Разделы презентаций


БАКТЕРИОФАГИ

Содержание

БАКТЕРИОФАГИ«пожирающий бактерии» (от бактерия + греч. phagos – пожирающий)вирусы бактерий, специфически проникающие в бактериальные клетки и поражающие их.Для обозначения используют:название м/о, из которых они выделены: колифаги, стафилофаги,буквы латинского алфавита 

Слайды и текст этой презентации

Слайд 1БАКТЕРИОФАГИ
вирусы бактерий

БАКТЕРИОФАГИвирусы бактерий

Слайд 2БАКТЕРИОФАГИ
«пожирающий бактерии» (от бактерия + греч. phagos – пожирающий)
вирусы бактерий,

специфически проникающие в бактериальные клетки и поражающие их.
Для обозначения используют:
название

м/о, из которых они выделены: колифаги, стафилофаги,
буквы латинского алфавита 

БАКТЕРИОФАГИ«пожирающий бактерии» (от бактерия + греч. phagos – пожирающий)вирусы бактерий, специфически проникающие в бактериальные клетки и поражающие

Слайд 3БАКТЕРИОФАГ
Определение: - вирус, поражающий прокариотическую клетку,
Структура: НК (ДНК или РНК)+

белок

БАКТЕРИОФАГОпределение: - вирус, поражающий прокариотическую клетку,Структура: НК (ДНК или РНК)+ белок

Слайд 5Строение бактериофагов
икосаэдрическая головка,
хвостовой отросток: внутри – полый цилиндрический стержень, сообщающийся

с головкой, а снаружи - чехол отростка, заканчивающийся шестиугольной базальной

пластинкой с шипами, от которых отходят фибриллы (нити),
капсид головки и чехол хвостового отростка бактериофага состоят из полипептидных субъединиц, уложенных по икосаэдрическому (головка) или спиральному (отросток) типу симметрии.

Строение бактериофаговикосаэдрическая головка,хвостовой отросток: внутри – полый цилиндрический стержень, сообщающийся с головкой, а снаружи - чехол отростка,

Слайд 6Строение классического бактериофага

Строение классического бактериофага

Слайд 8Нуклеиновая кислота фага
Бактериофаги (фаги) содержат ДНК или РНК:
- двунитевые
-

однонитевые
линейные,
-кольцевые.
Большинство – двунитевую ДНК, замкнутую в кольцо

Нуклеиновая кислота фагаБактериофаги (фаги) содержат ДНК или РНК: - двунитевые- однонитевыелинейные,-кольцевые.Большинство – двунитевую ДНК, замкнутую в кольцо

Слайд 9 В состав головки входит:
полипептид, состоящий из аспарагиновой, глутаминовой кислот и

лизина,
- у некоторых – гистоноподобный белок → суперспирализация ДНК.

В состав головки входит: полипептид, состоящий из аспарагиновой, глутаминовой кислот и лизина,- у некоторых – гистоноподобный

Слайд 10 В состав сокращающегося чехла входит:
 
у некоторых фагов входит АТФ

и ионы кальция.
 
В дистальной части отростка – лизоцим.

В состав сокращающегося чехла входит:   у некоторых фагов входит АТФ и ионы кальция. В дистальной части

Слайд 11Морфологические типы бактериофагов
I тип (нитчатые)
без головки (только отросток)
II тип
без отростка

(только головка)
III тип
головка и отросток, короткий без чехла
IV тип
головка и

отросток, длинный с чехлом, не сокращающийся
V тип
головка и отросток, длинный с чехлом, сокращающийся
Морфологические типы бактериофаговI тип (нитчатые)без головки (только отросток)II типбез отростка (только головка)III типголовка и отросток, короткий без

Слайд 13Классификация бактериофагов по спектру действия
полифаги
поражают несколько видов
монофаги (видовые)
поражают один вид
типовые

фаги
поражают часть вида (фаговар)

Классификация бактериофагов по спектру действияполифагипоражают несколько видовмонофаги (видовые)поражают один видтиповые фагипоражают часть вида (фаговар)

Слайд 14Классификация фагов в зависимости от эффекта действия на бактериальную клетку
Вирулентные
умеренные

Классификация фагов в зависимости от эффекта действия на бактериальную клеткуВирулентныеумеренные

Слайд 15Взаимодействие вирулентного фага с бактериальной клеткой
адсорбция фага на специальных рецепторах

КС
(на протопластах не происходит)

проникновение НК
(депротеинизация)

репликация фаговой НК и синтез

фаговых белков

сборка фаговых частиц

выход зрелых фагов

лизис бактерии бактерия не погибает
(«взрыв») (некоторые нитчатые фаги)

ПРОДУКТИВНАЯ ИНФЕКЦИЯ
Взаимодействие вирулентного фага с бактериальной клеткойадсорбция фага на специальных рецепторах КС (на протопластах не происходит)проникновение НК(депротеинизация)репликация фаговой

Слайд 16Взаимодействие умеренного фага с бактериальной клеткой
адсорбция фага на специальных рецепторах

КС
(на протопластах не происходит)

проникновение НК
(депротеинизация)

интеграция фаговой НК в геном

бактерии

профаг
(фаговый репрессор блокирует транскрипцию)

лизогенная культура
Л И З О Г Е Н И З А Ц И Я
в дальнейшем – может индукция профага


продуктивная инфекция
Взаимодействие умеренного фага с бактериальной клеткойадсорбция фага на специальных рецепторах КС (на протопластах не происходит)проникновение НК(депротеинизация)интеграция фаговой

