Разделы презентаций


Lecture subject :

Содержание

Atherosclerosis - is a chronic disease, appearing as a result of lipid and protein metabolism derangement, characterized by arterial involvement of elastic and musculoelastic type in the form of focal deposition

Слайды и текст этой презентации

Слайд 1Lecture subject:
ATHEROSCLEROSIS,
ESSENTIAL HYPERTENSION.

Lecture subject:ATHEROSCLEROSIS,ESSENTIAL HYPERTENSION.

Слайд 2Atherosclerosis -
is a chronic disease, appearing as a result

of lipid and protein metabolism derangement, characterized by arterial involvement

of elastic and musculoelastic type in the form of focal deposition of lipids and proteins in the arteries intima and reactive growth of connective tissue.
Atherosclerosis - is a chronic disease, appearing as a result of lipid and protein metabolism derangement, characterized

Слайд 3Atherosclerosis etiology:
Metabolic factors (exo- and endogenic)
Hormonal factors
Hemodynamic factors
Neural factor
Vascular

factor
Hereditary and ethnic factors

Atherosclerosis etiology:Metabolic factors (exo- and endogenic) Hormonal factorsHemodynamic factorsNeural factorVascular factorHereditary and ethnic factors

Слайд 4Risk factors:
Hyperlipidemia
Hypodynamia
Arterial hypertension
Diabetes mellitus
Hypothyroidism
Heredity

Risk factors:HyperlipidemiaHypodynamiaArterial hypertensionDiabetes mellitusHypothyroidismHeredity

Слайд 7Atherogenic and anti-atherogenic substances
Low-density (LDLP) and very low density lipoproteins

(VLDLP) – are atherogenic (cholesterol)
High-density (HDLP) and very high

density lipoproteins (VHDLP) – are anti-atherogenic (phospholipids)
They are in the ratio 4:1 in the normal condition
Atherogenic and anti-atherogenic substancesLow-density (LDLP) and very low density lipoproteins (VLDLP) – are atherogenic (cholesterol) High-density (HDLP)

Слайд 8Pathogenesis of atherosclerosis
Etiologic factors lead to atherogenic lipoproteidemia and

increase of artery wall membranes permeability → injury of arteries

endothelium → accumulation of VLDLP and LDLP in the arteries intima → proliferation of unstriped muscle cells and macrophages and their transformation into foam cells.
Pathogenesis of atherosclerosis Etiologic factors lead to atherogenic lipoproteidemia and increase of artery wall membranes permeability →

Слайд 10Morphology and morphogenesis:
Macroscopic and microscopic stages of atherosclerosis

have to be distinguished.

Morphology and morphogenesis:  Macroscopic and microscopic stages of atherosclerosis have to be distinguished.

Слайд 11Stages of atherosclerosis (macroscopic):
Fat stains and stripes (stains and stripes

of yellow color, not raised above the intima surface)
Fibrous plaques

(solid, whitish formations, raised above the intima surface – atherosclerotic plaques)
Complicated affections/lesions (atheromatosis, hemorrhages in the plaque, formation of thrombi)
Atherocalcinosis (solid, white as a stone)
Stages of atherosclerosis (macroscopic):Fat stains and stripes (stains and stripes of yellow color, not raised above the

Слайд 14Stages of atherosclerosis (microscopic):
Prelipidic stage
Lipoidosis (corresponds to fat stains

and stripes)
Liposclerosis (corresponds to fibrous plaques)
Atheromatosis (corresponds to the 3rd

stage macro)
Atherocalcinosis (corresponds to the 4th stage macro)
Stages of atherosclerosis (microscopic): Prelipidic stageLipoidosis (corresponds to fat stains and stripes)Liposclerosis (corresponds to fibrous plaques)Atheromatosis (corresponds

Слайд 15Stages of atherosclerosis (microscopic):
Prelipidic stage (macro: no changes, increase

of endothelium permeability)
Lipoidosis (lipids infiltrate the intima)
Liposclerosis (in the plaque

center – lipids and proteins, on the periphery– connective tissue and newly formed vessels)
Atheromatosis (lipoprotein detritus, fibers destruction, arrosion of plaque vessels tissue)
Atherocalcinosis (lime in the form of granules and plates of violet color when stained with hematoxylin/eosin)
Stages of atherosclerosis (microscopic): Prelipidic stage (macro: no changes, increase of endothelium permeability)Lipoidosis (lipids infiltrate the intima)Liposclerosis

