Разделы презентаций


Рак поджелудочной железы. Диагностика, методы лечения, прогноз

Содержание

Классификация опухолей поджелудочной железы.Эпителиальные опухолиДоброкачественныеПредзлокачественнные изменения поджелудочной железыЗлокачественные Нейроэндокринные опухолиЗрелая тератомаМезенхимальные опухолиЛимфомы Вторичные опухоли

Слайды и текст этой презентации

Слайд 1Рак поджелудочной железы. Диагностика, методы лечения, прогноз
Салимова Алина Абдуловна.

Рак поджелудочной железы. Диагностика, методы лечения, прогнозСалимова Алина Абдуловна.

Слайд 2Классификация опухолей поджелудочной железы.
Эпителиальные опухоли
Доброкачественные
Предзлокачественнные изменения поджелудочной железы
Злокачественные
Нейроэндокринные опухоли
Зрелая

тератома
Мезенхимальные опухоли
Лимфомы
Вторичные опухоли

Классификация опухолей поджелудочной железы.Эпителиальные опухолиДоброкачественныеПредзлокачественнные изменения поджелудочной железыЗлокачественные Нейроэндокринные опухолиЗрелая тератомаМезенхимальные опухолиЛимфомы Вторичные опухоли

Слайд 3Факторы риска рака поджелудочной железы.
Табакокурение
Диетические особенности
Сахарный диабет II типа
Хронический панкреатит

*Наследственный хронический панкреатит
Инфекционные заболевания

Факторы риска рака поджелудочной железы.ТабакокурениеДиетические особенностиСахарный диабет II типаХронический панкреатит *Наследственный хронический панкреатитИнфекционные заболевания

Слайд 4Стадирование рака поджелудочной железы.
ТХ-недостаточно данных для оценки первичной опухоли
Tis-carcinoma in

situ
T1 – опухоль ограничена поджелудочной железой, до 2 см в

наибольшем измерении
Т2 – опухоль ограничена поджелудочной железой более 2 см в наибольшем измерении
Т3 – опухоль распространяется за пределы поджелудочной железы, но не вовлекает
чревный ствол или верхнюю брыжеечную артерии
Т4 – опухоль распространяется на чревный ствол или верхнюю брыжеечную артерию.
Стадирование рака поджелудочной железы.ТХ-недостаточно данных для оценки первичной опухолиTis-carcinoma in situT1 – опухоль ограничена поджелудочной железой, до

Слайд 5Категория N и М включают:
Nx – недостаточно данных для оценки

регионарных лимфоузлов.
N0 – нет признаков метастатического поражения регионарных лимфоузлов.
N1

–регионарные лимфоузлы поражены метастазами.
М:
M0 – нет отдалённых метастазов
M1 – наличие отдалённых метастазов.


Категория N и М включают:Nx – недостаточно данных для оценки регионарных лимфоузлов. N0 – нет признаков метастатического

Слайд 6ИЗМЕНЕНИЯ В 8 ИЗДАНИИ КЛАССИФИКАЦИИ TNM.
Американский объединенный комитет по изучению

рака (AJCC) пересмотрел систему классификации TNM. Последний пересмотр системы стадирования

опухолей состоялся в 2009 году. Изменения вступают в силу 1 января 2018 года на территории США.
ИЗМЕНЕНИЯ В 8 ИЗДАНИИ КЛАССИФИКАЦИИ TNM.Американский объединенный комитет по изучению рака (AJCC) пересмотрел систему классификации TNM. Последний

Слайд 10*Новое в биологии метастазирования протокового рака поджелудочной железы
1)Внутриэпителиальные предопухолевые изменения поджелудочной

железы.
2)Эпителиальные клетки приобретают мезенхимальный иммунофенотип.
3)Распространение в различные органы и ткани.
4)Мутации

генов р16, р53, smad4.

