Разделы презентаций


Семей Мемлекетт ік Медицина Университеті сөж Тақырыбы: Өкпе және плевра

Содержание

ЖОСПАР:I КіріспеII Негізгі бөлімЭтиологиясыКлассификацияКлиника.ДиагностикасыЕмі. Асқынулары III ҚорытындыIV Қолданылған әдебиеттер

Слайды и текст этой презентации

Слайд 1Семей Мемлекеттік Медицина Университеті
сөж
Тақырыбы: Өкпе және плевра аурулары

Орындаған:Қайсар А.Б
Тексерген:Қажыкенов Қ.Т
Семей Мемлекеттік Медицина УниверситетісөжТақырыбы: Өкпе және плевра аурулары

Слайд 2ЖОСПАР:
I Кіріспе
II Негізгі бөлім
Этиологиясы
Классификация
Клиника.Диагностикасы
Емі. Асқынулары
III Қорытынды
IV Қолданылған әдебиеттер

ЖОСПАР:I КіріспеII Негізгі бөлімЭтиологиясыКлассификацияКлиника.ДиагностикасыЕмі. Асқынулары III ҚорытындыIV Қолданылған әдебиеттер

Слайд 3Өкпе абсцессі

Жиі сегмент шекарасында өтетін, бір немесе бірнеше іріңге толы қуыстардың және перифокальды инфильтраттың пайда болуымен сипатталатын тіннің некротикалық аймақтарының іріңді ыдырауы.
.
Өкпе абсцессі

Слайд 4

Этиологиясы
микробтар өкпеге мына жолдармен жайылады:


Аэрогенді - ауамен ;
Гематогенді - қанмен;
Лимфогенді
Абсцесстің себебі көбінесе – гемолитикалық стрептококк, грамтеріс флоралар. Бұлардың 57% антибиотиктерге төзімді. Қабыну үрдісі қолқаға жайылып оның ателектазына ұшыратады. Бронхтың ателектаздануы стаз және тромбозды күшейтіп өкпеде қан айналысын бұзады. Өкпе тіні некрозданып іріңдеу үрдісі күшейеді.

Этиологиясы микробтар өкпеге

Слайд 5Абсцесс пайда болуының басты себебі – бронхтың бітелуі немесе қысылуы,

қан тамырларының тромбоздануы, ісінген өкпе тінімен қысылуы, өкпе инфаркты болады.

Яғни, өкпе абсцессінің пайда болуына өкпенің желденбеуі, қан айналысының бұзылуы және микробтар токсиндерінің ателектазданған өкпе – тінінің шіруіне ұшыратады.
Аспирационды абсцесстер бөгде заттар, операция кезінде және операциядан кейінгі ерте кезеңде асқазан құрамындағылар бронхтарға түскенде дамиды.
Абсцесс пайда болуының басты себебі – бронхтың бітелуі немесе қысылуы, қан тамырларының тромбоздануы, ісінген өкпе тінімен қысылуы,

Слайд 6Жіктелуі
Ең тиімді жіктеме В.С. Савельев және Е.Г. Григорьевтің жіктемесі

болып табылады (2004ж).
І. Этиологиясына байланысты:

1) Жарақаттан кейінгі
2) гематогенді
3) аспирациялық
4)Пневмониядан кейінгі
ІІ. Клинико-морфологиялық сипатына сәйкес
1)Жедел абсцесс
А) жалғыз
Б) бірнеше
2) Өкпе гангренасы
А)шектелген
Б) жайылмалы
Жіктелуі Ең тиімді жіктеме В.С. Савельев және Е.Г. Григорьевтің жіктемесі болып табылады (2004ж). І. Этиологиясына байланысты:

Слайд 7ІІІ. Асқынуларына байланысты:
1)Блокталған абсцесс
2)

Плевра эмпиемасы
А) бронхоплевральды қатынаспен
Б)бронхоплевральды қатынассыз
3) Өкпелік қан

кету
4) Өкпелік сепсис

ІІІ. Асқынуларына байланысты:   1)Блокталған абсцесс   2) Плевра эмпиемасыА) бронхоплевральды қатынаспенБ)бронхоплевральды қатынассыз

Слайд 8Клиникалық көріністері

Клиникалық ағымы жедел абсцесстердің даму фазасына байланысты.

I фазада –

өкпе тінінің некрозы және абсцесстің қалыптасуы байқалады.

II фазада – сәйкес

бронхқа іріңдіктің жарылуы байқалады.