Слайд 22Atherosclerotic plaque (scheme)
1 – cover, 2 – lipids in the

plaque center, 3 – sclerosis, 4 – petrification, 5 –

foci of metachromasia, 6 – fibrin, 7 – unstriped muscle cells.
Atherosclerotic plaque (scheme)1 – cover, 2 – lipids in the plaque center, 3 – sclerosis, 4 –

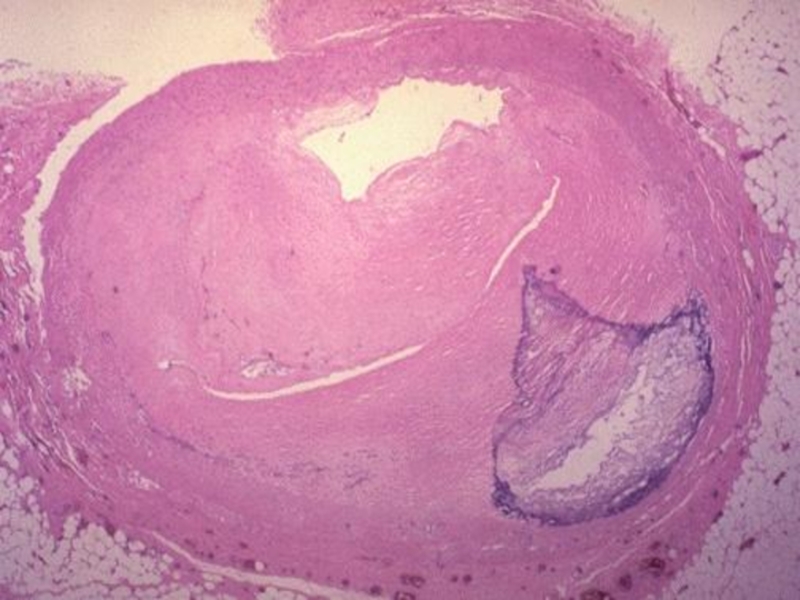
Слайд 23Clinicopathologic forms of atherosclerosis:
Atherosclerosis of aorta
Atherosclerosis of coronary arteries
Atherosclerosis of

cerebral arteries
Atherosclerosis of renal arteries
Atherosclerosis of intestinal arteries


Atherosclerosis of arteries of low extremities
Clinicopathologic forms of atherosclerosis:Atherosclerosis of aortaAtherosclerosis of coronary arteriesAtherosclerosis of cerebral arteriesAtherosclerosis of renal arteries  Atherosclerosis

Слайд 24In case of atherosclerosis of any localization the manifestations can

be dual:
If the atherosclerotic plaque does not block the artery

lumen fully – chronic ischemia is appearing → dystrophy, atrophy of parenchyma and stroma sclerosis
If the plaque is blocking the artery lumen fully – acute ischemia and necrosis (infarction) appear in the tissue
In case of atherosclerosis of any localization the manifestations can be dual:If the atherosclerotic plaque does not

