Разделы презентаций


Пневмонии. Этиология, патогенез, классификация, клинические формы, принципы

Содержание

План лекцииОпределение, актуальность пневмонииПатогенез пневмонииКлассификация пневмонииКритерии диагностики пневмонииПринципы лечения: организация режима, аэротерапия, антибактериальная терапия, иммунотерапия и физиотерапевтические методы лечения, профилактика

Слайды и текст этой презентации

Слайд 1 Пневмонии. Этиология, патогенез, классификация, клинические формы, принципы лечения. профилактика.

Пневмонии. Этиология, патогенез, классификация, клинические формы, принципы лечения. профилактика.

Слайд 2План лекции
Определение, актуальность пневмонии
Патогенез пневмонии
Классификация пневмонии
Критерии диагностики пневмонии
Принципы лечения: организация

режима, аэротерапия, антибактериальная терапия, иммунотерапия и физиотерапевтические методы лечения, профилактика


План лекцииОпределение, актуальность пневмонииПатогенез пневмонииКлассификация пневмонииКритерии диагностики пневмонииПринципы лечения: организация режима, аэротерапия, антибактериальная терапия, иммунотерапия и физиотерапевтические

Слайд 3Пневмония - это неспецифическое воспаление легочной ткани, в основе которого

лежит инфекционный токсикоз, дыхательная недостаточность, водно-электролитные и другие метаболические нарушения

с патологическими изменениями во всех органах и системах детского организма.
Пневмония - это неспецифическое воспаление легочной ткани, в основе которого лежит инфекционный токсикоз, дыхательная недостаточность, водно-электролитные и

Слайд 4Актуальность:
Заболеваемость пневмоний составляет от 4 до 20 случаев на 1000

детей в возрасте от 1 месяца до 15 лет.
В Украине

наблюдается увеличение распространённости пневмонии среди детей в последние три года (от 8,66 до 10,34).
Летальность от пневмонии среди детей первого года жизни от 1,5 до 6 случаев на 10000 детей, что составляет 3-5 % в общей структуре смертности детей до 1 года.
Каждый год от пневмонии в мире умирает около 5 млн. детей.
Актуальность:Заболеваемость пневмоний составляет от 4 до 20 случаев на 1000 детей в возрасте от 1 месяца до

Слайд 5Этиология
Внутрибольничные (нозокомиальные) пневмонии в большинстве случаев вызываются Ps. aeruginosa, peжe

– Кl. pneumonie, St. aureus, Proteus spp. и др. Эти

возбудители резистентны к антибиотикам, что ведет к тяжёлому течению болезни и летальности.
Внебольничные пневмонии (домашняя, негоспитальная). Спектр возбудителей зависит от возраста пациентов.
ЭтиологияВнутрибольничные (нозокомиальные) пневмонии в большинстве случаев вызываются Ps. aeruginosa, peжe – Кl. pneumonie, St. aureus, Proteus spp.

Слайд 6Новорождённые: зависит от спектра урогенитальных инфекций женщин.
Постнатальные пневмонии чаще вызываются

стрептококками группы В, реже Е. соli, Кlebsiella pneumoniae, St. aureus,

St. epidermalis.
Антенатальные – стрептококками групы G, D, Ch. frachomatis, ureaplasma urealiticum, Listeria monocytogenes, Treponeta pallidum.
Дети первого полугодия: стафилококки, грамотрицательная кишечная флора, редко -Moraxella catarrhalis, Str. рneumoniae, H. influenzae, Ch. тrachomatis.
Новорождённые: зависит от спектра урогенитальных инфекций женщин.Постнатальные пневмонии чаще вызываются стрептококками группы В, реже Е. соli, Кlebsiella

Слайд 7Патогенез
В патогенезе развития острой пневмонии В.Г.Майданник выделяет шесть фаз.
Первая –

контаминация микроорганизмами и отёчно-воспалительная деструкция верхних дыхательных путей, нарушение функции

реснитчатого эпителия, распространение патогена по трахеобронхиальному дереву.
Вторая – первичная альтерация легочной ткани, активация процессов ПОЛ, развитие воспаления.
Третья: повреждение прооксидантами не только структур патогена, но и макроорганизма (сурфактанта) дестабилизация клеточных мембран→фаза вторичной токсической аутоагрессии. Увеличивается площадь поражения легочной ткани.
Четвёртая: нарушение тканевого дыхания, центральной регуляции дыхания, вентиляции, газообмена и перфузии лёгких.
Пятая: развитие ДН и нарушение недыхательной функции легких (очистной, иммунной, экскреторной, метаболической и др.).
Шестая: метаболические и функциональные нарушения других органов и систем организма. Самые тяжелые нарушения метаболизма наблюдаются у новорожденных и детей раннего возраста.
ПатогенезВ патогенезе развития острой пневмонии В.Г.Майданник выделяет шесть фаз.Первая – контаминация микроорганизмами и отёчно-воспалительная деструкция верхних дыхательных

