Разделы презентаций


Актуальные вопросы визуализации кровеносных сосудов в онкологии. Диагностика

Содержание

Методы лучевой диагностики РентгенографияКомпьютерная томографияМагнитно-резонансная томографияРадионуклидный методУльтразвуковой метод

Слайды и текст этой презентации

Слайд 1Актуальные вопросы визуализации кровеносных сосудов в онкологии. Диагностика опухолевого ангиогенеза
Румянцев

Денис Андреевич, студент 4 курса 80 группы факультета МШ «МБ»
Руководитель

СНК лучевой диагностики и терапии: Шехтер Анатолий Ильич, д.м.н., профессор
Староста кружка: Скобелева Юлия Олеговна
Москва, февраль 2020 года
Актуальные вопросы визуализации кровеносных сосудов в онкологии. Диагностика опухолевого ангиогенезаРумянцев Денис Андреевич, студент 4 курса 80 группы

Слайд 2Методы лучевой диагностики
Рентгенография
Компьютерная томография
Магнитно-резонансная томография
Радионуклидный метод
Ультразвуковой метод

Методы лучевой диагностики РентгенографияКомпьютерная томографияМагнитно-резонансная томографияРадионуклидный методУльтразвуковой метод

Слайд 3Методы лучевой диагностики
1. Рентгенография

Методы лучевой диагностики 1. Рентгенография

Слайд 4Методы лучевой диагностики
2. Компьютерная томография

Методы лучевой диагностики 2. Компьютерная томография

Слайд 5Методы лучевой диагностики
3. Магнитно-резонансная томография

Методы лучевой диагностики 3. Магнитно-резонансная томография

Слайд 6Методы лучевой диагностики
4. Радионуклидный метод

Методы лучевой диагностики 4. Радионуклидный метод

Слайд 7Методы лучевой диагностики
5. УЗИ

Методы лучевой диагностики 5. УЗИ

Слайд 9Методы лучевой диагностики
Рентгенологический метод
Ангиография
Компьютерная томография
КТ с динамическим контрастированием
КТ ангиография
Перфузионная

КТ

Магнитно-резонансная томография
Магнитно-резонансная ангиография
Радионуклидный метод
ОФЭКТ/КТ
ПЭТ/КТ
Планарная сцинтиграфия
Ультразвуковой метод
Цветовое доплеровское картирование
УЗИ с контрастированием

Методы лучевой диагностики Рентгенологический методАнгиографияКомпьютерная томографияКТ с динамическим контрастированиемКТ ангиографияПерфузионная КТМагнитно-резонансная томографияМагнитно-резонансная ангиографияРадионуклидный методОФЭКТ/КТПЭТ/КТПланарная сцинтиграфияУльтразвуковой методЦветовое доплеровское

Слайд 10Ангиография

Ангиография

Слайд 11Радионуклидный метод

Радионуклидный метод

Слайд 13а – МРТ, ДВИ, ограничение диффузии
b – МРТ, Т2-ВИ, неоднородный,

гиперинтенсивный сигнал
d – ПЭТ
e – ПЭТ/МРТ T2 FSE, медиальный очаг

гиперметаболической активности На операции: медиальная область сращена с почечными сосудами
а – МРТ, ДВИ, ограничение диффузииb – МРТ, Т2-ВИ, неоднородный, гиперинтенсивный сигналd – ПЭТe – ПЭТ/МРТ T2

Слайд 14П., 18 лет, лимфома Бёркитта
a – ПЭТ-МРТ с 18F-ФДГ
b

– ПЭТ/МРТ с MIP реконструкцией, увеличенные ЛУ средостения и шеи

слева с гиперметаболизмом ФДГ, точное определение локализации ЛУ по отношению к сосудам шеи и средостения
П., 18 лет, лимфома Бёркиттаa – ПЭТ-МРТ с 18F-ФДГ b – ПЭТ/МРТ с MIP реконструкцией, увеличенные ЛУ

