Разделы презентаций


методы психофизиологии

Содержание

Психофизиология – наука о физиологических основах психической деятельности человека.Ноги стали ватнымиЭто его подкосилоСердце в пятки ушлоВосхищенье не снесла и к обедне умерлаКонец XIX века В.Вундт ввел термин физиологическая психология – наука,

Слайды и текст этой презентации

Слайд 1


Слайд 2Психофизиология – наука о физиологических основах психической деятельности человека.
Ноги стали

ватными
Это его подкосило
Сердце в пятки ушло
Восхищенье не снесла и к

обедне умерла
Конец XIX века В.Вундт ввел термин
физиологическая психология – наука, изучающая психологические возможности животных в экспериментальных условиях, направленных на изменение состояния их мозга, а также физиологических основ психической деятельности человека


Психофизиология – наука о физиологических основах психической деятельности человека.Ноги стали ватнымиЭто его подкосилоСердце в пятки ушлоВосхищенье не

Слайд 31978 Лурия ввел термин психологическая физиология – анализ не отдельных

физиологических процессов, а целостных форм психической деятельности, т.е. системный анализ
Психофизиология

– это наука о связи психических переживаний с физиологическими процессами, лежащими в основе этих переживаний, изучает поведение и внутренний мир человека через призму физиологических изменений.

1978 Лурия ввел термин психологическая физиология – анализ не отдельных физиологических процессов, а целостных форм психической деятельности,

Слайд 4История свидетельствует о многочисленных попытках анализа психологического состояния человека по

его физиологическим реакциям
А.Македонский – резко подносил к лицу новобранца

зажженный факел




В Китае подозреваемого в преступлении заставляли взять в рот пригоршню риса




Врач Гален описал резкое учащение пульса у женщины при произношении имени ее возлюбленного
История свидетельствует о многочисленных попытках анализа психологического состояния человека по его физиологическим реакциям А.Македонский – резко подносил

Слайд 51964г. Р.У. Эшби сформулировал принцип адекватности
Сложность объекта исследования предопределяет сложность

метода его исследования.
Головной мозг неправомерно изучать элементарными методами.

1964г. Р.У. Эшби сформулировал принцип адекватностиСложность объекта исследования предопределяет сложность метода его исследования.Головной мозг неправомерно изучать элементарными

Слайд 6Электрофизиология
Многие физиологические процессы являются электрохимическими, поэтому их можно изучать и

фиксировать, приложив электроды на изучаемый участок тела
Первый опыт Гальвани.
Гальвани в

1786г. при изучении влияния атмосферного электричества на живой организм размещал на железной решетке балкона задние лапки лягушки, закрепленные на медных крючках. При соприкосновении лапок с железной решеткой балкона наблюдалось сокращение мышц. На основании этих наблюдений Гальвани высказал мысль о существовании животного электричества. Но Вольт доказал, что в этом опыте причиной сокращения лапок лягушки был ток, возникающий между двумя разными металлами. В настоящее время опыт, в котором сокращение мышцы возникает при прикосновении к ней или к иннервирующему ее нерву пинцетом, состоящим из двух разнородных металлов, получил название первого опыта Гальвани.

Л.Гальвани А.Вольт

ЭлектрофизиологияМногие физиологические процессы являются электрохимическими, поэтому их можно изучать и фиксировать, приложив электроды на изучаемый участок телаПервый

Слайд 7Второй опыт Гальвани.
Второй опыт Гальвани проделал в 1794г. уже без

металлов. Приподнимая нерв нервно-мышечного препарата стеклянным крючком, он набрасывал его

на поврежденный участок мышцы и наблюдал ее сокращение. Так было доказано наличие животного электричества – тока покоя.

Второй опыт Гальвани.Второй опыт Гальвани проделал в 1794г. уже без металлов. Приподнимая нерв нервно-мышечного препарата стеклянным крючком,

Слайд 8Опыт Маттеучи (получение вторичного тетануса)
Сокращающаяся мышца одного нервно-мышечного препарата может

служить источником раздражения нерва другого нервно-мышечного препарата.

Опыт Маттеучи (получение вторичного тетануса)Сокращающаяся мышца одного нервно-мышечного препарата может служить источником раздражения нерва другого нервно-мышечного препарата.

