Разделы презентаций


Основные синдромы патологии органов дыхания

Содержание

Рентгенография – основной метод исследования органов грудной клетки, используется при всех заболеваниях легких, сердца, позволяет также оценить гемодинамику малого круга кровообращения. Выполняется в стандартных проекциях (прямой и боковой)

Слайды и текст этой презентации

Слайд 1Основные синдромы патологии органов дыхания

Основные синдромы  патологии органов дыхания

Слайд 2Рентгенография – основной метод исследования органов грудной клетки, используется при

всех заболеваниях легких, сердца, позволяет также оценить гемодинамику малого круга кровообращения. Выполняется

в стандартных проекциях (прямой и боковой)
Рентгенография  – основной метод исследования органов грудной клетки, используется при всех заболеваниях легких, сердца, позволяет также

Слайд 3Линейная томография (рентгеновская) – послойное исследование любого органа, в том числе

и органов грудной клетки: легких, трахеи, бронхов, внутригрудных лимфатических узлов.
Основные

показания: - новообразования ОГК; - туберкулез легких и ВГЛУ; - воспалительные процессы в легких; - деструктивные процессы в легких; - лимфоаденопатия;
Линейная томография (рентгеновская) – послойное исследование любого органа, в том числе и органов грудной клетки: легких, трахеи,

Слайд 4Бронхография – метод искусственного контрастирования бронхиального дерева рентгеноконтрастными веществами.
Основные показания: - аномалии

развития трахеи и бронхов; - подозрения на бронхоэктазы; - деструкции легких; - подозрение

на наличие бронхопульмонального или бронхоплеврального свища;
Бронхография – метод искусственного контрастирования бронхиального дерева рентгеноконтрастными веществами.Основные показания: - аномалии развития трахеи и бронхов; -

Слайд 5Флюорография ОГК – рентгенологический скрининг, используемый при проведении массовых исследований населения

для выявления скрыто протекающих поражений легких.

Флюорография ОГК – рентгенологический скрининг, используемый при проведении массовых исследований населения для выявления скрыто протекающих поражений легких.

Слайд 6Компьютерная томография ОГК – послойное рентгеновское исследование органов и тканей

в аксиальной проекции.
Основные показания: - диагностика опухолей легких, в том числе

и при отрицательной рентгенологической картине; - выявление метастазов и метастатического поражения ВГЛУ; - оценка распространенности опухолей легкого; - опухоли плевры, оценка состояния легких при массивных плевральных выпотах; - новообразования средостения, в том числе сердца; - туберкулез легких и ВГЛУ (локализация, осложнения, диф. диагностика); - диссеминированные поражения легких.
Компьютерная томография ОГК  – послойное рентгеновское исследование органов и тканей в аксиальной проекции.Основные показания: - диагностика

Слайд 7Ультразвуковое исследование – неинвазивный, радиационно безопасный метод.

Основные показания: - подозрение на

плевральный выпот различной этиологии (минимальное количество выявляемой жидкости 10 мл.); -

опухоли плевры и пристеночные новообразования.
Ультразвуковое исследование  – неинвазивный, радиационно безопасный метод.Основные показания: - подозрение на плевральный выпот  различной этиологии

Слайд 8Радионуклидное исследование легких – позволяет оценить состояние вентиляции, перфузии, легочного

капиллярного кровотока, получить качественные и количественные показатели поступления и выведения

газов.
Основные показания: - тромбоэмоблия легочных артерий; - определение нарушения перфузии и вентиляции у больных с обструктивным синдромом легких;

Перфузионная сцинтиграфия легких
(признаки тромбоэмболии ветвей легочной артерии)

Радионуклидное исследование легких  – позволяет оценить состояние вентиляции, перфузии, легочного капиллярного кровотока, получить качественные и количественные

Слайд 9Магнитно-резонансная томография ОГК – применяется в отдельных случаях, когда рентгенография

в сочетании с КТ оказались недостаточными для постановки диагноза.
Основные показания: -

подозрение на объемные образования средостения и корней легких; - окклюзии или аневризмы сосудов средостения и грудного отдела аорты; - заболевания артерий легких (аномалии); - определение стадии рака легкого и других опухолей;
Магнитно-резонансная томография ОГК  – применяется в отдельных случаях, когда рентгенография в сочетании с КТ оказались недостаточными