Слайд 15П., 22 года, рабдомиосаркома правой бедренной кости
а – МРТ
b-f –

ПЭТ-КТ

П., 22 года, рабдомиосаркома правой бедренной костиа – МРТb-f – ПЭТ-КТ

Слайд 16а – КТ с динамическим контрастированием
b – ПЭТ/КТ с 123I-MIBG

(мета-йод-бензил-гуанидин), по структуре схожий с катехоламинами
Нормальный захват РФП левым надпочечником,

нормальное контрастирование крупных сосудов

а – КТ с динамическим контрастированиемb – ПЭТ/КТ с 123I-MIBG (мета-йод-бензил-гуанидин), по структуре схожий с катехоламинамиНормальный захват

Слайд 17П., 14 месяцев
a – МРТ, Т1-ВИ
b, с - селективная ангиография,

микрокатетер в левой глазничной артерии, интраартериальная химотерапия
ретинобластома

П., 14 месяцевa – МРТ, Т1-ВИb, с - селективная ангиография, микрокатетер в левой глазничной артерии, интраартериальная химотерапияретинобластома

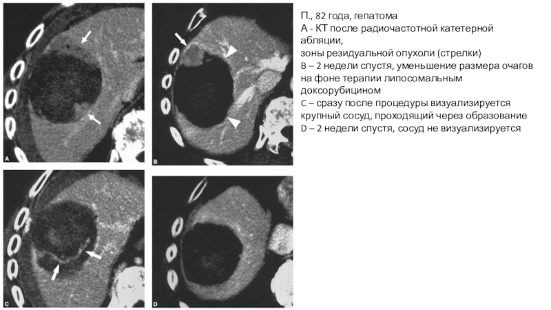
Слайд 18П., 82 года, гепатома
А - КТ после радиочастотной катетерной абляции,
зоны

резидуальной опухоли (стрелки)
B – 2 недели спустя, уменьшение размера очагов

на фоне терапии липосомальным доксорубицином
C – сразу после процедуры визуализируется крупный сосуд, проходящий через образование
D – 2 недели спустя, сосуд не визуализируется

П., 82 года, гепатомаА - КТ после радиочастотной катетерной абляции,зоны резидуальной опухоли (стрелки)B – 2 недели спустя,

Слайд 19П., 16 лет, ПЭТ-МРТ
Остеодеструктивные очаги в левой подвздошной кости, вовлекающее

крестец, подвздошные сосуды и крестцовое сплетение, зоны повышенной метаболической активности.

Аневризма внутриопухолевого сосуда
Остеосаркома
П., 16 лет, ПЭТ-МРТОстеодеструктивные очаги в левой подвздошной кости, вовлекающее крестец, подвздошные сосуды и крестцовое сплетение, зоны

Слайд 20ПЭТ-МРТ, через 18 минут после введения GA68-DOTANOC, повышенный захват менингиомой

клиновидной кости в области правого пещеристого синуса, растущей вокруг внутренней

сонной артерии. Просвет артерии и кровоток сохранены
ПЭТ-МРТ, через 18 минут после введения GA68-DOTANOC, повышенный захват менингиомой клиновидной кости в области правого пещеристого синуса,

Слайд 21КТ, ГЦК, инвазия печеночных вен (стрелки), опухолевый тромб в правом

предсердии (головки стрелок)

КТ, ГЦК, инвазия печеночных вен (стрелки), опухолевый тромб в правом предсердии (головки стрелок)

Слайд 22УЗИ, фокальная нодулярная гиперплазия, гипоэхогенное образование с ровными краями, цветное

доплеровское картирование, изогнутый ход сосудов в центре образования

УЗИ, фокальная нодулярная гиперплазия, гипоэхогенное образование с ровными краями, цветное доплеровское картирование, изогнутый ход сосудов в центре

Слайд 23П., 29 лет, перенес несколько операций по удалению энхондром нижних

конечностей. a – рентгенограмма
b – ПЭТ через 60 мин после

введения 18F-FDG. Образование левого плеча умеренно, гомогенно накапливает ФДГ, нет признаков малигнизации.
с – МРТ, Т1 TSE-ВИ с КУ
d – МРА, e – артериальная, f – венозная стадия
Синдром Мафуччи – множественные энхондромы и гемангиомы
П., 29 лет, перенес несколько операций по удалению энхондром нижних конечностей. a – рентгенограммаb – ПЭТ через