Слайд 9Мембранный потенциал и потенциал действия
МП – это разница заряда между

наружной и внутренней стороной мембраны.
При раздражении в мышечной или нервной

клетке возникает изменение величины ее МП.
ПД - быстрое колебание величины МП, распространяющееся по всей клетке при нанесении порогового раздражителя.
ПД обладает рядом свойств:
Имеет четкий порог
Распространяется
Подчиняется закону «все или ничего»
По амплитуде превышает величину МП
на 30-50мВ.
В основе возникновения ПД лежат ионные процессы, происходящие на мембране клетки, - пассивные и активные механизмы транспорта ионов.

Мембранный потенциал и потенциал действияМП – это разница заряда между наружной и внутренней стороной мембраны.При раздражении в

Слайд 10Полиграф – прибор, позволяющий одновременно фиксировать изменения электрического потенциала по

нескольким каналам
ЭЭГ – электроды накладывают на поверхность головы
ЭКГ – электроды

накладываются на обеих руках, или на руке и ноге и в области сердца
КГР – кожно-гальваническая реакция – электроды на тыльной и ладонной поверхности руки
ЭМГ – электромиограмма – электроды располагаются вдоль мышцы
ЭОГ – электроды располагаются по обе стороны глаз
Полиграф – прибор, позволяющий одновременно фиксировать изменения электрического потенциала по нескольким каналамЭЭГ – электроды накладывают на поверхность

Слайд 11Электрическая запись
Биполярной

Монополярной
Оба электрода на

один из электродов на
исследуемом участке активной ткани (активный)
другой – на неактивной
(референтный)
Электрическая записьБиполярной

Слайд 12ЭЭГ
1929г. австрийский психиатр Ганс Бергер с помощью игольчатых платиновых электродов,

помещенных на различные точки головы, зарегистрировал электрическую активность мозга.
Открытие было

встречено очень холодно, так как не думали, что эта активность связана с деятельностью мозга
1935г. Эдриан и Мэттьюз продемонстрировали его на заседании Английского физиологического общества. Эдриан был в качестве испытуемого и закрывая глаза показал явление альфа-ритма на ЭЭГ.
ЭЭГ1929г. австрийский психиатр Ганс Бергер с помощью игольчатых платиновых электродов, помещенных на различные точки головы, зарегистрировал электрическую

Слайд 13Запись ЭЭГ

Запись ЭЭГ

Слайд 14Показатели ЭЭГ
Форма волны
Амплитуда – расстояние от базовой линии до пика

волны или измерение от пика до пика
Частота – число полных

циклов, совершаемых волной за 1 сек, измеряется в Гц.
Расположение электродов – Международная федерация общества ЭЭГ рекомендует стандартный метод по системе «10-20» :
- расстояние по сагиттальной линии между носовой впадиной и затылочным бугром
расстояние во фронтальной плоскости - длина от одного наружного слухового прохода через макушку головы до другого
длину окружности головы
Показатели ЭЭГФорма волныАмплитуда – расстояние от базовой линии до пика волны или измерение от пика до пикаЧастота

Слайд 15Значение ЭЭГ
Информативен при диагностике
Эпилепсии
Мозговых опухолей
Исследовании стадий сна и бодрствования

Не позволяет
Изучать

возбуждение отдельных нейронов или нейронных ассоциаций

Значение ЭЭГИнформативен при диагностикеЭпилепсииМозговых опухолейИсследовании стадий сна и бодрствованияНе позволяетИзучать возбуждение отдельных нейронов или нейронных ассоциаций

Слайд 16Ритмы ЭЭГ (описал Бергер)
Альфа-ритм – частота 8-12 Гц, амплитуда 50

мкВ – спокойное бодрствование с закрытыми глазами, преимущественно в затылочных

областях; отсутствует у слепорожденных
Мю-ритм – в роландовой борозде
Каппа-ритм – в височном отведении
Бета-ритм – частота более 13 Гц, амплитуда 25 мкВ

ß

á

Ритмы ЭЭГ (описал Бергер)Альфа-ритм – частота 8-12 Гц, амплитуда 50 мкВ – спокойное бодрствование с закрытыми глазами,

