Разделы презентаций


ОБЪЕКТЫ И МЕТОДЫ ГИСТОЛОГИЧЕСКИХ ИССЛЕДОВАНИЙ. Кафедра гистологии, эмбриологии

Содержание

1- основание; 2- тубусодержатель; 3- тубус;4- окуляр; 5- револьвер; 6- объективы; 7- столик; 8- конденсор с ирисовой диафрагмой; 9- винт конденсора; 10- зеркало; 11- микрометрический винт; 12- макрометрический винт. CВЕТОВОЙ МОНОКУЛЯРНЫЙ

Слайды и текст этой презентации

Слайд 1
ОБЪЕКТЫ И МЕТОДЫ
ГИСТОЛОГИЧЕСКИХ ИССЛЕДОВАНИЙ.


Кафедра гистологии, эмбриологии и цитологии


лечебного факультета

ОБЪЕКТЫ И МЕТОДЫ ГИСТОЛОГИЧЕСКИХ ИССЛЕДОВАНИЙ. Кафедра гистологии, эмбриологии и цитологии лечебного факультета

Слайд 21- основание;
2- тубусодержатель;
3- тубус;
4- окуляр;
5- револьвер;
6-

объективы;
7- столик;
8- конденсор с ирисовой диафрагмой; 9- винт

конденсора;
10- зеркало;
11- микрометрический винт;
12- макрометрический винт.

CВЕТОВОЙ МОНОКУЛЯРНЫЙ
МИКРОСКОП С ЗЕРКАЛОМ

1- основание; 2- тубусодержатель; 3- тубус;4- окуляр; 5- револьвер; 6- объективы; 7- столик; 8- конденсор с ирисовой

Слайд 3БИНОКУЛЯРНЫЙ МИКРОСКОП СО ВСТРОЕННЫМ ИСТОЧНИКОМ ОСВЕЩЕНИЯ

БИНОКУЛЯРНЫЙ МИКРОСКОП СО ВСТРОЕННЫМ ИСТОЧНИКОМ ОСВЕЩЕНИЯ

Слайд 4

Гистологический препарат устанавливается на предметном столике покровным стеклом вверх. Структурные

элементы среза ориентируются с учетом того, что формируется перевернутое изображение

изучаемого объекта.

Первоначально изучение проводится на малом увеличении. Четкость изображения настраивается с помощью макровинта. Тубус микроскопа опускают, следя за тем, чтобы не раздавить препарат (~1 см от препарата).

Переход на большое увеличение осуществляется вращением револьвера (не трогая макровинт!).

При большом увеличении микроскопа четкость изображения устанавливается только с помощью микровинта.

После завершения изучения гистологического препарата вращением револьвера устанавливается малое увеличение и препарат снимается с предметного столика (манипуляции с макро- и микровинтом не требуются)

ОСНОВНЫЕ ЭТАПЫ РАБОТЫ С МИКРОСКОПОМ:

Гистологический препарат устанавливается на предметном столике покровным стеклом вверх. Структурные элементы среза ориентируются с учетом того, что

Слайд 5ПРОХОЖДЕНИЕ СВЕТОВОГО ПУЧКА ПРИ СВЕТОВОЙ МИКРОСКОПИИ

ПРОХОЖДЕНИЕ СВЕТОВОГО ПУЧКА ПРИ СВЕТОВОЙ МИКРОСКОПИИ

Слайд 6Световая
Электронная трансмиссионная
ВИДЫ МИКРОСКОПИИ
Электронная сканирующая
Конфокальная

СветоваяЭлектронная трансмиссионнаяВИДЫ МИКРОСКОПИИЭлектронная сканирующаяКонфокальная

Слайд 7

- мазок (если ткань имеет жидкую консистенцию, например, кровь, костный

мозг, слюна, спинномозговая жидкость и др.),

- отпечаток (для ломких

паренхиматозных органов проводят разлом органа, затем к месту разлома прикладывают предметное стекло, на которое приклеиваются свободные клетки, например, селезенки, тимуса, печени),

- пленочный препарат из ткани (путем растягивания или раздавливания между двумя стеклами, например, соединительной ткани или брюшины, плевры, мягкой мозговой оболочки),

- тотальный препарат (половые клетки, зародыши ранних стадий развития),

- тонкий срез ткани или органа (используется чаще всего, может долго храниться и многократно использоваться для изучения тканей, клеток и субклеточных структур.

- электронной микроскопии исследуют ультраструктуру клеток и других элементов ткани вплоть до атомно-молекулярного уровня).