Клиникалық көріністеріКлиникалық ағымы жедел абсцесстердің даму фазасына байланысты.I фазада – өкпе тінінің некрозы және абсцесстің қалыптасуы байқалады.II

Слайд 9I фазада абсцесстің клиникасы бронхопневмонияға ұқсас. Ауру жедел басталады, дене

қызуы 38-39 0С-қа дейін көтеріледі. Бас ауырады, қалтырау, кеуде торында

ауру сезімі, ентігу, тахикардия пайда болады. Аталған белгілердің айқындалу дәрежесі үрдістің таралуына және ағзаның қорғаныс функцияларының жағдайына байланысты. Аускультацияда зақымданған аймақта қатаң тыныс анықталады. Кей жағдайда крепитацияланған сырылдар және плевраның үйкеліс шуын естуге болады, ал зақымданған аймақта перкуторлы дыбыс қысқарады. Рентгенограммада және компьютерлі томограммада осы кезеңде зақымданған өкпеде гомогенді қараю, қабыну инфильтраты анықталады.
I фазада абсцесстің клиникасы бронхопневмонияға ұқсас. Ауру жедел басталады, дене қызуы 38-39 0С-қа дейін көтеріледі. Бас ауырады,

Слайд 10II фазада абсцесс бронхқа жарылғанда тимпаникалық өкпелік дыбыс, металл өңді

ылғалды сырылдар анықталады. Бронхқа ірің жарылғанда науқастар көп мөлшерде қақырық

бөледі (ауыз толтыра). Сонымен қатар анаэробты инфекцияның барлығын дәлелдейтін жағымсыз иістің пайда болуы тән. Абсцессте тәулік бойына науқас 2 00-250 мл. қақырық бөледі, бірақ ол 1000мл-ге дейін, ал гангренада тіпті одан да көп мөлшерлерге дейін көбейеді.

II фазада абсцесс бронхқа жарылғанда тимпаникалық өкпелік дыбыс, металл өңді ылғалды сырылдар анықталады. Бронхқа ірің жарылғанда науқастар

Слайд 12Диагностикасы.
Өкпенің деструктивті өзгерістерінің диагностикасы клиникалық, зертханалық және микробиологиялық зерттеу

мәліметтеріне, рентгенологиялық зерттеу және фибробронхоскопия нәтижелеріне негізделеді. Деструкция ошақтарының қалыптасу

фазасын және өкпе секвестрлерін анықтау үшін компьютерлі томографияны, абсцессографияны (деструкция қуысына трансторокальді жолмен суда еритін рентген контрастты препараттарды енгізу) жасайды
Диагностикасы. Өкпенің деструктивті өзгерістерінің диагностикасы клиникалық, зертханалық және микробиологиялық зерттеу мәліметтеріне, рентгенологиялық зерттеу және фибробронхоскопия нәтижелеріне негізделеді.

Слайд 13Зерттеу
Мейірбике науқастың арнайы шыны ыдысқа қақырығын жинауын қадағалауы тиіс.

Қақырық шыны ыдыста тұрғанда 3 қабат түзеді: төменгісі – ірің

мен детриттен құралған, ортаңғысы –серозды сұйықтық, ал үстінде ірің аралас көпіршікті шырыш.
Зерттеу Мейірбике науқастың арнайы шыны ыдысқа қақырығын жинауын қадағалауы тиіс. Қақырық шыны ыдыста тұрғанда 3 қабат түзеді:

Слайд 14Қақырық түскеннен кейін және қажетті шараларды қолданғаннан кейін науқастың жағдайы

жақсарады: дене қызуы қалыпты деңгейге түседі, тәбеті, ұйқысы түзеледі. Рентгенограммада

қуыстың азаюы немесе толық жоғалуы, перифокалды инфильтраттың сорылуы. Абсцесстің жойылу үрдісі қолайлы ағымда 1 -2 айға созылады. Кейде ауру созылмалы ағымға өтеді, егер қақырық жақсы шықса, онда температура өте жоғары болмайды, ал ірің іркілсе, онда температура жоғары болады, ал индоксикация белгілері айқын болады.
Қақырық түскеннен кейін және қажетті шараларды қолданғаннан кейін науқастың жағдайы жақсарады: дене қызуы қалыпты деңгейге түседі, тәбеті,