Слайд 18Ритмы ЭЭГ (описал Бергер)
Тета – волны –3,5-7,5 Гц, 5-100 мкВ,

наблюдается в прецентральных и фронтальных областях
Дельта – волны –1-3,5 Гц,

20-200 мкВ, нет определенной локализации
Гамма – волны –более 30 Гц, 2мкВ, наблюдаются в прецентральных, фронтальных, височных и теменных областях
Медленные и сверхмедленные потенциалы – период от нескольких секунд и более


Т

Ритмы ЭЭГ (описал Бергер)Тета – волны –3,5-7,5 Гц, 5-100 мкВ, наблюдается в прецентральных и фронтальных областяхДельта –

Слайд 19Волны ЭЭГ, отличающиеся от фона
К-комплекс – это сочетание медленной волны

с острой волной, вслед за которыми идут волны частотой 14Гц,

возникает во время сна или спонтанно у бодрствующего человека, амплитуда до 200мВ
Ламбда-волны – монофазные положительные острые волны, возникающие в окципитальной области, связанные с движением глаз, частота 12-14Гц, амплитуда меньше 50мВ
Мю-ритм – группа аркообразных или гребневидных волн частотой 7-11Гц, амплитуда меньше 50мВ, регистрируются в центральной области головы, блокируются двигательной активностью или тактильной стимуляцией
Спайк – волна с выраженным пиком длительностью от 20 до 70 мс
Острая волна – волна с подчеркнутым пиком, длительностью 70-200 мс
Волны ЭЭГ, отличающиеся от фонаК-комплекс – это сочетание медленной волны с острой волной, вслед за которыми идут

Слайд 22Картирование мозга
Разные частоты разлагают с помощью Фурье-анализа, рассчитывается мощность ЭЭГ

в каждой частотной полосе для всех отведений и с помощью

цветовых шкал в виде наглядных картин, где цвет отражает интенсивность ритмов каждого диапазона в разных частях мозга
Картирование мозгаРазные частоты разлагают с помощью Фурье-анализа, рассчитывается мощность ЭЭГ в каждой частотной полосе для всех отведений

Слайд 23Импульсная активность отдельных нейронов
Только у животных или во время операций

на мозге человека
Впервые активность коркового нейрона зарегистрирована А.Уардом и Л.Томасом

в 1955г. в процессе операции у больного по поводу эпилепсии
Электроды вводятся в мозг с помощью специальных микроманипуляторов
Импульсная активность отдельных нейроновТолько у животных или во время операций на мозге человекаВпервые активность коркового нейрона зарегистрирована

Слайд 24Стереотаксические операции

С 1964г. регистрация импульсной активности нейронов подкорковых структур

мозга
Стереотаксический аппарат позволяет вводить электрод с большой точностью в необходимую

структуру, расположенную в глубине мозга
Стереотаксические операции С 1964г. регистрация импульсной активности нейронов подкорковых структур мозгаСтереотаксический аппарат позволяет вводить электрод с большой

Слайд 25Регистрация вызванных потенциалов мозга человека
XIX век Р.Кейтон описал феномен ВП
ВП

– специфическая активность нейронов, выявляемая при действии стимулов
ВП включает отрицательные

и положительные отклонения от основной линии
ВП длиться около 500мс после окончания действия стимула
ВП имеет амплитуду и латентный период
Первичные ВП – возникают в проекционной зоне соответствующего анализатора и имеют короткий латентный период
Вторичные ВП (поздние ответы) – имеют пространственное распределение и большой латентный период
Регистрация вызванных потенциалов мозга человекаXIX век Р.Кейтон описал феномен ВПВП – специфическая активность нейронов, выявляемая при действии

Слайд 26Метод вызванных потенциалов

Метод вызванных потенциалов

Слайд 29Электромиография
Метод регистрации суммарных колебаний электрической активности, возникающей при сокращении мышц
Поверхностная

ЭМГ суммарно отражает разряды двигательных единиц, вызывающих сокращение

ЭлектромиографияМетод регистрации суммарных колебаний электрической активности, возникающей при сокращении мышцПоверхностная ЭМГ суммарно отражает разряды двигательных единиц, вызывающих

