Разделы презентаций


Идентификация особенностей топографии сосудов головы и шеи в профилактике

Содержание

ДВУСТОРОННЯЯ ТОНЗИЛЛЭКТОМИЯКлассический «холодный» метод«Горячие» методы

Слайды и текст этой презентации

Слайд 1Идентификация особенностей топографии сосудов головы и шеи в профилактике кровотечений

при хирургических вмешательствах на глотке

Москва, 2020 год
СНК кафедры оториноларингологии лечебного

факультета РНИМУ

Выполнила студентка
1.5.04 группы
Пузанова Валерия Романовна

Идентификация особенностей топографии сосудов головы и шеи в профилактике кровотечений при хирургических вмешательствах на глоткеМосква, 2020 годСНК

Слайд 2ДВУСТОРОННЯЯ ТОНЗИЛЛЭКТОМИЯ
Классический «холодный» метод
«Горячие» методы

ДВУСТОРОННЯЯ ТОНЗИЛЛЭКТОМИЯКлассический «холодный» метод«Горячие» методы

Слайд 3КРОВОСНАБЖЕНИЕ НЁБНЫХ МИНДАЛИН
Небные миндалины кровоснабжаются
из системы наружной сонной артерии

1

- нисходящая нёбная артерия;
2 - верхнечелюстная артерия;
3 -

наружная сонная артерия;
4 - общая сонная артерия;
5 - язычная артерия;
6 - восходящая нёбная артерия;
7 - лицевая артерия;
8 - верхняя щитовидная артерия;
+ a. tonsillaris (миндаликовая артерия)
+ ветви затылочной артерии

* Б. С. Преображенский «Хронический тонзиллит и его связь с другими заболеваниями» (Издательство: Медгиз, 1954 г.)
КРОВОСНАБЖЕНИЕ НЁБНЫХ МИНДАЛИННебные миндалины кровоснабжаются из системы наружной сонной артерии1 - нисходящая нёбная артерия; 2 - верхнечелюстная

Слайд 4По данным монографии Б. С. Преображенского (1954 г.), основанных на

исследованиях И. Д. Булатникова (1915 г.):
Внутренняя сонная артерия находится

в среднем на 2,8 см кзади от верхнего полюса небной миндалины, а наружная сонная артерия – на 4,1 см
От нижнего полюса небной миндалины наружная сонная артерия находится на расстоянии около 2,3 – 3,3 см, внутренняя сонная артерия – на 1,1 – 1,7 см.

* И. Д. Булатников «Regio latero-pharyngea. Topographie ihrer Arterien im Zusammenhang mit der Frage uber gefahrliche Blutungen bei operative Eingriffen in der Regio tonsillaris.» (1915 г.)

* Б. С. Преображенский «Хронический тонзиллит и его связь с другими заболеваниями»
(Издательство: Медгиз, 1954 г., стр. 19-20)

КРОВОСНАБЖЕНИЕ НЁБНЫХ МИНДАЛИН

По данным монографии Б. С. Преображенского (1954 г.), основанных на исследованиях И. Д. Булатникова (1915 г.): Внутренняя

Слайд 5Д. И. Булатников «Regio latero-pharyngea. Topographie ihrer Arterien im Zusammenhang

mit der Frage uber gefahrliche Blutungen bei operative Eingriffen in

der Regio tonsillaris.» 1915 г.





небольшое количество исследуемых образцов (всего 33 препарата);
2) исследования проводились на замороженных трупах, что безусловно меняет структуру биологических тканей и их топографо-анатомические взаимоотношения, так как отсутствовали способы быстрой заморозки трупных тканей;
3) в описании исследования нет четко сформулированных и представленных методов измерения расстояния от крупных сосудов шеи до небных миндалин;
4) по данным измерений не проводился статистический анализ полученных показателей, а приведенные выше значения соответствуют описанию измерений одного препарата, что некорректно применять в отношении полученных данных.
Д. И. Булатников «Regio latero-pharyngea. Topographie ihrer Arterien im Zusammenhang mit der Frage uber gefahrliche Blutungen bei

Слайд 6МАТЕРИАЛЫ И МЕТОДЫ ИССЛЕДОВАНИЯ
Сверхпроводящий томограф Philips с индукцией поля 1,0

Тесла
Многоканальная катушка «голова-шея»
Режимы исследования:
Survey – последовательность для дальнейшей разметки исследования;
T2coronal