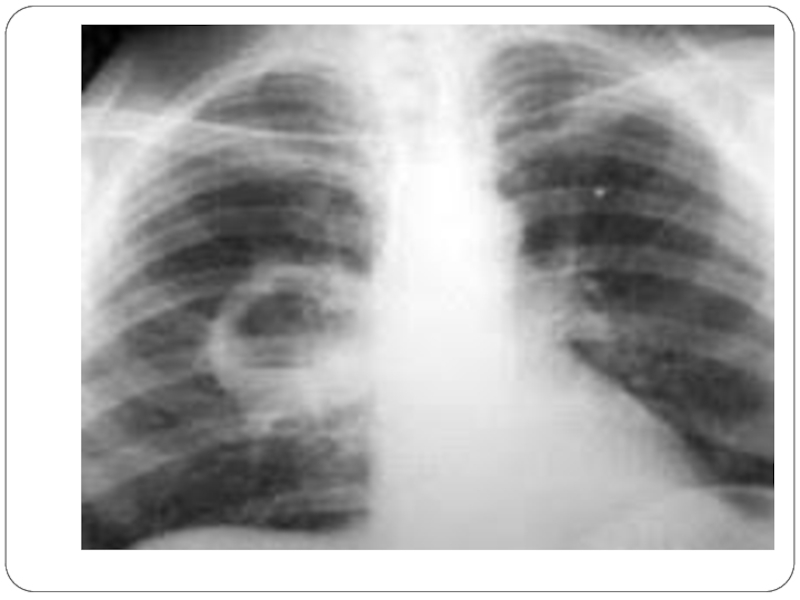
Слайд 16Рентгенологиялық зерттеу кезінде қуыс қабырғасының қалындауын анықтауға болады. 2 ай

өткеннен кейін абсцесс сұйықтық деңгейі бар дөңгелек қуыс ретінде көрінеді,

сонымен қатар өкпе инфильтрациясы байқалады
Рентгенологиялық зерттеу кезінде қуыс қабырғасының қалындауын анықтауға болады. 2 ай өткеннен кейін абсцесс сұйықтық деңгейі бар дөңгелек

Слайд 18Егер іріңді ошақ кеуде қабырғасына жақын орналасса, онда ультрадыбысты бақылау

арқылы оның пункциясын жүргізуге болады.

Егер іріңді ошақ кеуде қабырғасына жақын орналасса, онда ультрадыбысты бақылау арқылы оның пункциясын жүргізуге болады.

Слайд 19 Өкпе іріңдігін өкпеде қуыс түзілуіне алып келетін өзге аурулардан

айыру қажет:
Ыдыраған өкпе рагынан,
өкпе туберкулезінен,
Іріңдеген кистадан,
Диафрагма жарығынан;
Дифференциялдық диагноз:

Өкпе іріңдігін өкпеде қуыс түзілуіне алып келетін өзге аурулардан айыру қажет:Ыдыраған өкпе рагынан,өкпе туберкулезінен,Іріңдеген кистадан,Диафрагма жарығынан;Дифференциялдық

Слайд 21Емдеу принциптері
Өкпенің жедел іріңді – деструктивті аурулары бар науқастарға кешенді

қарқынды терапия жүргізіледі, оның құрамында ыдырау қуыстарының нәтижелі дренаждалуы, антибактериальды

терапия (антибиотиктерді бөлінген микрофлораның сезімталдығына сәйкес таңдайды), волемиялық бұзылыстар коррекциясы, дезинтоксикациялық терапия, соның ішінде плазмофорез, қанды натрий гипохлориді көмегімен тікелей емес тотықтыру, қанның УКС – і, иммунокоррекция енеді, көрсеткіштер бойынша парентеральды тамақтандыру және қан компоненттерінің инфузиясы, жалпы қуаттандыратын терапия тағайындалады.
Емдеу принциптеріӨкпенің жедел іріңді – деструктивті аурулары бар науқастарға кешенді қарқынды терапия жүргізіледі, оның құрамында ыдырау қуыстарының

Слайд 22Қан қақырғанда немесе өкпелік қан кету жағдайында науқасқа жартылай отырған

қалып береді, кодеин, промедол, кальций хлоридін, викасол, аминокапрон қышқылын, қан

құю тағайындалады. Егер қан кету жақын арада тоқтамаса, ал қан кету айқын болса, онда өкпе резекциясын жасауға тура келеді.
Кешенді емнің маңызды құрамдас бөлігі – диета. Тағам тез игерілетін, әртүрлі, дәрумендерге (әсіресе “С” ) және нәруызға бай, ал жалпы калориялығы – 3000-4000 кал-дан аз болмауы керек.
Қан қақырғанда немесе өкпелік қан кету жағдайында науқасқа жартылай отырған қалып береді, кодеин, промедол, кальций хлоридін, викасол,

