Разделы презентаций


ДИССЕМИНИРОВАННЫЙ ТБ ЛЕГКИХ

Содержание

Диссеминированный туберкулезОстрый (милиарный)Подострый Хронический

Слайды и текст этой презентации

Слайд 1ДИССЕМИНИРОВАННЫЙ ТБ ЛЕГКИХ
Диссеминированный туберкулез легких характеризуется наличием множественных, обычно в

обоих легких, очагов диссеминации гематогенного, лимфогенного или смешанного генеза разной

давности и с различным соотношением экссудативного и продуктивного воспаления.
В структуре заболеваемости туберкулезом органов дыхания составляет около 24%.
ДИССЕМИНИРОВАННЫЙ ТБ ЛЕГКИХДиссеминированный туберкулез легких характеризуется наличием множественных, обычно в обоих легких, очагов диссеминации гематогенного, лимфогенного или

Слайд 2Диссеминированный туберкулез
Острый (милиарный)
Подострый
Хронический

Диссеминированный туберкулезОстрый (милиарный)Подострый Хронический

Слайд 3МИЛИАРНЫЙ ТУБЕРКУЛЕЗ
Милиарный туберкулез – это гематогенная, почти всегда генерализованная форма

туберкулеза, характеризующаяся равномерным густым высыпанием мелких с просяное зерно туберкулезных

бугорков в легких и, как правило, в других органах.
МИЛИАРНЫЙ ТУБЕРКУЛЕЗМилиарный туберкулез – это гематогенная, почти всегда генерализованная форма туберкулеза, характеризующаяся равномерным густым высыпанием мелких с

Слайд 4Патогенез
Милиарный туберкулез обусловлен распространением значительного числа МБТ с током крови

на фоне ослабления защитных сил организма: из свежего очага первичной

инфекции; при реактивации старых туберкулезных очагов с аррозией стенки сосуда; при хирургической операции на органе, пораженном туберкулезом.
Преимущественно поражаются легкие, серозные оболочки, лимфатические узлы, селезенка, почки.
ПатогенезМилиарный туберкулез обусловлен распространением значительного числа МБТ с током крови на фоне ослабления защитных сил организма: из

Слайд 5В мокроте нередко находят МБТ.
Реакция на пробу Манту вначале нормергическая

или гиперергическая, по мере прогрессирования заболевания становится отрицательной.
В гемограмме лейкоцитоз

(15 – 18·109/л), который по мере прогрессирования сменяется лейкопенией (4 – 5·109/л), эозинопения, нейтрофилез со сдвигом влево, ускоренное СОЭ.
В моче иногда определяется белок.
При запоздалой диагностике и не своевременно начатого лечения быстро наступает летальный исход.
В мокроте нередко находят МБТ.Реакция на пробу Манту вначале нормергическая или гиперергическая, по мере прогрессирования заболевания становится

Слайд 6Патоморфология
Очаги, как правило, эксудативного характера. Появлению очагов предшествует гиперергическая реакция

капилляров, развиваются васкулит и лимфангит.

ПатоморфологияОчаги, как правило, эксудативного характера. Появлению очагов предшествует гиперергическая реакция капилляров, развиваются васкулит и лимфангит.

Слайд 7Клиническая картина

Различают:
легочную,
тифоидную,
менингиальную формы,
острый милиарный сепсис.

Клиническая картинаРазличают: легочную, тифоидную, менингиальную формы,острый милиарный сепсис.

Слайд 8Острый милиарный туберкулез (тифоидная форма)
От легочной формы отличается большим объемом

поражения. Поражаются и легкие и органы брюшной полости (печень, селезенка,

кишечник)
Более выражен интоксикационный синдром (температура до 42 С), легочный синдром такой же.
Острый милиарный туберкулез (тифоидная форма)От легочной формы отличается большим объемом поражения. Поражаются и легкие и органы брюшной

Слайд 9Острый милиарный туберкулез (легочная форма)

У части больных милиарным туберкулезом отмечаются

выраженные признаки легочной недостаточности с выступлением на первый план в

клинической картине одышки, цианоза на фоне высокой температуры тела (40 С) и тяжелой интоксикации. Проба Манту отрицательная или слабоположительная. Такой вариант милиарного туберкулеза называют легочной формой.