– режим Т2 для дифференциации тканей небной миндалины;
STIRaxial – режим с подавлением МР-сигнала от жировой ткани для лучшей дифференцировки от окружающих тканей;
3DI_BTFEaxial – режим ангиографии с толщиной среза 0,75 мм для первичной визуализации наружных сонных артерий;
3DPCAcoronal – режим ангиографии со скоростью кровотока 45 см/сек и толщиной среза 0,9 мм для визуализации наружных сонных артерий на всем протяжении в зоне исследования;
3DI_BTFEaxial - режим ангиографии с толщиной среза 0.75 мм и блоком 15 см для детальной визуализации ветвей наружных сонных артерий.
Не надо вводить контрастные препараты!!!
МАТЕРИАЛЫ И МЕТОДЫ ИССЛЕДОВАНИЯСверхпроводящий томограф Philips с индукцией поля 1,0 ТеслаМногоканальная катушка «голова-шея»Режимы исследования:Survey – последовательность для

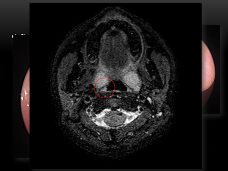
Слайд 7МАТЕРИАЛЫ И МЕТОДЫ ИССЛЕДОВАНИЯ
* Коронарная проекция
* Аксиальная проекция

МАТЕРИАЛЫ И МЕТОДЫ ИССЛЕДОВАНИЯ* Коронарная проекция* Аксиальная проекция

Слайд 8ПОЛУЧЕННЫЕ РЕЗУЛЬТАТЫ
* И. Д. Булатников (1915 г.)

ПОЛУЧЕННЫЕ РЕЗУЛЬТАТЫ* И. Д. Булатников (1915 г.)

Слайд 9ПОЛУЧЕННЫЕ РЕЗУЛЬТАТЫ
* И. Д. Булатников (1915 г.)

ПОЛУЧЕННЫЕ РЕЗУЛЬТАТЫ* И. Д. Булатников (1915 г.)

Слайд 10ПОЛУЧЕННЫЕ РЕЗУЛЬТАТЫ
* И. Д. Булатников (1915 г.)

ПОЛУЧЕННЫЕ РЕЗУЛЬТАТЫ* И. Д. Булатников (1915 г.)

Слайд 11Классификация аномалий ВСА
(Weibel J. и Fields W. S. 1965

г.)
извитость (tortuosity) хода сонной артерии без наличия острых углов

– любые С - и S-образные деформации сонных артерии;
извитость, приводящая к образованию петли (coiling);
перегиб (kinking) – ангуляция (углообразование) одного или нескольких сегментов сонной артерии, с возможным формированием стеноза в области перегиба.

АНОМАЛИИ РАЗВИТИЯ ВНУТРЕННЕЙ СОННОЙ АРТЕРИИ

Патогенез развития аномалий ВСА заключается в наследственно-обусловленных дефектах структуры эластина и коллагена, и как следствие – увеличение активности деградативных энзимов: коллагеназы и эластазы. Образование аномалий по данным мировой литературы усугубляется артериосклерозом или фибромускулярной дисплазией, развивающейся с возрастом, что в свою очередь может иметь значение в развитии цереброваскулярных симптомов.

Классификация аномалий ВСА (Weibel J. и Fields W. S. 1965 г.) извитость (tortuosity) хода сонной артерии без

Слайд 12АНОМАЛИИ РАЗВИТИЯ ВНУТРЕННЕЙ СОННОЙ АРТЕРИИ
Пациент Д., 29 лет.
S-образная извитость

a. carotis interna слева и перегиб a. carotis interna справа

выше уровня верхнего полюса небных миндалин.
АНОМАЛИИ РАЗВИТИЯ ВНУТРЕННЕЙ СОННОЙ АРТЕРИИПациент Д., 29 лет. S-образная извитость a. carotis interna слева и перегиб a.

Слайд 13АНОМАЛИИ РАЗВИТИЯ ВНУТРЕННЕЙ СОННОЙ АРТЕРИИ
Пациент Ш., 15 лет.
Перегиб правой

a. carotis interna, расположенный на уровне средней трети небной миндалины.