*Новое в биологии метастазирования протокового рака поджелудочной железы1)Внутриэпителиальные предопухолевые изменения поджелудочной железы.2)Эпителиальные клетки приобретают мезенхимальный иммунофенотип.3)Распространение в

Слайд 11Клинико-лабораторные особенности рака поджелудочной железы.
Симптомы рака поджелудочной железы условно разделены

на две группы:
1) Первая группа – симптомы и синдромы, обусловленные

собственно первичной опухолью поджелудочной железы, её инвазией окружающих органов и структур, регионарными и отдалёнными метастазами.
2) Вторая группа – симптомы и синдромы, обусловленные отношением опухоли поджелудочной железы и её метастазов к желчным протокам, протокам поджелудочной железы, двенадцатиперстной кишке.
Клинико-лабораторные особенности рака поджелудочной железы.Симптомы рака поджелудочной железы условно разделены на две группы:1) Первая группа – симптомы

Слайд 12Первая группа:
1)Болевой синдром.
2) Функциональные расстройства желудочно-кишечного тракта.
3) Анорексия, повышенная утомляемость,

постоянная слабость
4) Лихорадка.

Первая группа:1)Болевой синдром.2) Функциональные расстройства желудочно-кишечного тракта.3) Анорексия, повышенная утомляемость, постоянная слабость4) Лихорадка.

Слайд 13Вторая группа:
1)Механическая желтуха.
2)Гепатомегалия.
3)Проявления холангита.
4)Увеличение желчного пузыря.

Вторая группа:1)Механическая желтуха.2)Гепатомегалия.3)Проявления холангита.4)Увеличение желчного пузыря.

Слайд 14СА 19-9 и РЭА.
1. Значения СА 19-9 коррелируют с распространением

опухоли: более высокая концентрация маркера у лиц с распространенным раком

поджелудочной железы, желчного пузыря и внепечёночных желчных протоков. Специфичность маркера также ограничена его повышением при билиарной гипертензии любой этиологии.
2. РЭА – раковоэмбриональный антиген. Гликопротеид. В норме содержание в сыворотке крови у взрослых до 2,5 нг/мл (мкг/л) – у некурящих и немного выше у курильщиков. Уровень больше 5 нг/мл может свидетельствовать о раке. Чувствительность маркера при раке поджелудочной железы 46 % – 90 %. Значения РЭА коррелируют с распространенностью – концентрация в сыворотке выше при распространенном опухолевом поражении.
СА 19-9 и РЭА.1. Значения СА 19-9 коррелируют с распространением опухоли: более высокая концентрация маркера у лиц

Слайд 15Pancreatic Cancer Action Network
CA 19-9:
Note:
Not every patient with

pancreatic cancer will have a high CA 19-9 level.

Some conditions other than cancer can cause high CA 19-9 levels.
The CA 19-9 test cannot be used to diagnose or screen for pancreatic cancer. Instead, doctors often use it to judge a treatment’s success.
Pancreatic Cancer Action NetworkCA 19-9:Note:  Not every patient with pancreatic cancer will have a high CA

Слайд 16Инструментальная диагностика и оценка резектабельности рака поджелудочной железы.
Используются следующие инструментальные методы

исследований:
УЗТ (ультразвуковая томография, в том числе эндоскопическая и эндоваскулярная

УЗТ)
РКТ (рентгеновская компьютерная томография)
МРТ (магнитно-резонансная томография)
ПЭТ (позитронная эмиссионная томография)
ПЦБ (пункционная цитобиопсия),
ЭГДС (эзофагогастродуоденоскопия),
ЭРХПГ (эндоскопическая ретроградная холангиопанкреатография),
АГ (ангиография),
ЧЧХГ (чрескожная чреспечёночная холангиография)
ХС (холангиоскопия),
Лапароскопия (ЛС).
Инструментальная диагностика и оценка резектабельности рака поджелудочной железы.Используются следующие инструментальные методы исследований: УЗТ (ультразвуковая томография, в том

Слайд 171. Чрескожная ультразвуковая томография.

1. Чрескожная ультразвуковая томография.

Слайд 182. Эндоскопическое УЗИ поджелудочной железы.

2. Эндоскопическое УЗИ поджелудочной железы.

