Разделы презентаций


Грудная клетка

Содержание

Полость груди (грудная полость): стенки, фасции. Плевра – полость плевры, синусы плевры. Средостение – положение, деление на части, содержимое. Перикард, полость перикарда.Визуализация органов грудной полости лучевыми методами.

Слайды и текст этой презентации

Слайд 1Грудная клетка
Строение стенок грудной клетки: грудина, ребра, межреберные промежутки. Локализация

сосудов и нервов в грудной стенке. Диафрагма. Строение. Топография. Развитие.

Врожденные диафрагмальные грыжи (ложные врожденные грыжи, грыжи пищеводного отверстия, пояснично-реберного треугольника, ретростернальные, грудинно-реберные грыжи). Средостение. Классификация. Топография. Томография и МРТ. Перикард: листки, синусы.
Грудная клетка  Строение стенок грудной клетки: грудина, ребра, межреберные промежутки. Локализация сосудов и нервов в грудной

Слайд 2Полость груди (грудная полость): стенки, фасции.
Плевра – полость плевры,

синусы плевры.
Средостение – положение, деление на части, содержимое.
Перикард,

полость перикарда.
Визуализация органов грудной полости лучевыми методами.
Полость груди (грудная полость): стенки, фасции. Плевра – полость плевры, синусы плевры. Средостение – положение, деление на

Слайд 3Костно-мышечная часть
Костные ориентиры и проекции органов.
Формы грудной клетки в зависимости

от телосложения. Аномалии развития
Варианты строения грудины, возрастные особенности ребер и

грудины.
Клинически значимые факты
Возможности лучевых методов.
Костно-мышечная частьКостные ориентиры и проекции органов.Формы грудной клетки в зависимости от телосложения. Аномалии развитияВарианты строения грудины, возрастные

Слайд 4Костные ориентиры грудной клетки Вид сзади
• верхний угол лопатки (T2);
• лопаточная

ость (T3);
• нижний угол лопатки (T8);
остистые отростки всех грудных позвонков

можно пропальпировать по средней линии сзади;
первый остистый отросток, видимый под кожей, отросток С7 (vertebra prominens).

Костные ориентиры грудной клетки Вид сзади• верхний угол лопатки (T2);• лопаточная ость (T3);• нижний угол лопатки (T8);остистые

Слайд 5Вид сбоку
верхняя граница рукоятки грудины, яремная вырезка (T2/3);
рукоятка - T3-4

и перекрывает дугу аорты;
угол грудины (T4/5);
тело грудины - T5-8 и

слегка перекрывает сердце;
основание мечевидного отростка (T9);
Вид сбокуверхняя граница рукоятки грудины, яремная вырезка (T2/3);рукоятка - T3-4 и перекрывает дугу аорты;угол грудины (T4/5);тело грудины

Слайд 6Вид спереди
нижний край реберной дуги, 10-е ребра (подреберная линия проходит

через L3);

ребра нумеруются со 2-го реберного хряща, который сочленяется с

грудиной в области её угла (1 и 12 ребра трудно прощупать);

Вид сперединижний край реберной дуги, 10-е ребра (подреберная линия проходит через L3);ребра нумеруются со 2-го реберного хряща,

Слайд 7Формы грудной клетки в зависимости от телосложения. Аномалии развития
астенический тип

Формы грудной клетки в зависимости от телосложения. Аномалии развитияастенический тип

Слайд 8Формы грудной клетки в зависимости от телосложения

Формы грудной клетки в зависимости от телосложения

Слайд 9Аномалии развития
воронкообразная грудная клетка
килевидная грудная клетка

Аномалии развитияворонкообразная грудная клетка килевидная грудная клетка

Слайд 10Приобретенные изменения формы грудной клетки
паралитическая грудная клетка
Бочкообразная (эмфизематозная) грудная

клетка

Приобретенные изменения формы грудной клеткипаралитическая грудная клетка Бочкообразная (эмфизематозная) грудная клетка

Слайд 11Аномалии строения грудины

Аномалии строения грудины

Слайд 12—60-year-old man with long xiphoid process.
Yekeler E et al.