Слайд 24a – МРТ, Т1-ВИ с контрастом, крупная менингиома правого крыла

клиновидной кости с распространением на глазницу, правый пещеристый синус, турецкое

седло, правую височную область
b – ДСА
с – МРА, кровоснабжение из ветвей верхнечелюстной артерии.
a – МРТ, Т1-ВИ с контрастом, крупная менингиома правого крыла клиновидной кости с распространением на глазницу, правый

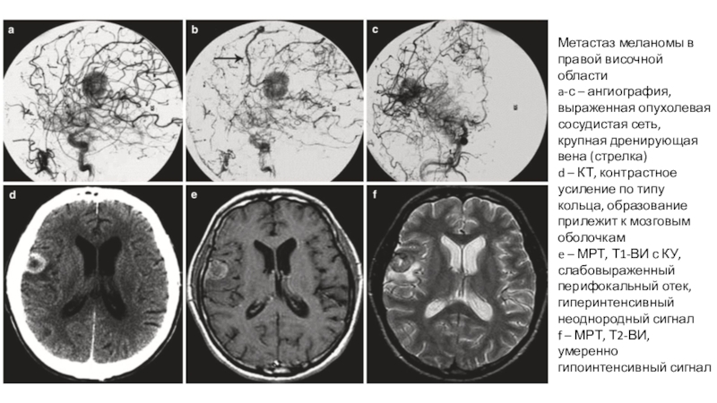
Слайд 25Метастаз меланомы в правой височной области
a-с – ангиография, выраженная опухолевая

сосудистая сеть, крупная дренирующая вена (стрелка)
d – КТ, контрастное усиление

по типу кольца, образование прилежит к мозговым оболочкам
e – МРТ, Т1-ВИ с КУ, слабовыраженный перифокальный отек, гиперинтенсивный неоднородный сигнал
f – МРТ, Т2-ВИ, умеренно гипоинтенсивный сигнал
Метастаз меланомы в правой височной областиa-с – ангиография, выраженная опухолевая сосудистая сеть, крупная дренирующая вена (стрелка)d –

Слайд 26МРТ, MIP реконструкция, артерии брюшной полости

МРТ, MIP реконструкция, артерии брюшной полости

Слайд 27МРТ, MIP реконструкция в коронарной проекции сосудов головы и шеи,

брюшной полости и таза, градиентное эхо, подавление сигнала от жира

МРТ, MIP реконструкция в коронарной проекции сосудов головы и шеи, брюшной полости и таза, градиентное эхо, подавление

Слайд 28Перфузионная КТ (ПКТ)
Способ количественной оценки изменения плотности тканей при внутривенном

введении контрастного препарата
Для каждого вокселя измеряется количество крови, протекающее через

капилляры ткани
Первое применение в клинической практике – 2000 год (Lev and Nichols)
Режимы:
CBF – скорость потока (мл/100 г/мин)
CBV – объем потока (мл/100 г)
Mean Transit Time (сек)
Time To Peak (сек)
PS карты (перфузионные карты)
Перфузионная КТ (ПКТ)Способ количественной оценки изменения плотности тканей при внутривенном введении контрастного препаратаДля каждого вокселя измеряется количество

Слайд 29Перфузионная КТ (ПКТ)
Введение контраста с большим количеством йода (350-370 мг,

40 мл, 20 мл физ. р-ра)
С помощью спец. ПО

рентгенолог вручную отмечает крупную артерию и вену. На основе указанных точек строится 2 графика «плотность-время», являющиеся основой для расчета перфузионных показателей.
Перфузионная КТ (ПКТ)Введение контраста с большим количеством йода (350-370 мг, 40 мл, 20 мл физ. р-ра) С

Слайд 31a – КТ с ку
b-d – МРТ
e, f – КТ-перфузия

в режимах CBF и CBV, зоны высоких показателей кровотока
Менингиома

ольфакторной ямки
a – КТ с куb-d – МРТe, f – КТ-перфузия в режимах CBF и CBV, зоны высоких

