Разделы презентаций


Тема: сколиоз у детей

Содержание

Нарушение осанкиСколиоз

Слайды и текст этой презентации

Слайд 1Тема: сколиоз у детей

Тема: сколиоз у детей

Слайд 2Нарушение осанки
Сколиоз

Нарушение осанкиСколиоз

Слайд 3Причины искривлений
Искривление позвоночника
С точки зрения биомеханики!
Приспособительные реакции, направленные на

сохранение вертикальной позы
Врожденные и приобретенные
Факторы нарушающие вертикальное положение позвоночника

Причины искривлений Искривление позвоночникаС точки зрения биомеханики!Приспособительные реакции, направленные на сохранение вертикальной позы Врожденные и приобретенныеФакторы нарушающие

Слайд 4Как устроен позвоночник?
3 мес
12 мес
Формирование изгибов позвоночника заканчивается в
6

-7 лет и закрепляется в
14 -17 лет
Красивый внешний облик

человека

24
+
10

Как устроен позвоночник?3 мес12 месФормирование изгибов позвоночника заканчивается в 6 -7 лет и закрепляется в14 -17 лет

Слайд 5Функции позвоночника
1. Опорная
2. Двигательная
3. Защитная

Функции позвоночника1. Опорная2. Двигательная3. Защитная

Слайд 6В формировании правильной осанки участвуют 2 из 3 функций позвоночника:


Опорная
(тела позвонков, передняя и задняя продольные связки, желтые связки)
Двигательная

(конгруэнтность суставных поверхностей, взаимодействие мышц)
В формировании правильной осанки участвуют 2 из 3 функций позвоночника: Опорная (тела позвонков, передняя и задняя продольные

Слайд 7Осанка - комплексное понятие о привычном положении тела непринужденно стоящего

человека Определяется и регулируется рефлексами позы и отражает не только

физическое, но и психическое состояние человека

В 90-95 % нарушения осанки являются приобретенными и отмечаются у 40-80% детей

Осанка - комплексное понятие о привычном положении тела непринужденно стоящего человека   Определяется и регулируется рефлексами

Слайд 8Тест Адамса
Правильная осанка (клинические проявления)
Одинаковый уровень надплечий и лопаток
Равная длина

шейно-плечевых линий (от уха до плечевого сустава)
Глубина треугольников талии
Прямая

вертикальная линия остистых отростков
Равномерные физиологические изгибы позвоночника в сагиттальной плоскости
Одинаковый рельеф грудной клетки (при наклоне вперед)
Тест АдамсаПравильная осанка (клинические проявления)Одинаковый уровень надплечий и лопатокРавная длина шейно-плечевых линий (от уха до плечевого сустава)Глубина

Слайд 9Варианты нарушения осанки в сагиттальной плоскости
Staffel
Staffel

Варианты нарушения осанки в сагиттальной плоскости StaffelStaffel

Слайд 10Варианты нарушения осанки в сагиттальной плоскости
Staffel

Варианты нарушения осанки в сагиттальной плоскости Staffel

Слайд 11Типы осанки по Штофелю
I Нормальный тип осанки

II Патологический вид осанки
(круглая

спина, сутулая спина)

III Плоская спина

IV Плоско-вогнутая спина

V кифоз

Типы осанки по ШтофелюI Нормальный тип осанкиII Патологический вид осанки(круглая спина, сутулая спина)III Плоская спинаIV Плоско-вогнутая спинаV

Слайд 12Сколиотическая осанка - отклонение позвоночника во фронтальной плоскости.

Сколиотическая осанка - отклонение позвоночника во фронтальной плоскости.