AJR 2006;186:956-960
©2006 by American Roentgen Ray Society

—60-year-old man with long xiphoid process. Yekeler E et al. AJR 2006;186:956-960©2006 by American Roentgen Ray Society

Слайд 13—54-year-old man with xiphoidal foramina.
Yekeler E et al. AJR

2006;186:956-960
©2006 by American Roentgen Ray Society

—54-year-old man with xiphoidal foramina. Yekeler E et al. AJR 2006;186:956-960©2006 by American Roentgen Ray Society

Слайд 14—58-year-old man with xiphoidal ligament calcification.
Yekeler E et al.

AJR 2006;186:956-960
©2006 by American Roentgen Ray Society

—58-year-old man with xiphoidal ligament calcification. Yekeler E et al. AJR 2006;186:956-960©2006 by American Roentgen Ray Society

Слайд 15—35-year-old man with triple-ended xiphoid processes.
Yekeler E et al.

AJR 2006;186:956-960
©2006 by American Roentgen Ray Society

—35-year-old man with triple-ended xiphoid processes. Yekeler E et al. AJR 2006;186:956-960©2006 by American Roentgen Ray Society

Слайд 16—70-year-old man with suprasternal tubercle and manubriosternal and sternoxiphoidal fusions.


Yekeler E et al. AJR 2006;186:956-960
©2006 by American Roentgen Ray

Society
—70-year-old man with suprasternal tubercle and manubriosternal and sternoxiphoidal fusions. Yekeler E et al. AJR 2006;186:956-960©2006 by

Слайд 17—40-year-old man with suprasternal bone.
Yekeler E et al. AJR

2006;186:956-960
©2006 by American Roentgen Ray Society

—40-year-old man with suprasternal bone. Yekeler E et al. AJR 2006;186:956-960©2006 by American Roentgen Ray Society

Слайд 18—21-year-old man with sternal foramen and cleft.
Yekeler E et

al. AJR 2006;186:956-960
©2006 by American Roentgen Ray Society

—21-year-old man with sternal foramen and cleft. Yekeler E et al. AJR 2006;186:956-960©2006 by American Roentgen Ray

Слайд 19возрастные особенности ребер и грудины
Развитие грудины:
А – время появления очагов

окостенения до рождения: 1 – 5 мес.; 2 – 5–6

мес.; 3 – мечевидный отросток (3 года);
Б – в пубертатный период: 1–4 – сроки окостенения: 1 – часть остается неокостеневшей; 2 – 16–25 лет; 3 – 16–20 лет; 4 – около 40 лет
возрастные особенности ребер и грудиныРазвитие грудины:А – время появления очагов окостенения до рождения: 1 – 5 мес.;

Слайд 20400 × 400 - Normal Chest X Ray 3 Year Old Child Photographic Print
Front view of a

child's chest X-ray shows a swallowed coin.

400 × 400 - Normal Chest X Ray 3 Year Old Child Photographic Print Front view of a child's chest X-ray shows a swallowed coin.

Слайд 21Аномалии ребер
Аномалии формы ребер
Аномалии числа ребер

Аномалии реберАномалии формы реберАномалии числа ребер•

Слайд 24Плевра – серозная оболочка
Листки плевры:
висцеральная (сращена с паренхимой

легких)
париетальная (прилежит к внутригрудной фасции)
Пространство между париетальной и висцеральной плеврой

– плевральная полость
Плевра – серозная оболочка Листки плевры: висцеральная (сращена с паренхимой легких)париетальная (прилежит к внутригрудной фасции)Пространство между париетальной

Слайд 25Париетальная плевра имеет 3 части:
Диафрагмальная
Реберная
Медиастинальная (средостенная)

