Разделы презентаций


Причины и факторы риска, симптомы, основные принципы лечения, реабилитации и

Содержание

Инсульт в настоящее время становится основной социально-медицинской проблемой неврологии.Ежегодно в мире церебральный инсульт переносят около 6 млн человек. Первое место по причинам инвалидизации.Инвалидами становятся 70—80% выживших после инсульта, причём примерно 20—30% из

Слайды и текст этой презентации

Слайд 1Причины и факторы риска, симптомы, основные принципы лечения, реабилитации и

профилактики инсульта Лекция для пациентов и их родственников

Причины и факторы риска, симптомы, основные принципы лечения, реабилитации и профилактики инсульта Лекция для пациентов и их

Слайд 2Инсульт в настоящее время становится основной социально-медицинской проблемой неврологии.
Ежегодно в

мире церебральный инсульт переносят около 6 млн человек.
Первое место по

причинам инвалидизации.
Инвалидами становятся 70—80% выживших после инсульта, причём примерно 20—30% из них нуждаются в постоянном постороннем уходе.
В целом инсульт занимает второе место среди причин смерти.

Инсульт в настоящее время становится основной социально-медицинской проблемой неврологии.Ежегодно в мире церебральный инсульт переносят около 6 млн человек.

Слайд 3 Инвалидизация от церебрального инсульта

Инвалидизация от церебрального инсульта

Слайд 4Инсульт – заболевание-катастрофа,
однако катастрофа, которую можно предотвратить и

после него возможно выздоровление!»

А. Кулебрас
Инсульт – заболевание-катастрофа, однако катастрофа, которую можно предотвратить и после него возможно выздоровление!»

Слайд 5Инсульт- это острое нарушение мозгового кровообращения в результате чего нарушается

функционирование различных отделов мозга
Геморрагический-кровоизлияние в мозг или в его оболочки
Ишемический

(инфаркт мозга)
Инсульт- это острое нарушение мозгового кровообращения в результате чего нарушается функционирование различных отделов мозгаГеморрагический-кровоизлияние в мозг или

Слайд 9Контролируемые (регулируемые) факторы риска:

повышенное артериальное давление (выше 140/90 мм

рт.ст.)
курение сигарет
злоупотребление алкоголем
мерцательная аритмия и другие заболевания сердца
факторы образа жизни

(избыточный вес, отсутствие физической активности, нарушение питания и факторы стресса)
повышение холестерина крови
сахарный диабет
предшествующие транзиторные ишемические атаки (ТИА) и инсульт
применение оральных контрацептивов
Контролируемые (регулируемые) факторы риска: повышенное артериальное давление (выше 140/90 мм рт.ст.)курение сигаретзлоупотребление алкоголеммерцательная аритмия и другие заболевания

Слайд 10Неконтролируемые (нерегулируемые) факторы риска:


возраст
пол
наследственность

Неконтролируемые (нерегулируемые) факторы риска: возрастполнаследственность

Слайд 11FAST – лицо, рука, речь - тест

FAST – лицо, рука, речь - тест

Слайд 12Другие симптомы:

- необъяснимое нарушение зрения
-

онемение (потеря чувствительности) в какой либо части тела, особенно на

одной половине тела
- остро возникшие выраженное головокружение, неустойчивость и шаткость, нарушение координации движений
- нарушения глотания, поперхивание, гнусавость голоса
- судорожный припадок или какие-либо другие нарушения сознания
- необычно тяжелая, внезапно развившаяся головная боль, рвота
 
Другие симптомы:     - необъяснимое нарушение зрения- онемение (потеря чувствительности) в какой либо части

Слайд 13 Если у больного случился инсульт необходима срочная госпитализация в лечебное

учреждение: чем раньше будет установлен диагноз, тем скорее будет начато

правильное лечение

Помощь больным с инсультом

Если у больного случился инсульт необходима срочная госпитализация в лечебное учреждение: чем раньше будет установлен диагноз,