Слайд 23Пункцияны бір күннен кейін 5-10 рет бронх өткізгіштігі толық қалыптасқанға

дейін жасайды,одан кейін дәрілік заттарды интратрахеальды енгізеді.
Пункциямен емдеу тиімді,бірақ кей

кезде асқынулар беруі мүмкін (пневмоторакс,плевра эмпиемасы),сол себепті ол тек абсцесс қуысын санациялай алмағанда жүргізілуі тиіс.Ірі абсцестерде трансторакалды дренаждау жасалады.
Жоғары аталған әдістермен жүргізілетін консервативті терапия 1-1.5 ай жүргізіліп,жақсы нәтиже береді.Бірақ кейбір науқастарда 6-12 айдан кейін ауру қайта қайталанып,ауру созылмалы ағымға өтеді.
Пункцияны бір күннен кейін 5-10 рет бронх өткізгіштігі толық қалыптасқанға дейін жасайды,одан кейін дәрілік заттарды интратрахеальды енгізеді.Пункциямен

Слайд 24Созылмалы, рецидивтеуші абсцесстері бар науқастарға оперативті ем тағайындалады. Себебі оларды

консервативті жолмен емдеу нәтижесіз болып табылады. Операцияға көрсеткіштер уақыт өте

келе өзгерді. Операцияны жергілікті анестезиямен, абсцесстің үстіндегі бір немесе екі қабырғаны резекциялау арқылы жүргізеді. Өкпені іріңге қарай пункциялайды, және іріңді алғаннан кейін іріңдікті ине бойымен өкпені тіле отырып ашады. Абсцесстің қуысын және қабырғасын некротикалық тіндерден тазартады, қуысқа дренаж енгізеді және Вишневский майы бар тампондармен толтырады. Дренажды Бюлау дренажына ұқсатып, банкіге дезинфекциялық ерітіндіге салады.
Іріңдік терең орналасса және плевральді қуыста жабыспалар болмаса, онда өкпені париетальді плевраға тігіп, тек екінші кезеңде ғана іріңдікті ашады.
Созылмалы, рецидивтеуші абсцесстері бар науқастарға оперативті ем тағайындалады. Себебі оларды консервативті жолмен емдеу нәтижесіз болып табылады. Операцияға

Слайд 26Өкпенің жедел абсцессінің асқынулары:
Өкпеден қан ағуы.
Қан көп кеткенде жүрек

жеткіліксіздігі және анемия, кейде асфиксия байқалады. Өкпеден қан кетуінің жеңіл

– қан түкіру және ауыр қан ағуы, қан құсуы түрлерін ажыратады. Қан ағуына қарсы гемостатикалық ем – қан, плазма, аминокапрон қышқылы, хлорлы кальций, криопреципитат пайдаланылады. Қан ағуы тоқтағаннан соң тыныс жолдарын ұйыған қаннан босату үшін бронхоскопия жасалады. Егер консервативті емге көнбей қан ағуы тоқтамаса өкпе резекциясы жасалады.
Өкпенің жедел абсцессінің асқынулары:Өкпеден қан ағуы. Қан көп кеткенде жүрек жеткіліксіздігі және анемия, кейде асфиксия байқалады. Өкпеден

Слайд 272) Плевра эмпиемасы
Консервативті тәсілмен емделеді – антибиотикотерапия, иммунотерапия, витаминотерапия

және күнде орындалатын плевра пункциясы. Пункциямен плевра қуысындағы ірің сорылады,

одан соң плевра іші антисептикпен, антибиотикпен жуылады, ферментті препараттар плевра ішіне жіберіледі.абсцесске байланысты операциялар жоғары өлімділік береді (10-15 % статистика бойынша) және жиі плевра эмпиемасымен асқынады (15-17%). 60-70 % жағдайда ем қолайлы болжаммен аяқталады.
2) Плевра эмпиемасы Консервативті тәсілмен емделеді – антибиотикотерапия, иммунотерапия, витаминотерапия және күнде орындалатын плевра пункциясы. Пункциямен плевра

Слайд 28Пиопневмоторакс
Өкпедегі іріңнің плевра қуысына төгілуі. Іріңмен бірге плевра қуысына

