Разделы презентаций


Этапы имплантации зубов Я ДокЛАдЧИК : Гаффаров Ахунжан Врач-интерн 602 группа

Содержание

КЛЮЧЕВЫЕ ФАКТОРЫ ДЛЯ ПЛАНИРОВАНИЯ ИМПЛАНТАЦИИ Индивидуальный подход к лечению нельзя рассматривать с той точки зрения, что у каждо- го пациента имеются уникальные, присущие только ему анатомо-топографические и функ- циональные особенности, которые

Слайды и текст этой презентации

Слайд 1Этапы имплантации зубов Я ДокЛАдЧИК: Гаффаров Ахунжан Врач-интерн 602 группа

Этапы имплантации зубов Я ДокЛАдЧИК: Гаффаров Ахунжан  Врач-интерн  602 группа

Слайд 2КЛЮЧЕВЫЕ ФАКТОРЫ ДЛЯ
ПЛАНИРОВАНИЯ ИМПЛАНТАЦИИ
Индивидуальный подход к лечению нельзя


рассматривать с той точки зрения, что у каждо-
го пациента

имеются уникальные, присущие
только ему анатомо-топографические и функ-
циональные особенности, которые требуют
оригинального метода лечения, типа импланта-
тов и способа протезирования. Такой принцип
не приведёт ни к накоплению клинического опы-
та, ни к его анализу.

КЛЮЧЕВЫЕ ФАКТОРЫ ДЛЯ ПЛАНИРОВАНИЯ ИМПЛАНТАЦИИ Индивидуальный подход к лечению нельзя рассматривать с той точки зрения, что у

Слайд 3Рациональное протезирование можно определить
как способ восстановления целостности
зубных рядов, обеспечивающий максимально
возможное

в определенной клинической ситуации
восстановление функции жевания, речи и
косметический результат протезирования

при
минимальном использован и и сохранившихся
интактных зубов.
Рациональное протезирование можно определитькак способ восстановления целостностизубных рядов, обеспечивающий максимальновозможное в определенной клинической ситуациивосстановление функции жевания, речи

Слайд 4Принципами планирования имплантации являются:
1. Разработка плана комплексного ортопе-
дического лечения.

Должна быть проведена
санация полости рта в полном объёме, предус-


мотрено рациональное протезирование не
только дефекта зубного ряда, где будет осуще-
ствляться имплантация, но и всех дефектов. В
противном случае не имеет смысла говорить о
создании условий для адекватной нагрузки на
имплантаты и об эффективно функционирую-
щей биотехнической системе.

Принципами планирования имплантации являются:1. Разработка плана комплексного ортопе- дического лечения. Должна быть проведена санация полости рта в

Слайд 52. Индивидуальный подход. Такой подход к
комплексному хирургическому и ортопедичес-


кому лечению адентии подразумевает исполь-
зование различных типов имплантатов, хирур-


гических методик их применения и способов
протезирования на основе предварительного
анализа анатомо-топографических особенно-
стей зубочелюстной системы пациента.

2. Индивидуальный подход. Такой подход к комплексному хирургическому и ортопедичес- кому лечению адентии подразумевает исполь- зование различных

Слайд 63. Преемственность и согласованность
хирургического и ортопедического этапов лече-
ния.

Это положение означает, что при плани-
ровании лечения следует предусмотреть

не-
сколько вариантов имплантации и способов
протезирования, которые позволят достичь же-
лаемого результата. Невозможно полностью
подчинить ход операции заранее намеченному
плану протезирования. Во время оперативного
вмешательства могут быть выявлены анатомо-
топографические условия, не позволяющие ус-
тановить имплантаты в запланированном мес-
те с соблюдением их параллельности, а иногда
может быть принято решение и об установке
принципиально иного типа имплантата. С дру-
гой стороны, хирург, проводящий операцию,
должен иметь исчерпывающую информацию об
ортопедическом этапе лечения и планируемом
способе протезирования у каждого пациента.