Слайд 13Сон на жесткой постели в положении лежа на животе или

спине

Правильная и точная коррекция обуви для устранения функционального укорочения конечности

Организация

и строгое соблюдение правильного режима дня (время сна, бодрствования, питания)

Профилактика нарушений осанки

Сон на жесткой постели в положении лежа на животе или спинеПравильная и точная коррекция обуви для устранения

Слайд 14Достаточная двигательная активность

Отказ от вредных привычек (стояние на одной

ноге, неправильное положение за партой)

Контроль за равномерной нагрузкой на

позвоночник при ношении портфелей

Плавание

Профилактика нарушений осанки

Достаточная двигательная активность Отказ от вредных привычек (стояние на одной ноге, неправильное положение за партой) Контроль за

Слайд 15Лечение нарушений осанки
Ношение корректоров осанки
Массаж (мануальный и аппаратный)
ЛФК
Дозированная физическая нагрузка

Лечение нарушений осанкиНошение корректоров осанкиМассаж (мануальный и аппаратный)ЛФКДозированная физическая нагрузка

Слайд 16Силовая выносливость мышц-разгибателей спины
3-4 раза в неделю
Силовая выносливость мышц

брюшного пресса
10-15 раз в минуту

Силовая выносливость мышц-разгибателей спины 3-4 раза в неделюСиловая выносливость мышц брюшного пресса 10-15 раз в минуту

Слайд 17Наблюдение у ортопеда 1 раз в год

Курсы лечения 2-3 раза

в год

Статикодинамические упражнения проводится ежедневно
Диспансеризация и наблюдение
При соблюдении режима прогноз

благоприятный!
Наблюдение у ортопеда 1 раз в годКурсы лечения 2-3 раза в годСтатикодинамические упражнения проводится ежедневноДиспансеризация и наблюдениеПри

Слайд 18Сколиоз (Skoliosis греч. ) - искривление позвоночника во фронтальной плоскости
К.

Гален
Сколиоз - стойкое боковое отклонение позвоночника или его сегментов от

нормального выпрямленного положения

Маркс В.О., 1978

Сколиоз (Skoliosis греч. ) - искривление позвоночника во фронтальной плоскостиК. ГаленСколиоз - стойкое боковое отклонение позвоночника или

Слайд 19Современное определение
Сколиоз - сложная деформация позвоночника, характеризующаяся его искривлением во

фронтальной плоскости, с последующей торсией и искривлением в сагиттальной плоскости

(увеличением физиологических изгибов - грудного кифоза, шейного и поясничного лордоза), а при прогрессировании приводящее к вторичной деформации грудной клетки, костей таза, нарушению функции органов и систем (легких, сердца, ЖКТ, тазовых органов)
Современное определениеСколиоз - сложная деформация позвоночника, характеризующаяся его искривлением во фронтальной плоскости, с последующей торсией и искривлением

Слайд 20Обозначение «сколиоз» не является диагнозом и требует
Дальнейших исследований, выявления особенностей

бокового искривления, его причины и течения

Обозначение «сколиоз» не является диагнозом и требуетДальнейших исследований, выявления особенностей бокового искривления, его причины и течения

Слайд 21Остеофит
Повреждение
Конкресценция
Артроз

ОстеофитПовреждениеКонкресценцияАртроз

Слайд 22Классификация по форме искривления:
с 1 дугой искривления
с 2 дугами искривления
с

3 дугами искривления
Σ
S
С

Классификация по форме искривления:с 1 дугой искривленияс 2 дугами искривленияс 3 дугами искривленияΣSС

Слайд 23Классификация по локализации дуги искривления:
1.Шейно-грудной
2.Грудной
3.Грудопоясничный
4.Поясничный
5.Пояснично-крестцовый
Сколиоз
Вершина искривления на уровне
L5-S1
L1-L2
D11-D12
D8-D9
D3-D4

Классификация по локализации дуги искривления: 1.Шейно-грудной2.Грудной3.Грудопоясничный4.Поясничный5.Пояснично-крестцовыйСколиозВершина искривления на уровнеL5-S1L1-L2D11-D12 D8-D9D3-D4

Слайд 24Классификация по изменению статической функции позвоночника
Компенсированная
(уравновешенная)
Некомпенсированная (неуравновешенная)
Форма сколиоза
Осевая вертикальная