Слайд 10Основные синдромы
патологии органов дыхания:

Синдром затемнения


2. Синдром просветления


3. Синдром деформации
легочного

рисунка

4. Синдром патологии корня легкого

Основные синдромы патологии органов дыхания:Синдром затемнения2. Синдром просветления3. Синдром деформациилегочного рисунка4. Синдром патологии	корня легкого

Слайд 11СИНДРОМ
ЗАТЕМНЕНИЯ

СИНДРОМ ЗАТЕМНЕНИЯ

Слайд 12Характеристика затемнения
1. Локализация (поля, зоны, ребра, доли, сегменты)
2. Протяженность (тотальное,

субтотальное, ограниченное)
3. Интенсивность (высокая, средняя, низкая – эталон сосуды или

ребра)
4. Структура (однородная, неоднородная)
5. Форма (округлая, треугольная и т.п.)
6. Характер контуров (четкие, нечеткие)
Характеристика затемнения1. Локализация (поля, зоны, ребра, доли, сегменты)2. Протяженность (тотальное, субтотальное, ограниченное)3. Интенсивность (высокая, средняя, низкая –

Слайд 13Жидкость в альвеолах (экссудат, транссудат, кровь, лимфа)
Замещение воздушной легочной ткани

безвоздушным образованием
Жидкость в плевральной полости (экссудат, транссудат, гной, кровь, лимфа)
Спадение

стенок альвеол (отсутствие сурфактанта, обтурация бронха)


Причины затемнения

Жидкость в альвеолах (экссудат, транссудат, кровь, лимфа)Замещение воздушной легочной ткани  безвоздушным образованиемЖидкость в плевральной полости

Слайд 14Протяженность затемнения

Тотальное
- все 3 легочных поля

2. Субтотальное
- 1

или 2 легочных поля

Протяженность затемненияТотальное - все 3 легочных поля2. Субтотальное - 1 или 2 легочных поля

Слайд 15ТОТАЛЬНОЕ И СУБТОТАЛЬНОЕ ЗАТЕМНЕНИЕ
Причины: - воспалительный заболевания легких (пневмония, туберкулез) - жидкость

в плевральной полости; - ателектаз; - отек; - цирроз; - опухоль; - фиброторакс (только для

тотального)
ТОТАЛЬНОЕ И СУБТОТАЛЬНОЕ ЗАТЕМНЕНИЕПричины: - воспалительный заболевания легких (пневмония, туберкулез) - жидкость в плевральной полости; - ателектаз;

Слайд 20Ограниченные затемнения
Очаговая тень
Округлая тень
Кольцевидная тень

Ограниченные затемнения Очаговая тень Округлая тень Кольцевидная тень

Слайд 21Ограниченные затемнения
Очаговая тень
Округлая тень
Кольцевидная тень

Ограниченные затемнения Очаговая тень Округлая тень Кольцевидная тень

Слайд 22РАЗМЕРЫ ОЧАГОВЫХ ТЕНЕЙ
- до 2 мм - милиарные
- 2 -

4 мм - мелкие
- 4 - 8 мм - средние
-

8 - 12-15 - крупные
РАЗМЕРЫ ОЧАГОВЫХ ТЕНЕЙ- до 2 мм - милиарные- 2 - 4 мм - мелкие- 4 - 8

Слайд 23ОЧАГОВАЯ ТЕНЬ
ЧАСТЫЕ ПРИЧИНЫ:
- туберкулез (очаговый, диссеминированный)
- очаговая пневмония
опухоль (первичная,

вторичная)
РЕДКИЕ ПРИЧИНЫ:
- дольковый ателектаз
- дольковый отек
- кровоизлияния
- саркоидоз
- продукты накопления

ОЧАГОВАЯ ТЕНЬЧАСТЫЕ ПРИЧИНЫ:- туберкулез (очаговый, диссеминированный)- очаговая пневмония опухоль (первичная, вторичная)РЕДКИЕ ПРИЧИНЫ:- дольковый ателектаз- дольковый отек- кровоизлияния-