бос ауа жиналады. Өкпе қысылады. Аурудың жағдайы нашарлайды, кеуде қатты

ауырсынады, тыныс алу ауырлайды, ентігу, акроцианоз байқалады.
Пиопневмоторакста ауруға жедел торакоцентез жасалып плевра қуысы дренаждалынады, дренаж арқылы ірің және бос ауа сорылады, плевра іші антисептикпен жуылады.
Пиопневмоторакс Өкпедегі іріңнің плевра қуысына төгілуі. Іріңмен бірге плевра қуысына бос ауа жиналады. Өкпе қысылады. Аурудың жағдайы

Слайд 29Өкпе гангренасы дегеніміз не?
Өкпе тінінің массивті инфильтрациясы фонында некроз

болады, ал сау және зақымданған тін арасындағы демаркациялық шекара мүлдем

болмайды. Жиі өкпенің төменгі бөлігі зақымдалады. Ол өкпені зақымдалуымен қатар бүкіл ағзаны зақымдайды.
Өкпе гангренасы дегеніміз не? Өкпе тінінің массивті инфильтрациясы фонында некроз болады, ал сау және зақымданған тін арасындағы

Слайд 31Даму себебі:
Негізгі себебі өкпе тінінің патогенді микроорганизмдермен зақымдалуы, солардың ішінде

спецификалық және бейспецификалық микроорганизде. Көп жағдайда анаэробты қоздырғыштыр себеп болады.

Өкпе тініне
Бронхогенді
Лимфогенді
Қан арқылы келуі мүмкін.

Даму себебі:Негізгі себебі өкпе тінінің патогенді микроорганизмдермен зақымдалуы, солардың ішінде спецификалық және бейспецификалық микроорганизде. Көп жағдайда анаэробты

Слайд 32Ең бірінші инфекция көзі өкпедегі қабыну процесі – пневмония, абсцесс,

бронхоэктазиялық ауру болады.
Екінші кезекте- инфекция өкпе тініне алыстағы қабыну ошақтарынан

келеді. Ол жедел аппендицит, дивертикулез, перфорациямен асқынған ішек өтімсіздігі болуы мүмкін
Ең бірінші инфекция көзі өкпедегі қабыну процесі – пневмония, абсцесс, бронхоэктазиялық ауру болады.Екінші кезекте- инфекция өкпе тініне

Слайд 33 Клиникалық көріністері:
Аурудың басы өкпе абцесіне

ұқсайды. Кеуде тұсының ауру сезімі айқын білінеді.
Дене қызуы көтеріледі. Қызба

дамуы мүмкін.
Жөтел – анаэробты немесе аралас инфекция қатысуын білдіретін шірінді иісі бар және ет жуындысына ұқсас көп мөлшерлі сұйық қақырық өте ерте бөлінеді. Иістің білінетіні соншалық науқаспен бір палатада отыру мүмкін емес болады.
Ентігу
Қатты терлегіштік
Қарап тексергенде тыныс жетіспеушілігі- тері жабындыларының бозаруы, цианоз айқын білінеді.

Клиникалық көріністері:Аурудың басы өкпе абцесіне ұқсайды. Кеуде тұсының ауру сезімі айқын білінеді.Дене

Слайд 34Диагностикасы
Физикалық зерттегенде зақымдану аймағы перкуссияда дұрыс емес контурлы ошақ түрінде

анықталады. Перкуторлы дыбыс тұйық, дауыс дірілі күшейген.
Аускультацияда әртүрлі калибрлі

көптеген ылғалды сырылдар естіледі.
Рентгенологиялық зерттегенде өкпенің сәйкес зонасында шекаралары анық емес, күн сайын прогрессивті өсетін бірыңғай қараю аймағын көруге болады. Плевралық қабаттасу байқалады.
ДиагностикасыФизикалық зерттегенде зақымдану аймағы перкуссияда дұрыс емес контурлы ошақ түрінде анықталады. Перкуторлы дыбыс тұйық, дауыс дірілі күшейген.

Слайд 36Компьютерлік томография - Деструкция қуысы бронхпен байланысқанда өкпе тінінің инфильтрациялану

фонында әртүрлі көлемде және дәрежеде ауамен және іріңмен толған деструкция

қуыстары анықталады. Компьютерлік томографияда ірі қуыстарда әртүрлі көлемдегі секвестрлер байқалады.
Фибробронхоскопия – бұл эндоскопиялық әдіс көмегімен іріңді эндобронхит, бронхтар обтурациясы анықтауға болады. Патологиялық процесстің даму динамикасын бақылайды.
Қан анализі Лейкоцитоз(20000-30000), гипопротеинемия, Этж-60-70мм/сағ.