Слайд 8Существует 4 пути контаминации легких патогенной флорой:
аспирация содержимого ротоглотки (микроаспирация

во сне) – основной путь;
воздушно-капельный;
гематогенное распространение возбудителя из внелегочного очага

инфекции;
Распространение инфекции из прилежащих тканей соседних органов.
Существует 4 пути контаминации легких патогенной флорой: аспирация содержимого ротоглотки (микроаспирация во сне) – основной путь;воздушно-капельный;гематогенное распространение

Слайд 11Классификация
Пневмония
первичная (неосложнённая)
вторичная (осложнённая)

Формы:
очаговая
сегментарная
крупозная
интерстициальная

Локализация :
односторонняя
двусторонняя
сегмент легкого
доля легкого
легкое

Классификация Пневмонияпервичная (неосложнённая)вторичная (осложнённая)  Формы:очаговаясегментарнаякрупознаяинтерстициальнаяЛокализация :односторонняядвусторонняясегмент легкогодоля легкоголегкое

Слайд 16Течение
острое (до 6 недель)
затяжное (от 6 недель до 6 месяцев)
Рецедивирующее
Дыхательная

недостаточность
0 ст.
I ст.
II ст.
III ст.


Течениеострое (до 6 недель)затяжное (от 6 недель до 6 месяцев)РецедивирующееДыхательная недостаточность0 ст.I ст.II ст.III ст.

Слайд 17Пневмония осложненная:
Общими нарушениями
токсико-септическое состояние
инфекционно-токсический шок
кардиоваскулярный синдром
ДВЗ-синдром
изменение ЦНС- нейротоксикоз, гипоксическая энцефалопатия

Пневмония осложненная: Общими нарушениямитоксико-септическое состояниеинфекционно-токсический шоккардиоваскулярный синдромДВЗ-синдромизменение ЦНС- нейротоксикоз, гипоксическая энцефалопатия

Слайд 18Легочно-гнойным процессом
деструкция
абсцесс
плеврит
пневмоторакс

Легочно-гнойным процессомдеструкцияабсцессплевритпневмоторакс

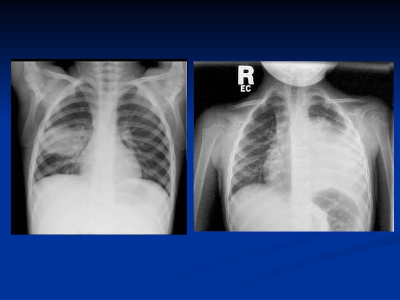
Слайд 22Клинические критерии пневмонии у новорождённого ребёнка
отягощенный анте- и интранатальный анамнез;
бледность,

периоральный и акроцианоз;
стонущее дыхание;
напряжение и раздувание крыльев носа; втяжение податливых

мест грудной клетки;
дыхательная аритмия;
быстрое нарастание легочно-сердечной недостаточности и токсикоза;
Клинические критерии пневмонии у новорождённого ребёнкаотягощенный анте- и интранатальный анамнез;бледность, периоральный и акроцианоз;стонущее дыхание;напряжение и раздувание крыльев

Слайд 23мышечная гипотония, угнетение рефлексов новорожденного;
гепатолиенальный синдром;
потеря массы тела;
покашливание; реже кашель;

мышечная гипотония, угнетение рефлексов новорожденного;гепатолиенальный синдром;потеря массы тела;покашливание; реже кашель;

Слайд 24повышение температуры тела; у незрелых новорождённых может быть нормальной;
гемограмма: нейтрофильный

лейкоцитоз, сдвиг формулы влево;
рентгенограмма: инфильтраты легочной ткани, чаще с обеих

сторон; усиление легочного рисунка в перифокальных участках.

повышение температуры тела; у незрелых новорождённых может быть нормальной;гемограмма: нейтрофильный лейкоцитоз, сдвиг формулы влево;рентгенограмма: инфильтраты легочной ткани,

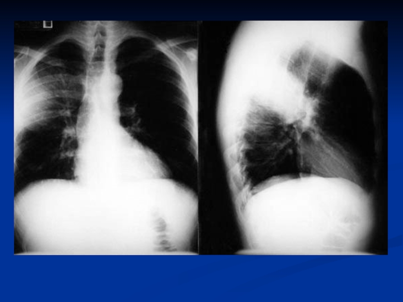
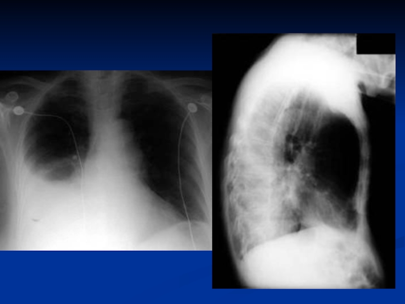
Слайд 25Клинические критерии диагноза пневмонии у детей раннего возраста:
влажный или малопродуктивный