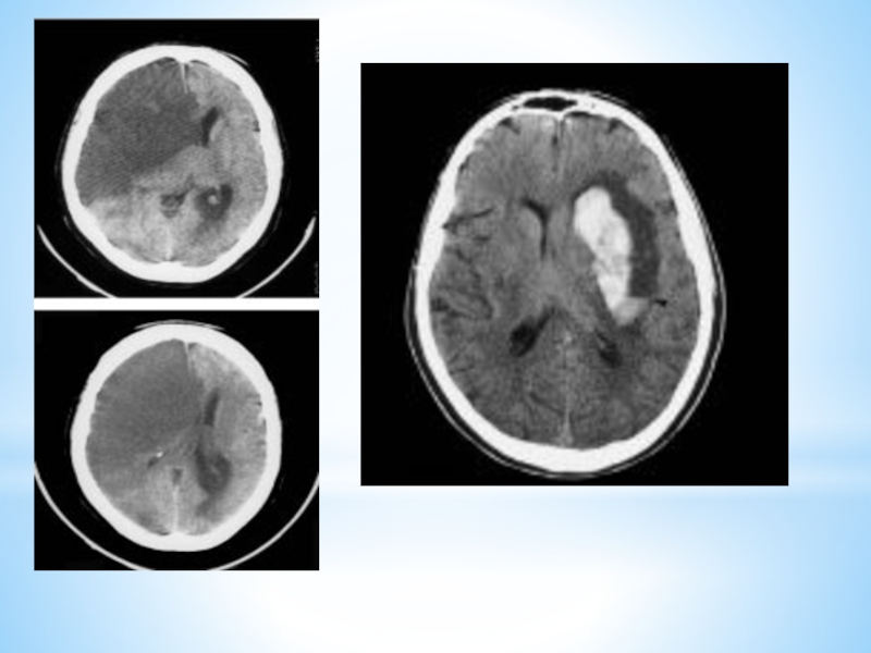
Слайд 14Диагностика
Компьютерная томография (КТ) и магнитно-резонансная томография (МРТ) — наиболее важные диагностические

исследования при инсульте, позволяющие определить размеры, локализацию поражения мозга, а

также определить вид инсульта (инфаркт или кровоизлияние)

Кроме того выполняются различные исследования для уточнения состояния различных систем организма, выявления сопутствующих заболеваний, которые могут привести к осложнениям в течении заболевания (ЭКГ, исследования крови, ультразвуковое исследование сосудов, рентгеновское обследование и др.)
ДиагностикаКомпьютерная томография (КТ) и магнитно-резонансная томография (МРТ) — наиболее важные диагностические исследования при инсульте, позволяющие определить размеры, локализацию

Слайд 25Приспособление для борьбы с отвисанием паретичной стопы

Приспособление для борьбы с отвисанием паретичной стопы

Слайд 32Разработка мелкой моторики

Разработка мелкой моторики

Слайд 33Разработка мелкой моторики

Разработка мелкой моторики

Слайд 39Диетотерапия
Принципы:

 Необходимо уменьшить общее употребление жиров
потребление соли до 3—5 г в

сутки;
необходимо увеличить употребление клетчатки и сложных углеводов
Рекомендуется вводить в

рацион пищу, содержащую достаточное количество солей калия (курага, изюм, капуста, картофель, инжир) и магния (каши из гречневой и овсяной крупы).
употребление продуктов, содержащих полиненасыщенные жирные кислоты, к таким продуктам относят рыбу, морепродукты, жидкое растительное масло.
ДиетотерапияПринципы: Необходимо уменьшить общее употребление жировпотребление соли до 3—5 г в сутки; необходимо увеличить употребление клетчатки и сложных

Слайд 40Диетотерапия
Пациентам рекомендуется исключить из рациона питания жирную жареную пищу, особенно

свинину и баранину, крепкие мясные бульоны, соленья, копчености, большое количество

соли, крепкий кофе, чай, алкогольные напитки.
Рекомендуется заменить молоко и продукты из снятого молока продуктами с пониженным содержанием жиров, таких, как нежирный йогурт, маложирные сыры. Необходимо отдавать предпочтение хлебу из муки грубого помола, хлебу с отрубями.
В первые дни после инсульта рекомендуется готовить пищу в отварном протертом виде для облегчения ее потребления и усваивания.