Компьютерлік томография - Деструкция қуысы бронхпен байланысқанда өкпе тінінің инфильтрациялану фонында әртүрлі көлемде және дәрежеде ауамен және

Слайд 37Емі:
Ең бірінші іріңді интоксикация және волемиялық бұзылыстар айқын болғандықтан, кең

спектрлі антибиотиктер көмегімен жүзеге асырылатын инфекциямен күресуге, су электролиттік және

метаболикалықбқызылыстарды түзетуге жүрек қантамыр және тыныс алу жүйесінің, бауыр, бүйрек қызметін ұстап тұруға, абцесті дренаждау жағдайларын жақсартуға бағытталған кешенді ем қажет.
Науқас белокқа және витаминдерге бай толыққанды тамақтануы өте маңызды. Күніне 3500-4000 калорийден кем емес белок қабылдау керек.

Емі:Ең бірінші іріңді интоксикация және волемиялық бұзылыстар айқын болғандықтан, кең спектрлі антибиотиктер көмегімен жүзеге асырылатын инфекциямен күресуге,

Слайд 38Комбинирленген бактерияға қарсы терапия қолданылады:
ІІІ ұрпақ цефалоспорфиндері (цефотаксим, цефтриаксон- роцефин)

немесе ІІ ұрпақ цефалоспориндері ( цефураксим, цефамандол)
Аминогликозид+ клиндамицин
ІІІ-ІVұрпақ фторхинолондар+ метронидазол
Сонымен

қатар бірнеше бактерияға қарсы препараттардың комбинациясы қолданылады: цефалоспориндер мен гентамицин
Цефаперазон+ сульбактам немесе карбопенемдер қолдана отырып, монотерапия жүргізуге болады. Аэрозоль түрінде немесе бронхоскоп арқылы абсцесс қуысына енгіземіз.

Комбинирленген бактерияға қарсы терапия қолданылады:ІІІ ұрпақ цефалоспорфиндері (цефотаксим, цефтриаксон- роцефин) немесе ІІ ұрпақ цефалоспориндері ( цефураксим, цефамандол)Аминогликозид+

Слайд 39Оперативті емге көрсеткіш:
Консервативті және миниинвазивті хирургиялық емнің нәтижесіздігі;
Асқынулар дамуы:
өкпелік

қан кету,
қайталанатын қан қақыру,
тұрақты бронхтық жыланкөздер
созылмалы абцесске

өтуі.
Көбінесе консервативті ем нәтижелігі төмен, сондықтан науқас өлімімен аяқталуы мүмкін. Өкпе резекциясынан, лобэктомиядан және пневмонэктомиядан кейін де өлім жоғары болып табылады,27-70 пайыз.

Оперативті емге көрсеткіш:Консервативті және миниинвазивті хирургиялық емнің нәтижесіздігі; Асқынулар дамуы:өкпелік қан кету, қайталанатын қан қақыру, тұрақты бронхтық

Слайд 40Негізгі таңдамалы операция: некрсеквестрэктомия және ыдыраған қуыс санациясымен біріккен торокоабцесотомия

болып табылады.
Торокоабцессотомия- дренаждаушы операция- пневмотомияның жетілген нұсқасы.
Шектелген гангренасы бар

науқастарда пневтомия немесе торакоплевра абцессотомия типті- мүше сақтайтын операцияларды қолдануға болады. Резекцияланған 1-2 қабырға орны патологиялық ошаққа ең жақын аймақ болып табылады. Өкпе тінінің секвестрлерін және іріңді алады. Париеталды плевра және терінің шеттерін іріңді қуысты ұзақ уақыт ашық санациялау үшін плевроабцессотома түзе отырып, тігеді. Өкпенің шектелген гангренасы жайылмалы үрдіспен салыстырғанда сирек кездеседі. Сол себепті науқастың жағдайы ауыр болғандығына қарамастан, радикалды операция жасауға мәжбүр болады
Негізгі таңдамалы операция: некрсеквестрэктомия және ыдыраған қуыс санациясымен біріккен торокоабцесотомия болып табылады.Торокоабцессотомия- дренаждаушы операция- пневмотомияның жетілген нұсқасы.

Слайд 41Лобэктомия.

Лобэктомия.

Слайд 42Іріңді плеврит
ірінді плеврит — висцералды және париеталды плевралардың жедел қабынуы.