Острый милиарный туберкулез (легочная форма)У части больных милиарным туберкулезом отмечаются выраженные признаки легочной недостаточности с выступлением на

Слайд 10Острый милиарный туберкулез (менингиальная форма)
При обсеменении мозговых оболочек развивается туберкулезный

менингит.
У таких больных возникает резкая головная боль, рвота, рано

наступает оглушенность, потеря сознания. В спинномозговой жидкости всегда повышен уровень белка с преобладанием лимфоцитов ; у больных с тяжелым течением заболевания отмечается низкое содержание сахара. Примерно у 20% больных в ликворе находят МБТ.
Летальность высокая.

Острый милиарный туберкулез (менингиальная форма) При обсеменении мозговых оболочек развивается туберкулезный менингит. У таких больных возникает резкая

Слайд 11Острый милиарный сепсис
характеризуется крайне злокачественным течением и летальным исходом в

первые 2-3 недели заболевания.
Для него характерны высокая температура тела,

диспептические расстройства и стертая общемозговая симптоматика.
Рентгенологически в легких определяется лишь усиление легочного рисунка. В мокроте МБТ не находят. Характерна отрицательная реакция на пробу Манту - пассивная анергия.
На вскрытии находят во внутренних органах некротические очаги без признаков специфического воспаления; в мазках из очагов некроза обнаруживают МБТ.
Острый милиарный сепсисхарактеризуется крайне злокачественным течением и летальным исходом в первые 2-3 недели заболевания. Для него характерны

Слайд 12Острый милиарный туберкулез
Объективно:
Осмотр- кожные покровы бледные, цианоз

носогубного треугольника. Грудная клетка эмфизематозна.
Пальпаторно- без изменений
Перкуторно- тимпанит в

межлопаточном пространстве
Аускультативно- ослабление везикулярного дыхания,сухие рассеяные хрипы
Острый милиарный туберкулез   Объективно:Осмотр- кожные покровы бледные, цианоз носогубного треугольника. Грудная клетка эмфизематозна.Пальпаторно- без изменений

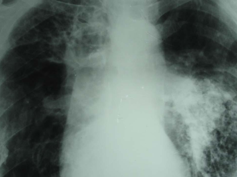
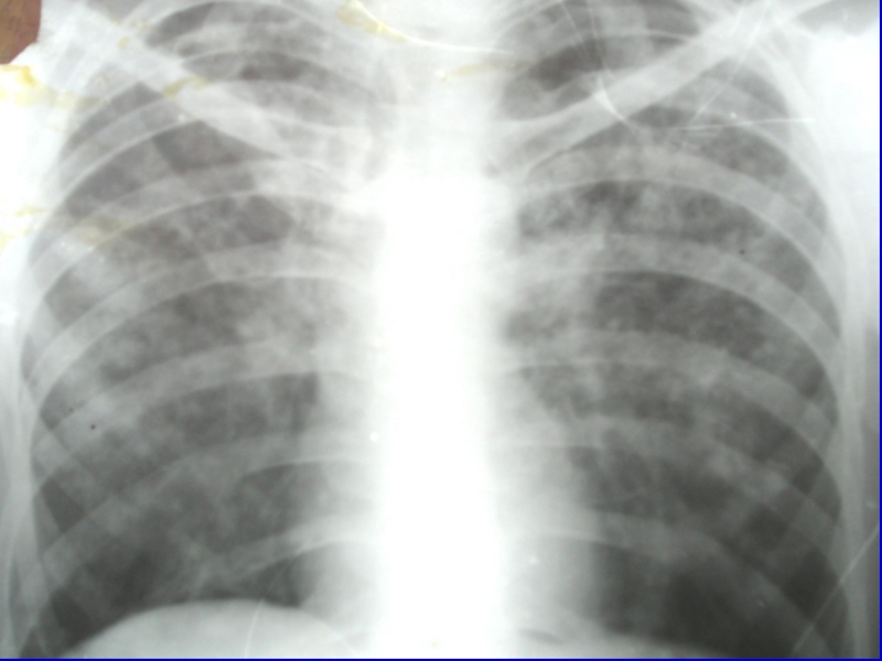
Слайд 13
Острый милиарный туберкулез Рентгенологическая картина

Рентгенологическая картина острого милиарного туберкулеза

легких в первые дни заболевания характеризуется диффузным понижением прозрачности легочных