Слайд 32Некоторые значения перфузионных показателей

Некоторые значения перфузионных показателей

Слайд 33Некоторые значения перфузионных показателей

Некоторые значения перфузионных показателей

Слайд 34Джуда Фолкман
1971 – впервые опубликовал работу на тему ангиогенеза

Наполеоне Феррара
1989

– первый антагонист фактора роста эндотелия сосудов – Бевацизумаб

Джуда Фолкман1971 – впервые опубликовал работу на тему ангиогенезаНаполеоне Феррара1989 – первый антагонист фактора роста эндотелия сосудов

Слайд 35В настоящее время
Общий рынок антиангиогенных препаратов превышает 10 млрд $

в год
Антиангиогенная терапия (АТ) входит в стандартную противоопухолевую терапию
Антиангиогенная терапия

увеличила общую выживаемость в среднем на 25%

Супрессия ангио- и лимфангиогенеза

Замедление роста опухоли

Замедление метастазирования

В настоящее времяОбщий рынок антиангиогенных препаратов превышает 10 млрд $ в годАнтиангиогенная терапия (АТ) входит в стандартную

Слайд 36Классификация ангиогенеза
Ангиогенез как рост новых капилляров из существующих сосудов;
Васкулярное ремоделирование – перестройка

сосудистого русла;
Васкулогенез – образование сосудов de novo из предшественников эндотелиальных клеток,

как это происходит в эмбрионе;
Гломерулоидный ангиогенез – образование клубочковых комплексов из капилляров, вариабельно разграниченных базальной мембраной и перицитами (тип характерен для глиобластом);
Васкулярная мимикрия – феномен образования целостной сети кровеносных капилляров, состоящих не из эндотелия, а преимущественно из опухолевых клеток.

Fox S.B., Generali D.G., Harris A.L. Breast tumour angiogenesis // Breast Cancer Res. – 2007. – Vol. 9, № 6. – P. 216.

Классификация ангиогенезаАнгиогенез как рост новых капилляров из существующих сосудов;Васкулярное ремоделирование – перестройка сосудистого русла;Васкулогенез – образование сосудов de novo из

Слайд 37Способы ингибирования ангиогенеза:
1 – ингибирование VEGF (Vascular Endothelial Growth Factor

– Фактор Роста Эндотелия Сосудов)
2 – ингибирование тирозин киназы
3 –

ингибирование факторов роста
4 – ингибирование перицитов
5 – ингибирование пути передачи импульса
6 – стабилизация ДНК
Способы ингибирования ангиогенеза:1 – ингибирование VEGF (Vascular Endothelial Growth Factor – Фактор Роста Эндотелия Сосудов)2 – ингибирование

Слайд 38Способы оценки неоангиогенеза
Инвазивные
Микроскопическая оценка плотности микрососудов
Неинвазивные
Ангиография
КТ с динамическим контрастированием
Перфузионная

КТ
МРТ с динамическим контрастированием
Перфузионная МРТ
ПЭТ с 18-ФДГ
ПЭТ с Zr89-Бевацизумабом
УЗИ




Способы оценки неоангиогенезаИнвазивныеМикроскопическая оценка плотности микрососудов НеинвазивныеАнгиографияКТ с динамическим контрастированиемПерфузионная КТМРТ с динамическим контрастированиемПерфузионная МРТПЭТ с 18-ФДГПЭТ

Слайд 39Методы визуализации
Возможно измерить:
Проницаемость сосудов
Перфузию крови
Захват определенных веществ
Невозможно измерить:
Тонкие,

небольших изменения

Методы визуализации Возможно измерить:Проницаемость сосудов Перфузию кровиЗахват определенных веществНевозможно измерить:Тонкие, небольших изменения

Слайд 40Перспективы диагностики
Конъюгаты гадолиний-альбумин
Изотопные трейсеры с оксидом железа
Наночастицы