3. Преемственность и согласованность хирургического и ортопедического этапов лече- ния. Это положение означает, что при плани- ровании

Слайд 7Задачами планирования лечения являются:
- определение оптимального варианта про-
тезирования;


- определение типа, размеров и количества
имплантатов, которые позволят осуществить


рациональное протезирование;
- разработка тактики ведения хирургичес-
кого и ортопедического этапов лечения.
Соблюдение принципов и решение задач
планирования имплантации могут осуществ-
ляться только после анализа анатомо-топог-
рафических и функциональных особенностей
зубочелюстной системы, основанного на ре-
зультатах клинико-рентгенологического об-
следования.

Задачами планирования лечения являются: - определение оптимального варианта про- тезирования; - определение типа, размеров и количества имплантатов,

Слайд 8Источниками данной информации служат
сбор анамнеза, осмотр полости рта и

рентге-
нологическое обследование.
При сборе анамнеза необходимо учитывать
следующие факторы:


- причину и давность утраты зубов;
- способ предшествующего протезирования.
Если были изготовлены съёмные протезы, но па-
циент не может ими пользоваться, следует выяс-
нить причину (рвотный рефлекс, психологический
фактор, боли в области протезного ложа);

Источниками данной информации служат сбор анамнеза, осмотр полости рта и рентге- нологическое обследование. При сборе анамнеза необходимо

Слайд 9- перенесенные и сопутствующие заболе-
вания. Следует уточнить наличие местных

за-
болеваний (болезни придаточных пазух носа,
слизистой оболочки полости рта,

нейростома-
тологическая патология), а также собрать ин-
формацию о проведенных ранее операциях;
- социальный статус пациента, его запро-
сы, ожидания от лечения и пожелания.

- перенесенные и сопутствующие заболе- вания. Следует уточнить наличие местных за- болеваний (болезни придаточных пазух носа, слизистой

Слайд 10При осмотре полости рта необходимо оп-
ределить:
- вид адентии;


- состояние оставшихся зубов;
- протяжённость дефектов зубных рядов;
-

состояние гигиены полости рта;
- прикус;
- межальвеолярную высоту в области де-
фектов зубных рядов;
- состояние слизистой оболочки полости рта;
- глубину преддверия полости рта;
- линию улыбки.

При осмотре полости рта необходимо оп- ределить: - вид адентии; - состояние оставшихся зубов; - протяжённость дефектов

Слайд 11Однако следует учитывать, что даже при пра-
вильной укладке и

методике ортопантомография
даёт искажения реальных размеров челюстей до
10% по

вертикали и до 20% по горизонтали.
При неправильном положении пациента во вре-
мя обследования или нарушении режима рабо-
ты ортопантомографа искажения (увеличение
размеров) могут достигать 32% по вертикали и
50-70% по горизонтали
Однако следует учитывать, что даже при пра- вильной укладке и методике ортопантомография даёт искажения реальных размеров челюстей