полей, а затем появляются симметрично множественные округлой формы нерезко очерченные очаги, величиной до просяного зерна.
Острый милиарный туберкулез  Рентгенологическая картинаРентгенологическая картина острого милиарного туберкулеза легких в первые дни заболевания характеризуется диффузным

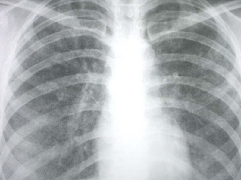
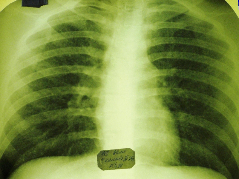
Слайд 14Острый милиарный туберкулез Рентгенологическая картина
характеризуется наличием мелких мягких очагов

(1-2 мм) одинаковой величины, расположенных симметрично в над- и подключичных

зонах, преимущественно в кортикальных слоях легких (эксудативного характера).
Острый милиарный туберкулез  Рентгенологическая картинахарактеризуется наличием мелких мягких очагов (1-2 мм) одинаковой величины, расположенных симметрично в

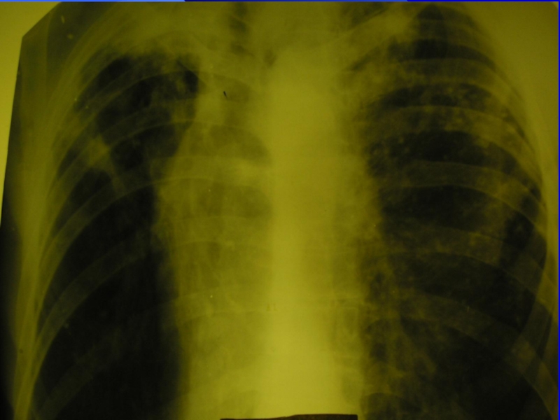
Слайд 17Острый милиарный ТБ

Острый милиарный ТБ

Слайд 18Лечение
Больные милиарным туберкулезом требуют индивидуального подхода к лечению; по группировке

ВОЗ они относятся к категории 1.
Дезинтоксикационная терапия.
Десенсибилизирующая терапия.
Иммунокоррегирующая терапия.

ЛечениеБольные милиарным туберкулезом требуют индивидуального подхода к лечению; по группировке ВОЗ они относятся к категории 1.Дезинтоксикационная терапия.Десенсибилизирующая

Слайд 19Подострый диссеминированный туберкулез

Подострый диссеминированный туберкулез

Слайд 20Патогенез
Диссеминированный туберкулез легких может возникать как в первичном, так и

во вторичном периоде туберкулезной инфекции.
Источником диссеминации чаще всего являются

туберкулезные изменения во внутригрудных лимфатических узлах
МБТ обычно распространяются гематогенным путем, но возможны лимфогенный и смешанный пути.
ПатогенезДиссеминированный туберкулез легких может возникать как в первичном, так и во вторичном периоде туберкулезной инфекции. Источником диссеминации

Слайд 21Патологическая анатомия
При свежем диссеминированном процессе морфологически в легких определяются

множественные однотипные очаги, по ходу междольковых вен, реже – ветвей

легочной артерии, располагающиеся симметрично, преимущественно в задних и кортикальных отделах верхних долей легких. Экссудативный и продуктивный тип воспаления в них сочетаются в разных соотношениях.
Образующиеся каверны бывают тонкостенными штампованными. Они часто множественны и располагаются симметрично в обоих легких.
Патологическая анатомия При свежем диссеминированном процессе морфологически в легких определяются множественные однотипные очаги, по ходу междольковых вен,

Слайд 22Клиника
Диссеминированный туберкулез может проявиться многообразно.
Начало постепенное. У части

больных заболевание протекает под маской гриппа, ОРЗ, пневмонии, бронхита. Поводом