Слайд 28ДИССЕМИНАЦИЯ ОЧАГОВЫХ ТЕНЕЙ
Рассеяние очаговых теней на протяжении одного или нескольких

легочных полей
- ОГРАНИЧЕННАЯ
- РАСПРОСТРАНЕННАЯ

ДИССЕМИНАЦИЯ ОЧАГОВЫХ ТЕНЕЙРассеяние очаговых теней на протяжении одного или нескольких легочных полей- ОГРАНИЧЕННАЯ- РАСПРОСТРАНЕННАЯ

Слайд 29ДИССЕМИНАЦИЯ
ЧАСТЫЕ ПРИЧИНЫ:
диссеминированный туберкулез легких
метастазы
пневмония при сепсисе
РЕДКИЕ

ПРИЧИНЫ:
- пневмокониозы
- ацинозно-дольковый отек
- гемосидероз
- саркоидоз
- альвеолиты

ДИССЕМИНАЦИЯЧАСТЫЕ ПРИЧИНЫ: диссеминированный туберкулез легких метастазы пневмония при сепсисе РЕДКИЕ ПРИЧИНЫ:- пневмокониозы- ацинозно-дольковый отек - гемосидероз- саркоидоз-

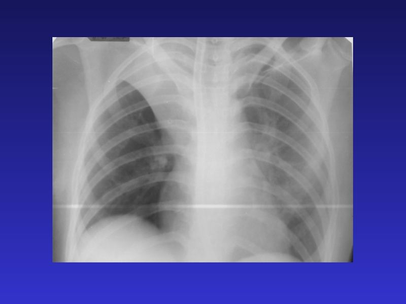
Слайд 30Туберкулез подострый диссеминированный

Туберкулез подострый диссеминированный

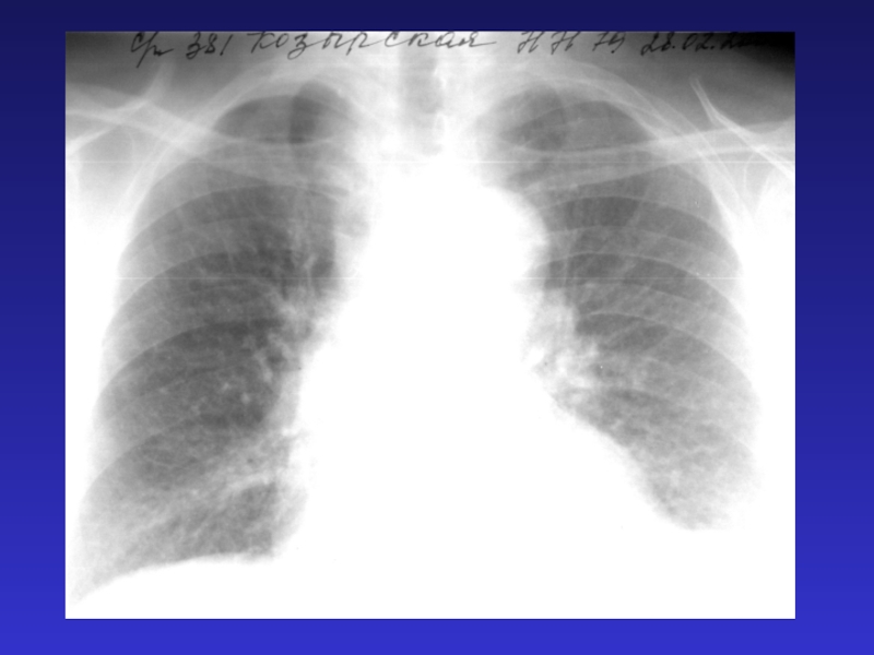
Слайд 31Туберкулез хр. диссеминированный

Туберкулез хр. диссеминированный

Слайд 32Метастазы

Метастазы

Слайд 33Пневмония при сепсисе

Пневмония при сепсисе

Слайд 34Силикоз

Силикоз

Слайд 35Силикотуберкулез

Силикотуберкулез

Слайд 36Альвеолярный отек

Альвеолярный отек

Слайд 37Гемосидероз

Гемосидероз

Слайд 38Ограниченные затемнения
Очаговая тень
Округлая тень
Кольцевидная тень

Ограниченные затемнения Очаговая тень Округлая тень Кольцевидная тень

Слайд 39ОКРУГЛАЯ ТЕНЬ
РАЗМЕРЫ
от 1.5 до 6-12 см
и больше

ОКРУГЛАЯ ТЕНЬРАЗМЕРЫ от 1.5 до 6-12 сми больше

Слайд 40ОКРУГЛАЯ ТЕНЬ причины:
- опухоль
- туберкулома
недренированный абсцесс
киста