кашель;
одышка, дыхание с участием вспомогательной мускулатуры;
дистанционные хрипы при бронхообструктивном синдроме;
общая

слабость, отказ от еды, задержка прироста массы;
бледность кожи, периоральный цианоз, усиливается при нагрузке;
Клинические критерии диагноза пневмонии у детей раннего возраста:влажный или малопродуктивный кашель;одышка, дыхание с участием вспомогательной мускулатуры;дистанционные хрипы

Слайд 26нарушение терморегуляции (гипер- или гипотермия, токсикоз);
жесткое бронхиальное или ослабленное дыхание,

через 3-5 дней присоединяются влажные хрипы;
укорочение перкуторного звука в проэкции

инфильтрата;
гемограмма: нейтрофильный лейкоцитоз, сдвиг формулы влево;
рентгенограмма: инфильтраты легочной ткани, усиление легочного рисунка в перифокальных участках.


нарушение терморегуляции (гипер- или гипотермия, токсикоз);жесткое бронхиальное или ослабленное дыхание, через 3-5 дней присоединяются влажные хрипы;укорочение перкуторного

Слайд 27Критерии степени ДН

Критерии степени ДН

Слайд 28Лечение пневмонии
Дети с острой пневмонией могут лечится на дому и

в стационаре. Показания к госпитализации следующие:
1) жизненные показания –

необходима интенсивная терапия, реанимационные мероприятия;
2) снижение реактивности организма ребенка, угроза развития осложнений;
3) неблагоприятные бытовые условия семьи, нет возможности организовать «стационар на дому».


Лечение пневмонииДети с острой пневмонией могут лечится на дому и в стационаре. Показания к госпитализации следующие: 1)

Слайд 29В стационаре ребёнок должен находится в отдельной палате (боксе) для

предупреждения перекрестной инфекции. До 6-ти летнего возраста с ребёнком должна

быть мать.

В палате должна проводится влажная уборка, кварцевание, проветривание (4-6 раз в день).
Головная часть кровати должна быть приподнята.

В стационаре ребёнок должен находится в отдельной палате (боксе) для предупреждения перекрестной инфекции. До 6-ти летнего возраста

Слайд 30Лечение дыхательной недостаточности
Обеспечить свободную проходимость дыхательных путей.
Микроклимат палаты: свежий достаточно

влажный воздух, tº в палате должна быть 18-19ºС.
.
При дыхательной недостаточности

П степени добавляется оксигенотерапия: через носовой зонд – 20-30 % утилизации кислорода; через маску – 20-50 %, в кувезе – 20-50 %, в кислородной палатке – 30-70 %.
При ДН Ш степени – искусственная вентиляция легких.

Лечение дыхательной недостаточностиОбеспечить свободную проходимость дыхательных путей.Микроклимат палаты: свежий достаточно влажный воздух, tº в палате должна быть

Слайд 31Антибактериальная терапия
Основные принципы рациональной антибактериальной терапии у детей.
Начало лечения –

после постановки диагноза. Желательно провести посевы на флору с определением

чувствительности к антибиотикам. Результаты будут через 3-5дней. Стартовую терапию подбираем эмпирически, учитывая возраст больного, домашняя или госпитальная пневмония, региональные особенности.

Первый курс – назначают антибиотики широкого спектра (преимущественно β-лактамы).
Основной курс – (замена эмпирически подобранного антибиотика) зависит от результата посева или от клинической картины.
Выбор дозы – зависит от степени тяжести, возраста, массы тела.

Антибактериальная терапияОсновные принципы рациональной антибактериальной терапии у детей.Начало лечения – после постановки диагноза. Желательно провести посевы на

Слайд 32Выбор пути введения: в тяжёлых случаях преимущественно вводится парентеральным путем.


Выбор периодичности введения: необходимо создать постоянную концентрацию антибиотика в организме.
Выбор

рациональной комбинации: обязателен синергизм, только бактерицидные или только бактериостатические. Препараты не должны усиливать токсическое действие друг друга.
Условия прекращения лечения: не раньше 3 дней нормальной температуры, общего состояния ребенка.
Точность эмпирической терапии может быть 80-90 %.


Выбор пути введения: в тяжёлых случаях преимущественно вводится парентеральным путем. Выбор периодичности введения: необходимо создать постоянную концентрацию

Слайд 33Антибактериальная терапия внебольничной пневмонии

Антибактериальная терапия внебольничной пневмонии

Обратная связь

Если не удалось найти и скачать доклад-презентацию, Вы можете заказать его на нашем сайте. Мы постараемся найти нужный Вам материал и отправим по электронной почте. Не стесняйтесь обращаться к нам, если у вас возникли вопросы или пожелания:

Email: Нажмите что бы посмотреть 

Что такое TheSlide.ru?

Это сайт презентации, докладов, проектов в PowerPoint. Здесь удобно  хранить и делиться своими презентациями с другими пользователями.


Для правообладателей

Яндекс.Метрика