для обращения к врачу могут послужить различные симптомы, свойственные внелегочным поражениям, например, охриплость, боль при глотании, обусловленная туберкулезом гортани. Предшествовать или сопутствовать туберкулезу легких может туберкулез костей и суставов, почек, половых и других органов.
У отдельных больных заболевание может проявиться кровохарканием. Первым проявлением заболевания может быть одышка, обычно умеренная. Возможно и бессимптомное течение процесса, он может неожиданно выявляться при флюорографическом обследовании.
При любом варианте клинических проявлений обращает на себя внимание удовлетворительное общее состояние больных, хорошая переносимость субфебрильной и даже фебрильной температуры и других симптомов интоксикации. Обычные симптомы – одышка, кашель с небольшим количеством слизисто-гнойной мокроты. Интоксикация становится более выраженной при прогрессировании процесса, слиянии очагов, при экссудативно-казеозном характере тканевых реакций.
При объективном обследовании достаточно часто патологические отклонения не обнаруживаются; при слившихся очагах с распадом могут выслушиваться мелко- и среднепузырчатые хрипы, чаще всего в межлопаточном пространстве.
Клиника Диссеминированный туберкулез может проявиться многообразно. Начало постепенное. У части больных заболевание протекает под маской гриппа, ОРЗ,

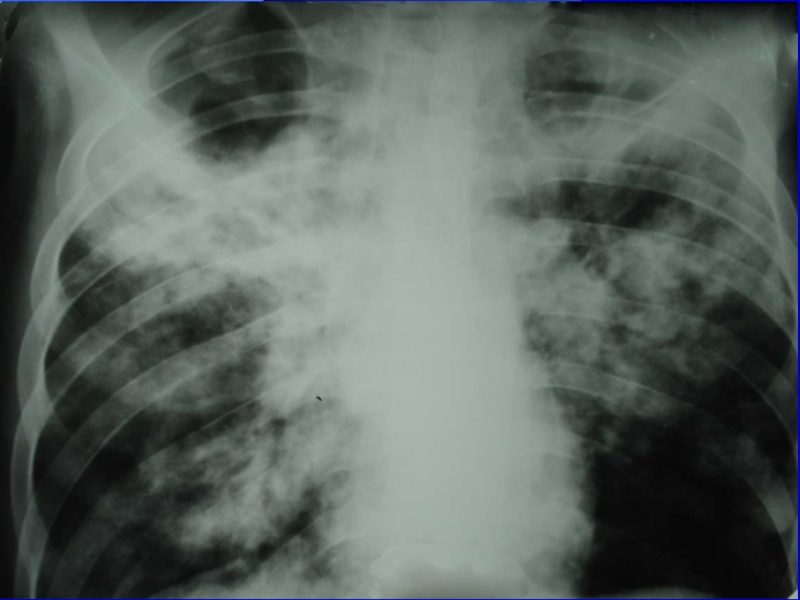
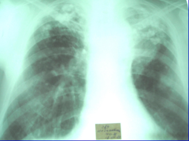
Слайд 23Рентгенологическая картина
Рентгенологически симметрично в обоих легких, преимущественно в верхних и

средних отделах, обнаруживаются в одних случаях однотипные средние, в других

– крупные очаги.
При крупноочаговых процессах определяются очаги до 1 см, округлой или неправильной формы без резких очертаний, в верхних отделах могут обнаруживаться отдельные или множественные тонкостенные (штампованные) каверны, которые в части случаев выявляются только при томографическом исследовании.
В редких случаях лимфогенного диссеминированного туберкулеза очаги располагаются в средних отделах на фоне выраженной сетчатой и линейной тяжистости. Корни легких и при гематогенной и лимфогенной диссеминации обычно нерезко расширены.
Рентгенологическая картинаРентгенологически симметрично в обоих легких, преимущественно в верхних и средних отделах, обнаруживаются в одних случаях однотипные

Слайд 24ДИССЕМИНИРОВАННЫЙ ТБ ЛЕГКИХ

ДИССЕМИНИРОВАННЫЙ ТБ ЛЕГКИХ

Слайд 25ДИССЕМИНИРОВАННЫЙ ТБ ЛЕГКИХ

ДИССЕМИНИРОВАННЫЙ ТБ ЛЕГКИХ

Слайд 26Лечение подострой формы:
Химиотерапия проводится по категории 1.
Коллапсотерапия
Исходом диссеминированного туберкулеза

легких может излечение с полным или частичным рассасыванием очагов диссеминации

с формированием различной выраженности пневмосклероза, пневмофиброза, фиброзно-очаговых, иногда цирротических изменений. При прогрессировании может сформироваться фиброзно-кавернозный туберкулез.
Лечение подострой формы:Химиотерапия проводится по категории 1.Коллапсотерапия Исходом диссеминированного туберкулеза легких может излечение с полным или частичным