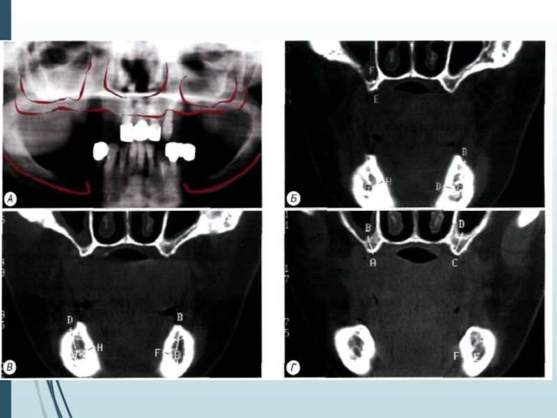
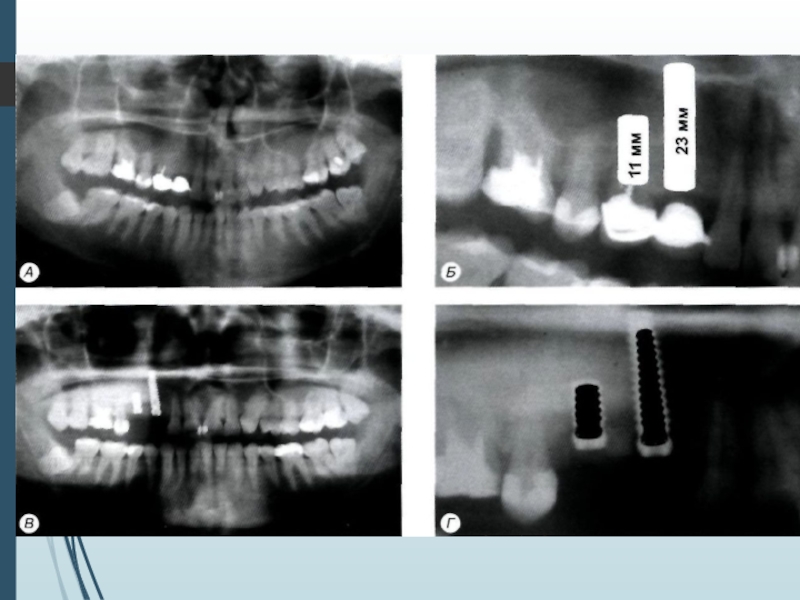
Слайд 13Компьютерная томография является одним
из наиболее информативных методов рентге-
нологического

обследования. С высокой степенью достоверности она
позволяет определить высоту и

ширину кости,
топографию нижнечелюстных каналов и верх-
нечелюстных пазух, особенности архитектони-
ки различных отделов челюстей, соотношение
последних, а также создать трёхмерное изоб-
ражение лицевого отдела черепа

Компьютерная томография является одним из наиболее информативных методов рентге- нологического обследования. С высокой степенью достоверности она позволяет

Слайд 16 Определение количества имплантатов
При одиночных дефектах зубных рядов применяют
принцип

имплантационной изотопии,
обоснованный С Mnratori. Суть его сводится к
следующему положению: количество

устанавливаемых
имплантатов должно соответствовать
количеству отсутствующих корней зубов. Исходя
из этого принципа, при одиночных дефектах
фронтальной группы зубов (включая премоля-
ры) необходимо устанавливать один имплантат,
при отсутствии моляра два имплантата
Исключение составляютслучаи, когда вследствие конвергенции сосед
них с дефектом зубов отсутствует пространство,
необходимое для установки двух имплантатов
Ватой ситуации можно установить
один имплантат на место двух-трехкорне-
вого зуба, но диаметр имплантата при атом должен
составлять но меньшей мере 4 мм (лучше
5- 6 мм).
Определение количества имплантатовПри одиночных дефектах зубных рядов применяютпринцип имплантационной изотопии,обоснованный С Mnratori. Суть его сводится

Слайд 20При включенных дефектах может устанавливаться
различное количество имплантатов.
которое определяется не столько

видом адентии,
сколько конструкцией протеза и анатомическими
условиями. При включении в протезную
конструкцию

граничащих с дефектомзубов наиболее распространенным вариантом
является установка одного-двух винтовых или
цилиндрических имплантатов или одного пластиночного
имплантата. или одного имплантата
комбинированной формы При
использовании в качестве опоры зубного протеза
только имплантатов лучше придерживаться
принципа имилантационной изотопии или использовать
формулу расчета:
X = N 1.
где X — оптимальное количество имплантатов.
А' количество отсутствующих корней зубов.
При включенных дефектах может устанавливатьсяразличное количество имплантатов.которое определяется не столько видом адентии,сколько конструкцией протеза и анатомическимиусловиями. При

Слайд 25Минимальная толщина кости, которая
должна окружать установленный в ложе имплантат

Минимальная толщина кости, котораядолжна окружать установленный в ложе имплантат

Слайд 28при I и II типах архитектоники кости
можно применять имплантаты любой

конфигурации
и размеров . При Ш типе
архитектоники оптимальным является использование
двухатанных винтовых,