Слайд 19*Роль эндоваскулярной УЗТ уточняется. Эндоваскулярная (при введении датчика в воротную

и верхнюю брыжеечную вену) эхография с высокой точностью определяет инвазию

верхней брыжеечной и воротной вены, что имеет прогностическое значение. Возможность диагностировать инвазию воротной вены увеличивается при эндоскопическом внутрипротоковом УЗИ.
*Роль эндоваскулярной УЗТ уточняется. Эндоваскулярная (при введении датчика в воротную и верхнюю брыжеечную вену) эхография с высокой

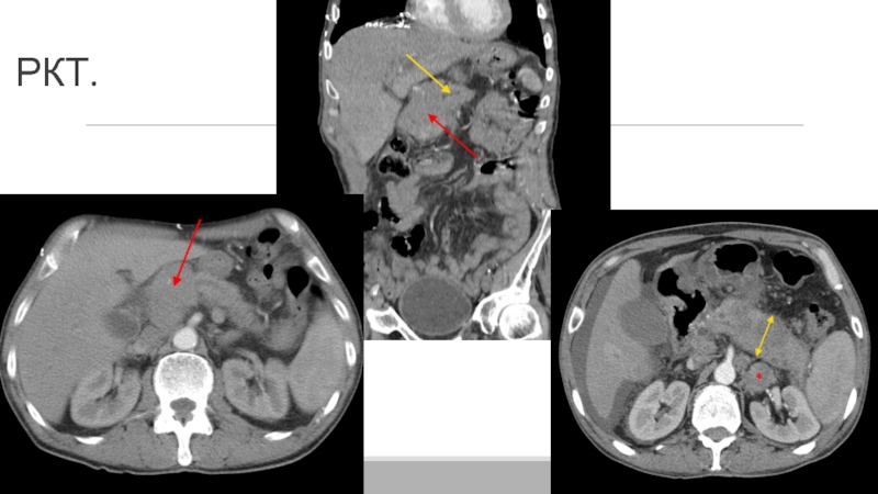
Слайд 20РКТ.

РКТ.

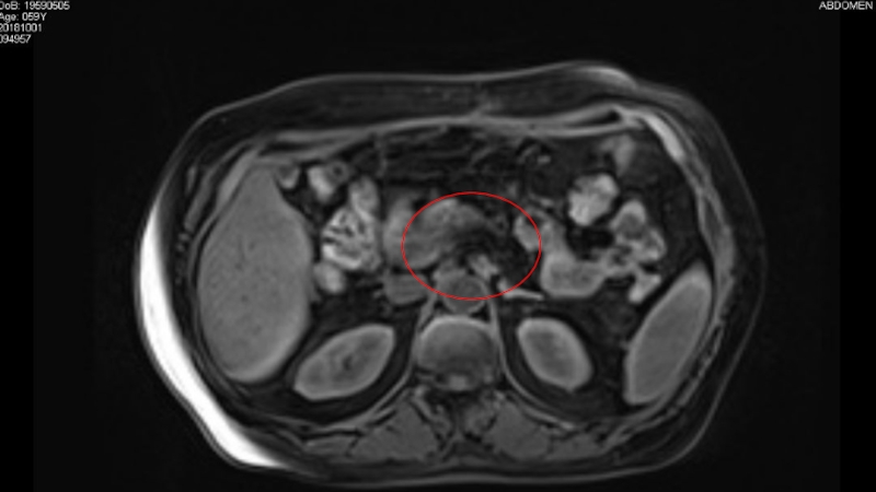
Слайд 21МРТ.

МРТ.

Слайд 22ПЭТ.

ПЭТ.

Слайд 23Пункционная биопсия

Пункционная биопсия

Слайд 24Эндоскопическая ретроградная холангиопанкреатография (ЭРХПГ).

Эндоскопическая ретроградная холангиопанкреатография (ЭРХПГ).

Слайд 25Ангиографическое исследование (АГ).

Ангиографическое исследование (АГ).

Слайд 26Чрескожная чреспечёночная холангиография (ЧЧХГ), чрескожная чреспечёночная холангиостомия (ЧЧХС), холангиоскопия (ХС).