линия
от C7

Классификация по изменению статической функции позвоночника Компенсированная(уравновешенная)Некомпенсированная (неуравновешенная)Форма сколиозаОсевая вертикальная линияот C7

Слайд 25Классификация
в соответствии с этиологией и патогенезом
Чаклин В.Д., 1958

Классификация в соответствии с этиологией и патогенезом Чаклин В.Д., 1958

Слайд 26Врожденный (костные диспластические изменения)
Расщепление
Клиновидные
Микроспондилия
Спондилолиз
Спондилолистез
Синдром Клиппеля-Фейля
Деформация Шпренгеля
Конкресценция тел позвонков и ребер
Численного

значения
Люмбализация
Сакрализация
Аномалии
I группа
Тела
Дужек и отростков
Смешанного характера

Врожденный (костные диспластические изменения)РасщеплениеКлиновидныеМикроспондилияСпондилолизСпондилолистезСиндром Клиппеля-ФейляДеформация ШпренгеляКонкресценция тел позвонков и реберЧисленного значенияЛюмбализацияСакрализацияАномалииI группаТелаДужек и отростковСмешанного характера

Слайд 27Признаки
Возраст до 1 года
Локализация - все отделы
Медленное прогрессирование
Маловыраженная торсия тел

позвонков
Развитие искривлений на небольшом участке

ПризнакиВозраст до 1 годаЛокализация - все отделыМедленное прогрессированиеМаловыраженная торсия тел позвонковРазвитие искривлений на небольшом участке

Слайд 28II группа
Диспластический сколиоз
Наиболее тяжелые формы
Локализация- пояснично-крестцовый отдел
Возраст-8-10 лет
Тенденция к прогрессированию
Резкая

торсия тел позвонков
Образование реберного горба
Нарушение функции внешнего дыхания
Развитие больших компенсаторных

дуг в грудном отделе

Признаки

II группаДиспластический сколиозНаиболее тяжелые формыЛокализация- пояснично-крестцовый отделВозраст-8-10 летТенденция к прогрессированиюРезкая торсия тел позвонковОбразование реберного горбаНарушение функции внешнего

Слайд 29Идиопатический сколиоз
III группа
Самая распространенная группа-50-60%
Нарушение роста позвоночника
Общий патологический фон организма
Статико-динамические

расстройства функции позвоночника
?
Этиология и патогенез
!

Идиопатический сколиозIII группаСамая распространенная группа-50-60%Нарушение роста позвоночникаОбщий патологический фон организмаСтатико-динамические расстройства функции позвоночника?Этиология и патогенез!

Слайд 30В любом возрасте
Нарушение энхондрального костеобразования позвонков
Запаздывание слияния эпифизов с телами

позвонков
Остеопороз
Нарушения нейротрофических процессов
Замедление формирования эпифизов
Признаки

В любом возрастеНарушение энхондрального костеобразования позвонковЗапаздывание слияния эпифизов с телами позвонков ОстеопорозНарушения нейротрофических процессов Замедление формирования эпифизовПризнаки

Слайд 31Классификация идиопатических сколиозов по времени выявления деформации
Инфантильные сколиозы
(с момента рождения

до 4 лет)
Ювенильные сколиозы
(от 4 до 10 лет)
Подростковые сколиозы
(от 10

до 20 лет)

Сколиозы взрослых (старше 20 лет)

1

2

3

4

Классификация идиопатических сколиозов по времени выявления деформацииИнфантильные сколиозы(с момента рождения до 4 лет)Ювенильные сколиозы(от 4 до 10

Слайд 32Сколиозы неврогенного происхождения
IV группа
Полиомиелит
Нейрофиброматоз
Синдром боли в спине
Патобиомеханические

нарушения
Дистрофические изменения в межпозвонковых дисках
Спастический паралич
Этиология, патогенез
Возраст-7-17 лет
Признаки

Сколиозы неврогенного происхожденияIV группаПолиомиелит Нейрофиброматоз Синдром боли в спине Патобиомеханические нарушенияДистрофические изменения в межпозвонковых дисках Спастический паралич