Пространства между частями париетальной плевры

– синусы плевры

Париетальная плевра имеет  3 части:ДиафрагмальнаяРебернаяМедиастинальная (средостенная)Пространства между частями париетальной плевры – синусы плевры

Слайд 26Синусы плевры:
Реберно-диафрагмальный
Реберно-медиастинальный
Диафрагмо-медиастинальный

Наивысшая часть плевры - купол

Синусы плевры:Реберно-диафрагмальный Реберно-медиастинальныйДиафрагмо-медиастинальный Наивысшая часть плевры - купол

Слайд 27Границы легких и плевры
В клинике определяют путем перкуссии (выстукивания) по

межреберьям
Оценивают изменения перкуторного звука

Границы легких и плеврыВ клинике определяют путем перкуссии (выстукивания) по межреберьямОценивают изменения перкуторного звука

Слайд 28Проекции легких
Нижняя граница (проекция нижнего края)
Передняя граница (проекция переднего

края
Задняя (проекция заднего края)

Проекция верхушки

Проекции легкихНижняя граница (проекция нижнего края) Передняя граница (проекция переднего краяЗадняя (проекция заднего края)Проекция верхушки

Слайд 29Границы плевры
Линии
1 – передняя средняя
2 – парастернальная
3 – средне-ключичная
4 –

передняя подмышечная

Границы плеврыЛинии1 – передняя средняя2 – парастернальная3 – средне-ключичная4 – передняя подмышечная

Слайд 30

5 – средняя подмышечная
6 – задняя подмышечная

5 – средняя подмышечная6 – задняя подмышечная

Слайд 31

7 – лопаточная
8 – паравертебральная
9 – задняя срединная

7 – лопаточная8 – паравертебральная9 – задняя срединная

Слайд 32Нижняя граница легких и плевры (висцеральной и париетальной плевры)

Нижняя граница легких и плевры  (висцеральной и париетальной плевры)

Слайд 33Верхушка легкого проецируется спереди на 2 см выше ключицы по

средне-ключичной линии,
сзади – на уровне остистого отростка 7 шейного

позвонка по паравертебральной линии
проекция купола плевры совпадает с проекцией верхушки
Верхушка легкого проецируется спереди на 2 см выше ключицы по средне-ключичной линии, сзади – на уровне остистого

Слайд 34Передняя граница легкого
Справа: от уровня грудино-ключичного сустава по парастернальной линии

вниз до 5 ребра
Слева: от уровня грудино-ключичного сустава по

парастернальной линии вниз до 4 ребра и косо влево до 6 ребра.
Справа границы легких совпадают с границами париетальной плевры, слева на уровне 4-6 ребер париетальный листок проходит ниже.

Передняя граница легкогоСправа: от уровня грудино-ключичного сустава по парастернальной линии вниз до 5 ребра Слева: от уровня

Слайд 36Задняя граница легких
Вдоль позвоночного столба от головки 2 ребра до

шейки 11 ребра

Границы париетальной плевры совпадают с границей легких

Задняя граница легкихВдоль позвоночного столба от головки 2 ребра до шейки 11 ребраГраницы париетальной плевры совпадают с

Слайд 37Возможности лучевых методов
Рентгенография
Томография
МРТ

Возможности лучевых методов РентгенографияТомографияМРТ

Слайд 38Структуры, различимые на рентгенограмме легких
Легочные поля
Тень средостения
Костные концы ребер
Межреберные промежутки
Ключицы
Корни

легких
Синусы плевры

Структуры, различимые на рентгенограмме легкихЛегочные поляТень средостенияКостные концы реберМежреберные промежуткиКлючицыКорни легкихСинусы плевры