Перспективы диагностикиКонъюгаты гадолиний-альбуминИзотопные трейсеры с оксидом железа Наночастицы

Слайд 41Признаки эффективности АТ на МРТ
Снижение диаметра сосудов
Снижение проницаемости сосудов
Снижение зоны

отека

Признаки эффективности АТ на МРТСнижение диаметра сосудовСнижение проницаемости сосудовСнижение зоны отека

Слайд 42Динамическая контрастная МРТ
Синие кружки – низкомолекулярный контраст на основе гадолиния
Диффузия

контраста через деффектные опухолевые сосуды (черная пунктирная линия)
Vp – объем

опухолевых сосудов
Ve – экстрасосудистое пространство
K trans – проницаемость сосудов
Динамическая контрастная МРТСиние кружки – низкомолекулярный контраст на основе гадолинияДиффузия контраста через деффектные опухолевые сосуды (черная пунктирная

Слайд 43МРТ с динамическим контрастированием, Т1-ВИ, аксиальные срезы. Метастазы колоректального рака

в головной мозг. Комбинированное лечение: АТ и радиотерапия.

МРТ с динамическим контрастированием, Т1-ВИ, аксиальные срезы. Метастазы колоректального рака в головной мозг. Комбинированное лечение: АТ и

Слайд 44П., 6 лет, гепатобластома, резистентная к системной химиотерапии
a – КТ
b,

с – ДАГ
Неоангиогенез, микрокатетер для химиоэмболизации (гранулы с доксорубицином)

П., 6 лет, гепатобластома, резистентная к системной химиотерапииa – КТb, с – ДАГНеоангиогенез, микрокатетер для химиоэмболизации (гранулы

Слайд 45КТ с контрастом, венозная фаза, протоковая аденокарцинома крючковидного отростка поджелудочной

железы (черный круг), приводящая к сдавлению и расширению общего желчного

протока (белая стрелка)
Опухоль слабоваскуляризирована, антиангиогенная терапия малоэффективна

КТ с контрастом, артериальная фаза, нейроэндокринная опухоль головки поджелудочной железы, гиперваскуляризированная, выраженный ответ на атиангиогенную терапию

КТ с контрастом, венозная фаза, протоковая аденокарцинома крючковидного отростка поджелудочной железы (черный круг), приводящая к сдавлению и

Слайд 46Прижизненная флуоресцентная микроскопия
Нормальная поджелудочная железа
Равномерное распределение сосудов одинакового диаметра
Протоковая

аденокарцинома поджелудочной железы
Неравномерное распределение неоднородных по толщине и диаметру сосудов


Прижизненная флуоресцентная микроскопия Нормальная поджелудочная железаРавномерное распределение сосудов одинакового диаметраПротоковая аденокарцинома поджелудочной железыНеравномерное распределение неоднородных по толщине

Слайд 47Прижизненная микроскопия
Рост метастазов рака легкого (красный) в головном мозге мыши
Выраженный

ангиогенез (зеленый)


Прижизненная микроскопияРост метастазов рака легкого (красный) в головном мозге мышиВыраженный ангиогенез (зеленый)

Слайд 481 – метастазы рака легкого в головной мозг
2 – состояние

после хирургического удаления метастазов
Далее - рецидив
3 – состояние после радиохирургии:

радионекроз (черная стрелка), обширный перифокальный отек (белые стрелки)
Далее – терапия бевацизумабом
4, 5 – положительная динамика
Отсутствие неврологической симптоматики
1 – метастазы рака легкого в головной мозг2 – состояние после хирургического удаления метастазовДалее - рецидив3 –

Обратная связь

Если не удалось найти и скачать доклад-презентацию, Вы можете заказать его на нашем сайте. Мы постараемся найти нужный Вам материал и отправим по электронной почте. Не стесняйтесь обращаться к нам, если у вас возникли вопросы или пожелания:

Email: Нажмите что бы посмотреть 

Что такое TheSlide.ru?

Это сайт презентации, докладов, проектов в PowerPoint. Здесь удобно  хранить и делиться своими презентациями с другими пользователями.


Для правообладателей

Яндекс.Метрика