Слайд 30 Электроокулография
Регистрация электрической активности, возникающей при движении глаз
Роговица глаза имеет

положительный заряд относительно сетчатки, что называется корнеоретинальным потенциалом, при изменении

положения глаза происходит переориентация этого потенциала, которая фиксируется прибором
Перед записью производят калибровку, для чего испытуемый смотрит вперед – нулевая линия ЭОГ, вверх, вниз, в стороны
Применяются небольшие электроды, располагающиеся на коже вблизи глаз
ЭлектроокулографияРегистрация электрической активности, возникающей при движении глазРоговица глаза имеет положительный заряд относительно сетчатки, что называется корнеоретинальным

Слайд 31Электроокулограмма (ЭОГ)

Электроокулограмма (ЭОГ)

Слайд 32Кожно-гальваническая реакция (КГР)
Электрическая активность кожи
1 способ 1888г. Фере измеряет кожное сопротивление,

отражает состояние потовых желез
2 способ 1889г. И.Р. Тарханов измеряет разность

потенциалов между двумя точками на поверхности кожи, включает эпидермальный компонент, не связанный с активностью потовых желез
КГР достоверно отражает быстропротекающие процессы в ЦНС
Различают КГР спонтанную – развивается при отсутствии внешнего воздействия и вызванную – реакция на внешний стимул
Используют неполяризующиеся электроды, накладываемые на ладонную и тыльную поверхность рук, кончики пальцев, иногда – на лоб или ступни ног
Кожно-гальваническая реакция (КГР)Электрическая активность кожи1 способ 1888г. Фере измеряет кожное сопротивление, отражает состояние потовых желез2 способ 1889г.

Слайд 33Оценка локального кровотока мозга
Интенсивность кровотока мозга отражает скорость обменных процессов

.
Нильс Лассен и Дэвид Ингвар разработали современные методы оценки кровотока

мозга.
В сонные артерии вводят радиоактивный изотоп ксенон, через 10 сек. с помощью специальных детекторов наблюдают за током крови.
Изотоп испускает гамма-излучения, которое считается безвредным, сам изотоп вымывается из крови в течение 15 мин, наблюдать можно в течение 40-50 сек.
Недостаток метода – изучение ограниченных участков мозга, кровоснабжаемых сонной артерией
Сейчас испытуемый в течение 1 мин. вдыхает смесь воздуха с изотопом ксенона, а шлем со специальными датчиками детектирует изотопы.
Оценка локального кровотока мозгаИнтенсивность кровотока мозга отражает скорость обменных процессов .Нильс Лассен и Дэвид Ингвар разработали современные

Слайд 34Ангиография

Ангиография

Слайд 35Реоэнцефалография
Метод исследования кровообращения ГМ, основанный на регистрации изменений пассивных

электрических характеристик между электродами, фиксированными на кожных покровах головы
Электрические параметры

тканей мозга различны, поэтому любые изменения в закрытой черепной коробке будут отражаться на комплексном электрическом сопротивлении
Приборы РЭГ – приставка с внутренним усилителем к ЭЭГ или ЭКГ
Реоэнцефалография Метод исследования кровообращения ГМ, основанный на регистрации изменений пассивных электрических характеристик между электродами, фиксированными на кожных

Слайд 36Томографические методы
Томография – получение отображения срезов мозга с помощью специальных

техник
1972 Дж.Родон высказал идею, что структуру можно восстановить по совокупности

его проекций
1973 А.Кормак, Г.Хаунсфилд – первый компьютерный томограф, получили Нобелевскую премию в 1979
Томограф позволяет изучать мозг прижизненно
Томографические методыТомография – получение отображения срезов мозга с помощью специальных техник1972 Дж.Родон высказал идею, что структуру можно

Слайд 37Компьютерная томография
Позволяет визуализировать особенности строения мозга человека с помощью компьютера

и рентгеновской установки

Источник рентгеновских лучей вращается в одной плоскости вокруг

головы, рентгеновские детекторы постоянно регистрируют интенсивность проходящего сквозь голову излучения, компьютер преобразует полученные данные в рисунки срезов мозга различной глубины
Толщина срезов не более 5 мм
Для улучшения качества изображения перед исследованием пациенту вводят контрастное вещество, например, верографин (содержит йод)
Эффективна при диагностике инсультов, рассеянного склероза, опухолей
Компьютерная томографияПозволяет визуализировать особенности строения мозга человека с помощью компьютера и рентгеновской установкиИсточник рентгеновских лучей вращается в