разборных
однозтапных пластиночных имплантатов
и имплантатов комбинированной формы. При
IV типе архитектоники кости целесообразно использовать
двухзтапные имплантаты комбинированной
формы, поскольку их конфигурация
и конструкция позволяют задействовать значительный
объем костной ткани и обеспечивают
состояние функционального покоя в послеоперационном
периоде, что увеличивает вероятность
достижения интеграции имплантатов в условиях
регионарного остеопороза. При регрессивной
трансформации костной ткани челюстей (V и
. Диаграмма определения конструкции и
формы имплантата, а также методики его установки в
зависимости от типа архитектоники костной ткани
VI типы архитектоники) необходимо использовать
двухзтапные винтовые имплантаты с обязательной
бикортикальной или межкортикальной
их установкой.
при I и II типах архитектоники костиможно применять имплантаты любой конфигурациии размеров . При Ш типеархитектоники оптимальным

Слайд 30Одиоотапная методика установки имплатагов
может применяться при 1 и И типах

архитектоники
кости и благоприятных для имплантации анатомо-
тонографичееких условиях:
• достаточном объеме кости,

адекватной межальвеолярной
и межокклюзионной высоте,
нормальном прикусе;
• наличии условий для аккуратной адаптации
краев операционной раны в области имплантата:
• отсутствии очевидного риска возникновения
воспалительных процессов в полости рта в
послеоперационном периоде, например, па-
родонтита.

Однозгапная методика может применяться также
при 111 и даже IV типе архитектоники кости, но
при условии, что имплантаты будут установлены
бикортикалыю.
В остальных случаях предпочтение следует
отдавать двухэтапной методике имплантации.

Одиоотапная методика установки имплатаговможет применяться при 1 и И типах архитектоникикости и благоприятных для имплантации анатомо-тонографичееких условиях:•

Слайд 31Факторами, влияющими на определение срока
исключения имплантата из функции, являются:
тип архитектоники,

вариант расположения
имплантата по отношению к компактному слою
кости и анатомическая ситуация.

Факторами, влияющими на определение срокаисключения имплантата из функции, являются:тип архитектоники, вариант расположенияимплантата по отношению к компактному слоюкости

Слайд 42На хирургическом этапе лечения необходимо
решить ряд задач:
• провести имплантацию по

заранее составленному
плану;
• установить намеченное количество имплантатов
в запланированных местах;
• создать условия

для адекватной репаративной
регенерации кости вокруг имплантатов;
• обеспечить адекватное заживление дешевой
манжетки имплантага;
• уточнить план дальнейшего лечения и срок
включения имплантата в функцию на основе
анализа типа архитектоники кости и расположения
имплантатов по отношению к компактному
слою.
Хирургический зтан лечения включает в себя
предоперационную подготовку, хирургическое
вмешательство и послеоперационное наблюдение.
На хирургическом этапе лечения необходиморешить ряд задач:• провести имплантацию по заранее составленномуплану;• установить намеченное количество имплантатовв запланированных

Слайд 43ПРЕДОПЕРАЦИОННАЯ
ПОДГОТОВКА
Установка дентальных имплантатов относится
к амбулаторным оперативным вмешательствам,
производимым в подавляющем большинстве
случаев

под местным обезболиванием, что
подразумевает наличие определенных условий
для выполнения операции и

соответствующую
предоперационную подготовку пациента.
ПРЕДОПЕРАЦИОННАЯПОДГОТОВКАУстановка дентальных имплантатов относитсяк амбулаторным оперативным вмешательствам,производимым в подавляющем большинствеслучаев под местным обезболиванием, чтоподразумевает наличие определенных условийдля

Слайд 44Оборудование,
инструменты и расходные материалы
Имплантацию следует проводить при строгом
соблюдении правил асептики

и антисептики,
в отвечающем современным санитарно-гигиеническим
нормам хирургическом кабинете
(операционной), оснащенном соответствующим
стоматологическому профилю

оборудованием,
инструментарием и мебелью. Кроме того, для
проведения имплантации необходимы дополнительное
оборудование и инструменты.
Оборудование,инструменты и расходные материалыИмплантацию следует проводить при строгомсоблюдении правил асептики и антисептики,в отвечающем современным санитарно-гигиеническимнормам хирургическом кабинете(операционной),