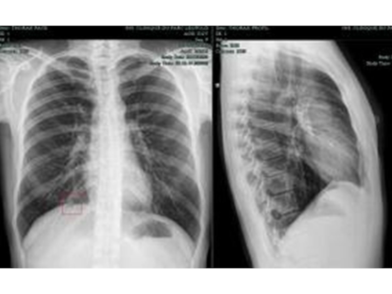
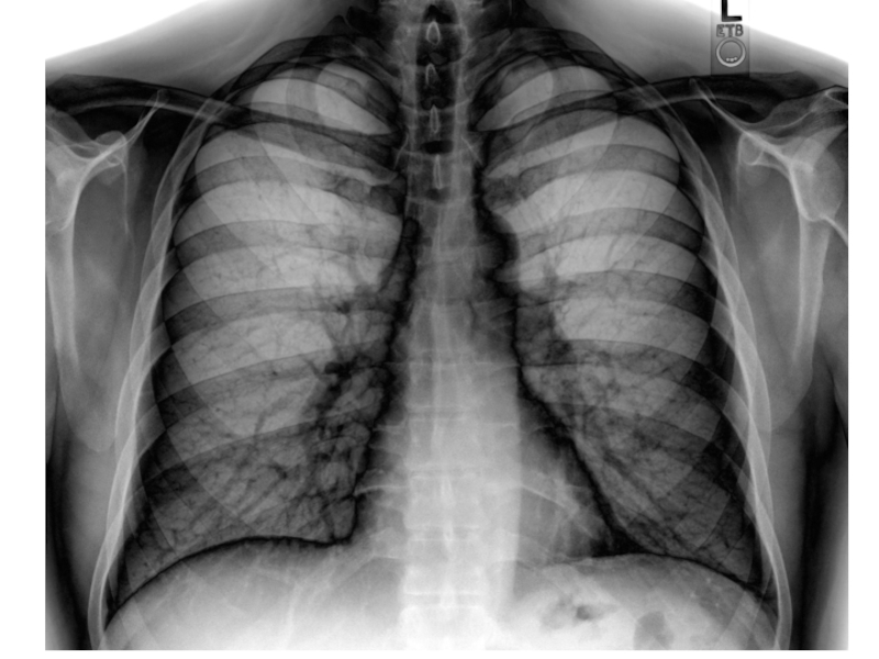
Слайд 39Рентгенограмма легких

Рентгенограмма легких

Слайд 41Боковая проекция

Боковая проекция

Слайд 42Возможности лучевых методов

Возможности лучевых методов

Слайд 43Томограмма позволяет оценить строение плотных тканей органов груди

Томограмма позволяет оценить строение плотных тканей органов груди

Слайд 44Figure 3.  Schematic of pectus excavatum.
Restrepo C S et al.

Radiographics 2009;29:839-859
©2009 by Radiological Society of North America

Figure 3.  Schematic of pectus excavatum. Restrepo C S et al. Radiographics 2009;29:839-859©2009 by Radiological Society of North

Слайд 45Figure 4a.  Variants of pectus carinatum.
Restrepo C S et al.

Radiographics 2009;29:839-859
©2009 by Radiological Society of North America

Figure 4a.  Variants of pectus carinatum. Restrepo C S et al. Radiographics 2009;29:839-859©2009 by Radiological Society of North

Слайд 46Figure 4b.  Variants of pectus carinatum.
Restrepo C S et al.

Radiographics 2009;29:839-859
©2009 by Radiological Society of North America

Figure 4b.  Variants of pectus carinatum. Restrepo C S et al. Radiographics 2009;29:839-859©2009 by Radiological Society of North

Слайд 47Figure 4d.  Variants of pectus carinatum.
Restrepo C S et al.

Radiographics 2009;29:839-859
©2009 by Radiological Society of North America

Figure 4d.  Variants of pectus carinatum. Restrepo C S et al. Radiographics 2009;29:839-859©2009 by Radiological Society of North

Слайд 48Figure 4c.  Variants of pectus carinatum.
Restrepo C S et al.