Чрескожная чреспечёночная холангиография (ЧЧХГ), чрескожная чреспечёночная холангиостомия (ЧЧХС), холангиоскопия (ХС).

Слайд 27Лапароскопия (ЛС)

Лапароскопия (ЛС)

Слайд 28Лечение.
При изначально резектабельном РПЖ рекомендуется выполнение операции без предоперационной ХТ

и / или ЛТ.

Лечение.При изначально резектабельном РПЖ рекомендуется выполнение операции без предоперационной ХТ и / или ЛТ.

Слайд 29При карциномах с сомнительной резектабельностью необходимо проведение предоперационной терапии с

последующей оценкой результатов. При отсутствии отрицательной динамики рекомендуется выполнение операции.

В отдельных случаях при высоком риске нерадикальной операции рекомендуется предоперационная ЛТ.
При выборе режима ХТ следует учитывать следующие данные: общее состояние пациента, возраст, наличие осложнений опухолевого процесса и серьезных сопутствующих заболеваний. Наибольшая вероятность достижения резектабельности предполагается при применении режимов химиотерапии FOLFIRINOX или комбинации гемцитабина и nab-паклитаксела.
При карциномах с сомнительной резектабельностью необходимо проведение предоперационной терапии с последующей оценкой результатов. При отсутствии отрицательной динамики

Слайд 30Предоперационная/ индукционная лучевая терапия
Роль ЛТ в рамках индукционной терапии РПЖ

окончательно не определена. Рандомизированные исследования не смогли однозначно доказать выигрыш

в продолжительности жизни при ее добавлении. Однако небольшие исследования свидетельствуют о том, что добавление ЛТ к консервативному лечению после нескольких месяцев ХТ способно увеличить вероятность достижения резектабельности. Облучению подвергается первичная опухоль.
Предоперационная/ индукционная лучевая терапия Роль ЛТ в рамках индукционной терапии РПЖ окончательно не определена. Рандомизированные исследования не

Слайд 31Хирургическое лечение.
При опухолях головки поджелудочной железы следует выполнять гастропанкреатодуоденальную

резекцию.
При опухолях тела или хвоста поджелудочной железы следует выполнять

дистальную субтотальную резекцию поджелудочной железы, включающую удаление тела, хвоста железы, а также селезенки.
*Стандартный объем лимфодиссекции предполагает удаление следующих л/у: надпилорических и подпилорических, лимфоузлов по ходу печеночной артерии и чревного ствола с его ветвями, лимфоузлов вдоль общего желчного протока, лимфоузлов вокруг пузырного протока, ретропанкреатических лимфоузлов, лимфоузлов по нижнему краю головки поджелудочной железы, лимфоузлов по правой полуокружности верхней брыжеечной артерии, лимфоузлов по верхнему краю головки поджелудочной железы
*При карциномах тела и хвоста поджелудочной железы рекомендовано удаление следующих групп лимфозулов: лимфоузлов ворот селезенки, лимфоузлов вдоль селезеночной артерии, лимфоузлов по нижнему краю поджелудочной железы.
*Стандартная лимфаденэктомия должна включать удаление не менее 10 лимфатических узлов.
Хирургическое лечение. При опухолях головки поджелудочной железы следует выполнять гастропанкреатодуоденальную резекцию. При опухолях тела или хвоста поджелудочной

Слайд 32Адъювантная терапия.
В случае предоперационной ХТ длительностью 6 мес. с последующим

хирургическим лечением после операции рекомендовано динамическое наблюдение без адъювантной терапии.


Если длительность предоперационной ХТ была меньше 6 мес.,рекомендовано применение адъювантной ХТ, так чтобы общая продолжительность ХТ составила 6 мес.
В случае выполнения хирургического лечения без предоперационной ХТ проведение адъювантной ХТ рекомендовано всем пациентам вне зависимости от стадии и радикальности операции. Лечение должно быть начато в течение 3 мес. После операции (оптимально – в течение 6 нед.).
Адъювантная терапия.В случае предоперационной ХТ длительностью 6 мес. с последующим хирургическим лечением после операции рекомендовано динамическое наблюдение

Слайд 34*CyberKnife.