Слайд 45Установка (физиоде спенсер)
для препарирования костной ткани

Наконечники
Вакуумный электроотсос
(скальпель, распатор, крючки, ножницы
Расходные

материалы

Установка (физиоде спенсер)для препарирования костной тканиНаконечникиВакуумный электроотсос(скальпель, распатор, крючки, ножницыРасходные материалы

Слайд 46Подготовка пациента
к операции
Приблизительно у 20% пациентов перед
хирургическим стоматологическим вмешательством
наблюдается выраженное

психоэмоциональное
возбуждение, связанное с чувством
страха, тревоги и боязни боли. В таких

случаях
можно провести иремедикацию с использованием
седативных средств. Обычно для этой пели
применяются транквилизаторы бензодиазепино-
вого ряда (седуксен, диазепам, ре.таииум и др.).
Подготовка пациентак операцииПриблизительно у 20% пациентов передхирургическим стоматологическим вмешательствомнаблюдается выраженное психоэмоциональноевозбуждение, связанное с чувствомстраха, тревоги и боязни

Слайд 47Для снятия психоэмоционального напряжения
можно назначить диазепам или седуксен перо-
рал ыю

(но схеме: 10 мг вечером накануне операции
и дополнительно 20 25

мг за час до one
рации) или внутривенно (0.3 мг кг массы тела
пациента) непосредственно перед операцией.
Перед имплантацией пациенту дают прополоскать
рот 0,2%-м раствором хлоргексидина.
после чего обрабатывают кожу лица спиртом,
накрывают стерильными простынями и проводят
соответствующую анестезию.
Для снятия психоэмоционального напряженияможно назначить диазепам или седуксен перо-рал ыю (но схеме: 10 мг вечером накануне операциии

Слайд 48Разрез и обеспечение оперативного
доступа к альвеолярному отростку
Рассечение слизистой оболочки и

надкостницы
обычно производится но гребню альвеолярного
отростка, При зтом отслаиваются
два слизисто-надкоетничных лоскута
и

таким образом ооеснечивается оперативный
доступ к альвеолярному отростку челюсти.
Два варианта оперативного
доступа к альвеолярным
отросткам челюстей:
А — разрез по гребню альвеолярного
отростка и отслойка двух
слизисю-надкостничных лоскутов:
Б — разрез в области преддверия
полос! и рта и отслойка одного сли-
зисто-надкостничного лоскута
Разрез и обеспечение оперативногодоступа к альвеолярному отросткуРассечение слизистой оболочки и надкостницыобычно производится но гребню альвеолярногоотростка, При зтом

Слайд 50БАЗОВЫЕ МЕТОДИКИ ОПЕРАЦИИ Существуют одно- и двухэтапная методики имплантации, которые являются базовыми, стандартными вмешательствами. Суть

двухэтапной методики заключается в том, что вначале устанавливают внутрикостный элемент (первый этап

операции). Второй этан операции заключается в иссечении слизистой оболочки над внутрикостным элементом, установке формирователя десневой манжетки, ГОЛОВКИ или другого ортопедического компонента, предусмотренного конструкцией имп.тантата. При одноэтапной методике опорная головка (неразборные конструкции) или модуль, к которому затем будет фиксироваться головка (РАЗборные конструкции), выступает в полость рта.
БАЗОВЫЕ МЕТОДИКИ ОПЕРАЦИИ Существуют одно- и двухэтапная методики имплантации, которые являются базовыми, стандартными вмешательствами. Суть двухэтапной методики

Слайд 51Двухэтапная методика имплантации
I этап
Произведя разрез и отслойку слизието-надкостничных
лоскутов, приступают к формированию
костного

ложа иод имплантат с использованием
общепринятых принципов атравматнчного
препарирования кости. Сверлом диаметром