Radiographics 2009;29:839-859
©2009 by Radiological Society of North America

Figure 4c.  Variants of pectus carinatum. Restrepo C S et al. Radiographics 2009;29:839-859©2009 by Radiological Society of North

Слайд 49МРТ
По сравнению с другими методами визуализации, МРТ органов грудной клетки

гораздо эффективнее выявляет и характеризует заболевания мягких тканей.

МРТПо сравнению с другими методами визуализации, МРТ органов грудной клетки гораздо эффективнее выявляет и характеризует заболевания мягких

Слайд 51Межреберные промежутки
Слои
Наружные межреберные мышцы, передняя межреберная мембрана
Внутренние межреберные мышцы, задняя

межреберная мембрана
Самый внутренний слой межреберных мышц выражен не везде и

состоит из: поперечной мышцы груди; самых внутренних межреберных мышц; подреберных мышц

Межреберные промежуткиСлоиНаружные межреберные мышцы, передняя межреберная мембранаВнутренние межреберные мышцы, задняя межреберная мембранаСамый внутренний слой межреберных мышц выражен

Слайд 52Локализация сосудов и нервов в грудной стенке
Задние межреберные артерии, 3-7,

от грудного отдела аорты.
Задние межреберные артерии 1 и 2,

от верхней межреберной артерии (реберно-шейный ствол).
Каждая задняя межреберная артерия отдает коллатеральную ветвь, и эти два сосуда в верхних девяти межреберных промежутках анастомозируют с двумя передними межреберными артериями.
Локализация сосудов и нервов в грудной стенкеЗадние межреберные артерии, 3-7, от грудного отдела аорты. Задние межреберные артерии

Слайд 53нисходит вертикально вниз на ширину пальца (1,2 см) от латерального

края грудины.
Ветви:
передние межреберные в каждом из девяти верхних межреберных промежутков
перфорирующие

ветви
перикардо-диафрагмальная артерия
делится на верхнюю надчревную и мышечно-диафрагмальную артерии.


Передние межреберные артерии (по 2)
анастомозируют с задними межреберными артериями и их коллатеральными ветвями.

Внутренняя грудная артерия

нисходит вертикально вниз на ширину пальца (1,2 см) от латерального края грудины.Ветви:передние межреберные в каждом из девяти

Слайд 54Торакоцентез
Задняя межреберная вена
Задняя межреберная артерия
Межреберный нерв
Техника торакоцентеза
(по средней подмышечной

линии)
Блокада межреберного нерва

ТоракоцентезЗадняя межреберная венаЗадняя межреберная артерияМежреберный нервТехника торакоцентеза (по средней подмышечной линии)Блокада межреберного нерва

Слайд 55Нервы грудной клетки

Нервы грудной клетки

Слайд 57Лимфатические сосуды и узлы грудной клетки

Лимфатические сосуды и узлы грудной клетки

Слайд 58Диафрагма. Строение.
мышечная часть:
грудинная часть,
реберная (боковая) часть
поясничная
правая и левая ножки,

начинаются длинными сухожилиями от передней поверхности I—IV поясничных позвонков и

от сухожильных дугообразных связок.
Диафрагма. Строение.мышечная часть:грудинная часть, реберная (боковая) частьпоясничнаяправая и левая ножки, начинаются длинными сухожилиями от передней поверхности I—IV

Слайд 59слабые места диафрагмы
грудино-реберные треугольники (треугольники Морганьи).
Левый из них называют

также щелью Ларрея, по способу которого здесь производят пункцию перикарда

при перикардите.
Через грудино-реберные треугольники диафрагмы проходят в стенку брюшной полости внутренние грудные сосуды.
пояснично-реберные треугольники (Бохдалека).

слабые места диафрагмыгрудино-реберные треугольники (треугольники Морганьи). Левый из них называют также щелью Ларрея, по способу которого здесь

Слайд 60Отверстия диафрагмы
Отверстие нижней полой вены.
Аортальное отверстие диафрагмы.
Пищеводное отверстие

диафрагмы.