Слайд 17Практическое применение бактериофагов
Фагодиагностика
Выявление определённого вида бактерий в патологическом материале
реакция нарастания

титра фага
Идентификация чистой культуры
определение вида
фагоиндикация
определение фаговара
фаготипирование

Практическое применение бактериофаговФагодиагностикаВыявление определённого вида бактерий в патологическом материалереакция нарастания титра фагаИдентификация чистой культурыопределение видафагоиндикацияопределение фаговарафаготипирование

Слайд 18Практическое применение бактериофагов
● Фаготерапия
Фаг применяется местно

●Фагопрофилактика
брюшной тиф
дизентерия

Практическое применение бактериофагов● ФаготерапияФаг применяется местно●Фагопрофилактика брюшной тифдизентерия

Слайд 19Выделение бактериофага
Материал:
объект внешней среды
бактериальная культура

бактериальный фильтр

фильтрат

МПБ + чувствительная бактерия

инкубация

роста нет

– фаг присутствует (очищают фильтрованием)
рост есть – фаг отсутствует

Выделение бактериофагаМатериал:объект внешней средыбактериальная культурабактериальный фильтрфильтратМПБ + чувствительная бактерияинкубацияроста нет – фаг присутствует (очищают фильтрованием)рост есть –

Слайд 20 Определение активности бактериофагов = фагоиндикация
Качественный метод:
метод «стерильной дорожки»
Количественные методы:
А) Метод

Грациа
Б) Метод Аппельмана

Определение активности бактериофагов = фагоиндикация Качественный метод:метод «стерильной дорожки»Количественные методы:А) Метод Грациа Б) Метод Аппельмана

Слайд 21Метод фагоиндикации «стекающая капля» = «стерильная дорожка»
стекающая капля по газону

засеянной культуры

регистрация роста бактерий в месте стекания капли

рост есть –

-
роста нет – +
Метод фагоиндикации «стекающая капля» = «стерильная дорожка»стекающая капля по газону засеянной культурырегистрация роста бактерий в месте стекания

Слайд 22 Определение активности бактериофагов = фагоиндикация
Количественные методы:
А) Метод Грациа: готовят десятикратные

разведения фага в хлориде натрия от 10-2 до 10-7
Затем

по 0,5 мл из каждого разведения смешивают с таким же объемом бульонной культуры и 4 мл расплавленного и остуженного до 45 град. агара и выливают на чашки Петри.
Когда агар застынет чашки помещают в термостат при 37 градусах на 24 часа и затем учитывают результаты:
-одна фаговая частица образует одно «стерильное пятно»
- Величина, показывающая концентрацию фага называется титром.

Определение активности бактериофагов = фагоиндикация Количественные методы:А) Метод Грациа: готовят десятикратные разведения фага в хлориде натрия

Слайд 23Титрование фага по Грациа
МПА + разведение фагосодержащего материала + чувствительная

культура



МПА (подложка)








чашка Петри со средой (в разрезе)

Титрование фага по ГрациаМПА + разведение фагосодержащего материала + чувствительная культураМПА (подложка)чашка Петри со средой (в разрезе)

Слайд 25 Определение активности бактериофагов = фагоиндикация
Количественные методы:
Б) Метод Аппельмана: готовят десятикратные

разведения фага в питательном бульоне от 10-2 до 10-8.
Затем

в каждую пробирку добавляют по 0,2мл бульонной культуры и ряды ставят в термостат.
После инкубации в термостате учитывают результаты:
=в положительном случае наблюдается просветление среды.
Разведение в последней пробирке, где произошел полный лизис культуры, называется титром.

Определение активности бактериофагов = фагоиндикация Количественные методы:Б) Метод Аппельмана: готовят десятикратные разведения фага в питательном бульоне

Слайд 26Титрование фага по Аппельману

Титрование фага по Аппельману

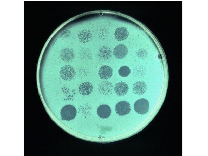
Слайд 27Фаготипирование бактерий
засев газоном на пластинчатый агар изучаемого штамма
нанесение капель типовых

фагов
инкубация
регистрация «стерильных пятен» («бляшек»)
фаготип (фаговар) = перечень типовых фагов, лизирующих

данный вариант
Фаготипирование бактерийзасев газоном на пластинчатый агар изучаемого штаммананесение капель типовых фаговинкубациярегистрация «стерильных пятен» («бляшек»)фаготип (фаговар) = перечень

Слайд 28 Определение спектра литического действия фага
Чашку делят на квадратики и на

каждый газоном засевают испытуемые штаммы,
затем на каждый квадратик петлей

или пипеткой наносят каплю фага
после инкубации в термостате в течение 24 час определяют наличие «стерильных пятен».
Количество культур, которые лизирует бактериофаг – спектр его действия.
 

Определение спектра литического действия фага Чашку делят на квадратики и на каждый газоном засевают испытуемые штаммы,

Обратная связь

Если не удалось найти и скачать доклад-презентацию, Вы можете заказать его на нашем сайте. Мы постараемся найти нужный Вам материал и отправим по электронной почте. Не стесняйтесь обращаться к нам, если у вас возникли вопросы или пожелания:

Email: Нажмите что бы посмотреть 

Что такое TheSlide.ru?

Это сайт презентации, докладов, проектов в PowerPoint. Здесь удобно  хранить и делиться своими презентациями с другими пользователями.


Для правообладателей

Яндекс.Метрика