Қабыну ірінді экссудат пен сипатталып, плевра қуысында ірің жиналған жағдайды

плевра эмпиемасы деп атайды.
Іріңді плевритірінді плеврит — висцералды және париеталды плевралардың жедел қабынуы. Қабыну ірінді экссудат пен сипатталып, плевра қуысында

Слайд 45Этиологиясы мен патогенезі.
Көп жағдайларда жедел ірінді плеврит екіншілік ауру

ретінде пайда болады. Тек кеуде торының ашық жарақатында инфекция оган

тікелей енеді де, біріншілік ірінді плевриттің пайда болуының себебі ретінде саналады. Көбінсе іріңді плеврит өкпе абсцесінің жарылып, плевра қуысына ірің құйылуының (пиопневмоторакс) салдары, ал абсцесс жарылмаған жағдайда инфекция плевра қуысына гематогенді, лимфогенді жолдармен өтеді. Аталған жолдармен инфекция плевраға басқа да ірінді ошақтардан (іріңді аппендицит, холцистит, панкреатит т.е.с.) жетуі ықтимал.
Этиологиясы мен патогенезі. Көп жағдайларда жедел ірінді плеврит екіншілік ауру ретінде пайда болады. Тек кеуде торының ашық

Слайд 46Плевритті жіктеу
Этиологиялық түріне қарай:
— стафилококты;
— стрептококкты;
— пневмококкты,
— қоспа т.б.

Экссудаттың

мөлшеріне (көлеміне) қарай:
— тотальді (рентгендік зерттеуде өкпе тіні көрінбейді);
— субтотальді

(окпенің текжоғарғы бөлігі көрінеді);
— шектелген (жабыспа, шварттармен шектелген);

Плевритті жіктеу Этиологиялық түріне қарай:— стафилококты;— стрептококкты;— пневмококкты,— қоспа т.б.Экссудаттың мөлшеріне (көлеміне) қарай:— тотальді (рентгендік зерттеуде өкпе

Слайд 47Орналасқан орнына қарай:
— жоғары орналасқан (апикальді);
— қабырға қасында (латеральді,

паракостальді);
— базальді (диафрагма, кокет үстінде);
— окпеаралық қуыста (парамедиастенальді);
— өкпе боліктері

аралығында;
— базальді-латеральді
Даму барысына қарай:
— жедел (1 айға дейін);
— жедел асты (3 айға дейін);
— созылмалы (3 айдан әрі);

Орналасқан орнына қарай: — жоғары орналасқан (апикальді);— қабырға қасында (латеральді, паракостальді);— базальді (диафрагма, кокет үстінде);— окпеаралық қуыста

Слайд 48Клиникалық көріністері
. Жедел іріңді плевриттің (плевра эмпиемасының) клиникаық белгілері, көбінесе,

оны тудырған аурулардың белгілерімен қабаттасады да дұрыс диагноз қоюға кедергі

тудырады.
Бұл ауруда көбінесе, өкпе торындағы (плевритке шалдыққан жағында) ауру сезіміне шағымданады. Ауру сезімі қозгалғанда, жөтелгенде күшейе түседі. Сонымен қатар, ауру адамды дене қызуының көтерілуі, жалпы әлсіздік, организмнің уыттану белгілері мазасыздаңдырады.

Клиникалық көріністері. Жедел іріңді плевриттің (плевра эмпиемасының) клиникаық белгілері, көбінесе, оны тудырған аурулардың белгілерімен қабаттасады да дұрыс

Слайд 49Диагностика
Объективті зерттеу барысында ауру адамның жалпы жағдайы орта дәрежеде немесе

ауыр болуы мүмкін. Ол төсекте белгілі бір қалыпта (жартылай отыра)

жатады, оның тыныс алу қозғалыстары беткейлі және жиі болады, тері қабаты мен тілі цианозданады.
Лабораториялық зерттеу нәтижелерінде лейкоцитоз, анемия, ал ірінді уыттану көпке созылса гипо- диспротейнемия, лейкоцитоурия, циллиндроурия сияқты өзгерістер болады.
ДиагностикаОбъективті зерттеу барысында ауру адамның жалпы жағдайы орта дәрежеде немесе ауыр болуы мүмкін. Ол төсекте белгілі бір

Слайд 50Іріңці плеврит (плевра эмпиемасы) диагнозын анықтауда рентгенологиялық, УД, КТ, бронхоскопия,

торакоскопия зерттеулерінің маңызы зор. Осы аталган зерттеу әдістерінің көмегімен плевра

