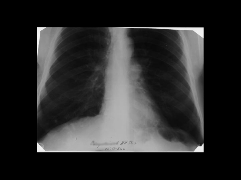
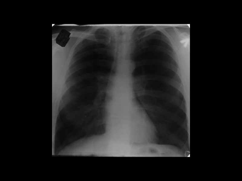
Слайд 5АКТУАЛЬНЫЕ ВОПРОСЫ РЕНТГЕНОЛОГИИ
Центральный рак легкого
ЛУЧЕВАЯ ДИАГНОСТИКА РАКА ЛЕГКОГО

АКТУАЛЬНЫЕ ВОПРОСЫ РЕНТГЕНОЛОГИИЦентральный рак легкогоЛУЧЕВАЯ ДИАГНОСТИКА РАКА ЛЕГКОГО

Обратная связь

Если не удалось найти и скачать доклад-презентацию, Вы можете заказать его на нашем сайте. Мы постараемся найти нужный Вам материал и отправим по электронной почте. Не стесняйтесь обращаться к нам, если у вас возникли вопросы или пожелания:

Email: Нажмите что бы посмотреть 

Что такое TheSlide.ru?

Это сайт презентации, докладов, проектов в PowerPoint. Здесь удобно  хранить и делиться своими презентациями с другими пользователями.


Для правообладателей

Яндекс.Метрика