Слайд 27Хронический диссеминированный туберкулез
Если подострый диссеминированный не ликвидирован в течение года

он переходит в хронический, таким образом клинические проявления сходны с

подострой формой.
Хронический диссеминированный туберкулезЕсли подострый диссеминированный не ликвидирован в течение года он переходит в хронический, таким образом клинические

Слайд 28Хронический диссеминированный туберкулез
При хроническом диссеминированном туберкулезе преобладает продуктивная тканевая

реакция. При этом уплотненные и более крупные очаги располагаются в

верхних отделах легких, меньшей величины – в нижних. Наряду с очагами в наружно задних отделах верхних долей имеются рубцы.
Могут быть штампованные каверны, петрификаты.
Характерен диффузный сетчатый склероз, эмфизема.
Обычно формируется хроническое легочное сердце.
Как при свежем, так и при хроническом диссеминированном туберкулезе могут быть различные внелегочные локализации туберкулеза.

Хронический диссеминированный туберкулез При хроническом диссеминированном туберкулезе преобладает продуктивная тканевая реакция. При этом уплотненные и более крупные

Слайд 30Лечение хронического диссеминированного туберкулеза
Назначается согласно анамнеза заболевания (данных о предыдущем

лечении) и антбиограммы

Лечение хронического диссеминированного туберкулезаНазначается согласно анамнеза заболевания (данных о предыдущем лечении) и антбиограммы

Слайд 48Лечение туберкулеза


Лечение туберкулеза

Слайд 49Вылечить не менее 85% заразных ТБ больных
Высокий показатель излечения больных

Вылечить не менее 85% заразных ТБ больныхВысокий показатель излечения больных

Слайд 50Принципы лечения туберкулёза по А.Г. Хоменко
Лечение должно быть ранним и

своевременным,
Лечение должно быть комплексным,
Лечение должно быть длительным и непрерывным,
В лечении

должна быть преемственность.
Принципы лечения туберкулёза по А.Г. ХоменкоЛечение должно быть ранним и своевременным,Лечение должно быть комплексным,Лечение должно быть длительным

Слайд 51Основные принципы лечения туберкулеза
Лечение должно быть комплексным, обязательно назначение нескольких

(не менее 3-х) противотуберкулезных препаратов (ПТП), ЦЕЛЬ – профилактика лекарственной

устойчивости,
Лечение должно быть достаточно длительным, не менее 6 месяцев.
ЦЕЛЬ - профилактика рецидива
Основные принципы лечения туберкулезаЛечение должно быть комплексным, обязательно назначение нескольких (не менее 3-х) противотуберкулезных препаратов (ПТП), ЦЕЛЬ

Слайд 52Методы лечения туберкулёза
Этиотропная антибактериальная терапия (химиотерапия)
Патогенетическая терапия
Хирургические и коллапсотерапевтические

методы
Санаторно-курортные методы, укрепляющие резистентность организма

Методы лечения туберкулёзаЭтиотропная антибактериальная терапия (химиотерапия)Патогенетическая терапия Хирургические и коллапсотерапевтические методыСанаторно-курортные методы, укрепляющие резистентность организма

Слайд 53Классификация противотуберкулёзных препаратов по приоритетности применения
Пероральные препараты I ряда :


Изониазид (Н),
Рифампицин (R),
Пиразинамид (Z),
Этамбутол (Е),
Инъекционные препараты:
Стрептомицин (I

ряд)
Канамицин, Амикацин (II ряд),
Капреомицин (II ряд),
Классификация  противотуберкулёзных препаратов  по приоритетности примененияПероральные препараты I ряда : Изониазид (Н), Рифампицин (R), Пиразинамид

Слайд 54Классификация противотуберкулёзных препаратов по приоритетности применения
Фторхинолоны (II ряд):
Ципрофлоксацин,
Офлоксацин,


Левофлоксацин,
Моксифлоксацин,
Гатифлоксацин,
Спарфлоксацин,
Ломефлоксацин (по некоторым источникам – малоэффективен)

Классификация  противотуберкулёзных препаратов  по приоритетности примененияФторхинолоны (II ряд): Ципрофлоксацин, Офлоксацин, Левофлоксацин, Моксифлоксацин,Гатифлоксацин,Спарфлоксацин,Ломефлоксацин (по некоторым источникам