ОКРУГЛАЯ ТЕНЬ причины:- опухоль - туберкулома недренированный абсцесс киста

Слайд 46Ограниченные затемнения
Очаговая тень
Округлая тень
Кольцевидная тень

Ограниченные затемнения Очаговая тень Округлая тень Кольцевидная тень

Слайд 47КОЛЬЦЕВИДНАЯ ТЕНЬ
ТЕНЬ В ФОРМЕ КОЛЬЦА (ОБОДКА) С ЗАМКНУТЫМИ КОНТУРАМИ
- воздушная

киста
- каверна
- дренированный абсцесс
- распадающийся периферический рак

легкого

причины:

КОЛЬЦЕВИДНАЯ ТЕНЬТЕНЬ В ФОРМЕ КОЛЬЦА (ОБОДКА) С ЗАМКНУТЫМИ КОНТУРАМИ- воздушная киста- каверна- дренированный абсцесс- распадающийся

Слайд 54СИНДРОМ ОБШИРНОГО ПРОСВЕТЛЕНИЯ
ПРИЧИНЫ:
1. пневмоторакс
2. эмфизема легких
- клапанная
- компенсаторная
- центрилобулярная
3. гипоплазия

(стеноз) легочной артерии
4. крупная воздушная полость

СИНДРОМ ОБШИРНОГО ПРОСВЕТЛЕНИЯПРИЧИНЫ:1. пневмоторакс2. эмфизема легких	- клапанная	- компенсаторная	- центрилобулярная3. гипоплазия (стеноз) легочной 	артерии4. крупная воздушная полость

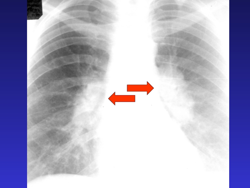
Слайд 55Пневмоторакс -
газ в плевральной полости
Симптомы:
- просветление без легочного рисунка
-

виден край коллабированного легкого

Пневмоторакс - газ в плевральной полостиСимптомы:- просветление без легочного рисунка- виден край коллабированного легкого

Слайд 57Гидропневмоторакс - сочетание воздуха и жидкости в плевральной полости
Жидкость

- затемнение с горизонтальной верхней границей

Гидропневмоторакс - сочетание воздуха и жидкости в плевральной полости Жидкость - затемнение с горизонтальной верхней границей

Слайд 60Эмфизема легких (симптомы):
Бочкообразная деформация грудной клетки;
Повышение прозрачности легких;
Уплощение куполов диафрагмы;
Уменьшение

тени сердца в поперечнике

Эмфизема легких (симптомы):Бочкообразная деформация грудной клетки;Повышение прозрачности легких;Уплощение куполов диафрагмы;Уменьшение тени сердца в поперечнике

Слайд 61ЭМФИЗЕМА ЛЕГКИХ

ЭМФИЗЕМА ЛЕГКИХ

Слайд 65СИМПТОМ ОГРАНИЧЕННОГО ПРОСВЕТЛЕНИЯ -
кольцевидная тень

СИМПТОМ ОГРАНИЧЕННОГО ПРОСВЕТЛЕНИЯ - кольцевидная тень

Слайд 66Критерии структурности легочного рисунка
Радиальное расхождение;
Дихотомическое деление;
Сужение к периферии;
Четкие, ровные контуры.

Критерии структурности легочного рисункаРадиальное расхождение;Дихотомическое деление;Сужение к периферии;Четкие, ровные контуры.

