Разделы презентаций


Тақырыбы: Тістердің жарақаттық зақымдануы

Жоспары: 1.Анықтамасы 2.Жіктелуі 3.Этиологиясы 4.Емі

Слайды и текст этой презентации

Слайд 1Тақырыбы: Тістердің жарақаттық зақымдануы
Тексерген: Примбава Алтынай
Орындаған: Тқлендиева Айгерім
Тобы: стом 2-2
Қазақ

ұлттық медицина университеті
Казахский национальный медицинский университет
СӨЖ

Тақырыбы: Тістердің жарақаттық зақымдануыТексерген: Примбава АлтынайОрындаған: Тқлендиева АйгерімТобы: стом 2-2Қазақ ұлттық медицина университетіКазахский национальный медицинский университетСӨЖ

Слайд 2Жоспары: 1.Анықтамасы 2.Жіктелуі 3.Этиологиясы 4.Емі

Жоспары: 1.Анықтамасы 2.Жіктелуі 3.Этиологиясы 4.Емі

Слайд 3Тістердің жарақаттаушы әсерлерден зақымдануы көбінесе механикалық әсерлерден пайда болады.

Жіктелуі

Жедел

Созылмалы

Тістердің жарақаттаушы әсерлерден зақымдануы көбінесе механикалық әсерлерден пайда болады.

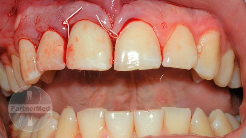
Слайд 5Жедел зақымдану- әр түрлі жарақаттардан көбінесе құлау, спорт ойындары кезінде,

көлік апаттары кезінде кездеседі
Жедел зақымданудың Грошиков бойынша жіктелуі
Тістің жаншылуы, нерв,

қан-тамыр жүйесінің зақымдануымен және зақымдануынсыз
Тістің орнынан жылжуы
Тістің Сынуы
Аралас зақым
Тіс ұрығының зақымы

Жедел зақымдану- әр түрлі жарақаттардан көбінесе құлау, спорт ойындары кезінде, көлік апаттары кезінде кездеседіЖедел зақымданудың Грошиков бойынша

Слайд 7Тістердің жедел жарақаттық зақымдануының емі:
Тіске тыныштық жағдай орнату
Электрқозғыштық арқылы ұлпаның

өліеттенгенін анықтасақ тіс сауытын трепанациялап, ұлпаны алып, түбір өзегін пломбылаймыз
Тіс

орнынан жартылай тайюы кезінде сүйек тіндері түбір ұзындығының жартысынан көбірек аймақта сақталса, тісті сақтауға болады және жергілікті жансыздандыру қолданып, тісті бұрынғы орнына қойып, емдейді
Тістердің шегелене таюы кезінде-тісті орнына келтіріп, көрші тістерге бекітеді, кейінөліеттенген ұлпаны алады.
Тіс орнынан толық тайған жағдайда-науқас тісті өзі орнына қояды, егер дұрыс қойылса, шендеуішпен көршітістерге бекітіп, өліеттенген ұлпаны алып тастайды. Егер тісті өзімен алып келсе тісті реплантациялау отасын жасайды
Тістердің жедел жарақаттық зақымдануының емі: Тіске тыныштық жағдай орнатуЭлектрқозғыштық арқылы ұлпаның өліеттенгенін анықтасақ тіс сауытын трепанациялап, ұлпаны

Слайд 9Тістердің созылмалы зақымдануы-күші аз,ұзақ уақыт әсер ететін механикалық ықпалдар әсерінен

пайда болады. Этиологиясы: ұзақ уакыт алдыңғы тістермен пісте шаққанда үрлемелі аспаптарда ойнайтын

музыканттарда Жіпті алдыңғы тістермен үзетін тігіншілерде Етікшілерде
Тістердің созылмалы зақымдануы-күші аз,ұзақ уақыт әсер ететін механикалық ықпалдар әсерінен пайда болады. Этиологиясы:  ұзақ уакыт алдыңғы

Слайд 11Тістердің созылмалы зақымдануы кезінде науқаста ауыру сезімі болмайды, тек косметикалық

ақауға шағымданады.

Емі: Жаман әдеттерден алшақтату тістің түсіне сай композиттік материалдармен ақауларды жабу арқылы тіс пішінін қалпына келтіру
Тістердің созылмалы зақымдануы кезінде науқаста ауыру сезімі болмайды, тек косметикалық ақауға шағымданады.

Слайд 12Қолданылған әдебиеттер:

Д.М. Мезгілбаева
Google
Сапаева

Қолданылған әдебиеттер:Д.М. МезгілбаеваGoogleСапаева

Обратная связь

Если не удалось найти и скачать доклад-презентацию, Вы можете заказать его на нашем сайте. Мы постараемся найти нужный Вам материал и отправим по электронной почте. Не стесняйтесь обращаться к нам, если у вас возникли вопросы или пожелания:

Email: Нажмите что бы посмотреть 

Что такое TheSlide.ru?

Это сайт презентации, докладов, проектов в PowerPoint. Здесь удобно  хранить и делиться своими презентациями с другими пользователями.


Для правообладателей

Яндекс.Метрика