Слайд 55Классификация противотуберкулёзных препаратов по приоритетности применения
Другие препараты II ряда:
Протионамид, этионамид,
Циклосерин,

теризидон,
ПАСК
Тиоацетазон ( абсолютно противопоказан при ВИЧ-инфекции)
Препараты, активные «in vitro»,

с неподтвержденной активностью «in vivo»:
Амоксициллин с клавулоновой кислотой
Кларитромицин
Клофазимин
Классификация  противотуберкулёзных препаратов  по приоритетности примененияДругие препараты II ряда:Протионамид, этионамид,Циклосерин, теризидон,ПАСК Тиоацетазон ( абсолютно противопоказан

Слайд 56Что произойдет, если бесконтрольно применять ПТП II ряда?
Быстро разовьется устойчивость

к применяемым ПТП II ряда, как это уже случилось с

основными ПТП
У больных резистентными формами туберкулеза будет отнята последняя надежда на излечение
Бурно начнет увеличиваться количество XDRTB (больных с чрезвычайной резистентностью к ПТП), лечение которых не под силу не одному государству
Что произойдет, если бесконтрольно применять ПТП II ряда?Быстро разовьется устойчивость к применяемым ПТП II ряда, как это

Слайд 57Mетоды приёма лекарств
NO-DOT– самостоятельный приём лекарств, назначенных врачом,
DOT (directly observed

treatment) - непосредственно контролируемое лечение, когда каждая доза лекарства контролируется

медицинским персоналом,
Смешанный – когда контролируется не каждая доза лекарства или контроль проводится не медицинским персоналом.
Mетоды приёма лекарствNO-DOT– самостоятельный приём лекарств, назначенных врачом,DOT (directly observed treatment) - непосредственно контролируемое лечение, когда каждая

Слайд 58Этапы лечения туберкулёза
I Интенсивная фаза (ИФ) – уничтожение метаболически активных

и фагоцитированных МТБ макрофагами
(эффект - достижение конверсии мазка из

положительного в отрицательный)
Этапы лечения туберкулёзаI Интенсивная фаза (ИФ) – уничтожение метаболически активных и фагоцитированных МТБ макрофагами 	(эффект - достижение

Слайд 59Второй этап лечения туберкулёза
II Поддерживающая фаза (ПФ) – уничтожение семидормантных

микобактерий.
Ее цель - закрепить эффект лечения и не допустить

развитие рецидива.
Второй этап лечения туберкулёзаII Поддерживающая фаза (ПФ) – уничтожение семидормантных микобактерий. Ее цель - закрепить эффект лечения

Слайд 60Критерии определения категорий лечения больных
зависят от:
локализации процесса - лёгочная или

внелёгочная,
тяжести заболевания,
выделения МБТ,
ранее проведённого лечения противотуберкулёзными препаратами

Критерии определения категорий лечения больных	зависят от:локализации процесса - лёгочная или внелёгочная,тяжести заболевания,выделения МБТ,ранее проведённого лечения противотуберкулёзными препаратами

Слайд 61Определение категорий лечения
I:
вновь выявленные с положительным мазком
вновь выявленные

с отрицательным мазком, но обширными паренхиматозными поражениями легких
внелёгочные, относящиеся к

тяжёлобольным
II:
рецидивы
неблагоприятные исходы
лечение после перерыва (ЛПП)
Определение категорий  лечения I: вновь выявленные с положительным мазкомвновь выявленные с отрицательным мазком, но обширными паренхиматозными

Слайд 62III:
вновь выявленные с отрицательным мазком с небольшими паренхиматозными поражениями легких
внелёгочные,

не относящиеся к тяжёлобольным,
IV
Больные хронической формой ТБ,
Больные с мультирезистентными формами

ТБ

Определение категорий лечения

III:вновь выявленные с отрицательным мазком с небольшими паренхиматозными поражениями легкихвнелёгочные, не относящиеся к тяжёлобольным,IVБольные хронической формой ТБ,Больные

Слайд 63Стандартное лечение туберкулёза это:
самая эффективная комбинация ПТП на нынешнем этапе
научно