Петля левой a. carotis interna, располагающаяся выше уровня верхнего полюса небной миндалины.
АНОМАЛИИ РАЗВИТИЯ ВНУТРЕННЕЙ СОННОЙ АРТЕРИИПациент Ш., 15 лет. Перегиб правой a. carotis interna, расположенный на уровне средней

Слайд 14КЛАССИЧЕСКИЕ МЕТОДЫ ОСТАНОВКИ КРОВОТЕЧЕНИЙ
ПРИ ТОНЗИЛЛЭКТОМИИ

КЛАССИЧЕСКИЕ МЕТОДЫ ОСТАНОВКИ КРОВОТЕЧЕНИЙПРИ ТОНЗИЛЛЭКТОМИИ

Слайд 15КЛИНИЧЕСКИЙ ПРИМЕР
Пациентка Д., 19 лет

Жалобы при поступлении: на дискомфорт в

горле, частые боли в горле, спонтанные кровотечения из области небных

миндалин, купирующиеся самостоятельно, выделение пробок из лакун небных миндалин, утомляемость, снижение работоспособности
КЛИНИЧЕСКИЙ ПРИМЕРПациентка Д., 19 летЖалобы при поступлении: на дискомфорт в горле, частые боли в горле, спонтанные кровотечения

Слайд 16КЛИНИЧЕСКИЙ ПРИМЕР
St. localis. Слизистая оболочка глотки бледно-розового цвета, влажная. Мягкое

нёбо симметрично. Нёбные дужки: утолщены, отёчны, гиперемированы, спаяны с нёбными

миндалинами. Нёбные миндалины выступают из-за предела небных дужек, увеличены до 1 степени. Лакуны расширены, заполнены казеозными пробками. При надавливании на небные миндалины пациентка отмечает болезненность. В области передних небных дужек с двух сторон визуализируются крупные кровенаполненные сосуды, области верхнего полюса правой небной миндалины визуализируется крупный сосуд, исходящий из области свода тонзиллярной ниши, идущий к верхнему полюсу небной миндалины. Слизистая задней стенки глотки бледная. Признаки Гизе, Зака и Преображенского положительные. Регионарные лимфоузлы увеличены, безболезненны при пальпации, не спаяны с окружающей тканью. Кожа над ними не изменена.
КЛИНИЧЕСКИЙ ПРИМЕРSt. localis. Слизистая оболочка глотки бледно-розового цвета, влажная. Мягкое нёбо симметрично. Нёбные дужки: утолщены, отёчны, гиперемированы,

Слайд 17ВЫВОДЫ
МРТ-диагностика сосудов шеи в предоперационном обследовании пациентов с хроническим тонзиллитом

позволила выявить частоту встречаемости аномалий ВСА (11,9 % от всех

проведенных исследований). Из них в 6,88 % случаев выявлена C- и S-образная извитость ВСА; в 4,13 % случаев – перегибы ВСА и в 0,92 % – петли ВСА.
По данным МРТ-ангиографии: расстояние от a. carotis externa до верхнего полюса небной миндалины составляет 17,1 ± 1,01 мм, до нижнего полюса – 10,3 ± 0,18 мм, в области средней трети – 10,7 ± 0,12 мм; расстояние от a. carotis interna до верхнего полюса небной миндалины составляет 14,5 ± 0,84 мм, до нижнего полюса - 16,8 ± 0,77 мм, до средней трети небной миндалины – 15,3 ± 0,07 мм.
Данные показатели расстояний являются безопасными для проведения хирургических вмешательств, но необходимо учитывать ветви НСА, кровоснабжающие небные миндалины и проходящие в непосредственной близости от них.
ВЫВОДЫМРТ-диагностика сосудов шеи в предоперационном обследовании пациентов с хроническим тонзиллитом позволила выявить частоту встречаемости аномалий ВСА (11,9

Слайд 18Благодарю за внимание!

Благодарю за внимание!

Слайд 19Лицевая артерия, вариантная анатомия, практическое значение
Выполнила: студентка
4- го

курса 4.4.01а гр
Абазокова А.Б.

Лицевая артерия, вариантная анатомия, практическое значение Выполнила: студентка 4- го курса 4.4.01а грАбазокова А.Б.