Слайд 33V группа
Рахитические сколиозы
Нарушение минерализации в зоне апофизов тел позвонков
Остеопороз тел

позвонков
Слабое развития мышечной ткани и связочного аппарата
Этиология и

патогенез
V группаРахитические сколиозыНарушение минерализации в зоне апофизов тел позвонковОстеопороз тел позвонков Слабое развития мышечной ткани и связочного

Слайд 34Признаки
Возраст-2-3 года
Усиление грудного кифоза и поясничного лордоза
Атония мышц
Угнетение роста

тел позвонков на одной стороне
Торсия позвонков
Деформация тел позвонков

на вершине искривления
ПризнакиВозраст-2-3 годаУсиление грудного кифоза и поясничного лордоза Атония мышцУгнетение роста тел позвонков на одной стороне Торсия позвонков

Слайд 35VI группа
Прочие сколиозы
Рубцовые
Посттравматические
Деформации на фоне специфических (туберкулез, сифилис) и неспецифических

заболеваний (остеомиелит)
Остеохондропатии (апофизов позвонков-болезнь Шоермана, тела позвонка-болезнь Кальве

VI группаПрочие сколиозыРубцовыеПосттравматическиеДеформации на фоне специфических (туберкулез, сифилис) и неспецифических заболеваний (остеомиелит)Остеохондропатии (апофизов позвонков-болезнь Шоермана, тела позвонка-болезнь

Слайд 38Диагностика
Рентгенологические
Клинические
Метод КОМОТ
Методы

ДиагностикаРентгенологическиеКлиническиеМетод КОМОТМетоды

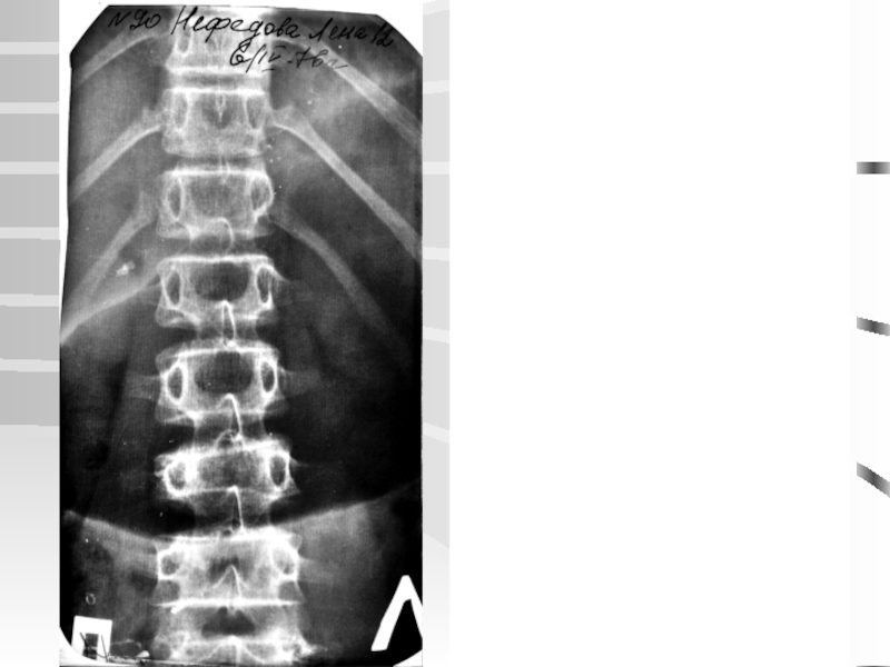
Слайд 39по Липману-Коббу, 1935
по Фергюссону
Fergusson
Cobb
Угол сколиотической дуги
Угол сколиоза

по Липману-Коббу, 1935по ФергюссонуFergusson Cobb Угол сколиотической дугиУгол сколиоза