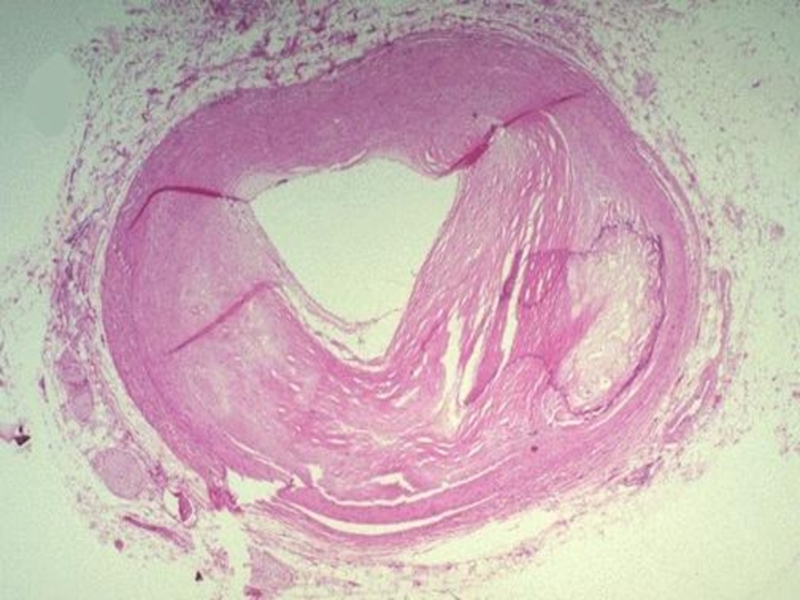
Слайд 25Atherosclerosis of aorta

Atherosclerosis of aorta

Слайд 33Atherosclerosis of arteries of heart and cerebral arteries
underlies the coronary

heart disease (CHD) and cerebrovascular disease (CVD) correspondingly.

Atherosclerosis of arteries of heart and cerebral arteriesunderlies the coronary heart disease (CHD) and cerebrovascular disease (CVD)

Слайд 35
Atherosclerosis of renal arteries leads to the development of atherosclerotic

macrotuberous kidney

Atherosclerosis of renal arteries leads to the development of atherosclerotic  macrotuberous kidney

Слайд 36Atherosclerotic nephrosclerosis

Atherosclerotic nephrosclerosis

Слайд 37Atherosclerosis of arteries of low extremities
leads to intermittent claudication

(partial blocking of artery by the plaque) or to gangrene

(fully blocking of femoral artery by the plaque or thrombus)
Atherosclerosis of arteries of low extremities leads to intermittent claudication (partial blocking of artery by the plaque)

Слайд 40Atherosclerosis of mesenteric arteries leads to the bowels gangrene

Atherosclerosis of mesenteric arteries leads to the bowels gangrene

Слайд 42Essential hypertension

Essential hypertension

Слайд 43Essential hypertension
is a chronic disease, characterized by the stable

rise of arterial pressure of neurogenic nature, not connected with

the primary injury of any organ

AP= 120 and 80 mm of mercury
Essential hypertension is a chronic disease, characterized by the stable rise of arterial pressure of neurogenic nature,

Слайд 44Risk factors:
Stress, psychoemotional overstrain

Heredity

Increased use of sodium chloride

(table salt)

Risk factors: Stress, psychoemotional overstrain HeredityIncreased use of sodium chloride   (table salt)

Слайд 45Hypertension course:
malignant
benign

Hypertension course: malignantbenign

Слайд 46 Malignant hypertension:
Diastolic pressure – 120 mm of mercury
More often

in young men (30-35 years old)
Renal form is dominant
In

kidneys – fibrinoid necrosis of arterioles and capillary loops of glomeruli. Renal insufficiency is appearing fast
No stages observed
Death cause – renal insufficiency, cerebral hemorrhages
Malignant hypertension:  Diastolic pressure – 120 mm of mercuryMore often in young men (30-35 years

Слайд 50Benign course of hypertension

Benign course of hypertension

Слайд 513 stages:
Pre-clinical

Generalized changes of small arteries and arterioles

Secondary changes in

organs connected with the changes of arteries and derangement of

intraorganic blood flow
3 stages: Pre-clinicalGeneralized changes of small arteries and arteriolesSecondary changes in organs connected with the changes of

Слайд 52Pre-clinical stage:

Transient hypertension
Hypertrophy of muscle layer of arterioles
Moderate compensatory

hypertrophy of myocardium (left ventricle wall thickness > 1,2 сm)


Pre-clinical stage:Transient hypertension Hypertrophy of muscle layer of arteriolesModerate compensatory hypertrophy of myocardium (left ventricle wall thickness

Слайд 54Stage of the generalized changes of arteries:
Stable rise of arterial

pressure
In the small arteries – plasma transudation, hyalinosis
Elastosis, elastofibrosis –

hyperplasia and splitting of internal elastic membrane, followed by sclerosis (fibrosis)
Myocardial hypertrophy is increasing

! In case of hypertension combination with atherosclerosis the fibrous plaques are forming even in small arteries!
Stage of the generalized changes of arteries:Stable rise of arterial pressureIn the small arteries – plasma transudation,