Слайд 20Анатомия лицевой артерии.
Лицевая артерия, a. facidlis, отходит от наружной сонной

артерии на уровне угла нижней челюсти, на 3—5 мм выше

языч­ной артерии. Язычная и лицевая артерии могут начинаться об­щим язычно-лицевым стволом, truncus linguofacidlis. В области поднижнечелюстного треугольника лицевая артерия прилежит к поднижнечелюстной железе (или проходит сквозь нее), отдавая ей железистые ветви, rr. gldnduldres, затем перегибается через край нижней челюсти на лицо (впереди жевательной мышцы) и уходит вверх и вперед, в сторону угла рта.
Анатомия лицевой артерии.Лицевая артерия, a. facidlis, отходит от наружной сонной артерии на уровне угла нижней челюсти, на

Слайд 21От лицевой артерии отходят ветви:
1) восходя­щая небная артерия, a.

palatina ascendens, к мягкому небу;
2) миндаликовая ветвь, г. tonsilldris, к

небной миндалине;
3)подподбородочная артерия, a. submentdlis, следующая по наружной поверхности челюстно-подъязычной мышцы к подбо­родку и мышцам шеи, расположенным выше подъязычной кос­ти; на лице: в области угла рта

От лицевой артерии отходят ветви: 1) восходя­щая небная артерия, a. palatina ascendens, к мягкому небу;2) миндаликовая ветвь,

Слайд 224) нижняя губная артерия, a. labidlis inferior, и
5) верхняя

губная артерия, a. labidlis superior. Обе губные артерии анастомозируют с

аналогичными артериями противоположной стороны;
6) угловая артерия, а. ап-guldris, — участок лицевой артерии до медиального угла глаза. Здесь угловая артерия анастомозирует с дорсальной артерией носа — ветвью глазной артерии (из системы внутренней сонной артерии).
4) нижняя губная артерия, a. labidlis inferior, и 5) верхняя губная артерия, a. labidlis superior. Обе губные

Слайд 23Было проведено исследование топографических особенностей лицевой артерии и ее ветвей

на 10- ти бальзамированных трупах взрослых людей .
Установлено, что

лицевая артерия и ее ветви имеют сложные топографо- анатомические отношения с мягкими тканями лица и шеи. Также выявлены основные ориентиры в области шеи и лица, которые помогут проводить манипуляции на лице, не травмируя данную артерию и ее ветви.

Вариантная анатомия лицевой артерии

Было проведено исследование топографических особенностей лицевой артерии и ее ветвей на 10- ти бальзамированных трупах взрослых людей

Слайд 24В 8 наблюдениях лицевая артерия отходила от наружной сонной артерии

на уровне пересечения промежуточного сухожилия двубрюшной мышцы и шилоподъязычной мышцы,

в 2 наблюдениях выше указанного пересечения мышц приблизительно на 0,5 см. Средний уровень отхождения лицевой артерии по отношению к бифуркации общей сонной артерии составил 3,3 ± 0,4 см.
В 8 наблюдениях лицевая артерия отходила от наружной сонной артерии на уровне пересечения промежуточного сухожилия двубрюшной мышцы

Слайд 26В шейном отделе от лицевой артерии отходили две ветви (к

небу и небным миндалинам), далее артерия огибала задний конец поднижнечелюстной

железы, образуя борозду в железе глубиной 2-4 мм. В паренхиму железы артерия не проникала, но отдавала к ней 2-3ветви. После выхода из железы от артерии отходила подподбородочная ветвь, по диаметру равная основному стволу. Таким образом, в области шеи ориентирами местоположения артерии может быть перекрест сухожилий указанных мышц, лежащих выше подъязычной кости и поднижнечелюстная железа.

шейный отдел

В шейном отделе от лицевой артерии отходили две ветви (к небу и небным миндалинам), далее артерия огибала

Слайд 27Далее лицевая артерия перегибалась через край нижней челюсти (начало лицевого

отдела), в 6 случаях располагаясь кпереди от медиального края жевательной

мышцы. В 4 случаях наслаивалась на переднюю часть жевательной мышцы. В месте перегиба сосуда через челюсть по ходу ее лежит 1-2лимфатических узла. Во всех наблюдениях лицевая артерия поднималась вдоль наружного края круговой мышцы рта с латеральной стороны. При этом ее пересекала снаружи краевая ветвь нижней челюсти околоушного сплетения лицевого нерва.