Слайд 40Система оценки величины искривления позвоночника
Cobb, 1948

Система оценки величины искривления позвоночникаCobb, 1948

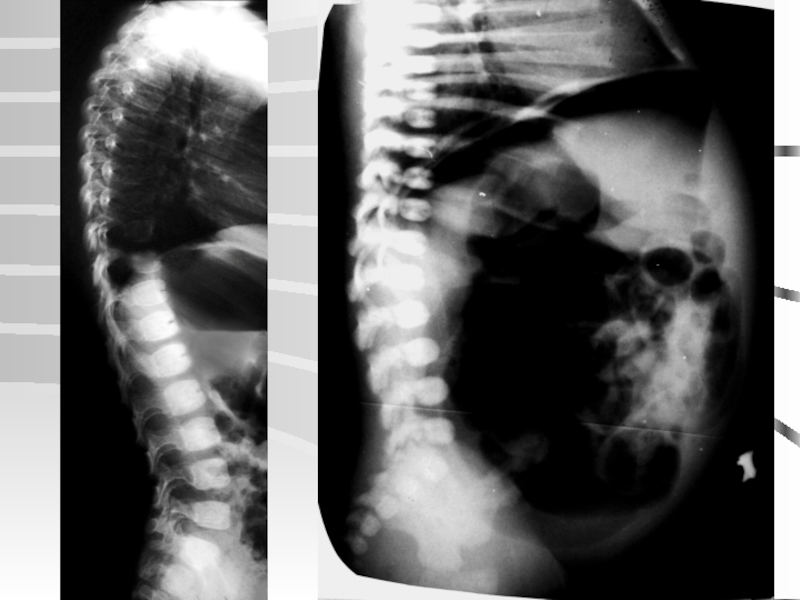
Слайд 41Компьютерная и магнитно-резонансная томография

Компьютерная и магнитно-резонансная томография

Слайд 42Компьютерная оптическая топография (КОМОТ)
Сарнадский В.Н., 2000

Компьютерная оптическая топография (КОМОТ)Сарнадский В.Н., 2000

Слайд 43Компьютерная ретроверсия изображения
Проекция изображения сетки на пациента

Компьютерная ретроверсия изображенияПроекция изображения сетки на пациента

Слайд 44Графическое изображение и математический анализ КОМОТ

Графическое изображение и математический анализ КОМОТ

Слайд 45Достоинства метода КОМОТ
Абсолютная безвредность
Большая пропускная способность
Полная автоматизация снимков
Высокая точность определения

рельефа
Высокая корреляция с данными рентгенологического исследования
Достоверность
Информативность

Достоинства метода КОМОТАбсолютная безвредностьБольшая пропускная способностьПолная автоматизация снимковВысокая точность определения рельефа Высокая корреляция с данными рентгенологического исследованияДостоверностьИнформативность

Слайд 46Последствия тяжелых искривлений позвоночника и грудной клетки
Уменьшение объема плевральных

полостей
Нарушение механики дыхания
ухудшение функции внешнего дыхания
снижение насыщения артериальной крови кислородом
изменения

характера тканевого дыхания
гипертензия в малом круге кровообращения
Гипертрофия миокарда правой половины сердца-развитие симптомокомплекса легочно-сердечной недостаточности
(«кифосколиотическое сердце»).


Последствия тяжелых искривлений позвоночника и грудной клетки Уменьшение объема плевральных полостейНарушение механики дыханияухудшение функции внешнего дыханияснижение насыщения

Слайд 47Лечение сколиоза
Консервативное
Оперативное

Лечение сколиозаКонсервативноеОперативное

Слайд 48ЛФК
Массаж
Корригирующая гимнастика
Albert, 1902
Консервативное лечение
До 15 лет !

ЛФКМассажКорригирующая гимнастикаAlbert, 1902Консервативное лечениеДо 15 лет !