Отверстия диафрагмыОтверстие нижней полой вены. Аортальное отверстие диафрагмы. Пищеводное отверстие диафрагмы.

Слайд 61 сухожильный центр
купол делится на два свода

Левый купол диафрагмы проецируется

спереди на уровне верхнего края V ребра, а сзади —

на уровне девятого межреберья.
Правый купол диафрагмы расположен на одно межреберье выше левого.

прикрепление диафрагмы к грудной клетке проецируется по линии, проходящей по основанию мечевидного отростка, затем параллельно нижнему краю реберной дуги, на 1—2 см выше нее, по XII ребру и телам III—IV поясничных позвонков.



сухожильный центркупол делится на два сводаЛевый купол  диафрагмы проецируется спереди на уровне верхнего края V

Слайд 62Эмбриогенез диафрагмы

На 4-й неделе эмбрионального развития на уровне 4—5 шейных

сомитов на дорсальной и вентральной сторонах возникают складки мезенхимы.
Вентральная складка

превращается в поперечную складку (septum transversum), которая проникает между зачатками сердца и желудка.
В конце 6-й недели внутриутробного развития от боковых и задних стенок шеи выступают складки, которые соединяются с septum transversum, образуя соединительнотканную пластинку, в которую врастает мышца, происходящая из шейных миотомов.
К 12-й неделе развития диафрагма под давлением сердца и легких опускается с шеи и занимает постоянное положение.
Эмбриогенез диафрагмы На 4-й неделе эмбрионального развития на уровне 4—5 шейных сомитов на дорсальной и вентральной сторонах

Слайд 64Врождённые дефекты диафрагмы 1 - заднебоковой; 2 - переднебоковой; 3 -

центральный; 4 -френоперикардиальный; 5 -пищеводно-аортальный; 6 - односторонняя аплазия диафрагмы

Врождённые дефекты диафрагмы 1 - заднебоковой; 2 - переднебоковой; 3 - центральный; 4 -френоперикардиальный; 5 -пищеводно-аортальный; 6

Слайд 65Врожденные диафрагмальные грыжи
ложные врожденные грыжи,
грыжи пищеводного отверстия,
пояснично-реберного треугольника,
ретростернальные,


грудинно-реберные грыжи.

Врожденные диафрагмальные грыжи ложные врожденные грыжи, грыжи пищеводного отверстия,пояснично-реберного треугольника,ретростернальные, грудинно-реберные грыжи.

Слайд 66ложные врожденные грыжи
Врожденные грыжи диафрагмы в большинстве случаев относятся

к ложным грыжам, поскольку при этой патологии происходит проникновение органов

брюшной полости через сквозные врожденные дефекты.
ложные врожденные грыжи  Врожденные грыжи диафрагмы в большинстве случаев относятся к ложным грыжам, поскольку при этой

Слайд 67грыжи пищеводного отверстия

грыжи пищеводного отверстия

Слайд 68ретростернальные
Ретростернальная грыжа (Морганьи)

ретростернальныеРетростернальная грыжа (Морганьи)

Слайд 69грудинно-реберные грыжи
Интраоперационная фотография. Дефект в левом реберно-грудинном треугольнике.

грудинно-реберные грыжиИнтраоперационная фотография. Дефект в левом реберно-грудинном треугольнике.

Слайд 70Грыжи пояснично-реберного треугольника
Грыжа Бохдалека

Грыжи пояснично-реберного треугольникаГрыжа Бохдалека

Слайд 71Кровоснабжение и иннервация диафрагмы

Кровоснабжение и иннервация диафрагмы

Слайд 72Средостение
это комплекс органов, расположенный между правой и левой плевральными полостями.