Лицевой отдел

Далее лицевая артерия перегибалась через край нижней челюсти (начало лицевого отдела), в 6 случаях располагаясь кпереди от

Слайд 28Затем основной ствол лицевой артерии направлялся горизонтально, доходя до заднего

края мышцы, опускающей угол рта. Здесь лицевая артерия отдавала нижнюю

губную артерию, которая располагалась под данной мышцей. Конечная ветвь нижней губной артерии выходила под кожу, где делилась на нисходящую ветвь, направляющуюся к коже подбородка (ныряя между мышцами), и восходящую ветвь. Последняя прободала круговую мышцу рта, заканчиваясь под слизистой оболочкой нижней губы.
Затем основной ствол лицевой артерии направлялся горизонтально, доходя до заднего края мышцы, опускающей угол рта. Здесь лицевая

Слайд 29Основной ствол лицевой артерии продолжался в восходящем направлении, внедряясь в

жировую клетчатку щечной области на глубину 4-6 мм. В 7

наблюдениях артерия проходила непосредственно под большой скуловой мышцей, в 3 случаях располагалась на щечной мышце. В щечной области кнаружи от сосуда располагались ветви околоушного сплетения лицевого нерва.
Лицевая артерия, выйдя из под большой скуловой мышцы, отдавала верхнюю губную артерию, которая углублялась в круговую мышцу рта. Ее ветви доходили до малых слюнных желез в слизистой оболочке верхней губы. Поверх верхней губной артерии находились ветви подглазничного нерва (верхние губные).
Основной ствол лицевой артерии во всех наблюдениях достигал вершины носогубной складки. Затем направлялся по краю крыла носа под мышцу, поднимающую верхнюю губу. Выйдя из-под мышцы под кожу, артерия направлялась к медиальному углу глаза.
Основной ствол лицевой артерии продолжался в восходящем направлении, внедряясь в жировую клетчатку щечной области на глубину 4-6

Слайд 30В 6 наблюдениях угловая артерия делилась на две ветви: ее

больший по диаметру – основной ствол васкуляризировал кожу наружного носа,

а меньший по диаметру ствол поднимался вверх в щечно-носовой складке, отдавая мелкие ветви к нижнему веку. Рядом с ветвями угловой артерии располагались наружные носовые ветви подглазничного нерва.
В 6 наблюдениях угловая артерия делилась на две ветви: ее больший по диаметру – основной ствол васкуляризировал

Слайд 31Значение исследования в практике
Одним из актуальных вопросов современной стоматологии и

челюстно- лицевой хирургии является оптимизация оперативной техники с учетом васкуляризации

челюстных костей и мягких тканей лица
Благодаря проведению КТ ангиографии, был выявлен диаметр лицевой артерии
Диаметр правой лицевой артерии колебался от 1,9 до 3,0 мм, составляя в среднем 2,30±0,24мм (табл. 1). Показатель был больше у женщин (2,38±0,38 мм) по сравнению с мужчинами (2,27±0,19 мм).
Диаметр левой лицевой артерии колебался от 1,2 до 3,2 мм, составляя в среднем 2,22±0,25 мм (табл. 1). Показатель был больше у женщин(2,23±0,47 мм) по сравнению с мужчинами (2,21±0,18 мм).
Значение исследования в практикеОдним из актуальных вопросов современной стоматологии и челюстно- лицевой хирургии является оптимизация оперативной техники

Слайд 32Практическое применение вариантной анатомии лицевой артерии при флегмоне крыловидно- нижнечелюстного

пространства.
Линии разрезов на лице для вскрытия абсцессов и флегмон:
1

— в височной области;
2 — в околоушной области;
3 — в позадичелюстной области;
4 — в крылочелюстном пространстве и области угла нижней челюсти;
5 — в подчелюстном треугольнике;
6 — в области подбородочного треугольника;
7 — в щечной области;
8 — в подглазничной области;
9 — в скуловой области.
Практическое применение вариантной анатомии лицевой артерии при флегмоне крыловидно- нижнечелюстного пространства.Линии разрезов на лице для вскрытия абсцессов

Слайд 33
передняя - щечно-глоточный шов,
задняя - околоушная железа,
наружная

- внутренняя поверхность ветви нижней челюсти,
внутренняя - наружная поверхность

медиальной крыловидной мышцы,
верхняя - нижняя поверхность латеральной крыловидной мышцы и межкрыловидная фасция,
нижняя - место прикрепления сухожилия медиальной крыловидной мышцы к нижней челюсти, т. е. сходящиеся внутренняя и наружная стенки пространства.

1 - медиальная крыловидная мышца; 2 - ветвь нижней челюсти; 3 - латеральная крыловидная мышца; 4 - флегмона.

