Разделы презентаций


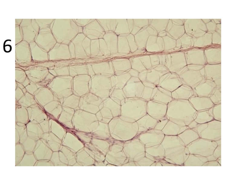
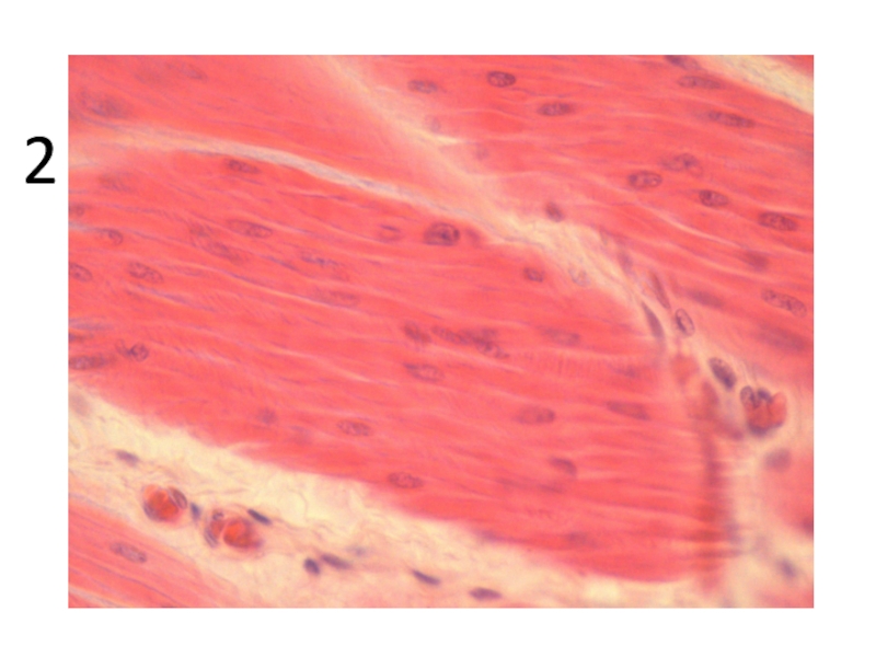
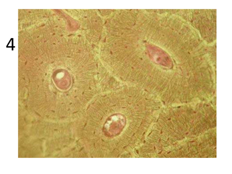
Определите вид ткани, ответы запишите в тетрадь

Содержание

Тема урока: Системы органов в организме. Уровни организации организма. Нервная и гуморальная регуляции.

Слайды и текст этой презентации

Слайд 1Определите вид ткани, ответы запишите в тетрадь
1

Определите вид ткани, ответы запишите в тетрадь1

Слайд 8Тема урока: Системы органов в организме. Уровни организации организма. Нервная и гуморальная

регуляции.

Тема урока:  Системы органов в организме. Уровни организации организма. Нервная и гуморальная регуляции.

Слайд 9Все живое на Земле, и человек в том числе, представлено

несколькими уровнями организации:

Все живое на Земле, и человек в том числе, представлено несколькими уровнями организации:

Слайд 10Представлен молекулами химических веществ, входящих в состав организма
Молекулярный уровень
Наука, изучающая

этот уровень - Биохимия

Представлен молекулами химических веществ, входящих в состав организмаМолекулярный уровеньНаука, изучающая этот уровень - Биохимия

Слайд 11Клеточный уровень
Представлен всеми видами клеток организма
Наука, изучающая этот уровень Цитология

Клеточный уровеньПредставлен всеми видами клеток организмаНаука, изучающая этот уровень Цитология

Слайд 12Тканевый уровень
Представлен всеми видами тканей организма
Наука, изучающая этот уровень Гистология

Тканевый уровеньПредставлен всеми видами тканей организмаНаука, изучающая этот уровень Гистология

Слайд 13Органный и системный уровень
Представлен всеми органами и системами органов организма
Наука,

изучающая этот уровень - Анатомия

Органный и системный уровеньПредставлен всеми органами и системами органов организмаНаука, изучающая этот уровень - Анатомия

Слайд 14Орган это
Часть тела, имеющая определенную форму, строение

и выполняющая определенные функции.

Органы, выполняющие схожие функции объединяются

в системы.

На следующих слайдах – все системы органов человека:
Орган это   Часть тела, имеющая определенную форму, строение и выполняющая определенные функции.  Органы, выполняющие

Слайд 16Опорно-двигательная система

Опорно-двигательная система

Слайд 17Пищеварительная система

Пищеварительная система

Слайд 18Иммунная система

Иммунная система

Слайд 19Кровеносная система

Кровеносная система

Слайд 20Дыхательная система

Дыхательная система

Слайд 21Мочевыделительная система

Мочевыделительная система

Слайд 22Нервная система

Нервная система

Слайд 24Репродуктивная система

Репродуктивная система

Слайд 26Д/З
§5 стр. 27
В-сы стр. 33-34 – устно

Д/З§5 стр. 27В-сы стр. 33-34 – устно

Обратная связь

Если не удалось найти и скачать доклад-презентацию, Вы можете заказать его на нашем сайте. Мы постараемся найти нужный Вам материал и отправим по электронной почте. Не стесняйтесь обращаться к нам, если у вас возникли вопросы или пожелания:

Email: Нажмите что бы посмотреть 

Что такое TheSlide.ru?

Это сайт презентации, докладов, проектов в PowerPoint. Здесь удобно  хранить и делиться своими презентациями с другими пользователями.


Для правообладателей

Яндекс.Метрика