Спереди средостение ограничено грудиной,
сзади - грудным отделом позвоночного столба,


с боков - правой и левой медиастинальной плеврой.
Вверху средостение простирается до верхней апертуры грудной клетки,
внизу - до диафрагмы.
Средостениеэто комплекс органов, расположенный между правой и левой плевральными полостями. Спереди средостение ограничено грудиной, сзади - грудным

Слайд 73Средостение
Классификация
Средостение делят на верхнее и нижнее.
Границей между ними является условная

горизонтальная плоскость, проведенная на уровне верхнего края корней легких (бифуркации

трахеи), что соответствует IV—V грудным позвонкам сзади и 2-му межреберью спереди.
Нижнее делится на переднее, среднее и заднее.
СредостениеКлассификацияСредостение делят на верхнее и нижнее.Границей между ними является условная горизонтальная плоскость, проведенная на уровне верхнего края

Слайд 74Средостение слева

Средостение слева

Слайд 75Средостение справа

Средостение справа

Слайд 76Верхнее средостение
От верхней апертуры до горизонтальной плоскости, проведенной через соединение

рукоятки с телом грудины спереди и межпозвоночный диск между IV

и V грудными позвонками сзади
Содержимое
Поверхностный слой
тимус,
правая и левая плечеголовные вены,
верхняя часть верхней полой вены,
Верхнее средостениеОт верхней апертуры до горизонтальной плоскости, проведенной через соединение рукоятки с телом грудины спереди и межпозвоночный

Слайд 77Верхнее средостение
Содержимое
средний слой
дуга аорты и её ветви (плечеголовной ствол, левая

общая сонная и левая подключичная артерии),
диафрагмальные нервы
блуждающие нервы

Верхнее средостениеСодержимоесредний слойдуга аорты и её ветви (плечеголовной ствол, левая общая сонная и левая подключичная артерии),диафрагмальные нервыблуждающие

Слайд 78Верхнее средостение
Содержимое
глубокий слой
трахея,
грудная часть пищевода
соответствующие отделы грудного (лимфатического) протока,

правого и левого симпатических стволов.

Верхнее средостениеСодержимоеглубокий слойтрахея, грудная часть пищеводасоответствующие отделы грудного (лимфатического) протока, правого и левого симпатических стволов.

Слайд 79Синтопия дуги аорты
Спереди и слева
Плевра
Легкое левое
Диафрагмальный нерв


Перикардиально-диафрагмальные сосуды
Блуждающий нерв
Сзади и справа
Трахея
Пищевод
Левый возвратный нерв
Грудной проток
Глубокое

сердечное сплетение
Синтопия дуги аортыСпереди и слева   ПлевраЛегкое левоеДиафрагмальный нерв Перикардиально-диафрагмальные сосуды Блуждающий нервСзади и справа ТрахеяПищеводЛевый

Слайд 80Синтопия дуги аорты
Сверху
Три ветви дуги аорты
Левая плечеголовная вена
Тимус
Снизу
Легочная артерия
Артериальная

связка
Левый возвратный нерв
Левый главный бронх
Поверхностное сердечное сплетение

Синтопия дуги аортыСверхуТри ветви дуги аортыЛевая плечеголовная вена ТимусСнизуЛегочная артерияАртериальная связка Левый возвратный нервЛевый главный бронхПоверхностное сердечное

Слайд 81Треугольник артериального протока
Границы
Диафрагмальный нерв.
Левый блуждающий нерв


Левая легочная артерия
Содержимое
Артериальная связка
Левый возвратный нерв
Поверхностное сердечное сплетение

Треугольник артериального протока     ГраницыДиафрагмальный нерв.Левый блуждающий нерв Левая легочная артерия СодержимоеАртериальная связкаЛевый возвратный

Слайд 82Нижнее средостение
Переднее средостение Границы
между телом грудины и примыкающими отделами межреберий

и передней стенкой перикарда

Содержимое
клетчатка
остаток тимуса
внутренние грудные сосуды
окологрудинные, предперикардиальные и

передние средостенные лимфатические узлы.
Нижнее средостениеПереднее средостение Границымежду телом грудины и примыкающими отделами межреберий и передней стенкой перикардаСодержимоеклетчатка остаток тимусавнутренние грудные

Слайд 83Нижнее средостение
Среднее средостение
Границы
между передним и задним средостением

Содержимое
перикард с сердцем
внутриперикардиальные

отделы крупных сосудов,
бифуркация трахеи и главные бронхи,
легочные артерии и

вены,
диафрагмальные нервы,
лимфатические узлы.