Слайд 49Корсетотерапия
Амбруаз Паре
Мильвоки
Бостон

КорсетотерапияАмбруаз ПареМильвокиБостон

Слайд 50Корригирующий корсет НИИТО

Корригирующий корсет НИИТО

Слайд 51Пациент А., 11 лет , срок наблюдения 2 года
До
После
17о

Корсетотерапия

Пациент А., 11 лет , срок наблюдения 2 годаДоПосле17о2оКорсетотерапия

Слайд 52Деформации величиной 40º и более по Cobb
Документированное прогрессирование
Дисбаланс туловища
Косметический дефект
Болевой

синдром
Дисфункция сердечно-легочной системы
Желание больного
Оперативное лечение
Показания

Деформации величиной 40º и более по CobbДокументированное прогрессированиеДисбаланс туловищаКосметический дефектБолевой синдромДисфункция сердечно-легочной системыЖелание больногоОперативное лечениеПоказания

Слайд 53Злокачественное прогрессирование идиопатического (инфантильного) сколиоза
Возрастной порог операбельности должен быть максимально

снижен
1 год
2 года
4 года
23o
48o
110o

Злокачественное прогрессирование идиопатического (инфантильного) сколиозаВозрастной порог операбельности должен быть максимально снижен 1 год2 года4 года23o48o110o

Слайд 54Задний спондилодез
Тенолигаментокапсулотомия
Методы мобилизации позвоночника и коррекция металлическими конструкциями
Торакопластика
Операции

на телах позвонков (эпифизиодез, передний спондилодез, резекция тел позвонков)
Способы оперативной

коррекции
Задний спондилодез Тенолигаментокапсулотомия Методы мобилизации позвоночника и коррекция металлическими конструкциямиТоракопластикаОперации на телах позвонков (эпифизиодез, передний спондилодез, резекция

Слайд 55Поясничные и грудопоясничные деформации корригируются вентральным инструментарием HAFS (Hopf Anterior

Fixation System)

Поясничные и грудопоясничные деформации корригируются вентральным инструментарием HAFS (Hopf Anterior Fixation System)

Слайд 56Пациент М., 15 лет
62°

Результат применения HAFS

Пациент М., 15 лет62°5°Результат применения HAFS

Слайд 57Элементы CDI (1983)
Ив Котрель
Жан Дюбуссе
Коррекция сегментарными аппаратами III поколения

Элементы CDI (1983)Ив КотрельЖан ДюбуссеКоррекция сегментарными аппаратами III поколения

Слайд 58Пациент О. 4 лет
Оперативное лечение злокачественно прогрессирующих ювенильных сколиозов
100°
31°
По наблюдению

Михайловского М.В.,
НИИТО, 2005

Пациент О. 4 летОперативное лечение злокачественно прогрессирующих ювенильных сколиозов100°31°По наблюдению Михайловского М.В.,НИИТО, 2005

Слайд 59Пациент Х. 14 лет
92°
40°
Хирургия болезни Шойермана
920
400
По наблюдению Михайловского М.В.,
НИИТО,

2005

Пациент Х. 14 лет92°40°Хирургия болезни Шойермана 920400По наблюдению Михайловского М.В.,НИИТО, 2005

Слайд 60 Пациент Я. 21 год
103°
27°
Хирургия «запущенных» форм идиопатического сколиоза
По наблюдению

Михайловского М.В.,
НИИТО, 2005

Пациент Я. 21 год103°27°Хирургия «запущенных» форм идиопатического сколиозаПо наблюдению Михайловского М.В.,НИИТО, 2005

Слайд 61Косметический результат

Косметический результат

Слайд 62Благодарю за внимание !

Благодарю за внимание !

Обратная связь

Если не удалось найти и скачать доклад-презентацию, Вы можете заказать его на нашем сайте. Мы постараемся найти нужный Вам материал и отправим по электронной почте. Не стесняйтесь обращаться к нам, если у вас возникли вопросы или пожелания:

Email: Нажмите что бы посмотреть 

Что такое TheSlide.ru?

Это сайт презентации, докладов, проектов в PowerPoint. Здесь удобно  хранить и делиться своими презентациями с другими пользователями.


Для правообладателей

Яндекс.Метрика