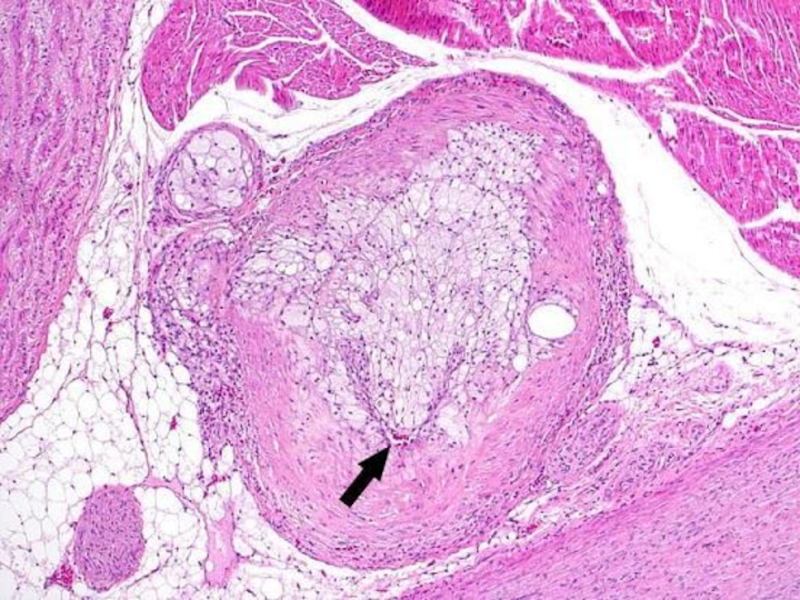
Слайд 57 Elastosis of vessels

Elastosis of vessels

Слайд 58 Stage of organ changes
Dystrophy of parenchyma
Atrophy of parenchyma and stroma

sclerosis
Arteries occlusion (spasm, thrombosis, fibrinoid necrosis, infarctions, hemorrhages)
Cerebral hemorrhages are

dangerous
In kidneys – arteriolosclerotic nephrosclerosis – “primary wrinkled kidneys”

Stage of organ changes Dystrophy of parenchymaAtrophy of parenchyma and stroma sclerosisArteries occlusion (spasm, thrombosis, fibrinoid

Слайд 59“Primary wrinkled kidneys”

“Primary wrinkled kidneys”

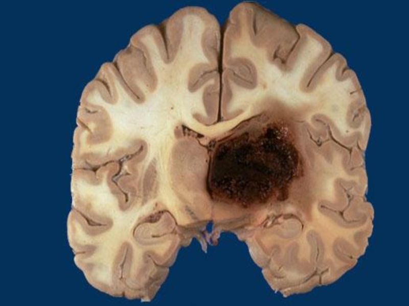
Слайд 64Types of cerebral hemorrhages:
Without the structure destruction – diapedetic
With the

structure destruction – hematomas
Especially dangerous – hemorrhages in basal ganglia

of brain, brainstem, break into ventricles of brain

Types of cerebral hemorrhages: Without the structure destruction – diapedeticWith the structure destruction – hematomasEspecially dangerous –

Слайд 65Clinicomorphologic forms of hypertension:
Cardiac (CHD)
Cerebral (CVD)
Renal (arteriolonecrosis, infarction, arteriolonecrotic nephrosclerosis)

Clinicomorphologic forms of hypertension:Cardiac (CHD)Cerebral (CVD)Renal (arteriolonecrosis, infarction, arteriolonecrotic nephrosclerosis)

Слайд 66THANKS
FOR YOUR
ATTENTION!!!

THANKS FOR YOURATTENTION!!!

Обратная связь

Если не удалось найти и скачать доклад-презентацию, Вы можете заказать его на нашем сайте. Мы постараемся найти нужный Вам материал и отправим по электронной почте. Не стесняйтесь обращаться к нам, если у вас возникли вопросы или пожелания:

Email: Нажмите что бы посмотреть 

Что такое TheSlide.ru?

Это сайт презентации, докладов, проектов в PowerPoint. Здесь удобно  хранить и делиться своими презентациями с другими пользователями.


Для правообладателей

Яндекс.Метрика