Нижнее средостениеСреднее средостение Границымежду передним и задним средостениемСодержимоеперикард с сердцемвнутриперикардиальные отделы крупных сосудов, бифуркация трахеи и главные

Слайд 84Нижнее средостение
Заднее средостение
Границы
ограничено спереди бифуркацией трахеи, бронхоперикардиальной мембраной и

задней стенкой перикарда, сзади — телами IV—XII грудных позвонков, покрытых

предпозвоночной фасцией.
Содержимое
нисходящая аорта
пищевод,
непарная и полунепарная вены,
симпатические стволы,
внутренностные нервы,
блуждающие нервы,
грудной проток и лимфатические узлы


Нижнее средостениеЗаднее средостение Границыограничено спереди бифуркацией трахеи, бронхоперикардиальной мембраной и задней стенкой перикарда, сзади — телами IV—XII

Слайд 85Перикард
Фиброзный перикард :
Прирастает к сухожильному центру,
переходит на стенки неперикардиальных отделов

крупных сосудов, участвуя в образовании сосудистых влагалищ
Серозный перикард
Висцеральный листок (epicardium)
Париетальный

листок
Полость перикарда
щелевидная серозная полость между висцеральной и париетальной пластинками перикарда, содержащая небольшое количество серозной жидкости.
ПерикардФиброзный перикард :Прирастает к сухожильному центру,переходит на стенки неперикардиальных отделов крупных сосудов, участвуя в образовании сосудистых влагалищСерозный

Слайд 86Пазухи перикарда
Поперечная пазуха перикарда ограничена
спереди и сверху задней поверхностью восходящей

аорты и легочного ствола,
сзади — верхней полой веной, правой

легочной артерией и задней стенкой перикарда,
снизу — углублением между левым желудочком сердца и предсердиями.
Косая пазуха перикарда ограничена
снизу и справа нижней полой веной,
слева и сверху левыми легочными венами
спереди задней поверхностью левого предсердия,
сзади — задней стенкой перикарда.
Передненижняя пазуха расположена при переходе передней части париетального листка перикарда в нижнюю, положение которой соответствует углу между грудиной и диафрагмой.
Пазухи перикардаПоперечная пазуха перикарда ограниченаспереди и сверху задней поверхностью восходящей аорты и легочного ствола, сзади — верхней

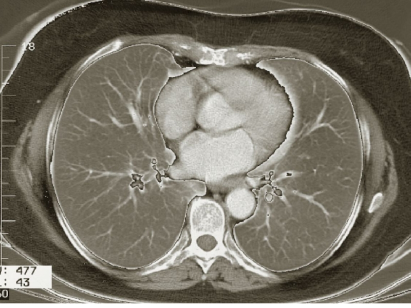
Слайд 87Томография и МРТ
Срез через верхнее средостение
Срез через нижнее средостение

Томография и МРТСрез через верхнее средостениеСрез через нижнее средостение

Обратная связь

Если не удалось найти и скачать доклад-презентацию, Вы можете заказать его на нашем сайте. Мы постараемся найти нужный Вам материал и отправим по электронной почте. Не стесняйтесь обращаться к нам, если у вас возникли вопросы или пожелания:

Email: Нажмите что бы посмотреть 

Что такое TheSlide.ru?

Это сайт презентации, докладов, проектов в PowerPoint. Здесь удобно  хранить и делиться своими презентациями с другими пользователями.


Для правообладателей

Яндекс.Метрика