қуысында сұйықтық бар екені анықталады. Оның көлемін анықтаған соң плевра қуысын инемен тесіп (пункция) сүйықтықтың мінездемесін анықтайды (серезды, іріңді қанаралас). Ірінді экссудат болса, оның антибиотиктерге сезімталдығын білу үшін, микробиологиялық зерттеу жүргізіледі.
Іріңці плеврит (плевра эмпиемасы) диагнозын анықтауда рентгенологиялық, УД, КТ, бронхоскопия, торакоскопия зерттеулерінің маңызы зор. Осы аталган зерттеу

Слайд 52Ажыратпа (дифференциалдық) диагнозы барысында әсіресе спецификалық (туберкулез, микотикалық аурулар) ауруларды

жоққа шығаруға көңіл аудару қажет. Олармен қатар өкпе абсцесінен, іріңдеген

кисталардан, көк ет астында орналасқан іріңдіктен, тіпті өкпе обырынан (рак) ажыратуға тура келеді.
Ажыратпа (дифференциалдық) диагнозы барысында әсіресе спецификалық (туберкулез, микотикалық аурулар) ауруларды жоққа шығаруға көңіл аудару қажет. Олармен қатар

Слайд 53Емі
Іріңді плеврит ауруын емдеуде мына нысаналар көзделеді: а) инфекцияның әрі

дамуына шек қою; б) организмнің уыттану дәрежесін төмендету, оның иммунологиялық

қасиетін жоғарылату, ағзалардың қызметін қалпына келтіру; в) іріңді ошаққа әсер ету (іріңнен тазарту, тіңдердің регенерациясын жақсарту).
ЕміІріңді плеврит ауруын емдеуде мына нысаналар көзделеді: а) инфекцияның әрі дамуына шек қою; б) организмнің уыттану дәрежесін

Слайд 54Бұл ауруды емдеу тәсілінің екі түрін ажыратады: а) жабық және

б) ашық түрлері. Емнің жабық түрінде плевра қуысындағы іріңді және

іріңді ошаққа әсер ету қуыс пен атмосфералық ауа арасында еш қатынас болмау жобасымен жүргізіледі. Ал ашық түрімен емдегенде плев­ра қуысындағы ірің кеуде торын кесіп, кең ашып шығарылады, ал қуыс ауамен толтырылады.
Жабық тәсілдер қатарына кеуде торын инемен тесу арқылы (пунк­ция) немесе плевра қуысына дренаждау түтігін енгізу арқылы ондағы іріңді сыртқа шығару жатады (29-ші сурет). Бұл тәсілде дренаждың ұшы белсенді аспирациялағыш аппаратқа қосылады (30-ші сурет), ал ол жоқ болған жағдайда дренаждың ұшына резеңке қолғаптың бір саусағынан жасалған, ұшы тесік қапшық кигізіледі (Бюляу дренажи). Ал емдеудің ашық тәсілнде ірің плевра қуысын кең етіп ашу арқылы шығарылады. Операция ірің орналасқан қуысқа тампон және дре­наждау түтігін қалдырумен аяқталады. Плевра эмпиемасын ашық тәсілмен емдеу бүгінгі таңда сирек қолданылады.

Бұл ауруды емдеу тәсілінің екі түрін ажыратады: а) жабық және б) ашық түрлері. Емнің жабық түрінде плевра

Слайд 55Нұрахманов Б.Ж., Ибадильдин А.С., Амантаева К.К., Хирургиялық аурулар, Алматы, 2013
Кузин

М.И., Хирургические болезни, Москва, 2002
Мәдікенұлы Ө., Хирургиялық аурулар, дәрістер,

Алматы 2012.
Интернет желісі

Қолданылған әдебиеттер

Нұрахманов Б.Ж., Ибадильдин А.С., Амантаева К.К., Хирургиялық аурулар, Алматы, 2013Кузин М.И., Хирургические болезни, Москва, 2002 Мәдікенұлы Ө.,

Обратная связь

Если не удалось найти и скачать доклад-презентацию, Вы можете заказать его на нашем сайте. Мы постараемся найти нужный Вам материал и отправим по электронной почте. Не стесняйтесь обращаться к нам, если у вас возникли вопросы или пожелания:

Email: Нажмите что бы посмотреть 

Что такое TheSlide.ru?

Это сайт презентации, докладов, проектов в PowerPoint. Здесь удобно  хранить и делиться своими презентациями с другими пользователями.


Для правообладателей

Яндекс.Метрика