Границы крыловидно-челюстного пространства:

передняя - щечно-глоточный шов, задняя - околоушная железа, наружная - внутренняя поверхность ветви нижней челюсти, внутренняя

Слайд 34Основные источники и пути проникновения инфекции: очаги одонтогенной инфекции в

области последних нижних больших коренных зубов. инфицированные гематомы при выполнении

мандибулярной и торусальной анестезии.
Объективно: умеренная асимметрия лица. Открывание рта резко ограничено из-за воспалительной контрактуры внутренней крыловидной мышцы, глотание затруднено. Слизистая оболочка в области крыловидно-челюстной складки гиперемирована.

Внешний вид пациентки с флегмоной крыловидно-челюстного пространства.

Основные источники и пути проникновения инфекции: очаги одонтогенной инфекции в области последних нижних больших коренных зубов. инфицированные

Слайд 35Техника: вскрытие флегмоны крыловидно-челюстного пространства проводят внеротовым и внутриротовым способом.
При

внеротовом доступе производят окаймляющий разрез в области угла нижней челюсти

длиной 3 см, отступя от края челюсти на 1,5-2 см книзу и кзади с целью предупреждения повреждения краевой ветви лицевого нерва, лицевой артерии и вены(а).
Отсекают сухожилие медиальной крыловидной мышцы от крыловидной бугристости и тупо проникают в крыловидно-челюстное пространство до гнойника (б). Операцию заканчивают дренированием флегмоны (в).

Схема внеротового вскрытия абсцесса, флегмоны крыловидно-челюстного пространства.

Техника: вскрытие флегмоны крыловидно-челюстного пространства проводят внеротовым и внутриротовым способом.При внеротовом доступе производят окаймляющий разрез в области

Слайд 36Список литературы
Компьютерная томография / [С. К. Терно- вой, А.

Б. Абдураимов, И. С. Федотенков, С. С. Терновой] // М.:

ГЭОТАР-Медиа, 2008. – 176 с. 2.
Кукуня Л. А. Трехмерная визуализация в компьютерной томографии: взгляд в будущее / Л. А. Кукуня // Український медичний часопис. – 2000. – No 3 (17). – С. 84 – 86.
А. Г. Шаргородский /ВОСПАЛИТЕЛЬНЫЕ ЗАБОЛЕВАНИЯ ТКАНЕЙ ЧЕЛЮСТНО-ЛИЦЕВОЙ ОБЛАСТИ И ШЕИ
Челюстно-лицевая хирургия Заболевания головы и шеи СБОРНИК МЕТОДИЧЕСКИХ РЕКОМЕНДАЦИЙ ДЛЯ ПРЕПОДАВАТЕЛЯ К ПРАКТИЧЕСКИМ ЗАНЯТИЯМ
. Гайворонский, И.В. Нормальная анатомия человека / И.В. Гайворонский // Учебник для ВУЗов. СПб: Спецлит. – 2016. – Т.2. – С. 258- 259.
2. Калакуцкий, Н.В. Сравнительная характеристика лицевой и подподбородочной артерий при топографо–анатомическом и ультразвуковом исследованиях // Н.В. Калакуцкий, В.Л. Петришин, Т.Н. Овсепян, Т.В. Малахова // Институт стоматологии. – 2015. – No 1 (66). –С. 88-89.
3. Смирнов, В.Г. Клиническая анатомия мышц лица: источники кровоснабжения. / В.Г. Смирнов, О.О. Янушевич, А.В. Митронин // Кафедра. Стоматологическое образование. –2015. – No 54. – С.18-20.
4. Соколов, В.В. Вариантная анатомия артерий лица / В.В. Соколов, И.Ф. Яценко, О.А. Каплунова // Морфология. – 1999. – 115(3). – С. 73.
Список литературы Компьютерная томография / [С. К. Терно- вой, А. Б. Абдураимов, И. С. Федотенков, С. С.

Слайд 37Спасибо за внимание!

Спасибо за внимание!

Обратная связь

Если не удалось найти и скачать доклад-презентацию, Вы можете заказать его на нашем сайте. Мы постараемся найти нужный Вам материал и отправим по электронной почте. Не стесняйтесь обращаться к нам, если у вас возникли вопросы или пожелания:

Email: Нажмите что бы посмотреть 

Что такое TheSlide.ru?

Это сайт презентации, докладов, проектов в PowerPoint. Здесь удобно  хранить и делиться своими презентациями с другими пользователями.


Для правообладателей

Яндекс.Метрика