*CyberKnife.

Слайд 35Прогноз.
1.Прогноз при операбельном раке поджелудочной железы.





2. Прогноз при неоперабельном раке

поджелудочной железы.

Прогноз.1.Прогноз при операбельном раке поджелудочной железы.2. Прогноз при неоперабельном раке поджелудочной железы.

Слайд 36Клинический случай.
Пациентка Н. 59 лет. Отметила у себя пожелтение кожных

покровов. По данным обследования по м/ж , включающие УЗИ, РКТ

органов грудной и брюшной полости, МРТ органов БП, ЭГДС, свидетельствует о раке головки поджелудочной железы, осложненном синдромом механической желтухи.
В этом же месяце больной была выполнена холецистэктомия, наружное дренирование общего печеночного протока(через культю пузырного протока), дренирование брюшной полости в подпеченочной области. Желтуха купирована.
В дальнейшем произошла миграция холангиостомы, образовался наружный желчный свищ. Желчеистечение наружу осуществляется по мигрировавшей холангиостоме, дренажу из подпеченочного пространства.

Клинический случай.Пациентка Н. 59 лет. Отметила у себя пожелтение кожных покровов. По данным обследования по м/ж ,

Слайд 37Клинический случай.
Лабораторные данные:
-биохимическое исследование крови: АЛТ-101 Ед/л( норма:4-40)

АСТ-99 Ед/л(норма: 4-37)
Щелочная фосфатаза- 430 Ед/л(норма: 90-250)
-клинический анализ крови: гемоглобин: 10,80 г/дл(норма: 11,50-16,50)
Клинический случай.Лабораторные данные: -биохимическое исследование крови: АЛТ-101 Ед/л( норма:4-40)

Слайд 38Клинический случай.
Инструментальные данные:
МРТ органов БП: в головке поджелудочной железы определяется

опухолевое образование размером 3,5х3,5 см. Опухоль сливается со стенкой подковы

двенадцатиперстной кишки, не исключено ее вовлечение. Опухолевый инфильтрат распространяется в чревно- брыжеечный промежуток, на одном из срезов имеется тесное прилежание опухоли к задней полуокружности ВБВ. ВБА представляется интактной.
Тело и хвост поджелудочной железы дистрофичны, панкреатический проток расширен до 0,5 см(норма: до 2 мм), «обрывается» на уровне опухоли.
В парапанкреатической клетчатке( на уровне опухоли) имеются л/у 0,5-0,9 см, сливающиеся с самой измененной головкой.
Клинический случай.Инструментальные данные:МРТ органов БП: в головке поджелудочной железы определяется опухолевое образование размером 3,5х3,5 см. Опухоль сливается

Слайд 40Клинический случай.
Принято решение о хирургическом лечении.
Выполнена гастропанкреатодуоденальная резекция, циркулярная резекция

ВБВ и ВВ с формированием сосудистого соустья протезом Гортекс, резекция

подвздошной кишки с формированием анастомоза бок в бок.
Лабораторные данные на момент выписки:
-биохимическое исследование крови: АЛТ-17 Ед/л( норма:4-40)
АСТ-25 Ед/л(норма: 4-37)
Щелочная фосфатаза- 249 Ед/л(норма: 90-250)





Клинический случай.Принято решение о хирургическом лечении.Выполнена гастропанкреатодуоденальная резекция, циркулярная резекция ВБВ и ВВ с формированием сосудистого соустья

Слайд 41Благодарю за внимание!

Благодарю за внимание!

Обратная связь

Если не удалось найти и скачать доклад-презентацию, Вы можете заказать его на нашем сайте. Мы постараемся найти нужный Вам материал и отправим по электронной почте. Не стесняйтесь обращаться к нам, если у вас возникли вопросы или пожелания:

Email: Нажмите что бы посмотреть 

Что такое TheSlide.ru?

Это сайт презентации, докладов, проектов в PowerPoint. Здесь удобно  хранить и делиться своими презентациями с другими пользователями.


Для правообладателей

Яндекс.Метрика