неболее 2 2.5 мм препарируют направляющий канал
в кости на глубину, соответствующую высоте
внутрикостного элемента (рис. 11-2. 11-3). Формирование
направляющего канала необходимо
для создания ориентиров расположения и направления
вертикальной оси устанавливаемого
имплантата. Затем этот канал расширяют при
помощи сверла, диаметр которого не превышает
3-3,5 мм. Если диаметр внутри костной части
имплантата составляет более 3.5 мм, производят
дополнительное препарирование сверлом соответствующего
диаметра.
Двухэтапная методика имплантацииI этапПроизведя разрез и отслойку слизието-надкостничныхлоскутов, приступают к формированиюкостного ложа иод имплантат с использованиемобщепринятых принципов

Слайд 52А препарирование направляющего канала фрезой Линденмана диаметром
2,3 мм; 6 —

расширение направляющего канала фрезой диамефом
3,5 мм: В — расширение ложа

фрезой диаметром 4.0 мм:
А препарирование направляющего канала фрезой Линденмана диаметром2,3 мм; 6 — расширение направляющего канала фрезой диамефом3,5 мм: В

Слайд 53Г — окончательное
формирование ложа метчиком: Д установка внутрикостного элемента;
Е установка

винта-заглушки внутрикостно!о элемента:

Г — окончательноеформирование ложа метчиком: Д установка внутрикостного элемента;Е установка винта-заглушки внутрикостно!о элемента:

Слайд 54Ж — закрытие
операционной раны

Ж — закрытиеоперационной раны

Слайд 55// этап
Второй этап операции проводят через 2
3 мес. после установки

внутрикостных элементов.
Под местной инфи.тьтрапионной анестезией
при помощи зонда определяют расположение
внутрикостных элементов

под слизистой оболочкой.
Если из-за значительной ее толщины
или нарастания костной ткани на внутрикост-ную часть и заглушку
Определить расположение имплантата зондом невозможно,
необходимо произвести разрез слизистой оболочки
длиной до 10 мм в месте, где должен находиться
внутрикостный элемент. Затем, отслаивая
слизистую оболочку определяют расположение
имплантата визуально. Иссечение
слизистой оболочки над внутрикостным элементом
производят перфоратором и удаляют
иссеченный участок (рис. 11-5). Выкручивают
заглушку. Промывают внутренний резьбовой
канал имплантата. Ввинчивают формирователь
десневой манжетки, который на ортопедическом
этапе .течения заменяют на опорную
головку. Если производился разрез, рану зашивают
узловыми швами.
// этапВторой этап операции проводят через 23 мес. после установки внутрикостных элементов.Под местной инфи.тьтрапионной анестезиейпри помощи зонда

Слайд 56А —- иссечение перфоратором слизистой оболочки и надкостницы над внутрикостным

элементом; Б — выкручивание винта-заглушки:
В — установка формирователя десневой манжетки

А —- иссечение перфоратором слизистой оболочки и надкостницы над внутрикостным элементом; Б — выкручивание винта-заглушки:В — установка

Слайд 57Одноэтапная методика имплантации
А — препарирование костного ложа фрезой Линденмана; Б —

введение в ложе имплантата при помощи имплантатоввода:

Одноэтапная методика имплантацииА — препарирование костного ложа фрезой Линденмана; Б — введение в ложе имплантата при помощи

Слайд 58В- установленный
в ложе имплантат: Г — наложенные на рану швы

В- установленныйв ложе имплантат: Г — наложенные на рану швы

Слайд 59Над презентацией работал Гаффаров А.

Над презентацией работал Гаффаров А.

Обратная связь

Если не удалось найти и скачать доклад-презентацию, Вы можете заказать его на нашем сайте. Мы постараемся найти нужный Вам материал и отправим по электронной почте. Не стесняйтесь обращаться к нам, если у вас возникли вопросы или пожелания:

Email: Нажмите что бы посмотреть 

Что такое TheSlide.ru?

Это сайт презентации, докладов, проектов в PowerPoint. Здесь удобно  хранить и делиться своими презентациями с другими пользователями.


Для правообладателей

Яндекс.Метрика