обоснованный подбор наиболее эффективных ПТП как в интенсивной, так и

в поддерживающей фазе лечения
оптимальная дозировка
относительно хорошая толерантность
минимум побочных явлений
неоднократно проверено на практике
Всё это - наилучший эффект лечения
Стандартное лечение туберкулёза это:самая эффективная комбинация ПТП на нынешнем этапенаучно обоснованный подбор наиболее эффективных ПТП как в

Слайд 64Лечение стандартное, подход индивидуален!
Стандартное лечение не означает, что у врача

нет выбора. Врач может выбрать:
режим лечения (ежедневный или интермиттирующий)
ПТП (комбинированный

или одиночный)
форму введения ПТП и др.
Лечение стандартное, подход индивидуален!	Стандартное лечение не означает, что у врача нет выбора. Врач может выбрать:режим лечения (ежедневный

Слайд 65Мониторинг лечения
Апробированный ВОЗ метод мониторинга – микроскопическое и бактериологическое исследование,

а не Rö. Мониторинг лечения проводится в следующие периоды:
после интенсивной

фазы лечения,
ещё через дополнительный месяц, если не наступила конверсия мазка,
на 5 месяце,
при завершении лечения.
Мониторинг леченияАпробированный ВОЗ метод мониторинга – микроскопическое и бактериологическое исследование, а не Rö. Мониторинг лечения проводится в

Слайд 66Результаты лечения
Прекращение бактериовыделения является важнейшим показателем эффективности химиотерапии.
Это свидетельствует об

уничтожении или резком уменьшении МТБ, что является причиной туберкулёза.

Результаты леченияПрекращение бактериовыделения является важнейшим показателем эффективности химиотерапии.Это свидетельствует об уничтожении или резком уменьшении МТБ, что является

Слайд 67Результаты лечения (ВОЗ)
Вылечен
Лечение завершено
Умер
Неблагоприятный исход (мазок положительный на 5-ом месяце

лечения)
Нарушение режима (после 1-месячного лечения больной по каким-либо причинам прервал

лечение на 2 месяца и более)
Переведён
Результаты лечения (ВОЗ)ВылеченЛечение завершеноУмерНеблагоприятный исход (мазок положительный на 5-ом месяце лечения)Нарушение режима (после 1-месячного лечения больной по

Слайд 68Определение результатов лечения
Больные, у которых наступило стойкое абациллирование (подтверждённое двукратными

отрицательными мазками и посевами мокроты), считаются вылеченными.
Больные, у которых абацилирование

не подтверждено двукратной бактериоскопией мазка мокроты и посевами или изначально были отрицательные, считаются не вылеченными, а завершившими лечение.
Определение результатов леченияБольные, у которых наступило стойкое абациллирование (подтверждённое двукратными отрицательными мазками и посевами мокроты), считаются вылеченными.Больные,

Слайд 69Шаги для увеличения эффективности лечения
Своевременное выявление,
Стандартизованное лечение,
Организация контроля за приемом

препаратов,
Улучшение качества лабораторной диагностики устойчивых форм ТБ,
Информационно-просветительная работа с пациентом,
Организация

социальной помощи пациентам.
Шаги для увеличения эффективности леченияСвоевременное выявление,Стандартизованное лечение,Организация контроля за приемом препаратов,Улучшение качества лабораторной диагностики устойчивых форм ТБ,Информационно-просветительная

Слайд 70Вывод
Лечение заразных случаев туберкулеза является главным методом борьбы с эпидемией

туберкулеза,
Достижение 85% эффективности лечения при условии выявления 70% заразных случаев

ТБ позволяет взять под контроль эпидемию ТБ и ведет к постепенному снижению заболеваемости ТБ.
ВыводЛечение заразных случаев туберкулеза является главным методом борьбы с эпидемией туберкулеза,Достижение 85% эффективности лечения при условии выявления

Обратная связь

Если не удалось найти и скачать доклад-презентацию, Вы можете заказать его на нашем сайте. Мы постараемся найти нужный Вам материал и отправим по электронной почте. Не стесняйтесь обращаться к нам, если у вас возникли вопросы или пожелания:

Email: Нажмите что бы посмотреть 

Что такое TheSlide.ru?

Это сайт презентации, докладов, проектов в PowerPoint. Здесь удобно  хранить и делиться своими презентациями с другими пользователями.


Для правообладателей

Яндекс.Метрика