ДиетотерапияПациентам рекомендуется исключить из рациона питания жирную жареную пищу, особенно свинину и баранину, крепкие мясные бульоны, соленья,

Слайд 41Профилактика повторных инсультов
Риск развития инсульта, у лиц уже перенесших инсульт

в 15 раз выше
-адекватная антигипертензивная терапия, которая заключается в подборе

и постоянном приеме препаратов, снижающих артериальное давление до необходимых значений. Важным является также постоянный контроль артериального давления, не реже 2 раз в сутки.
-гиполипидемическая терапия- длительный прием препаратов, снижающих уровень холестерина и липопротеидов низкой плотности, способствующих атеросклерозу сосудов.
-антиагрегантная терапия и антикоагулянтная терапия- постоянный прием лекарственных средств, препятствующих образованию тромбов.
-хирургические методы профилактики- направлены на восстановление адекватной проходимости сосудов шеи и мозговых сосудов для обеспечения нормального мозгового кровообращения.

Профилактика повторных инсультовРиск развития инсульта, у лиц уже перенесших инсульт в 15 раз выше-адекватная антигипертензивная терапия, которая

Слайд 42Рекомендации по изменению образа жизни
Не курите табак! Риск развития инсульта

у курящих в 6 раз выше, чем у некурящих.
Не

употребляйте алкогольные напитки! Этанол снижает эффект препаратов, понижающих артериальное давление. Этанол сам по себе повышает артериальное давление.
Выполнять аэробные физические упражнения (энергичная ходьба или лечебная физкультура) по самочувствию, не переутомляясь, со временем довести до 30-40 минут не менее 4-5 раз в неделю. Регулярная дозированная физическая нагрузка снижает АД на 10-8 мм.рт.ст., снижает вес, нормализует свертываемость крови, снижает повышенный уровень сахара в крови, повышает уровень «хороших» липидов крови.
Исключить изометрические нагрузки (поднятие тяжести с натуживанием, тяжелую физическую нагрузку)
Снизить потребление поваренной соли до количества не более 1 чайной ложки в день. Снижается риск инсульта на 23%, смертность от ИБС - на 16%.
Увеличить потребление овощей и фруктов (рекомендуется ежедневно). Предупреждается инсульт, активизируются антиоксидантные механизмы, повышается содержание калия.

Рекомендации по изменению образа жизниНе курите табак! Риск развития инсульта у курящих в 6 раз выше, чем

Слайд 43 Рекомендации по изменению образа жизни
Употребляйте жирную морскую рыбу хотя бы

2 раза в неделю (лучше до 4 раз в неделю).


Снизить потребление животных жиров (наваристые бульоны, жирное мясо, куриная кожица, сметана, сливочное масло).
Снизить потребление рафинированных углеводов (конфеты, сахар, торты, пирожные).
Постоянный контроль артериального давления

Соблюдение данных рекомендаций позволит снизить риск повторного инсульта на 40%!!!
И не забывайте принимать лекарства, которые Вам рекомендовал ваш доктор на ежедневный прием!
Регулярный прием индивидуально подобранных препаратов снижает риск развития инсульта еще на 40%.
Имейте в виду, что самостоятельно отменять или заменять лекарственные препараты на другие, не посоветовавшись с врачом опасно!
 
Рекомендации по изменению образа жизниУпотребляйте жирную морскую рыбу хотя бы 2 раза в неделю (лучше до

Обратная связь

Если не удалось найти и скачать доклад-презентацию, Вы можете заказать его на нашем сайте. Мы постараемся найти нужный Вам материал и отправим по электронной почте. Не стесняйтесь обращаться к нам, если у вас возникли вопросы или пожелания:

Email: Нажмите что бы посмотреть 

Что такое TheSlide.ru?

Это сайт презентации, докладов, проектов в PowerPoint. Здесь удобно  хранить и делиться своими презентациями с другими пользователями.


Для правообладателей

Яндекс.Метрика