ВИДЫ ГИСТОЛОГИЧЕСКИХ ПРЕПАРАТОВ

- мазок (если ткань имеет жидкую консистенцию, например, кровь, костный мозг, слюна, спинномозговая жидкость и др.), -

Слайд 8ВИДЫ ГИСТОЛОГИЧЕСКИХ ПРЕПАРАТОВ
Срез
Мазок
Пленочный препарат
Тотальный препарат

ВИДЫ ГИСТОЛОГИЧЕСКИХ ПРЕПАРАТОВСрез МазокПленочный препаратТотальный препарат

Слайд 9ЭТАПЫ ПРИГОТОВЛЕНИЯ
ГИСТОЛОГИЧЕСКОГО СРЕЗА

ЭТАПЫ ПРИГОТОВЛЕНИЯГИСТОЛОГИЧЕСКОГО СРЕЗА

Слайд 10
- Основные красители – обычно красящие соли оснований (гематоксилин,

метиловый синий, толуидиновый синий, азуры и др.), связываясь с кислотными

группами внутри клеток и в межклеточном веществе, вызывают их окрашивание. Структуры, воспринимающие основные красители, называются базофильными.

- Кислые красители – кислоты и их соли (эозин, пирофуксин, эритрозин), связываясь с основными соединениями внутри и вне клетки, вызывают их окрашивание в цвета красителя. Структуры, воспринимающие кислые красители, носят название оксифильные (ацидофильные, эозинофильные).

Нейтральные красители содержат как основные, так и кислые красящие компоненты.

Кроме этих трех красителей используется ряд специальных методов окраски

ВИДЫ ОКРАСКИ

- Основные красители – обычно красящие соли оснований (гематоксилин, метиловый синий, толуидиновый синий, азуры и др.),

Слайд 11НАИБОЛЕЕ ЧАСТО ИСПОЛЬЗУЕМАЯ ОКРАСКА
Гематоксилин - Эозин

НАИБОЛЕЕ ЧАСТО ИСПОЛЬЗУЕМАЯ ОКРАСКА		Гематоксилин - Эозин

Слайд 12ИМПРЕГНАЦИЯ СОЛЯМИ СЕРЕБРА –
используется для выявления аргирофильных структур в нервной

ткани

ИМПРЕГНАЦИЯ СОЛЯМИ СЕРЕБРА –используется для выявления аргирофильных структур в нервной ткани

Слайд 13ОКРАСКА ОРСЕИНОМ –
позволяет выявлять эластические волокна

ОКРАСКА ОРСЕИНОМ –позволяет выявлять эластические волокна

Слайд 14ОКРАСКА ОСМИЕВОЙ КИСЛОТОЙ
(с докраской кармином) –
позволяет выявлять липидные включения

ОКРАСКА ОСМИЕВОЙ КИСЛОТОЙ(с докраской кармином) –позволяет выявлять липидные включения

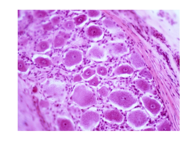
Слайд 17Препарат №1 «Нервные клетки и клетки глии спинномозгового чувствительного узла»
Окраска

гематоксилин-эозин

Препарат №1 «Нервные клетки и клетки глии спинномозгового чувствительного узла»Окраска гематоксилин-эозин

Слайд 19Цитоплазма
Ядро
Ядрышко
Нейрон
Ядра глиальных клеток

ЦитоплазмаЯдроЯдрышкоНейронЯдра глиальных клеток

Слайд 20Препарат №2 «Симпласт – поперечно-полосатое мышечное волокно.
Срез скелетной мышцы»
Окраска

гематоксилин-эозин

Препарат №2 «Симпласт – поперечно-полосатое мышечное волокно. Срез скелетной мышцы»Окраска гематоксилин-эозин

Слайд 23х6000
х25000

х6000х25000

Слайд 24Препарат №3 «Эластическая хрящевая ткань. Срез ушной раковины»
Окраска орсеином

Препарат №3 «Эластическая хрящевая ткань. Срез ушной раковины»Окраска орсеином

Слайд 26КОНТРОЛЬНЫЕ
ВОПРОСЫ

КОНТРОЛЬНЫЕВОПРОСЫ

Обратная связь

Если не удалось найти и скачать доклад-презентацию, Вы можете заказать его на нашем сайте. Мы постараемся найти нужный Вам материал и отправим по электронной почте. Не стесняйтесь обращаться к нам, если у вас возникли вопросы или пожелания:

Email: Нажмите что бы посмотреть 

Что такое TheSlide.ru?

Это сайт презентации, докладов, проектов в PowerPoint. Здесь удобно  хранить и делиться своими презентациями с другими пользователями.


Для правообладателей

Яндекс.Метрика