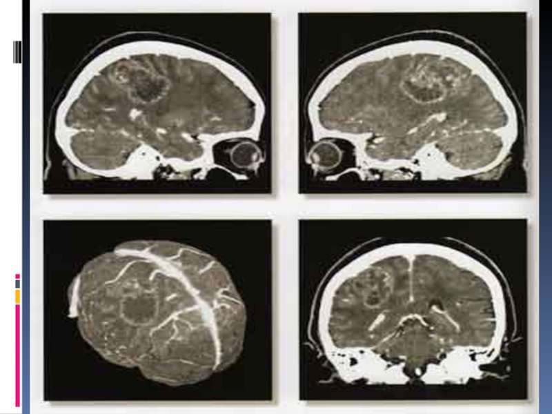
Слайд 38Компьютерная томография

Компьютерная томография

Слайд 40Позитронно-эмиссионная томография (ПЭТ)
Оценивает метаболическую активность в различных участках мозга
Испытуемый проглатывает

радиоактивное соединение (2-дезоксиглюкоза, изотоп углерода, фтора, кислорода, азота), позволяющее проследить

изменение кровотока, что косвенно указывает на уровень метаболической активности
Время полураспада изотопов от 110 сек для фтора до 120 сек для кислорода
Радиоактивные изотопы излучают позитроны, которые встречая в мозге электроны, уничтожаются, излучая гамма-лучи.
Позитронно-эмиссионная томография (ПЭТ)Оценивает метаболическую активность в различных участках мозгаИспытуемый проглатывает радиоактивное соединение (2-дезоксиглюкоза, изотоп углерода, фтора, кислорода,

Слайд 41Позитронно-эмиссионная томография

Позитронно-эмиссионная томография

Слайд 42Позитронно-эмиссионная томография (ПЭТ)
В специальной камере монтируются детекторы гамма-лучей, собранные в

кольца
В камеру помещается голова испытуемого
Полученные данные обрабатываются компьютером
ПЭТ позволяет снимать

«динамические картины» функционирования мозга, решающего ту или иную задачу или пребывающего во сне
Недостаток метода – не фиксируются быстропротекающие процессы, так как и кислород, и глюкоза попадают в мозг с током крови в течение нескольких минут
Позитронно-эмиссионная томография (ПЭТ)В специальной камере монтируются детекторы гамма-лучей, собранные в кольцаВ камеру помещается голова испытуемогоПолученные данные обрабатываются

Слайд 45PET (positron emission tomography) scan

PET (positron emission tomography) scan

Слайд 47Ядерно-магнитный резонанс
Визуализация мозга без использования радиоактивных лучей
Вокруг головы создается сильное

магнитное поле, которое воздействует на ядра атомов водорода
Атомы водорода из

хаотичного направления переходят в строго ориентированное, а после выключения магнитного поля начинают излучать энергию, которую и фиксирует датчик и передает на компьютер, воспроизводя послойное изображение мозга
Могут использоваться контрастные вещества – таллий и гадолиний
ЯМР позволяет видеть клеточные структуры коры ГМ при жизни человека
Ядерно-магнитный резонансВизуализация мозга без использования радиоактивных лучейВокруг головы создается сильное магнитное поле, которое воздействует на ядра атомов

Слайд 48Ядерно-магнитный резонанс

Ядерно-магнитный резонанс

Обратная связь

Если не удалось найти и скачать доклад-презентацию, Вы можете заказать его на нашем сайте. Мы постараемся найти нужный Вам материал и отправим по электронной почте. Не стесняйтесь обращаться к нам, если у вас возникли вопросы или пожелания:

Email: Нажмите что бы посмотреть 

Что такое TheSlide.ru?

Это сайт презентации, докладов, проектов в PowerPoint. Здесь удобно  хранить и делиться своими презентациями с другими пользователями.


Для правообладателей

Яндекс.Метрика