Слайд 67Синдром деформации легочного рисунка
- обогащение легочного рисунка
-

деформация и неструктурность легочного рисунка
- обеднение легочного рисунка

Синдром деформации легочного рисунка-  обогащение легочного  		рисунка-  деформация и 					неструктурность 				легочного рисунка -

Слайд 68Синдром деформации легочного рисунка
- обогащение легочного рисунка
-

деформация и неструктурность легочного рисунка
- обеднение легочного рисунка

Синдром деформации легочного рисунка-  обогащение легочного  	рисунка-  деформация и 					неструктурность 				легочного рисунка -

Слайд 69Обогащение легочного рисунка -
увеличение элементов легочного рисунка на единицу площади

Обогащение легочного рисунка -увеличение элементов легочного рисунка на единицу площади

Слайд 70Причина обогащения
1. фаза выдоха
2. нарушение гемодинамики:
а) при врожденных и

приобретенных пороках сердца
б) при нарушении сократительной функции левого желудочка

Причина обогащения1. фаза выдоха2. нарушение гемодинамики: а) при врожденных и 			приобретенных пороках 	сердца б) при нарушении 				сократительной

Слайд 72Синдром деформации легочного рисунка
- обогащение легочного рисунка
-

деформация и неструктурность легочного рисунка
- обеднение легочного рисунка

Синдром деформации легочного рисунка-  обогащение легочного  		рисунка-  деформация и 				неструктурность 			легочного рисунка -

Слайд 73Деформация и неструктурность легочного рисунка -
1) Отсутствие четкости наружного контура

элементов легочного рисунка
2) Нарушение обычной архитектоники легочного рисунка

Деформация и неструктурность легочного рисунка -1) Отсутствие четкости 				наружного контура элементов 	легочного рисунка2) Нарушение обычной 				архитектоники легочного

Слайд 74Причина деформации и неструктурности

- нарушение гемодинамики

- интерстициальный отек

- пневмофиброз

Причина деформации и неструктурности- нарушение гемодинамики- интерстициальный отек- пневмофиброз

Слайд 78Синдром деформации легочного рисунка
- обогащение легочного рисунка
-

деформация и неструктурность легочного рисунка
- обеднение легочного рисунка

Синдром деформации легочного рисунка-  обогащение легочного  		рисунка-  деформация и 					неструктурность 				легочного рисунка -

Слайд 79Обеднение легочного рисунка -
уменьшение элементов легочного рисунка на единицу площади

Обеднение легочного рисунка -уменьшение элементов легочного рисунка на единицу площади

Слайд 80Причины обеднения:
- фаза глубокого вдоха
- эмфизема (все виды)
-

стеноз или гипоплазия легочной артерии

Причины обеднения:-  фаза глубокого вдоха-  эмфизема (все виды)-  стеноз или гипоплазия 	легочной артерии

Слайд 82Критерии структурности корня легкого
Ширина легочной артерии – до 15 мм;


Визуализация промежуточного бронха (10 мм);
Сужение к периферии легочной артерии;
Четкие, ровные контуры

легочной артерии.

Критерии структурности корня легкогоШирина легочной артерии – до 15 мм; Визуализация промежуточного бронха (10 мм);Сужение к периферии

Слайд 83Синдром патологии
корня легкого -
неструктурность и расширение корня легкого

Синдром патологии корня легкого -неструктурность и расширение корня легкого

Слайд 84Причины патологии корня
- увеличение лимфатических узлов - лимфаденопатия
- нарушение

гемодинамики – ЛВГ и ЛАГ

Причины патологии корня - увеличение лимфатических 	узлов - лимфаденопатия- нарушение гемодинамики – 	ЛВГ и ЛАГ

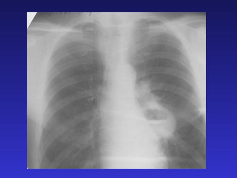
Слайд 88Расширение легочной артерии

Расширение легочной артерии

Обратная связь

Если не удалось найти и скачать доклад-презентацию, Вы можете заказать его на нашем сайте. Мы постараемся найти нужный Вам материал и отправим по электронной почте. Не стесняйтесь обращаться к нам, если у вас возникли вопросы или пожелания:

Email: Нажмите что бы посмотреть 

Что такое TheSlide.ru?

Это сайт презентации, докладов, проектов в PowerPoint. Здесь удобно  хранить и делиться своими презентациями с другими пользователями.


Для правообладателей

Яндекс.Метрика